Hyaline Cartilage Microscope . Learn the basic histology of hyaline cartilage with slide images and labeled diagram. Learn about the structure and function of hyaline cartilage, the most common type of cartilage. Find out the cells, fibers, ground substance and identification points of hyaline. Hyaline cartilage is the most widespread type and. Learn about hyaline cartilage, a type of cartilage that forms the smooth surfaces of bones in joints and other structures. Learn about the three types of cartilage: Virtual microscope slides of cartilage (hyaline, elastic, and fibrocartilage), bone (spongy and compact), and bone development. Hyaline cartilage histology describes how hyaline cartilage looks when viewed under a microscope.
from
Virtual microscope slides of cartilage (hyaline, elastic, and fibrocartilage), bone (spongy and compact), and bone development. Learn the basic histology of hyaline cartilage with slide images and labeled diagram. Learn about hyaline cartilage, a type of cartilage that forms the smooth surfaces of bones in joints and other structures. Hyaline cartilage histology describes how hyaline cartilage looks when viewed under a microscope. Learn about the structure and function of hyaline cartilage, the most common type of cartilage. Learn about the three types of cartilage: Hyaline cartilage is the most widespread type and. Find out the cells, fibers, ground substance and identification points of hyaline.
Hyaline Cartilage Microscope Hyaline cartilage is the most widespread type and. Learn about the structure and function of hyaline cartilage, the most common type of cartilage. Hyaline cartilage histology describes how hyaline cartilage looks when viewed under a microscope. Learn the basic histology of hyaline cartilage with slide images and labeled diagram. Find out the cells, fibers, ground substance and identification points of hyaline. Virtual microscope slides of cartilage (hyaline, elastic, and fibrocartilage), bone (spongy and compact), and bone development. Hyaline cartilage is the most widespread type and. Learn about the three types of cartilage: Learn about hyaline cartilage, a type of cartilage that forms the smooth surfaces of bones in joints and other structures.
From
Hyaline Cartilage Microscope Virtual microscope slides of cartilage (hyaline, elastic, and fibrocartilage), bone (spongy and compact), and bone development. Hyaline cartilage is the most widespread type and. Find out the cells, fibers, ground substance and identification points of hyaline. Learn about hyaline cartilage, a type of cartilage that forms the smooth surfaces of bones in joints and other structures. Learn the basic histology. Hyaline Cartilage Microscope.
From fineartamerica.com
Hyaline Cartilage Photograph by M. I. Walker Hyaline Cartilage Microscope Hyaline cartilage is the most widespread type and. Learn about the three types of cartilage: Hyaline cartilage histology describes how hyaline cartilage looks when viewed under a microscope. Find out the cells, fibers, ground substance and identification points of hyaline. Learn about the structure and function of hyaline cartilage, the most common type of cartilage. Virtual microscope slides of cartilage. Hyaline Cartilage Microscope.
From www.sciencephoto.com
LM of a section through hyaline cartilage Stock Image P174/0027 Hyaline Cartilage Microscope Learn about the three types of cartilage: Virtual microscope slides of cartilage (hyaline, elastic, and fibrocartilage), bone (spongy and compact), and bone development. Hyaline cartilage histology describes how hyaline cartilage looks when viewed under a microscope. Hyaline cartilage is the most widespread type and. Learn about the structure and function of hyaline cartilage, the most common type of cartilage. Learn. Hyaline Cartilage Microscope.
From
Hyaline Cartilage Microscope Find out the cells, fibers, ground substance and identification points of hyaline. Hyaline cartilage histology describes how hyaline cartilage looks when viewed under a microscope. Virtual microscope slides of cartilage (hyaline, elastic, and fibrocartilage), bone (spongy and compact), and bone development. Hyaline cartilage is the most widespread type and. Learn the basic histology of hyaline cartilage with slide images and. Hyaline Cartilage Microscope.
From
Hyaline Cartilage Microscope Find out the cells, fibers, ground substance and identification points of hyaline. Hyaline cartilage is the most widespread type and. Learn about the three types of cartilage: Learn the basic histology of hyaline cartilage with slide images and labeled diagram. Learn about hyaline cartilage, a type of cartilage that forms the smooth surfaces of bones in joints and other structures.. Hyaline Cartilage Microscope.
From
Hyaline Cartilage Microscope Virtual microscope slides of cartilage (hyaline, elastic, and fibrocartilage), bone (spongy and compact), and bone development. Learn the basic histology of hyaline cartilage with slide images and labeled diagram. Learn about the structure and function of hyaline cartilage, the most common type of cartilage. Learn about hyaline cartilage, a type of cartilage that forms the smooth surfaces of bones in. Hyaline Cartilage Microscope.
From
Hyaline Cartilage Microscope Virtual microscope slides of cartilage (hyaline, elastic, and fibrocartilage), bone (spongy and compact), and bone development. Find out the cells, fibers, ground substance and identification points of hyaline. Hyaline cartilage is the most widespread type and. Learn about the three types of cartilage: Hyaline cartilage histology describes how hyaline cartilage looks when viewed under a microscope. Learn about the structure. Hyaline Cartilage Microscope.
From
Hyaline Cartilage Microscope Hyaline cartilage histology describes how hyaline cartilage looks when viewed under a microscope. Learn about the three types of cartilage: Find out the cells, fibers, ground substance and identification points of hyaline. Hyaline cartilage is the most widespread type and. Learn about the structure and function of hyaline cartilage, the most common type of cartilage. Virtual microscope slides of cartilage. Hyaline Cartilage Microscope.
From www.alamy.com
Hyaline cartilage microscope hires stock photography and images Alamy Hyaline Cartilage Microscope Learn about hyaline cartilage, a type of cartilage that forms the smooth surfaces of bones in joints and other structures. Virtual microscope slides of cartilage (hyaline, elastic, and fibrocartilage), bone (spongy and compact), and bone development. Hyaline cartilage histology describes how hyaline cartilage looks when viewed under a microscope. Learn the basic histology of hyaline cartilage with slide images and. Hyaline Cartilage Microscope.
From www.vrogue.co
Mammal Hyaline Cartilage Transverse Section 250x Hyal vrogue.co Hyaline Cartilage Microscope Learn about the three types of cartilage: Hyaline cartilage histology describes how hyaline cartilage looks when viewed under a microscope. Learn about the structure and function of hyaline cartilage, the most common type of cartilage. Find out the cells, fibers, ground substance and identification points of hyaline. Learn the basic histology of hyaline cartilage with slide images and labeled diagram.. Hyaline Cartilage Microscope.
From
Hyaline Cartilage Microscope Virtual microscope slides of cartilage (hyaline, elastic, and fibrocartilage), bone (spongy and compact), and bone development. Hyaline cartilage is the most widespread type and. Learn the basic histology of hyaline cartilage with slide images and labeled diagram. Hyaline cartilage histology describes how hyaline cartilage looks when viewed under a microscope. Learn about the structure and function of hyaline cartilage, the. Hyaline Cartilage Microscope.
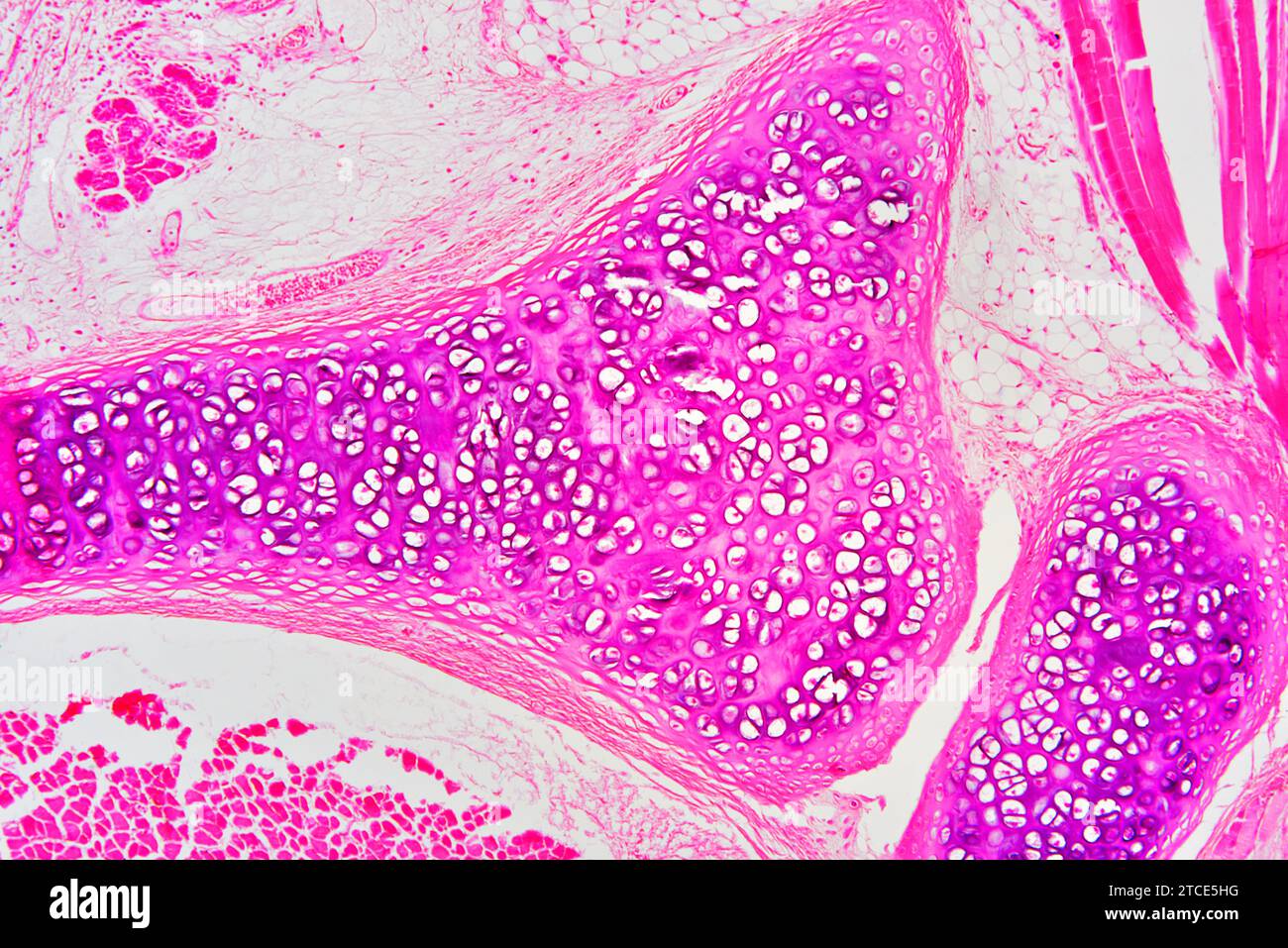
From www.alamy.com
Hyaline cartilage microscope hires stock photography and images Alamy Hyaline Cartilage Microscope Hyaline cartilage histology describes how hyaline cartilage looks when viewed under a microscope. Virtual microscope slides of cartilage (hyaline, elastic, and fibrocartilage), bone (spongy and compact), and bone development. Learn about hyaline cartilage, a type of cartilage that forms the smooth surfaces of bones in joints and other structures. Learn about the structure and function of hyaline cartilage, the most. Hyaline Cartilage Microscope.
From
Hyaline Cartilage Microscope Virtual microscope slides of cartilage (hyaline, elastic, and fibrocartilage), bone (spongy and compact), and bone development. Learn the basic histology of hyaline cartilage with slide images and labeled diagram. Hyaline cartilage histology describes how hyaline cartilage looks when viewed under a microscope. Find out the cells, fibers, ground substance and identification points of hyaline. Hyaline cartilage is the most widespread. Hyaline Cartilage Microscope.
From
Hyaline Cartilage Microscope Virtual microscope slides of cartilage (hyaline, elastic, and fibrocartilage), bone (spongy and compact), and bone development. Learn about hyaline cartilage, a type of cartilage that forms the smooth surfaces of bones in joints and other structures. Hyaline cartilage histology describes how hyaline cartilage looks when viewed under a microscope. Hyaline cartilage is the most widespread type and. Learn the basic. Hyaline Cartilage Microscope.
From
Hyaline Cartilage Microscope Learn about hyaline cartilage, a type of cartilage that forms the smooth surfaces of bones in joints and other structures. Virtual microscope slides of cartilage (hyaline, elastic, and fibrocartilage), bone (spongy and compact), and bone development. Learn the basic histology of hyaline cartilage with slide images and labeled diagram. Hyaline cartilage histology describes how hyaline cartilage looks when viewed under. Hyaline Cartilage Microscope.
From medcell.org
Hyaline Cartilage Hyaline Cartilage Microscope Virtual microscope slides of cartilage (hyaline, elastic, and fibrocartilage), bone (spongy and compact), and bone development. Hyaline cartilage histology describes how hyaline cartilage looks when viewed under a microscope. Learn about hyaline cartilage, a type of cartilage that forms the smooth surfaces of bones in joints and other structures. Hyaline cartilage is the most widespread type and. Learn the basic. Hyaline Cartilage Microscope.
From www.carolina.com
Human Hyaline Cartilage, sec. 7 µm H&E Microscope Slide Hyaline Cartilage Microscope Hyaline cartilage histology describes how hyaline cartilage looks when viewed under a microscope. Virtual microscope slides of cartilage (hyaline, elastic, and fibrocartilage), bone (spongy and compact), and bone development. Learn about the structure and function of hyaline cartilage, the most common type of cartilage. Learn about hyaline cartilage, a type of cartilage that forms the smooth surfaces of bones in. Hyaline Cartilage Microscope.
From histologyolm.stevegallik.org
Hyaline Cartilage Hyaline Cartilage Microscope Learn about the structure and function of hyaline cartilage, the most common type of cartilage. Learn the basic histology of hyaline cartilage with slide images and labeled diagram. Find out the cells, fibers, ground substance and identification points of hyaline. Virtual microscope slides of cartilage (hyaline, elastic, and fibrocartilage), bone (spongy and compact), and bone development. Learn about the three. Hyaline Cartilage Microscope.
From
Hyaline Cartilage Microscope Learn about hyaline cartilage, a type of cartilage that forms the smooth surfaces of bones in joints and other structures. Virtual microscope slides of cartilage (hyaline, elastic, and fibrocartilage), bone (spongy and compact), and bone development. Find out the cells, fibers, ground substance and identification points of hyaline. Hyaline cartilage is the most widespread type and. Learn the basic histology. Hyaline Cartilage Microscope.
From
Hyaline Cartilage Microscope Learn about the structure and function of hyaline cartilage, the most common type of cartilage. Hyaline cartilage is the most widespread type and. Learn about the three types of cartilage: Virtual microscope slides of cartilage (hyaline, elastic, and fibrocartilage), bone (spongy and compact), and bone development. Learn about hyaline cartilage, a type of cartilage that forms the smooth surfaces of. Hyaline Cartilage Microscope.
From
Hyaline Cartilage Microscope Hyaline cartilage histology describes how hyaline cartilage looks when viewed under a microscope. Virtual microscope slides of cartilage (hyaline, elastic, and fibrocartilage), bone (spongy and compact), and bone development. Learn about the structure and function of hyaline cartilage, the most common type of cartilage. Learn the basic histology of hyaline cartilage with slide images and labeled diagram. Find out the. Hyaline Cartilage Microscope.
From
Hyaline Cartilage Microscope Virtual microscope slides of cartilage (hyaline, elastic, and fibrocartilage), bone (spongy and compact), and bone development. Hyaline cartilage is the most widespread type and. Learn about the three types of cartilage: Hyaline cartilage histology describes how hyaline cartilage looks when viewed under a microscope. Find out the cells, fibers, ground substance and identification points of hyaline. Learn about hyaline cartilage,. Hyaline Cartilage Microscope.
From
Hyaline Cartilage Microscope Hyaline cartilage histology describes how hyaline cartilage looks when viewed under a microscope. Learn about the three types of cartilage: Learn about hyaline cartilage, a type of cartilage that forms the smooth surfaces of bones in joints and other structures. Find out the cells, fibers, ground substance and identification points of hyaline. Hyaline cartilage is the most widespread type and.. Hyaline Cartilage Microscope.
From www.alamy.com
Hyaline cartilage from trachea showing chondrocytes, collagen fibers Hyaline Cartilage Microscope Learn the basic histology of hyaline cartilage with slide images and labeled diagram. Learn about hyaline cartilage, a type of cartilage that forms the smooth surfaces of bones in joints and other structures. Learn about the structure and function of hyaline cartilage, the most common type of cartilage. Find out the cells, fibers, ground substance and identification points of hyaline.. Hyaline Cartilage Microscope.
From
Hyaline Cartilage Microscope Learn about the structure and function of hyaline cartilage, the most common type of cartilage. Virtual microscope slides of cartilage (hyaline, elastic, and fibrocartilage), bone (spongy and compact), and bone development. Hyaline cartilage histology describes how hyaline cartilage looks when viewed under a microscope. Hyaline cartilage is the most widespread type and. Learn the basic histology of hyaline cartilage with. Hyaline Cartilage Microscope.
From
Hyaline Cartilage Microscope Find out the cells, fibers, ground substance and identification points of hyaline. Learn about the three types of cartilage: Learn about the structure and function of hyaline cartilage, the most common type of cartilage. Learn about hyaline cartilage, a type of cartilage that forms the smooth surfaces of bones in joints and other structures. Hyaline cartilage is the most widespread. Hyaline Cartilage Microscope.
From
Hyaline Cartilage Microscope Learn about hyaline cartilage, a type of cartilage that forms the smooth surfaces of bones in joints and other structures. Learn about the structure and function of hyaline cartilage, the most common type of cartilage. Hyaline cartilage histology describes how hyaline cartilage looks when viewed under a microscope. Learn the basic histology of hyaline cartilage with slide images and labeled. Hyaline Cartilage Microscope.
From www.pinterest.com
Hyaline Cartilage Microscope image Biology facts, Medical student Hyaline Cartilage Microscope Hyaline cartilage is the most widespread type and. Learn about the three types of cartilage: Hyaline cartilage histology describes how hyaline cartilage looks when viewed under a microscope. Virtual microscope slides of cartilage (hyaline, elastic, and fibrocartilage), bone (spongy and compact), and bone development. Learn about hyaline cartilage, a type of cartilage that forms the smooth surfaces of bones in. Hyaline Cartilage Microscope.
From
Hyaline Cartilage Microscope Find out the cells, fibers, ground substance and identification points of hyaline. Learn about the structure and function of hyaline cartilage, the most common type of cartilage. Learn about hyaline cartilage, a type of cartilage that forms the smooth surfaces of bones in joints and other structures. Learn the basic histology of hyaline cartilage with slide images and labeled diagram.. Hyaline Cartilage Microscope.
From
Hyaline Cartilage Microscope Learn about hyaline cartilage, a type of cartilage that forms the smooth surfaces of bones in joints and other structures. Learn about the structure and function of hyaline cartilage, the most common type of cartilage. Find out the cells, fibers, ground substance and identification points of hyaline. Hyaline cartilage is the most widespread type and. Virtual microscope slides of cartilage. Hyaline Cartilage Microscope.
From
Hyaline Cartilage Microscope Find out the cells, fibers, ground substance and identification points of hyaline. Learn about hyaline cartilage, a type of cartilage that forms the smooth surfaces of bones in joints and other structures. Hyaline cartilage histology describes how hyaline cartilage looks when viewed under a microscope. Hyaline cartilage is the most widespread type and. Learn about the structure and function of. Hyaline Cartilage Microscope.
From
Hyaline Cartilage Microscope Find out the cells, fibers, ground substance and identification points of hyaline. Learn the basic histology of hyaline cartilage with slide images and labeled diagram. Hyaline cartilage is the most widespread type and. Learn about the three types of cartilage: Learn about the structure and function of hyaline cartilage, the most common type of cartilage. Virtual microscope slides of cartilage. Hyaline Cartilage Microscope.
From www.dreamstime.com
Human Hyaline Cartilage Bone Under Microscope View for Education Hyaline Cartilage Microscope Learn about the structure and function of hyaline cartilage, the most common type of cartilage. Virtual microscope slides of cartilage (hyaline, elastic, and fibrocartilage), bone (spongy and compact), and bone development. Hyaline cartilage is the most widespread type and. Learn the basic histology of hyaline cartilage with slide images and labeled diagram. Hyaline cartilage histology describes how hyaline cartilage looks. Hyaline Cartilage Microscope.
From mavink.com
Hyaline Cartilage Histology Slide Hyaline Cartilage Microscope Find out the cells, fibers, ground substance and identification points of hyaline. Learn about the three types of cartilage: Hyaline cartilage is the most widespread type and. Learn the basic histology of hyaline cartilage with slide images and labeled diagram. Virtual microscope slides of cartilage (hyaline, elastic, and fibrocartilage), bone (spongy and compact), and bone development. Learn about the structure. Hyaline Cartilage Microscope.
From
Hyaline Cartilage Microscope Learn about the structure and function of hyaline cartilage, the most common type of cartilage. Learn about hyaline cartilage, a type of cartilage that forms the smooth surfaces of bones in joints and other structures. Learn the basic histology of hyaline cartilage with slide images and labeled diagram. Find out the cells, fibers, ground substance and identification points of hyaline.. Hyaline Cartilage Microscope.