What Does A Tongue Crib Do . we can also use a tongue crib, which holds the tongue into place and teaches it to stay off the teeth. Tongue spike braces, or tongue tamer braces, look like little braces brackets. one exception is the placement of an orthodontic device known as a “tongue crib” in the roof of a child’s mouth. tongue thrust, or the habit of pushing the tongue against the teeth when swallowing, speaking, or at rest, can lead. This corrects an open bite. a tongue crib is a removable plastic guard that fits on top of your teeth to help protect against tongue injuries. In some cases, adults receive orthodontic. a tongue crib is an orthodontic tool with wiring that's placed inside your mouth and hangs on two rings. Tongue guards can be helpful in preventing damage from injuries to your tongue or mouth, especially if you participate in contact sports. a tongue crib retrains the tongue to regain normal position and function and when caught early, can help prevent pushing. It also keeps you from constantly pressing your tongue to the roof of your mouth.
from www.youtube.com
one exception is the placement of an orthodontic device known as a “tongue crib” in the roof of a child’s mouth. Tongue spike braces, or tongue tamer braces, look like little braces brackets. In some cases, adults receive orthodontic. we can also use a tongue crib, which holds the tongue into place and teaches it to stay off the teeth. tongue thrust, or the habit of pushing the tongue against the teeth when swallowing, speaking, or at rest, can lead. a tongue crib is an orthodontic tool with wiring that's placed inside your mouth and hangs on two rings. a tongue crib is a removable plastic guard that fits on top of your teeth to help protect against tongue injuries. It also keeps you from constantly pressing your tongue to the roof of your mouth. a tongue crib retrains the tongue to regain normal position and function and when caught early, can help prevent pushing. Tongue guards can be helpful in preventing damage from injuries to your tongue or mouth, especially if you participate in contact sports.
Dental Braces Tongue Crib + RPE Tooth Time New Braunfels Texas
What Does A Tongue Crib Do Tongue guards can be helpful in preventing damage from injuries to your tongue or mouth, especially if you participate in contact sports. a tongue crib retrains the tongue to regain normal position and function and when caught early, can help prevent pushing. It also keeps you from constantly pressing your tongue to the roof of your mouth. a tongue crib is an orthodontic tool with wiring that's placed inside your mouth and hangs on two rings. In some cases, adults receive orthodontic. Tongue spike braces, or tongue tamer braces, look like little braces brackets. we can also use a tongue crib, which holds the tongue into place and teaches it to stay off the teeth. Tongue guards can be helpful in preventing damage from injuries to your tongue or mouth, especially if you participate in contact sports. tongue thrust, or the habit of pushing the tongue against the teeth when swallowing, speaking, or at rest, can lead. This corrects an open bite. a tongue crib is a removable plastic guard that fits on top of your teeth to help protect against tongue injuries. one exception is the placement of an orthodontic device known as a “tongue crib” in the roof of a child’s mouth.
From www.youtube.com
Life with a Tongue Crib My Braces Journey How to Correct Open Bite What Does A Tongue Crib Do Tongue spike braces, or tongue tamer braces, look like little braces brackets. tongue thrust, or the habit of pushing the tongue against the teeth when swallowing, speaking, or at rest, can lead. This corrects an open bite. In some cases, adults receive orthodontic. we can also use a tongue crib, which holds the tongue into place and teaches. What Does A Tongue Crib Do.
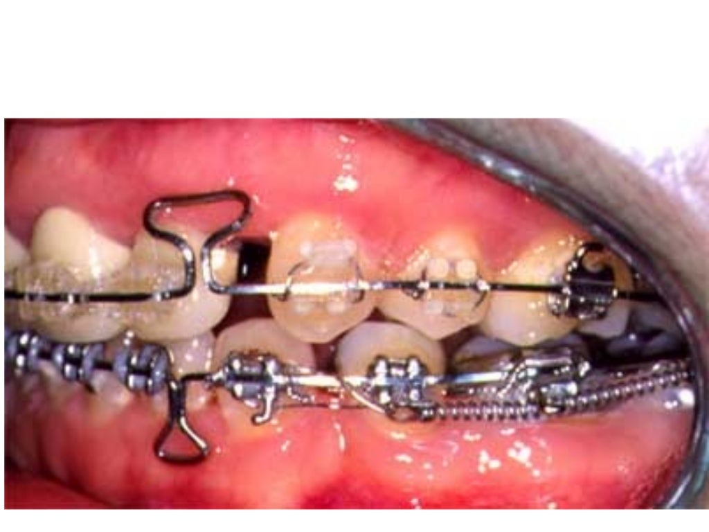
From odlortho.com
RPE with Tongue Crib ODL Orthodontic Labs What Does A Tongue Crib Do This corrects an open bite. It also keeps you from constantly pressing your tongue to the roof of your mouth. we can also use a tongue crib, which holds the tongue into place and teaches it to stay off the teeth. tongue thrust, or the habit of pushing the tongue against the teeth when swallowing, speaking, or at. What Does A Tongue Crib Do.
From www.youtube.com
Tongue Cribupper SO YouTube What Does A Tongue Crib Do It also keeps you from constantly pressing your tongue to the roof of your mouth. Tongue spike braces, or tongue tamer braces, look like little braces brackets. a tongue crib is an orthodontic tool with wiring that's placed inside your mouth and hangs on two rings. tongue thrust, or the habit of pushing the tongue against the teeth. What Does A Tongue Crib Do.
From issuu.com
How does a tongue crib appliance modify tongue behavior? by What Does A Tongue Crib Do we can also use a tongue crib, which holds the tongue into place and teaches it to stay off the teeth. tongue thrust, or the habit of pushing the tongue against the teeth when swallowing, speaking, or at rest, can lead. a tongue crib is a removable plastic guard that fits on top of your teeth to. What Does A Tongue Crib Do.
From www.pinterest.com
drsuliman_orthodontist on Instagram What does a tongue crib do? A What Does A Tongue Crib Do a tongue crib retrains the tongue to regain normal position and function and when caught early, can help prevent pushing. a tongue crib is an orthodontic tool with wiring that's placed inside your mouth and hangs on two rings. a tongue crib is a removable plastic guard that fits on top of your teeth to help protect. What Does A Tongue Crib Do.
From cottonwoodlabs.com
Cottonwood LabsTongue Crib Cottonwood Labs What Does A Tongue Crib Do In some cases, adults receive orthodontic. a tongue crib is an orthodontic tool with wiring that's placed inside your mouth and hangs on two rings. we can also use a tongue crib, which holds the tongue into place and teaches it to stay off the teeth. one exception is the placement of an orthodontic device known as. What Does A Tongue Crib Do.
From www.health4fitnessblog.com
5 Reasons to Use a Tongue Crib for Better Sleep What Does A Tongue Crib Do In some cases, adults receive orthodontic. This corrects an open bite. a tongue crib is a removable plastic guard that fits on top of your teeth to help protect against tongue injuries. a tongue crib is an orthodontic tool with wiring that's placed inside your mouth and hangs on two rings. Tongue guards can be helpful in preventing. What Does A Tongue Crib Do.
From www.youtube.com
How a Tongue Crib Appliance Can Help YouTube What Does A Tongue Crib Do a tongue crib is a removable plastic guard that fits on top of your teeth to help protect against tongue injuries. Tongue guards can be helpful in preventing damage from injuries to your tongue or mouth, especially if you participate in contact sports. This corrects an open bite. one exception is the placement of an orthodontic device known. What Does A Tongue Crib Do.
From www.slideshare.net
Tongue crib What Does A Tongue Crib Do Tongue guards can be helpful in preventing damage from injuries to your tongue or mouth, especially if you participate in contact sports. a tongue crib is a removable plastic guard that fits on top of your teeth to help protect against tongue injuries. a tongue crib retrains the tongue to regain normal position and function and when caught. What Does A Tongue Crib Do.
From www.slideshare.net
Tongue crib What Does A Tongue Crib Do we can also use a tongue crib, which holds the tongue into place and teaches it to stay off the teeth. Tongue guards can be helpful in preventing damage from injuries to your tongue or mouth, especially if you participate in contact sports. a tongue crib is an orthodontic tool with wiring that's placed inside your mouth and. What Does A Tongue Crib Do.
From www.youtube.com
Dental Braces Tongue Crib + RPE Tooth Time New Braunfels Texas What Does A Tongue Crib Do In some cases, adults receive orthodontic. a tongue crib retrains the tongue to regain normal position and function and when caught early, can help prevent pushing. one exception is the placement of an orthodontic device known as a “tongue crib” in the roof of a child’s mouth. Tongue guards can be helpful in preventing damage from injuries to. What Does A Tongue Crib Do.
From www.healthline.com
Tongue Crib How This Device Corrects Tongue Thrusting What Does A Tongue Crib Do Tongue guards can be helpful in preventing damage from injuries to your tongue or mouth, especially if you participate in contact sports. a tongue crib is a removable plastic guard that fits on top of your teeth to help protect against tongue injuries. Tongue spike braces, or tongue tamer braces, look like little braces brackets. a tongue crib. What Does A Tongue Crib Do.
From www.youtube.com
Tongue crib appliance/ Pallil kambi idunnath / Pallil kambi idunnath What Does A Tongue Crib Do a tongue crib retrains the tongue to regain normal position and function and when caught early, can help prevent pushing. one exception is the placement of an orthodontic device known as a “tongue crib” in the roof of a child’s mouth. we can also use a tongue crib, which holds the tongue into place and teaches it. What Does A Tongue Crib Do.
From www.leveluprehab.com
Master the Resting Tongue Posture What Does A Tongue Crib Do In some cases, adults receive orthodontic. Tongue guards can be helpful in preventing damage from injuries to your tongue or mouth, especially if you participate in contact sports. a tongue crib is a removable plastic guard that fits on top of your teeth to help protect against tongue injuries. a tongue crib retrains the tongue to regain normal. What Does A Tongue Crib Do.
From www.slideshare.net
Tongue crib What Does A Tongue Crib Do a tongue crib retrains the tongue to regain normal position and function and when caught early, can help prevent pushing. tongue thrust, or the habit of pushing the tongue against the teeth when swallowing, speaking, or at rest, can lead. Tongue guards can be helpful in preventing damage from injuries to your tongue or mouth, especially if you. What Does A Tongue Crib Do.
From cottonwoodlabs.com
Cottonwood LabsTongue Crib Cottonwood Labs What Does A Tongue Crib Do one exception is the placement of an orthodontic device known as a “tongue crib” in the roof of a child’s mouth. Tongue spike braces, or tongue tamer braces, look like little braces brackets. This corrects an open bite. Tongue guards can be helpful in preventing damage from injuries to your tongue or mouth, especially if you participate in contact. What Does A Tongue Crib Do.
From www.slideshare.net
Tongue crib What Does A Tongue Crib Do tongue thrust, or the habit of pushing the tongue against the teeth when swallowing, speaking, or at rest, can lead. one exception is the placement of an orthodontic device known as a “tongue crib” in the roof of a child’s mouth. a tongue crib retrains the tongue to regain normal position and function and when caught early,. What Does A Tongue Crib Do.
From www.youtube.com
Openbite Treatment by Lower Tongue Crib Orthodontic Device YouTube What Does A Tongue Crib Do a tongue crib retrains the tongue to regain normal position and function and when caught early, can help prevent pushing. a tongue crib is an orthodontic tool with wiring that's placed inside your mouth and hangs on two rings. Tongue guards can be helpful in preventing damage from injuries to your tongue or mouth, especially if you participate. What Does A Tongue Crib Do.
From www.youtube.com
How to construct a Fixed Tongue Crib YouTube What Does A Tongue Crib Do a tongue crib retrains the tongue to regain normal position and function and when caught early, can help prevent pushing. It also keeps you from constantly pressing your tongue to the roof of your mouth. a tongue crib is an orthodontic tool with wiring that's placed inside your mouth and hangs on two rings. we can also. What Does A Tongue Crib Do.
From www.bmortholab.com
Tongue Crib BM Ortho Appliances Inc. What Does A Tongue Crib Do we can also use a tongue crib, which holds the tongue into place and teaches it to stay off the teeth. This corrects an open bite. In some cases, adults receive orthodontic. a tongue crib retrains the tongue to regain normal position and function and when caught early, can help prevent pushing. It also keeps you from constantly. What Does A Tongue Crib Do.
From www.youtube.com
Lower Tongue Crib Appliance Wellington Village Orthodontics YouTube What Does A Tongue Crib Do It also keeps you from constantly pressing your tongue to the roof of your mouth. one exception is the placement of an orthodontic device known as a “tongue crib” in the roof of a child’s mouth. In some cases, adults receive orthodontic. Tongue guards can be helpful in preventing damage from injuries to your tongue or mouth, especially if. What Does A Tongue Crib Do.
From zaneym.org
What Is The Purpose Of A Tongue Crib? Zaneym What Does A Tongue Crib Do we can also use a tongue crib, which holds the tongue into place and teaches it to stay off the teeth. a tongue crib is an orthodontic tool with wiring that's placed inside your mouth and hangs on two rings. a tongue crib is a removable plastic guard that fits on top of your teeth to help. What Does A Tongue Crib Do.
From www.youtube.com
Braces Tongue Crib YouTube What Does A Tongue Crib Do This corrects an open bite. a tongue crib retrains the tongue to regain normal position and function and when caught early, can help prevent pushing. a tongue crib is an orthodontic tool with wiring that's placed inside your mouth and hangs on two rings. It also keeps you from constantly pressing your tongue to the roof of your. What Does A Tongue Crib Do.
From cottonwoodlabs.com
Cottonwood LabsTongue Crib Cottonwood Labs What Does A Tongue Crib Do we can also use a tongue crib, which holds the tongue into place and teaches it to stay off the teeth. one exception is the placement of an orthodontic device known as a “tongue crib” in the roof of a child’s mouth. It also keeps you from constantly pressing your tongue to the roof of your mouth. Tongue. What Does A Tongue Crib Do.
From www.youtube.com
Tongue Crib YouTube What Does A Tongue Crib Do one exception is the placement of an orthodontic device known as a “tongue crib” in the roof of a child’s mouth. It also keeps you from constantly pressing your tongue to the roof of your mouth. a tongue crib is an orthodontic tool with wiring that's placed inside your mouth and hangs on two rings. a tongue. What Does A Tongue Crib Do.
From www.smiletogether.ca
tongue crib2 Smile Together Dental Clinic What Does A Tongue Crib Do a tongue crib is a removable plastic guard that fits on top of your teeth to help protect against tongue injuries. a tongue crib is an orthodontic tool with wiring that's placed inside your mouth and hangs on two rings. In some cases, adults receive orthodontic. we can also use a tongue crib, which holds the tongue. What Does A Tongue Crib Do.
From www.bmortholab.com
Tongue Crib BM Ortho Appliances Inc. What Does A Tongue Crib Do one exception is the placement of an orthodontic device known as a “tongue crib” in the roof of a child’s mouth. It also keeps you from constantly pressing your tongue to the roof of your mouth. In some cases, adults receive orthodontic. tongue thrust, or the habit of pushing the tongue against the teeth when swallowing, speaking, or. What Does A Tongue Crib Do.
From www.slideshare.net
Tongue crib What Does A Tongue Crib Do a tongue crib is an orthodontic tool with wiring that's placed inside your mouth and hangs on two rings. we can also use a tongue crib, which holds the tongue into place and teaches it to stay off the teeth. a tongue crib retrains the tongue to regain normal position and function and when caught early, can. What Does A Tongue Crib Do.
From www.slideshare.net
Tongue crib What Does A Tongue Crib Do tongue thrust, or the habit of pushing the tongue against the teeth when swallowing, speaking, or at rest, can lead. In some cases, adults receive orthodontic. It also keeps you from constantly pressing your tongue to the roof of your mouth. one exception is the placement of an orthodontic device known as a “tongue crib” in the roof. What Does A Tongue Crib Do.
From odlortho.com
RPE with Tongue Crib ODL Orthodontic Labs What Does A Tongue Crib Do a tongue crib is a removable plastic guard that fits on top of your teeth to help protect against tongue injuries. It also keeps you from constantly pressing your tongue to the roof of your mouth. Tongue guards can be helpful in preventing damage from injuries to your tongue or mouth, especially if you participate in contact sports. . What Does A Tongue Crib Do.
From tadtoper.com
(tongue crib) Tongue Cribs How Effective Are They? Tad Toper What Does A Tongue Crib Do tongue thrust, or the habit of pushing the tongue against the teeth when swallowing, speaking, or at rest, can lead. a tongue crib is a removable plastic guard that fits on top of your teeth to help protect against tongue injuries. a tongue crib is an orthodontic tool with wiring that's placed inside your mouth and hangs. What Does A Tongue Crib Do.
From www.slideshare.net
Tongue crib What Does A Tongue Crib Do tongue thrust, or the habit of pushing the tongue against the teeth when swallowing, speaking, or at rest, can lead. Tongue guards can be helpful in preventing damage from injuries to your tongue or mouth, especially if you participate in contact sports. This corrects an open bite. a tongue crib is an orthodontic tool with wiring that's placed. What Does A Tongue Crib Do.
From www.youtube.com
Lower Tongue Crib YouTube What Does A Tongue Crib Do a tongue crib is an orthodontic tool with wiring that's placed inside your mouth and hangs on two rings. one exception is the placement of an orthodontic device known as a “tongue crib” in the roof of a child’s mouth. In some cases, adults receive orthodontic. This corrects an open bite. tongue thrust, or the habit of. What Does A Tongue Crib Do.
From www.fmsdental.com
ORAL HABITS NEEDING ATTENTION FMS DENTAL HOSPITAL What Does A Tongue Crib Do one exception is the placement of an orthodontic device known as a “tongue crib” in the roof of a child’s mouth. It also keeps you from constantly pressing your tongue to the roof of your mouth. tongue thrust, or the habit of pushing the tongue against the teeth when swallowing, speaking, or at rest, can lead. This corrects. What Does A Tongue Crib Do.
From www.fmsdental.com
ORAL HABITS NEEDING ATTENTION FMS DENTAL HOSPITAL What Does A Tongue Crib Do a tongue crib retrains the tongue to regain normal position and function and when caught early, can help prevent pushing. a tongue crib is a removable plastic guard that fits on top of your teeth to help protect against tongue injuries. Tongue guards can be helpful in preventing damage from injuries to your tongue or mouth, especially if. What Does A Tongue Crib Do.