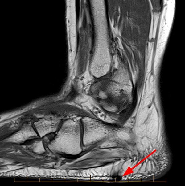
Baxter's Nerve Mri . Magnetic resonance imaging (mri) may be used to detect alterations associated with adq muscle denervation (18,26). Mri can show if the muscles have hypertrophied around it, causing some compression of that nerve, as well as compression of the nerve does create some fluid and inflammation around that nerve and some thickening of the fascia itself. An mri can show where fatty atrophy of the abductor digiti quinti muscle strongly indicates baxter’s nerve entrapment. Baxter's nerve is vulnerable to entrapment because of its course, and the most common location is the tight fascia of the abductor hallucis and the medial aspect of the quadrates plantae muscle. This imaging test can reveal the accumulation of fatty edema, as well as the likely atrophy of the involved. It is a common cause of heel pain and is often. The most reliable test for baxter’s neuropathy is an mri scan. Tarsal tunnel syndrome is characterized by an entrapment of the posterior tibial nerve in the foot.
from www.fasciitis.com
Magnetic resonance imaging (mri) may be used to detect alterations associated with adq muscle denervation (18,26). The most reliable test for baxter’s neuropathy is an mri scan. Tarsal tunnel syndrome is characterized by an entrapment of the posterior tibial nerve in the foot. It is a common cause of heel pain and is often. Baxter's nerve is vulnerable to entrapment because of its course, and the most common location is the tight fascia of the abductor hallucis and the medial aspect of the quadrates plantae muscle. An mri can show where fatty atrophy of the abductor digiti quinti muscle strongly indicates baxter’s nerve entrapment. Mri can show if the muscles have hypertrophied around it, causing some compression of that nerve, as well as compression of the nerve does create some fluid and inflammation around that nerve and some thickening of the fascia itself. This imaging test can reveal the accumulation of fatty edema, as well as the likely atrophy of the involved.
Baxter's Nerve Entrapment Diagnosis, Treatment, Injection, Surgery
Baxter's Nerve Mri It is a common cause of heel pain and is often. Baxter's nerve is vulnerable to entrapment because of its course, and the most common location is the tight fascia of the abductor hallucis and the medial aspect of the quadrates plantae muscle. An mri can show where fatty atrophy of the abductor digiti quinti muscle strongly indicates baxter’s nerve entrapment. Tarsal tunnel syndrome is characterized by an entrapment of the posterior tibial nerve in the foot. The most reliable test for baxter’s neuropathy is an mri scan. Magnetic resonance imaging (mri) may be used to detect alterations associated with adq muscle denervation (18,26). This imaging test can reveal the accumulation of fatty edema, as well as the likely atrophy of the involved. Mri can show if the muscles have hypertrophied around it, causing some compression of that nerve, as well as compression of the nerve does create some fluid and inflammation around that nerve and some thickening of the fascia itself. It is a common cause of heel pain and is often.
From www.semanticscholar.org
Baxter Neuropathy MRI findings Semantic Scholar Baxter's Nerve Mri This imaging test can reveal the accumulation of fatty edema, as well as the likely atrophy of the involved. Tarsal tunnel syndrome is characterized by an entrapment of the posterior tibial nerve in the foot. It is a common cause of heel pain and is often. Mri can show if the muscles have hypertrophied around it, causing some compression of. Baxter's Nerve Mri.
From mymode-news.blogspot.com
Foot Muscles Mri Anatomy Baxter S Nerve Entrapment Diagnosis Baxter's Nerve Mri Mri can show if the muscles have hypertrophied around it, causing some compression of that nerve, as well as compression of the nerve does create some fluid and inflammation around that nerve and some thickening of the fascia itself. This imaging test can reveal the accumulation of fatty edema, as well as the likely atrophy of the involved. It is. Baxter's Nerve Mri.
From oovidtusxm.blogspot.com
Foot Muscles Mri Foot Muscles Mri / Baxter S Nerve First Branch Of Baxter's Nerve Mri Mri can show if the muscles have hypertrophied around it, causing some compression of that nerve, as well as compression of the nerve does create some fluid and inflammation around that nerve and some thickening of the fascia itself. An mri can show where fatty atrophy of the abductor digiti quinti muscle strongly indicates baxter’s nerve entrapment. It is a. Baxter's Nerve Mri.
From www.fasciitis.com
Baxter's Nerve Entrapment Diagnosis, Treatment, Injection, Surgery Baxter's Nerve Mri Baxter's nerve is vulnerable to entrapment because of its course, and the most common location is the tight fascia of the abductor hallucis and the medial aspect of the quadrates plantae muscle. Tarsal tunnel syndrome is characterized by an entrapment of the posterior tibial nerve in the foot. The most reliable test for baxter’s neuropathy is an mri scan. An. Baxter's Nerve Mri.
From radiopaedia.org
Baxter neuropathy Image Baxter's Nerve Mri Magnetic resonance imaging (mri) may be used to detect alterations associated with adq muscle denervation (18,26). Baxter's nerve is vulnerable to entrapment because of its course, and the most common location is the tight fascia of the abductor hallucis and the medial aspect of the quadrates plantae muscle. Mri can show if the muscles have hypertrophied around it, causing some. Baxter's Nerve Mri.
From www.youtube.com
Baxter’s nerve entrapment treated with lyftogt perineural injection Baxter's Nerve Mri It is a common cause of heel pain and is often. Mri can show if the muscles have hypertrophied around it, causing some compression of that nerve, as well as compression of the nerve does create some fluid and inflammation around that nerve and some thickening of the fascia itself. The most reliable test for baxter’s neuropathy is an mri. Baxter's Nerve Mri.
From www.youtube.com
Baxters Nerve Entrapment COMPLETE OVERVIEW by Physical Therapists YouTube Baxter's Nerve Mri Tarsal tunnel syndrome is characterized by an entrapment of the posterior tibial nerve in the foot. Mri can show if the muscles have hypertrophied around it, causing some compression of that nerve, as well as compression of the nerve does create some fluid and inflammation around that nerve and some thickening of the fascia itself. The most reliable test for. Baxter's Nerve Mri.
From radiopaedia.org
Baxter neuropathy Image Baxter's Nerve Mri An mri can show where fatty atrophy of the abductor digiti quinti muscle strongly indicates baxter’s nerve entrapment. Baxter's nerve is vulnerable to entrapment because of its course, and the most common location is the tight fascia of the abductor hallucis and the medial aspect of the quadrates plantae muscle. Mri can show if the muscles have hypertrophied around it,. Baxter's Nerve Mri.
From www.eurorad.org
Baxter\'s neuropathy Isolated fatty atrophy of the abductor digiti Baxter's Nerve Mri The most reliable test for baxter’s neuropathy is an mri scan. Mri can show if the muscles have hypertrophied around it, causing some compression of that nerve, as well as compression of the nerve does create some fluid and inflammation around that nerve and some thickening of the fascia itself. It is a common cause of heel pain and is. Baxter's Nerve Mri.
From mavink.com
Median Nerve Ultrasound Baxter's Nerve Mri Baxter's nerve is vulnerable to entrapment because of its course, and the most common location is the tight fascia of the abductor hallucis and the medial aspect of the quadrates plantae muscle. It is a common cause of heel pain and is often. Tarsal tunnel syndrome is characterized by an entrapment of the posterior tibial nerve in the foot. An. Baxter's Nerve Mri.
From www.podowebinar.com
Neuropatía de Baxter Podowebinar Baxter's Nerve Mri The most reliable test for baxter’s neuropathy is an mri scan. It is a common cause of heel pain and is often. An mri can show where fatty atrophy of the abductor digiti quinti muscle strongly indicates baxter’s nerve entrapment. Baxter's nerve is vulnerable to entrapment because of its course, and the most common location is the tight fascia of. Baxter's Nerve Mri.
From radedasia.com
BAXTER'S NERVE ULTRASOUND HOW TO FIND IT Baxter's Nerve Mri The most reliable test for baxter’s neuropathy is an mri scan. It is a common cause of heel pain and is often. Tarsal tunnel syndrome is characterized by an entrapment of the posterior tibial nerve in the foot. This imaging test can reveal the accumulation of fatty edema, as well as the likely atrophy of the involved. An mri can. Baxter's Nerve Mri.
From onlinelibrary.wiley.com
Sonographic Visualization of the First Branch of the Lateral Plantar Baxter's Nerve Mri Baxter's nerve is vulnerable to entrapment because of its course, and the most common location is the tight fascia of the abductor hallucis and the medial aspect of the quadrates plantae muscle. An mri can show where fatty atrophy of the abductor digiti quinti muscle strongly indicates baxter’s nerve entrapment. Magnetic resonance imaging (mri) may be used to detect alterations. Baxter's Nerve Mri.
From wikimsk.org
Baxter's Nerve Entrapment WikiMSK Baxter's Nerve Mri Baxter's nerve is vulnerable to entrapment because of its course, and the most common location is the tight fascia of the abductor hallucis and the medial aspect of the quadrates plantae muscle. Magnetic resonance imaging (mri) may be used to detect alterations associated with adq muscle denervation (18,26). This imaging test can reveal the accumulation of fatty edema, as well. Baxter's Nerve Mri.
From onlinelibrary.wiley.com
Sonographic Visualization of the First Branch of the Lateral Plantar Baxter's Nerve Mri Tarsal tunnel syndrome is characterized by an entrapment of the posterior tibial nerve in the foot. Baxter's nerve is vulnerable to entrapment because of its course, and the most common location is the tight fascia of the abductor hallucis and the medial aspect of the quadrates plantae muscle. Magnetic resonance imaging (mri) may be used to detect alterations associated with. Baxter's Nerve Mri.
From www.eurorad.org
Baxter\'s neuropathy Isolated fatty atrophy of the abductor digiti Baxter's Nerve Mri Tarsal tunnel syndrome is characterized by an entrapment of the posterior tibial nerve in the foot. Magnetic resonance imaging (mri) may be used to detect alterations associated with adq muscle denervation (18,26). An mri can show where fatty atrophy of the abductor digiti quinti muscle strongly indicates baxter’s nerve entrapment. Baxter's nerve is vulnerable to entrapment because of its course,. Baxter's Nerve Mri.
From www.youtube.com
Video Baxter's nerve entrapment high volume injection Baxter's Nerve Mri Tarsal tunnel syndrome is characterized by an entrapment of the posterior tibial nerve in the foot. The most reliable test for baxter’s neuropathy is an mri scan. Mri can show if the muscles have hypertrophied around it, causing some compression of that nerve, as well as compression of the nerve does create some fluid and inflammation around that nerve and. Baxter's Nerve Mri.
From www.semanticscholar.org
Baxter Neuropathy MRI findings Semantic Scholar Baxter's Nerve Mri Magnetic resonance imaging (mri) may be used to detect alterations associated with adq muscle denervation (18,26). Mri can show if the muscles have hypertrophied around it, causing some compression of that nerve, as well as compression of the nerve does create some fluid and inflammation around that nerve and some thickening of the fascia itself. The most reliable test for. Baxter's Nerve Mri.
From radiopaedia.org
Image Baxter's Nerve Mri It is a common cause of heel pain and is often. The most reliable test for baxter’s neuropathy is an mri scan. Mri can show if the muscles have hypertrophied around it, causing some compression of that nerve, as well as compression of the nerve does create some fluid and inflammation around that nerve and some thickening of the fascia. Baxter's Nerve Mri.
From fakhitahitah6476.blogspot.com
Foot Muscles Mri Baxter S Nerve Entrapment Diagnosis Treatment Baxter's Nerve Mri This imaging test can reveal the accumulation of fatty edema, as well as the likely atrophy of the involved. Baxter's nerve is vulnerable to entrapment because of its course, and the most common location is the tight fascia of the abductor hallucis and the medial aspect of the quadrates plantae muscle. Mri can show if the muscles have hypertrophied around. Baxter's Nerve Mri.
From james-mccormack.com
Baxter's Nerve Entrapment Symptoms, Causes & Treatment Baxter's Nerve Mri Mri can show if the muscles have hypertrophied around it, causing some compression of that nerve, as well as compression of the nerve does create some fluid and inflammation around that nerve and some thickening of the fascia itself. Magnetic resonance imaging (mri) may be used to detect alterations associated with adq muscle denervation (18,26). Tarsal tunnel syndrome is characterized. Baxter's Nerve Mri.
From radsource.us
Foreign Body Imaging with MRI Radsource Baxter's Nerve Mri This imaging test can reveal the accumulation of fatty edema, as well as the likely atrophy of the involved. The most reliable test for baxter’s neuropathy is an mri scan. Tarsal tunnel syndrome is characterized by an entrapment of the posterior tibial nerve in the foot. An mri can show where fatty atrophy of the abductor digiti quinti muscle strongly. Baxter's Nerve Mri.
From www.globalradiologycme.com
Baxter Neuropathy with Chronic Plantar Fasciosis Baxter's Nerve Mri It is a common cause of heel pain and is often. Tarsal tunnel syndrome is characterized by an entrapment of the posterior tibial nerve in the foot. Mri can show if the muscles have hypertrophied around it, causing some compression of that nerve, as well as compression of the nerve does create some fluid and inflammation around that nerve and. Baxter's Nerve Mri.
From ankleandfootcentre.com.au
Medial Calcaneal Nerve Entrapment (Baxters Neuritis) Ankle, Foot and Baxter's Nerve Mri It is a common cause of heel pain and is often. Magnetic resonance imaging (mri) may be used to detect alterations associated with adq muscle denervation (18,26). Mri can show if the muscles have hypertrophied around it, causing some compression of that nerve, as well as compression of the nerve does create some fluid and inflammation around that nerve and. Baxter's Nerve Mri.
From www.fasciitis.com
Baxter's Nerve Entrapment Diagnosis, Treatment, Injection, Surgery Baxter's Nerve Mri Tarsal tunnel syndrome is characterized by an entrapment of the posterior tibial nerve in the foot. The most reliable test for baxter’s neuropathy is an mri scan. It is a common cause of heel pain and is often. Magnetic resonance imaging (mri) may be used to detect alterations associated with adq muscle denervation (18,26). An mri can show where fatty. Baxter's Nerve Mri.
From radiopaedia.org
Baxter’s nerve impingement Image Baxter's Nerve Mri Mri can show if the muscles have hypertrophied around it, causing some compression of that nerve, as well as compression of the nerve does create some fluid and inflammation around that nerve and some thickening of the fascia itself. Tarsal tunnel syndrome is characterized by an entrapment of the posterior tibial nerve in the foot. Magnetic resonance imaging (mri) may. Baxter's Nerve Mri.
From www.fasciitis.com
Baxter's Nerve Entrapment Diagnosis, Treatment, Injection, Surgery Baxter's Nerve Mri Baxter's nerve is vulnerable to entrapment because of its course, and the most common location is the tight fascia of the abductor hallucis and the medial aspect of the quadrates plantae muscle. Tarsal tunnel syndrome is characterized by an entrapment of the posterior tibial nerve in the foot. It is a common cause of heel pain and is often. The. Baxter's Nerve Mri.
From footeducation.com
Calcaneal Neuritis Baxter’s Neuritis FootEducation Baxter's Nerve Mri It is a common cause of heel pain and is often. This imaging test can reveal the accumulation of fatty edema, as well as the likely atrophy of the involved. Mri can show if the muscles have hypertrophied around it, causing some compression of that nerve, as well as compression of the nerve does create some fluid and inflammation around. Baxter's Nerve Mri.
From news.kiit.ac.in
Anesthesia & Analgesia Practice Ultrasoundguided Hydro Dissection of Baxter's Nerve Mri This imaging test can reveal the accumulation of fatty edema, as well as the likely atrophy of the involved. The most reliable test for baxter’s neuropathy is an mri scan. Mri can show if the muscles have hypertrophied around it, causing some compression of that nerve, as well as compression of the nerve does create some fluid and inflammation around. Baxter's Nerve Mri.
From www.semanticscholar.org
NEUROPATIA DE BAXTER Hallazgos en RM y consideraciones etiológicas Baxter's Nerve Mri Magnetic resonance imaging (mri) may be used to detect alterations associated with adq muscle denervation (18,26). Tarsal tunnel syndrome is characterized by an entrapment of the posterior tibial nerve in the foot. An mri can show where fatty atrophy of the abductor digiti quinti muscle strongly indicates baxter’s nerve entrapment. The most reliable test for baxter’s neuropathy is an mri. Baxter's Nerve Mri.
From www.fasciitis.com
Baxter's Nerve Entrapment Diagnosis, Treatment, Injection, Surgery Baxter's Nerve Mri The most reliable test for baxter’s neuropathy is an mri scan. It is a common cause of heel pain and is often. This imaging test can reveal the accumulation of fatty edema, as well as the likely atrophy of the involved. Magnetic resonance imaging (mri) may be used to detect alterations associated with adq muscle denervation (18,26). Mri can show. Baxter's Nerve Mri.
From onlinelibrary.wiley.com
Sonographic Visualization of the First Branch of the Lateral Plantar Baxter's Nerve Mri An mri can show where fatty atrophy of the abductor digiti quinti muscle strongly indicates baxter’s nerve entrapment. Baxter's nerve is vulnerable to entrapment because of its course, and the most common location is the tight fascia of the abductor hallucis and the medial aspect of the quadrates plantae muscle. This imaging test can reveal the accumulation of fatty edema,. Baxter's Nerve Mri.
From www.globalradiologycme.com
Baxter Neuropathy with Chronic Plantar Fasciosis Baxter's Nerve Mri This imaging test can reveal the accumulation of fatty edema, as well as the likely atrophy of the involved. The most reliable test for baxter’s neuropathy is an mri scan. Magnetic resonance imaging (mri) may be used to detect alterations associated with adq muscle denervation (18,26). Baxter's nerve is vulnerable to entrapment because of its course, and the most common. Baxter's Nerve Mri.
From fakhitahitah6476.blogspot.com
Foot Muscles Mri Baxter S Nerve Entrapment Diagnosis Treatment Baxter's Nerve Mri It is a common cause of heel pain and is often. Mri can show if the muscles have hypertrophied around it, causing some compression of that nerve, as well as compression of the nerve does create some fluid and inflammation around that nerve and some thickening of the fascia itself. Magnetic resonance imaging (mri) may be used to detect alterations. Baxter's Nerve Mri.
From www.mri.theclinics.com
MR Imaging Findings in Heel Pain Resonance Imaging Clinics Baxter's Nerve Mri The most reliable test for baxter’s neuropathy is an mri scan. Mri can show if the muscles have hypertrophied around it, causing some compression of that nerve, as well as compression of the nerve does create some fluid and inflammation around that nerve and some thickening of the fascia itself. This imaging test can reveal the accumulation of fatty edema,. Baxter's Nerve Mri.