Does Baking Soda Burn A Canker Sore . canker sores can go away on their own, but otc treatment options, including mouth rinses. saline (salt water) and sodium bicarbonate (baking soda) can help cankers heal faster by reducing acid levels in your mouth. Applying salt or baking soda on a canker sore heals it faster. canker sores are treatable at home and may not require checking in with your doctor or dentist. canker sores can be a real pain in the mouth, but you can relieve discomfort and speed up healing. Gargling and rinsing the mouth with salt water,. Medicated gels, creams, pastes, and liquids go on the sore. I’ve tried both but either way the canker sores last at least a.
from homeandgardenreference.blogspot.com
canker sores can go away on their own, but otc treatment options, including mouth rinses. saline (salt water) and sodium bicarbonate (baking soda) can help cankers heal faster by reducing acid levels in your mouth. canker sores can be a real pain in the mouth, but you can relieve discomfort and speed up healing. Medicated gels, creams, pastes, and liquids go on the sore. canker sores are treatable at home and may not require checking in with your doctor or dentist. Applying salt or baking soda on a canker sore heals it faster. I’ve tried both but either way the canker sores last at least a. Gargling and rinsing the mouth with salt water,.
How To Use Baking Soda To Treat Canker Sore Home and Garden Reference
Does Baking Soda Burn A Canker Sore Applying salt or baking soda on a canker sore heals it faster. saline (salt water) and sodium bicarbonate (baking soda) can help cankers heal faster by reducing acid levels in your mouth. canker sores are treatable at home and may not require checking in with your doctor or dentist. Applying salt or baking soda on a canker sore heals it faster. Gargling and rinsing the mouth with salt water,. canker sores can be a real pain in the mouth, but you can relieve discomfort and speed up healing. I’ve tried both but either way the canker sores last at least a. Medicated gels, creams, pastes, and liquids go on the sore. canker sores can go away on their own, but otc treatment options, including mouth rinses.
From www.youtube.com
How to Use Baking Soda for Canker Sores YouTube Does Baking Soda Burn A Canker Sore canker sores can be a real pain in the mouth, but you can relieve discomfort and speed up healing. I’ve tried both but either way the canker sores last at least a. Applying salt or baking soda on a canker sore heals it faster. Medicated gels, creams, pastes, and liquids go on the sore. Gargling and rinsing the mouth. Does Baking Soda Burn A Canker Sore.
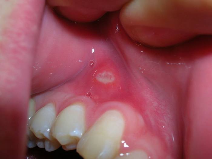
From www.katiemurch.com
Katie Murch · Healing Canker Sores Quickly & Easily Does Baking Soda Burn A Canker Sore Medicated gels, creams, pastes, and liquids go on the sore. Applying salt or baking soda on a canker sore heals it faster. Gargling and rinsing the mouth with salt water,. canker sores are treatable at home and may not require checking in with your doctor or dentist. saline (salt water) and sodium bicarbonate (baking soda) can help cankers. Does Baking Soda Burn A Canker Sore.
From www.pinterest.com
17 of the Most Brilliant Ways to Fix Things with Baking Soda Baking Does Baking Soda Burn A Canker Sore canker sores are treatable at home and may not require checking in with your doctor or dentist. Applying salt or baking soda on a canker sore heals it faster. canker sores can go away on their own, but otc treatment options, including mouth rinses. canker sores can be a real pain in the mouth, but you can. Does Baking Soda Burn A Canker Sore.
From www.pinterest.com
How to Use Baking Soda for Canker Sore Relief acneremedies Does Baking Soda Burn A Canker Sore canker sores can be a real pain in the mouth, but you can relieve discomfort and speed up healing. Medicated gels, creams, pastes, and liquids go on the sore. Gargling and rinsing the mouth with salt water,. Applying salt or baking soda on a canker sore heals it faster. canker sores can go away on their own, but. Does Baking Soda Burn A Canker Sore.
From www.pinterest.com
Baking Soda with Water for Canker Sores Canker sore, Cankers, Soreness Does Baking Soda Burn A Canker Sore Applying salt or baking soda on a canker sore heals it faster. saline (salt water) and sodium bicarbonate (baking soda) can help cankers heal faster by reducing acid levels in your mouth. Medicated gels, creams, pastes, and liquids go on the sore. Gargling and rinsing the mouth with salt water,. canker sores can be a real pain in. Does Baking Soda Burn A Canker Sore.
From dxompgbss.blob.core.windows.net
Baking Soda To Get Rid Of Canker Sore at Eleanor Kleist blog Does Baking Soda Burn A Canker Sore canker sores can be a real pain in the mouth, but you can relieve discomfort and speed up healing. canker sores are treatable at home and may not require checking in with your doctor or dentist. I’ve tried both but either way the canker sores last at least a. Applying salt or baking soda on a canker sore. Does Baking Soda Burn A Canker Sore.
From www.verywellhealth.com
How to Get Rid of Canker Sores Salt, Baking Soda, & More Does Baking Soda Burn A Canker Sore saline (salt water) and sodium bicarbonate (baking soda) can help cankers heal faster by reducing acid levels in your mouth. canker sores are treatable at home and may not require checking in with your doctor or dentist. Applying salt or baking soda on a canker sore heals it faster. Medicated gels, creams, pastes, and liquids go on the. Does Baking Soda Burn A Canker Sore.
From dxojzeyvo.blob.core.windows.net
Baking Soda And Canker Sores On Tongue at Vicki Rivas blog Does Baking Soda Burn A Canker Sore saline (salt water) and sodium bicarbonate (baking soda) can help cankers heal faster by reducing acid levels in your mouth. Applying salt or baking soda on a canker sore heals it faster. canker sores can go away on their own, but otc treatment options, including mouth rinses. Medicated gels, creams, pastes, and liquids go on the sore. . Does Baking Soda Burn A Canker Sore.
From www.fabhow.com
How to Get Rid of Canker Sores Fab How Does Baking Soda Burn A Canker Sore Gargling and rinsing the mouth with salt water,. I’ve tried both but either way the canker sores last at least a. Applying salt or baking soda on a canker sore heals it faster. canker sores are treatable at home and may not require checking in with your doctor or dentist. canker sores can be a real pain in. Does Baking Soda Burn A Canker Sore.
From dxojzeyvo.blob.core.windows.net
Baking Soda And Canker Sores On Tongue at Vicki Rivas blog Does Baking Soda Burn A Canker Sore I’ve tried both but either way the canker sores last at least a. canker sores can go away on their own, but otc treatment options, including mouth rinses. canker sores are treatable at home and may not require checking in with your doctor or dentist. Applying salt or baking soda on a canker sore heals it faster. Medicated. Does Baking Soda Burn A Canker Sore.
From www.newmouth.com
Canker Sores Causes, Types, & How to Get Rid of Them Does Baking Soda Burn A Canker Sore canker sores are treatable at home and may not require checking in with your doctor or dentist. canker sores can go away on their own, but otc treatment options, including mouth rinses. I’ve tried both but either way the canker sores last at least a. saline (salt water) and sodium bicarbonate (baking soda) can help cankers heal. Does Baking Soda Burn A Canker Sore.
From homeandgardenreference.blogspot.com
How To Use Baking Soda To Treat Canker Sore Home and Garden Reference Does Baking Soda Burn A Canker Sore saline (salt water) and sodium bicarbonate (baking soda) can help cankers heal faster by reducing acid levels in your mouth. Gargling and rinsing the mouth with salt water,. Applying salt or baking soda on a canker sore heals it faster. canker sores can go away on their own, but otc treatment options, including mouth rinses. Medicated gels, creams,. Does Baking Soda Burn A Canker Sore.
From www.cankershield.com
Using Baking Soda For Canker Sores (Tips and Tricks) — Canker Shield Does Baking Soda Burn A Canker Sore saline (salt water) and sodium bicarbonate (baking soda) can help cankers heal faster by reducing acid levels in your mouth. canker sores are treatable at home and may not require checking in with your doctor or dentist. Applying salt or baking soda on a canker sore heals it faster. canker sores can be a real pain in. Does Baking Soda Burn A Canker Sore.
From discover.hubpages.com
Try Baking Soda for Canker Sore Relief HubPages Does Baking Soda Burn A Canker Sore Medicated gels, creams, pastes, and liquids go on the sore. canker sores are treatable at home and may not require checking in with your doctor or dentist. canker sores can go away on their own, but otc treatment options, including mouth rinses. I’ve tried both but either way the canker sores last at least a. Applying salt or. Does Baking Soda Burn A Canker Sore.
From www.articlestone.com
50 Baking Soda Tricks You Can’t Live Without Does Baking Soda Burn A Canker Sore saline (salt water) and sodium bicarbonate (baking soda) can help cankers heal faster by reducing acid levels in your mouth. Medicated gels, creams, pastes, and liquids go on the sore. Gargling and rinsing the mouth with salt water,. canker sores can go away on their own, but otc treatment options, including mouth rinses. I’ve tried both but either. Does Baking Soda Burn A Canker Sore.
From dxompgbss.blob.core.windows.net
Baking Soda To Get Rid Of Canker Sore at Eleanor Kleist blog Does Baking Soda Burn A Canker Sore I’ve tried both but either way the canker sores last at least a. saline (salt water) and sodium bicarbonate (baking soda) can help cankers heal faster by reducing acid levels in your mouth. canker sores are treatable at home and may not require checking in with your doctor or dentist. Applying salt or baking soda on a canker. Does Baking Soda Burn A Canker Sore.
From www.youtube.com
How To Treat Baking Soda Burn YouTube Does Baking Soda Burn A Canker Sore Gargling and rinsing the mouth with salt water,. canker sores are treatable at home and may not require checking in with your doctor or dentist. canker sores can be a real pain in the mouth, but you can relieve discomfort and speed up healing. Applying salt or baking soda on a canker sore heals it faster. Medicated gels,. Does Baking Soda Burn A Canker Sore.
From www.pinterest.com
Canker Sore remedy using Baking Soda... M got a canker sore and we did Does Baking Soda Burn A Canker Sore Gargling and rinsing the mouth with salt water,. Medicated gels, creams, pastes, and liquids go on the sore. canker sores can go away on their own, but otc treatment options, including mouth rinses. canker sores can be a real pain in the mouth, but you can relieve discomfort and speed up healing. canker sores are treatable at. Does Baking Soda Burn A Canker Sore.
From www.pinterest.com
Baking Soda For Canker Sore To Get Rid Of Canker Sore Instantly Does Baking Soda Burn A Canker Sore I’ve tried both but either way the canker sores last at least a. canker sores can go away on their own, but otc treatment options, including mouth rinses. Gargling and rinsing the mouth with salt water,. canker sores are treatable at home and may not require checking in with your doctor or dentist. Applying salt or baking soda. Does Baking Soda Burn A Canker Sore.
From dxompgbss.blob.core.windows.net
Baking Soda To Get Rid Of Canker Sore at Eleanor Kleist blog Does Baking Soda Burn A Canker Sore Medicated gels, creams, pastes, and liquids go on the sore. Applying salt or baking soda on a canker sore heals it faster. canker sores can be a real pain in the mouth, but you can relieve discomfort and speed up healing. canker sores are treatable at home and may not require checking in with your doctor or dentist.. Does Baking Soda Burn A Canker Sore.
From www.youtube.com
Baking Soda for Canker Sores YouTube Does Baking Soda Burn A Canker Sore canker sores are treatable at home and may not require checking in with your doctor or dentist. canker sores can be a real pain in the mouth, but you can relieve discomfort and speed up healing. Gargling and rinsing the mouth with salt water,. canker sores can go away on their own, but otc treatment options, including. Does Baking Soda Burn A Canker Sore.
From dxompgbss.blob.core.windows.net
Baking Soda To Get Rid Of Canker Sore at Eleanor Kleist blog Does Baking Soda Burn A Canker Sore canker sores can go away on their own, but otc treatment options, including mouth rinses. saline (salt water) and sodium bicarbonate (baking soda) can help cankers heal faster by reducing acid levels in your mouth. Gargling and rinsing the mouth with salt water,. canker sores can be a real pain in the mouth, but you can relieve. Does Baking Soda Burn A Canker Sore.
From www.pinterest.com
How Can Baking Soda Help Relieve Canker Sores? Canker sore, Canker Does Baking Soda Burn A Canker Sore Medicated gels, creams, pastes, and liquids go on the sore. Applying salt or baking soda on a canker sore heals it faster. canker sores are treatable at home and may not require checking in with your doctor or dentist. I’ve tried both but either way the canker sores last at least a. saline (salt water) and sodium bicarbonate. Does Baking Soda Burn A Canker Sore.
From www.pinterest.com
Pin on Home Remedies Does Baking Soda Burn A Canker Sore saline (salt water) and sodium bicarbonate (baking soda) can help cankers heal faster by reducing acid levels in your mouth. Gargling and rinsing the mouth with salt water,. canker sores are treatable at home and may not require checking in with your doctor or dentist. Medicated gels, creams, pastes, and liquids go on the sore. I’ve tried both. Does Baking Soda Burn A Canker Sore.
From www.zinbi.com
Easy DIY Ways to Use Baking Soda for Canker Sore (To Help Alkalinize Does Baking Soda Burn A Canker Sore canker sores are treatable at home and may not require checking in with your doctor or dentist. Medicated gels, creams, pastes, and liquids go on the sore. canker sores can be a real pain in the mouth, but you can relieve discomfort and speed up healing. saline (salt water) and sodium bicarbonate (baking soda) can help cankers. Does Baking Soda Burn A Canker Sore.
From www.health.com
Canker Sore Causes and Risk Factors Does Baking Soda Burn A Canker Sore canker sores are treatable at home and may not require checking in with your doctor or dentist. Medicated gels, creams, pastes, and liquids go on the sore. Gargling and rinsing the mouth with salt water,. saline (salt water) and sodium bicarbonate (baking soda) can help cankers heal faster by reducing acid levels in your mouth. canker sores. Does Baking Soda Burn A Canker Sore.
From homeandgardenreference.blogspot.com
How To Use Baking Soda To Treat Canker Sore Home and Garden Reference Does Baking Soda Burn A Canker Sore canker sores are treatable at home and may not require checking in with your doctor or dentist. canker sores can go away on their own, but otc treatment options, including mouth rinses. canker sores can be a real pain in the mouth, but you can relieve discomfort and speed up healing. Gargling and rinsing the mouth with. Does Baking Soda Burn A Canker Sore.
From diyremedies.org
5 Best Ways to use Baking Soda for Canker Sores Does Baking Soda Burn A Canker Sore I’ve tried both but either way the canker sores last at least a. saline (salt water) and sodium bicarbonate (baking soda) can help cankers heal faster by reducing acid levels in your mouth. canker sores can be a real pain in the mouth, but you can relieve discomfort and speed up healing. Applying salt or baking soda on. Does Baking Soda Burn A Canker Sore.
From www.pinterest.com
Baking Soda Mouth Wash For Canker Sores Usage of harsh chemical based Does Baking Soda Burn A Canker Sore Applying salt or baking soda on a canker sore heals it faster. canker sores can be a real pain in the mouth, but you can relieve discomfort and speed up healing. canker sores can go away on their own, but otc treatment options, including mouth rinses. I’ve tried both but either way the canker sores last at least. Does Baking Soda Burn A Canker Sore.
From www.youtube.com
Try Baking Soda for Canker Sore Relief YouTube Does Baking Soda Burn A Canker Sore Applying salt or baking soda on a canker sore heals it faster. Gargling and rinsing the mouth with salt water,. canker sores can go away on their own, but otc treatment options, including mouth rinses. canker sores can be a real pain in the mouth, but you can relieve discomfort and speed up healing. canker sores are. Does Baking Soda Burn A Canker Sore.
From www.pinterest.com
Baking Soda Cheap And Effective Trick To Get Rid Of Canker Sores Does Baking Soda Burn A Canker Sore canker sores are treatable at home and may not require checking in with your doctor or dentist. Medicated gels, creams, pastes, and liquids go on the sore. saline (salt water) and sodium bicarbonate (baking soda) can help cankers heal faster by reducing acid levels in your mouth. canker sores can be a real pain in the mouth,. Does Baking Soda Burn A Canker Sore.
From diyremedies.org
5 Best Ways to use Baking Soda for Canker Sores Does Baking Soda Burn A Canker Sore Applying salt or baking soda on a canker sore heals it faster. canker sores can go away on their own, but otc treatment options, including mouth rinses. I’ve tried both but either way the canker sores last at least a. saline (salt water) and sodium bicarbonate (baking soda) can help cankers heal faster by reducing acid levels in. Does Baking Soda Burn A Canker Sore.
From www.youtube.com
Ways to Get Rid of Canker SoresHoney., Baking Soda rinse. YouTube Does Baking Soda Burn A Canker Sore I’ve tried both but either way the canker sores last at least a. Applying salt or baking soda on a canker sore heals it faster. Gargling and rinsing the mouth with salt water,. canker sores can be a real pain in the mouth, but you can relieve discomfort and speed up healing. Medicated gels, creams, pastes, and liquids go. Does Baking Soda Burn A Canker Sore.
From bakingsodauses.info
Baking Soda Canker Sore Remedy Baking Soda Uses and DIY Home Remedies. Does Baking Soda Burn A Canker Sore I’ve tried both but either way the canker sores last at least a. Gargling and rinsing the mouth with salt water,. canker sores are treatable at home and may not require checking in with your doctor or dentist. Applying salt or baking soda on a canker sore heals it faster. canker sores can be a real pain in. Does Baking Soda Burn A Canker Sore.
From dxojzeyvo.blob.core.windows.net
Baking Soda And Canker Sores On Tongue at Vicki Rivas blog Does Baking Soda Burn A Canker Sore canker sores can go away on their own, but otc treatment options, including mouth rinses. saline (salt water) and sodium bicarbonate (baking soda) can help cankers heal faster by reducing acid levels in your mouth. I’ve tried both but either way the canker sores last at least a. Gargling and rinsing the mouth with salt water,. Medicated gels,. Does Baking Soda Burn A Canker Sore.