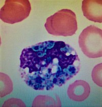
Green Crystals In Neutrophils . Green cytoplasmic inclusions in neutrophils are an uncommon finding on the peripheral blood smear. A comprehensive review of the literature is presented here with the goal of summarizing. A total of 41 cases have been reported in the literature, indicating the rarity of these green neutrophilic inclusions. Intracytoplasmic green granules in neutrophils have been the subject of conjecture. A critical finding that must be reported. Previously termed “green crystals of death,” bright blue‐green inclusion bodies within neutrophils are a rare clinical finding. A critical finding that must be reported. Green refractile inclusions in neutrophils are a very rare peripheral smear finding with few reported cases in literature. They have been reported as a.
from onlinelibrary.wiley.com
Previously termed “green crystals of death,” bright blue‐green inclusion bodies within neutrophils are a rare clinical finding. A critical finding that must be reported. A critical finding that must be reported. Green cytoplasmic inclusions in neutrophils are an uncommon finding on the peripheral blood smear. Green refractile inclusions in neutrophils are a very rare peripheral smear finding with few reported cases in literature. They have been reported as a. Intracytoplasmic green granules in neutrophils have been the subject of conjecture. A total of 41 cases have been reported in the literature, indicating the rarity of these green neutrophilic inclusions. A comprehensive review of the literature is presented here with the goal of summarizing.
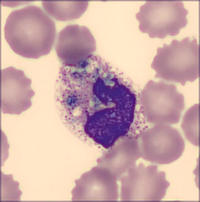
Blue‐green neutrophilic inclusion bodies in the critically ill patient
Green Crystals In Neutrophils Previously termed “green crystals of death,” bright blue‐green inclusion bodies within neutrophils are a rare clinical finding. A total of 41 cases have been reported in the literature, indicating the rarity of these green neutrophilic inclusions. Green cytoplasmic inclusions in neutrophils are an uncommon finding on the peripheral blood smear. A critical finding that must be reported. Green refractile inclusions in neutrophils are a very rare peripheral smear finding with few reported cases in literature. Intracytoplasmic green granules in neutrophils have been the subject of conjecture. Previously termed “green crystals of death,” bright blue‐green inclusion bodies within neutrophils are a rare clinical finding. A critical finding that must be reported. A comprehensive review of the literature is presented here with the goal of summarizing. They have been reported as a.
From www.dreamstime.com
Neutrophil cell stock photo. Image of health, neutrophil 97102324 Green Crystals In Neutrophils They have been reported as a. Previously termed “green crystals of death,” bright blue‐green inclusion bodies within neutrophils are a rare clinical finding. A comprehensive review of the literature is presented here with the goal of summarizing. Green refractile inclusions in neutrophils are a very rare peripheral smear finding with few reported cases in literature. A critical finding that must. Green Crystals In Neutrophils.
From www.researchgate.net
Sytox Green Assay of stimulated neutrophils. Neutrophils were stained Green Crystals In Neutrophils Intracytoplasmic green granules in neutrophils have been the subject of conjecture. A critical finding that must be reported. Previously termed “green crystals of death,” bright blue‐green inclusion bodies within neutrophils are a rare clinical finding. Green cytoplasmic inclusions in neutrophils are an uncommon finding on the peripheral blood smear. They have been reported as a. A comprehensive review of the. Green Crystals In Neutrophils.
From www.reddit.com
"Green crystals of death" inclusions in a patient's CBC. r Green Crystals In Neutrophils Previously termed “green crystals of death,” bright blue‐green inclusion bodies within neutrophils are a rare clinical finding. A comprehensive review of the literature is presented here with the goal of summarizing. Green refractile inclusions in neutrophils are a very rare peripheral smear finding with few reported cases in literature. A total of 41 cases have been reported in the literature,. Green Crystals In Neutrophils.
From www.histopathology.guru
NEUTROPHILS WITH BILIRUBIN CRYSTALS Histopathology.guru Green Crystals In Neutrophils They have been reported as a. A critical finding that must be reported. Previously termed “green crystals of death,” bright blue‐green inclusion bodies within neutrophils are a rare clinical finding. A total of 41 cases have been reported in the literature, indicating the rarity of these green neutrophilic inclusions. Green refractile inclusions in neutrophils are a very rare peripheral smear. Green Crystals In Neutrophils.
From www.pinterest.com
Pin by D Alinejad on Hematology (With images) Medical laboratory Green Crystals In Neutrophils A critical finding that must be reported. A total of 41 cases have been reported in the literature, indicating the rarity of these green neutrophilic inclusions. A comprehensive review of the literature is presented here with the goal of summarizing. Previously termed “green crystals of death,” bright blue‐green inclusion bodies within neutrophils are a rare clinical finding. They have been. Green Crystals In Neutrophils.
From onlinelibrary.wiley.com
Immune complex‐induced neutrophil functions A focus on cell death Green Crystals In Neutrophils A total of 41 cases have been reported in the literature, indicating the rarity of these green neutrophilic inclusions. They have been reported as a. A critical finding that must be reported. Previously termed “green crystals of death,” bright blue‐green inclusion bodies within neutrophils are a rare clinical finding. A comprehensive review of the literature is presented here with the. Green Crystals In Neutrophils.
From onlinelibrary.wiley.com
Green neutrophil and monocyte inclusions time to acknowledge and Green Crystals In Neutrophils Intracytoplasmic green granules in neutrophils have been the subject of conjecture. They have been reported as a. A comprehensive review of the literature is presented here with the goal of summarizing. A total of 41 cases have been reported in the literature, indicating the rarity of these green neutrophilic inclusions. Green cytoplasmic inclusions in neutrophils are an uncommon finding on. Green Crystals In Neutrophils.
From www.researchgate.net
Evidence of SYTOX Greenpositive cells as neutrophils that formed NETs Green Crystals In Neutrophils They have been reported as a. Intracytoplasmic green granules in neutrophils have been the subject of conjecture. A critical finding that must be reported. A total of 41 cases have been reported in the literature, indicating the rarity of these green neutrophilic inclusions. A critical finding that must be reported. A comprehensive review of the literature is presented here with. Green Crystals In Neutrophils.
From www.researchgate.net
MLKL deficiency abrogates crystalinduced neutrophil cell death. Murine Green Crystals In Neutrophils Intracytoplasmic green granules in neutrophils have been the subject of conjecture. Green cytoplasmic inclusions in neutrophils are an uncommon finding on the peripheral blood smear. A total of 41 cases have been reported in the literature, indicating the rarity of these green neutrophilic inclusions. Previously termed “green crystals of death,” bright blue‐green inclusion bodies within neutrophils are a rare clinical. Green Crystals In Neutrophils.
From onlinelibrary.wiley.com
Green neutrophil and monocyte inclusions time to acknowledge and Green Crystals In Neutrophils A comprehensive review of the literature is presented here with the goal of summarizing. Previously termed “green crystals of death,” bright blue‐green inclusion bodies within neutrophils are a rare clinical finding. Green refractile inclusions in neutrophils are a very rare peripheral smear finding with few reported cases in literature. A critical finding that must be reported. Intracytoplasmic green granules in. Green Crystals In Neutrophils.
From www.slideshare.net
Hematology review '04 Green Crystals In Neutrophils Green cytoplasmic inclusions in neutrophils are an uncommon finding on the peripheral blood smear. A comprehensive review of the literature is presented here with the goal of summarizing. They have been reported as a. A critical finding that must be reported. A total of 41 cases have been reported in the literature, indicating the rarity of these green neutrophilic inclusions.. Green Crystals In Neutrophils.
From wholesomealive.com
What to Know About Neutrophils Definition, Absolute High & Low, Ranges Green Crystals In Neutrophils A total of 41 cases have been reported in the literature, indicating the rarity of these green neutrophilic inclusions. Intracytoplasmic green granules in neutrophils have been the subject of conjecture. They have been reported as a. A comprehensive review of the literature is presented here with the goal of summarizing. A critical finding that must be reported. Green cytoplasmic inclusions. Green Crystals In Neutrophils.
From www.researchgate.net
Sytox Green Assay of stimulated neutrophils. Neutrophils were stained Green Crystals In Neutrophils Green cytoplasmic inclusions in neutrophils are an uncommon finding on the peripheral blood smear. A critical finding that must be reported. A total of 41 cases have been reported in the literature, indicating the rarity of these green neutrophilic inclusions. They have been reported as a. A critical finding that must be reported. Green refractile inclusions in neutrophils are a. Green Crystals In Neutrophils.
From www.degruyter.com
Bluegreen neutrophilic inclusion bodies with concurrent liver failure Green Crystals In Neutrophils Green cytoplasmic inclusions in neutrophils are an uncommon finding on the peripheral blood smear. A comprehensive review of the literature is presented here with the goal of summarizing. Previously termed “green crystals of death,” bright blue‐green inclusion bodies within neutrophils are a rare clinical finding. A total of 41 cases have been reported in the literature, indicating the rarity of. Green Crystals In Neutrophils.
From www.histopathology.guru
NEUTROPHILS WITH BILIRUBIN CRYSTALS Histopathology.guru Green Crystals In Neutrophils A critical finding that must be reported. Intracytoplasmic green granules in neutrophils have been the subject of conjecture. A comprehensive review of the literature is presented here with the goal of summarizing. A total of 41 cases have been reported in the literature, indicating the rarity of these green neutrophilic inclusions. They have been reported as a. Previously termed “green. Green Crystals In Neutrophils.
From www.dreamstime.com
Critical Green Inclusions in a Neutrophil. Stock Image Image of Green Crystals In Neutrophils A critical finding that must be reported. Green cytoplasmic inclusions in neutrophils are an uncommon finding on the peripheral blood smear. Intracytoplasmic green granules in neutrophils have been the subject of conjecture. A critical finding that must be reported. Previously termed “green crystals of death,” bright blue‐green inclusion bodies within neutrophils are a rare clinical finding. They have been reported. Green Crystals In Neutrophils.
From onlinelibrary.wiley.com
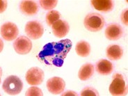
The rare green‐blue neutrophil inclusion bodies. Worth reporting in Green Crystals In Neutrophils A total of 41 cases have been reported in the literature, indicating the rarity of these green neutrophilic inclusions. They have been reported as a. Intracytoplasmic green granules in neutrophils have been the subject of conjecture. Previously termed “green crystals of death,” bright blue‐green inclusion bodies within neutrophils are a rare clinical finding. Green cytoplasmic inclusions in neutrophils are an. Green Crystals In Neutrophils.
From imagebank.hematology.org
Bluegreen Crystal inclusions Green Crystals In Neutrophils Green cytoplasmic inclusions in neutrophils are an uncommon finding on the peripheral blood smear. A total of 41 cases have been reported in the literature, indicating the rarity of these green neutrophilic inclusions. Previously termed “green crystals of death,” bright blue‐green inclusion bodies within neutrophils are a rare clinical finding. Green refractile inclusions in neutrophils are a very rare peripheral. Green Crystals In Neutrophils.
From medcell.med.yale.edu
Neutrophil Green Crystals In Neutrophils They have been reported as a. Previously termed “green crystals of death,” bright blue‐green inclusion bodies within neutrophils are a rare clinical finding. Green refractile inclusions in neutrophils are a very rare peripheral smear finding with few reported cases in literature. A critical finding that must be reported. A comprehensive review of the literature is presented here with the goal. Green Crystals In Neutrophils.
From www.researchgate.net
Neutrophil phagocytosis of urate crystals. Download Scientific Diagram Green Crystals In Neutrophils Previously termed “green crystals of death,” bright blue‐green inclusion bodies within neutrophils are a rare clinical finding. A comprehensive review of the literature is presented here with the goal of summarizing. Green refractile inclusions in neutrophils are a very rare peripheral smear finding with few reported cases in literature. A total of 41 cases have been reported in the literature,. Green Crystals In Neutrophils.
From onlinelibrary.wiley.com
British Journal of Haematology Wiley Online Library Green Crystals In Neutrophils A critical finding that must be reported. Previously termed “green crystals of death,” bright blue‐green inclusion bodies within neutrophils are a rare clinical finding. A critical finding that must be reported. Green refractile inclusions in neutrophils are a very rare peripheral smear finding with few reported cases in literature. A comprehensive review of the literature is presented here with the. Green Crystals In Neutrophils.
From www.histopathology.guru
NEUTROPHILS WITH BILIRUBIN CRYSTALS Histopathology.guru Green Crystals In Neutrophils Green refractile inclusions in neutrophils are a very rare peripheral smear finding with few reported cases in literature. Previously termed “green crystals of death,” bright blue‐green inclusion bodies within neutrophils are a rare clinical finding. Intracytoplasmic green granules in neutrophils have been the subject of conjecture. A total of 41 cases have been reported in the literature, indicating the rarity. Green Crystals In Neutrophils.
From onlinelibrary.wiley.com
Blue‐green neutrophilic inclusion bodies in the critically ill patient Green Crystals In Neutrophils They have been reported as a. A total of 41 cases have been reported in the literature, indicating the rarity of these green neutrophilic inclusions. A comprehensive review of the literature is presented here with the goal of summarizing. Green refractile inclusions in neutrophils are a very rare peripheral smear finding with few reported cases in literature. Previously termed “green. Green Crystals In Neutrophils.
From imagebank.hematology.org
Green Neutrophil Inclusions in a Patient with Liver Disease Green Crystals In Neutrophils Green cytoplasmic inclusions in neutrophils are an uncommon finding on the peripheral blood smear. A critical finding that must be reported. Green refractile inclusions in neutrophils are a very rare peripheral smear finding with few reported cases in literature. Previously termed “green crystals of death,” bright blue‐green inclusion bodies within neutrophils are a rare clinical finding. Intracytoplasmic green granules in. Green Crystals In Neutrophils.
From en.wikipedia.org
Neutrophil Wikipedia Green Crystals In Neutrophils A total of 41 cases have been reported in the literature, indicating the rarity of these green neutrophilic inclusions. Intracytoplasmic green granules in neutrophils have been the subject of conjecture. Green cytoplasmic inclusions in neutrophils are an uncommon finding on the peripheral blood smear. Previously termed “green crystals of death,” bright blue‐green inclusion bodies within neutrophils are a rare clinical. Green Crystals In Neutrophils.
From www.youtube.com
"Green Crystals/Granules of Death" (BlueGreen Neutrophil Inclusions Green Crystals In Neutrophils Intracytoplasmic green granules in neutrophils have been the subject of conjecture. A critical finding that must be reported. Previously termed “green crystals of death,” bright blue‐green inclusion bodies within neutrophils are a rare clinical finding. They have been reported as a. A total of 41 cases have been reported in the literature, indicating the rarity of these green neutrophilic inclusions.. Green Crystals In Neutrophils.
From journals.aai.org
Monosodium Urate Crystals Generate NucleaseResistant Neutrophil Green Crystals In Neutrophils Green cytoplasmic inclusions in neutrophils are an uncommon finding on the peripheral blood smear. They have been reported as a. Previously termed “green crystals of death,” bright blue‐green inclusion bodies within neutrophils are a rare clinical finding. A comprehensive review of the literature is presented here with the goal of summarizing. A total of 41 cases have been reported in. Green Crystals In Neutrophils.
From www.pinterest.com
Green neutrophil inclusions associated with endstage liver disease Green Crystals In Neutrophils Previously termed “green crystals of death,” bright blue‐green inclusion bodies within neutrophils are a rare clinical finding. A critical finding that must be reported. Green cytoplasmic inclusions in neutrophils are an uncommon finding on the peripheral blood smear. A total of 41 cases have been reported in the literature, indicating the rarity of these green neutrophilic inclusions. Green refractile inclusions. Green Crystals In Neutrophils.
From www.htct.com.br
Critical bluegreen inclusions in neutrophil and monocyte cytoplasm in Green Crystals In Neutrophils A total of 41 cases have been reported in the literature, indicating the rarity of these green neutrophilic inclusions. Green refractile inclusions in neutrophils are a very rare peripheral smear finding with few reported cases in literature. A comprehensive review of the literature is presented here with the goal of summarizing. Previously termed “green crystals of death,” bright blue‐green inclusion. Green Crystals In Neutrophils.
From jcp.bmj.com
Green neutrophilic inclusions in liver disease Journal of Clinical Green Crystals In Neutrophils Previously termed “green crystals of death,” bright blue‐green inclusion bodies within neutrophils are a rare clinical finding. Green cytoplasmic inclusions in neutrophils are an uncommon finding on the peripheral blood smear. They have been reported as a. A total of 41 cases have been reported in the literature, indicating the rarity of these green neutrophilic inclusions. A critical finding that. Green Crystals In Neutrophils.
From labmedicineblog.com
inclusions Lablogatory Green Crystals In Neutrophils Intracytoplasmic green granules in neutrophils have been the subject of conjecture. A total of 41 cases have been reported in the literature, indicating the rarity of these green neutrophilic inclusions. Green cytoplasmic inclusions in neutrophils are an uncommon finding on the peripheral blood smear. A critical finding that must be reported. They have been reported as a. Green refractile inclusions. Green Crystals In Neutrophils.
From www.researchgate.net
Different crystals induce NET formation. Human neutrophils were exposed Green Crystals In Neutrophils A critical finding that must be reported. A critical finding that must be reported. A comprehensive review of the literature is presented here with the goal of summarizing. Green cytoplasmic inclusions in neutrophils are an uncommon finding on the peripheral blood smear. Green refractile inclusions in neutrophils are a very rare peripheral smear finding with few reported cases in literature.. Green Crystals In Neutrophils.
From onlinelibrary.wiley.com
Blue‐green neutrophilic inclusion bodies in the critically ill patient Green Crystals In Neutrophils Intracytoplasmic green granules in neutrophils have been the subject of conjecture. A critical finding that must be reported. A comprehensive review of the literature is presented here with the goal of summarizing. Previously termed “green crystals of death,” bright blue‐green inclusion bodies within neutrophils are a rare clinical finding. Green cytoplasmic inclusions in neutrophils are an uncommon finding on the. Green Crystals In Neutrophils.
From imagebank.hematology.org
BLUE GREEN CRYSTALS OF DEATH IN COVID 19 1 Green Crystals In Neutrophils They have been reported as a. A comprehensive review of the literature is presented here with the goal of summarizing. Intracytoplasmic green granules in neutrophils have been the subject of conjecture. A critical finding that must be reported. Green cytoplasmic inclusions in neutrophils are an uncommon finding on the peripheral blood smear. Previously termed “green crystals of death,” bright blue‐green. Green Crystals In Neutrophils.
From www.researchgate.net
MSU crystals induce neutrophil extracellular trap formation. (A Green Crystals In Neutrophils Green cytoplasmic inclusions in neutrophils are an uncommon finding on the peripheral blood smear. A critical finding that must be reported. A comprehensive review of the literature is presented here with the goal of summarizing. Green refractile inclusions in neutrophils are a very rare peripheral smear finding with few reported cases in literature. Intracytoplasmic green granules in neutrophils have been. Green Crystals In Neutrophils.