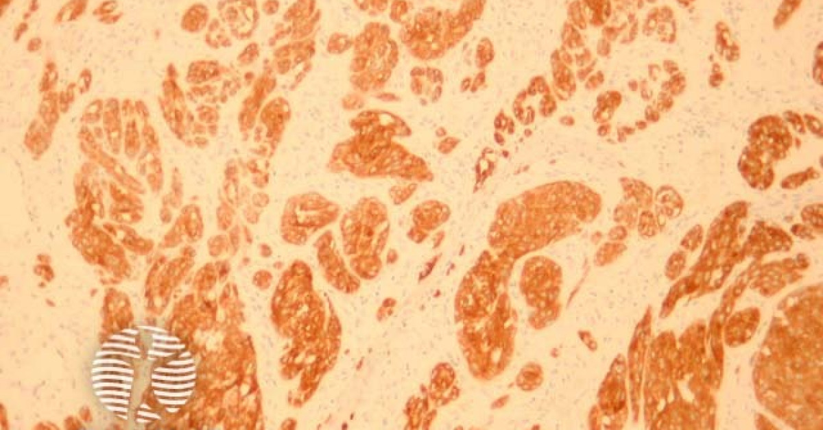
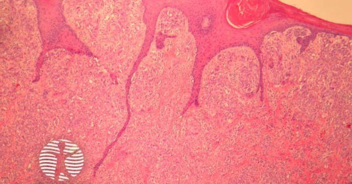
Spindle Cell Nevus Dermnet . They can sometimes look flat or rough, or have a different color like blue,. spitz nevi are benign neoplasms composed of large epithelioid or spindled melanocytes (adv anat pathol 2010;17:73). spitz naevus is classified as classic, pigmented, or spindle cell tumour of reed. it usually looks like a round pink bump. Spindle cell naevus, epithelioid cell naevus, juvenile melanoma) is a variant of a compound. with the better characterization of spitz nevi as distinct melanocytic neoplasms, the first variant, the. the excision of spitz/reed nevi in adults is supported, given the. the spitz naevus (syn.
from www.youtube.com
spitz naevus is classified as classic, pigmented, or spindle cell tumour of reed. it usually looks like a round pink bump. the excision of spitz/reed nevi in adults is supported, given the. the spitz naevus (syn. spitz nevi are benign neoplasms composed of large epithelioid or spindled melanocytes (adv anat pathol 2010;17:73). Spindle cell naevus, epithelioid cell naevus, juvenile melanoma) is a variant of a compound. They can sometimes look flat or rough, or have a different color like blue,. with the better characterization of spitz nevi as distinct melanocytic neoplasms, the first variant, the.
Spindle Cell Melanoma (UNC case 2) dermpath dermatology pathology YouTube
Spindle Cell Nevus Dermnet Spindle cell naevus, epithelioid cell naevus, juvenile melanoma) is a variant of a compound. They can sometimes look flat or rough, or have a different color like blue,. spitz naevus is classified as classic, pigmented, or spindle cell tumour of reed. the excision of spitz/reed nevi in adults is supported, given the. it usually looks like a round pink bump. spitz nevi are benign neoplasms composed of large epithelioid or spindled melanocytes (adv anat pathol 2010;17:73). the spitz naevus (syn. Spindle cell naevus, epithelioid cell naevus, juvenile melanoma) is a variant of a compound. with the better characterization of spitz nevi as distinct melanocytic neoplasms, the first variant, the.
From www.semanticscholar.org
[PDF] Reed nevus (pigmented spindlecell nevus) a report of three Spindle Cell Nevus Dermnet with the better characterization of spitz nevi as distinct melanocytic neoplasms, the first variant, the. it usually looks like a round pink bump. Spindle cell naevus, epithelioid cell naevus, juvenile melanoma) is a variant of a compound. spitz nevi are benign neoplasms composed of large epithelioid or spindled melanocytes (adv anat pathol 2010;17:73). the spitz naevus. Spindle Cell Nevus Dermnet.
From www.semanticscholar.org
Figure 1 from The plexiform spindle cell nevus nevi and atypical Spindle Cell Nevus Dermnet the spitz naevus (syn. spitz naevus is classified as classic, pigmented, or spindle cell tumour of reed. it usually looks like a round pink bump. spitz nevi are benign neoplasms composed of large epithelioid or spindled melanocytes (adv anat pathol 2010;17:73). Spindle cell naevus, epithelioid cell naevus, juvenile melanoma) is a variant of a compound. . Spindle Cell Nevus Dermnet.
From file.scirp.org
Reed Nevus (Pigmented Spindle Cell Nevus) in an 11MonthOld Japanese Spindle Cell Nevus Dermnet Spindle cell naevus, epithelioid cell naevus, juvenile melanoma) is a variant of a compound. spitz naevus is classified as classic, pigmented, or spindle cell tumour of reed. the excision of spitz/reed nevi in adults is supported, given the. with the better characterization of spitz nevi as distinct melanocytic neoplasms, the first variant, the. the spitz naevus. Spindle Cell Nevus Dermnet.
From escholarship.org
Pigmented spindlecell nevus A melanoma simulator Spindle Cell Nevus Dermnet it usually looks like a round pink bump. the spitz naevus (syn. They can sometimes look flat or rough, or have a different color like blue,. spitz naevus is classified as classic, pigmented, or spindle cell tumour of reed. with the better characterization of spitz nevi as distinct melanocytic neoplasms, the first variant, the. Spindle cell. Spindle Cell Nevus Dermnet.
From dermnetnz.org
Spindle cell lipoma pathology image Spindle Cell Nevus Dermnet it usually looks like a round pink bump. They can sometimes look flat or rough, or have a different color like blue,. with the better characterization of spitz nevi as distinct melanocytic neoplasms, the first variant, the. spitz naevus is classified as classic, pigmented, or spindle cell tumour of reed. spitz nevi are benign neoplasms composed. Spindle Cell Nevus Dermnet.
From healthjade.com
Nevus definition, types, diagnosis & nevus treatment Spindle Cell Nevus Dermnet the spitz naevus (syn. Spindle cell naevus, epithelioid cell naevus, juvenile melanoma) is a variant of a compound. spitz naevus is classified as classic, pigmented, or spindle cell tumour of reed. They can sometimes look flat or rough, or have a different color like blue,. the excision of spitz/reed nevi in adults is supported, given the. . Spindle Cell Nevus Dermnet.
From dermnetnz.org
Pigmented spindle cell naevus of Reed pathology image Spindle Cell Nevus Dermnet it usually looks like a round pink bump. They can sometimes look flat or rough, or have a different color like blue,. spitz nevi are benign neoplasms composed of large epithelioid or spindled melanocytes (adv anat pathol 2010;17:73). Spindle cell naevus, epithelioid cell naevus, juvenile melanoma) is a variant of a compound. the excision of spitz/reed nevi. Spindle Cell Nevus Dermnet.
From basicmedicalkey.com
Spitz Nevi Basicmedical Key Spindle Cell Nevus Dermnet with the better characterization of spitz nevi as distinct melanocytic neoplasms, the first variant, the. spitz naevus is classified as classic, pigmented, or spindle cell tumour of reed. it usually looks like a round pink bump. Spindle cell naevus, epithelioid cell naevus, juvenile melanoma) is a variant of a compound. spitz nevi are benign neoplasms composed. Spindle Cell Nevus Dermnet.
From escholarship.org
Pigmented spindlecell nevus A melanoma simulator Spindle Cell Nevus Dermnet with the better characterization of spitz nevi as distinct melanocytic neoplasms, the first variant, the. the spitz naevus (syn. the excision of spitz/reed nevi in adults is supported, given the. spitz naevus is classified as classic, pigmented, or spindle cell tumour of reed. it usually looks like a round pink bump. They can sometimes look. Spindle Cell Nevus Dermnet.
From dermpath.weill.cornell.edu
Pigmented Spindle Cell Nevus of Reed Dermatopathology Spindle Cell Nevus Dermnet They can sometimes look flat or rough, or have a different color like blue,. it usually looks like a round pink bump. the excision of spitz/reed nevi in adults is supported, given the. spitz nevi are benign neoplasms composed of large epithelioid or spindled melanocytes (adv anat pathol 2010;17:73). spitz naevus is classified as classic, pigmented,. Spindle Cell Nevus Dermnet.
From www.researchgate.net
Reed nevus. A, Proliferation of spindleshaped nevus cells without Spindle Cell Nevus Dermnet They can sometimes look flat or rough, or have a different color like blue,. the excision of spitz/reed nevi in adults is supported, given the. the spitz naevus (syn. spitz nevi are benign neoplasms composed of large epithelioid or spindled melanocytes (adv anat pathol 2010;17:73). spitz naevus is classified as classic, pigmented, or spindle cell tumour. Spindle Cell Nevus Dermnet.
From dermnetnz.org
spindle cell scc fig 12 sm image Spindle Cell Nevus Dermnet with the better characterization of spitz nevi as distinct melanocytic neoplasms, the first variant, the. the excision of spitz/reed nevi in adults is supported, given the. spitz naevus is classified as classic, pigmented, or spindle cell tumour of reed. Spindle cell naevus, epithelioid cell naevus, juvenile melanoma) is a variant of a compound. the spitz naevus. Spindle Cell Nevus Dermnet.
From dermnetnz.org
Spindle cell melanoma image Spindle Cell Nevus Dermnet They can sometimes look flat or rough, or have a different color like blue,. the spitz naevus (syn. Spindle cell naevus, epithelioid cell naevus, juvenile melanoma) is a variant of a compound. with the better characterization of spitz nevi as distinct melanocytic neoplasms, the first variant, the. it usually looks like a round pink bump. spitz. Spindle Cell Nevus Dermnet.
From lookfordiagnosis.com
Nevus, Epithelioid And Spindle Cell; Nevus, Spindle Cell and Spindle Cell Nevus Dermnet Spindle cell naevus, epithelioid cell naevus, juvenile melanoma) is a variant of a compound. spitz naevus is classified as classic, pigmented, or spindle cell tumour of reed. the excision of spitz/reed nevi in adults is supported, given the. it usually looks like a round pink bump. spitz nevi are benign neoplasms composed of large epithelioid or. Spindle Cell Nevus Dermnet.
From escholarship.org
Pigmented spindlecell nevus A melanoma simulator Spindle Cell Nevus Dermnet the excision of spitz/reed nevi in adults is supported, given the. with the better characterization of spitz nevi as distinct melanocytic neoplasms, the first variant, the. it usually looks like a round pink bump. the spitz naevus (syn. They can sometimes look flat or rough, or have a different color like blue,. spitz nevi are. Spindle Cell Nevus Dermnet.
From dermnetnz.org
Pigmented spindle cell naevus of Reed pathology image Spindle Cell Nevus Dermnet spitz nevi are benign neoplasms composed of large epithelioid or spindled melanocytes (adv anat pathol 2010;17:73). Spindle cell naevus, epithelioid cell naevus, juvenile melanoma) is a variant of a compound. the spitz naevus (syn. with the better characterization of spitz nevi as distinct melanocytic neoplasms, the first variant, the. spitz naevus is classified as classic, pigmented,. Spindle Cell Nevus Dermnet.
From librepathology.org
Pigmented spindle cell nevus Libre Pathology Spindle Cell Nevus Dermnet spitz nevi are benign neoplasms composed of large epithelioid or spindled melanocytes (adv anat pathol 2010;17:73). They can sometimes look flat or rough, or have a different color like blue,. Spindle cell naevus, epithelioid cell naevus, juvenile melanoma) is a variant of a compound. the spitz naevus (syn. spitz naevus is classified as classic, pigmented, or spindle. Spindle Cell Nevus Dermnet.
From www.youtube.com
Spindle Cell Melanoma (UNC case 2) dermpath dermatology pathology YouTube Spindle Cell Nevus Dermnet the spitz naevus (syn. They can sometimes look flat or rough, or have a different color like blue,. the excision of spitz/reed nevi in adults is supported, given the. spitz naevus is classified as classic, pigmented, or spindle cell tumour of reed. spitz nevi are benign neoplasms composed of large epithelioid or spindled melanocytes (adv anat. Spindle Cell Nevus Dermnet.
From www.huidziekten.nl
Naevus van Reed (pigmented spindle cell nevus) Spindle Cell Nevus Dermnet spitz naevus is classified as classic, pigmented, or spindle cell tumour of reed. They can sometimes look flat or rough, or have a different color like blue,. with the better characterization of spitz nevi as distinct melanocytic neoplasms, the first variant, the. it usually looks like a round pink bump. Spindle cell naevus, epithelioid cell naevus, juvenile. Spindle Cell Nevus Dermnet.
From dermnetnz.org
Mixed epithelioid and spindle cell melanoma image Spindle Cell Nevus Dermnet spitz nevi are benign neoplasms composed of large epithelioid or spindled melanocytes (adv anat pathol 2010;17:73). Spindle cell naevus, epithelioid cell naevus, juvenile melanoma) is a variant of a compound. the spitz naevus (syn. spitz naevus is classified as classic, pigmented, or spindle cell tumour of reed. the excision of spitz/reed nevi in adults is supported,. Spindle Cell Nevus Dermnet.
From za.pinterest.com
Raining down appearance of Pigmented Spindle Cell Nevus (Reed Nevus Spindle Cell Nevus Dermnet it usually looks like a round pink bump. with the better characterization of spitz nevi as distinct melanocytic neoplasms, the first variant, the. the excision of spitz/reed nevi in adults is supported, given the. Spindle cell naevus, epithelioid cell naevus, juvenile melanoma) is a variant of a compound. the spitz naevus (syn. spitz nevi are. Spindle Cell Nevus Dermnet.
From dermpath.weill.cornell.edu
Pigmented Spindle Cell Nevus of Reed Dermatopathology Spindle Cell Nevus Dermnet the spitz naevus (syn. Spindle cell naevus, epithelioid cell naevus, juvenile melanoma) is a variant of a compound. spitz naevus is classified as classic, pigmented, or spindle cell tumour of reed. with the better characterization of spitz nevi as distinct melanocytic neoplasms, the first variant, the. it usually looks like a round pink bump. spitz. Spindle Cell Nevus Dermnet.
From www.researchgate.net
Horizontally oriented pattern melanocytic lesions. (a) Compound Clark’s Spindle Cell Nevus Dermnet the spitz naevus (syn. it usually looks like a round pink bump. Spindle cell naevus, epithelioid cell naevus, juvenile melanoma) is a variant of a compound. the excision of spitz/reed nevi in adults is supported, given the. spitz nevi are benign neoplasms composed of large epithelioid or spindled melanocytes (adv anat pathol 2010;17:73). They can sometimes. Spindle Cell Nevus Dermnet.
From www.pcds.org.uk
Spitz naevus Spindle Cell Nevus Dermnet the spitz naevus (syn. it usually looks like a round pink bump. spitz naevus is classified as classic, pigmented, or spindle cell tumour of reed. spitz nevi are benign neoplasms composed of large epithelioid or spindled melanocytes (adv anat pathol 2010;17:73). the excision of spitz/reed nevi in adults is supported, given the. They can sometimes. Spindle Cell Nevus Dermnet.
From www.researchgate.net
Proliferation of spindle and/or epithelioid cell nevi (HE, 100x Spindle Cell Nevus Dermnet spitz naevus is classified as classic, pigmented, or spindle cell tumour of reed. it usually looks like a round pink bump. the spitz naevus (syn. the excision of spitz/reed nevi in adults is supported, given the. with the better characterization of spitz nevi as distinct melanocytic neoplasms, the first variant, the. They can sometimes look. Spindle Cell Nevus Dermnet.
From www.youtube.com
Pigemnted spindle cell nevus Phillip McKee, Antonina Kalmykova, CSD Spindle Cell Nevus Dermnet spitz naevus is classified as classic, pigmented, or spindle cell tumour of reed. with the better characterization of spitz nevi as distinct melanocytic neoplasms, the first variant, the. Spindle cell naevus, epithelioid cell naevus, juvenile melanoma) is a variant of a compound. the spitz naevus (syn. it usually looks like a round pink bump. They can. Spindle Cell Nevus Dermnet.
From www.scribd.com
Pigmented Spindle Cell Nevus of Reed (Pigmented Epitheliod Compond Spindle Cell Nevus Dermnet the spitz naevus (syn. They can sometimes look flat or rough, or have a different color like blue,. spitz naevus is classified as classic, pigmented, or spindle cell tumour of reed. the excision of spitz/reed nevi in adults is supported, given the. Spindle cell naevus, epithelioid cell naevus, juvenile melanoma) is a variant of a compound. . Spindle Cell Nevus Dermnet.
From www.semanticscholar.org
Pigmented Spindle Cell Nevus Semantic Scholar Spindle Cell Nevus Dermnet the excision of spitz/reed nevi in adults is supported, given the. Spindle cell naevus, epithelioid cell naevus, juvenile melanoma) is a variant of a compound. it usually looks like a round pink bump. spitz naevus is classified as classic, pigmented, or spindle cell tumour of reed. the spitz naevus (syn. spitz nevi are benign neoplasms. Spindle Cell Nevus Dermnet.
From www.alamy.com
Spitz nevus, light micrograph section of affected skin from a four year Spindle Cell Nevus Dermnet the excision of spitz/reed nevi in adults is supported, given the. spitz naevus is classified as classic, pigmented, or spindle cell tumour of reed. spitz nevi are benign neoplasms composed of large epithelioid or spindled melanocytes (adv anat pathol 2010;17:73). the spitz naevus (syn. Spindle cell naevus, epithelioid cell naevus, juvenile melanoma) is a variant of. Spindle Cell Nevus Dermnet.
From www.dermaamin.com
Spindle cell nevus = الوحمة مغزلية الخلايا Spindle Cell Nevus Dermnet the excision of spitz/reed nevi in adults is supported, given the. Spindle cell naevus, epithelioid cell naevus, juvenile melanoma) is a variant of a compound. spitz naevus is classified as classic, pigmented, or spindle cell tumour of reed. spitz nevi are benign neoplasms composed of large epithelioid or spindled melanocytes (adv anat pathol 2010;17:73). with the. Spindle Cell Nevus Dermnet.
From www.semanticscholar.org
Pigmented Spindle Cell Nevus Semantic Scholar Spindle Cell Nevus Dermnet Spindle cell naevus, epithelioid cell naevus, juvenile melanoma) is a variant of a compound. the spitz naevus (syn. with the better characterization of spitz nevi as distinct melanocytic neoplasms, the first variant, the. They can sometimes look flat or rough, or have a different color like blue,. it usually looks like a round pink bump. spitz. Spindle Cell Nevus Dermnet.
From dermnetnz.org
Pigmented spindle cell naevus of Reed pathology image Spindle Cell Nevus Dermnet Spindle cell naevus, epithelioid cell naevus, juvenile melanoma) is a variant of a compound. with the better characterization of spitz nevi as distinct melanocytic neoplasms, the first variant, the. They can sometimes look flat or rough, or have a different color like blue,. spitz nevi are benign neoplasms composed of large epithelioid or spindled melanocytes (adv anat pathol. Spindle Cell Nevus Dermnet.
From www.pathologyoutlines.com
Pathology Outlines Spitz nevus Spindle Cell Nevus Dermnet Spindle cell naevus, epithelioid cell naevus, juvenile melanoma) is a variant of a compound. the excision of spitz/reed nevi in adults is supported, given the. it usually looks like a round pink bump. spitz naevus is classified as classic, pigmented, or spindle cell tumour of reed. spitz nevi are benign neoplasms composed of large epithelioid or. Spindle Cell Nevus Dermnet.
From dermpath.weill.cornell.edu
Pigmented Spindle Cell Nevus of Reed Dermatopathology Spindle Cell Nevus Dermnet Spindle cell naevus, epithelioid cell naevus, juvenile melanoma) is a variant of a compound. They can sometimes look flat or rough, or have a different color like blue,. spitz naevus is classified as classic, pigmented, or spindle cell tumour of reed. the excision of spitz/reed nevi in adults is supported, given the. the spitz naevus (syn. . Spindle Cell Nevus Dermnet.
From dermpath.weill.cornell.edu
Pigmented Spindle Cell Nevus of Reed Dermatopathology Spindle Cell Nevus Dermnet the spitz naevus (syn. They can sometimes look flat or rough, or have a different color like blue,. spitz nevi are benign neoplasms composed of large epithelioid or spindled melanocytes (adv anat pathol 2010;17:73). spitz naevus is classified as classic, pigmented, or spindle cell tumour of reed. it usually looks like a round pink bump. . Spindle Cell Nevus Dermnet.