Can An Enlarged Uterus Shrink . Adenomyosis is a condition in which tissue that normally lines the uterus. For fibroids that are larger or more. This can happen for a. Fibroids can actually shrink or grow over time. Many fibroids shrink and disappear naturally, a process you can facilitate by exercising, eating a healthy diet, and using herbal remedies. If your uterus in enlarged because of pregnancy, it will naturally begin to shrink after you deliver. Small particles called embolic agents are injected into the arteries that supply the uterus with blood. After menopause, they often shrink naturally and cause no symptoms. They can change size suddenly or steadily over a long period of time. After all, the uterus is capable of expanding to nearly the size of a watermelon in. Having an enlarged uterus isn’t always problematic. By one week postpartum, your uterus will be reduced to half its size. The particles cut off blood flow to fibroids,.
from www.pinterest.com
If your uterus in enlarged because of pregnancy, it will naturally begin to shrink after you deliver. By one week postpartum, your uterus will be reduced to half its size. They can change size suddenly or steadily over a long period of time. Small particles called embolic agents are injected into the arteries that supply the uterus with blood. Many fibroids shrink and disappear naturally, a process you can facilitate by exercising, eating a healthy diet, and using herbal remedies. After all, the uterus is capable of expanding to nearly the size of a watermelon in. Having an enlarged uterus isn’t always problematic. Adenomyosis is a condition in which tissue that normally lines the uterus. This can happen for a. The particles cut off blood flow to fibroids,.
4 Ways to Help Your Uterus Shrink After Birth in 2020 Uterus, New baby products, Postpartum health
Can An Enlarged Uterus Shrink Many fibroids shrink and disappear naturally, a process you can facilitate by exercising, eating a healthy diet, and using herbal remedies. Many fibroids shrink and disappear naturally, a process you can facilitate by exercising, eating a healthy diet, and using herbal remedies. They can change size suddenly or steadily over a long period of time. Having an enlarged uterus isn’t always problematic. For fibroids that are larger or more. Adenomyosis is a condition in which tissue that normally lines the uterus. Fibroids can actually shrink or grow over time. If your uterus in enlarged because of pregnancy, it will naturally begin to shrink after you deliver. After menopause, they often shrink naturally and cause no symptoms. By one week postpartum, your uterus will be reduced to half its size. After all, the uterus is capable of expanding to nearly the size of a watermelon in. This can happen for a. Small particles called embolic agents are injected into the arteries that supply the uterus with blood. The particles cut off blood flow to fibroids,.
From optinghealth.com
What Could Trigger Enlarged Uterus? 12 Possible Causes OptingHealth Can An Enlarged Uterus Shrink By one week postpartum, your uterus will be reduced to half its size. Fibroids can actually shrink or grow over time. If your uterus in enlarged because of pregnancy, it will naturally begin to shrink after you deliver. After all, the uterus is capable of expanding to nearly the size of a watermelon in. The particles cut off blood flow. Can An Enlarged Uterus Shrink.
From www.astraveinvascular.com
Enlarged Uterus Vein & Endovascular Medical Care Can An Enlarged Uterus Shrink For fibroids that are larger or more. This can happen for a. Small particles called embolic agents are injected into the arteries that supply the uterus with blood. Many fibroids shrink and disappear naturally, a process you can facilitate by exercising, eating a healthy diet, and using herbal remedies. Having an enlarged uterus isn’t always problematic. After menopause, they often. Can An Enlarged Uterus Shrink.
From www.pinterest.com
Pin on Pregnancy ) Can An Enlarged Uterus Shrink After menopause, they often shrink naturally and cause no symptoms. Small particles called embolic agents are injected into the arteries that supply the uterus with blood. By one week postpartum, your uterus will be reduced to half its size. Many fibroids shrink and disappear naturally, a process you can facilitate by exercising, eating a healthy diet, and using herbal remedies.. Can An Enlarged Uterus Shrink.
From www.gentlenursery.com
Tips to Help Your Uterus Shrink After Birth Can An Enlarged Uterus Shrink This can happen for a. Small particles called embolic agents are injected into the arteries that supply the uterus with blood. After all, the uterus is capable of expanding to nearly the size of a watermelon in. Fibroids can actually shrink or grow over time. Having an enlarged uterus isn’t always problematic. After menopause, they often shrink naturally and cause. Can An Enlarged Uterus Shrink.
From healthandwellnesy.blogspot.com
How to Get Rid of Uterine Fibroids without Surgery HEALTH and WELLNESS Can An Enlarged Uterus Shrink This can happen for a. Adenomyosis is a condition in which tissue that normally lines the uterus. For fibroids that are larger or more. They can change size suddenly or steadily over a long period of time. By one week postpartum, your uterus will be reduced to half its size. Small particles called embolic agents are injected into the arteries. Can An Enlarged Uterus Shrink.
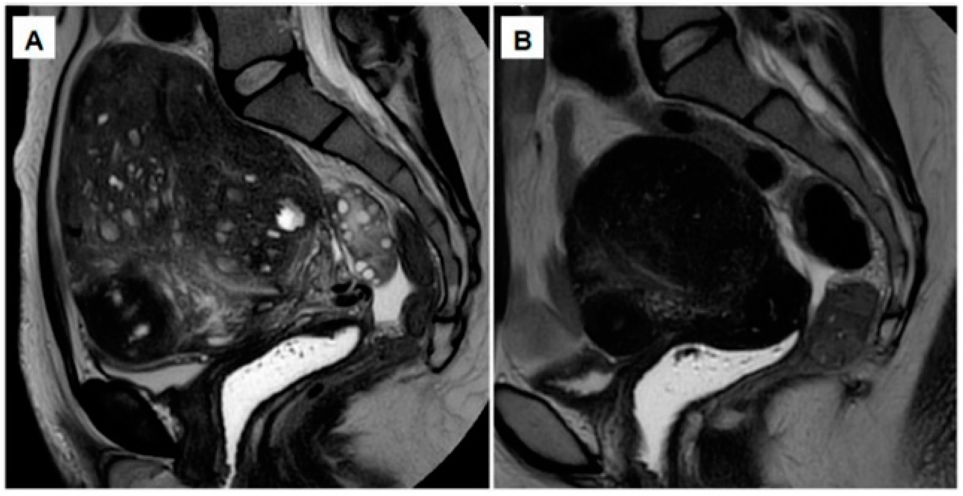
From pubs.rsna.org
Diffusely Enlarged Uterus Evaluation with MR Imaging RadioGraphics Can An Enlarged Uterus Shrink Adenomyosis is a condition in which tissue that normally lines the uterus. Having an enlarged uterus isn’t always problematic. After menopause, they often shrink naturally and cause no symptoms. If your uterus in enlarged because of pregnancy, it will naturally begin to shrink after you deliver. For fibroids that are larger or more. Fibroids can actually shrink or grow over. Can An Enlarged Uterus Shrink.
From www.pinterest.co.kr
How to shrink your uterus after birth ( 6 safe tips) Can An Enlarged Uterus Shrink After all, the uterus is capable of expanding to nearly the size of a watermelon in. Fibroids can actually shrink or grow over time. Adenomyosis is a condition in which tissue that normally lines the uterus. If your uterus in enlarged because of pregnancy, it will naturally begin to shrink after you deliver. Having an enlarged uterus isn’t always problematic.. Can An Enlarged Uterus Shrink.
From www.pinterest.com
Pin on Postpartum Recovery Can An Enlarged Uterus Shrink After menopause, they often shrink naturally and cause no symptoms. If your uterus in enlarged because of pregnancy, it will naturally begin to shrink after you deliver. Many fibroids shrink and disappear naturally, a process you can facilitate by exercising, eating a healthy diet, and using herbal remedies. Adenomyosis is a condition in which tissue that normally lines the uterus.. Can An Enlarged Uterus Shrink.
From themedicalnepal.blogspot.com
Enlarged uterus Causes, symptoms, and treatment Medical Nepal Can An Enlarged Uterus Shrink If your uterus in enlarged because of pregnancy, it will naturally begin to shrink after you deliver. After all, the uterus is capable of expanding to nearly the size of a watermelon in. For fibroids that are larger or more. Adenomyosis is a condition in which tissue that normally lines the uterus. After menopause, they often shrink naturally and cause. Can An Enlarged Uterus Shrink.
From pubs.rsna.org
Diffusely Enlarged Uterus Evaluation with MR Imaging RadioGraphics Can An Enlarged Uterus Shrink For fibroids that are larger or more. Fibroids can actually shrink or grow over time. They can change size suddenly or steadily over a long period of time. Small particles called embolic agents are injected into the arteries that supply the uterus with blood. By one week postpartum, your uterus will be reduced to half its size. If your uterus. Can An Enlarged Uterus Shrink.
From pubs.rsna.org
Diffusely Enlarged Uterus Evaluation with MR Imaging RadioGraphics Can An Enlarged Uterus Shrink After all, the uterus is capable of expanding to nearly the size of a watermelon in. By one week postpartum, your uterus will be reduced to half its size. Small particles called embolic agents are injected into the arteries that supply the uterus with blood. If your uterus in enlarged because of pregnancy, it will naturally begin to shrink after. Can An Enlarged Uterus Shrink.
From www.pinterest.com
4 Ways to Help Your Uterus Shrink After Birth Mommy Needs Chocolate Uterus, Postpartum Can An Enlarged Uterus Shrink Having an enlarged uterus isn’t always problematic. Small particles called embolic agents are injected into the arteries that supply the uterus with blood. Adenomyosis is a condition in which tissue that normally lines the uterus. Many fibroids shrink and disappear naturally, a process you can facilitate by exercising, eating a healthy diet, and using herbal remedies. For fibroids that are. Can An Enlarged Uterus Shrink.
From www.mdpi.com
JCM Free FullText Conservative Management of Uterine Adenomyosis Medical vs. Surgical Approach Can An Enlarged Uterus Shrink Fibroids can actually shrink or grow over time. This can happen for a. Many fibroids shrink and disappear naturally, a process you can facilitate by exercising, eating a healthy diet, and using herbal remedies. For fibroids that are larger or more. The particles cut off blood flow to fibroids,. By one week postpartum, your uterus will be reduced to half. Can An Enlarged Uterus Shrink.
From www.zeevafertility.com
Enlarged uterus without pregnancy Could it be uterine fibroids? Can An Enlarged Uterus Shrink The particles cut off blood flow to fibroids,. Many fibroids shrink and disappear naturally, a process you can facilitate by exercising, eating a healthy diet, and using herbal remedies. Having an enlarged uterus isn’t always problematic. Adenomyosis is a condition in which tissue that normally lines the uterus. Small particles called embolic agents are injected into the arteries that supply. Can An Enlarged Uterus Shrink.
From pregnantmamababylife.com
5 Surefire Ways to Shrink Your Uterus After Birth +Serious Warning Signs Can An Enlarged Uterus Shrink After menopause, they often shrink naturally and cause no symptoms. If your uterus in enlarged because of pregnancy, it will naturally begin to shrink after you deliver. For fibroids that are larger or more. After all, the uterus is capable of expanding to nearly the size of a watermelon in. Small particles called embolic agents are injected into the arteries. Can An Enlarged Uterus Shrink.
From www.pinterest.com
Shrinking Your Uterus After Birth is Important, Here's Why in 2022 Uterus, After birth, Birth Can An Enlarged Uterus Shrink Having an enlarged uterus isn’t always problematic. The particles cut off blood flow to fibroids,. They can change size suddenly or steadily over a long period of time. After all, the uterus is capable of expanding to nearly the size of a watermelon in. Fibroids can actually shrink or grow over time. Small particles called embolic agents are injected into. Can An Enlarged Uterus Shrink.
From www.pinterest.com
4 Ways to Help Your Uterus Shrink After Birth in 2020 Uterus, New baby products, Postpartum health Can An Enlarged Uterus Shrink For fibroids that are larger or more. After all, the uterus is capable of expanding to nearly the size of a watermelon in. If your uterus in enlarged because of pregnancy, it will naturally begin to shrink after you deliver. By one week postpartum, your uterus will be reduced to half its size. Having an enlarged uterus isn’t always problematic.. Can An Enlarged Uterus Shrink.
From www.medicalnewstoday.com
Enlarged uterus Causes, symptoms, and treatment Can An Enlarged Uterus Shrink The particles cut off blood flow to fibroids,. Fibroids can actually shrink or grow over time. After all, the uterus is capable of expanding to nearly the size of a watermelon in. By one week postpartum, your uterus will be reduced to half its size. Having an enlarged uterus isn’t always problematic. After menopause, they often shrink naturally and cause. Can An Enlarged Uterus Shrink.
From www.youtube.com
How to Shrink Uterine Fibroids Naturally YouTube Can An Enlarged Uterus Shrink Fibroids can actually shrink or grow over time. This can happen for a. By one week postpartum, your uterus will be reduced to half its size. Many fibroids shrink and disappear naturally, a process you can facilitate by exercising, eating a healthy diet, and using herbal remedies. They can change size suddenly or steadily over a long period of time.. Can An Enlarged Uterus Shrink.
From birlafertility.com
Enlarged Uterus Causes, Symptoms and Treatment Birla Fertility & IVF Can An Enlarged Uterus Shrink The particles cut off blood flow to fibroids,. If your uterus in enlarged because of pregnancy, it will naturally begin to shrink after you deliver. Fibroids can actually shrink or grow over time. This can happen for a. Many fibroids shrink and disappear naturally, a process you can facilitate by exercising, eating a healthy diet, and using herbal remedies. After. Can An Enlarged Uterus Shrink.
From www.wonderbaby.org
How Long Does It Take for Your Uterus to Shrink After Pregnancy? Can An Enlarged Uterus Shrink After menopause, they often shrink naturally and cause no symptoms. Many fibroids shrink and disappear naturally, a process you can facilitate by exercising, eating a healthy diet, and using herbal remedies. By one week postpartum, your uterus will be reduced to half its size. The particles cut off blood flow to fibroids,. Small particles called embolic agents are injected into. Can An Enlarged Uterus Shrink.
From www.researchgate.net
MR imaging showing significantly enlarged uterus with a heterogeneous... Download Scientific Can An Enlarged Uterus Shrink This can happen for a. Fibroids can actually shrink or grow over time. If your uterus in enlarged because of pregnancy, it will naturally begin to shrink after you deliver. After all, the uterus is capable of expanding to nearly the size of a watermelon in. By one week postpartum, your uterus will be reduced to half its size. Having. Can An Enlarged Uterus Shrink.
From www.downtownveinvascular.com
Enlarged Uterus Treatments in Downtown Brooklyn, NY Downtown Vein & Vascular Can An Enlarged Uterus Shrink Many fibroids shrink and disappear naturally, a process you can facilitate by exercising, eating a healthy diet, and using herbal remedies. They can change size suddenly or steadily over a long period of time. For fibroids that are larger or more. Adenomyosis is a condition in which tissue that normally lines the uterus. Fibroids can actually shrink or grow over. Can An Enlarged Uterus Shrink.
From www.medicalnewstoday.com
Enlarged uterus Causes, symptoms, and treatment Can An Enlarged Uterus Shrink They can change size suddenly or steadily over a long period of time. Many fibroids shrink and disappear naturally, a process you can facilitate by exercising, eating a healthy diet, and using herbal remedies. Adenomyosis is a condition in which tissue that normally lines the uterus. Small particles called embolic agents are injected into the arteries that supply the uterus. Can An Enlarged Uterus Shrink.
From www.pinterest.com
How to shrink your uterus after birth ( 6 safe tips) Cameretta bebè, Bebè, Applicare trucco Can An Enlarged Uterus Shrink This can happen for a. They can change size suddenly or steadily over a long period of time. For fibroids that are larger or more. By one week postpartum, your uterus will be reduced to half its size. Fibroids can actually shrink or grow over time. Having an enlarged uterus isn’t always problematic. After menopause, they often shrink naturally and. Can An Enlarged Uterus Shrink.
From www.artofit.org
Uterine fibroids during pregnancy symptoms and treatment Artofit Can An Enlarged Uterus Shrink They can change size suddenly or steadily over a long period of time. This can happen for a. Small particles called embolic agents are injected into the arteries that supply the uterus with blood. Having an enlarged uterus isn’t always problematic. Many fibroids shrink and disappear naturally, a process you can facilitate by exercising, eating a healthy diet, and using. Can An Enlarged Uterus Shrink.
From pregnantmamababylife.com
5 Surefire Ways to Shrink Your Uterus After Birth +Serious Warning Signs Can An Enlarged Uterus Shrink If your uterus in enlarged because of pregnancy, it will naturally begin to shrink after you deliver. The particles cut off blood flow to fibroids,. Adenomyosis is a condition in which tissue that normally lines the uterus. After all, the uterus is capable of expanding to nearly the size of a watermelon in. They can change size suddenly or steadily. Can An Enlarged Uterus Shrink.
From pubs.rsna.org
Diffusely Enlarged Uterus Evaluation with MR Imaging RadioGraphics Can An Enlarged Uterus Shrink If your uterus in enlarged because of pregnancy, it will naturally begin to shrink after you deliver. This can happen for a. By one week postpartum, your uterus will be reduced to half its size. Having an enlarged uterus isn’t always problematic. Adenomyosis is a condition in which tissue that normally lines the uterus. They can change size suddenly or. Can An Enlarged Uterus Shrink.
From www.astraveinvascular.com
Enlarged Uterus Vein & Endovascular Medical Care Can An Enlarged Uterus Shrink After menopause, they often shrink naturally and cause no symptoms. This can happen for a. Adenomyosis is a condition in which tissue that normally lines the uterus. For fibroids that are larger or more. After all, the uterus is capable of expanding to nearly the size of a watermelon in. They can change size suddenly or steadily over a long. Can An Enlarged Uterus Shrink.
From www.youtube.com
Enlarged Uterus, How To Reduce bulky Uterus YouTube Can An Enlarged Uterus Shrink Small particles called embolic agents are injected into the arteries that supply the uterus with blood. Fibroids can actually shrink or grow over time. After all, the uterus is capable of expanding to nearly the size of a watermelon in. The particles cut off blood flow to fibroids,. For fibroids that are larger or more. Adenomyosis is a condition in. Can An Enlarged Uterus Shrink.
From www.pinterest.com
MRI Image of fibroids Health and Wellness Fibroid uterus, Uterine fibroids symptoms Can An Enlarged Uterus Shrink After menopause, they often shrink naturally and cause no symptoms. Small particles called embolic agents are injected into the arteries that supply the uterus with blood. Having an enlarged uterus isn’t always problematic. If your uterus in enlarged because of pregnancy, it will naturally begin to shrink after you deliver. The particles cut off blood flow to fibroids,. Many fibroids. Can An Enlarged Uterus Shrink.
From www.youtube.com
How long does it take uterus to shrink after birth? YouTube Can An Enlarged Uterus Shrink By one week postpartum, your uterus will be reduced to half its size. They can change size suddenly or steadily over a long period of time. After menopause, they often shrink naturally and cause no symptoms. For fibroids that are larger or more. Fibroids can actually shrink or grow over time. This can happen for a. Small particles called embolic. Can An Enlarged Uterus Shrink.
From pubs.rsna.org
Diffusely Enlarged Uterus Evaluation with MR Imaging RadioGraphics Can An Enlarged Uterus Shrink The particles cut off blood flow to fibroids,. Fibroids can actually shrink or grow over time. They can change size suddenly or steadily over a long period of time. Adenomyosis is a condition in which tissue that normally lines the uterus. After all, the uterus is capable of expanding to nearly the size of a watermelon in. This can happen. Can An Enlarged Uterus Shrink.
From ultrasoundfeminsider.com
How to Naturally Shrink Uterus after Pregnancy. Can An Enlarged Uterus Shrink Adenomyosis is a condition in which tissue that normally lines the uterus. Fibroids can actually shrink or grow over time. After menopause, they often shrink naturally and cause no symptoms. This can happen for a. If your uterus in enlarged because of pregnancy, it will naturally begin to shrink after you deliver. Having an enlarged uterus isn’t always problematic. After. Can An Enlarged Uterus Shrink.
From www.pinterest.com
Enlarged Uterus Symptoms, Causes, and Treatments Health, Bloated belly, Tips Can An Enlarged Uterus Shrink Having an enlarged uterus isn’t always problematic. This can happen for a. Adenomyosis is a condition in which tissue that normally lines the uterus. After menopause, they often shrink naturally and cause no symptoms. Small particles called embolic agents are injected into the arteries that supply the uterus with blood. By one week postpartum, your uterus will be reduced to. Can An Enlarged Uterus Shrink.