What Is A Correct Bite . The front view is what you’ll see first when you look in the mirror. Many factors impact the occlusion of our teeth. An ideal bite, also known as occlusion, is a fundamental aspect of a healthy and attractive smile. When orthodontists say “ideal bite,” you may wonder what exactly it is and how these dental professionals know. In this post, i go over how teeth should come together with proper alignment. In an ideal bite, the upper arch is slightly wider than the lower. The edges of the upper front teeth should run. If the upper arch is too narrow (or too wide) such that the teeth “cross over” the lower ones in either direction, the condition is called a crossbite. In this article, we’ll delve into the world of bite alignment and explore the significance of achieving the perfect bite. Typically, the orthodontist will ask you to expose your teeth in a way that makes you look like you are grinning. To put it simply, the bite is the way the upper and lower teeth meet. But what exactly does an ideal bite look like, and why does it matter? Ty from premier orthodontics breaks down & walks you through some of your. The best way to describe a healthy bite it is by looking at it from three different views. When biting, the back teeth touch and the top teeth overlap in front of the bottom teeth by a couple of millimetres.
from www.drrix.com
Typically, the orthodontist will ask you to expose your teeth in a way that makes you look like you are grinning. Many factors impact the occlusion of our teeth. When orthodontists say “ideal bite,” you may wonder what exactly it is and how these dental professionals know. In an ideal bite, the upper arch is slightly wider than the lower. To put it simply, the bite is the way the upper and lower teeth meet. An ideal bite, also known as occlusion, is a fundamental aspect of a healthy and attractive smile. When biting, the back teeth touch and the top teeth overlap in front of the bottom teeth by a couple of millimetres. The edges of the upper front teeth should run. The front view is what you’ll see first when you look in the mirror. If the upper arch is too narrow (or too wide) such that the teeth “cross over” the lower ones in either direction, the condition is called a crossbite.
Normal Bite Rix Orthodontics Calgary AB
What Is A Correct Bite Many factors impact the occlusion of our teeth. But what exactly does an ideal bite look like, and why does it matter? When orthodontists say “ideal bite,” you may wonder what exactly it is and how these dental professionals know. In an ideal bite, the upper arch is slightly wider than the lower. An ideal bite, also known as occlusion, is a fundamental aspect of a healthy and attractive smile. To put it simply, the bite is the way the upper and lower teeth meet. Many factors impact the occlusion of our teeth. If the upper arch is too narrow (or too wide) such that the teeth “cross over” the lower ones in either direction, the condition is called a crossbite. In this post, i go over how teeth should come together with proper alignment. In this article, we’ll delve into the world of bite alignment and explore the significance of achieving the perfect bite. The edges of the upper front teeth should run. Typically, the orthodontist will ask you to expose your teeth in a way that makes you look like you are grinning. Ty from premier orthodontics breaks down & walks you through some of your. When biting, the back teeth touch and the top teeth overlap in front of the bottom teeth by a couple of millimetres. The best way to describe a healthy bite it is by looking at it from three different views. The front view is what you’ll see first when you look in the mirror.
From methodchief7.bitbucket.io
How To Correct An Underbite Methodchief7 What Is A Correct Bite In an ideal bite, the upper arch is slightly wider than the lower. If the upper arch is too narrow (or too wide) such that the teeth “cross over” the lower ones in either direction, the condition is called a crossbite. In this post, i go over how teeth should come together with proper alignment. An ideal bite, also known. What Is A Correct Bite.
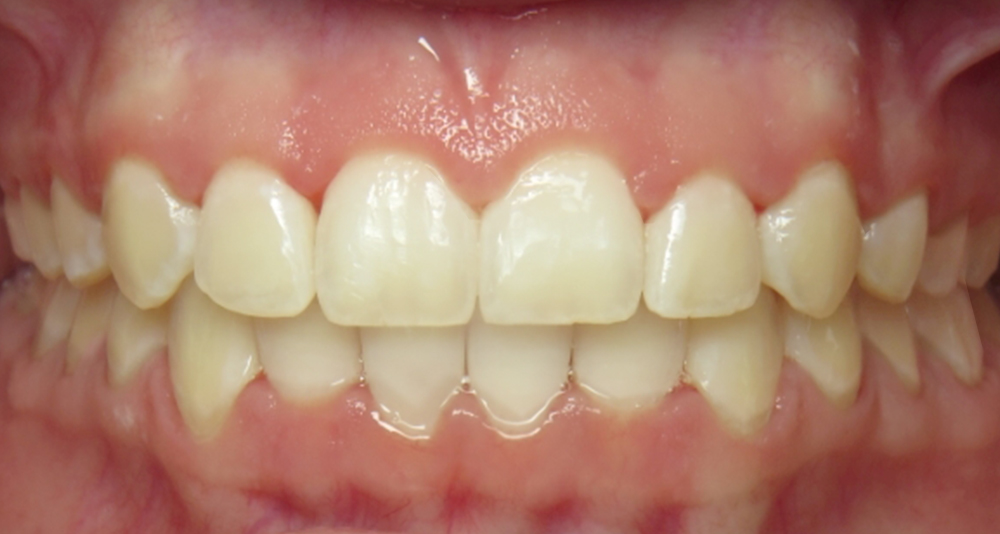
From www.yourdentistryguide.com
Occlusion, Behind Your Bite A Complete Consumer Guide What Is A Correct Bite An ideal bite, also known as occlusion, is a fundamental aspect of a healthy and attractive smile. In an ideal bite, the upper arch is slightly wider than the lower. When biting, the back teeth touch and the top teeth overlap in front of the bottom teeth by a couple of millimetres. To put it simply, the bite is the. What Is A Correct Bite.
From lafayettedentistchauvin.com
Crossbite correction and treatment Tim Chauvin Dental Lafayette La What Is A Correct Bite To put it simply, the bite is the way the upper and lower teeth meet. When orthodontists say “ideal bite,” you may wonder what exactly it is and how these dental professionals know. Many factors impact the occlusion of our teeth. In this article, we’ll delve into the world of bite alignment and explore the significance of achieving the perfect. What Is A Correct Bite.
From www.orthodontic-associates.com
Orthodontics Overview Orthodontic Associates Bloomington IL What Is A Correct Bite When biting, the back teeth touch and the top teeth overlap in front of the bottom teeth by a couple of millimetres. But what exactly does an ideal bite look like, and why does it matter? The best way to describe a healthy bite it is by looking at it from three different views. In this post, i go over. What Is A Correct Bite.
From www.youtube.com
Correcting severe scissor bite in an adult YouTube What Is A Correct Bite If the upper arch is too narrow (or too wide) such that the teeth “cross over” the lower ones in either direction, the condition is called a crossbite. The front view is what you’ll see first when you look in the mirror. When biting, the back teeth touch and the top teeth overlap in front of the bottom teeth by. What Is A Correct Bite.
From theelitedental.com
How to correct bad bites? Elite Dental Care What Is A Correct Bite The edges of the upper front teeth should run. The best way to describe a healthy bite it is by looking at it from three different views. When biting, the back teeth touch and the top teeth overlap in front of the bottom teeth by a couple of millimetres. If the upper arch is too narrow (or too wide) such. What Is A Correct Bite.
From www.flowermoundortho.com
Treat a Deep Bite with Orthodontics Flower Mound Orthodontist What Is A Correct Bite In this article, we’ll delve into the world of bite alignment and explore the significance of achieving the perfect bite. Many factors impact the occlusion of our teeth. An ideal bite, also known as occlusion, is a fundamental aspect of a healthy and attractive smile. The best way to describe a healthy bite it is by looking at it from. What Is A Correct Bite.
From www.youtube.com
Amazing Open Bite Correction Explained By Orthodontist YouTube What Is A Correct Bite In this article, we’ll delve into the world of bite alignment and explore the significance of achieving the perfect bite. The best way to describe a healthy bite it is by looking at it from three different views. But what exactly does an ideal bite look like, and why does it matter? To put it simply, the bite is the. What Is A Correct Bite.
From www.woodhilldentalspecialties.com
What's a Crossbite? 3 Case Studies Show How We Can Help • Woodhill What Is A Correct Bite Typically, the orthodontist will ask you to expose your teeth in a way that makes you look like you are grinning. If the upper arch is too narrow (or too wide) such that the teeth “cross over” the lower ones in either direction, the condition is called a crossbite. In this post, i go over how teeth should come together. What Is A Correct Bite.
From www.youtube.com
Understanding Bite Classification YouTube What Is A Correct Bite But what exactly does an ideal bite look like, and why does it matter? When orthodontists say “ideal bite,” you may wonder what exactly it is and how these dental professionals know. An ideal bite, also known as occlusion, is a fundamental aspect of a healthy and attractive smile. In this post, i go over how teeth should come together. What Is A Correct Bite.
From www.youtube.com
What Is A Correct Bite?! Correcting Overbites, Underbites, Buck Teeth What Is A Correct Bite If the upper arch is too narrow (or too wide) such that the teeth “cross over” the lower ones in either direction, the condition is called a crossbite. The edges of the upper front teeth should run. The best way to describe a healthy bite it is by looking at it from three different views. Typically, the orthodontist will ask. What Is A Correct Bite.
From westcoastinternational.com
Dental Occlusion / Anterior Guidance Part 2 What Is A Correct Bite The edges of the upper front teeth should run. Ty from premier orthodontics breaks down & walks you through some of your. To put it simply, the bite is the way the upper and lower teeth meet. In an ideal bite, the upper arch is slightly wider than the lower. When biting, the back teeth touch and the top teeth. What Is A Correct Bite.
From www.drrix.com
Normal Bite Rix Orthodontics Calgary AB What Is A Correct Bite The best way to describe a healthy bite it is by looking at it from three different views. When orthodontists say “ideal bite,” you may wonder what exactly it is and how these dental professionals know. Many factors impact the occlusion of our teeth. In an ideal bite, the upper arch is slightly wider than the lower. The edges of. What Is A Correct Bite.
From dentistspreston.com
Bite Evaluation and TMJ Pain Treatment Lane Ends Dental Practice What Is A Correct Bite An ideal bite, also known as occlusion, is a fundamental aspect of a healthy and attractive smile. When biting, the back teeth touch and the top teeth overlap in front of the bottom teeth by a couple of millimetres. The edges of the upper front teeth should run. Many factors impact the occlusion of our teeth. The front view is. What Is A Correct Bite.
From www.mycoloradosmile.com
The Anatomy of an Ideal Bite Cronin & Czarnik Orthodontics What Is A Correct Bite The front view is what you’ll see first when you look in the mirror. If the upper arch is too narrow (or too wide) such that the teeth “cross over” the lower ones in either direction, the condition is called a crossbite. Typically, the orthodontist will ask you to expose your teeth in a way that makes you look like. What Is A Correct Bite.
From www.clonmelorthodontist.ie
Correction of CrossBites / Use of Expanders Clonmel Orthodontics What Is A Correct Bite An ideal bite, also known as occlusion, is a fundamental aspect of a healthy and attractive smile. In an ideal bite, the upper arch is slightly wider than the lower. The best way to describe a healthy bite it is by looking at it from three different views. If the upper arch is too narrow (or too wide) such that. What Is A Correct Bite.
From www.jorgensenorthodontics.com
What Does an Ideal Bite Look Like? Affordable Braces What Is A Correct Bite The edges of the upper front teeth should run. Many factors impact the occlusion of our teeth. Typically, the orthodontist will ask you to expose your teeth in a way that makes you look like you are grinning. In this article, we’ll delve into the world of bite alignment and explore the significance of achieving the perfect bite. To put. What Is A Correct Bite.
From www.woodhilldentalspecialties.com
What's a Crossbite? 3 Case Studies Show How We Can Help • Woodhill What Is A Correct Bite If the upper arch is too narrow (or too wide) such that the teeth “cross over” the lower ones in either direction, the condition is called a crossbite. When biting, the back teeth touch and the top teeth overlap in front of the bottom teeth by a couple of millimetres. The front view is what you’ll see first when you. What Is A Correct Bite.
From www.lovebrushing.com
How Does My Bite Classification Impact Orthodontic Treatment What Is A Correct Bite The front view is what you’ll see first when you look in the mirror. The edges of the upper front teeth should run. When biting, the back teeth touch and the top teeth overlap in front of the bottom teeth by a couple of millimetres. When orthodontists say “ideal bite,” you may wonder what exactly it is and how these. What Is A Correct Bite.
From www.youtube.com
Invisalign Before and After Correcting Bite YouTube What Is A Correct Bite An ideal bite, also known as occlusion, is a fundamental aspect of a healthy and attractive smile. In an ideal bite, the upper arch is slightly wider than the lower. Ty from premier orthodontics breaks down & walks you through some of your. The front view is what you’ll see first when you look in the mirror. When biting, the. What Is A Correct Bite.
From renofamilydentist.com
Know Your Bite Dental Bites & How to Correct Them DiGrazia Dentistry What Is A Correct Bite When biting, the back teeth touch and the top teeth overlap in front of the bottom teeth by a couple of millimetres. In this post, i go over how teeth should come together with proper alignment. When orthodontists say “ideal bite,” you may wonder what exactly it is and how these dental professionals know. The best way to describe a. What Is A Correct Bite.
From www.youtube.com
Amazing Deep Bite Correction Orthodontist! YouTube What Is A Correct Bite The edges of the upper front teeth should run. If the upper arch is too narrow (or too wide) such that the teeth “cross over” the lower ones in either direction, the condition is called a crossbite. Ty from premier orthodontics breaks down & walks you through some of your. An ideal bite, also known as occlusion, is a fundamental. What Is A Correct Bite.
From www.downtowndental.ca
Bite Exam Downtown Dental Centre Toronto What Is A Correct Bite The edges of the upper front teeth should run. In this post, i go over how teeth should come together with proper alignment. The front view is what you’ll see first when you look in the mirror. Ty from premier orthodontics breaks down & walks you through some of your. If the upper arch is too narrow (or too wide). What Is A Correct Bite.
From www.archwired.com
What Does Bite Mean In Orthodontics? ArchWired What Is A Correct Bite In this article, we’ll delve into the world of bite alignment and explore the significance of achieving the perfect bite. Typically, the orthodontist will ask you to expose your teeth in a way that makes you look like you are grinning. The best way to describe a healthy bite it is by looking at it from three different views. Many. What Is A Correct Bite.
From www.byarsdental.com
Invisalign for Bite Alignment Kansas City Dr. Michael Byars What Is A Correct Bite The best way to describe a healthy bite it is by looking at it from three different views. If the upper arch is too narrow (or too wide) such that the teeth “cross over” the lower ones in either direction, the condition is called a crossbite. When biting, the back teeth touch and the top teeth overlap in front of. What Is A Correct Bite.
From whizolosophy.com
Whizolosophy How To Correct An Underbite Without Surgery? What Is A Correct Bite When orthodontists say “ideal bite,” you may wonder what exactly it is and how these dental professionals know. If the upper arch is too narrow (or too wide) such that the teeth “cross over” the lower ones in either direction, the condition is called a crossbite. When biting, the back teeth touch and the top teeth overlap in front of. What Is A Correct Bite.
From www.belmarorthodontics.com
How Bite Correction Can Change Your Life? Belmar Orthodontics What Is A Correct Bite When orthodontists say “ideal bite,” you may wonder what exactly it is and how these dental professionals know. In an ideal bite, the upper arch is slightly wider than the lower. Ty from premier orthodontics breaks down & walks you through some of your. When biting, the back teeth touch and the top teeth overlap in front of the bottom. What Is A Correct Bite.
From www.advanceddentistry.co.uk
Deep Bite Treatment Advanced Dentistry What Is A Correct Bite The edges of the upper front teeth should run. To put it simply, the bite is the way the upper and lower teeth meet. Ty from premier orthodontics breaks down & walks you through some of your. But what exactly does an ideal bite look like, and why does it matter? When biting, the back teeth touch and the top. What Is A Correct Bite.
From www.faceliftdentistry.com
Overbite Correction Explained Adult Options and Treatment What Is A Correct Bite If the upper arch is too narrow (or too wide) such that the teeth “cross over” the lower ones in either direction, the condition is called a crossbite. The best way to describe a healthy bite it is by looking at it from three different views. To put it simply, the bite is the way the upper and lower teeth. What Is A Correct Bite.
From invisaligndubai.blogspot.com
INVISALIGN / BRACES in DUBAI , Othodontics DUBAI WHAT IS OPEN BITE AND What Is A Correct Bite The front view is what you’ll see first when you look in the mirror. Ty from premier orthodontics breaks down & walks you through some of your. But what exactly does an ideal bite look like, and why does it matter? When biting, the back teeth touch and the top teeth overlap in front of the bottom teeth by a. What Is A Correct Bite.
From oasmiles.com
Correct Your Bite Invisalign Clear Aligners & Braces What Is A Correct Bite The edges of the upper front teeth should run. But what exactly does an ideal bite look like, and why does it matter? To put it simply, the bite is the way the upper and lower teeth meet. If the upper arch is too narrow (or too wide) such that the teeth “cross over” the lower ones in either direction,. What Is A Correct Bite.
From emeralddental.in
Is Your Bite Correct ? EMERALD DENTAL What Is A Correct Bite In this article, we’ll delve into the world of bite alignment and explore the significance of achieving the perfect bite. The best way to describe a healthy bite it is by looking at it from three different views. Typically, the orthodontist will ask you to expose your teeth in a way that makes you look like you are grinning. In. What Is A Correct Bite.
From www.kelownadentalsolutions.ca
How does a proper bite look? Recognizing jaw misalignment What Is A Correct Bite In this article, we’ll delve into the world of bite alignment and explore the significance of achieving the perfect bite. Many factors impact the occlusion of our teeth. In an ideal bite, the upper arch is slightly wider than the lower. To put it simply, the bite is the way the upper and lower teeth meet. Typically, the orthodontist will. What Is A Correct Bite.
From orthodonticsaustralia.org.au
Orthodontics Australia What is an ideal bite? What Is A Correct Bite In an ideal bite, the upper arch is slightly wider than the lower. But what exactly does an ideal bite look like, and why does it matter? An ideal bite, also known as occlusion, is a fundamental aspect of a healthy and attractive smile. The front view is what you’ll see first when you look in the mirror. If the. What Is A Correct Bite.
From www.nemesortho.com
Deep Bite and Class II Correction What Is A Correct Bite In this post, i go over how teeth should come together with proper alignment. If the upper arch is too narrow (or too wide) such that the teeth “cross over” the lower ones in either direction, the condition is called a crossbite. In an ideal bite, the upper arch is slightly wider than the lower. To put it simply, the. What Is A Correct Bite.