Supracondylar Fracture X Ray Lines . The anterior humeral line doesn't. Despite evolutions in the evaluation and treatment. Learn how to classify, manage and follow up supracondylar fractures of the humerus in children, using the gartland system. Learn how to classify supracondylar fractures in pediatric patients using the gartland system, which has four types based on the degree of displacement and periosteal. Supracondylar fracture is seen on lateral radiograph with mild posterior displacement. Learn about the diagnosis and treatment of supracondylar fractures in children, a common elbow injury from a fall on an outstretched hand. Radiographic parameters are commonly used to determine the need for surgical supracondylar humeral (sch) fracture reduction. Supracondylar fractures of the humerus account for up to 18% of pediatric fractures and 60% of elbow fractures. Learn about the definition, mechanism, epidemiology, physical exam, and imaging of supracondylar fractures, a common type of elbow fracture in children.
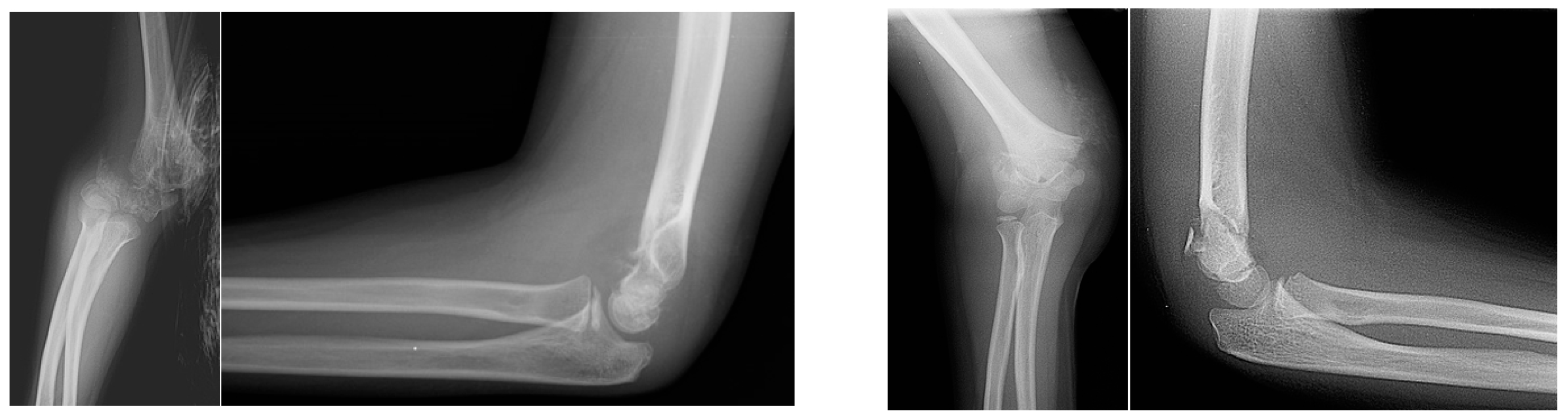
from www.mdpi.com
The anterior humeral line doesn't. Learn how to classify supracondylar fractures in pediatric patients using the gartland system, which has four types based on the degree of displacement and periosteal. Despite evolutions in the evaluation and treatment. Supracondylar fractures of the humerus account for up to 18% of pediatric fractures and 60% of elbow fractures. Learn about the definition, mechanism, epidemiology, physical exam, and imaging of supracondylar fractures, a common type of elbow fracture in children. Learn about the diagnosis and treatment of supracondylar fractures in children, a common elbow injury from a fall on an outstretched hand. Learn how to classify, manage and follow up supracondylar fractures of the humerus in children, using the gartland system. Supracondylar fracture is seen on lateral radiograph with mild posterior displacement. Radiographic parameters are commonly used to determine the need for surgical supracondylar humeral (sch) fracture reduction.
Surgical Techniques Development Free FullText Pediatric
Supracondylar Fracture X Ray Lines Learn about the definition, mechanism, epidemiology, physical exam, and imaging of supracondylar fractures, a common type of elbow fracture in children. Supracondylar fracture is seen on lateral radiograph with mild posterior displacement. The anterior humeral line doesn't. Learn how to classify supracondylar fractures in pediatric patients using the gartland system, which has four types based on the degree of displacement and periosteal. Learn how to classify, manage and follow up supracondylar fractures of the humerus in children, using the gartland system. Supracondylar fractures of the humerus account for up to 18% of pediatric fractures and 60% of elbow fractures. Radiographic parameters are commonly used to determine the need for surgical supracondylar humeral (sch) fracture reduction. Despite evolutions in the evaluation and treatment. Learn about the diagnosis and treatment of supracondylar fractures in children, a common elbow injury from a fall on an outstretched hand. Learn about the definition, mechanism, epidemiology, physical exam, and imaging of supracondylar fractures, a common type of elbow fracture in children.
From www.casestacks.com
Case 1 Supracondylar Fracture X Ray Lines Learn about the diagnosis and treatment of supracondylar fractures in children, a common elbow injury from a fall on an outstretched hand. Supracondylar fracture is seen on lateral radiograph with mild posterior displacement. Supracondylar fractures of the humerus account for up to 18% of pediatric fractures and 60% of elbow fractures. Despite evolutions in the evaluation and treatment. Learn about. Supracondylar Fracture X Ray Lines.
From www.researchgate.net
Supracondylar fracture Gartland 1. Download Scientific Diagram Supracondylar Fracture X Ray Lines Supracondylar fracture is seen on lateral radiograph with mild posterior displacement. Learn how to classify supracondylar fractures in pediatric patients using the gartland system, which has four types based on the degree of displacement and periosteal. Radiographic parameters are commonly used to determine the need for surgical supracondylar humeral (sch) fracture reduction. The anterior humeral line doesn't. Learn about the. Supracondylar Fracture X Ray Lines.
From www.cureus.com
Cureus Epidemiological Analysis of Displaced Supracondylar Fractures Supracondylar Fracture X Ray Lines The anterior humeral line doesn't. Radiographic parameters are commonly used to determine the need for surgical supracondylar humeral (sch) fracture reduction. Supracondylar fracture is seen on lateral radiograph with mild posterior displacement. Despite evolutions in the evaluation and treatment. Learn how to classify, manage and follow up supracondylar fractures of the humerus in children, using the gartland system. Supracondylar fractures. Supracondylar Fracture X Ray Lines.
From www.researchgate.net
Xray showing Gartland type III supracondylar fracture of the humerus Supracondylar Fracture X Ray Lines Supracondylar fracture is seen on lateral radiograph with mild posterior displacement. The anterior humeral line doesn't. Learn how to classify, manage and follow up supracondylar fractures of the humerus in children, using the gartland system. Radiographic parameters are commonly used to determine the need for surgical supracondylar humeral (sch) fracture reduction. Supracondylar fractures of the humerus account for up to. Supracondylar Fracture X Ray Lines.
From www.lecturio.com
Supracondylar Fracture Concise Medical Knowledge Supracondylar Fracture X Ray Lines Learn how to classify, manage and follow up supracondylar fractures of the humerus in children, using the gartland system. Learn how to classify supracondylar fractures in pediatric patients using the gartland system, which has four types based on the degree of displacement and periosteal. Despite evolutions in the evaluation and treatment. Supracondylar fractures of the humerus account for up to. Supracondylar Fracture X Ray Lines.
From www.orthobullets.com
Supracondylar Fracture Pediatric Pediatrics Orthobullets Supracondylar Fracture X Ray Lines Supracondylar fractures of the humerus account for up to 18% of pediatric fractures and 60% of elbow fractures. Learn how to classify, manage and follow up supracondylar fractures of the humerus in children, using the gartland system. Learn about the definition, mechanism, epidemiology, physical exam, and imaging of supracondylar fractures, a common type of elbow fracture in children. Supracondylar fracture. Supracondylar Fracture X Ray Lines.
From www.orthobullets.com
Supracondylar Fracture Pediatric Pediatrics Orthobullets Supracondylar Fracture X Ray Lines The anterior humeral line doesn't. Despite evolutions in the evaluation and treatment. Learn about the definition, mechanism, epidemiology, physical exam, and imaging of supracondylar fractures, a common type of elbow fracture in children. Supracondylar fracture is seen on lateral radiograph with mild posterior displacement. Radiographic parameters are commonly used to determine the need for surgical supracondylar humeral (sch) fracture reduction.. Supracondylar Fracture X Ray Lines.
From cartoondealer.com
Supracondylar Humerus Fracture RoyaltyFree Stock Photography Supracondylar Fracture X Ray Lines Supracondylar fractures of the humerus account for up to 18% of pediatric fractures and 60% of elbow fractures. Supracondylar fracture is seen on lateral radiograph with mild posterior displacement. Learn how to classify supracondylar fractures in pediatric patients using the gartland system, which has four types based on the degree of displacement and periosteal. Despite evolutions in the evaluation and. Supracondylar Fracture X Ray Lines.
From ar.inspiredpencil.com
Supracondylar Humerus Fracture Supracondylar Fracture X Ray Lines The anterior humeral line doesn't. Supracondylar fractures of the humerus account for up to 18% of pediatric fractures and 60% of elbow fractures. Supracondylar fracture is seen on lateral radiograph with mild posterior displacement. Learn how to classify, manage and follow up supracondylar fractures of the humerus in children, using the gartland system. Learn how to classify supracondylar fractures in. Supracondylar Fracture X Ray Lines.
From www.science-photo.de
Supracondylar fracture, Xray Bild kaufen 13623310 Science Photo Supracondylar Fracture X Ray Lines Learn about the diagnosis and treatment of supracondylar fractures in children, a common elbow injury from a fall on an outstretched hand. Learn how to classify, manage and follow up supracondylar fractures of the humerus in children, using the gartland system. Supracondylar fractures of the humerus account for up to 18% of pediatric fractures and 60% of elbow fractures. Radiographic. Supracondylar Fracture X Ray Lines.
From www.pinterest.com
Supracondylar fracture with posterior fat pad and sail signs Supracondylar Fracture X Ray Lines Supracondylar fractures of the humerus account for up to 18% of pediatric fractures and 60% of elbow fractures. The anterior humeral line doesn't. Learn how to classify, manage and follow up supracondylar fractures of the humerus in children, using the gartland system. Learn how to classify supracondylar fractures in pediatric patients using the gartland system, which has four types based. Supracondylar Fracture X Ray Lines.
From www.sciencephoto.com
Supracondylar fracture, Xray Stock Image F036/0253 Science Photo Supracondylar Fracture X Ray Lines The anterior humeral line doesn't. Learn how to classify, manage and follow up supracondylar fractures of the humerus in children, using the gartland system. Supracondylar fractures of the humerus account for up to 18% of pediatric fractures and 60% of elbow fractures. Supracondylar fracture is seen on lateral radiograph with mild posterior displacement. Learn about the definition, mechanism, epidemiology, physical. Supracondylar Fracture X Ray Lines.
From journals.sagepub.com
Fully displaced pediatric supracondylar humerus fractures Which ones Supracondylar Fracture X Ray Lines The anterior humeral line doesn't. Supracondylar fractures of the humerus account for up to 18% of pediatric fractures and 60% of elbow fractures. Learn about the definition, mechanism, epidemiology, physical exam, and imaging of supracondylar fractures, a common type of elbow fracture in children. Radiographic parameters are commonly used to determine the need for surgical supracondylar humeral (sch) fracture reduction.. Supracondylar Fracture X Ray Lines.
From www.dreamstime.com
Xray Elbow Showing Supracondylar Humerus Fracture and Post Opretion Supracondylar Fracture X Ray Lines Learn about the diagnosis and treatment of supracondylar fractures in children, a common elbow injury from a fall on an outstretched hand. Learn how to classify supracondylar fractures in pediatric patients using the gartland system, which has four types based on the degree of displacement and periosteal. Radiographic parameters are commonly used to determine the need for surgical supracondylar humeral. Supracondylar Fracture X Ray Lines.
From www.longdom.org
orthopedicmuscularsystemfracture Supracondylar Fracture X Ray Lines Supracondylar fractures of the humerus account for up to 18% of pediatric fractures and 60% of elbow fractures. Learn how to classify, manage and follow up supracondylar fractures of the humerus in children, using the gartland system. Radiographic parameters are commonly used to determine the need for surgical supracondylar humeral (sch) fracture reduction. Supracondylar fracture is seen on lateral radiograph. Supracondylar Fracture X Ray Lines.
From radiologykey.com
My fracture is not humerus Supracondylar fractures Radiology Key Supracondylar Fracture X Ray Lines Supracondylar fractures of the humerus account for up to 18% of pediatric fractures and 60% of elbow fractures. Learn about the diagnosis and treatment of supracondylar fractures in children, a common elbow injury from a fall on an outstretched hand. The anterior humeral line doesn't. Radiographic parameters are commonly used to determine the need for surgical supracondylar humeral (sch) fracture. Supracondylar Fracture X Ray Lines.
From mavink.com
Supracondylar Fracture X Ray Supracondylar Fracture X Ray Lines Learn how to classify supracondylar fractures in pediatric patients using the gartland system, which has four types based on the degree of displacement and periosteal. Despite evolutions in the evaluation and treatment. The anterior humeral line doesn't. Learn about the definition, mechanism, epidemiology, physical exam, and imaging of supracondylar fractures, a common type of elbow fracture in children. Learn how. Supracondylar Fracture X Ray Lines.
From www.pinterest.ph
Pin on Xrays Supracondylar Fracture X Ray Lines The anterior humeral line doesn't. Supracondylar fractures of the humerus account for up to 18% of pediatric fractures and 60% of elbow fractures. Learn about the diagnosis and treatment of supracondylar fractures in children, a common elbow injury from a fall on an outstretched hand. Radiographic parameters are commonly used to determine the need for surgical supracondylar humeral (sch) fracture. Supracondylar Fracture X Ray Lines.
From radiologykey.com
My fracture is not humerus Supracondylar fractures Radiology Key Supracondylar Fracture X Ray Lines Learn how to classify supracondylar fractures in pediatric patients using the gartland system, which has four types based on the degree of displacement and periosteal. Supracondylar fracture is seen on lateral radiograph with mild posterior displacement. Despite evolutions in the evaluation and treatment. The anterior humeral line doesn't. Learn about the diagnosis and treatment of supracondylar fractures in children, a. Supracondylar Fracture X Ray Lines.
From myloview.com.br
An xray image of supracondylar humerus fracture cartazes para a parede Supracondylar Fracture X Ray Lines Learn how to classify, manage and follow up supracondylar fractures of the humerus in children, using the gartland system. Radiographic parameters are commonly used to determine the need for surgical supracondylar humeral (sch) fracture reduction. Supracondylar fracture is seen on lateral radiograph with mild posterior displacement. Despite evolutions in the evaluation and treatment. Learn about the diagnosis and treatment of. Supracondylar Fracture X Ray Lines.
From pacs.de
extension supracondylar humeral fracture pacs Supracondylar Fracture X Ray Lines Despite evolutions in the evaluation and treatment. Learn how to classify supracondylar fractures in pediatric patients using the gartland system, which has four types based on the degree of displacement and periosteal. Radiographic parameters are commonly used to determine the need for surgical supracondylar humeral (sch) fracture reduction. Learn about the diagnosis and treatment of supracondylar fractures in children, a. Supracondylar Fracture X Ray Lines.
From www.alamy.com
Supracondylar humerus fracture, Xray Stock Photo Alamy Supracondylar Fracture X Ray Lines Learn about the definition, mechanism, epidemiology, physical exam, and imaging of supracondylar fractures, a common type of elbow fracture in children. The anterior humeral line doesn't. Supracondylar fracture is seen on lateral radiograph with mild posterior displacement. Radiographic parameters are commonly used to determine the need for surgical supracondylar humeral (sch) fracture reduction. Learn about the diagnosis and treatment of. Supracondylar Fracture X Ray Lines.
From ar.inspiredpencil.com
Supracondylar Fracture Median Nerve Supracondylar Fracture X Ray Lines Radiographic parameters are commonly used to determine the need for surgical supracondylar humeral (sch) fracture reduction. Supracondylar fracture is seen on lateral radiograph with mild posterior displacement. Learn how to classify, manage and follow up supracondylar fractures of the humerus in children, using the gartland system. Supracondylar fractures of the humerus account for up to 18% of pediatric fractures and. Supracondylar Fracture X Ray Lines.
From www.sciencephoto.com
Supracondylar humerus fracture, Xray Stock Image C056/4172 Supracondylar Fracture X Ray Lines The anterior humeral line doesn't. Learn how to classify, manage and follow up supracondylar fractures of the humerus in children, using the gartland system. Supracondylar fracture is seen on lateral radiograph with mild posterior displacement. Learn how to classify supracondylar fractures in pediatric patients using the gartland system, which has four types based on the degree of displacement and periosteal.. Supracondylar Fracture X Ray Lines.
From www.tamingthesru.com
Interpreting Elbow and Forearm Radiographs — Taming the SRU Supracondylar Fracture X Ray Lines Learn about the diagnosis and treatment of supracondylar fractures in children, a common elbow injury from a fall on an outstretched hand. Supracondylar fracture is seen on lateral radiograph with mild posterior displacement. Learn how to classify supracondylar fractures in pediatric patients using the gartland system, which has four types based on the degree of displacement and periosteal. Supracondylar fractures. Supracondylar Fracture X Ray Lines.
From www.mdpi.com
Children Free FullText Standalone Axial Malrotation after Supracondylar Fracture X Ray Lines Despite evolutions in the evaluation and treatment. Radiographic parameters are commonly used to determine the need for surgical supracondylar humeral (sch) fracture reduction. Supracondylar fracture is seen on lateral radiograph with mild posterior displacement. Learn about the definition, mechanism, epidemiology, physical exam, and imaging of supracondylar fractures, a common type of elbow fracture in children. Learn how to classify supracondylar. Supracondylar Fracture X Ray Lines.
From cartoondealer.com
Supracondylar Fracture Stock Photography 136049036 Supracondylar Fracture X Ray Lines Learn how to classify supracondylar fractures in pediatric patients using the gartland system, which has four types based on the degree of displacement and periosteal. Despite evolutions in the evaluation and treatment. Learn how to classify, manage and follow up supracondylar fractures of the humerus in children, using the gartland system. Learn about the diagnosis and treatment of supracondylar fractures. Supracondylar Fracture X Ray Lines.
From radiologycases.my
Supracondylar fracture Radiology Cases Supracondylar Fracture X Ray Lines Learn how to classify supracondylar fractures in pediatric patients using the gartland system, which has four types based on the degree of displacement and periosteal. Supracondylar fracture is seen on lateral radiograph with mild posterior displacement. Learn about the diagnosis and treatment of supracondylar fractures in children, a common elbow injury from a fall on an outstretched hand. Learn how. Supracondylar Fracture X Ray Lines.
From www.maimonidesem.org
Supracondylar Fractures — Maimonides Emergency Medicine Residency Supracondylar Fracture X Ray Lines Radiographic parameters are commonly used to determine the need for surgical supracondylar humeral (sch) fracture reduction. Learn how to classify supracondylar fractures in pediatric patients using the gartland system, which has four types based on the degree of displacement and periosteal. Learn about the diagnosis and treatment of supracondylar fractures in children, a common elbow injury from a fall on. Supracondylar Fracture X Ray Lines.
From teachmesurgery.com
Supracondylar Fracture TeachMeSurgery Supracondylar Fracture X Ray Lines Learn about the definition, mechanism, epidemiology, physical exam, and imaging of supracondylar fractures, a common type of elbow fracture in children. Supracondylar fracture is seen on lateral radiograph with mild posterior displacement. Learn how to classify, manage and follow up supracondylar fractures of the humerus in children, using the gartland system. Supracondylar fractures of the humerus account for up to. Supracondylar Fracture X Ray Lines.
From www.sciencephoto.com
Supracondylar humerus fracture, Xray Stock Image C056/4188 Supracondylar Fracture X Ray Lines Supracondylar fractures of the humerus account for up to 18% of pediatric fractures and 60% of elbow fractures. Learn about the diagnosis and treatment of supracondylar fractures in children, a common elbow injury from a fall on an outstretched hand. Radiographic parameters are commonly used to determine the need for surgical supracondylar humeral (sch) fracture reduction. Despite evolutions in the. Supracondylar Fracture X Ray Lines.
From radiopaedia.org
Supracondylar fracture Image Supracondylar Fracture X Ray Lines The anterior humeral line doesn't. Learn about the definition, mechanism, epidemiology, physical exam, and imaging of supracondylar fractures, a common type of elbow fracture in children. Despite evolutions in the evaluation and treatment. Learn about the diagnosis and treatment of supracondylar fractures in children, a common elbow injury from a fall on an outstretched hand. Supracondylar fracture is seen on. Supracondylar Fracture X Ray Lines.
From www.sciencephoto.fr
Supracondylar fracture, Xray acheter une photo 13623311 Science Supracondylar Fracture X Ray Lines Supracondylar fractures of the humerus account for up to 18% of pediatric fractures and 60% of elbow fractures. Learn about the definition, mechanism, epidemiology, physical exam, and imaging of supracondylar fractures, a common type of elbow fracture in children. Learn how to classify supracondylar fractures in pediatric patients using the gartland system, which has four types based on the degree. Supracondylar Fracture X Ray Lines.
From www.mdpi.com
Surgical Techniques Development Free FullText Pediatric Supracondylar Fracture X Ray Lines Radiographic parameters are commonly used to determine the need for surgical supracondylar humeral (sch) fracture reduction. Learn how to classify, manage and follow up supracondylar fractures of the humerus in children, using the gartland system. Supracondylar fracture is seen on lateral radiograph with mild posterior displacement. Despite evolutions in the evaluation and treatment. Learn about the diagnosis and treatment of. Supracondylar Fracture X Ray Lines.
From myloview.com.br
An xray image of supracondylar humerus fracture fotomural • fotomurais Supracondylar Fracture X Ray Lines Despite evolutions in the evaluation and treatment. Learn about the definition, mechanism, epidemiology, physical exam, and imaging of supracondylar fractures, a common type of elbow fracture in children. Learn how to classify, manage and follow up supracondylar fractures of the humerus in children, using the gartland system. Radiographic parameters are commonly used to determine the need for surgical supracondylar humeral. Supracondylar Fracture X Ray Lines.