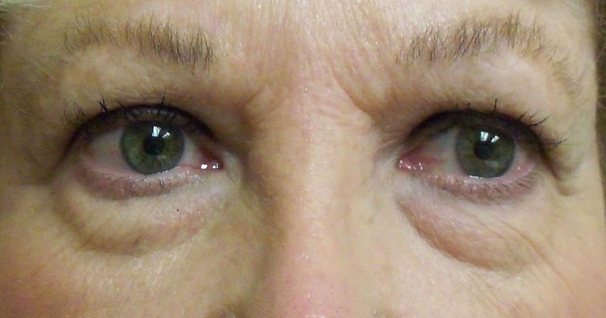
Facial Exercises To Reduce Eye Bags . Reduce fluid retention and boost circulation for refreshed, radiant eyes. So, when we focus on eye bags in face yoga, we’re looking for techniques that encourage lymphatic drainage, increase blood circulation, and stimulate the flow of energy in. Say goodbye to morning puffiness with simple eye bags exercises. This face yoga class helps to reduce and. Malar bags also known as festoons are a swelling which we often see in the under eye area. For optimal and maintained results for your eye area, we always suggest doing face yoga exercises, which restores and tones the muscles beneath the skin’s surface. Wondering how to get rid of bags under your eyes?
from www.pinterest.com
Malar bags also known as festoons are a swelling which we often see in the under eye area. For optimal and maintained results for your eye area, we always suggest doing face yoga exercises, which restores and tones the muscles beneath the skin’s surface. Wondering how to get rid of bags under your eyes? Reduce fluid retention and boost circulation for refreshed, radiant eyes. So, when we focus on eye bags in face yoga, we’re looking for techniques that encourage lymphatic drainage, increase blood circulation, and stimulate the flow of energy in. This face yoga class helps to reduce and. Say goodbye to morning puffiness with simple eye bags exercises.
Facial Toning Secrets The AllHolistic Eye Bag And Lines About The
Facial Exercises To Reduce Eye Bags So, when we focus on eye bags in face yoga, we’re looking for techniques that encourage lymphatic drainage, increase blood circulation, and stimulate the flow of energy in. For optimal and maintained results for your eye area, we always suggest doing face yoga exercises, which restores and tones the muscles beneath the skin’s surface. Malar bags also known as festoons are a swelling which we often see in the under eye area. So, when we focus on eye bags in face yoga, we’re looking for techniques that encourage lymphatic drainage, increase blood circulation, and stimulate the flow of energy in. Reduce fluid retention and boost circulation for refreshed, radiant eyes. This face yoga class helps to reduce and. Wondering how to get rid of bags under your eyes? Say goodbye to morning puffiness with simple eye bags exercises.
From www.youtube.com
How to Remove Under Eye Bags👁️ Naturally in 7 Days Massage & Exercises🙋 Facial Exercises To Reduce Eye Bags Wondering how to get rid of bags under your eyes? Reduce fluid retention and boost circulation for refreshed, radiant eyes. This face yoga class helps to reduce and. Say goodbye to morning puffiness with simple eye bags exercises. So, when we focus on eye bags in face yoga, we’re looking for techniques that encourage lymphatic drainage, increase blood circulation, and. Facial Exercises To Reduce Eye Bags.
From www.colorescience.com
How to Get Rid of Eye Bags 16 Tips to Get Rid of Puffy Eyes Facial Exercises To Reduce Eye Bags Malar bags also known as festoons are a swelling which we often see in the under eye area. Say goodbye to morning puffiness with simple eye bags exercises. So, when we focus on eye bags in face yoga, we’re looking for techniques that encourage lymphatic drainage, increase blood circulation, and stimulate the flow of energy in. This face yoga class. Facial Exercises To Reduce Eye Bags.
From www.youtube.com
2 EYE EXERCISES to FIRM UP BAGS UNDER EYES/ Causes and Home Remedies Facial Exercises To Reduce Eye Bags Wondering how to get rid of bags under your eyes? So, when we focus on eye bags in face yoga, we’re looking for techniques that encourage lymphatic drainage, increase blood circulation, and stimulate the flow of energy in. Malar bags also known as festoons are a swelling which we often see in the under eye area. Reduce fluid retention and. Facial Exercises To Reduce Eye Bags.
From www.pinterest.com
Lift Cheeks and Reduce Eye Bags with 1 Minute Face Yoga Face yoga Facial Exercises To Reduce Eye Bags Reduce fluid retention and boost circulation for refreshed, radiant eyes. This face yoga class helps to reduce and. Say goodbye to morning puffiness with simple eye bags exercises. For optimal and maintained results for your eye area, we always suggest doing face yoga exercises, which restores and tones the muscles beneath the skin’s surface. Wondering how to get rid of. Facial Exercises To Reduce Eye Bags.
From reduce-remove-dark-eye-rings-bags.blogspot.com
Eye Toning Exercises To Reduce Puffy Eye Bags And Eye Wrinkles Win The Facial Exercises To Reduce Eye Bags Wondering how to get rid of bags under your eyes? For optimal and maintained results for your eye area, we always suggest doing face yoga exercises, which restores and tones the muscles beneath the skin’s surface. Reduce fluid retention and boost circulation for refreshed, radiant eyes. This face yoga class helps to reduce and. So, when we focus on eye. Facial Exercises To Reduce Eye Bags.
From www.pinterest.com
How To Get Rid Of Eye Bags With The Face Yoga Method YouTube Face Facial Exercises To Reduce Eye Bags Say goodbye to morning puffiness with simple eye bags exercises. So, when we focus on eye bags in face yoga, we’re looking for techniques that encourage lymphatic drainage, increase blood circulation, and stimulate the flow of energy in. Reduce fluid retention and boost circulation for refreshed, radiant eyes. This face yoga class helps to reduce and. For optimal and maintained. Facial Exercises To Reduce Eye Bags.
From www.pinterest.com
Reduce eye bags with these 3 nurturing facial massages Facial, Facial Facial Exercises To Reduce Eye Bags Reduce fluid retention and boost circulation for refreshed, radiant eyes. Malar bags also known as festoons are a swelling which we often see in the under eye area. For optimal and maintained results for your eye area, we always suggest doing face yoga exercises, which restores and tones the muscles beneath the skin’s surface. Say goodbye to morning puffiness with. Facial Exercises To Reduce Eye Bags.
From www.pinterest.com
Remove Under Eye Bags, Dark Circles, Sunken Eyes With This Massage Facial Exercises To Reduce Eye Bags So, when we focus on eye bags in face yoga, we’re looking for techniques that encourage lymphatic drainage, increase blood circulation, and stimulate the flow of energy in. Malar bags also known as festoons are a swelling which we often see in the under eye area. Say goodbye to morning puffiness with simple eye bags exercises. This face yoga class. Facial Exercises To Reduce Eye Bags.
From www.pinterest.com
Remove Eye Bags Practicing Key Facial Gymnastics And Eye Exercises Facial Exercises To Reduce Eye Bags So, when we focus on eye bags in face yoga, we’re looking for techniques that encourage lymphatic drainage, increase blood circulation, and stimulate the flow of energy in. Reduce fluid retention and boost circulation for refreshed, radiant eyes. Wondering how to get rid of bags under your eyes? This face yoga class helps to reduce and. For optimal and maintained. Facial Exercises To Reduce Eye Bags.
From es.thdonghoadian.edu.vn
Top 139+ exercise for under eye bags best esthdonghoadian Facial Exercises To Reduce Eye Bags This face yoga class helps to reduce and. Say goodbye to morning puffiness with simple eye bags exercises. For optimal and maintained results for your eye area, we always suggest doing face yoga exercises, which restores and tones the muscles beneath the skin’s surface. So, when we focus on eye bags in face yoga, we’re looking for techniques that encourage. Facial Exercises To Reduce Eye Bags.
From tighten-face-muscle-flex-treatments.blogspot.com
DIY NonInvasive Facelift With Face Toning Exercises Check Out These Facial Exercises To Reduce Eye Bags Wondering how to get rid of bags under your eyes? For optimal and maintained results for your eye area, we always suggest doing face yoga exercises, which restores and tones the muscles beneath the skin’s surface. Reduce fluid retention and boost circulation for refreshed, radiant eyes. Say goodbye to morning puffiness with simple eye bags exercises. So, when we focus. Facial Exercises To Reduce Eye Bags.
From face-aerobics-for-younger-face-skin.blogspot.com
Facelift Toning Workouts To Renew Your Neck And Face Reducing Eye Bags Facial Exercises To Reduce Eye Bags Wondering how to get rid of bags under your eyes? This face yoga class helps to reduce and. Malar bags also known as festoons are a swelling which we often see in the under eye area. Say goodbye to morning puffiness with simple eye bags exercises. For optimal and maintained results for your eye area, we always suggest doing face. Facial Exercises To Reduce Eye Bags.
From www.pinterest.com
Under Eye Exercises Face exercises, Eye exercises, Face yoga facial Facial Exercises To Reduce Eye Bags Say goodbye to morning puffiness with simple eye bags exercises. Wondering how to get rid of bags under your eyes? This face yoga class helps to reduce and. For optimal and maintained results for your eye area, we always suggest doing face yoga exercises, which restores and tones the muscles beneath the skin’s surface. So, when we focus on eye. Facial Exercises To Reduce Eye Bags.
From dailyhealthpost.com
4 Best Facial Exercises To Get Rid Of Wrinkles, Eye Bags And DoubleChins Facial Exercises To Reduce Eye Bags For optimal and maintained results for your eye area, we always suggest doing face yoga exercises, which restores and tones the muscles beneath the skin’s surface. Say goodbye to morning puffiness with simple eye bags exercises. So, when we focus on eye bags in face yoga, we’re looking for techniques that encourage lymphatic drainage, increase blood circulation, and stimulate the. Facial Exercises To Reduce Eye Bags.
From remedy-treatments-eye-bags-naturally.blogspot.com
Facial Toning Workouts To Remedy Dark Circles, Puffy Eyes, And Eye Bags Facial Exercises To Reduce Eye Bags Reduce fluid retention and boost circulation for refreshed, radiant eyes. Say goodbye to morning puffiness with simple eye bags exercises. This face yoga class helps to reduce and. Wondering how to get rid of bags under your eyes? Malar bags also known as festoons are a swelling which we often see in the under eye area. So, when we focus. Facial Exercises To Reduce Eye Bags.
From dailyhealthpost.com
4 Best Facial Exercises To Get Rid Of Wrinkles, Eye Bags And DoubleChins Facial Exercises To Reduce Eye Bags Malar bags also known as festoons are a swelling which we often see in the under eye area. For optimal and maintained results for your eye area, we always suggest doing face yoga exercises, which restores and tones the muscles beneath the skin’s surface. Wondering how to get rid of bags under your eyes? So, when we focus on eye. Facial Exercises To Reduce Eye Bags.
From www.pinterest.com
Exercises To Reduce Under Eye Wrinkles, Eye Bags and Crow's Feet Reduce Facial Exercises To Reduce Eye Bags Wondering how to get rid of bags under your eyes? For optimal and maintained results for your eye area, we always suggest doing face yoga exercises, which restores and tones the muscles beneath the skin’s surface. Malar bags also known as festoons are a swelling which we often see in the under eye area. This face yoga class helps to. Facial Exercises To Reduce Eye Bags.
From www.pinterest.com
How to Reduce Puffy Eyes and get an Eye Lift Face yoga method, Face Facial Exercises To Reduce Eye Bags This face yoga class helps to reduce and. Malar bags also known as festoons are a swelling which we often see in the under eye area. Reduce fluid retention and boost circulation for refreshed, radiant eyes. Wondering how to get rid of bags under your eyes? Say goodbye to morning puffiness with simple eye bags exercises. So, when we focus. Facial Exercises To Reduce Eye Bags.
From www.youtube.com
How to get Rid of Eye Bags with Facial Exercise YouTube Facial Exercises To Reduce Eye Bags Say goodbye to morning puffiness with simple eye bags exercises. Malar bags also known as festoons are a swelling which we often see in the under eye area. Wondering how to get rid of bags under your eyes? This face yoga class helps to reduce and. So, when we focus on eye bags in face yoga, we’re looking for techniques. Facial Exercises To Reduce Eye Bags.
From www.youtube.com
How to Get rid of Puffy Eyes and Under eye bags in 2 weeks. Facial Facial Exercises To Reduce Eye Bags Wondering how to get rid of bags under your eyes? Say goodbye to morning puffiness with simple eye bags exercises. For optimal and maintained results for your eye area, we always suggest doing face yoga exercises, which restores and tones the muscles beneath the skin’s surface. Reduce fluid retention and boost circulation for refreshed, radiant eyes. Malar bags also known. Facial Exercises To Reduce Eye Bags.
From www.yogabodymind.co.uk
Eye exercises to ease fatigue, reduce stress and improve eyesight Facial Exercises To Reduce Eye Bags So, when we focus on eye bags in face yoga, we’re looking for techniques that encourage lymphatic drainage, increase blood circulation, and stimulate the flow of energy in. For optimal and maintained results for your eye area, we always suggest doing face yoga exercises, which restores and tones the muscles beneath the skin’s surface. This face yoga class helps to. Facial Exercises To Reduce Eye Bags.
From www.pinterest.com
Face yoga exercises to reduce puffy eyes in 4 minutes Face yoga Facial Exercises To Reduce Eye Bags So, when we focus on eye bags in face yoga, we’re looking for techniques that encourage lymphatic drainage, increase blood circulation, and stimulate the flow of energy in. This face yoga class helps to reduce and. Say goodbye to morning puffiness with simple eye bags exercises. Reduce fluid retention and boost circulation for refreshed, radiant eyes. Wondering how to get. Facial Exercises To Reduce Eye Bags.
From www.youtube.com
1 Simple Exercise to remove Eye Bags, Puffiness Under Eye Bags and Facial Exercises To Reduce Eye Bags For optimal and maintained results for your eye area, we always suggest doing face yoga exercises, which restores and tones the muscles beneath the skin’s surface. Reduce fluid retention and boost circulation for refreshed, radiant eyes. So, when we focus on eye bags in face yoga, we’re looking for techniques that encourage lymphatic drainage, increase blood circulation, and stimulate the. Facial Exercises To Reduce Eye Bags.
From www.pinterest.com
Easy facial exercise to reduce eye wrinkles and lift your brows! Facial Exercises To Reduce Eye Bags Malar bags also known as festoons are a swelling which we often see in the under eye area. Reduce fluid retention and boost circulation for refreshed, radiant eyes. Wondering how to get rid of bags under your eyes? Say goodbye to morning puffiness with simple eye bags exercises. For optimal and maintained results for your eye area, we always suggest. Facial Exercises To Reduce Eye Bags.
From www.youtube.com
1 Minute Exercise To Reduce Eye Wrinkles YouTube Facial Exercises To Reduce Eye Bags Malar bags also known as festoons are a swelling which we often see in the under eye area. So, when we focus on eye bags in face yoga, we’re looking for techniques that encourage lymphatic drainage, increase blood circulation, and stimulate the flow of energy in. For optimal and maintained results for your eye area, we always suggest doing face. Facial Exercises To Reduce Eye Bags.
From facelifts-without-surgery-facetoning.blogspot.com
Facelifts Without Surgery Using Face Yoga Exercises How About These Facial Exercises To Reduce Eye Bags For optimal and maintained results for your eye area, we always suggest doing face yoga exercises, which restores and tones the muscles beneath the skin’s surface. So, when we focus on eye bags in face yoga, we’re looking for techniques that encourage lymphatic drainage, increase blood circulation, and stimulate the flow of energy in. Malar bags also known as festoons. Facial Exercises To Reduce Eye Bags.
From www.pinterest.com
How to treat eye bags in a few minutes Eye bags, Reduce eye bags Facial Exercises To Reduce Eye Bags Malar bags also known as festoons are a swelling which we often see in the under eye area. Reduce fluid retention and boost circulation for refreshed, radiant eyes. This face yoga class helps to reduce and. For optimal and maintained results for your eye area, we always suggest doing face yoga exercises, which restores and tones the muscles beneath the. Facial Exercises To Reduce Eye Bags.
From www.youtube.com
How To Reduce Under Eye Bags Quickly Face Facial Exercises To Reduce Eye Bags This face yoga class helps to reduce and. Malar bags also known as festoons are a swelling which we often see in the under eye area. Reduce fluid retention and boost circulation for refreshed, radiant eyes. Say goodbye to morning puffiness with simple eye bags exercises. So, when we focus on eye bags in face yoga, we’re looking for techniques. Facial Exercises To Reduce Eye Bags.
From kayaworkout.co
Face Yoga Method Under Eye Bags Kayaworkout.co Facial Exercises To Reduce Eye Bags Malar bags also known as festoons are a swelling which we often see in the under eye area. Wondering how to get rid of bags under your eyes? Reduce fluid retention and boost circulation for refreshed, radiant eyes. So, when we focus on eye bags in face yoga, we’re looking for techniques that encourage lymphatic drainage, increase blood circulation, and. Facial Exercises To Reduce Eye Bags.
From facial-exercises-for-natural-facelift.blogspot.com
Facial Exercises To Look Younger What About These Facial Facial Exercises To Reduce Eye Bags Wondering how to get rid of bags under your eyes? So, when we focus on eye bags in face yoga, we’re looking for techniques that encourage lymphatic drainage, increase blood circulation, and stimulate the flow of energy in. Reduce fluid retention and boost circulation for refreshed, radiant eyes. For optimal and maintained results for your eye area, we always suggest. Facial Exercises To Reduce Eye Bags.
From www.youtube.com
These 3 Daily Exercises Will Reduce Eye Bags Face Yoga BiteSize YouTube Facial Exercises To Reduce Eye Bags Wondering how to get rid of bags under your eyes? Malar bags also known as festoons are a swelling which we often see in the under eye area. This face yoga class helps to reduce and. So, when we focus on eye bags in face yoga, we’re looking for techniques that encourage lymphatic drainage, increase blood circulation, and stimulate the. Facial Exercises To Reduce Eye Bags.
From www.pinterest.com
How To Get Rid Of Eye Bags with The Face Yoga Method http Facial Exercises To Reduce Eye Bags For optimal and maintained results for your eye area, we always suggest doing face yoga exercises, which restores and tones the muscles beneath the skin’s surface. Say goodbye to morning puffiness with simple eye bags exercises. So, when we focus on eye bags in face yoga, we’re looking for techniques that encourage lymphatic drainage, increase blood circulation, and stimulate the. Facial Exercises To Reduce Eye Bags.
From www.youtube.com
Yoga For Eye How to reduce under eye bags YouTube Facial Exercises To Reduce Eye Bags Malar bags also known as festoons are a swelling which we often see in the under eye area. For optimal and maintained results for your eye area, we always suggest doing face yoga exercises, which restores and tones the muscles beneath the skin’s surface. Say goodbye to morning puffiness with simple eye bags exercises. So, when we focus on eye. Facial Exercises To Reduce Eye Bags.
From www.youtube.com
Lose Under Eye bags in 7 Days Eye Exercises Eye Wrinkles Puffy Eyes Facial Exercises To Reduce Eye Bags This face yoga class helps to reduce and. So, when we focus on eye bags in face yoga, we’re looking for techniques that encourage lymphatic drainage, increase blood circulation, and stimulate the flow of energy in. Malar bags also known as festoons are a swelling which we often see in the under eye area. Wondering how to get rid of. Facial Exercises To Reduce Eye Bags.
From www.pinterest.com
Facial Toning Secrets The AllHolistic Eye Bag And Lines About The Facial Exercises To Reduce Eye Bags Reduce fluid retention and boost circulation for refreshed, radiant eyes. Wondering how to get rid of bags under your eyes? Malar bags also known as festoons are a swelling which we often see in the under eye area. This face yoga class helps to reduce and. Say goodbye to morning puffiness with simple eye bags exercises. So, when we focus. Facial Exercises To Reduce Eye Bags.