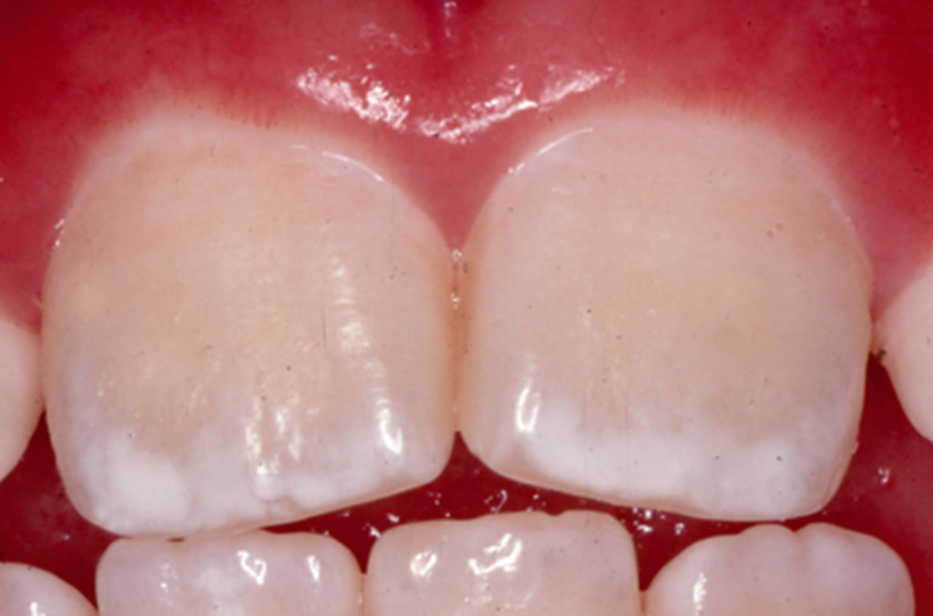
Does Fluoride Stain Teeth . Repairs sensitive teethget sensitivity relief White flecks on your teeth may indicate dental fluorosis. It may seem counterintuitive, yet dentists and hygienists have found that oral care products containing stannous fluoride and cetylpyridinium chloride are causing brown stains that can be difficult to remove. Teeth whitening is a common option for mild fluorosis. Fluorosis is a cosmetic condition that affects the teeth. Fluoride is a natural mineral that builds strong teeth and prevents cavities. It’s caused by overexposure to fluoride during the first eight years of life. Stannous fluoride is a type of fluoride that can help prevent cavities, gingivitis, and tooth sensitivity. This means you consumed high levels of fluoride during childhood, when your teeth. It’s been an essential oral health treatment for decades. Fluoride supports healthy tooth enamel.
from dentagama.com
Teeth whitening is a common option for mild fluorosis. This means you consumed high levels of fluoride during childhood, when your teeth. It’s caused by overexposure to fluoride during the first eight years of life. Fluoride is a natural mineral that builds strong teeth and prevents cavities. It’s been an essential oral health treatment for decades. Fluoride supports healthy tooth enamel. It may seem counterintuitive, yet dentists and hygienists have found that oral care products containing stannous fluoride and cetylpyridinium chloride are causing brown stains that can be difficult to remove. Fluorosis is a cosmetic condition that affects the teeth. Repairs sensitive teethget sensitivity relief White flecks on your teeth may indicate dental fluorosis.
Does Silver Diamine Fluoride permanently stain teeth? News Dentagama
Does Fluoride Stain Teeth White flecks on your teeth may indicate dental fluorosis. This means you consumed high levels of fluoride during childhood, when your teeth. Repairs sensitive teethget sensitivity relief White flecks on your teeth may indicate dental fluorosis. It may seem counterintuitive, yet dentists and hygienists have found that oral care products containing stannous fluoride and cetylpyridinium chloride are causing brown stains that can be difficult to remove. It’s caused by overexposure to fluoride during the first eight years of life. It’s been an essential oral health treatment for decades. Teeth whitening is a common option for mild fluorosis. Fluorosis is a cosmetic condition that affects the teeth. Fluoride is a natural mineral that builds strong teeth and prevents cavities. Stannous fluoride is a type of fluoride that can help prevent cavities, gingivitis, and tooth sensitivity. Fluoride supports healthy tooth enamel.
From www.dentistryiq.com
Teeth staining summary by color and origin for the dental hygiene exams Does Fluoride Stain Teeth Fluoride is a natural mineral that builds strong teeth and prevents cavities. White flecks on your teeth may indicate dental fluorosis. Repairs sensitive teethget sensitivity relief It’s caused by overexposure to fluoride during the first eight years of life. This means you consumed high levels of fluoride during childhood, when your teeth. Fluorosis is a cosmetic condition that affects the. Does Fluoride Stain Teeth.
From healthjade.com
Dental fluorosis causes, prevention, symptoms & dental fluorosis treatment Does Fluoride Stain Teeth Fluoride supports healthy tooth enamel. White flecks on your teeth may indicate dental fluorosis. This means you consumed high levels of fluoride during childhood, when your teeth. It’s been an essential oral health treatment for decades. Repairs sensitive teethget sensitivity relief Fluorosis is a cosmetic condition that affects the teeth. It’s caused by overexposure to fluoride during the first eight. Does Fluoride Stain Teeth.
From lasrydentalclinic.com
Fluoride Toothpaste Is It Really That Good For Your Teeth? Does Fluoride Stain Teeth This means you consumed high levels of fluoride during childhood, when your teeth. White flecks on your teeth may indicate dental fluorosis. Fluoride supports healthy tooth enamel. Stannous fluoride is a type of fluoride that can help prevent cavities, gingivitis, and tooth sensitivity. It’s been an essential oral health treatment for decades. Fluoride is a natural mineral that builds strong. Does Fluoride Stain Teeth.
From smilesonline.net
Toothpaste Alert Avoid Formulas With Stannous Fluoride NICD Does Fluoride Stain Teeth Teeth whitening is a common option for mild fluorosis. It’s caused by overexposure to fluoride during the first eight years of life. Fluorosis is a cosmetic condition that affects the teeth. White flecks on your teeth may indicate dental fluorosis. This means you consumed high levels of fluoride during childhood, when your teeth. Fluoride supports healthy tooth enamel. Stannous fluoride. Does Fluoride Stain Teeth.
From healthjade.net
Dental fluorosis causes, prevention, symptoms & dental fluorosis treatment Does Fluoride Stain Teeth Fluorosis is a cosmetic condition that affects the teeth. This means you consumed high levels of fluoride during childhood, when your teeth. Stannous fluoride is a type of fluoride that can help prevent cavities, gingivitis, and tooth sensitivity. It’s been an essential oral health treatment for decades. It’s caused by overexposure to fluoride during the first eight years of life.. Does Fluoride Stain Teeth.
From www.oralanswers.com
Dental Fluorosis Treatment How Dental Fluorosis Is Treated Oral Answers Does Fluoride Stain Teeth It’s caused by overexposure to fluoride during the first eight years of life. Repairs sensitive teethget sensitivity relief Fluoride is a natural mineral that builds strong teeth and prevents cavities. It may seem counterintuitive, yet dentists and hygienists have found that oral care products containing stannous fluoride and cetylpyridinium chloride are causing brown stains that can be difficult to remove.. Does Fluoride Stain Teeth.
From medicalpicturesinfo.com
Medical Pictures Info Dental Fluorosis Does Fluoride Stain Teeth It’s been an essential oral health treatment for decades. Fluoride is a natural mineral that builds strong teeth and prevents cavities. It may seem counterintuitive, yet dentists and hygienists have found that oral care products containing stannous fluoride and cetylpyridinium chloride are causing brown stains that can be difficult to remove. Fluoride supports healthy tooth enamel. Fluorosis is a cosmetic. Does Fluoride Stain Teeth.
From www.smiles-for-kids.com
All The Facts About the Benefits of Fluoride! — Smiles for Kids Does Fluoride Stain Teeth It may seem counterintuitive, yet dentists and hygienists have found that oral care products containing stannous fluoride and cetylpyridinium chloride are causing brown stains that can be difficult to remove. It’s caused by overexposure to fluoride during the first eight years of life. Stannous fluoride is a type of fluoride that can help prevent cavities, gingivitis, and tooth sensitivity. White. Does Fluoride Stain Teeth.
From www.dentistrytoday.com
Study Reveals Molecular Mechanics Behind Dental Fluorosis Dentistry Today Does Fluoride Stain Teeth White flecks on your teeth may indicate dental fluorosis. Fluoride is a natural mineral that builds strong teeth and prevents cavities. Teeth whitening is a common option for mild fluorosis. It’s caused by overexposure to fluoride during the first eight years of life. This means you consumed high levels of fluoride during childhood, when your teeth. Fluorosis is a cosmetic. Does Fluoride Stain Teeth.
From www.news-medical.net
Fluoride varnish is there any benefit? Does Fluoride Stain Teeth Fluoride supports healthy tooth enamel. It may seem counterintuitive, yet dentists and hygienists have found that oral care products containing stannous fluoride and cetylpyridinium chloride are causing brown stains that can be difficult to remove. It’s caused by overexposure to fluoride during the first eight years of life. Fluorosis is a cosmetic condition that affects the teeth. White flecks on. Does Fluoride Stain Teeth.
From www.sciencephoto.com
Brown staining of child's teeth due to fluorosis. Stock Image M782 Does Fluoride Stain Teeth It may seem counterintuitive, yet dentists and hygienists have found that oral care products containing stannous fluoride and cetylpyridinium chloride are causing brown stains that can be difficult to remove. Repairs sensitive teethget sensitivity relief This means you consumed high levels of fluoride during childhood, when your teeth. Stannous fluoride is a type of fluoride that can help prevent cavities,. Does Fluoride Stain Teeth.
From mykidsdentistoakville.com
Silver diamine fluoride Does Fluoride Stain Teeth Stannous fluoride is a type of fluoride that can help prevent cavities, gingivitis, and tooth sensitivity. Fluoride supports healthy tooth enamel. It’s caused by overexposure to fluoride during the first eight years of life. Teeth whitening is a common option for mild fluorosis. Fluoride is a natural mineral that builds strong teeth and prevents cavities. Fluorosis is a cosmetic condition. Does Fluoride Stain Teeth.
From dentagama.com
Does Silver Diamine Fluoride permanently stain teeth? News Dentagama Does Fluoride Stain Teeth This means you consumed high levels of fluoride during childhood, when your teeth. Teeth whitening is a common option for mild fluorosis. White flecks on your teeth may indicate dental fluorosis. Fluoride is a natural mineral that builds strong teeth and prevents cavities. Fluorosis is a cosmetic condition that affects the teeth. Repairs sensitive teethget sensitivity relief Stannous fluoride is. Does Fluoride Stain Teeth.
From en.dentisteswm.com
Silver Diamine Fluoride and its benefit Does Fluoride Stain Teeth It’s caused by overexposure to fluoride during the first eight years of life. Repairs sensitive teethget sensitivity relief Fluoride is a natural mineral that builds strong teeth and prevents cavities. It’s been an essential oral health treatment for decades. It may seem counterintuitive, yet dentists and hygienists have found that oral care products containing stannous fluoride and cetylpyridinium chloride are. Does Fluoride Stain Teeth.
From www.trysnow.com
Does Fluoride Stain Teeth? Home Whitening Tips Revealed! Does Fluoride Stain Teeth Teeth whitening is a common option for mild fluorosis. Fluorosis is a cosmetic condition that affects the teeth. It’s caused by overexposure to fluoride during the first eight years of life. It’s been an essential oral health treatment for decades. Repairs sensitive teethget sensitivity relief Fluoride is a natural mineral that builds strong teeth and prevents cavities. White flecks on. Does Fluoride Stain Teeth.
From www.oralanswers.com
Dental Fluorosis Too Much Fluoride Stains Teeth Oral Answers Does Fluoride Stain Teeth This means you consumed high levels of fluoride during childhood, when your teeth. It’s caused by overexposure to fluoride during the first eight years of life. Teeth whitening is a common option for mild fluorosis. Fluoride supports healthy tooth enamel. It may seem counterintuitive, yet dentists and hygienists have found that oral care products containing stannous fluoride and cetylpyridinium chloride. Does Fluoride Stain Teeth.
From bweisshealth.com
What Does Fluoride Do to Your Teeth? Does Fluoride Stain Teeth Fluoride supports healthy tooth enamel. Fluorosis is a cosmetic condition that affects the teeth. This means you consumed high levels of fluoride during childhood, when your teeth. Stannous fluoride is a type of fluoride that can help prevent cavities, gingivitis, and tooth sensitivity. It’s been an essential oral health treatment for decades. It’s caused by overexposure to fluoride during the. Does Fluoride Stain Teeth.
From www.fiddleheaddental.com
Fiddlehead Dental Fiddlehead Dental Does Fluoride Stain Teeth This means you consumed high levels of fluoride during childhood, when your teeth. It may seem counterintuitive, yet dentists and hygienists have found that oral care products containing stannous fluoride and cetylpyridinium chloride are causing brown stains that can be difficult to remove. Stannous fluoride is a type of fluoride that can help prevent cavities, gingivitis, and tooth sensitivity. Fluoride. Does Fluoride Stain Teeth.
From teethtribune.com
Can Fluoride Stain Teeth Teeth Tribune Does Fluoride Stain Teeth Repairs sensitive teethget sensitivity relief Teeth whitening is a common option for mild fluorosis. It’s been an essential oral health treatment for decades. It may seem counterintuitive, yet dentists and hygienists have found that oral care products containing stannous fluoride and cetylpyridinium chloride are causing brown stains that can be difficult to remove. Fluorosis is a cosmetic condition that affects. Does Fluoride Stain Teeth.
From www.chompertown.com
Silver Diamine Fluoride Chompers Pediatric Dentistry & Orthodontics Does Fluoride Stain Teeth Repairs sensitive teethget sensitivity relief It’s caused by overexposure to fluoride during the first eight years of life. Stannous fluoride is a type of fluoride that can help prevent cavities, gingivitis, and tooth sensitivity. White flecks on your teeth may indicate dental fluorosis. Fluoride is a natural mineral that builds strong teeth and prevents cavities. This means you consumed high. Does Fluoride Stain Teeth.
From alpenglowdentists.com
What Does Fluoride Do to Your Teeth? Does Fluoride Stain Teeth Repairs sensitive teethget sensitivity relief Teeth whitening is a common option for mild fluorosis. This means you consumed high levels of fluoride during childhood, when your teeth. Fluoride is a natural mineral that builds strong teeth and prevents cavities. It’s been an essential oral health treatment for decades. It’s caused by overexposure to fluoride during the first eight years of. Does Fluoride Stain Teeth.
From toothtruthtoday.com
Hydroxyapatite Vs. Fluoride Full Comparison + Which Is Better? Tooth Does Fluoride Stain Teeth Repairs sensitive teethget sensitivity relief It’s been an essential oral health treatment for decades. It may seem counterintuitive, yet dentists and hygienists have found that oral care products containing stannous fluoride and cetylpyridinium chloride are causing brown stains that can be difficult to remove. It’s caused by overexposure to fluoride during the first eight years of life. Fluoride supports healthy. Does Fluoride Stain Teeth.
From www.semanticscholar.org
Figure 4 from The Case for Stabilized Stannous Fluoride Dentifrice An Does Fluoride Stain Teeth Fluorosis is a cosmetic condition that affects the teeth. White flecks on your teeth may indicate dental fluorosis. Teeth whitening is a common option for mild fluorosis. Repairs sensitive teethget sensitivity relief This means you consumed high levels of fluoride during childhood, when your teeth. Fluoride supports healthy tooth enamel. Fluoride is a natural mineral that builds strong teeth and. Does Fluoride Stain Teeth.
From www.riendental.com.au
Fluorosis and teeth whitening Does Fluoride Stain Teeth It’s caused by overexposure to fluoride during the first eight years of life. This means you consumed high levels of fluoride during childhood, when your teeth. Repairs sensitive teethget sensitivity relief It may seem counterintuitive, yet dentists and hygienists have found that oral care products containing stannous fluoride and cetylpyridinium chloride are causing brown stains that can be difficult to. Does Fluoride Stain Teeth.
From dentaluxpa.com
Can Fluoride Stain My Teeth? Does Fluoride Stain Teeth Stannous fluoride is a type of fluoride that can help prevent cavities, gingivitis, and tooth sensitivity. White flecks on your teeth may indicate dental fluorosis. Fluoride is a natural mineral that builds strong teeth and prevents cavities. Fluorosis is a cosmetic condition that affects the teeth. It’s been an essential oral health treatment for decades. It’s caused by overexposure to. Does Fluoride Stain Teeth.
From www.studiodentaire.com
Fluorosis (dental) Studio Dentaire Does Fluoride Stain Teeth Fluorosis is a cosmetic condition that affects the teeth. Teeth whitening is a common option for mild fluorosis. This means you consumed high levels of fluoride during childhood, when your teeth. It’s caused by overexposure to fluoride during the first eight years of life. Fluoride supports healthy tooth enamel. Repairs sensitive teethget sensitivity relief It’s been an essential oral health. Does Fluoride Stain Teeth.
From www.flickr.com
Three Stages of Dental Fluorosis Great pictures showing th… Flickr Does Fluoride Stain Teeth Fluoride supports healthy tooth enamel. Stannous fluoride is a type of fluoride that can help prevent cavities, gingivitis, and tooth sensitivity. It’s been an essential oral health treatment for decades. It may seem counterintuitive, yet dentists and hygienists have found that oral care products containing stannous fluoride and cetylpyridinium chloride are causing brown stains that can be difficult to remove.. Does Fluoride Stain Teeth.
From health.gov.capital
How does tooth whitening affect tooth stains caused by excessive Does Fluoride Stain Teeth This means you consumed high levels of fluoride during childhood, when your teeth. Fluorosis is a cosmetic condition that affects the teeth. Fluoride supports healthy tooth enamel. It may seem counterintuitive, yet dentists and hygienists have found that oral care products containing stannous fluoride and cetylpyridinium chloride are causing brown stains that can be difficult to remove. Teeth whitening is. Does Fluoride Stain Teeth.
From www.drkatarmal.com
How Fluoride Prevent Tooth Decay Dr. Bharat Katarmal Dental & Implant Does Fluoride Stain Teeth This means you consumed high levels of fluoride during childhood, when your teeth. It’s been an essential oral health treatment for decades. It’s caused by overexposure to fluoride during the first eight years of life. Teeth whitening is a common option for mild fluorosis. White flecks on your teeth may indicate dental fluorosis. Fluoride is a natural mineral that builds. Does Fluoride Stain Teeth.
From www.hellokidsdentalgroup.com
Fluorosis Hello Kids Dental Group Does Fluoride Stain Teeth Fluoride supports healthy tooth enamel. It’s caused by overexposure to fluoride during the first eight years of life. It may seem counterintuitive, yet dentists and hygienists have found that oral care products containing stannous fluoride and cetylpyridinium chloride are causing brown stains that can be difficult to remove. Teeth whitening is a common option for mild fluorosis. White flecks on. Does Fluoride Stain Teeth.
From en.wikipedia.org
Dental fluorosis Wikipedia Does Fluoride Stain Teeth It’s been an essential oral health treatment for decades. Teeth whitening is a common option for mild fluorosis. This means you consumed high levels of fluoride during childhood, when your teeth. It may seem counterintuitive, yet dentists and hygienists have found that oral care products containing stannous fluoride and cetylpyridinium chloride are causing brown stains that can be difficult to. Does Fluoride Stain Teeth.
From healthjade.net
Dental fluorosis causes, prevention, symptoms & dental fluorosis treatment Does Fluoride Stain Teeth It’s caused by overexposure to fluoride during the first eight years of life. Teeth whitening is a common option for mild fluorosis. It’s been an essential oral health treatment for decades. It may seem counterintuitive, yet dentists and hygienists have found that oral care products containing stannous fluoride and cetylpyridinium chloride are causing brown stains that can be difficult to. Does Fluoride Stain Teeth.
From www.gentle-dental.co.uk
Silver Diamine Fluoride (SDF) Gentle Dental Does Fluoride Stain Teeth Stannous fluoride is a type of fluoride that can help prevent cavities, gingivitis, and tooth sensitivity. Fluorosis is a cosmetic condition that affects the teeth. White flecks on your teeth may indicate dental fluorosis. Fluoride is a natural mineral that builds strong teeth and prevents cavities. Fluoride supports healthy tooth enamel. Teeth whitening is a common option for mild fluorosis.. Does Fluoride Stain Teeth.
From mydentaladvocate.com
Does Fluoride Cause Tooth Staining? (Expert Advice) MDA Does Fluoride Stain Teeth Repairs sensitive teethget sensitivity relief Stannous fluoride is a type of fluoride that can help prevent cavities, gingivitis, and tooth sensitivity. This means you consumed high levels of fluoride during childhood, when your teeth. It may seem counterintuitive, yet dentists and hygienists have found that oral care products containing stannous fluoride and cetylpyridinium chloride are causing brown stains that can. Does Fluoride Stain Teeth.
From acorndentistryforkids.com
Ways To Prevent Fluorosis Acorn Dentistry For Kids Does Fluoride Stain Teeth Stannous fluoride is a type of fluoride that can help prevent cavities, gingivitis, and tooth sensitivity. Fluoride supports healthy tooth enamel. Fluorosis is a cosmetic condition that affects the teeth. This means you consumed high levels of fluoride during childhood, when your teeth. Teeth whitening is a common option for mild fluorosis. It’s caused by overexposure to fluoride during the. Does Fluoride Stain Teeth.