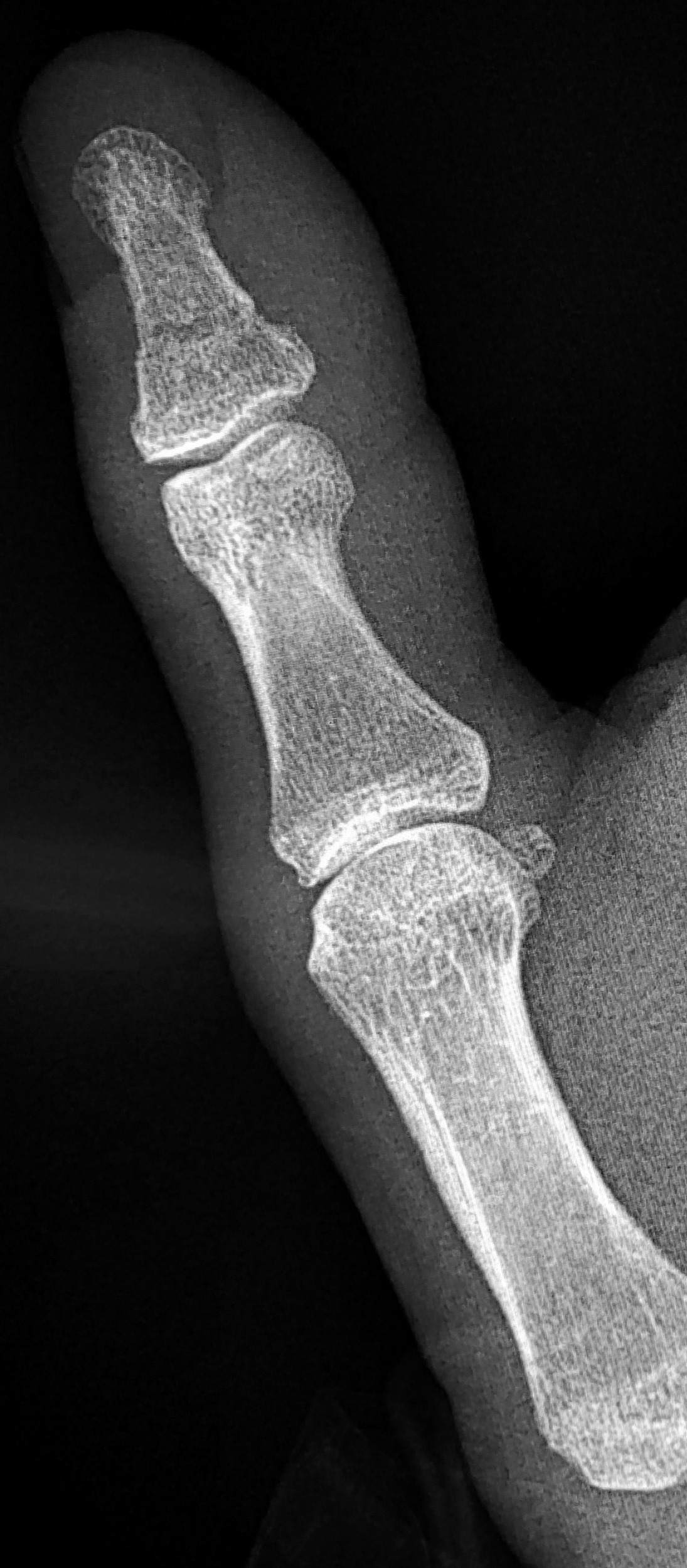
Thumb Delta Phalanx . The delta phalanx can be triangular, trapezoidal or almost round in shape. Angular deformity of the thumb is most often caused by a delta phalanx or a longitudinally bracheted diaphysis in a triphalangeal thumb. The thumb is often included in the syndactyly, or it may carry a delta phalanx with radial inclination. Delta phalanx (longitudinally bracketed epiphysis) congenital triangular bones in the hand. Clinodactyly is a congenital condition of the hand, often associated with down's syndrome, that is characterized by the abnormal curvature of a digit in the radioulnar plane. Delta phalanx, or type iii clinodactyly, can be diagnosed by observing a patient with a triangular or trapezoidal shaped bone, usually in the thumb or. Triphalangeal thumb is a rare congenital anomaly in which the thumb has three phalanges. The delta phalanx, also known as a longitudinal epiphyseal bracket or clinodactyly with delta phalanx, is an uncommon deformity of the proximal phalanges and metacarpals. Delta formation occurs in tubular bones with a proximal epiphysis like the.
from bmcproc.biomedcentral.com
Delta formation occurs in tubular bones with a proximal epiphysis like the. Delta phalanx (longitudinally bracketed epiphysis) congenital triangular bones in the hand. The delta phalanx can be triangular, trapezoidal or almost round in shape. The delta phalanx, also known as a longitudinal epiphyseal bracket or clinodactyly with delta phalanx, is an uncommon deformity of the proximal phalanges and metacarpals. Triphalangeal thumb is a rare congenital anomaly in which the thumb has three phalanges. Clinodactyly is a congenital condition of the hand, often associated with down's syndrome, that is characterized by the abnormal curvature of a digit in the radioulnar plane. The thumb is often included in the syndactyly, or it may carry a delta phalanx with radial inclination. Angular deformity of the thumb is most often caused by a delta phalanx or a longitudinally bracheted diaphysis in a triphalangeal thumb. Delta phalanx, or type iii clinodactyly, can be diagnosed by observing a patient with a triangular or trapezoidal shaped bone, usually in the thumb or.
Classification and surgical treatment of the angled thumb BMC Proceedings Full Text
Thumb Delta Phalanx Angular deformity of the thumb is most often caused by a delta phalanx or a longitudinally bracheted diaphysis in a triphalangeal thumb. Clinodactyly is a congenital condition of the hand, often associated with down's syndrome, that is characterized by the abnormal curvature of a digit in the radioulnar plane. Delta phalanx (longitudinally bracketed epiphysis) congenital triangular bones in the hand. Delta phalanx, or type iii clinodactyly, can be diagnosed by observing a patient with a triangular or trapezoidal shaped bone, usually in the thumb or. The delta phalanx can be triangular, trapezoidal or almost round in shape. Angular deformity of the thumb is most often caused by a delta phalanx or a longitudinally bracheted diaphysis in a triphalangeal thumb. The thumb is often included in the syndactyly, or it may carry a delta phalanx with radial inclination. Delta formation occurs in tubular bones with a proximal epiphysis like the. The delta phalanx, also known as a longitudinal epiphyseal bracket or clinodactyly with delta phalanx, is an uncommon deformity of the proximal phalanges and metacarpals. Triphalangeal thumb is a rare congenital anomaly in which the thumb has three phalanges.
From www.handsurgeryresource.org
THUMB DISTAL PHALANX FRACTURE Hand Surgery Resource Thumb Delta Phalanx Delta phalanx, or type iii clinodactyly, can be diagnosed by observing a patient with a triangular or trapezoidal shaped bone, usually in the thumb or. The delta phalanx can be triangular, trapezoidal or almost round in shape. Delta phalanx (longitudinally bracketed epiphysis) congenital triangular bones in the hand. The thumb is often included in the syndactyly, or it may carry. Thumb Delta Phalanx.
From www.elsevier.com
Proximal Phalanx of Thumb Complete Anatomy Thumb Delta Phalanx Delta formation occurs in tubular bones with a proximal epiphysis like the. The delta phalanx can be triangular, trapezoidal or almost round in shape. Delta phalanx (longitudinally bracketed epiphysis) congenital triangular bones in the hand. Triphalangeal thumb is a rare congenital anomaly in which the thumb has three phalanges. Delta phalanx, or type iii clinodactyly, can be diagnosed by observing. Thumb Delta Phalanx.
From www.elsevier.com
Proximal Phalanx of Thumb Complete Anatomy Thumb Delta Phalanx The delta phalanx can be triangular, trapezoidal or almost round in shape. Angular deformity of the thumb is most often caused by a delta phalanx or a longitudinally bracheted diaphysis in a triphalangeal thumb. Delta formation occurs in tubular bones with a proximal epiphysis like the. Delta phalanx (longitudinally bracketed epiphysis) congenital triangular bones in the hand. The thumb is. Thumb Delta Phalanx.
From bmcproc.biomedcentral.com
Classification and surgical treatment of the angled thumb BMC Proceedings Full Text Thumb Delta Phalanx Delta phalanx (longitudinally bracketed epiphysis) congenital triangular bones in the hand. Clinodactyly is a congenital condition of the hand, often associated with down's syndrome, that is characterized by the abnormal curvature of a digit in the radioulnar plane. Delta formation occurs in tubular bones with a proximal epiphysis like the. Delta phalanx, or type iii clinodactyly, can be diagnosed by. Thumb Delta Phalanx.
From anatomy.biodigital.com
Proximal phalanx of right thumb BioDigital Anatomy Thumb Delta Phalanx The thumb is often included in the syndactyly, or it may carry a delta phalanx with radial inclination. Clinodactyly is a congenital condition of the hand, often associated with down's syndrome, that is characterized by the abnormal curvature of a digit in the radioulnar plane. Delta phalanx, or type iii clinodactyly, can be diagnosed by observing a patient with a. Thumb Delta Phalanx.
From www.elsevier.com
Distal Phalanx of Thumb Complete Anatomy Thumb Delta Phalanx The delta phalanx, also known as a longitudinal epiphyseal bracket or clinodactyly with delta phalanx, is an uncommon deformity of the proximal phalanges and metacarpals. Angular deformity of the thumb is most often caused by a delta phalanx or a longitudinally bracheted diaphysis in a triphalangeal thumb. Delta phalanx (longitudinally bracketed epiphysis) congenital triangular bones in the hand. Clinodactyly is. Thumb Delta Phalanx.
From congenitalhand.wustl.edu
Triphalangeal Thumb Congenital Hand and Arm Differences Thumb Delta Phalanx The delta phalanx, also known as a longitudinal epiphyseal bracket or clinodactyly with delta phalanx, is an uncommon deformity of the proximal phalanges and metacarpals. Triphalangeal thumb is a rare congenital anomaly in which the thumb has three phalanges. The delta phalanx can be triangular, trapezoidal or almost round in shape. Delta phalanx (longitudinally bracketed epiphysis) congenital triangular bones in. Thumb Delta Phalanx.
From www.elsevier.com
Base of Distal Phalanx of Thumb Complete Anatomy Thumb Delta Phalanx Triphalangeal thumb is a rare congenital anomaly in which the thumb has three phalanges. Angular deformity of the thumb is most often caused by a delta phalanx or a longitudinally bracheted diaphysis in a triphalangeal thumb. The delta phalanx can be triangular, trapezoidal or almost round in shape. Delta phalanx (longitudinally bracketed epiphysis) congenital triangular bones in the hand. Clinodactyly. Thumb Delta Phalanx.
From journals.sagepub.com
Triphalangeal thumb clinical features and treatment Steven E. R. Hovius, Jacob W. P. Potuijt Thumb Delta Phalanx Angular deformity of the thumb is most often caused by a delta phalanx or a longitudinally bracheted diaphysis in a triphalangeal thumb. Delta phalanx, or type iii clinodactyly, can be diagnosed by observing a patient with a triangular or trapezoidal shaped bone, usually in the thumb or. Triphalangeal thumb is a rare congenital anomaly in which the thumb has three. Thumb Delta Phalanx.
From radiopaedia.org
Fracture distal phalanx of thumb Image Thumb Delta Phalanx Angular deformity of the thumb is most often caused by a delta phalanx or a longitudinally bracheted diaphysis in a triphalangeal thumb. Delta phalanx (longitudinally bracketed epiphysis) congenital triangular bones in the hand. The delta phalanx, also known as a longitudinal epiphyseal bracket or clinodactyly with delta phalanx, is an uncommon deformity of the proximal phalanges and metacarpals. The delta. Thumb Delta Phalanx.
From www.elsevier.com
Distal Phalanx of Thumb Complete Anatomy Thumb Delta Phalanx Delta formation occurs in tubular bones with a proximal epiphysis like the. Triphalangeal thumb is a rare congenital anomaly in which the thumb has three phalanges. The thumb is often included in the syndactyly, or it may carry a delta phalanx with radial inclination. Clinodactyly is a congenital condition of the hand, often associated with down's syndrome, that is characterized. Thumb Delta Phalanx.
From www.researchgate.net
Left triphalangeal thumb and normal right thumb. Download Scientific Diagram Thumb Delta Phalanx Delta phalanx, or type iii clinodactyly, can be diagnosed by observing a patient with a triangular or trapezoidal shaped bone, usually in the thumb or. The delta phalanx can be triangular, trapezoidal or almost round in shape. Angular deformity of the thumb is most often caused by a delta phalanx or a longitudinally bracheted diaphysis in a triphalangeal thumb. Triphalangeal. Thumb Delta Phalanx.
From journals.sagepub.com
The NonOpposable Triphalangeal Thumb A New Technique of Management ESSAM ELKAREF, 2004 Thumb Delta Phalanx Delta formation occurs in tubular bones with a proximal epiphysis like the. The delta phalanx can be triangular, trapezoidal or almost round in shape. Angular deformity of the thumb is most often caused by a delta phalanx or a longitudinally bracheted diaphysis in a triphalangeal thumb. Clinodactyly is a congenital condition of the hand, often associated with down's syndrome, that. Thumb Delta Phalanx.
From www.researchgate.net
(PDF) Isolated Bilateral Triphalangeal Thumb with Delta Phalanx A Case Report Thumb Delta Phalanx Angular deformity of the thumb is most often caused by a delta phalanx or a longitudinally bracheted diaphysis in a triphalangeal thumb. Clinodactyly is a congenital condition of the hand, often associated with down's syndrome, that is characterized by the abnormal curvature of a digit in the radioulnar plane. Triphalangeal thumb is a rare congenital anomaly in which the thumb. Thumb Delta Phalanx.
From www.elsevier.com
Proximal Phalanx of Thumb Complete Anatomy Thumb Delta Phalanx The thumb is often included in the syndactyly, or it may carry a delta phalanx with radial inclination. Angular deformity of the thumb is most often caused by a delta phalanx or a longitudinally bracheted diaphysis in a triphalangeal thumb. Clinodactyly is a congenital condition of the hand, often associated with down's syndrome, that is characterized by the abnormal curvature. Thumb Delta Phalanx.
From www.eurorad.org
Delta Phalanx of Thumb Eurorad Thumb Delta Phalanx The delta phalanx can be triangular, trapezoidal or almost round in shape. Delta phalanx (longitudinally bracketed epiphysis) congenital triangular bones in the hand. Clinodactyly is a congenital condition of the hand, often associated with down's syndrome, that is characterized by the abnormal curvature of a digit in the radioulnar plane. Delta formation occurs in tubular bones with a proximal epiphysis. Thumb Delta Phalanx.
From radiopaedia.org
Thumb proximal phalanx fracture Salter Harris type II Image Thumb Delta Phalanx Delta phalanx (longitudinally bracketed epiphysis) congenital triangular bones in the hand. Angular deformity of the thumb is most often caused by a delta phalanx or a longitudinally bracheted diaphysis in a triphalangeal thumb. The delta phalanx, also known as a longitudinal epiphyseal bracket or clinodactyly with delta phalanx, is an uncommon deformity of the proximal phalanges and metacarpals. Delta phalanx,. Thumb Delta Phalanx.
From www.frontiersin.org
Frontiers Characteristics of Congenital Clasped Thumb A Case Report and Literature Review Thumb Delta Phalanx Delta formation occurs in tubular bones with a proximal epiphysis like the. The delta phalanx, also known as a longitudinal epiphyseal bracket or clinodactyly with delta phalanx, is an uncommon deformity of the proximal phalanges and metacarpals. Triphalangeal thumb is a rare congenital anomaly in which the thumb has three phalanges. Clinodactyly is a congenital condition of the hand, often. Thumb Delta Phalanx.
From www.elsevier.com
Proximal Phalanx of Thumb Complete Anatomy Thumb Delta Phalanx The delta phalanx can be triangular, trapezoidal or almost round in shape. Delta phalanx (longitudinally bracketed epiphysis) congenital triangular bones in the hand. Triphalangeal thumb is a rare congenital anomaly in which the thumb has three phalanges. The delta phalanx, also known as a longitudinal epiphyseal bracket or clinodactyly with delta phalanx, is an uncommon deformity of the proximal phalanges. Thumb Delta Phalanx.
From www.semanticscholar.org
Figure 1 from Longterm results following osteotomy of the thumb delta phalanx in Rubinstein Thumb Delta Phalanx The delta phalanx, also known as a longitudinal epiphyseal bracket or clinodactyly with delta phalanx, is an uncommon deformity of the proximal phalanges and metacarpals. Clinodactyly is a congenital condition of the hand, often associated with down's syndrome, that is characterized by the abnormal curvature of a digit in the radioulnar plane. The thumb is often included in the syndactyly,. Thumb Delta Phalanx.
From www.researchgate.net
Congenital Familial Clinodactyly of Index Finger with Proximal Delta Phalanges and Ulnar Thumb Delta Phalanx Triphalangeal thumb is a rare congenital anomaly in which the thumb has three phalanges. The thumb is often included in the syndactyly, or it may carry a delta phalanx with radial inclination. Clinodactyly is a congenital condition of the hand, often associated with down's syndrome, that is characterized by the abnormal curvature of a digit in the radioulnar plane. Delta. Thumb Delta Phalanx.
From www.elsevier.com
Head of Proximal Phalanx of Thumb Complete Anatomy Thumb Delta Phalanx The delta phalanx, also known as a longitudinal epiphyseal bracket or clinodactyly with delta phalanx, is an uncommon deformity of the proximal phalanges and metacarpals. Delta phalanx, or type iii clinodactyly, can be diagnosed by observing a patient with a triangular or trapezoidal shaped bone, usually in the thumb or. The delta phalanx can be triangular, trapezoidal or almost round. Thumb Delta Phalanx.
From www.researchgate.net
Scheme of the patient’s left forearm vasculature and delta phalanx of... Download Scientific Thumb Delta Phalanx Delta phalanx (longitudinally bracketed epiphysis) congenital triangular bones in the hand. The delta phalanx can be triangular, trapezoidal or almost round in shape. Delta phalanx, or type iii clinodactyly, can be diagnosed by observing a patient with a triangular or trapezoidal shaped bone, usually in the thumb or. The delta phalanx, also known as a longitudinal epiphyseal bracket or clinodactyly. Thumb Delta Phalanx.
From www.semanticscholar.org
[Threephalangeal thumbs]. Semantic Scholar Thumb Delta Phalanx Delta phalanx, or type iii clinodactyly, can be diagnosed by observing a patient with a triangular or trapezoidal shaped bone, usually in the thumb or. Delta formation occurs in tubular bones with a proximal epiphysis like the. Delta phalanx (longitudinally bracketed epiphysis) congenital triangular bones in the hand. Angular deformity of the thumb is most often caused by a delta. Thumb Delta Phalanx.
From www.researchgate.net
Preoperative radiograph of both hands showing the delta phalanx of the... Download Scientific Thumb Delta Phalanx Clinodactyly is a congenital condition of the hand, often associated with down's syndrome, that is characterized by the abnormal curvature of a digit in the radioulnar plane. Triphalangeal thumb is a rare congenital anomaly in which the thumb has three phalanges. Delta formation occurs in tubular bones with a proximal epiphysis like the. The thumb is often included in the. Thumb Delta Phalanx.
From radiopaedia.org
Thumb distal phalanx fracture Image Thumb Delta Phalanx The delta phalanx, also known as a longitudinal epiphyseal bracket or clinodactyly with delta phalanx, is an uncommon deformity of the proximal phalanges and metacarpals. The thumb is often included in the syndactyly, or it may carry a delta phalanx with radial inclination. Triphalangeal thumb is a rare congenital anomaly in which the thumb has three phalanges. Angular deformity of. Thumb Delta Phalanx.
From www.visiblebody.com
A Digital Post Fingers and Thumbs Thumb Delta Phalanx Delta formation occurs in tubular bones with a proximal epiphysis like the. The delta phalanx, also known as a longitudinal epiphyseal bracket or clinodactyly with delta phalanx, is an uncommon deformity of the proximal phalanges and metacarpals. The delta phalanx can be triangular, trapezoidal or almost round in shape. Triphalangeal thumb is a rare congenital anomaly in which the thumb. Thumb Delta Phalanx.
From www.elsevier.com
Base of Proximal Phalanx of Thumb Complete Anatomy Thumb Delta Phalanx The delta phalanx can be triangular, trapezoidal or almost round in shape. Triphalangeal thumb is a rare congenital anomaly in which the thumb has three phalanges. The delta phalanx, also known as a longitudinal epiphyseal bracket or clinodactyly with delta phalanx, is an uncommon deformity of the proximal phalanges and metacarpals. Delta formation occurs in tubular bones with a proximal. Thumb Delta Phalanx.
From www.researchgate.net
Scheme of the patient’s left forearm vasculature and delta phalanx of... Download Scientific Thumb Delta Phalanx Delta formation occurs in tubular bones with a proximal epiphysis like the. Angular deformity of the thumb is most often caused by a delta phalanx or a longitudinally bracheted diaphysis in a triphalangeal thumb. The thumb is often included in the syndactyly, or it may carry a delta phalanx with radial inclination. The delta phalanx can be triangular, trapezoidal or. Thumb Delta Phalanx.
From radiopaedia.org
Thumb proximal phalanx avulsion fracture Image Thumb Delta Phalanx Delta phalanx (longitudinally bracketed epiphysis) congenital triangular bones in the hand. Clinodactyly is a congenital condition of the hand, often associated with down's syndrome, that is characterized by the abnormal curvature of a digit in the radioulnar plane. The thumb is often included in the syndactyly, or it may carry a delta phalanx with radial inclination. The delta phalanx, also. Thumb Delta Phalanx.
From www.earthslab.com
Bones of the Hand Anatomy Earth's Lab Thumb Delta Phalanx Delta phalanx (longitudinally bracketed epiphysis) congenital triangular bones in the hand. Delta phalanx, or type iii clinodactyly, can be diagnosed by observing a patient with a triangular or trapezoidal shaped bone, usually in the thumb or. Clinodactyly is a congenital condition of the hand, often associated with down's syndrome, that is characterized by the abnormal curvature of a digit in. Thumb Delta Phalanx.
From www.researchgate.net
(PDF) Correction of thumb angulations after physiolysis of delta phalanges in a child with Thumb Delta Phalanx Delta phalanx (longitudinally bracketed epiphysis) congenital triangular bones in the hand. Triphalangeal thumb is a rare congenital anomaly in which the thumb has three phalanges. The delta phalanx, also known as a longitudinal epiphyseal bracket or clinodactyly with delta phalanx, is an uncommon deformity of the proximal phalanges and metacarpals. Angular deformity of the thumb is most often caused by. Thumb Delta Phalanx.
From www.elsevier.com
Head of Distal Phalanx of Thumb Complete Anatomy Thumb Delta Phalanx Delta phalanx (longitudinally bracketed epiphysis) congenital triangular bones in the hand. The delta phalanx can be triangular, trapezoidal or almost round in shape. Clinodactyly is a congenital condition of the hand, often associated with down's syndrome, that is characterized by the abnormal curvature of a digit in the radioulnar plane. Delta formation occurs in tubular bones with a proximal epiphysis. Thumb Delta Phalanx.
From www.elsevier.com
Distal Phalanx of Thumb Complete Anatomy Thumb Delta Phalanx Delta formation occurs in tubular bones with a proximal epiphysis like the. Clinodactyly is a congenital condition of the hand, often associated with down's syndrome, that is characterized by the abnormal curvature of a digit in the radioulnar plane. Triphalangeal thumb is a rare congenital anomaly in which the thumb has three phalanges. The delta phalanx can be triangular, trapezoidal. Thumb Delta Phalanx.
From www.eurorad.org
Delta Phalanx of Thumb Eurorad Thumb Delta Phalanx Delta formation occurs in tubular bones with a proximal epiphysis like the. Clinodactyly is a congenital condition of the hand, often associated with down's syndrome, that is characterized by the abnormal curvature of a digit in the radioulnar plane. The delta phalanx, also known as a longitudinal epiphyseal bracket or clinodactyly with delta phalanx, is an uncommon deformity of the. Thumb Delta Phalanx.