How To Remove Tartar With Dental Pick . In this video, we're sharing. This guide explains how best to handle tartar at home, from routine care to diy treatment methods, as well as why these cannot replace. However, remedies such as brushing thoroughly and flossing daily may prevent tartar buildup and help. It gets rid of any food that might be caught between your teeth, and it also. How to remove tartar from teeth. A professional dental clean can remove plaque and tartar from teeth. 414 views 4 months ago #tartarremoval #dentalcare #oralhealth. A water flosser or dental pick gets the ada’s approval, too. Brushing is an important way to remove plaque and reduce the bacteria in your mouth. Only a dental professional will be able to remove tartar from your teeth once it has formed. To have a proper daily oral. In this article, we’ll explore effective ways to remove tartar and plaque, focusing on the use of a dental pick.
from www.higsondental.com
Brushing is an important way to remove plaque and reduce the bacteria in your mouth. How to remove tartar from teeth. In this video, we're sharing. To have a proper daily oral. Only a dental professional will be able to remove tartar from your teeth once it has formed. It gets rid of any food that might be caught between your teeth, and it also. A water flosser or dental pick gets the ada’s approval, too. However, remedies such as brushing thoroughly and flossing daily may prevent tartar buildup and help. In this article, we’ll explore effective ways to remove tartar and plaque, focusing on the use of a dental pick. A professional dental clean can remove plaque and tartar from teeth.
BEST Tartar Removal Near You How Much Does Tartar Removal Cost
How To Remove Tartar With Dental Pick In this article, we’ll explore effective ways to remove tartar and plaque, focusing on the use of a dental pick. A professional dental clean can remove plaque and tartar from teeth. It gets rid of any food that might be caught between your teeth, and it also. How to remove tartar from teeth. 414 views 4 months ago #tartarremoval #dentalcare #oralhealth. Brushing is an important way to remove plaque and reduce the bacteria in your mouth. In this video, we're sharing. However, remedies such as brushing thoroughly and flossing daily may prevent tartar buildup and help. To have a proper daily oral. A water flosser or dental pick gets the ada’s approval, too. This guide explains how best to handle tartar at home, from routine care to diy treatment methods, as well as why these cannot replace. In this article, we’ll explore effective ways to remove tartar and plaque, focusing on the use of a dental pick. Only a dental professional will be able to remove tartar from your teeth once it has formed.
From www.pinterest.ca
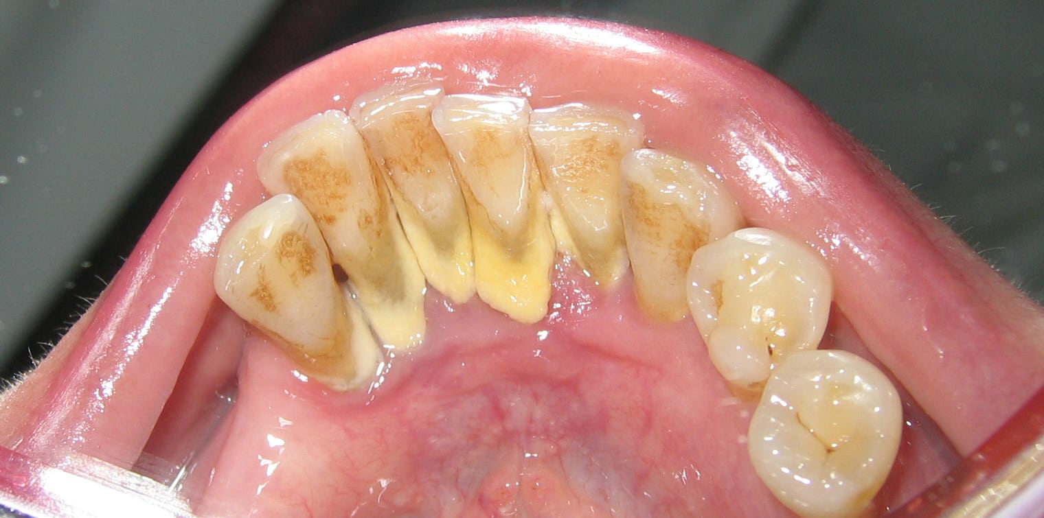
Teeth scaling is removing the tartar deposits from the teeth with the How To Remove Tartar With Dental Pick Brushing is an important way to remove plaque and reduce the bacteria in your mouth. In this video, we're sharing. A water flosser or dental pick gets the ada’s approval, too. It gets rid of any food that might be caught between your teeth, and it also. 414 views 4 months ago #tartarremoval #dentalcare #oralhealth. To have a proper daily. How To Remove Tartar With Dental Pick.
From kuipersortho.com
removedentalplaqueandtartar3 Kuipers Ortho How To Remove Tartar With Dental Pick A water flosser or dental pick gets the ada’s approval, too. Only a dental professional will be able to remove tartar from your teeth once it has formed. To have a proper daily oral. How to remove tartar from teeth. This guide explains how best to handle tartar at home, from routine care to diy treatment methods, as well as. How To Remove Tartar With Dental Pick.
From www.youtube.com
Remove Tartar From Teeth With A Recipe Your Dentist Will Never Tell You How To Remove Tartar With Dental Pick This guide explains how best to handle tartar at home, from routine care to diy treatment methods, as well as why these cannot replace. However, remedies such as brushing thoroughly and flossing daily may prevent tartar buildup and help. A professional dental clean can remove plaque and tartar from teeth. It gets rid of any food that might be caught. How To Remove Tartar With Dental Pick.
From martlabpro.com
What Helps Remove Tartar From Teeth? MartLabPro How To Remove Tartar With Dental Pick In this video, we're sharing. A water flosser or dental pick gets the ada’s approval, too. In this article, we’ll explore effective ways to remove tartar and plaque, focusing on the use of a dental pick. How to remove tartar from teeth. To have a proper daily oral. Only a dental professional will be able to remove tartar from your. How To Remove Tartar With Dental Pick.
From www.youtube.com
How to Remove Tartar from Teeth at home naturally / Natural Ways to How To Remove Tartar With Dental Pick A professional dental clean can remove plaque and tartar from teeth. However, remedies such as brushing thoroughly and flossing daily may prevent tartar buildup and help. Brushing is an important way to remove plaque and reduce the bacteria in your mouth. It gets rid of any food that might be caught between your teeth, and it also. Only a dental. How To Remove Tartar With Dental Pick.
From www.youtube.com
Electric Plaque Remover Alloy Steel Portable Toothpick Dental Tool How To Remove Tartar With Dental Pick However, remedies such as brushing thoroughly and flossing daily may prevent tartar buildup and help. It gets rid of any food that might be caught between your teeth, and it also. In this article, we’ll explore effective ways to remove tartar and plaque, focusing on the use of a dental pick. Only a dental professional will be able to remove. How To Remove Tartar With Dental Pick.
From goindiya.blogspot.com
10 Easy Ways to Remove Plaque and Tartar from Teeth At Home Naturally How To Remove Tartar With Dental Pick However, remedies such as brushing thoroughly and flossing daily may prevent tartar buildup and help. A water flosser or dental pick gets the ada’s approval, too. Only a dental professional will be able to remove tartar from your teeth once it has formed. In this article, we’ll explore effective ways to remove tartar and plaque, focusing on the use of. How To Remove Tartar With Dental Pick.
From dentalsolutionsalgodones.com
How To Clean Tartar From Your Teeth Dental Solutions How To Remove Tartar With Dental Pick This guide explains how best to handle tartar at home, from routine care to diy treatment methods, as well as why these cannot replace. It gets rid of any food that might be caught between your teeth, and it also. Only a dental professional will be able to remove tartar from your teeth once it has formed. In this article,. How To Remove Tartar With Dental Pick.
From teethwalls.blogspot.com
How To Remove Tartar From Teeth Yourself TeethWalls How To Remove Tartar With Dental Pick This guide explains how best to handle tartar at home, from routine care to diy treatment methods, as well as why these cannot replace. 414 views 4 months ago #tartarremoval #dentalcare #oralhealth. To have a proper daily oral. In this article, we’ll explore effective ways to remove tartar and plaque, focusing on the use of a dental pick. However, remedies. How To Remove Tartar With Dental Pick.
From precious991health.blogspot.com
precious health 17 Simple Home Remedies for Removing Tartar and Plaque How To Remove Tartar With Dental Pick This guide explains how best to handle tartar at home, from routine care to diy treatment methods, as well as why these cannot replace. To have a proper daily oral. Brushing is an important way to remove plaque and reduce the bacteria in your mouth. In this video, we're sharing. 414 views 4 months ago #tartarremoval #dentalcare #oralhealth. A water. How To Remove Tartar With Dental Pick.
From www.pinterest.com
How to Remove Tartar with Dental Pick in 2020 Dental pick, Oral care How To Remove Tartar With Dental Pick Only a dental professional will be able to remove tartar from your teeth once it has formed. In this video, we're sharing. However, remedies such as brushing thoroughly and flossing daily may prevent tartar buildup and help. To have a proper daily oral. It gets rid of any food that might be caught between your teeth, and it also. This. How To Remove Tartar With Dental Pick.
From www.cdhp.org
How To Remove Tartar From At Home? (With Picks & Plaque Scraper ) How To Remove Tartar With Dental Pick To have a proper daily oral. 414 views 4 months ago #tartarremoval #dentalcare #oralhealth. Brushing is an important way to remove plaque and reduce the bacteria in your mouth. In this article, we’ll explore effective ways to remove tartar and plaque, focusing on the use of a dental pick. In this video, we're sharing. This guide explains how best to. How To Remove Tartar With Dental Pick.
From encinofamilydental.com
Can Teeth Cleaning Remove Tartar? Encino Family Dental Blog How To Remove Tartar With Dental Pick However, remedies such as brushing thoroughly and flossing daily may prevent tartar buildup and help. 414 views 4 months ago #tartarremoval #dentalcare #oralhealth. Brushing is an important way to remove plaque and reduce the bacteria in your mouth. This guide explains how best to handle tartar at home, from routine care to diy treatment methods, as well as why these. How To Remove Tartar With Dental Pick.
From www.youtube.com
How to Remove Plaque & Tartar from Teeth with Baking Soda at Home YouTube How To Remove Tartar With Dental Pick In this video, we're sharing. A professional dental clean can remove plaque and tartar from teeth. 414 views 4 months ago #tartarremoval #dentalcare #oralhealth. In this article, we’ll explore effective ways to remove tartar and plaque, focusing on the use of a dental pick. To have a proper daily oral. A water flosser or dental pick gets the ada’s approval,. How To Remove Tartar With Dental Pick.
From www.higsondental.com
BEST Tartar Removal Near You How Much Does Tartar Removal Cost How To Remove Tartar With Dental Pick A water flosser or dental pick gets the ada’s approval, too. 414 views 4 months ago #tartarremoval #dentalcare #oralhealth. However, remedies such as brushing thoroughly and flossing daily may prevent tartar buildup and help. In this video, we're sharing. Only a dental professional will be able to remove tartar from your teeth once it has formed. A professional dental clean. How To Remove Tartar With Dental Pick.
From www.sarasotadentistry.com
How to Remove Tartar from Teeth Without a Dentist Sarasota Dentistry How To Remove Tartar With Dental Pick However, remedies such as brushing thoroughly and flossing daily may prevent tartar buildup and help. This guide explains how best to handle tartar at home, from routine care to diy treatment methods, as well as why these cannot replace. A water flosser or dental pick gets the ada’s approval, too. 414 views 4 months ago #tartarremoval #dentalcare #oralhealth. Only a. How To Remove Tartar With Dental Pick.
From soapgoddess.com
How to Remove Tartar From Teeth Soap Goddess How To Remove Tartar With Dental Pick 414 views 4 months ago #tartarremoval #dentalcare #oralhealth. However, remedies such as brushing thoroughly and flossing daily may prevent tartar buildup and help. Brushing is an important way to remove plaque and reduce the bacteria in your mouth. To have a proper daily oral. It gets rid of any food that might be caught between your teeth, and it also.. How To Remove Tartar With Dental Pick.
From www.pinterest.com
Tartar How you can Remove it Yourself Without Visiting the Dentist How To Remove Tartar With Dental Pick This guide explains how best to handle tartar at home, from routine care to diy treatment methods, as well as why these cannot replace. 414 views 4 months ago #tartarremoval #dentalcare #oralhealth. It gets rid of any food that might be caught between your teeth, and it also. However, remedies such as brushing thoroughly and flossing daily may prevent tartar. How To Remove Tartar With Dental Pick.
From www.pinterest.com
How to Remove Tartar with Dental Pick Properly Dental pick, Remove How To Remove Tartar With Dental Pick This guide explains how best to handle tartar at home, from routine care to diy treatment methods, as well as why these cannot replace. 414 views 4 months ago #tartarremoval #dentalcare #oralhealth. In this article, we’ll explore effective ways to remove tartar and plaque, focusing on the use of a dental pick. In this video, we're sharing. It gets rid. How To Remove Tartar With Dental Pick.
From www.aliexpress.com
Plaque Stain Removal Portable Travel Plaque And Tartar Remover Stain How To Remove Tartar With Dental Pick To have a proper daily oral. 414 views 4 months ago #tartarremoval #dentalcare #oralhealth. In this video, we're sharing. Brushing is an important way to remove plaque and reduce the bacteria in your mouth. Only a dental professional will be able to remove tartar from your teeth once it has formed. It gets rid of any food that might be. How To Remove Tartar With Dental Pick.
From www.higsondental.com
BEST Tartar Removal Near You How Much Does Tartar Removal Cost How To Remove Tartar With Dental Pick This guide explains how best to handle tartar at home, from routine care to diy treatment methods, as well as why these cannot replace. In this article, we’ll explore effective ways to remove tartar and plaque, focusing on the use of a dental pick. It gets rid of any food that might be caught between your teeth, and it also.. How To Remove Tartar With Dental Pick.
From workout-plan3.blogspot.com
10 Home Remedies To Get Rid Of Tartar and Plaque On Teeth How To Remove Tartar With Dental Pick A water flosser or dental pick gets the ada’s approval, too. However, remedies such as brushing thoroughly and flossing daily may prevent tartar buildup and help. 414 views 4 months ago #tartarremoval #dentalcare #oralhealth. Only a dental professional will be able to remove tartar from your teeth once it has formed. A professional dental clean can remove plaque and tartar. How To Remove Tartar With Dental Pick.
From www.dentalclinic-knet.com
Dental Cleaning EXPLAINED Stain & Tartar Removal Dental Clinic How To Remove Tartar With Dental Pick However, remedies such as brushing thoroughly and flossing daily may prevent tartar buildup and help. A professional dental clean can remove plaque and tartar from teeth. In this video, we're sharing. Brushing is an important way to remove plaque and reduce the bacteria in your mouth. Only a dental professional will be able to remove tartar from your teeth once. How To Remove Tartar With Dental Pick.
From oktatia.blogspot.com
Remove Tar From Teeth At Home How To Remove Tartar Buildup Yourself How To Remove Tartar With Dental Pick In this article, we’ll explore effective ways to remove tartar and plaque, focusing on the use of a dental pick. Brushing is an important way to remove plaque and reduce the bacteria in your mouth. How to remove tartar from teeth. A water flosser or dental pick gets the ada’s approval, too. This guide explains how best to handle tartar. How To Remove Tartar With Dental Pick.
From oralb.com
How to Get Rid of Plaque and Remove Tartar Buildup OralB How To Remove Tartar With Dental Pick In this article, we’ll explore effective ways to remove tartar and plaque, focusing on the use of a dental pick. How to remove tartar from teeth. A professional dental clean can remove plaque and tartar from teeth. Only a dental professional will be able to remove tartar from your teeth once it has formed. Brushing is an important way to. How To Remove Tartar With Dental Pick.
From pallazzoroegner-99.blogspot.com
natural plaque and tartar remover pallazzoroegner99 How To Remove Tartar With Dental Pick How to remove tartar from teeth. 414 views 4 months ago #tartarremoval #dentalcare #oralhealth. Only a dental professional will be able to remove tartar from your teeth once it has formed. To have a proper daily oral. However, remedies such as brushing thoroughly and flossing daily may prevent tartar buildup and help. A water flosser or dental pick gets the. How To Remove Tartar With Dental Pick.
From organically65.blogspot.com
Cool How To Remove Tartar With Dental Pick References Organically How To Remove Tartar With Dental Pick A water flosser or dental pick gets the ada’s approval, too. It gets rid of any food that might be caught between your teeth, and it also. How to remove tartar from teeth. Only a dental professional will be able to remove tartar from your teeth once it has formed. In this article, we’ll explore effective ways to remove tartar. How To Remove Tartar With Dental Pick.
From www.thatviralfeed.com
Here Is How You Can Remove Tartar At Home Without Visiting the Dentist How To Remove Tartar With Dental Pick To have a proper daily oral. In this article, we’ll explore effective ways to remove tartar and plaque, focusing on the use of a dental pick. Brushing is an important way to remove plaque and reduce the bacteria in your mouth. 414 views 4 months ago #tartarremoval #dentalcare #oralhealth. However, remedies such as brushing thoroughly and flossing daily may prevent. How To Remove Tartar With Dental Pick.
From www.pinterest.fr
Remove Tartar Buildup Fast With These 3 Ingredients! Tartar How To Remove Tartar With Dental Pick In this article, we’ll explore effective ways to remove tartar and plaque, focusing on the use of a dental pick. A professional dental clean can remove plaque and tartar from teeth. Only a dental professional will be able to remove tartar from your teeth once it has formed. To have a proper daily oral. In this video, we're sharing. How. How To Remove Tartar With Dental Pick.
From www.vlr.eng.br
How To Remove Tartar With Dental Pick vlr.eng.br How To Remove Tartar With Dental Pick In this article, we’ll explore effective ways to remove tartar and plaque, focusing on the use of a dental pick. Only a dental professional will be able to remove tartar from your teeth once it has formed. This guide explains how best to handle tartar at home, from routine care to diy treatment methods, as well as why these cannot. How To Remove Tartar With Dental Pick.
From www.pinterest.com
Tartar (also known as dental calculus) occurs on the teeth when plaque How To Remove Tartar With Dental Pick Brushing is an important way to remove plaque and reduce the bacteria in your mouth. Only a dental professional will be able to remove tartar from your teeth once it has formed. This guide explains how best to handle tartar at home, from routine care to diy treatment methods, as well as why these cannot replace. However, remedies such as. How To Remove Tartar With Dental Pick.
From www.pinterest.com
Amazing! Everybody hates going to dentist. This is How You can Remove How To Remove Tartar With Dental Pick This guide explains how best to handle tartar at home, from routine care to diy treatment methods, as well as why these cannot replace. However, remedies such as brushing thoroughly and flossing daily may prevent tartar buildup and help. How to remove tartar from teeth. In this article, we’ll explore effective ways to remove tartar and plaque, focusing on the. How To Remove Tartar With Dental Pick.
From unugtp.is
How To Remove Tartar With Dental Pick UNUGTP News How To Remove Tartar With Dental Pick A water flosser or dental pick gets the ada’s approval, too. How to remove tartar from teeth. In this video, we're sharing. In this article, we’ll explore effective ways to remove tartar and plaque, focusing on the use of a dental pick. To have a proper daily oral. Only a dental professional will be able to remove tartar from your. How To Remove Tartar With Dental Pick.
From www.springvaledental.com.au
What is Tartar? How to Control Tartar Buildup How To Remove Tartar With Dental Pick A professional dental clean can remove plaque and tartar from teeth. How to remove tartar from teeth. In this video, we're sharing. This guide explains how best to handle tartar at home, from routine care to diy treatment methods, as well as why these cannot replace. It gets rid of any food that might be caught between your teeth, and. How To Remove Tartar With Dental Pick.
From centralshealth09.blogspot.com
10 EFFECTIVE TRICKS TO REMOVE PLAQUE AND TARTAR BE YOUR OWN DENTIST How To Remove Tartar With Dental Pick A professional dental clean can remove plaque and tartar from teeth. How to remove tartar from teeth. This guide explains how best to handle tartar at home, from routine care to diy treatment methods, as well as why these cannot replace. It gets rid of any food that might be caught between your teeth, and it also. A water flosser. How To Remove Tartar With Dental Pick.