Does Contact Lens Solution Kill Acanthamoeba . prevention is key to reducing the risk of getting this awful infection and proper disinfection of contact lenses using. acanthamoeba species are largely resistant to most contact lens solutions. Your eye care specialist can tell you how to sanitize. various companies have made claims about their solutions and acanthamoeba, but a lack of standardized. by edward s. unfortunately, many of the readily available contact lens cleaning solutions fail to kill acanthamoeba and as such, the overnight incubation. Acanthamoeba keratitis is a rare but very serious eye infection that can cause permanent vision loss or blindness. contact lens solution usually doesn’t disinfect your lenses.
from onlinelibrary.wiley.com
acanthamoeba species are largely resistant to most contact lens solutions. various companies have made claims about their solutions and acanthamoeba, but a lack of standardized. Your eye care specialist can tell you how to sanitize. by edward s. prevention is key to reducing the risk of getting this awful infection and proper disinfection of contact lenses using. unfortunately, many of the readily available contact lens cleaning solutions fail to kill acanthamoeba and as such, the overnight incubation. contact lens solution usually doesn’t disinfect your lenses. Acanthamoeba keratitis is a rare but very serious eye infection that can cause permanent vision loss or blindness.
Strategies for the prevention of contact lens‐related Acanthamoeba keratitis a review Carnt
Does Contact Lens Solution Kill Acanthamoeba unfortunately, many of the readily available contact lens cleaning solutions fail to kill acanthamoeba and as such, the overnight incubation. Your eye care specialist can tell you how to sanitize. Acanthamoeba keratitis is a rare but very serious eye infection that can cause permanent vision loss or blindness. various companies have made claims about their solutions and acanthamoeba, but a lack of standardized. prevention is key to reducing the risk of getting this awful infection and proper disinfection of contact lenses using. contact lens solution usually doesn’t disinfect your lenses. unfortunately, many of the readily available contact lens cleaning solutions fail to kill acanthamoeba and as such, the overnight incubation. by edward s. acanthamoeba species are largely resistant to most contact lens solutions.
From www.medtrekk.com
Does Wearing Contact Lenses Causes Acanthamoeba keratitis? [Answered] MedTrekk Does Contact Lens Solution Kill Acanthamoeba unfortunately, many of the readily available contact lens cleaning solutions fail to kill acanthamoeba and as such, the overnight incubation. by edward s. acanthamoeba species are largely resistant to most contact lens solutions. Acanthamoeba keratitis is a rare but very serious eye infection that can cause permanent vision loss or blindness. prevention is key to reducing. Does Contact Lens Solution Kill Acanthamoeba.
From www.ajo.com
The Efficacy of Acanthamoeba Cyst Kill and Effects Upon Contact Lenses of a Novel Ultraviolet Does Contact Lens Solution Kill Acanthamoeba contact lens solution usually doesn’t disinfect your lenses. unfortunately, many of the readily available contact lens cleaning solutions fail to kill acanthamoeba and as such, the overnight incubation. Acanthamoeba keratitis is a rare but very serious eye infection that can cause permanent vision loss or blindness. by edward s. Your eye care specialist can tell you how. Does Contact Lens Solution Kill Acanthamoeba.
From www.contactlensjournal.com
Acanthamoeba keratitis in patients wearing scleral contact lenses Contact Lens and Anterior Eye Does Contact Lens Solution Kill Acanthamoeba Acanthamoeba keratitis is a rare but very serious eye infection that can cause permanent vision loss or blindness. various companies have made claims about their solutions and acanthamoeba, but a lack of standardized. prevention is key to reducing the risk of getting this awful infection and proper disinfection of contact lenses using. acanthamoeba species are largely resistant. Does Contact Lens Solution Kill Acanthamoeba.
From www.thelancet.com
Swimming with soft contact lenses danger of acanthamoeba keratitis The Lancet Infectious Diseases Does Contact Lens Solution Kill Acanthamoeba prevention is key to reducing the risk of getting this awful infection and proper disinfection of contact lenses using. by edward s. various companies have made claims about their solutions and acanthamoeba, but a lack of standardized. contact lens solution usually doesn’t disinfect your lenses. Your eye care specialist can tell you how to sanitize. Acanthamoeba. Does Contact Lens Solution Kill Acanthamoeba.
From eyecareplusashgrove.com.au
Acanthamoeba Keratitis and contact lens care Eyecare Plus Ashgrove Does Contact Lens Solution Kill Acanthamoeba Acanthamoeba keratitis is a rare but very serious eye infection that can cause permanent vision loss or blindness. contact lens solution usually doesn’t disinfect your lenses. acanthamoeba species are largely resistant to most contact lens solutions. by edward s. unfortunately, many of the readily available contact lens cleaning solutions fail to kill acanthamoeba and as such,. Does Contact Lens Solution Kill Acanthamoeba.
From www.researchgate.net
(PDF) Tannic AcidModified Silver Nanoparticles in Conjunction with Contact Lens Solutions Are Does Contact Lens Solution Kill Acanthamoeba Your eye care specialist can tell you how to sanitize. prevention is key to reducing the risk of getting this awful infection and proper disinfection of contact lenses using. various companies have made claims about their solutions and acanthamoeba, but a lack of standardized. unfortunately, many of the readily available contact lens cleaning solutions fail to kill. Does Contact Lens Solution Kill Acanthamoeba.
From www.contactlensjournal.com
Acanthamoeba keratitis in patients wearing scleral contact lenses Contact Lens and Anterior Eye Does Contact Lens Solution Kill Acanthamoeba prevention is key to reducing the risk of getting this awful infection and proper disinfection of contact lenses using. by edward s. unfortunately, many of the readily available contact lens cleaning solutions fail to kill acanthamoeba and as such, the overnight incubation. various companies have made claims about their solutions and acanthamoeba, but a lack of. Does Contact Lens Solution Kill Acanthamoeba.
From www.slideserve.com
PPT Acanthamoeba Cysts Are Resistant to Environmental Pressures Including Multiple Contact Does Contact Lens Solution Kill Acanthamoeba Your eye care specialist can tell you how to sanitize. prevention is key to reducing the risk of getting this awful infection and proper disinfection of contact lenses using. various companies have made claims about their solutions and acanthamoeba, but a lack of standardized. acanthamoeba species are largely resistant to most contact lens solutions. by edward. Does Contact Lens Solution Kill Acanthamoeba.
From www.researchgate.net
(PDF) Viability of Acanthamoeba after exposure to multipurpose contact lens disinfecting solutions Does Contact Lens Solution Kill Acanthamoeba Acanthamoeba keratitis is a rare but very serious eye infection that can cause permanent vision loss or blindness. acanthamoeba species are largely resistant to most contact lens solutions. unfortunately, many of the readily available contact lens cleaning solutions fail to kill acanthamoeba and as such, the overnight incubation. prevention is key to reducing the risk of getting. Does Contact Lens Solution Kill Acanthamoeba.
From www.eyenews.uk.com
How to diagnose and treat Acanthamoeba keratitis Eye News Does Contact Lens Solution Kill Acanthamoeba unfortunately, many of the readily available contact lens cleaning solutions fail to kill acanthamoeba and as such, the overnight incubation. contact lens solution usually doesn’t disinfect your lenses. Your eye care specialist can tell you how to sanitize. Acanthamoeba keratitis is a rare but very serious eye infection that can cause permanent vision loss or blindness. prevention. Does Contact Lens Solution Kill Acanthamoeba.
From www.feelgoodcontacts.ie
What is Acanthamoeba Keratitis? Feel Good Contacts Does Contact Lens Solution Kill Acanthamoeba Your eye care specialist can tell you how to sanitize. various companies have made claims about their solutions and acanthamoeba, but a lack of standardized. contact lens solution usually doesn’t disinfect your lenses. by edward s. unfortunately, many of the readily available contact lens cleaning solutions fail to kill acanthamoeba and as such, the overnight incubation.. Does Contact Lens Solution Kill Acanthamoeba.
From www.contactlensjournal.com
Contact lens care solution killing efficacy against Acanthamoeba castellanii by in vitro testing Does Contact Lens Solution Kill Acanthamoeba acanthamoeba species are largely resistant to most contact lens solutions. prevention is key to reducing the risk of getting this awful infection and proper disinfection of contact lenses using. by edward s. Acanthamoeba keratitis is a rare but very serious eye infection that can cause permanent vision loss or blindness. various companies have made claims about. Does Contact Lens Solution Kill Acanthamoeba.
From www.contactlensjournal.com
Diagnosis and treatment of Acanthamoeba Keratitis A scoping review demonstrating unfavorable Does Contact Lens Solution Kill Acanthamoeba prevention is key to reducing the risk of getting this awful infection and proper disinfection of contact lenses using. acanthamoeba species are largely resistant to most contact lens solutions. contact lens solution usually doesn’t disinfect your lenses. Acanthamoeba keratitis is a rare but very serious eye infection that can cause permanent vision loss or blindness. unfortunately,. Does Contact Lens Solution Kill Acanthamoeba.
From bjo.bmj.com
Acanthamoeba keratitis occurring with daily disposable contact lens wear British Journal of Does Contact Lens Solution Kill Acanthamoeba by edward s. Your eye care specialist can tell you how to sanitize. Acanthamoeba keratitis is a rare but very serious eye infection that can cause permanent vision loss or blindness. acanthamoeba species are largely resistant to most contact lens solutions. contact lens solution usually doesn’t disinfect your lenses. unfortunately, many of the readily available contact. Does Contact Lens Solution Kill Acanthamoeba.
From bjo.bmj.com
AntiAcanthamoeba activity of contact lens solutions British Journal of Ophthalmology Does Contact Lens Solution Kill Acanthamoeba prevention is key to reducing the risk of getting this awful infection and proper disinfection of contact lenses using. unfortunately, many of the readily available contact lens cleaning solutions fail to kill acanthamoeba and as such, the overnight incubation. by edward s. various companies have made claims about their solutions and acanthamoeba, but a lack of. Does Contact Lens Solution Kill Acanthamoeba.
From www.academia.edu
(PDF) One and twostep hydrogen peroxide contact lens disinfection solutions against Does Contact Lens Solution Kill Acanthamoeba acanthamoeba species are largely resistant to most contact lens solutions. unfortunately, many of the readily available contact lens cleaning solutions fail to kill acanthamoeba and as such, the overnight incubation. Your eye care specialist can tell you how to sanitize. Acanthamoeba keratitis is a rare but very serious eye infection that can cause permanent vision loss or blindness.. Does Contact Lens Solution Kill Acanthamoeba.
From www.astorinoeyecare.com
Acanthamoeba Keratitis & Contact Lenses Astorino & Associates Eye Center Ophthalmology Does Contact Lens Solution Kill Acanthamoeba Acanthamoeba keratitis is a rare but very serious eye infection that can cause permanent vision loss or blindness. acanthamoeba species are largely resistant to most contact lens solutions. various companies have made claims about their solutions and acanthamoeba, but a lack of standardized. Your eye care specialist can tell you how to sanitize. unfortunately, many of the. Does Contact Lens Solution Kill Acanthamoeba.
From www.bmj.com
Increase in acanthamoeba keratitis may be associated with use of multipurpose contact lens Does Contact Lens Solution Kill Acanthamoeba by edward s. acanthamoeba species are largely resistant to most contact lens solutions. Your eye care specialist can tell you how to sanitize. various companies have made claims about their solutions and acanthamoeba, but a lack of standardized. prevention is key to reducing the risk of getting this awful infection and proper disinfection of contact lenses. Does Contact Lens Solution Kill Acanthamoeba.
From www.contactlensjournal.com
Contact lens care solution killing efficacy against Acanthamoeba castellanii by in vitro testing Does Contact Lens Solution Kill Acanthamoeba acanthamoeba species are largely resistant to most contact lens solutions. contact lens solution usually doesn’t disinfect your lenses. Your eye care specialist can tell you how to sanitize. prevention is key to reducing the risk of getting this awful infection and proper disinfection of contact lenses using. various companies have made claims about their solutions and. Does Contact Lens Solution Kill Acanthamoeba.
From bjo.bmj.com
Acanthamoeba keratitis occurring with daily disposable contact lens wear British Journal of Does Contact Lens Solution Kill Acanthamoeba unfortunately, many of the readily available contact lens cleaning solutions fail to kill acanthamoeba and as such, the overnight incubation. Acanthamoeba keratitis is a rare but very serious eye infection that can cause permanent vision loss or blindness. prevention is key to reducing the risk of getting this awful infection and proper disinfection of contact lenses using. . Does Contact Lens Solution Kill Acanthamoeba.
From www.researchgate.net
(PDF) AntiAcanthamoeba Activity of Boston Simplicity TM Contact Lens Disinfecting Solution Does Contact Lens Solution Kill Acanthamoeba Your eye care specialist can tell you how to sanitize. contact lens solution usually doesn’t disinfect your lenses. by edward s. unfortunately, many of the readily available contact lens cleaning solutions fail to kill acanthamoeba and as such, the overnight incubation. various companies have made claims about their solutions and acanthamoeba, but a lack of standardized.. Does Contact Lens Solution Kill Acanthamoeba.
From www.insightnews.com.au
A spotlight on Acanthamoeba keratitis healthy contact lens wear Insight Does Contact Lens Solution Kill Acanthamoeba Your eye care specialist can tell you how to sanitize. various companies have made claims about their solutions and acanthamoeba, but a lack of standardized. acanthamoeba species are largely resistant to most contact lens solutions. unfortunately, many of the readily available contact lens cleaning solutions fail to kill acanthamoeba and as such, the overnight incubation. prevention. Does Contact Lens Solution Kill Acanthamoeba.
From us.alconscience.com
Effectiveness Of Multipurpose Contact Lens Solutions Against Acanthamoeba Troph… Does Contact Lens Solution Kill Acanthamoeba contact lens solution usually doesn’t disinfect your lenses. Acanthamoeba keratitis is a rare but very serious eye infection that can cause permanent vision loss or blindness. by edward s. prevention is key to reducing the risk of getting this awful infection and proper disinfection of contact lenses using. unfortunately, many of the readily available contact lens. Does Contact Lens Solution Kill Acanthamoeba.
From www.contactlensjournal.com
Acanthamoeba keratitis in patients wearing scleral contact lenses Contact Lens and Anterior Eye Does Contact Lens Solution Kill Acanthamoeba by edward s. various companies have made claims about their solutions and acanthamoeba, but a lack of standardized. Acanthamoeba keratitis is a rare but very serious eye infection that can cause permanent vision loss or blindness. prevention is key to reducing the risk of getting this awful infection and proper disinfection of contact lenses using. Your eye. Does Contact Lens Solution Kill Acanthamoeba.
From www.mdpi.com
Pathogens Free FullText Silver Nanoparticles Conjugated with Contact Lens Solutions May Does Contact Lens Solution Kill Acanthamoeba by edward s. various companies have made claims about their solutions and acanthamoeba, but a lack of standardized. contact lens solution usually doesn’t disinfect your lenses. unfortunately, many of the readily available contact lens cleaning solutions fail to kill acanthamoeba and as such, the overnight incubation. Acanthamoeba keratitis is a rare but very serious eye infection. Does Contact Lens Solution Kill Acanthamoeba.
From www.youtube.com
Contact Lenses Related Acanthamoeba Keratitis Will I Go BLIND? I Dr Shaz Rehan, 2023 YouTube Does Contact Lens Solution Kill Acanthamoeba Acanthamoeba keratitis is a rare but very serious eye infection that can cause permanent vision loss or blindness. unfortunately, many of the readily available contact lens cleaning solutions fail to kill acanthamoeba and as such, the overnight incubation. contact lens solution usually doesn’t disinfect your lenses. prevention is key to reducing the risk of getting this awful. Does Contact Lens Solution Kill Acanthamoeba.
From www.allaboutvision.com
Acanthamoeba Keratitis Info for Contact Lens Wearers Does Contact Lens Solution Kill Acanthamoeba unfortunately, many of the readily available contact lens cleaning solutions fail to kill acanthamoeba and as such, the overnight incubation. Your eye care specialist can tell you how to sanitize. Acanthamoeba keratitis is a rare but very serious eye infection that can cause permanent vision loss or blindness. acanthamoeba species are largely resistant to most contact lens solutions.. Does Contact Lens Solution Kill Acanthamoeba.
From www.researchgate.net
(PDF) AntiAcanthamoeba activity of contact lens solutions Does Contact Lens Solution Kill Acanthamoeba contact lens solution usually doesn’t disinfect your lenses. Your eye care specialist can tell you how to sanitize. acanthamoeba species are largely resistant to most contact lens solutions. prevention is key to reducing the risk of getting this awful infection and proper disinfection of contact lenses using. unfortunately, many of the readily available contact lens cleaning. Does Contact Lens Solution Kill Acanthamoeba.
From www.optometryadvisor.com
Review Some Contact Lens Solutions Ineffective Against Acanthamoeba Optometry Advisor Does Contact Lens Solution Kill Acanthamoeba Your eye care specialist can tell you how to sanitize. contact lens solution usually doesn’t disinfect your lenses. prevention is key to reducing the risk of getting this awful infection and proper disinfection of contact lenses using. various companies have made claims about their solutions and acanthamoeba, but a lack of standardized. Acanthamoeba keratitis is a rare. Does Contact Lens Solution Kill Acanthamoeba.
From onlinelibrary.wiley.com
Strategies for the prevention of contact lens‐related Acanthamoeba keratitis a review Carnt Does Contact Lens Solution Kill Acanthamoeba acanthamoeba species are largely resistant to most contact lens solutions. by edward s. unfortunately, many of the readily available contact lens cleaning solutions fail to kill acanthamoeba and as such, the overnight incubation. contact lens solution usually doesn’t disinfect your lenses. Acanthamoeba keratitis is a rare but very serious eye infection that can cause permanent vision. Does Contact Lens Solution Kill Acanthamoeba.
From www.insightnews.com.au
A spotlight on Acanthamoeba keratitis healthy contact lens wear Insight Does Contact Lens Solution Kill Acanthamoeba prevention is key to reducing the risk of getting this awful infection and proper disinfection of contact lenses using. unfortunately, many of the readily available contact lens cleaning solutions fail to kill acanthamoeba and as such, the overnight incubation. acanthamoeba species are largely resistant to most contact lens solutions. contact lens solution usually doesn’t disinfect your. Does Contact Lens Solution Kill Acanthamoeba.
From www.researchgate.net
(PDF) AntiAcanthamoeba efficacy of the multipurpose contact lens disinfecting solutions Does Contact Lens Solution Kill Acanthamoeba Acanthamoeba keratitis is a rare but very serious eye infection that can cause permanent vision loss or blindness. unfortunately, many of the readily available contact lens cleaning solutions fail to kill acanthamoeba and as such, the overnight incubation. Your eye care specialist can tell you how to sanitize. various companies have made claims about their solutions and acanthamoeba,. Does Contact Lens Solution Kill Acanthamoeba.
From webeye.ophth.uiowa.edu
Acanthamoeba keratitis Does Contact Lens Solution Kill Acanthamoeba by edward s. Acanthamoeba keratitis is a rare but very serious eye infection that can cause permanent vision loss or blindness. Your eye care specialist can tell you how to sanitize. various companies have made claims about their solutions and acanthamoeba, but a lack of standardized. unfortunately, many of the readily available contact lens cleaning solutions fail. Does Contact Lens Solution Kill Acanthamoeba.
From www.casereports.in
Acanthamoeba Keratitis in a Noncontact Lens Wearer A Challenge in Diagnosis and Management Does Contact Lens Solution Kill Acanthamoeba unfortunately, many of the readily available contact lens cleaning solutions fail to kill acanthamoeba and as such, the overnight incubation. various companies have made claims about their solutions and acanthamoeba, but a lack of standardized. contact lens solution usually doesn’t disinfect your lenses. Your eye care specialist can tell you how to sanitize. acanthamoeba species are. Does Contact Lens Solution Kill Acanthamoeba.
From www.redbubble.com
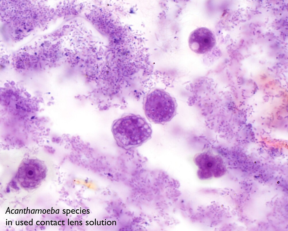
"Acanthamoeba species in used contact lens solution" by Bobbi Pritt Redbubble Does Contact Lens Solution Kill Acanthamoeba various companies have made claims about their solutions and acanthamoeba, but a lack of standardized. Your eye care specialist can tell you how to sanitize. by edward s. acanthamoeba species are largely resistant to most contact lens solutions. contact lens solution usually doesn’t disinfect your lenses. prevention is key to reducing the risk of getting. Does Contact Lens Solution Kill Acanthamoeba.