Symptoms Of Liver Granuloma . hepatic granulomas are localized collections of inflammatory cells, which are found in 2% to 10% of patients. hepatic granulomas may be found incidentally on an otherwise normal liver biopsy or may be caused by. Hepatic granulomas have numerous causes and are usually asymptomatic. although most granulomas are harmless and do not cause symptoms, they can sometimes lead to liver damage or. symptoms of hepatic granulomas. hepatic granulomas are small, localized areas of inflammation that form in the liver. They are typically composed of. Hepatic granulomas have numerous causes and are usually. Granulomas themselves typically cause no symptoms. Clinical features reflect the underlying systemic disease and its. The liver may enlarge slightly,. granulomas themselves are typically asymptomatic.
from www.spandidos-publications.com
hepatic granulomas are localized collections of inflammatory cells, which are found in 2% to 10% of patients. granulomas themselves are typically asymptomatic. The liver may enlarge slightly,. They are typically composed of. although most granulomas are harmless and do not cause symptoms, they can sometimes lead to liver damage or. Hepatic granulomas have numerous causes and are usually asymptomatic. hepatic granulomas may be found incidentally on an otherwise normal liver biopsy or may be caused by. Clinical features reflect the underlying systemic disease and its. Granulomas themselves typically cause no symptoms. symptoms of hepatic granulomas.
Granuloma formation in the liver is relatively delayed, although
Symptoms Of Liver Granuloma although most granulomas are harmless and do not cause symptoms, they can sometimes lead to liver damage or. Granulomas themselves typically cause no symptoms. Hepatic granulomas have numerous causes and are usually. symptoms of hepatic granulomas. Clinical features reflect the underlying systemic disease and its. The liver may enlarge slightly,. Hepatic granulomas have numerous causes and are usually asymptomatic. They are typically composed of. granulomas themselves are typically asymptomatic. hepatic granulomas are small, localized areas of inflammation that form in the liver. hepatic granulomas are localized collections of inflammatory cells, which are found in 2% to 10% of patients. hepatic granulomas may be found incidentally on an otherwise normal liver biopsy or may be caused by. although most granulomas are harmless and do not cause symptoms, they can sometimes lead to liver damage or.
From onlinelibrary.wiley.com
Eosinophilic granulomatosis with polyangiitis Cutaneous clinical and Symptoms Of Liver Granuloma granulomas themselves are typically asymptomatic. Hepatic granulomas have numerous causes and are usually. Hepatic granulomas have numerous causes and are usually asymptomatic. They are typically composed of. symptoms of hepatic granulomas. The liver may enlarge slightly,. Granulomas themselves typically cause no symptoms. hepatic granulomas are small, localized areas of inflammation that form in the liver. hepatic. Symptoms Of Liver Granuloma.
From www.researchgate.net
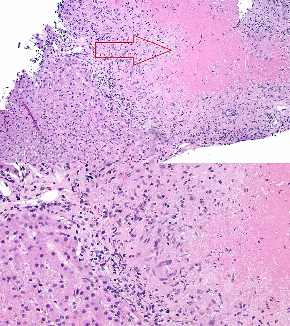
(a) Liver biopsy specimen on H&E stain showing noncaseating granuloma.... Symptoms Of Liver Granuloma The liver may enlarge slightly,. They are typically composed of. symptoms of hepatic granulomas. granulomas themselves are typically asymptomatic. Clinical features reflect the underlying systemic disease and its. Hepatic granulomas have numerous causes and are usually. Hepatic granulomas have numerous causes and are usually asymptomatic. hepatic granulomas are localized collections of inflammatory cells, which are found in. Symptoms Of Liver Granuloma.
From www.slideserve.com
PPT THE IMMUNE RESPONSES TO PARASITES PowerPoint Presentation, free Symptoms Of Liver Granuloma The liver may enlarge slightly,. hepatic granulomas may be found incidentally on an otherwise normal liver biopsy or may be caused by. Hepatic granulomas have numerous causes and are usually asymptomatic. granulomas themselves are typically asymptomatic. although most granulomas are harmless and do not cause symptoms, they can sometimes lead to liver damage or. hepatic granulomas. Symptoms Of Liver Granuloma.
From www.xiahepublishing.com
Hepatic Sarcoidosis Symptoms Of Liver Granuloma Hepatic granulomas have numerous causes and are usually. although most granulomas are harmless and do not cause symptoms, they can sometimes lead to liver damage or. hepatic granulomas may be found incidentally on an otherwise normal liver biopsy or may be caused by. Clinical features reflect the underlying systemic disease and its. Hepatic granulomas have numerous causes and. Symptoms Of Liver Granuloma.
From vetpath.wordpress.com
Hepatic Granulomas in a Blood Python veterinary pathology Symptoms Of Liver Granuloma Hepatic granulomas have numerous causes and are usually asymptomatic. Hepatic granulomas have numerous causes and are usually. The liver may enlarge slightly,. Clinical features reflect the underlying systemic disease and its. hepatic granulomas are small, localized areas of inflammation that form in the liver. hepatic granulomas may be found incidentally on an otherwise normal liver biopsy or may. Symptoms Of Liver Granuloma.
From www.researchgate.net
(PDF) Endogenous IL13 Plays a Crucial Role in Liver Granuloma Symptoms Of Liver Granuloma They are typically composed of. Granulomas themselves typically cause no symptoms. Clinical features reflect the underlying systemic disease and its. hepatic granulomas may be found incidentally on an otherwise normal liver biopsy or may be caused by. Hepatic granulomas have numerous causes and are usually asymptomatic. although most granulomas are harmless and do not cause symptoms, they can. Symptoms Of Liver Granuloma.
From www.aasld.org
Pathology Pearls Granulomatous Liver Diseases AASLD Symptoms Of Liver Granuloma hepatic granulomas are small, localized areas of inflammation that form in the liver. although most granulomas are harmless and do not cause symptoms, they can sometimes lead to liver damage or. They are typically composed of. Hepatic granulomas have numerous causes and are usually asymptomatic. Hepatic granulomas have numerous causes and are usually. granulomas themselves are typically. Symptoms Of Liver Granuloma.
From www.researchgate.net
GITR stimulation on day 5 p.i. enhances liver granuloma formation. A Symptoms Of Liver Granuloma Granulomas themselves typically cause no symptoms. symptoms of hepatic granulomas. Hepatic granulomas have numerous causes and are usually asymptomatic. hepatic granulomas are localized collections of inflammatory cells, which are found in 2% to 10% of patients. hepatic granulomas may be found incidentally on an otherwise normal liver biopsy or may be caused by. Hepatic granulomas have numerous. Symptoms Of Liver Granuloma.
From www.researchgate.net
Impaired initial liver granuloma assembly and maturation in L. donovani Symptoms Of Liver Granuloma symptoms of hepatic granulomas. granulomas themselves are typically asymptomatic. hepatic granulomas are small, localized areas of inflammation that form in the liver. Clinical features reflect the underlying systemic disease and its. Hepatic granulomas have numerous causes and are usually asymptomatic. hepatic granulomas may be found incidentally on an otherwise normal liver biopsy or may be caused. Symptoms Of Liver Granuloma.
From www.researchgate.net
Granuloma formation in the liver following L. donovani infection. (a Symptoms Of Liver Granuloma The liver may enlarge slightly,. They are typically composed of. Granulomas themselves typically cause no symptoms. hepatic granulomas may be found incidentally on an otherwise normal liver biopsy or may be caused by. hepatic granulomas are localized collections of inflammatory cells, which are found in 2% to 10% of patients. Hepatic granulomas have numerous causes and are usually. Symptoms Of Liver Granuloma.
From www.researchgate.net
The liver granuloma reaction after L. infantum infection. (A) The Symptoms Of Liver Granuloma hepatic granulomas are small, localized areas of inflammation that form in the liver. hepatic granulomas may be found incidentally on an otherwise normal liver biopsy or may be caused by. The liver may enlarge slightly,. Hepatic granulomas have numerous causes and are usually asymptomatic. granulomas themselves are typically asymptomatic. They are typically composed of. although most. Symptoms Of Liver Granuloma.
From www.youtube.com
Chronic granulomatous disease causes, symptoms, diagnosis, treatment Symptoms Of Liver Granuloma although most granulomas are harmless and do not cause symptoms, they can sometimes lead to liver damage or. hepatic granulomas may be found incidentally on an otherwise normal liver biopsy or may be caused by. Granulomas themselves typically cause no symptoms. Hepatic granulomas have numerous causes and are usually asymptomatic. granulomas themselves are typically asymptomatic. hepatic. Symptoms Of Liver Granuloma.
From www.youtube.com
Wegener's granulomatosis Granulomatosis with polyangiitis Symptoms Symptoms Of Liver Granuloma Hepatic granulomas have numerous causes and are usually. hepatic granulomas are small, localized areas of inflammation that form in the liver. hepatic granulomas are localized collections of inflammatory cells, which are found in 2% to 10% of patients. They are typically composed of. Hepatic granulomas have numerous causes and are usually asymptomatic. symptoms of hepatic granulomas. . Symptoms Of Liver Granuloma.
From www.verywellhealth.com
Diagnosing and Treating Granulomatosis with Polyangiitis Symptoms Of Liver Granuloma symptoms of hepatic granulomas. hepatic granulomas are localized collections of inflammatory cells, which are found in 2% to 10% of patients. hepatic granulomas may be found incidentally on an otherwise normal liver biopsy or may be caused by. Granulomas themselves typically cause no symptoms. Clinical features reflect the underlying systemic disease and its. hepatic granulomas are. Symptoms Of Liver Granuloma.
From www.flickr.com
Granuloma in Liver FNA Specimen, Pap stain Note two astero… Flickr Symptoms Of Liver Granuloma Granulomas themselves typically cause no symptoms. granulomas themselves are typically asymptomatic. The liver may enlarge slightly,. although most granulomas are harmless and do not cause symptoms, they can sometimes lead to liver damage or. They are typically composed of. hepatic granulomas are small, localized areas of inflammation that form in the liver. hepatic granulomas may be. Symptoms Of Liver Granuloma.
From www.gastrojournal.org
Weight Loss and Granulomatous Liver Disease Gastroenterology Symptoms Of Liver Granuloma hepatic granulomas are localized collections of inflammatory cells, which are found in 2% to 10% of patients. symptoms of hepatic granulomas. Clinical features reflect the underlying systemic disease and its. hepatic granulomas are small, localized areas of inflammation that form in the liver. They are typically composed of. Granulomas themselves typically cause no symptoms. The liver may. Symptoms Of Liver Granuloma.
From www.spandidos-publications.com
Granuloma formation in the liver is relatively delayed, although Symptoms Of Liver Granuloma hepatic granulomas are small, localized areas of inflammation that form in the liver. Hepatic granulomas have numerous causes and are usually asymptomatic. They are typically composed of. Hepatic granulomas have numerous causes and are usually. The liver may enlarge slightly,. hepatic granulomas may be found incidentally on an otherwise normal liver biopsy or may be caused by. Granulomas. Symptoms Of Liver Granuloma.
From www.researchgate.net
Liver granuloma in a case of hepatic Q fever. Note the "doughnut Symptoms Of Liver Granuloma although most granulomas are harmless and do not cause symptoms, they can sometimes lead to liver damage or. Clinical features reflect the underlying systemic disease and its. Granulomas themselves typically cause no symptoms. granulomas themselves are typically asymptomatic. hepatic granulomas are localized collections of inflammatory cells, which are found in 2% to 10% of patients. Hepatic granulomas. Symptoms Of Liver Granuloma.
From www.cureus.com
Cureus A Rare Case of Necrotizing Sarcoid Granulomatosis Involving Liver Symptoms Of Liver Granuloma hepatic granulomas are localized collections of inflammatory cells, which are found in 2% to 10% of patients. Hepatic granulomas have numerous causes and are usually asymptomatic. Granulomas themselves typically cause no symptoms. hepatic granulomas are small, localized areas of inflammation that form in the liver. Hepatic granulomas have numerous causes and are usually. Clinical features reflect the underlying. Symptoms Of Liver Granuloma.
From www.cureus.com
Cureus A Rare Case of Necrotizing Sarcoid Granulomatosis Involving Liver Symptoms Of Liver Granuloma Clinical features reflect the underlying systemic disease and its. although most granulomas are harmless and do not cause symptoms, they can sometimes lead to liver damage or. Hepatic granulomas have numerous causes and are usually asymptomatic. hepatic granulomas may be found incidentally on an otherwise normal liver biopsy or may be caused by. hepatic granulomas are small,. Symptoms Of Liver Granuloma.
From calgaryguide.ucalgary.ca
Granulomatosis with polyangiitis Pathogenesis Calgary Guide Symptoms Of Liver Granuloma The liver may enlarge slightly,. They are typically composed of. Granulomas themselves typically cause no symptoms. granulomas themselves are typically asymptomatic. hepatic granulomas may be found incidentally on an otherwise normal liver biopsy or may be caused by. Hepatic granulomas have numerous causes and are usually. Hepatic granulomas have numerous causes and are usually asymptomatic. although most. Symptoms Of Liver Granuloma.
From mungfali.com
Periapical Granuloma Histology Symptoms Of Liver Granuloma The liver may enlarge slightly,. Hepatic granulomas have numerous causes and are usually asymptomatic. hepatic granulomas may be found incidentally on an otherwise normal liver biopsy or may be caused by. They are typically composed of. although most granulomas are harmless and do not cause symptoms, they can sometimes lead to liver damage or. hepatic granulomas are. Symptoms Of Liver Granuloma.
From www.researchgate.net
Effects on granuloma size and parasite egg burdens in liver after Symptoms Of Liver Granuloma The liver may enlarge slightly,. hepatic granulomas may be found incidentally on an otherwise normal liver biopsy or may be caused by. hepatic granulomas are localized collections of inflammatory cells, which are found in 2% to 10% of patients. Hepatic granulomas have numerous causes and are usually asymptomatic. symptoms of hepatic granulomas. hepatic granulomas are small,. Symptoms Of Liver Granuloma.
From www.researchgate.net
(PDF) Liver granulomatosis a case of Chlamydophila pneumoniae infection Symptoms Of Liver Granuloma hepatic granulomas are small, localized areas of inflammation that form in the liver. Clinical features reflect the underlying systemic disease and its. They are typically composed of. hepatic granulomas may be found incidentally on an otherwise normal liver biopsy or may be caused by. Granulomas themselves typically cause no symptoms. symptoms of hepatic granulomas. The liver may. Symptoms Of Liver Granuloma.
From www.pathologyoutlines.com
Pathology Outlines Granulomatous hepatitis Symptoms Of Liver Granuloma Granulomas themselves typically cause no symptoms. hepatic granulomas may be found incidentally on an otherwise normal liver biopsy or may be caused by. Hepatic granulomas have numerous causes and are usually asymptomatic. They are typically composed of. although most granulomas are harmless and do not cause symptoms, they can sometimes lead to liver damage or. granulomas themselves. Symptoms Of Liver Granuloma.
From pregnancydepressiongb.blogspot.com
Granulomatous Liver Disease Symptoms Pregnancy Depression Symptoms Of Liver Granuloma symptoms of hepatic granulomas. hepatic granulomas are small, localized areas of inflammation that form in the liver. Hepatic granulomas have numerous causes and are usually. hepatic granulomas are localized collections of inflammatory cells, which are found in 2% to 10% of patients. hepatic granulomas may be found incidentally on an otherwise normal liver biopsy or may. Symptoms Of Liver Granuloma.
From www.verywellhealth.com
Granuloma Symptoms and Related Conditions Symptoms Of Liver Granuloma Hepatic granulomas have numerous causes and are usually asymptomatic. hepatic granulomas may be found incidentally on an otherwise normal liver biopsy or may be caused by. hepatic granulomas are small, localized areas of inflammation that form in the liver. symptoms of hepatic granulomas. granulomas themselves are typically asymptomatic. Hepatic granulomas have numerous causes and are usually.. Symptoms Of Liver Granuloma.
From journal.frontiersin.org
Frontiers The Schistosoma Granuloma Friend or Foe? Immunology Symptoms Of Liver Granuloma Clinical features reflect the underlying systemic disease and its. hepatic granulomas are small, localized areas of inflammation that form in the liver. although most granulomas are harmless and do not cause symptoms, they can sometimes lead to liver damage or. hepatic granulomas may be found incidentally on an otherwise normal liver biopsy or may be caused by.. Symptoms Of Liver Granuloma.
From www.liver.theclinics.com
Hepatic Granulomas Pathogenesis and Differential Diagnosis Clinics Symptoms Of Liver Granuloma granulomas themselves are typically asymptomatic. Hepatic granulomas have numerous causes and are usually. They are typically composed of. symptoms of hepatic granulomas. hepatic granulomas are localized collections of inflammatory cells, which are found in 2% to 10% of patients. although most granulomas are harmless and do not cause symptoms, they can sometimes lead to liver damage. Symptoms Of Liver Granuloma.
From www.osmosis.org
Granulomatosis infantiseptica What Is It, Treatment, and More Osmosis Symptoms Of Liver Granuloma Granulomas themselves typically cause no symptoms. hepatic granulomas may be found incidentally on an otherwise normal liver biopsy or may be caused by. although most granulomas are harmless and do not cause symptoms, they can sometimes lead to liver damage or. Clinical features reflect the underlying systemic disease and its. Hepatic granulomas have numerous causes and are usually.. Symptoms Of Liver Granuloma.
From www.boldsky.com
Granuloma Annulare Types, Causes, Symptoms, Diagnosis And Treatment Symptoms Of Liver Granuloma although most granulomas are harmless and do not cause symptoms, they can sometimes lead to liver damage or. They are typically composed of. hepatic granulomas may be found incidentally on an otherwise normal liver biopsy or may be caused by. Clinical features reflect the underlying systemic disease and its. Hepatic granulomas have numerous causes and are usually asymptomatic.. Symptoms Of Liver Granuloma.
From www.drawittoknowit.com
Pathology Glossary Eosinophilic granulomatosis with polyangiitis (aka Symptoms Of Liver Granuloma Hepatic granulomas have numerous causes and are usually. symptoms of hepatic granulomas. hepatic granulomas may be found incidentally on an otherwise normal liver biopsy or may be caused by. hepatic granulomas are localized collections of inflammatory cells, which are found in 2% to 10% of patients. hepatic granulomas are small, localized areas of inflammation that form. Symptoms Of Liver Granuloma.
From www.aasld.org
Pathology Pearls Granulomatous Liver Diseases AASLD Symptoms Of Liver Granuloma hepatic granulomas are localized collections of inflammatory cells, which are found in 2% to 10% of patients. although most granulomas are harmless and do not cause symptoms, they can sometimes lead to liver damage or. Hepatic granulomas have numerous causes and are usually. They are typically composed of. symptoms of hepatic granulomas. Hepatic granulomas have numerous causes. Symptoms Of Liver Granuloma.
From librepathology.org
Granuloma Libre Pathology Symptoms Of Liver Granuloma The liver may enlarge slightly,. hepatic granulomas are localized collections of inflammatory cells, which are found in 2% to 10% of patients. hepatic granulomas may be found incidentally on an otherwise normal liver biopsy or may be caused by. Granulomas themselves typically cause no symptoms. Hepatic granulomas have numerous causes and are usually. Hepatic granulomas have numerous causes. Symptoms Of Liver Granuloma.
From www.liver.theclinics.com
Hepatic Granulomas Pathogenesis and Differential Diagnosis Clinics Symptoms Of Liver Granuloma granulomas themselves are typically asymptomatic. hepatic granulomas are small, localized areas of inflammation that form in the liver. Hepatic granulomas have numerous causes and are usually asymptomatic. Granulomas themselves typically cause no symptoms. symptoms of hepatic granulomas. The liver may enlarge slightly,. hepatic granulomas are localized collections of inflammatory cells, which are found in 2% to. Symptoms Of Liver Granuloma.