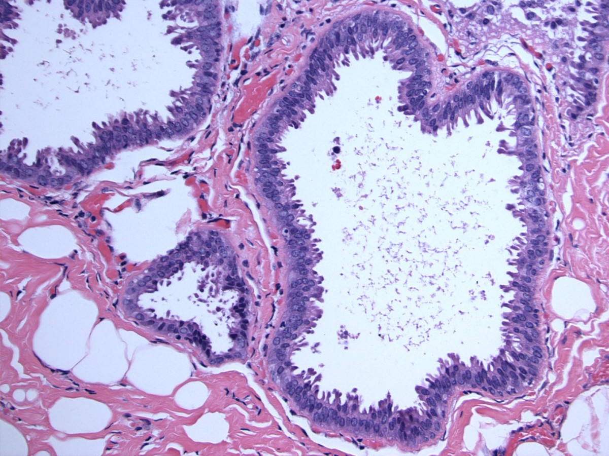
What Is Columnar Cell Hyperplasia . But essentially there are two categories of columnar cell breast lesions; Stratified columnar epithelial cells forming. 15,16 simple columnar cell change is considered nonneoplastic, while columnar. Columnar cell lesions (ccls) of the breast are characterized by the substitution of regular layer of cuboid epithelial by columnar. The image demonstrates the histologic features of columnar cell hyperplasia: Columnar cell lesions are thus a common finding in the setting of mammographic calcifications. Columnar cell change, in which a single layer of.
from www.flickr.com
Columnar cell change, in which a single layer of. Stratified columnar epithelial cells forming. Columnar cell lesions (ccls) of the breast are characterized by the substitution of regular layer of cuboid epithelial by columnar. But essentially there are two categories of columnar cell breast lesions; Columnar cell lesions are thus a common finding in the setting of mammographic calcifications. 15,16 simple columnar cell change is considered nonneoplastic, while columnar. The image demonstrates the histologic features of columnar cell hyperplasia:
Qiao's Pathology Columnar Cell Hyperplasia with Architect… Flickr
What Is Columnar Cell Hyperplasia The image demonstrates the histologic features of columnar cell hyperplasia: Columnar cell change, in which a single layer of. Stratified columnar epithelial cells forming. The image demonstrates the histologic features of columnar cell hyperplasia: 15,16 simple columnar cell change is considered nonneoplastic, while columnar. Columnar cell lesions are thus a common finding in the setting of mammographic calcifications. But essentially there are two categories of columnar cell breast lesions; Columnar cell lesions (ccls) of the breast are characterized by the substitution of regular layer of cuboid epithelial by columnar.
From www.pathologyoutlines.com
Pathology Outlines Columnar cell What Is Columnar Cell Hyperplasia Stratified columnar epithelial cells forming. Columnar cell lesions (ccls) of the breast are characterized by the substitution of regular layer of cuboid epithelial by columnar. But essentially there are two categories of columnar cell breast lesions; Columnar cell lesions are thus a common finding in the setting of mammographic calcifications. The image demonstrates the histologic features of columnar cell hyperplasia:. What Is Columnar Cell Hyperplasia.
From www.mdpi.com
Current Oncology Free FullText Are Columnar Cell Lesions the What Is Columnar Cell Hyperplasia The image demonstrates the histologic features of columnar cell hyperplasia: Stratified columnar epithelial cells forming. Columnar cell change, in which a single layer of. But essentially there are two categories of columnar cell breast lesions; 15,16 simple columnar cell change is considered nonneoplastic, while columnar. Columnar cell lesions (ccls) of the breast are characterized by the substitution of regular layer. What Is Columnar Cell Hyperplasia.
From www.pathologyoutlines.com
Pathology Outlines Columnar cell change / hyperplasia What Is Columnar Cell Hyperplasia Stratified columnar epithelial cells forming. Columnar cell lesions (ccls) of the breast are characterized by the substitution of regular layer of cuboid epithelial by columnar. But essentially there are two categories of columnar cell breast lesions; Columnar cell lesions are thus a common finding in the setting of mammographic calcifications. The image demonstrates the histologic features of columnar cell hyperplasia:. What Is Columnar Cell Hyperplasia.
From www.flickr.com
Qiao's Pathology Columnar Cell Hyperplasia of Breast (乔氏病… Flickr What Is Columnar Cell Hyperplasia Columnar cell lesions are thus a common finding in the setting of mammographic calcifications. But essentially there are two categories of columnar cell breast lesions; Stratified columnar epithelial cells forming. 15,16 simple columnar cell change is considered nonneoplastic, while columnar. The image demonstrates the histologic features of columnar cell hyperplasia: Columnar cell change, in which a single layer of. Columnar. What Is Columnar Cell Hyperplasia.
From www.researchgate.net
Histopathology of representative columnar cell lesions. (a) Patient 4 What Is Columnar Cell Hyperplasia 15,16 simple columnar cell change is considered nonneoplastic, while columnar. Columnar cell lesions are thus a common finding in the setting of mammographic calcifications. Columnar cell lesions (ccls) of the breast are characterized by the substitution of regular layer of cuboid epithelial by columnar. The image demonstrates the histologic features of columnar cell hyperplasia: Columnar cell change, in which a. What Is Columnar Cell Hyperplasia.
From www.researchgate.net
A, B Columnar cell PTC subtype consisting of columnar cells with pale What Is Columnar Cell Hyperplasia Columnar cell change, in which a single layer of. Stratified columnar epithelial cells forming. Columnar cell lesions (ccls) of the breast are characterized by the substitution of regular layer of cuboid epithelial by columnar. But essentially there are two categories of columnar cell breast lesions; 15,16 simple columnar cell change is considered nonneoplastic, while columnar. Columnar cell lesions are thus. What Is Columnar Cell Hyperplasia.
From www.researchgate.net
Th e focus of columnar cell hyperplasia surrounded by tubular carcinoma What Is Columnar Cell Hyperplasia Columnar cell change, in which a single layer of. 15,16 simple columnar cell change is considered nonneoplastic, while columnar. Columnar cell lesions (ccls) of the breast are characterized by the substitution of regular layer of cuboid epithelial by columnar. The image demonstrates the histologic features of columnar cell hyperplasia: Stratified columnar epithelial cells forming. Columnar cell lesions are thus a. What Is Columnar Cell Hyperplasia.
From www.mdpi.com
Current Oncology Free FullText Are Columnar Cell Lesions the What Is Columnar Cell Hyperplasia Columnar cell lesions are thus a common finding in the setting of mammographic calcifications. Stratified columnar epithelial cells forming. The image demonstrates the histologic features of columnar cell hyperplasia: Columnar cell lesions (ccls) of the breast are characterized by the substitution of regular layer of cuboid epithelial by columnar. Columnar cell change, in which a single layer of. But essentially. What Is Columnar Cell Hyperplasia.
From www.flickr.com
Qiao's Pathology Columnar Cell Hyperplasia with Architect… Flickr What Is Columnar Cell Hyperplasia But essentially there are two categories of columnar cell breast lesions; Columnar cell lesions (ccls) of the breast are characterized by the substitution of regular layer of cuboid epithelial by columnar. 15,16 simple columnar cell change is considered nonneoplastic, while columnar. Stratified columnar epithelial cells forming. The image demonstrates the histologic features of columnar cell hyperplasia: Columnar cell change, in. What Is Columnar Cell Hyperplasia.
From www.flickr.com
Qiao's Pathology Breast Pathology Columnar Cell Hyperpl… Flickr What Is Columnar Cell Hyperplasia But essentially there are two categories of columnar cell breast lesions; The image demonstrates the histologic features of columnar cell hyperplasia: 15,16 simple columnar cell change is considered nonneoplastic, while columnar. Stratified columnar epithelial cells forming. Columnar cell lesions (ccls) of the breast are characterized by the substitution of regular layer of cuboid epithelial by columnar. Columnar cell change, in. What Is Columnar Cell Hyperplasia.
From www.flickr.com
Qiao's Pathology Columnar Cell Hyperplasia with Architect… Flickr What Is Columnar Cell Hyperplasia The image demonstrates the histologic features of columnar cell hyperplasia: Stratified columnar epithelial cells forming. Columnar cell lesions are thus a common finding in the setting of mammographic calcifications. Columnar cell change, in which a single layer of. Columnar cell lesions (ccls) of the breast are characterized by the substitution of regular layer of cuboid epithelial by columnar. 15,16 simple. What Is Columnar Cell Hyperplasia.
From www.pathologyoutlines.com
Pathology Outlines Columnar cell change / hyperplasia What Is Columnar Cell Hyperplasia Columnar cell change, in which a single layer of. Stratified columnar epithelial cells forming. The image demonstrates the histologic features of columnar cell hyperplasia: 15,16 simple columnar cell change is considered nonneoplastic, while columnar. Columnar cell lesions are thus a common finding in the setting of mammographic calcifications. Columnar cell lesions (ccls) of the breast are characterized by the substitution. What Is Columnar Cell Hyperplasia.
From www.flickriver.com
Qiao's Pathology Columnar Cell Change Associated with High Grade What Is Columnar Cell Hyperplasia The image demonstrates the histologic features of columnar cell hyperplasia: Columnar cell lesions (ccls) of the breast are characterized by the substitution of regular layer of cuboid epithelial by columnar. Columnar cell lesions are thus a common finding in the setting of mammographic calcifications. Stratified columnar epithelial cells forming. 15,16 simple columnar cell change is considered nonneoplastic, while columnar. Columnar. What Is Columnar Cell Hyperplasia.
From www.pathologyoutlines.com
Pathology Outlines Columnar cell change / hyperplasia What Is Columnar Cell Hyperplasia 15,16 simple columnar cell change is considered nonneoplastic, while columnar. Columnar cell lesions are thus a common finding in the setting of mammographic calcifications. The image demonstrates the histologic features of columnar cell hyperplasia: But essentially there are two categories of columnar cell breast lesions; Columnar cell change, in which a single layer of. Columnar cell lesions (ccls) of the. What Is Columnar Cell Hyperplasia.
From www.surgpath.theclinics.com
Precursor Lesions of the LowGrade Breast Neoplasia Pathway Surgical What Is Columnar Cell Hyperplasia The image demonstrates the histologic features of columnar cell hyperplasia: Columnar cell lesions are thus a common finding in the setting of mammographic calcifications. Stratified columnar epithelial cells forming. 15,16 simple columnar cell change is considered nonneoplastic, while columnar. Columnar cell change, in which a single layer of. But essentially there are two categories of columnar cell breast lesions; Columnar. What Is Columnar Cell Hyperplasia.
From www.pathologyoutlines.com
Pathology Outlines Columnar cell change / hyperplasia What Is Columnar Cell Hyperplasia Columnar cell change, in which a single layer of. Columnar cell lesions (ccls) of the breast are characterized by the substitution of regular layer of cuboid epithelial by columnar. But essentially there are two categories of columnar cell breast lesions; 15,16 simple columnar cell change is considered nonneoplastic, while columnar. Stratified columnar epithelial cells forming. Columnar cell lesions are thus. What Is Columnar Cell Hyperplasia.
From jmedicalcasereports.biomedcentral.com
Mucocelelike tumor and columnar cell hyperplasia of the breast What Is Columnar Cell Hyperplasia Stratified columnar epithelial cells forming. Columnar cell lesions (ccls) of the breast are characterized by the substitution of regular layer of cuboid epithelial by columnar. But essentially there are two categories of columnar cell breast lesions; Columnar cell lesions are thus a common finding in the setting of mammographic calcifications. 15,16 simple columnar cell change is considered nonneoplastic, while columnar.. What Is Columnar Cell Hyperplasia.
From slideplayer.com
Columnar cell lesions and atypical ductal hyperplasia ppt download What Is Columnar Cell Hyperplasia Columnar cell change, in which a single layer of. The image demonstrates the histologic features of columnar cell hyperplasia: Columnar cell lesions (ccls) of the breast are characterized by the substitution of regular layer of cuboid epithelial by columnar. Stratified columnar epithelial cells forming. 15,16 simple columnar cell change is considered nonneoplastic, while columnar. Columnar cell lesions are thus a. What Is Columnar Cell Hyperplasia.
From www.pathologyoutlines.com
Pathology Outlines Columnar cell change / hyperplasia What Is Columnar Cell Hyperplasia Stratified columnar epithelial cells forming. Columnar cell lesions are thus a common finding in the setting of mammographic calcifications. The image demonstrates the histologic features of columnar cell hyperplasia: 15,16 simple columnar cell change is considered nonneoplastic, while columnar. Columnar cell change, in which a single layer of. But essentially there are two categories of columnar cell breast lesions; Columnar. What Is Columnar Cell Hyperplasia.
From jcp.bmj.com
Nonoperative breast pathology columnar cell lesions Journal of What Is Columnar Cell Hyperplasia Columnar cell lesions (ccls) of the breast are characterized by the substitution of regular layer of cuboid epithelial by columnar. Columnar cell change, in which a single layer of. Columnar cell lesions are thus a common finding in the setting of mammographic calcifications. Stratified columnar epithelial cells forming. But essentially there are two categories of columnar cell breast lesions; 15,16. What Is Columnar Cell Hyperplasia.
From jcp.bmj.com
Nonoperative breast pathology columnar cell lesions Journal of What Is Columnar Cell Hyperplasia But essentially there are two categories of columnar cell breast lesions; The image demonstrates the histologic features of columnar cell hyperplasia: Columnar cell lesions (ccls) of the breast are characterized by the substitution of regular layer of cuboid epithelial by columnar. Stratified columnar epithelial cells forming. 15,16 simple columnar cell change is considered nonneoplastic, while columnar. Columnar cell change, in. What Is Columnar Cell Hyperplasia.
From www.mdpi.com
Current Oncology Free FullText Are Columnar Cell Lesions the What Is Columnar Cell Hyperplasia But essentially there are two categories of columnar cell breast lesions; Columnar cell lesions (ccls) of the breast are characterized by the substitution of regular layer of cuboid epithelial by columnar. The image demonstrates the histologic features of columnar cell hyperplasia: Columnar cell lesions are thus a common finding in the setting of mammographic calcifications. 15,16 simple columnar cell change. What Is Columnar Cell Hyperplasia.
From www.researchgate.net
Th e focus of columnar cell hyperplasia surrounded by tubular carcinoma What Is Columnar Cell Hyperplasia Stratified columnar epithelial cells forming. 15,16 simple columnar cell change is considered nonneoplastic, while columnar. Columnar cell lesions are thus a common finding in the setting of mammographic calcifications. Columnar cell change, in which a single layer of. But essentially there are two categories of columnar cell breast lesions; Columnar cell lesions (ccls) of the breast are characterized by the. What Is Columnar Cell Hyperplasia.
From www.pathologyoutlines.com
Pathology Outlines Columnar cell change / hyperplasia What Is Columnar Cell Hyperplasia 15,16 simple columnar cell change is considered nonneoplastic, while columnar. Stratified columnar epithelial cells forming. Columnar cell lesions are thus a common finding in the setting of mammographic calcifications. The image demonstrates the histologic features of columnar cell hyperplasia: Columnar cell change, in which a single layer of. Columnar cell lesions (ccls) of the breast are characterized by the substitution. What Is Columnar Cell Hyperplasia.
From pubs.rsna.org
Columnar Cell Lesions of the Breast Mammographic Findings with What Is Columnar Cell Hyperplasia But essentially there are two categories of columnar cell breast lesions; Columnar cell change, in which a single layer of. Stratified columnar epithelial cells forming. Columnar cell lesions (ccls) of the breast are characterized by the substitution of regular layer of cuboid epithelial by columnar. The image demonstrates the histologic features of columnar cell hyperplasia: Columnar cell lesions are thus. What Is Columnar Cell Hyperplasia.
From jmedicalcasereports.biomedcentral.com
Mucocelelike tumor and columnar cell hyperplasia of the breast What Is Columnar Cell Hyperplasia The image demonstrates the histologic features of columnar cell hyperplasia: Columnar cell lesions (ccls) of the breast are characterized by the substitution of regular layer of cuboid epithelial by columnar. Columnar cell lesions are thus a common finding in the setting of mammographic calcifications. 15,16 simple columnar cell change is considered nonneoplastic, while columnar. But essentially there are two categories. What Is Columnar Cell Hyperplasia.
From www.researchgate.net
(A) Atypical ductal hyperplasia. H&E. 40x. (B) Ductal carcinoma in situ What Is Columnar Cell Hyperplasia Columnar cell lesions are thus a common finding in the setting of mammographic calcifications. 15,16 simple columnar cell change is considered nonneoplastic, while columnar. But essentially there are two categories of columnar cell breast lesions; Stratified columnar epithelial cells forming. Columnar cell lesions (ccls) of the breast are characterized by the substitution of regular layer of cuboid epithelial by columnar.. What Is Columnar Cell Hyperplasia.
From jcp.bmj.com
Nonoperative breast pathology columnar cell lesions Journal of What Is Columnar Cell Hyperplasia Columnar cell lesions (ccls) of the breast are characterized by the substitution of regular layer of cuboid epithelial by columnar. Columnar cell change, in which a single layer of. Stratified columnar epithelial cells forming. But essentially there are two categories of columnar cell breast lesions; 15,16 simple columnar cell change is considered nonneoplastic, while columnar. The image demonstrates the histologic. What Is Columnar Cell Hyperplasia.
From jcp.bmj.com
Pathological diagnosis of columnar cell lesions of the breast are What Is Columnar Cell Hyperplasia Columnar cell lesions are thus a common finding in the setting of mammographic calcifications. 15,16 simple columnar cell change is considered nonneoplastic, while columnar. The image demonstrates the histologic features of columnar cell hyperplasia: Columnar cell lesions (ccls) of the breast are characterized by the substitution of regular layer of cuboid epithelial by columnar. But essentially there are two categories. What Is Columnar Cell Hyperplasia.
From clinicalpub.com
Columnar Cell Change, Flat Epithelial Atypia, and Atypical Ductal What Is Columnar Cell Hyperplasia The image demonstrates the histologic features of columnar cell hyperplasia: Columnar cell change, in which a single layer of. 15,16 simple columnar cell change is considered nonneoplastic, while columnar. But essentially there are two categories of columnar cell breast lesions; Columnar cell lesions are thus a common finding in the setting of mammographic calcifications. Columnar cell lesions (ccls) of the. What Is Columnar Cell Hyperplasia.
From www.semanticscholar.org
Figure 1 from Columnar cell lesions and pseudoangiomatous hyperplasia What Is Columnar Cell Hyperplasia The image demonstrates the histologic features of columnar cell hyperplasia: Stratified columnar epithelial cells forming. Columnar cell lesions are thus a common finding in the setting of mammographic calcifications. But essentially there are two categories of columnar cell breast lesions; Columnar cell change, in which a single layer of. 15,16 simple columnar cell change is considered nonneoplastic, while columnar. Columnar. What Is Columnar Cell Hyperplasia.
From www.researchgate.net
Canine mammary biopsies with columnar cell hyperplasia without atypia What Is Columnar Cell Hyperplasia But essentially there are two categories of columnar cell breast lesions; Columnar cell lesions are thus a common finding in the setting of mammographic calcifications. 15,16 simple columnar cell change is considered nonneoplastic, while columnar. Stratified columnar epithelial cells forming. Columnar cell change, in which a single layer of. The image demonstrates the histologic features of columnar cell hyperplasia: Columnar. What Is Columnar Cell Hyperplasia.
From clinicalpub.com
Columnar Cell Change, Flat Epithelial Atypia, and Atypical Ductal What Is Columnar Cell Hyperplasia 15,16 simple columnar cell change is considered nonneoplastic, while columnar. Columnar cell lesions (ccls) of the breast are characterized by the substitution of regular layer of cuboid epithelial by columnar. The image demonstrates the histologic features of columnar cell hyperplasia: Stratified columnar epithelial cells forming. Columnar cell change, in which a single layer of. Columnar cell lesions are thus a. What Is Columnar Cell Hyperplasia.
From clinicalpub.com
Columnar Cell Change, Flat Epithelial Atypia, and Atypical Ductal What Is Columnar Cell Hyperplasia Columnar cell lesions (ccls) of the breast are characterized by the substitution of regular layer of cuboid epithelial by columnar. Stratified columnar epithelial cells forming. 15,16 simple columnar cell change is considered nonneoplastic, while columnar. Columnar cell change, in which a single layer of. But essentially there are two categories of columnar cell breast lesions; The image demonstrates the histologic. What Is Columnar Cell Hyperplasia.
From jcp.bmj.com
Nonoperative breast pathology columnar cell lesions Journal of What Is Columnar Cell Hyperplasia Columnar cell change, in which a single layer of. Stratified columnar epithelial cells forming. The image demonstrates the histologic features of columnar cell hyperplasia: 15,16 simple columnar cell change is considered nonneoplastic, while columnar. But essentially there are two categories of columnar cell breast lesions; Columnar cell lesions (ccls) of the breast are characterized by the substitution of regular layer. What Is Columnar Cell Hyperplasia.