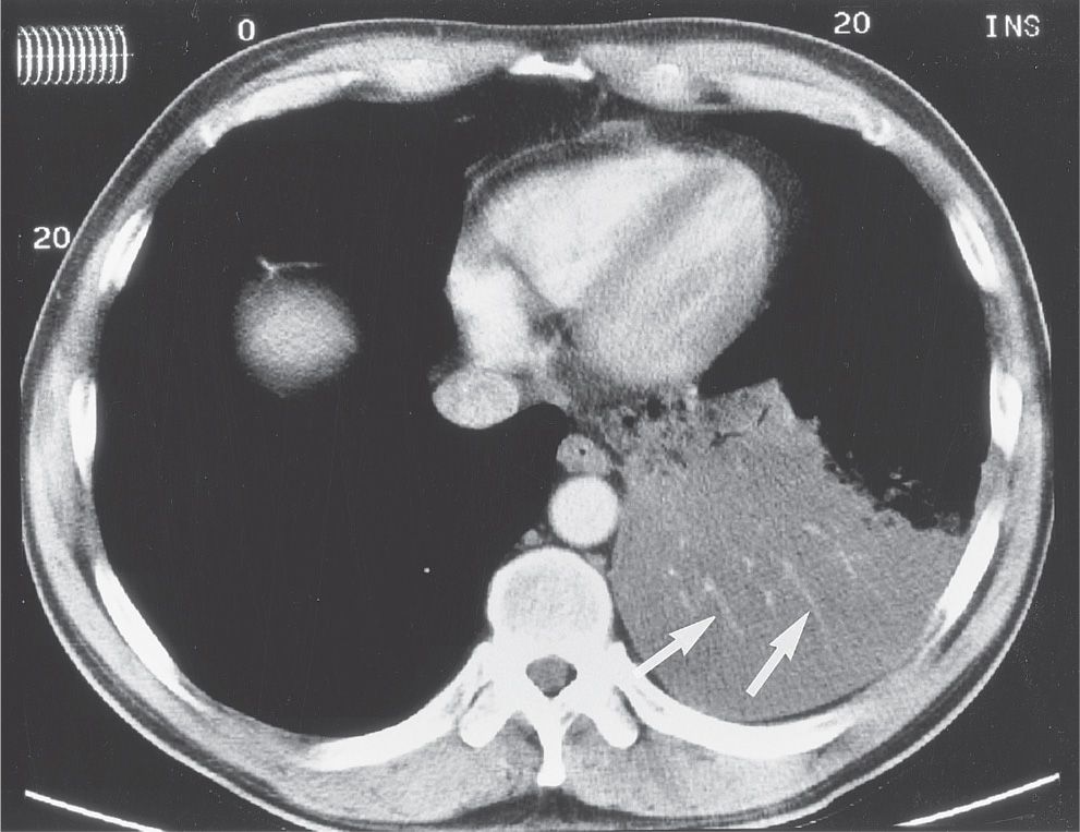
Plaque Lung Disease . Pleural plaques are areas of thickening that occur in the lining of the lung. By quitting smoking you will reduce your. Pleural plaques are the most common sign of past exposure to asbestos. Pleural plaques are areas of tissue that become thickened in the lining of the lungs. The disease usually develops 20 to 30 years after exposure to, and the inhalation of, asbestos dust and fibres. They are often discovered incidentally e.g. If you have pleural plaques and smoke, it is advisable to seek help to quit. Pleural plaques are evidence of past exposure to asbestos and are the most common form of asbestos disease. Pleural plaques more commonly occur on the outer pleura on the lower chest wall or diaphragm, though occasionally are also found on the inner pleura. Chest pain as a result of pleural plaques can be very severe and treatment may eventually.
from radiologyassistant.nl
By quitting smoking you will reduce your. Pleural plaques more commonly occur on the outer pleura on the lower chest wall or diaphragm, though occasionally are also found on the inner pleura. Chest pain as a result of pleural plaques can be very severe and treatment may eventually. Pleural plaques are the most common sign of past exposure to asbestos. Pleural plaques are areas of thickening that occur in the lining of the lung. If you have pleural plaques and smoke, it is advisable to seek help to quit. They are often discovered incidentally e.g. Pleural plaques are areas of tissue that become thickened in the lining of the lungs. The disease usually develops 20 to 30 years after exposure to, and the inhalation of, asbestos dust and fibres. Pleural plaques are evidence of past exposure to asbestos and are the most common form of asbestos disease.
The Radiology Assistant Chest XRay Lung disease
Plaque Lung Disease Pleural plaques are the most common sign of past exposure to asbestos. Pleural plaques more commonly occur on the outer pleura on the lower chest wall or diaphragm, though occasionally are also found on the inner pleura. The disease usually develops 20 to 30 years after exposure to, and the inhalation of, asbestos dust and fibres. Pleural plaques are areas of tissue that become thickened in the lining of the lungs. Pleural plaques are the most common sign of past exposure to asbestos. If you have pleural plaques and smoke, it is advisable to seek help to quit. They are often discovered incidentally e.g. Chest pain as a result of pleural plaques can be very severe and treatment may eventually. By quitting smoking you will reduce your. Pleural plaques are areas of thickening that occur in the lining of the lung. Pleural plaques are evidence of past exposure to asbestos and are the most common form of asbestos disease.
From www.svuhradiology.ie
Interstitial lung disease UIP Radiology at St. Vincent's University Plaque Lung Disease Pleural plaques are evidence of past exposure to asbestos and are the most common form of asbestos disease. By quitting smoking you will reduce your. They are often discovered incidentally e.g. Chest pain as a result of pleural plaques can be very severe and treatment may eventually. Pleural plaques more commonly occur on the outer pleura on the lower chest. Plaque Lung Disease.
From erj.ersjournals.com
Invasive pulmonary aspergillosis in patients with chronic obstructive Plaque Lung Disease By quitting smoking you will reduce your. They are often discovered incidentally e.g. The disease usually develops 20 to 30 years after exposure to, and the inhalation of, asbestos dust and fibres. If you have pleural plaques and smoke, it is advisable to seek help to quit. Pleural plaques are areas of tissue that become thickened in the lining of. Plaque Lung Disease.
From breastscancersymptoms.blogspot.com
Asbestos Pleural Plaques Interstitial Lung Disease Rheumatoid Plaque Lung Disease Chest pain as a result of pleural plaques can be very severe and treatment may eventually. Pleural plaques are evidence of past exposure to asbestos and are the most common form of asbestos disease. Pleural plaques are areas of thickening that occur in the lining of the lung. Pleural plaques are areas of tissue that become thickened in the lining. Plaque Lung Disease.
From www.svuhradiology.ie
Lung cancer in patient with previous asbestos exposure Radiology at Plaque Lung Disease Pleural plaques are areas of thickening that occur in the lining of the lung. Pleural plaques are areas of tissue that become thickened in the lining of the lungs. The disease usually develops 20 to 30 years after exposure to, and the inhalation of, asbestos dust and fibres. If you have pleural plaques and smoke, it is advisable to seek. Plaque Lung Disease.
From www.researchgate.net
Pleural plaques, diffuse pleural thickening, rounded atelectasis, and Plaque Lung Disease If you have pleural plaques and smoke, it is advisable to seek help to quit. Pleural plaques are the most common sign of past exposure to asbestos. The disease usually develops 20 to 30 years after exposure to, and the inhalation of, asbestos dust and fibres. Pleural plaques are evidence of past exposure to asbestos and are the most common. Plaque Lung Disease.
From www.learningradiology.com
Learning Radiology AsbestosRelated Pleural Disease, asbestosis Plaque Lung Disease Chest pain as a result of pleural plaques can be very severe and treatment may eventually. The disease usually develops 20 to 30 years after exposure to, and the inhalation of, asbestos dust and fibres. If you have pleural plaques and smoke, it is advisable to seek help to quit. Pleural plaques are the most common sign of past exposure. Plaque Lung Disease.
From www.cdc.gov
Asbestosis and AsbestosRelated Pleural Diseases NIOSH CDC Plaque Lung Disease Pleural plaques more commonly occur on the outer pleura on the lower chest wall or diaphragm, though occasionally are also found on the inner pleura. By quitting smoking you will reduce your. Pleural plaques are areas of thickening that occur in the lining of the lung. Pleural plaques are the most common sign of past exposure to asbestos. Pleural plaques. Plaque Lung Disease.
From health-fts.blogspot.com
HEALTH FROM TRUSTED SOURCES Bronchiectasis Plaque Lung Disease Pleural plaques more commonly occur on the outer pleura on the lower chest wall or diaphragm, though occasionally are also found on the inner pleura. Pleural plaques are the most common sign of past exposure to asbestos. Pleural plaques are areas of tissue that become thickened in the lining of the lungs. They are often discovered incidentally e.g. By quitting. Plaque Lung Disease.
From depositphotos.com
Asbestos Related Diseases Pleura Diaphragm Plaque Lung Cancer Plaque Lung Disease Pleural plaques are areas of thickening that occur in the lining of the lung. By quitting smoking you will reduce your. Pleural plaques more commonly occur on the outer pleura on the lower chest wall or diaphragm, though occasionally are also found on the inner pleura. If you have pleural plaques and smoke, it is advisable to seek help to. Plaque Lung Disease.
From err.ersjournals.com
Differential diagnosis of granulomatous lung disease clues and Plaque Lung Disease The disease usually develops 20 to 30 years after exposure to, and the inhalation of, asbestos dust and fibres. Pleural plaques are the most common sign of past exposure to asbestos. Chest pain as a result of pleural plaques can be very severe and treatment may eventually. They are often discovered incidentally e.g. Pleural plaques are areas of tissue that. Plaque Lung Disease.
From www.amazon.com
Diseases Of The Lung Guide Metal Tin Signs Wall Decor Lung Plaque Lung Disease Pleural plaques are the most common sign of past exposure to asbestos. The disease usually develops 20 to 30 years after exposure to, and the inhalation of, asbestos dust and fibres. Pleural plaques more commonly occur on the outer pleura on the lower chest wall or diaphragm, though occasionally are also found on the inner pleura. Pleural plaques are evidence. Plaque Lung Disease.
From www.slideserve.com
PPT Occupational Lung Diseases PowerPoint Presentation, free download Plaque Lung Disease Pleural plaques are areas of tissue that become thickened in the lining of the lungs. By quitting smoking you will reduce your. They are often discovered incidentally e.g. Chest pain as a result of pleural plaques can be very severe and treatment may eventually. Pleural plaques are areas of thickening that occur in the lining of the lung. The disease. Plaque Lung Disease.
From www.dreamstime.com
Asbestosis lung disease stock vector. Illustration of effusion 278125080 Plaque Lung Disease If you have pleural plaques and smoke, it is advisable to seek help to quit. Pleural plaques more commonly occur on the outer pleura on the lower chest wall or diaphragm, though occasionally are also found on the inner pleura. Pleural plaques are areas of tissue that become thickened in the lining of the lungs. They are often discovered incidentally. Plaque Lung Disease.
From depositphotos.com
Asbestos Related Diseases Pleura Diaphragm Plaque Lung Cancer Plaque Lung Disease Pleural plaques are areas of tissue that become thickened in the lining of the lungs. Pleural plaques more commonly occur on the outer pleura on the lower chest wall or diaphragm, though occasionally are also found on the inner pleura. They are often discovered incidentally e.g. If you have pleural plaques and smoke, it is advisable to seek help to. Plaque Lung Disease.
From radiologyassistant.nl
The Radiology Assistant Chest XRay Lung disease Plaque Lung Disease The disease usually develops 20 to 30 years after exposure to, and the inhalation of, asbestos dust and fibres. If you have pleural plaques and smoke, it is advisable to seek help to quit. Pleural plaques are areas of tissue that become thickened in the lining of the lungs. Chest pain as a result of pleural plaques can be very. Plaque Lung Disease.
From www.chestmed.theclinics.com
Occupational and Environmental Lung Disease Clinics in Chest Medicine Plaque Lung Disease By quitting smoking you will reduce your. The disease usually develops 20 to 30 years after exposure to, and the inhalation of, asbestos dust and fibres. If you have pleural plaques and smoke, it is advisable to seek help to quit. Pleural plaques are evidence of past exposure to asbestos and are the most common form of asbestos disease. They. Plaque Lung Disease.
From www.researchgate.net
Asbestosis diffuse cystic shadows in both lungs. Pleural plaque is Plaque Lung Disease The disease usually develops 20 to 30 years after exposure to, and the inhalation of, asbestos dust and fibres. Pleural plaques are areas of tissue that become thickened in the lining of the lungs. Pleural plaques are the most common sign of past exposure to asbestos. By quitting smoking you will reduce your. Pleural plaques are areas of thickening that. Plaque Lung Disease.
From www.mesotheliomaveterans.org
Asbestos Pleural Plaques All About Asbestos Plaques in Lungs Plaque Lung Disease Pleural plaques are areas of tissue that become thickened in the lining of the lungs. Pleural plaques more commonly occur on the outer pleura on the lower chest wall or diaphragm, though occasionally are also found on the inner pleura. Pleural plaques are areas of thickening that occur in the lining of the lung. They are often discovered incidentally e.g.. Plaque Lung Disease.
From pursanymondolet.blogspot.com
Pleural Plaques On Chest X Ray Plaque Lung Disease Pleural plaques are evidence of past exposure to asbestos and are the most common form of asbestos disease. Pleural plaques more commonly occur on the outer pleura on the lower chest wall or diaphragm, though occasionally are also found on the inner pleura. By quitting smoking you will reduce your. The disease usually develops 20 to 30 years after exposure. Plaque Lung Disease.
From radiologykey.com
Signs and Patterns of Lung Disease Radiology Key Plaque Lung Disease They are often discovered incidentally e.g. If you have pleural plaques and smoke, it is advisable to seek help to quit. By quitting smoking you will reduce your. Pleural plaques are areas of tissue that become thickened in the lining of the lungs. Pleural plaques are evidence of past exposure to asbestos and are the most common form of asbestos. Plaque Lung Disease.
From www.researchgate.net
(PDF) CT Patterns of Interstitial Lung Disease in Patients with Plaque Plaque Lung Disease They are often discovered incidentally e.g. By quitting smoking you will reduce your. The disease usually develops 20 to 30 years after exposure to, and the inhalation of, asbestos dust and fibres. Chest pain as a result of pleural plaques can be very severe and treatment may eventually. Pleural plaques are areas of thickening that occur in the lining of. Plaque Lung Disease.
From familydoctor.org
Sarcoidosis Skin and Lungs Symptoms Plaque Lung Disease If you have pleural plaques and smoke, it is advisable to seek help to quit. By quitting smoking you will reduce your. Pleural plaques more commonly occur on the outer pleura on the lower chest wall or diaphragm, though occasionally are also found on the inner pleura. They are often discovered incidentally e.g. Pleural plaques are areas of tissue that. Plaque Lung Disease.
From www.cureus.com
Cureus NeurofibromatosisAssociated Diffuse Lung Disease A Case Plaque Lung Disease Pleural plaques are areas of thickening that occur in the lining of the lung. By quitting smoking you will reduce your. Pleural plaques are areas of tissue that become thickened in the lining of the lungs. Chest pain as a result of pleural plaques can be very severe and treatment may eventually. Pleural plaques are evidence of past exposure to. Plaque Lung Disease.
From www.cdc.gov
Asbestosis and AsbestosRelated Pleural Diseases NIOSH CDC Plaque Lung Disease Chest pain as a result of pleural plaques can be very severe and treatment may eventually. Pleural plaques are areas of thickening that occur in the lining of the lung. The disease usually develops 20 to 30 years after exposure to, and the inhalation of, asbestos dust and fibres. By quitting smoking you will reduce your. They are often discovered. Plaque Lung Disease.
From www.dreamstime.com
Pleural plaque poster stock vector. Illustration of disease 276357374 Plaque Lung Disease Pleural plaques are areas of thickening that occur in the lining of the lung. By quitting smoking you will reduce your. Chest pain as a result of pleural plaques can be very severe and treatment may eventually. Pleural plaques are areas of tissue that become thickened in the lining of the lungs. Pleural plaques are the most common sign of. Plaque Lung Disease.
From www.ualberta.ca
Multidisciplinary Collaborative Interstitial Lung Disease (ILD) Clinic Plaque Lung Disease By quitting smoking you will reduce your. Pleural plaques are evidence of past exposure to asbestos and are the most common form of asbestos disease. The disease usually develops 20 to 30 years after exposure to, and the inhalation of, asbestos dust and fibres. They are often discovered incidentally e.g. Chest pain as a result of pleural plaques can be. Plaque Lung Disease.
From www.dreamstime.com
Pleural plaque poster stock vector. Illustration of pulmonary 276250201 Plaque Lung Disease Pleural plaques more commonly occur on the outer pleura on the lower chest wall or diaphragm, though occasionally are also found on the inner pleura. The disease usually develops 20 to 30 years after exposure to, and the inhalation of, asbestos dust and fibres. Chest pain as a result of pleural plaques can be very severe and treatment may eventually.. Plaque Lung Disease.
From www.researchgate.net
Heterogeneous pink plaque localized to the left cheek. Download Plaque Lung Disease They are often discovered incidentally e.g. Pleural plaques are evidence of past exposure to asbestos and are the most common form of asbestos disease. Pleural plaques are the most common sign of past exposure to asbestos. By quitting smoking you will reduce your. Chest pain as a result of pleural plaques can be very severe and treatment may eventually. The. Plaque Lung Disease.
From immacolatachdugo.blogspot.com
Non Calcified Pleural Plaques Plaque Lung Disease Pleural plaques are areas of thickening that occur in the lining of the lung. Pleural plaques are evidence of past exposure to asbestos and are the most common form of asbestos disease. Chest pain as a result of pleural plaques can be very severe and treatment may eventually. They are often discovered incidentally e.g. The disease usually develops 20 to. Plaque Lung Disease.
From www.verywellhealth.com
Pleural Cavity Anatomy, Effusion Causes, Treatment Plaque Lung Disease Pleural plaques are the most common sign of past exposure to asbestos. By quitting smoking you will reduce your. Pleural plaques are areas of tissue that become thickened in the lining of the lungs. Pleural plaques are evidence of past exposure to asbestos and are the most common form of asbestos disease. The disease usually develops 20 to 30 years. Plaque Lung Disease.
From www.slideshare.net
Interstitial Lung Disease Plaque Lung Disease They are often discovered incidentally e.g. Pleural plaques are the most common sign of past exposure to asbestos. By quitting smoking you will reduce your. Pleural plaques are evidence of past exposure to asbestos and are the most common form of asbestos disease. Pleural plaques more commonly occur on the outer pleura on the lower chest wall or diaphragm, though. Plaque Lung Disease.
From www.dreamstime.com
Pleural plaque poster stock vector. Illustration of disease 276357354 Plaque Lung Disease Pleural plaques are the most common sign of past exposure to asbestos. Pleural plaques are areas of tissue that become thickened in the lining of the lungs. The disease usually develops 20 to 30 years after exposure to, and the inhalation of, asbestos dust and fibres. Pleural plaques more commonly occur on the outer pleura on the lower chest wall. Plaque Lung Disease.
From www.bmj.com
An overview of how asbestos exposure affects the lung The BMJ Plaque Lung Disease Pleural plaques are areas of tissue that become thickened in the lining of the lungs. The disease usually develops 20 to 30 years after exposure to, and the inhalation of, asbestos dust and fibres. Pleural plaques more commonly occur on the outer pleura on the lower chest wall or diaphragm, though occasionally are also found on the inner pleura. If. Plaque Lung Disease.
From www.scienceopen.com
The calcified lung nodule What does it mean? ScienceOpen Plaque Lung Disease Chest pain as a result of pleural plaques can be very severe and treatment may eventually. They are often discovered incidentally e.g. By quitting smoking you will reduce your. Pleural plaques are areas of thickening that occur in the lining of the lung. Pleural plaques more commonly occur on the outer pleura on the lower chest wall or diaphragm, though. Plaque Lung Disease.
From www.researchgate.net
The lungs and chest Xrays showing inflammation leading to pneumonia Plaque Lung Disease Pleural plaques are areas of thickening that occur in the lining of the lung. Pleural plaques more commonly occur on the outer pleura on the lower chest wall or diaphragm, though occasionally are also found on the inner pleura. Pleural plaques are the most common sign of past exposure to asbestos. Chest pain as a result of pleural plaques can. Plaque Lung Disease.