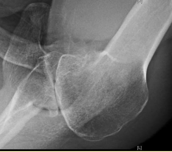
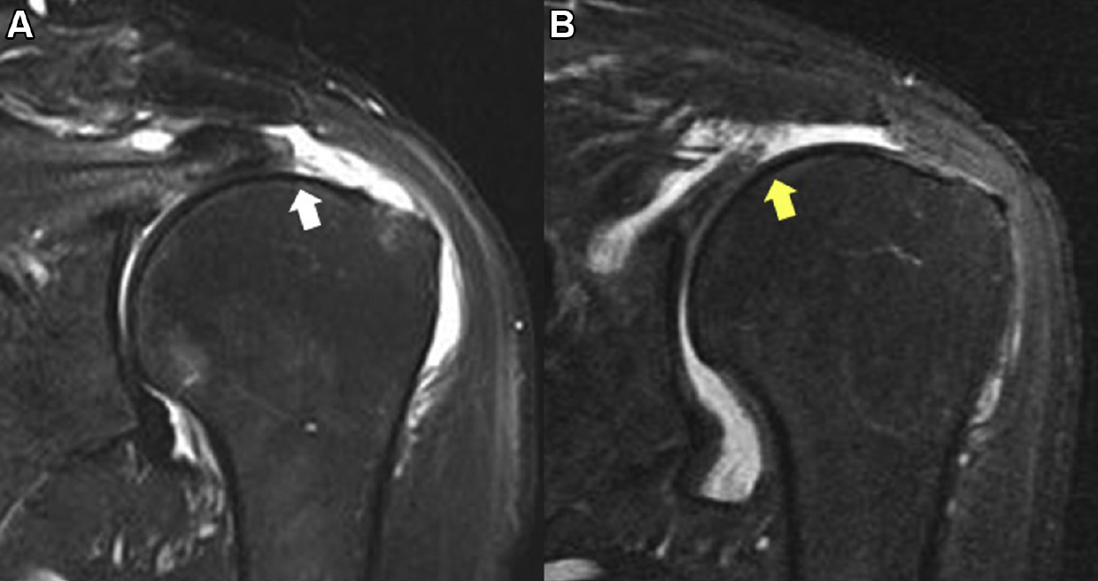
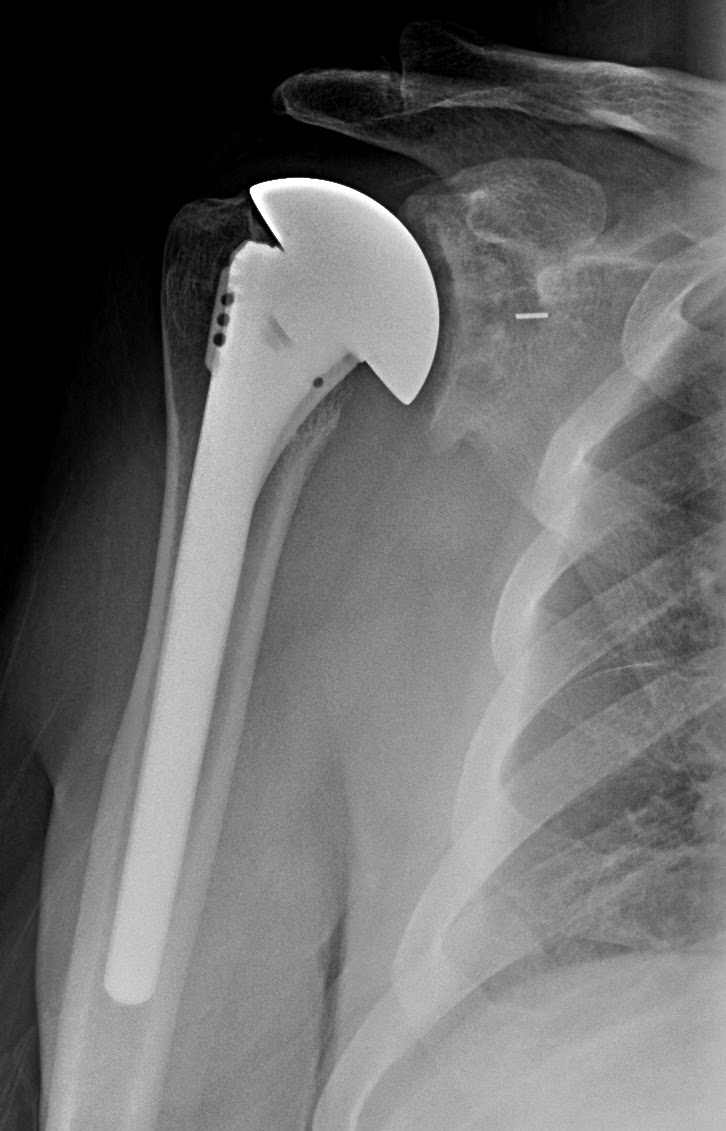
Shoulder Pain Arthritis Or Rotator Cuff . In the shoulder, arthritis causes pain and stiffness that can make it difficult to lift your arm, brush your hair, reach up to a high shelf, or perform. Rotator cuff tear arthropathy is a type of shoulder arthritis that can develop after a massive and prolonged rotator cuff tear. Pain from a problem with the rotator cuff is often called shoulder. The four rotator cuff tendons in your shoulder wrap around the ball portion of the shoulder joint, holding it in The rotator cuff is a group of muscles and tendons that surround the shoulder joint, keeping the head of the upper arm bone. The rotator cuff is a group of muscles and tendons that keep the upper arm bone held in the shoulder blade socket. If you experience shoulder pain at night that makes it difficult to fall asleep or jolts you awake, you may have a tear in one or more of your rotator cuff tendons. Injuries to the rotator cuff are common and can lead to a form of shoulder arthritis called rotator cuff tear arthropathy. The most important facts about cuff tear arthropathy (shoulder arthritis with a. Summary of rotator cuff tear arthropathy.
from baseballsolution.com
In the shoulder, arthritis causes pain and stiffness that can make it difficult to lift your arm, brush your hair, reach up to a high shelf, or perform. The most important facts about cuff tear arthropathy (shoulder arthritis with a. The four rotator cuff tendons in your shoulder wrap around the ball portion of the shoulder joint, holding it in Pain from a problem with the rotator cuff is often called shoulder. If you experience shoulder pain at night that makes it difficult to fall asleep or jolts you awake, you may have a tear in one or more of your rotator cuff tendons. The rotator cuff is a group of muscles and tendons that keep the upper arm bone held in the shoulder blade socket. Rotator cuff tear arthropathy is a type of shoulder arthritis that can develop after a massive and prolonged rotator cuff tear. Injuries to the rotator cuff are common and can lead to a form of shoulder arthritis called rotator cuff tear arthropathy. Summary of rotator cuff tear arthropathy. The rotator cuff is a group of muscles and tendons that surround the shoulder joint, keeping the head of the upper arm bone.
Rotator Cuff Injury Physical Therapy and Surgery
Shoulder Pain Arthritis Or Rotator Cuff Summary of rotator cuff tear arthropathy. Pain from a problem with the rotator cuff is often called shoulder. Injuries to the rotator cuff are common and can lead to a form of shoulder arthritis called rotator cuff tear arthropathy. If you experience shoulder pain at night that makes it difficult to fall asleep or jolts you awake, you may have a tear in one or more of your rotator cuff tendons. The four rotator cuff tendons in your shoulder wrap around the ball portion of the shoulder joint, holding it in The rotator cuff is a group of muscles and tendons that keep the upper arm bone held in the shoulder blade socket. Rotator cuff tear arthropathy is a type of shoulder arthritis that can develop after a massive and prolonged rotator cuff tear. The most important facts about cuff tear arthropathy (shoulder arthritis with a. The rotator cuff is a group of muscles and tendons that surround the shoulder joint, keeping the head of the upper arm bone. In the shoulder, arthritis causes pain and stiffness that can make it difficult to lift your arm, brush your hair, reach up to a high shelf, or perform. Summary of rotator cuff tear arthropathy.
From healthjade.net
Anterior shoulder pain causes, symptoms, diagnosis & treatment Shoulder Pain Arthritis Or Rotator Cuff Injuries to the rotator cuff are common and can lead to a form of shoulder arthritis called rotator cuff tear arthropathy. Rotator cuff tear arthropathy is a type of shoulder arthritis that can develop after a massive and prolonged rotator cuff tear. Summary of rotator cuff tear arthropathy. If you experience shoulder pain at night that makes it difficult to. Shoulder Pain Arthritis Or Rotator Cuff.
From shoulderarthritis.blogspot.com
UW Shoulder and Elbow Academy Do cuff tears increase in size with time Shoulder Pain Arthritis Or Rotator Cuff The four rotator cuff tendons in your shoulder wrap around the ball portion of the shoulder joint, holding it in The rotator cuff is a group of muscles and tendons that keep the upper arm bone held in the shoulder blade socket. Rotator cuff tear arthropathy is a type of shoulder arthritis that can develop after a massive and prolonged. Shoulder Pain Arthritis Or Rotator Cuff.
From www.pinterest.com
JointPainrelief Rotator cuff tendonitis, Rotator cuff, Bicep tendonitis Shoulder Pain Arthritis Or Rotator Cuff Summary of rotator cuff tear arthropathy. If you experience shoulder pain at night that makes it difficult to fall asleep or jolts you awake, you may have a tear in one or more of your rotator cuff tendons. The rotator cuff is a group of muscles and tendons that surround the shoulder joint, keeping the head of the upper arm. Shoulder Pain Arthritis Or Rotator Cuff.
From shoulderarthritis.blogspot.com
Shoulder Arthritis / Rotator Cuff Tears causes of shoulder pain Cuff Shoulder Pain Arthritis Or Rotator Cuff Injuries to the rotator cuff are common and can lead to a form of shoulder arthritis called rotator cuff tear arthropathy. The rotator cuff is a group of muscles and tendons that surround the shoulder joint, keeping the head of the upper arm bone. Rotator cuff tear arthropathy is a type of shoulder arthritis that can develop after a massive. Shoulder Pain Arthritis Or Rotator Cuff.
From xcellmedicalgroup.com
Shoulder Pain & Arthritis Xcell Medical Group Elyria, Ohio Shoulder Pain Arthritis Or Rotator Cuff In the shoulder, arthritis causes pain and stiffness that can make it difficult to lift your arm, brush your hair, reach up to a high shelf, or perform. Injuries to the rotator cuff are common and can lead to a form of shoulder arthritis called rotator cuff tear arthropathy. The rotator cuff is a group of muscles and tendons that. Shoulder Pain Arthritis Or Rotator Cuff.
From shoulderarthritis.blogspot.com
Shoulder Arthritis / Rotator Cuff Tears causes of shoulder pain How Shoulder Pain Arthritis Or Rotator Cuff In the shoulder, arthritis causes pain and stiffness that can make it difficult to lift your arm, brush your hair, reach up to a high shelf, or perform. The rotator cuff is a group of muscles and tendons that keep the upper arm bone held in the shoulder blade socket. Summary of rotator cuff tear arthropathy. Injuries to the rotator. Shoulder Pain Arthritis Or Rotator Cuff.
From sbsportsmedicine.com
Shoulder Arthritis What Is It, Symptoms, Treatment, and Prevention Shoulder Pain Arthritis Or Rotator Cuff The rotator cuff is a group of muscles and tendons that surround the shoulder joint, keeping the head of the upper arm bone. Pain from a problem with the rotator cuff is often called shoulder. Rotator cuff tear arthropathy is a type of shoulder arthritis that can develop after a massive and prolonged rotator cuff tear. The rotator cuff is. Shoulder Pain Arthritis Or Rotator Cuff.
From shoulderarthritis.blogspot.com
Shoulder Arthritis / Rotator Cuff Tears causes of shoulder pain How Shoulder Pain Arthritis Or Rotator Cuff In the shoulder, arthritis causes pain and stiffness that can make it difficult to lift your arm, brush your hair, reach up to a high shelf, or perform. The rotator cuff is a group of muscles and tendons that keep the upper arm bone held in the shoulder blade socket. Rotator cuff tear arthropathy is a type of shoulder arthritis. Shoulder Pain Arthritis Or Rotator Cuff.
From shoulderarthritis.blogspot.com
UW Shoulder and Elbow Academy The rotator cuff deficient shoulder Shoulder Pain Arthritis Or Rotator Cuff The four rotator cuff tendons in your shoulder wrap around the ball portion of the shoulder joint, holding it in The most important facts about cuff tear arthropathy (shoulder arthritis with a. Pain from a problem with the rotator cuff is often called shoulder. The rotator cuff is a group of muscles and tendons that keep the upper arm bone. Shoulder Pain Arthritis Or Rotator Cuff.
From shoulderarthritis.blogspot.com
UW Shoulder and Elbow Academy Rotator cuff tear arthropathy and the Shoulder Pain Arthritis Or Rotator Cuff Pain from a problem with the rotator cuff is often called shoulder. If you experience shoulder pain at night that makes it difficult to fall asleep or jolts you awake, you may have a tear in one or more of your rotator cuff tendons. Rotator cuff tear arthropathy is a type of shoulder arthritis that can develop after a massive. Shoulder Pain Arthritis Or Rotator Cuff.
From shoulderarthritis.blogspot.co.uk
Shoulder Arthritis / Rotator Cuff Tears causes of shoulder pain Shoulder Pain Arthritis Or Rotator Cuff Injuries to the rotator cuff are common and can lead to a form of shoulder arthritis called rotator cuff tear arthropathy. Summary of rotator cuff tear arthropathy. In the shoulder, arthritis causes pain and stiffness that can make it difficult to lift your arm, brush your hair, reach up to a high shelf, or perform. The rotator cuff is a. Shoulder Pain Arthritis Or Rotator Cuff.
From moopanarortho.com.au
Dr Terence Moopanar Shoulder arthritis Shoulder Pain Arthritis Or Rotator Cuff The rotator cuff is a group of muscles and tendons that surround the shoulder joint, keeping the head of the upper arm bone. The most important facts about cuff tear arthropathy (shoulder arthritis with a. Injuries to the rotator cuff are common and can lead to a form of shoulder arthritis called rotator cuff tear arthropathy. Pain from a problem. Shoulder Pain Arthritis Or Rotator Cuff.
From shoulderarthritis.blogspot.com
Shoulder Arthritis / Rotator Cuff Tears causes of shoulder pain Shoulder Pain Arthritis Or Rotator Cuff In the shoulder, arthritis causes pain and stiffness that can make it difficult to lift your arm, brush your hair, reach up to a high shelf, or perform. Injuries to the rotator cuff are common and can lead to a form of shoulder arthritis called rotator cuff tear arthropathy. If you experience shoulder pain at night that makes it difficult. Shoulder Pain Arthritis Or Rotator Cuff.
From www.youtube.com
Our 5 Most Effective Shoulder Pain Exercises (Rotator Cuff, Arthritis Shoulder Pain Arthritis Or Rotator Cuff The rotator cuff is a group of muscles and tendons that surround the shoulder joint, keeping the head of the upper arm bone. The four rotator cuff tendons in your shoulder wrap around the ball portion of the shoulder joint, holding it in Injuries to the rotator cuff are common and can lead to a form of shoulder arthritis called. Shoulder Pain Arthritis Or Rotator Cuff.
From shoulderarthritis.blogspot.com
Shoulder Arthritis / Rotator Cuff Tears causes of shoulder pain Shoulder Pain Arthritis Or Rotator Cuff Rotator cuff tear arthropathy is a type of shoulder arthritis that can develop after a massive and prolonged rotator cuff tear. The most important facts about cuff tear arthropathy (shoulder arthritis with a. The four rotator cuff tendons in your shoulder wrap around the ball portion of the shoulder joint, holding it in Summary of rotator cuff tear arthropathy. In. Shoulder Pain Arthritis Or Rotator Cuff.
From www.dallasshoulderdoc.com
Shoulder Pain Treatment Plano TX Shoulder Doctor Dallas TX Shoulder Pain Arthritis Or Rotator Cuff In the shoulder, arthritis causes pain and stiffness that can make it difficult to lift your arm, brush your hair, reach up to a high shelf, or perform. The rotator cuff is a group of muscles and tendons that keep the upper arm bone held in the shoulder blade socket. If you experience shoulder pain at night that makes it. Shoulder Pain Arthritis Or Rotator Cuff.
From sportsclinicnq.com.au
Shoulder Pain What investigations should I order? Sports Clinic NQ Shoulder Pain Arthritis Or Rotator Cuff The rotator cuff is a group of muscles and tendons that surround the shoulder joint, keeping the head of the upper arm bone. Pain from a problem with the rotator cuff is often called shoulder. Injuries to the rotator cuff are common and can lead to a form of shoulder arthritis called rotator cuff tear arthropathy. The four rotator cuff. Shoulder Pain Arthritis Or Rotator Cuff.
From painfreemaverick.com
The Ultimate Guide on How to Heal Your Shoulder Pain Shoulder Pain Arthritis Or Rotator Cuff Pain from a problem with the rotator cuff is often called shoulder. The rotator cuff is a group of muscles and tendons that surround the shoulder joint, keeping the head of the upper arm bone. In the shoulder, arthritis causes pain and stiffness that can make it difficult to lift your arm, brush your hair, reach up to a high. Shoulder Pain Arthritis Or Rotator Cuff.
From creakyjoints.org
Arthritis in Shoulders Symptoms, Types of Shoulder Arthritis Shoulder Pain Arthritis Or Rotator Cuff The rotator cuff is a group of muscles and tendons that keep the upper arm bone held in the shoulder blade socket. Pain from a problem with the rotator cuff is often called shoulder. Rotator cuff tear arthropathy is a type of shoulder arthritis that can develop after a massive and prolonged rotator cuff tear. Injuries to the rotator cuff. Shoulder Pain Arthritis Or Rotator Cuff.
From shoulderarthritis.blogspot.com
Shoulder Arthritis / Joint Replacement Evaluating the arthritic Shoulder Pain Arthritis Or Rotator Cuff Injuries to the rotator cuff are common and can lead to a form of shoulder arthritis called rotator cuff tear arthropathy. Rotator cuff tear arthropathy is a type of shoulder arthritis that can develop after a massive and prolonged rotator cuff tear. In the shoulder, arthritis causes pain and stiffness that can make it difficult to lift your arm, brush. Shoulder Pain Arthritis Or Rotator Cuff.
From arthritisallergy.com
Treatment for Rotator Cuff TendinitisShoulder Pain Arthritis Shoulder Pain Arthritis Or Rotator Cuff Pain from a problem with the rotator cuff is often called shoulder. Injuries to the rotator cuff are common and can lead to a form of shoulder arthritis called rotator cuff tear arthropathy. In the shoulder, arthritis causes pain and stiffness that can make it difficult to lift your arm, brush your hair, reach up to a high shelf, or. Shoulder Pain Arthritis Or Rotator Cuff.
From eastbaysportsdoc.com
Shoulder Pain & Injuries Walnut Creek, Ca Stephen S. Chen, MD Shoulder Pain Arthritis Or Rotator Cuff The rotator cuff is a group of muscles and tendons that surround the shoulder joint, keeping the head of the upper arm bone. Injuries to the rotator cuff are common and can lead to a form of shoulder arthritis called rotator cuff tear arthropathy. The four rotator cuff tendons in your shoulder wrap around the ball portion of the shoulder. Shoulder Pain Arthritis Or Rotator Cuff.
From www.liftmyarm.com
Shoulder Pain Arthritis Torn Rotator Cuff Shoulder Fracture Shoulder Pain Arthritis Or Rotator Cuff In the shoulder, arthritis causes pain and stiffness that can make it difficult to lift your arm, brush your hair, reach up to a high shelf, or perform. Injuries to the rotator cuff are common and can lead to a form of shoulder arthritis called rotator cuff tear arthropathy. Summary of rotator cuff tear arthropathy. Pain from a problem with. Shoulder Pain Arthritis Or Rotator Cuff.
From www.thespineandsportscenter.com
How Can I Treat My Shoulder Arthritis? The Spine and Sports Center Shoulder Pain Arthritis Or Rotator Cuff If you experience shoulder pain at night that makes it difficult to fall asleep or jolts you awake, you may have a tear in one or more of your rotator cuff tendons. In the shoulder, arthritis causes pain and stiffness that can make it difficult to lift your arm, brush your hair, reach up to a high shelf, or perform.. Shoulder Pain Arthritis Or Rotator Cuff.
From shoulderarthritis.blogspot.com
Shoulder Arthritis/Joint Replacement Rotator cuff tears What does a Shoulder Pain Arthritis Or Rotator Cuff The most important facts about cuff tear arthropathy (shoulder arthritis with a. Rotator cuff tear arthropathy is a type of shoulder arthritis that can develop after a massive and prolonged rotator cuff tear. If you experience shoulder pain at night that makes it difficult to fall asleep or jolts you awake, you may have a tear in one or more. Shoulder Pain Arthritis Or Rotator Cuff.
From shoulderarthritis.blogspot.com
Shoulder Arthritis / Rotator Cuff Tears causes of shoulder pain The Shoulder Pain Arthritis Or Rotator Cuff Rotator cuff tear arthropathy is a type of shoulder arthritis that can develop after a massive and prolonged rotator cuff tear. The rotator cuff is a group of muscles and tendons that surround the shoulder joint, keeping the head of the upper arm bone. Summary of rotator cuff tear arthropathy. In the shoulder, arthritis causes pain and stiffness that can. Shoulder Pain Arthritis Or Rotator Cuff.
From baseballsolution.com
Rotator Cuff Injury Physical Therapy and Surgery Shoulder Pain Arthritis Or Rotator Cuff The four rotator cuff tendons in your shoulder wrap around the ball portion of the shoulder joint, holding it in The most important facts about cuff tear arthropathy (shoulder arthritis with a. The rotator cuff is a group of muscles and tendons that keep the upper arm bone held in the shoulder blade socket. If you experience shoulder pain at. Shoulder Pain Arthritis Or Rotator Cuff.
From cathe.com
Shoulder Pain When Lifting Could It Be a Rotator Cuff Injury? Shoulder Pain Arthritis Or Rotator Cuff In the shoulder, arthritis causes pain and stiffness that can make it difficult to lift your arm, brush your hair, reach up to a high shelf, or perform. The rotator cuff is a group of muscles and tendons that surround the shoulder joint, keeping the head of the upper arm bone. Injuries to the rotator cuff are common and can. Shoulder Pain Arthritis Or Rotator Cuff.
From shoulderarthritis.blogspot.com
UW Shoulder and Elbow Academy Cuff tear arthropathy the use of a CTA Shoulder Pain Arthritis Or Rotator Cuff Injuries to the rotator cuff are common and can lead to a form of shoulder arthritis called rotator cuff tear arthropathy. In the shoulder, arthritis causes pain and stiffness that can make it difficult to lift your arm, brush your hair, reach up to a high shelf, or perform. Pain from a problem with the rotator cuff is often called. Shoulder Pain Arthritis Or Rotator Cuff.
From shoulderarthritis.blogspot.ca
Shoulder Arthritis / Rotator Cuff Tears causes of shoulder pain Shoulder Pain Arthritis Or Rotator Cuff Rotator cuff tear arthropathy is a type of shoulder arthritis that can develop after a massive and prolonged rotator cuff tear. The four rotator cuff tendons in your shoulder wrap around the ball portion of the shoulder joint, holding it in The rotator cuff is a group of muscles and tendons that surround the shoulder joint, keeping the head of. Shoulder Pain Arthritis Or Rotator Cuff.
From www.csp.org.uk
Effectiveness of exercise in rotator cuffrelated shoulder pain The Shoulder Pain Arthritis Or Rotator Cuff Summary of rotator cuff tear arthropathy. The most important facts about cuff tear arthropathy (shoulder arthritis with a. Injuries to the rotator cuff are common and can lead to a form of shoulder arthritis called rotator cuff tear arthropathy. In the shoulder, arthritis causes pain and stiffness that can make it difficult to lift your arm, brush your hair, reach. Shoulder Pain Arthritis Or Rotator Cuff.
From shoulderarthritis.blogspot.com
Shoulder Arthritis / Rotator Cuff Tears causes of shoulder pain Shoulder Pain Arthritis Or Rotator Cuff The most important facts about cuff tear arthropathy (shoulder arthritis with a. Pain from a problem with the rotator cuff is often called shoulder. Summary of rotator cuff tear arthropathy. If you experience shoulder pain at night that makes it difficult to fall asleep or jolts you awake, you may have a tear in one or more of your rotator. Shoulder Pain Arthritis Or Rotator Cuff.
From shoulderarthritis.blogspot.com
Shoulder Arthritis / Rotator Cuff Tears causes of shoulder pain Shoulder Pain Arthritis Or Rotator Cuff In the shoulder, arthritis causes pain and stiffness that can make it difficult to lift your arm, brush your hair, reach up to a high shelf, or perform. Pain from a problem with the rotator cuff is often called shoulder. Summary of rotator cuff tear arthropathy. The most important facts about cuff tear arthropathy (shoulder arthritis with a. The four. Shoulder Pain Arthritis Or Rotator Cuff.
From s3.amazonaws.com
One legged deadlift benefits, muscle building supplements reviews Shoulder Pain Arthritis Or Rotator Cuff Summary of rotator cuff tear arthropathy. Rotator cuff tear arthropathy is a type of shoulder arthritis that can develop after a massive and prolonged rotator cuff tear. Injuries to the rotator cuff are common and can lead to a form of shoulder arthritis called rotator cuff tear arthropathy. If you experience shoulder pain at night that makes it difficult to. Shoulder Pain Arthritis Or Rotator Cuff.
From shoulderarthritis.blogspot.com
Shoulder Arthritis / Rotator Cuff Tears causes of shoulder pain Shoulder Pain Arthritis Or Rotator Cuff The four rotator cuff tendons in your shoulder wrap around the ball portion of the shoulder joint, holding it in Summary of rotator cuff tear arthropathy. The rotator cuff is a group of muscles and tendons that keep the upper arm bone held in the shoulder blade socket. The most important facts about cuff tear arthropathy (shoulder arthritis with a.. Shoulder Pain Arthritis Or Rotator Cuff.