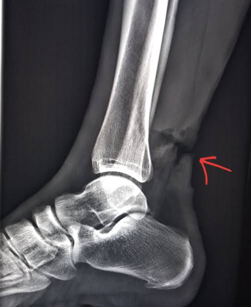
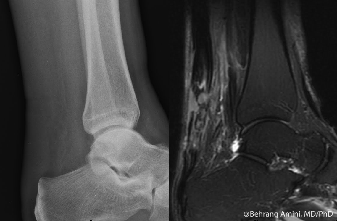
Achilles Tendon Injury X Ray . There is a complete tear of achilles tendon approximately 6 cm away from the insertion site. The radiographs demonstrated obliteration of kager's fat pad, a finding highly suspicious for an achilles tendon rupture (figures 1 and 2). Achilles tendon ruptures are common tendon injuries that occur due to sudden dorsiflexion of a plantarflexed foot, most commonly associated with sporting events. Evaluation of heel pain can be clinically challenging, and. The achilles tendon originates in. The gap between the two edges. There was tenderness at the lateral malleolus, and ankle range of motion (rom) couldn't be elicited due to injury. 1 kager's fat pad, located. Therefore, we review the anatomy, mr imaging findings, and pathologic findings in an attempt to develop a systematic nomenclature. Achilles tendon tears are the most common ankle tendon injuries, with microtears to full thickness tendon tears of the achilles tendon and are most commonly seen secondary to.
from www.wired.com
There was tenderness at the lateral malleolus, and ankle range of motion (rom) couldn't be elicited due to injury. Therefore, we review the anatomy, mr imaging findings, and pathologic findings in an attempt to develop a systematic nomenclature. The gap between the two edges. Evaluation of heel pain can be clinically challenging, and. There is a complete tear of achilles tendon approximately 6 cm away from the insertion site. The achilles tendon originates in. Achilles tendon ruptures are common tendon injuries that occur due to sudden dorsiflexion of a plantarflexed foot, most commonly associated with sporting events. 1 kager's fat pad, located. Achilles tendon tears are the most common ankle tendon injuries, with microtears to full thickness tendon tears of the achilles tendon and are most commonly seen secondary to. The radiographs demonstrated obliteration of kager's fat pad, a finding highly suspicious for an achilles tendon rupture (figures 1 and 2).
Why Kevin Durant's Achilles Tendon Was His Achilles' Heel WIRED
Achilles Tendon Injury X Ray The achilles tendon originates in. Achilles tendon ruptures are common tendon injuries that occur due to sudden dorsiflexion of a plantarflexed foot, most commonly associated with sporting events. Therefore, we review the anatomy, mr imaging findings, and pathologic findings in an attempt to develop a systematic nomenclature. Evaluation of heel pain can be clinically challenging, and. There was tenderness at the lateral malleolus, and ankle range of motion (rom) couldn't be elicited due to injury. Achilles tendon tears are the most common ankle tendon injuries, with microtears to full thickness tendon tears of the achilles tendon and are most commonly seen secondary to. There is a complete tear of achilles tendon approximately 6 cm away from the insertion site. 1 kager's fat pad, located. The radiographs demonstrated obliteration of kager's fat pad, a finding highly suspicious for an achilles tendon rupture (figures 1 and 2). The gap between the two edges. The achilles tendon originates in.
From clinmedjournals.org
Investigating the Validity of Soft Tissue Signs on Lateral Ankle XRay Achilles Tendon Injury X Ray Evaluation of heel pain can be clinically challenging, and. The radiographs demonstrated obliteration of kager's fat pad, a finding highly suspicious for an achilles tendon rupture (figures 1 and 2). There is a complete tear of achilles tendon approximately 6 cm away from the insertion site. Therefore, we review the anatomy, mr imaging findings, and pathologic findings in an attempt. Achilles Tendon Injury X Ray.
From complete-physio.co.uk
Achilles Tendinopathy/Tendonitis Complete Physio Achilles Tendon Injury X Ray The radiographs demonstrated obliteration of kager's fat pad, a finding highly suspicious for an achilles tendon rupture (figures 1 and 2). There was tenderness at the lateral malleolus, and ankle range of motion (rom) couldn't be elicited due to injury. There is a complete tear of achilles tendon approximately 6 cm away from the insertion site. The gap between the. Achilles Tendon Injury X Ray.
From pixels.com
Achilles Tendon Injury, Xray Photograph by Science Stock Photography Achilles Tendon Injury X Ray 1 kager's fat pad, located. Therefore, we review the anatomy, mr imaging findings, and pathologic findings in an attempt to develop a systematic nomenclature. Achilles tendon ruptures are common tendon injuries that occur due to sudden dorsiflexion of a plantarflexed foot, most commonly associated with sporting events. Evaluation of heel pain can be clinically challenging, and. The gap between the. Achilles Tendon Injury X Ray.
From www.verywell.com
Achilles Tendon Tear Surgery What to Expect Achilles Tendon Injury X Ray The achilles tendon originates in. Therefore, we review the anatomy, mr imaging findings, and pathologic findings in an attempt to develop a systematic nomenclature. There is a complete tear of achilles tendon approximately 6 cm away from the insertion site. Evaluation of heel pain can be clinically challenging, and. The gap between the two edges. 1 kager's fat pad, located.. Achilles Tendon Injury X Ray.
From regenexx.com
achilles tendon injuries Achilles Tendon Injury X Ray 1 kager's fat pad, located. Evaluation of heel pain can be clinically challenging, and. Achilles tendon tears are the most common ankle tendon injuries, with microtears to full thickness tendon tears of the achilles tendon and are most commonly seen secondary to. There is a complete tear of achilles tendon approximately 6 cm away from the insertion site. Therefore, we. Achilles Tendon Injury X Ray.
From www.mri.melbourne
melbournemrileftachillestendonrupture8 MRI at Melbourne Achilles Tendon Injury X Ray The gap between the two edges. 1 kager's fat pad, located. Therefore, we review the anatomy, mr imaging findings, and pathologic findings in an attempt to develop a systematic nomenclature. There is a complete tear of achilles tendon approximately 6 cm away from the insertion site. Achilles tendon ruptures are common tendon injuries that occur due to sudden dorsiflexion of. Achilles Tendon Injury X Ray.
From www.wired.com
Why Kevin Durant's Achilles Tendon Was His Achilles' Heel WIRED Achilles Tendon Injury X Ray Therefore, we review the anatomy, mr imaging findings, and pathologic findings in an attempt to develop a systematic nomenclature. There was tenderness at the lateral malleolus, and ankle range of motion (rom) couldn't be elicited due to injury. The radiographs demonstrated obliteration of kager's fat pad, a finding highly suspicious for an achilles tendon rupture (figures 1 and 2). There. Achilles Tendon Injury X Ray.
From www.pinterest.com
Pin on Achilles Tendonitis Achilles Tendon Injury X Ray Evaluation of heel pain can be clinically challenging, and. There was tenderness at the lateral malleolus, and ankle range of motion (rom) couldn't be elicited due to injury. The radiographs demonstrated obliteration of kager's fat pad, a finding highly suspicious for an achilles tendon rupture (figures 1 and 2). The gap between the two edges. Achilles tendon tears are the. Achilles Tendon Injury X Ray.
From facty.com
10 Symptoms of Achilles Tendon Injury Facty Health Achilles Tendon Injury X Ray The radiographs demonstrated obliteration of kager's fat pad, a finding highly suspicious for an achilles tendon rupture (figures 1 and 2). The achilles tendon originates in. Evaluation of heel pain can be clinically challenging, and. Therefore, we review the anatomy, mr imaging findings, and pathologic findings in an attempt to develop a systematic nomenclature. Achilles tendon ruptures are common tendon. Achilles Tendon Injury X Ray.
From healthiack.com
Pictures Of Achilles TendonHealthiack Achilles Tendon Injury X Ray There is a complete tear of achilles tendon approximately 6 cm away from the insertion site. The radiographs demonstrated obliteration of kager's fat pad, a finding highly suspicious for an achilles tendon rupture (figures 1 and 2). The achilles tendon originates in. Evaluation of heel pain can be clinically challenging, and. There was tenderness at the lateral malleolus, and ankle. Achilles Tendon Injury X Ray.
From www.semanticscholar.org
[PDF] Imaging of the Achilles tendon. Semantic Scholar Achilles Tendon Injury X Ray The radiographs demonstrated obliteration of kager's fat pad, a finding highly suspicious for an achilles tendon rupture (figures 1 and 2). There was tenderness at the lateral malleolus, and ankle range of motion (rom) couldn't be elicited due to injury. The gap between the two edges. Achilles tendon ruptures are common tendon injuries that occur due to sudden dorsiflexion of. Achilles Tendon Injury X Ray.
From www.comforthealth.co.uk
Achilles Tendon Pain Comfort Health Physiotherapy Clinic Clifton Achilles Tendon Injury X Ray The gap between the two edges. Evaluation of heel pain can be clinically challenging, and. The radiographs demonstrated obliteration of kager's fat pad, a finding highly suspicious for an achilles tendon rupture (figures 1 and 2). Achilles tendon tears are the most common ankle tendon injuries, with microtears to full thickness tendon tears of the achilles tendon and are most. Achilles Tendon Injury X Ray.
From finwise.edu.vn
Top 97+ Pictures Pictures Of Achilles Tendon Surgery Completed Achilles Tendon Injury X Ray There was tenderness at the lateral malleolus, and ankle range of motion (rom) couldn't be elicited due to injury. Therefore, we review the anatomy, mr imaging findings, and pathologic findings in an attempt to develop a systematic nomenclature. The gap between the two edges. Achilles tendon tears are the most common ankle tendon injuries, with microtears to full thickness tendon. Achilles Tendon Injury X Ray.
From almostadoctor.co.uk
Achilles Tendinopathy almostadoctor Achilles Tendon Injury X Ray There was tenderness at the lateral malleolus, and ankle range of motion (rom) couldn't be elicited due to injury. There is a complete tear of achilles tendon approximately 6 cm away from the insertion site. 1 kager's fat pad, located. The achilles tendon originates in. Therefore, we review the anatomy, mr imaging findings, and pathologic findings in an attempt to. Achilles Tendon Injury X Ray.
From practicemarketingrx.com
Achilles Tendon Injuries PracticeMarketingRx Achilles Tendon Injury X Ray The gap between the two edges. There is a complete tear of achilles tendon approximately 6 cm away from the insertion site. Achilles tendon ruptures are common tendon injuries that occur due to sudden dorsiflexion of a plantarflexed foot, most commonly associated with sporting events. There was tenderness at the lateral malleolus, and ankle range of motion (rom) couldn't be. Achilles Tendon Injury X Ray.
From footeducation.com
Achilles Tendon Rupture FootEducation Achilles Tendon Injury X Ray There is a complete tear of achilles tendon approximately 6 cm away from the insertion site. Achilles tendon ruptures are common tendon injuries that occur due to sudden dorsiflexion of a plantarflexed foot, most commonly associated with sporting events. The achilles tendon originates in. The radiographs demonstrated obliteration of kager's fat pad, a finding highly suspicious for an achilles tendon. Achilles Tendon Injury X Ray.
From www.nolasportsmedicine.com
Achilles Tendon Rupture Orthopedic Center for Sports Medicine Sports Achilles Tendon Injury X Ray 1 kager's fat pad, located. Achilles tendon tears are the most common ankle tendon injuries, with microtears to full thickness tendon tears of the achilles tendon and are most commonly seen secondary to. There was tenderness at the lateral malleolus, and ankle range of motion (rom) couldn't be elicited due to injury. Achilles tendon ruptures are common tendon injuries that. Achilles Tendon Injury X Ray.
From stemcellsafari.com
Achilles Tendon Injury In Dogs, Symptoms And Treatments Stem Cell Safari Achilles Tendon Injury X Ray The achilles tendon originates in. There is a complete tear of achilles tendon approximately 6 cm away from the insertion site. 1 kager's fat pad, located. Achilles tendon ruptures are common tendon injuries that occur due to sudden dorsiflexion of a plantarflexed foot, most commonly associated with sporting events. There was tenderness at the lateral malleolus, and ankle range of. Achilles Tendon Injury X Ray.
From www.joionline.net
Achilles Tendon Tears Jacksonville Orthopaedic Institute Achilles Tendon Injury X Ray There is a complete tear of achilles tendon approximately 6 cm away from the insertion site. Evaluation of heel pain can be clinically challenging, and. The achilles tendon originates in. There was tenderness at the lateral malleolus, and ankle range of motion (rom) couldn't be elicited due to injury. Therefore, we review the anatomy, mr imaging findings, and pathologic findings. Achilles Tendon Injury X Ray.
From ngvetspecialists.com
Achilles Tendon Injuries North Veterinary Specialists North Achilles Tendon Injury X Ray 1 kager's fat pad, located. Therefore, we review the anatomy, mr imaging findings, and pathologic findings in an attempt to develop a systematic nomenclature. Achilles tendon tears are the most common ankle tendon injuries, with microtears to full thickness tendon tears of the achilles tendon and are most commonly seen secondary to. The gap between the two edges. Evaluation of. Achilles Tendon Injury X Ray.
From www.hmpgloballearningnetwork.com
Calcific Achilles Tendonitis In Athletes Achilles Tendon Injury X Ray There is a complete tear of achilles tendon approximately 6 cm away from the insertion site. Evaluation of heel pain can be clinically challenging, and. The radiographs demonstrated obliteration of kager's fat pad, a finding highly suspicious for an achilles tendon rupture (figures 1 and 2). 1 kager's fat pad, located. Therefore, we review the anatomy, mr imaging findings, and. Achilles Tendon Injury X Ray.
From www.dallaspodiatryworks.com
Achilles Tendon Injuries and Ruptures Dallas Podiatry Works Achilles Tendon Injury X Ray There was tenderness at the lateral malleolus, and ankle range of motion (rom) couldn't be elicited due to injury. The gap between the two edges. Evaluation of heel pain can be clinically challenging, and. Achilles tendon ruptures are common tendon injuries that occur due to sudden dorsiflexion of a plantarflexed foot, most commonly associated with sporting events. The achilles tendon. Achilles Tendon Injury X Ray.
From ar.inspiredpencil.com
Achilles Tendon Tear X Ray Achilles Tendon Injury X Ray There is a complete tear of achilles tendon approximately 6 cm away from the insertion site. There was tenderness at the lateral malleolus, and ankle range of motion (rom) couldn't be elicited due to injury. Therefore, we review the anatomy, mr imaging findings, and pathologic findings in an attempt to develop a systematic nomenclature. 1 kager's fat pad, located. Evaluation. Achilles Tendon Injury X Ray.
From roentgenrayreader.blogspot.com
Roentgen Ray Reader September 2010 Achilles Tendon Injury X Ray Achilles tendon ruptures are common tendon injuries that occur due to sudden dorsiflexion of a plantarflexed foot, most commonly associated with sporting events. The achilles tendon originates in. Therefore, we review the anatomy, mr imaging findings, and pathologic findings in an attempt to develop a systematic nomenclature. Achilles tendon tears are the most common ankle tendon injuries, with microtears to. Achilles Tendon Injury X Ray.
From mobilephysiotherapyclinic.in
tendon achilles tendonitis causes , symptoms ,diagnosis & treatments Achilles Tendon Injury X Ray Evaluation of heel pain can be clinically challenging, and. Achilles tendon ruptures are common tendon injuries that occur due to sudden dorsiflexion of a plantarflexed foot, most commonly associated with sporting events. Therefore, we review the anatomy, mr imaging findings, and pathologic findings in an attempt to develop a systematic nomenclature. The radiographs demonstrated obliteration of kager's fat pad, a. Achilles Tendon Injury X Ray.
From www.danielbohl.com
Achilles Tendonitis — Daniel Bohl, MD Midwest Orthopaedics at RUSH Achilles Tendon Injury X Ray The achilles tendon originates in. There is a complete tear of achilles tendon approximately 6 cm away from the insertion site. 1 kager's fat pad, located. Therefore, we review the anatomy, mr imaging findings, and pathologic findings in an attempt to develop a systematic nomenclature. The gap between the two edges. Achilles tendon tears are the most common ankle tendon. Achilles Tendon Injury X Ray.
From www.cortho.org
Achilles Tendon Injuries Complete Orthopedics Multiple NY Locations Achilles Tendon Injury X Ray 1 kager's fat pad, located. Therefore, we review the anatomy, mr imaging findings, and pathologic findings in an attempt to develop a systematic nomenclature. There was tenderness at the lateral malleolus, and ankle range of motion (rom) couldn't be elicited due to injury. Achilles tendon tears are the most common ankle tendon injuries, with microtears to full thickness tendon tears. Achilles Tendon Injury X Ray.
From wofpain.blogspot.com
HOW TO TREAT TORN ACHILLES TENDON Achilles Tendon Injury X Ray The gap between the two edges. 1 kager's fat pad, located. The radiographs demonstrated obliteration of kager's fat pad, a finding highly suspicious for an achilles tendon rupture (figures 1 and 2). There is a complete tear of achilles tendon approximately 6 cm away from the insertion site. Evaluation of heel pain can be clinically challenging, and. Achilles tendon tears. Achilles Tendon Injury X Ray.
From blog.orthoindy.com
Achilles tendon rupture Treatment options OrthoIndy Blog Achilles Tendon Injury X Ray There was tenderness at the lateral malleolus, and ankle range of motion (rom) couldn't be elicited due to injury. 1 kager's fat pad, located. Achilles tendon ruptures are common tendon injuries that occur due to sudden dorsiflexion of a plantarflexed foot, most commonly associated with sporting events. Evaluation of heel pain can be clinically challenging, and. The gap between the. Achilles Tendon Injury X Ray.
From beaconphysicaltherapy.com
Achilles’ tendon injuries If you have pain, here are three things to Achilles Tendon Injury X Ray 1 kager's fat pad, located. Achilles tendon ruptures are common tendon injuries that occur due to sudden dorsiflexion of a plantarflexed foot, most commonly associated with sporting events. Therefore, we review the anatomy, mr imaging findings, and pathologic findings in an attempt to develop a systematic nomenclature. Achilles tendon tears are the most common ankle tendon injuries, with microtears to. Achilles Tendon Injury X Ray.
From www.linkedin.com
Achilles Tendon Rupture / Orthopedics Achilles Tendon Injury X Ray Therefore, we review the anatomy, mr imaging findings, and pathologic findings in an attempt to develop a systematic nomenclature. There was tenderness at the lateral malleolus, and ankle range of motion (rom) couldn't be elicited due to injury. Evaluation of heel pain can be clinically challenging, and. Achilles tendon tears are the most common ankle tendon injuries, with microtears to. Achilles Tendon Injury X Ray.
From www.physiospot.com
Functional of Acute Achilles Tendon Rupture +/ Operative Achilles Tendon Injury X Ray There is a complete tear of achilles tendon approximately 6 cm away from the insertion site. 1 kager's fat pad, located. The radiographs demonstrated obliteration of kager's fat pad, a finding highly suspicious for an achilles tendon rupture (figures 1 and 2). Achilles tendon tears are the most common ankle tendon injuries, with microtears to full thickness tendon tears of. Achilles Tendon Injury X Ray.
From activecare.net
Achilles Tendon Injuries Active Care Achilles Tendon Injury X Ray The radiographs demonstrated obliteration of kager's fat pad, a finding highly suspicious for an achilles tendon rupture (figures 1 and 2). Evaluation of heel pain can be clinically challenging, and. Achilles tendon tears are the most common ankle tendon injuries, with microtears to full thickness tendon tears of the achilles tendon and are most commonly seen secondary to. Therefore, we. Achilles Tendon Injury X Ray.
From www.drrunkle.com
Pain in the Achilles Tendon Center Grove Foot & Ankle Care Achilles Tendon Injury X Ray Therefore, we review the anatomy, mr imaging findings, and pathologic findings in an attempt to develop a systematic nomenclature. There is a complete tear of achilles tendon approximately 6 cm away from the insertion site. The achilles tendon originates in. There was tenderness at the lateral malleolus, and ankle range of motion (rom) couldn't be elicited due to injury. Achilles. Achilles Tendon Injury X Ray.
From www.safety.af.mil
I Ruptured My Achilles Tendon and I Can’t Get Up! Achilles Tendon Injury X Ray Achilles tendon tears are the most common ankle tendon injuries, with microtears to full thickness tendon tears of the achilles tendon and are most commonly seen secondary to. 1 kager's fat pad, located. Evaluation of heel pain can be clinically challenging, and. The gap between the two edges. The radiographs demonstrated obliteration of kager's fat pad, a finding highly suspicious. Achilles Tendon Injury X Ray.