Overjet Teeth Extraction . an overjet is known as the outward protrusion of front teeth. An excessive overjet can have a negative impact on oral and general health. It happens when your upper teeth overlap your lower teeth. If your child has an excessive overjet, their dentist may recommend removing one or more baby teeth to create space for. an overbite is the vertical overlap or horizontal gap between your top and bottom front teeth. A horizontal overbite (an ‘overjet') causes the. It creates a horizontal space between the maxillary anterior teeth and the mandibular anterior teeth. overjet, often known as “buck teeth” or “protruding teeth,” is a dental disease in which the upper front teeth protrude horizontally beyond the lower front teeth. overjet (buck teeth) refers to a type of malocclusion (bad bite). It happens when your upper front teeth stick out. Genetic factors and early childhood habits are common causes of overjet. overbite refers to a vertical misalignment of your teeth.
from orthodonticsaustralia.org.au
overbite refers to a vertical misalignment of your teeth. Genetic factors and early childhood habits are common causes of overjet. It happens when your upper teeth overlap your lower teeth. It creates a horizontal space between the maxillary anterior teeth and the mandibular anterior teeth. A horizontal overbite (an ‘overjet') causes the. It happens when your upper front teeth stick out. If your child has an excessive overjet, their dentist may recommend removing one or more baby teeth to create space for. overjet (buck teeth) refers to a type of malocclusion (bad bite). An excessive overjet can have a negative impact on oral and general health. overjet, often known as “buck teeth” or “protruding teeth,” is a dental disease in which the upper front teeth protrude horizontally beyond the lower front teeth.
Orthodontics Australia Overjet and Overbite Difference, Causes and
Overjet Teeth Extraction an overjet is known as the outward protrusion of front teeth. It happens when your upper front teeth stick out. an overjet is known as the outward protrusion of front teeth. It happens when your upper teeth overlap your lower teeth. Genetic factors and early childhood habits are common causes of overjet. an overbite is the vertical overlap or horizontal gap between your top and bottom front teeth. An excessive overjet can have a negative impact on oral and general health. A horizontal overbite (an ‘overjet') causes the. overjet (buck teeth) refers to a type of malocclusion (bad bite). If your child has an excessive overjet, their dentist may recommend removing one or more baby teeth to create space for. It creates a horizontal space between the maxillary anterior teeth and the mandibular anterior teeth. overjet, often known as “buck teeth” or “protruding teeth,” is a dental disease in which the upper front teeth protrude horizontally beyond the lower front teeth. overbite refers to a vertical misalignment of your teeth.
From www.reddit.com
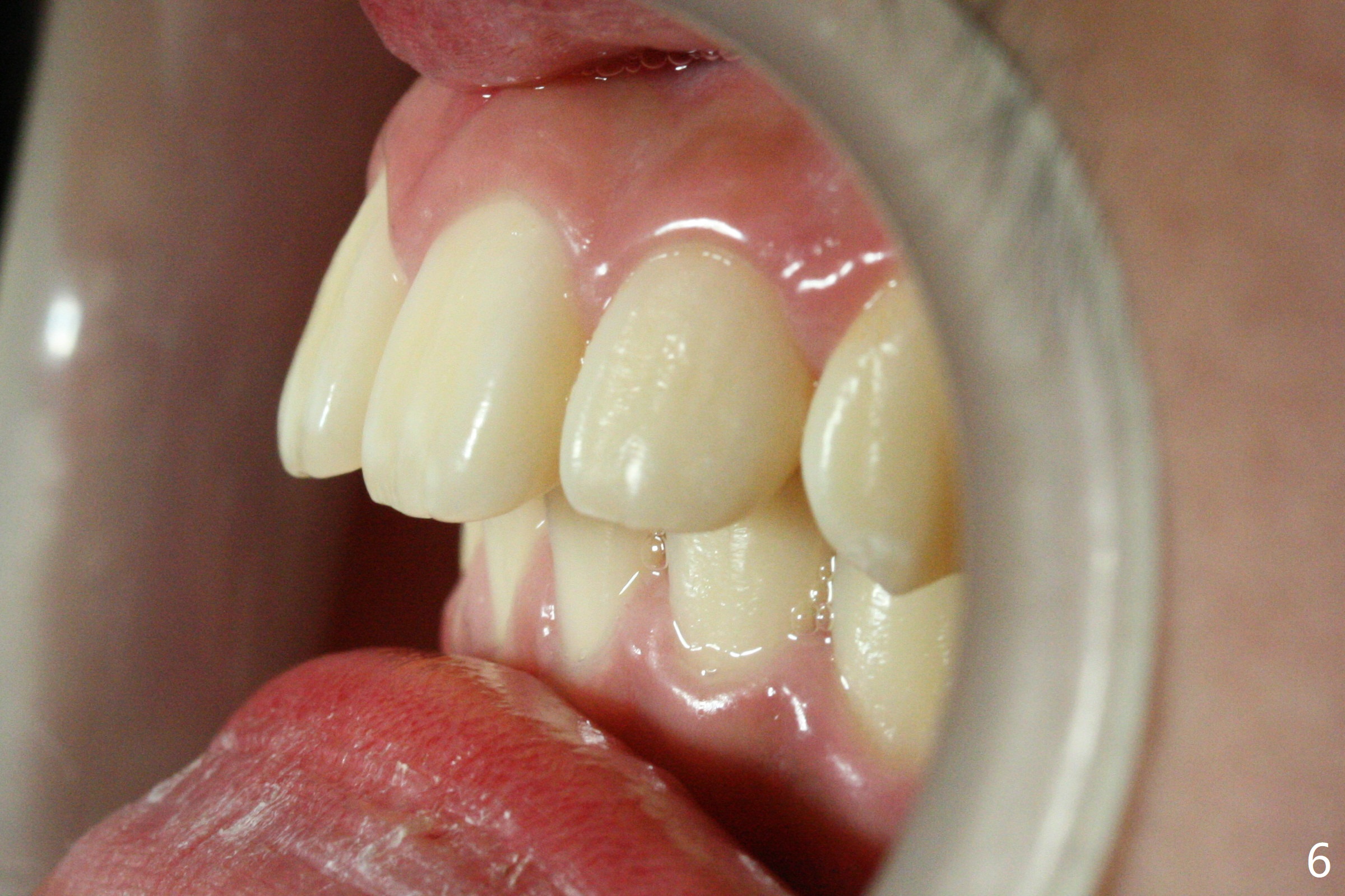
Is it possible to fix overjet/flared teeth with no elastics or IPR Overjet Teeth Extraction A horizontal overbite (an ‘overjet') causes the. It creates a horizontal space between the maxillary anterior teeth and the mandibular anterior teeth. overjet (buck teeth) refers to a type of malocclusion (bad bite). It happens when your upper front teeth stick out. an overbite is the vertical overlap or horizontal gap between your top and bottom front teeth.. Overjet Teeth Extraction.
From fity.club
Overjet Teeth Correction Overjet Teeth Extraction an overjet is known as the outward protrusion of front teeth. It happens when your upper teeth overlap your lower teeth. If your child has an excessive overjet, their dentist may recommend removing one or more baby teeth to create space for. A horizontal overbite (an ‘overjet') causes the. It happens when your upper front teeth stick out. An. Overjet Teeth Extraction.
From www.reddit.com
Do I need teeth extraction for Invisalign to fix my overjet? I went to Overjet Teeth Extraction an overjet is known as the outward protrusion of front teeth. An excessive overjet can have a negative impact on oral and general health. Genetic factors and early childhood habits are common causes of overjet. overjet, often known as “buck teeth” or “protruding teeth,” is a dental disease in which the upper front teeth protrude horizontally beyond the. Overjet Teeth Extraction.
From www.youtube.com
8mm Overjet Correction, Orthodontics. YouTube Overjet Teeth Extraction an overjet is known as the outward protrusion of front teeth. an overbite is the vertical overlap or horizontal gap between your top and bottom front teeth. It creates a horizontal space between the maxillary anterior teeth and the mandibular anterior teeth. If your child has an excessive overjet, their dentist may recommend removing one or more baby. Overjet Teeth Extraction.
From www.mgadental.com.au
Overjet Teeth What Does it Look Like and How to Treat Them Overjet Teeth Extraction overbite refers to a vertical misalignment of your teeth. If your child has an excessive overjet, their dentist may recommend removing one or more baby teeth to create space for. It happens when your upper teeth overlap your lower teeth. An excessive overjet can have a negative impact on oral and general health. It happens when your upper front. Overjet Teeth Extraction.
From www.researchgate.net
Overjet reduction methods. ISW Improved superelastic TiNi alloy wire Overjet Teeth Extraction Genetic factors and early childhood habits are common causes of overjet. overbite refers to a vertical misalignment of your teeth. overjet, often known as “buck teeth” or “protruding teeth,” is a dental disease in which the upper front teeth protrude horizontally beyond the lower front teeth. It happens when your upper teeth overlap your lower teeth. An excessive. Overjet Teeth Extraction.
From www.semanticscholar.org
[PDF] Conservative treatment of a Class I malocclusion with 12 mm Overjet Teeth Extraction An excessive overjet can have a negative impact on oral and general health. If your child has an excessive overjet, their dentist may recommend removing one or more baby teeth to create space for. It creates a horizontal space between the maxillary anterior teeth and the mandibular anterior teeth. overjet (buck teeth) refers to a type of malocclusion (bad. Overjet Teeth Extraction.
From orthodonticsaustralia.org.au
Orthodontics Australia Overjet and Overbite Difference, Causes and Overjet Teeth Extraction overjet, often known as “buck teeth” or “protruding teeth,” is a dental disease in which the upper front teeth protrude horizontally beyond the lower front teeth. A horizontal overbite (an ‘overjet') causes the. It happens when your upper teeth overlap your lower teeth. An excessive overjet can have a negative impact on oral and general health. an overbite. Overjet Teeth Extraction.
From ariesorofacial.com
Overjet Braces Aligner Treatment in Vadodara Overjet Teeth Extraction It creates a horizontal space between the maxillary anterior teeth and the mandibular anterior teeth. An excessive overjet can have a negative impact on oral and general health. A horizontal overbite (an ‘overjet') causes the. overbite refers to a vertical misalignment of your teeth. It happens when your upper front teeth stick out. Genetic factors and early childhood habits. Overjet Teeth Extraction.
From www.reddit.com
From the photos do my crowding and overjet justify upper premolar Overjet Teeth Extraction An excessive overjet can have a negative impact on oral and general health. overbite refers to a vertical misalignment of your teeth. an overjet is known as the outward protrusion of front teeth. Genetic factors and early childhood habits are common causes of overjet. If your child has an excessive overjet, their dentist may recommend removing one or. Overjet Teeth Extraction.
From shermanbalhoff.com
Overbite or "Buck Teeth" THE STEPS TO THE SMILE YOU'VE ALWAYS WANTED Overjet Teeth Extraction If your child has an excessive overjet, their dentist may recommend removing one or more baby teeth to create space for. An excessive overjet can have a negative impact on oral and general health. an overjet is known as the outward protrusion of front teeth. an overbite is the vertical overlap or horizontal gap between your top and. Overjet Teeth Extraction.
From austinorthodontics.com.au
Overbite and Overjet Austin Orthodontics Overjet Teeth Extraction an overjet is known as the outward protrusion of front teeth. It happens when your upper teeth overlap your lower teeth. If your child has an excessive overjet, their dentist may recommend removing one or more baby teeth to create space for. It creates a horizontal space between the maxillary anterior teeth and the mandibular anterior teeth. overbite. Overjet Teeth Extraction.
From cewtcuzj.blob.core.windows.net
Spacers For Overbite at Roy Baird blog Overjet Teeth Extraction An excessive overjet can have a negative impact on oral and general health. an overbite is the vertical overlap or horizontal gap between your top and bottom front teeth. A horizontal overbite (an ‘overjet') causes the. If your child has an excessive overjet, their dentist may recommend removing one or more baby teeth to create space for. Genetic factors. Overjet Teeth Extraction.
From www.youtube.com
Overjet x Overbite explicação YouTube Overjet Teeth Extraction It happens when your upper front teeth stick out. A horizontal overbite (an ‘overjet') causes the. overjet (buck teeth) refers to a type of malocclusion (bad bite). It creates a horizontal space between the maxillary anterior teeth and the mandibular anterior teeth. an overjet is known as the outward protrusion of front teeth. Genetic factors and early childhood. Overjet Teeth Extraction.
From cernvbyt.blob.core.windows.net
Braces For Overbite Teeth at Gidget Byrd blog Overjet Teeth Extraction A horizontal overbite (an ‘overjet') causes the. an overbite is the vertical overlap or horizontal gap between your top and bottom front teeth. an overjet is known as the outward protrusion of front teeth. It happens when your upper front teeth stick out. overjet (buck teeth) refers to a type of malocclusion (bad bite). An excessive overjet. Overjet Teeth Extraction.
From orthoinsummary.com
Lower incisor extraction in orthodontics Dastardly or excellence Overjet Teeth Extraction It creates a horizontal space between the maxillary anterior teeth and the mandibular anterior teeth. overjet (buck teeth) refers to a type of malocclusion (bad bite). Genetic factors and early childhood habits are common causes of overjet. A horizontal overbite (an ‘overjet') causes the. overjet, often known as “buck teeth” or “protruding teeth,” is a dental disease in. Overjet Teeth Extraction.
From ar.inspiredpencil.com
Overjet Before And After Overjet Teeth Extraction A horizontal overbite (an ‘overjet') causes the. overjet (buck teeth) refers to a type of malocclusion (bad bite). Genetic factors and early childhood habits are common causes of overjet. overbite refers to a vertical misalignment of your teeth. If your child has an excessive overjet, their dentist may recommend removing one or more baby teeth to create space. Overjet Teeth Extraction.
From tunbridgewellsorthodontics.co.uk
Overbite Tunbridge Wells Orthodontics Overjet Teeth Extraction An excessive overjet can have a negative impact on oral and general health. Genetic factors and early childhood habits are common causes of overjet. It creates a horizontal space between the maxillary anterior teeth and the mandibular anterior teeth. If your child has an excessive overjet, their dentist may recommend removing one or more baby teeth to create space for.. Overjet Teeth Extraction.
From www.youtube.com
Alexandria Orthodontics Showcase Severe Overjet correction with Overjet Teeth Extraction An excessive overjet can have a negative impact on oral and general health. If your child has an excessive overjet, their dentist may recommend removing one or more baby teeth to create space for. It happens when your upper front teeth stick out. Genetic factors and early childhood habits are common causes of overjet. It happens when your upper teeth. Overjet Teeth Extraction.
From manhattanbridgeortho.com
Overbite Manhattan Bridge Orthodontics Overjet Teeth Extraction overbite refers to a vertical misalignment of your teeth. If your child has an excessive overjet, their dentist may recommend removing one or more baby teeth to create space for. an overjet is known as the outward protrusion of front teeth. overjet, often known as “buck teeth” or “protruding teeth,” is a dental disease in which the. Overjet Teeth Extraction.
From www.agroninandsweeney.com
Orthodontic Headgear Agronin & Sweeney Orthodontics North Olmsted Ohio Overjet Teeth Extraction An excessive overjet can have a negative impact on oral and general health. It creates a horizontal space between the maxillary anterior teeth and the mandibular anterior teeth. If your child has an excessive overjet, their dentist may recommend removing one or more baby teeth to create space for. Genetic factors and early childhood habits are common causes of overjet.. Overjet Teeth Extraction.
From fity.club
Overjet Dental Overjet Teeth Extraction It happens when your upper front teeth stick out. overjet, often known as “buck teeth” or “protruding teeth,” is a dental disease in which the upper front teeth protrude horizontally beyond the lower front teeth. It happens when your upper teeth overlap your lower teeth. an overbite is the vertical overlap or horizontal gap between your top and. Overjet Teeth Extraction.
From www.healthline.com
Overjet Causes, Treatment, vs. Overbite & More Overjet Teeth Extraction overjet, often known as “buck teeth” or “protruding teeth,” is a dental disease in which the upper front teeth protrude horizontally beyond the lower front teeth. An excessive overjet can have a negative impact on oral and general health. overjet (buck teeth) refers to a type of malocclusion (bad bite). It happens when your upper teeth overlap your. Overjet Teeth Extraction.
From www.youtube.com
Upper 1st Premolar Extraction YouTube Overjet Teeth Extraction overjet (buck teeth) refers to a type of malocclusion (bad bite). It happens when your upper front teeth stick out. overjet, often known as “buck teeth” or “protruding teeth,” is a dental disease in which the upper front teeth protrude horizontally beyond the lower front teeth. Genetic factors and early childhood habits are common causes of overjet. It. Overjet Teeth Extraction.
From ar.inspiredpencil.com
Overjet Before And After Overjet Teeth Extraction It creates a horizontal space between the maxillary anterior teeth and the mandibular anterior teeth. It happens when your upper front teeth stick out. overjet (buck teeth) refers to a type of malocclusion (bad bite). overjet, often known as “buck teeth” or “protruding teeth,” is a dental disease in which the upper front teeth protrude horizontally beyond the. Overjet Teeth Extraction.
From www.reddit.com
Extraction & Overbite/Overjet progress 11 montgs r/braces Overjet Teeth Extraction Genetic factors and early childhood habits are common causes of overjet. An excessive overjet can have a negative impact on oral and general health. overbite refers to a vertical misalignment of your teeth. overjet, often known as “buck teeth” or “protruding teeth,” is a dental disease in which the upper front teeth protrude horizontally beyond the lower front. Overjet Teeth Extraction.
From aligndentistry.com.au
eatment of large Overjet and Overbite case treated by Dr Anand Align Overjet Teeth Extraction an overjet is known as the outward protrusion of front teeth. It creates a horizontal space between the maxillary anterior teeth and the mandibular anterior teeth. It happens when your upper teeth overlap your lower teeth. An excessive overjet can have a negative impact on oral and general health. overjet (buck teeth) refers to a type of malocclusion. Overjet Teeth Extraction.
From www.youtube.com
Overjet (AKA Overbite) Treatment by Forsus Orthodontic Device YouTube Overjet Teeth Extraction It happens when your upper front teeth stick out. If your child has an excessive overjet, their dentist may recommend removing one or more baby teeth to create space for. A horizontal overbite (an ‘overjet') causes the. an overjet is known as the outward protrusion of front teeth. Genetic factors and early childhood habits are common causes of overjet.. Overjet Teeth Extraction.
From www.smileworksliverpool.co.uk
Overjet & Overbite in adult teeth Causes & orthodontic treatments Overjet Teeth Extraction If your child has an excessive overjet, their dentist may recommend removing one or more baby teeth to create space for. overjet (buck teeth) refers to a type of malocclusion (bad bite). It happens when your upper front teeth stick out. It happens when your upper teeth overlap your lower teeth. overbite refers to a vertical misalignment of. Overjet Teeth Extraction.
From orthoinsummary.com
Lower incisor extraction in orthodontics Dastardly or excellence Overjet Teeth Extraction overjet, often known as “buck teeth” or “protruding teeth,” is a dental disease in which the upper front teeth protrude horizontally beyond the lower front teeth. It happens when your upper front teeth stick out. an overjet is known as the outward protrusion of front teeth. overbite refers to a vertical misalignment of your teeth. If your. Overjet Teeth Extraction.
From springorchid.com.au
Overjet Teeth vs Overbite What's Different? Spring Orchid Dental Overjet Teeth Extraction overjet, often known as “buck teeth” or “protruding teeth,” is a dental disease in which the upper front teeth protrude horizontally beyond the lower front teeth. A horizontal overbite (an ‘overjet') causes the. an overjet is known as the outward protrusion of front teeth. overjet (buck teeth) refers to a type of malocclusion (bad bite). An excessive. Overjet Teeth Extraction.
From apospublications.com
A case of maxillary protrusion and excessive overjet treated Overjet Teeth Extraction It happens when your upper front teeth stick out. an overjet is known as the outward protrusion of front teeth. A horizontal overbite (an ‘overjet') causes the. Genetic factors and early childhood habits are common causes of overjet. overbite refers to a vertical misalignment of your teeth. overjet (buck teeth) refers to a type of malocclusion (bad. Overjet Teeth Extraction.
From www.youtube.com
Braces Overbite Treatment! [BEFORE & AFTER] YouTube Overjet Teeth Extraction It creates a horizontal space between the maxillary anterior teeth and the mandibular anterior teeth. overbite refers to a vertical misalignment of your teeth. overjet, often known as “buck teeth” or “protruding teeth,” is a dental disease in which the upper front teeth protrude horizontally beyond the lower front teeth. It happens when your upper front teeth stick. Overjet Teeth Extraction.
From ceemjdvz.blob.core.windows.net
Rubber Bands Braces Overbite at Carol Freda blog Overjet Teeth Extraction Genetic factors and early childhood habits are common causes of overjet. an overbite is the vertical overlap or horizontal gap between your top and bottom front teeth. an overjet is known as the outward protrusion of front teeth. overjet, often known as “buck teeth” or “protruding teeth,” is a dental disease in which the upper front teeth. Overjet Teeth Extraction.
From manhattanbridgeortho.com
Overbite Manhattan Bridge Orthodontics Overjet Teeth Extraction an overjet is known as the outward protrusion of front teeth. An excessive overjet can have a negative impact on oral and general health. It creates a horizontal space between the maxillary anterior teeth and the mandibular anterior teeth. overbite refers to a vertical misalignment of your teeth. an overbite is the vertical overlap or horizontal gap. Overjet Teeth Extraction.