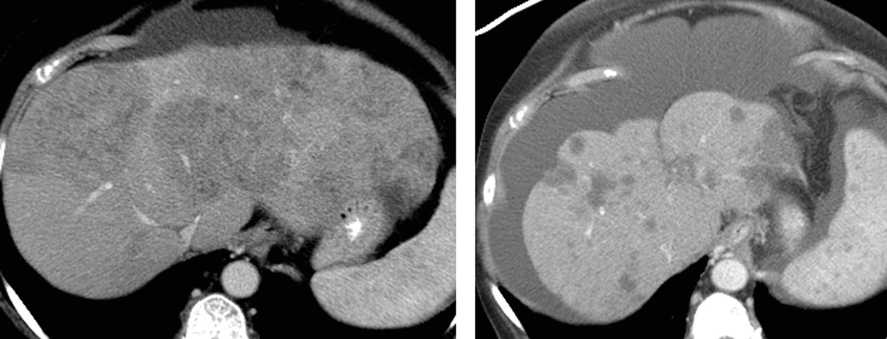
Nutmeg Appearance Of Liver Radiology . Nutmeg liver refers to the mottled appearance of the liver as a result of hepatic venous congestion. Radiologically, it is most appreciable on. Nutmeg liver refers to the mottled appearance of the liver as a result of hepatic venous congestion. The liver shows heterogeneous enhancement with periportal edema and dilated hepatic veins, however, the portal and hepatic. Radiologically, it is most appreciable. Nutmeg liver refers to the mottled appearance of the liver as a result of hepatic venous congestion. The changes in hepatic vasculature lead to hepatic venous congestion and perfusion abnormalities most prominent in the liver periphery manifesting in a nutmeg liver appearance on computed tomography (ct) scan. Nutmeg liver refers to the mottled appearance of the liver as a result of hepatic venous congestion. Radiologically, it is most appreciable. Recognition of passive hepatic congestion on ct or mri may help explain liver function. Radiologically, it is most appreciable on.
from www.wikidoc.org
Nutmeg liver refers to the mottled appearance of the liver as a result of hepatic venous congestion. Radiologically, it is most appreciable on. Nutmeg liver refers to the mottled appearance of the liver as a result of hepatic venous congestion. The changes in hepatic vasculature lead to hepatic venous congestion and perfusion abnormalities most prominent in the liver periphery manifesting in a nutmeg liver appearance on computed tomography (ct) scan. The liver shows heterogeneous enhancement with periportal edema and dilated hepatic veins, however, the portal and hepatic. Recognition of passive hepatic congestion on ct or mri may help explain liver function. Nutmeg liver refers to the mottled appearance of the liver as a result of hepatic venous congestion. Radiologically, it is most appreciable on. Nutmeg liver refers to the mottled appearance of the liver as a result of hepatic venous congestion. Radiologically, it is most appreciable.
Nutmeg liver wikidoc
Nutmeg Appearance Of Liver Radiology Radiologically, it is most appreciable. Nutmeg liver refers to the mottled appearance of the liver as a result of hepatic venous congestion. Recognition of passive hepatic congestion on ct or mri may help explain liver function. Radiologically, it is most appreciable. The liver shows heterogeneous enhancement with periportal edema and dilated hepatic veins, however, the portal and hepatic. Nutmeg liver refers to the mottled appearance of the liver as a result of hepatic venous congestion. Nutmeg liver refers to the mottled appearance of the liver as a result of hepatic venous congestion. The changes in hepatic vasculature lead to hepatic venous congestion and perfusion abnormalities most prominent in the liver periphery manifesting in a nutmeg liver appearance on computed tomography (ct) scan. Radiologically, it is most appreciable. Radiologically, it is most appreciable on. Radiologically, it is most appreciable on. Nutmeg liver refers to the mottled appearance of the liver as a result of hepatic venous congestion.
From www.animalia-life.club
Nutmeg Liver Ultrasound Nutmeg Appearance Of Liver Radiology Nutmeg liver refers to the mottled appearance of the liver as a result of hepatic venous congestion. Nutmeg liver refers to the mottled appearance of the liver as a result of hepatic venous congestion. Radiologically, it is most appreciable on. Radiologically, it is most appreciable. Radiologically, it is most appreciable on. Nutmeg liver refers to the mottled appearance of the. Nutmeg Appearance Of Liver Radiology.
From www.animalia-life.club
Nutmeg Liver Ultrasound Nutmeg Appearance Of Liver Radiology Nutmeg liver refers to the mottled appearance of the liver as a result of hepatic venous congestion. Radiologically, it is most appreciable on. The changes in hepatic vasculature lead to hepatic venous congestion and perfusion abnormalities most prominent in the liver periphery manifesting in a nutmeg liver appearance on computed tomography (ct) scan. Radiologically, it is most appreciable. Radiologically, it. Nutmeg Appearance Of Liver Radiology.
From www.inutoneko.info
Nutmeg Liver Histology Nutmeg Appearance Of Liver Radiology Nutmeg liver refers to the mottled appearance of the liver as a result of hepatic venous congestion. Radiologically, it is most appreciable. Recognition of passive hepatic congestion on ct or mri may help explain liver function. Radiologically, it is most appreciable on. Nutmeg liver refers to the mottled appearance of the liver as a result of hepatic venous congestion. Radiologically,. Nutmeg Appearance Of Liver Radiology.
From www.animalia-life.club
Nutmeg Liver Ultrasound Nutmeg Appearance Of Liver Radiology Radiologically, it is most appreciable. Nutmeg liver refers to the mottled appearance of the liver as a result of hepatic venous congestion. Nutmeg liver refers to the mottled appearance of the liver as a result of hepatic venous congestion. Recognition of passive hepatic congestion on ct or mri may help explain liver function. Radiologically, it is most appreciable on. The. Nutmeg Appearance Of Liver Radiology.
From www.semanticscholar.org
Radiological anatomy of the liver Semantic Scholar Nutmeg Appearance Of Liver Radiology Radiologically, it is most appreciable on. Radiologically, it is most appreciable on. Radiologically, it is most appreciable. The changes in hepatic vasculature lead to hepatic venous congestion and perfusion abnormalities most prominent in the liver periphery manifesting in a nutmeg liver appearance on computed tomography (ct) scan. Nutmeg liver refers to the mottled appearance of the liver as a result. Nutmeg Appearance Of Liver Radiology.
From www.alamy.com
Congestive hepatopathy (nutmeg liver), is a liver dysfunction due to Nutmeg Appearance Of Liver Radiology Radiologically, it is most appreciable on. Nutmeg liver refers to the mottled appearance of the liver as a result of hepatic venous congestion. Radiologically, it is most appreciable. Radiologically, it is most appreciable on. The liver shows heterogeneous enhancement with periportal edema and dilated hepatic veins, however, the portal and hepatic. Radiologically, it is most appreciable. Nutmeg liver refers to. Nutmeg Appearance Of Liver Radiology.
From www.animalia-life.club
Nutmeg Liver Ultrasound Nutmeg Appearance Of Liver Radiology Radiologically, it is most appreciable. Radiologically, it is most appreciable on. Radiologically, it is most appreciable on. Recognition of passive hepatic congestion on ct or mri may help explain liver function. Radiologically, it is most appreciable. Nutmeg liver refers to the mottled appearance of the liver as a result of hepatic venous congestion. The liver shows heterogeneous enhancement with periportal. Nutmeg Appearance Of Liver Radiology.
From ar.inspiredpencil.com
Nutmeg Liver Histology Nutmeg Appearance Of Liver Radiology Nutmeg liver refers to the mottled appearance of the liver as a result of hepatic venous congestion. Recognition of passive hepatic congestion on ct or mri may help explain liver function. Radiologically, it is most appreciable. The liver shows heterogeneous enhancement with periportal edema and dilated hepatic veins, however, the portal and hepatic. Radiologically, it is most appreciable. Radiologically, it. Nutmeg Appearance Of Liver Radiology.
From www.researchgate.net
Hematoxylin and Eosin (H&E) staining of liver tissue after nutmeg Nutmeg Appearance Of Liver Radiology Radiologically, it is most appreciable. Radiologically, it is most appreciable on. Radiologically, it is most appreciable on. Recognition of passive hepatic congestion on ct or mri may help explain liver function. Nutmeg liver refers to the mottled appearance of the liver as a result of hepatic venous congestion. Nutmeg liver refers to the mottled appearance of the liver as a. Nutmeg Appearance Of Liver Radiology.
From ar.inspiredpencil.com
Nutmeg Liver Nutmeg Appearance Of Liver Radiology Recognition of passive hepatic congestion on ct or mri may help explain liver function. The changes in hepatic vasculature lead to hepatic venous congestion and perfusion abnormalities most prominent in the liver periphery manifesting in a nutmeg liver appearance on computed tomography (ct) scan. Nutmeg liver refers to the mottled appearance of the liver as a result of hepatic venous. Nutmeg Appearance Of Liver Radiology.
From www.animalia-life.club
Nutmeg Liver Ultrasound Nutmeg Appearance Of Liver Radiology Nutmeg liver refers to the mottled appearance of the liver as a result of hepatic venous congestion. Nutmeg liver refers to the mottled appearance of the liver as a result of hepatic venous congestion. Radiologically, it is most appreciable on. Radiologically, it is most appreciable on. Nutmeg liver refers to the mottled appearance of the liver as a result of. Nutmeg Appearance Of Liver Radiology.
From ar.inspiredpencil.com
Nutmeg Liver Ultrasound Nutmeg Appearance Of Liver Radiology The changes in hepatic vasculature lead to hepatic venous congestion and perfusion abnormalities most prominent in the liver periphery manifesting in a nutmeg liver appearance on computed tomography (ct) scan. Nutmeg liver refers to the mottled appearance of the liver as a result of hepatic venous congestion. Nutmeg liver refers to the mottled appearance of the liver as a result. Nutmeg Appearance Of Liver Radiology.
From radiologykey.com
Liver Radiology Key Nutmeg Appearance Of Liver Radiology Nutmeg liver refers to the mottled appearance of the liver as a result of hepatic venous congestion. Nutmeg liver refers to the mottled appearance of the liver as a result of hepatic venous congestion. Nutmeg liver refers to the mottled appearance of the liver as a result of hepatic venous congestion. Radiologically, it is most appreciable. The liver shows heterogeneous. Nutmeg Appearance Of Liver Radiology.
From ar.inspiredpencil.com
Nutmeg Liver Ultrasound Nutmeg Appearance Of Liver Radiology Recognition of passive hepatic congestion on ct or mri may help explain liver function. Nutmeg liver refers to the mottled appearance of the liver as a result of hepatic venous congestion. Nutmeg liver refers to the mottled appearance of the liver as a result of hepatic venous congestion. Radiologically, it is most appreciable on. Radiologically, it is most appreciable. Radiologically,. Nutmeg Appearance Of Liver Radiology.
From www.pinterest.com
Nutmeg liver This 32years old came for a PET. She has pericardial Nutmeg Appearance Of Liver Radiology Radiologically, it is most appreciable. Radiologically, it is most appreciable on. Nutmeg liver refers to the mottled appearance of the liver as a result of hepatic venous congestion. The changes in hepatic vasculature lead to hepatic venous congestion and perfusion abnormalities most prominent in the liver periphery manifesting in a nutmeg liver appearance on computed tomography (ct) scan. Radiologically, it. Nutmeg Appearance Of Liver Radiology.
From ar.inspiredpencil.com
Nutmeg Liver Nutmeg Appearance Of Liver Radiology Radiologically, it is most appreciable. Nutmeg liver refers to the mottled appearance of the liver as a result of hepatic venous congestion. Nutmeg liver refers to the mottled appearance of the liver as a result of hepatic venous congestion. Radiologically, it is most appreciable on. Nutmeg liver refers to the mottled appearance of the liver as a result of hepatic. Nutmeg Appearance Of Liver Radiology.
From www.researchgate.net
A 56yearold patient with a case of nutmeg liver. Axial and coronal Nutmeg Appearance Of Liver Radiology The liver shows heterogeneous enhancement with periportal edema and dilated hepatic veins, however, the portal and hepatic. Radiologically, it is most appreciable on. Radiologically, it is most appreciable. Nutmeg liver refers to the mottled appearance of the liver as a result of hepatic venous congestion. Nutmeg liver refers to the mottled appearance of the liver as a result of hepatic. Nutmeg Appearance Of Liver Radiology.
From radiologykey.com
Liver Radiology Key Nutmeg Appearance Of Liver Radiology Nutmeg liver refers to the mottled appearance of the liver as a result of hepatic venous congestion. The liver shows heterogeneous enhancement with periportal edema and dilated hepatic veins, however, the portal and hepatic. Nutmeg liver refers to the mottled appearance of the liver as a result of hepatic venous congestion. Radiologically, it is most appreciable on. Recognition of passive. Nutmeg Appearance Of Liver Radiology.
From www.animalia-life.club
Nutmeg Liver Ultrasound Nutmeg Appearance Of Liver Radiology Radiologically, it is most appreciable. Nutmeg liver refers to the mottled appearance of the liver as a result of hepatic venous congestion. Radiologically, it is most appreciable. The liver shows heterogeneous enhancement with periportal edema and dilated hepatic veins, however, the portal and hepatic. The changes in hepatic vasculature lead to hepatic venous congestion and perfusion abnormalities most prominent in. Nutmeg Appearance Of Liver Radiology.
From nccommons.org
Nutmeg liver (Radiopaedia 6384572580 A) NC Commons Nutmeg Appearance Of Liver Radiology The changes in hepatic vasculature lead to hepatic venous congestion and perfusion abnormalities most prominent in the liver periphery manifesting in a nutmeg liver appearance on computed tomography (ct) scan. Nutmeg liver refers to the mottled appearance of the liver as a result of hepatic venous congestion. Nutmeg liver refers to the mottled appearance of the liver as a result. Nutmeg Appearance Of Liver Radiology.
From www.researchgate.net
Full body PET/CT scan nutmeg liver with perihepatic fluid. Download Nutmeg Appearance Of Liver Radiology The changes in hepatic vasculature lead to hepatic venous congestion and perfusion abnormalities most prominent in the liver periphery manifesting in a nutmeg liver appearance on computed tomography (ct) scan. Nutmeg liver refers to the mottled appearance of the liver as a result of hepatic venous congestion. The liver shows heterogeneous enhancement with periportal edema and dilated hepatic veins, however,. Nutmeg Appearance Of Liver Radiology.
From www.animalia-life.club
Nutmeg Liver Ultrasound Nutmeg Appearance Of Liver Radiology Nutmeg liver refers to the mottled appearance of the liver as a result of hepatic venous congestion. Radiologically, it is most appreciable. Radiologically, it is most appreciable on. Nutmeg liver refers to the mottled appearance of the liver as a result of hepatic venous congestion. Radiologically, it is most appreciable. The liver shows heterogeneous enhancement with periportal edema and dilated. Nutmeg Appearance Of Liver Radiology.
From emj.bmj.com
Nutmeg liver Emergency Medicine Journal Nutmeg Appearance Of Liver Radiology Nutmeg liver refers to the mottled appearance of the liver as a result of hepatic venous congestion. The changes in hepatic vasculature lead to hepatic venous congestion and perfusion abnormalities most prominent in the liver periphery manifesting in a nutmeg liver appearance on computed tomography (ct) scan. Nutmeg liver refers to the mottled appearance of the liver as a result. Nutmeg Appearance Of Liver Radiology.
From www.youtube.com
Interpreting CT Abdo Nutmeg Liver Passive Congestion, Budd Chiari Nutmeg Appearance Of Liver Radiology Radiologically, it is most appreciable on. Radiologically, it is most appreciable. Nutmeg liver refers to the mottled appearance of the liver as a result of hepatic venous congestion. Radiologically, it is most appreciable on. Nutmeg liver refers to the mottled appearance of the liver as a result of hepatic venous congestion. The liver shows heterogeneous enhancement with periportal edema and. Nutmeg Appearance Of Liver Radiology.
From liveratlas.org
Liver Atlas Diagnosis Hepatic Congestion Nutmeg Appearance Of Liver Radiology Nutmeg liver refers to the mottled appearance of the liver as a result of hepatic venous congestion. Nutmeg liver refers to the mottled appearance of the liver as a result of hepatic venous congestion. Recognition of passive hepatic congestion on ct or mri may help explain liver function. Nutmeg liver refers to the mottled appearance of the liver as a. Nutmeg Appearance Of Liver Radiology.
From www.wikidoc.org
Nutmeg liver wikidoc Nutmeg Appearance Of Liver Radiology Radiologically, it is most appreciable. Nutmeg liver refers to the mottled appearance of the liver as a result of hepatic venous congestion. Radiologically, it is most appreciable on. The changes in hepatic vasculature lead to hepatic venous congestion and perfusion abnormalities most prominent in the liver periphery manifesting in a nutmeg liver appearance on computed tomography (ct) scan. Radiologically, it. Nutmeg Appearance Of Liver Radiology.
From ar.inspiredpencil.com
Nutmeg Liver Ultrasound Nutmeg Appearance Of Liver Radiology The changes in hepatic vasculature lead to hepatic venous congestion and perfusion abnormalities most prominent in the liver periphery manifesting in a nutmeg liver appearance on computed tomography (ct) scan. Nutmeg liver refers to the mottled appearance of the liver as a result of hepatic venous congestion. Nutmeg liver refers to the mottled appearance of the liver as a result. Nutmeg Appearance Of Liver Radiology.
From www.liver.theclinics.com
Cardiovascular Diseases and the Liver Clinics in Liver Disease Nutmeg Appearance Of Liver Radiology Recognition of passive hepatic congestion on ct or mri may help explain liver function. Nutmeg liver refers to the mottled appearance of the liver as a result of hepatic venous congestion. Radiologically, it is most appreciable. The liver shows heterogeneous enhancement with periportal edema and dilated hepatic veins, however, the portal and hepatic. The changes in hepatic vasculature lead to. Nutmeg Appearance Of Liver Radiology.
From www.wikidoc.org
Nutmeg liver wikidoc Nutmeg Appearance Of Liver Radiology Radiologically, it is most appreciable. Radiologically, it is most appreciable. Nutmeg liver refers to the mottled appearance of the liver as a result of hepatic venous congestion. Radiologically, it is most appreciable on. Radiologically, it is most appreciable on. Nutmeg liver refers to the mottled appearance of the liver as a result of hepatic venous congestion. The liver shows heterogeneous. Nutmeg Appearance Of Liver Radiology.
From ar.inspiredpencil.com
Nutmeg Liver Ultrasound Nutmeg Appearance Of Liver Radiology Radiologically, it is most appreciable. Radiologically, it is most appreciable. The changes in hepatic vasculature lead to hepatic venous congestion and perfusion abnormalities most prominent in the liver periphery manifesting in a nutmeg liver appearance on computed tomography (ct) scan. Nutmeg liver refers to the mottled appearance of the liver as a result of hepatic venous congestion. The liver shows. Nutmeg Appearance Of Liver Radiology.
From www.youtube.com
CVC LIVER NUTMEG LIVER Hemodynamic Disorder I Pathology YouTube Nutmeg Appearance Of Liver Radiology Radiologically, it is most appreciable. Nutmeg liver refers to the mottled appearance of the liver as a result of hepatic venous congestion. Radiologically, it is most appreciable on. Nutmeg liver refers to the mottled appearance of the liver as a result of hepatic venous congestion. Recognition of passive hepatic congestion on ct or mri may help explain liver function. Radiologically,. Nutmeg Appearance Of Liver Radiology.
From www.wikidoc.org
Nutmeg liver wikidoc Nutmeg Appearance Of Liver Radiology Radiologically, it is most appreciable. Nutmeg liver refers to the mottled appearance of the liver as a result of hepatic venous congestion. Radiologically, it is most appreciable on. Radiologically, it is most appreciable. Nutmeg liver refers to the mottled appearance of the liver as a result of hepatic venous congestion. Recognition of passive hepatic congestion on ct or mri may. Nutmeg Appearance Of Liver Radiology.
From www.animalia-life.club
Nutmeg Liver Ultrasound Nutmeg Appearance Of Liver Radiology Radiologically, it is most appreciable. Nutmeg liver refers to the mottled appearance of the liver as a result of hepatic venous congestion. Nutmeg liver refers to the mottled appearance of the liver as a result of hepatic venous congestion. Nutmeg liver refers to the mottled appearance of the liver as a result of hepatic venous congestion. Recognition of passive hepatic. Nutmeg Appearance Of Liver Radiology.
From www.pinterest.com
Hepatic congestion ( nutmeg liver) with dilated IVC and non opacified Nutmeg Appearance Of Liver Radiology Radiologically, it is most appreciable on. The changes in hepatic vasculature lead to hepatic venous congestion and perfusion abnormalities most prominent in the liver periphery manifesting in a nutmeg liver appearance on computed tomography (ct) scan. Radiologically, it is most appreciable. Nutmeg liver refers to the mottled appearance of the liver as a result of hepatic venous congestion. Radiologically, it. Nutmeg Appearance Of Liver Radiology.
From www.animalia-life.club
Nutmeg Liver Ultrasound Nutmeg Appearance Of Liver Radiology Nutmeg liver refers to the mottled appearance of the liver as a result of hepatic venous congestion. The changes in hepatic vasculature lead to hepatic venous congestion and perfusion abnormalities most prominent in the liver periphery manifesting in a nutmeg liver appearance on computed tomography (ct) scan. Nutmeg liver refers to the mottled appearance of the liver as a result. Nutmeg Appearance Of Liver Radiology.