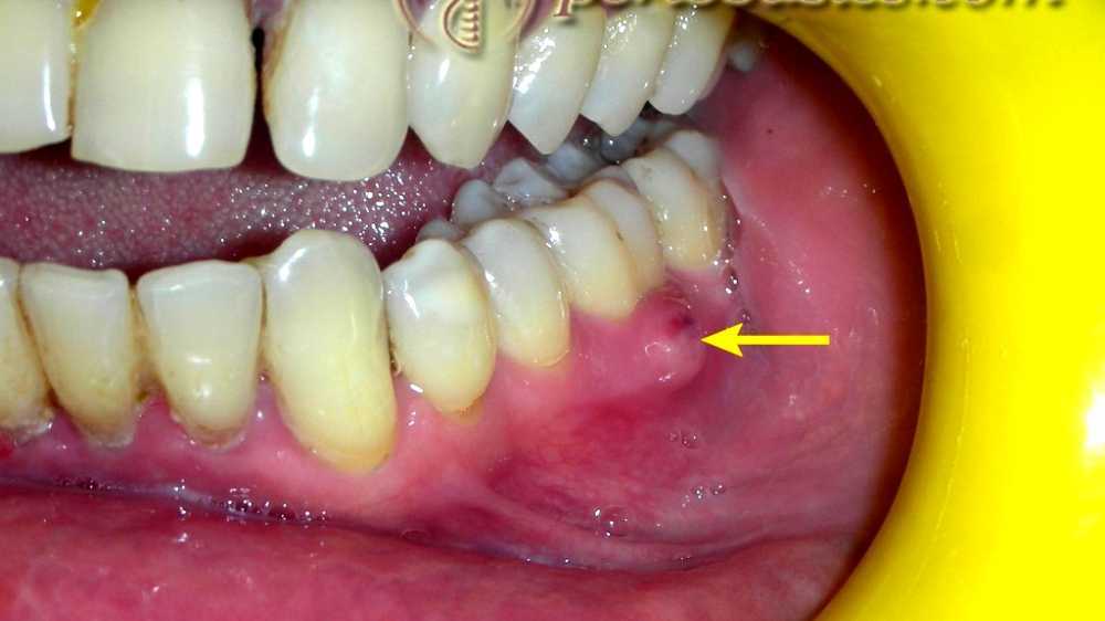
Abscess Tooth With Crown . If you care for your restored tooth. The tooth underneath the crown may need to be extracted. An abscess may develop near the crown. Dental abscesses are abscesses affecting the teeth and adjacent jaw tissue. The infection can affect surrounding tissues and cause severe pain. A tooth abscess needs appropriate treatment, which can improve symptoms within days. Intense toothache or pain in your gums. Think you might be experiencing a dental abscess?. Signs of a dental abscess include: A tooth abscess is a pocket of infection in or around the root of your tooth. The tooth may be capped with a crown to make it stronger, especially if this is a back tooth. A tooth abscess, also called an oral or dental abscess, is a localized bacterial infection in which pus builds up in a tooth, gum, or jawbone. Check if you have a dental abscess. It happens when bacteria invade your tooth pulp, usually through. A periapical abscess is a pocket of infection around your tooth root.
from www.veterinarypracticenews.com
An abscess may develop near the crown. You might have pain and swollen gums, and the. Intense toothache or pain in your gums. It happens when bacteria invade your tooth pulp, usually through. The tooth may be capped with a crown to make it stronger, especially if this is a back tooth. Check if you have a dental abscess. Signs of a dental abscess include: If you care for your restored tooth. A tooth abscess needs appropriate treatment, which can improve symptoms within days. A periapical abscess is a pocket of infection around your tooth root.
Treatment options for carnassial tooth fractures in dogs Veterinary
Abscess Tooth With Crown A tooth abscess needs appropriate treatment, which can improve symptoms within days. If you care for your restored tooth. The tooth underneath the crown may need to be extracted. A tooth abscess, also called an oral or dental abscess, is a localized bacterial infection in which pus builds up in a tooth, gum, or jawbone. It happens when bacteria invade your tooth pulp, usually through. An abscess may develop near the crown. Dental abscesses are abscesses affecting the teeth and adjacent jaw tissue. You might have pain and swollen gums, and the. Intense toothache or pain in your gums. Check if you have a dental abscess. Signs of a dental abscess include: Think you might be experiencing a dental abscess?. The infection can affect surrounding tissues and cause severe pain. A tooth abscess needs appropriate treatment, which can improve symptoms within days. The tooth may be capped with a crown to make it stronger, especially if this is a back tooth. A periapical abscess is a pocket of infection around your tooth root.
From www.bashdental.com
Doylestown Dental Abscess & Infection 24/7 Emergency Care Abscess Tooth With Crown Check if you have a dental abscess. The tooth underneath the crown may need to be extracted. Dental abscesses are abscesses affecting the teeth and adjacent jaw tissue. An abscess may develop near the crown. The infection can affect surrounding tissues and cause severe pain. A tooth abscess is a pocket of infection in or around the root of your. Abscess Tooth With Crown.
From adfct.com
Tooth Abscess Stages A Comprehensive Overview Abscess Tooth With Crown You might have pain and swollen gums, and the. If you care for your restored tooth. An abscess may develop near the crown. The infection can affect surrounding tissues and cause severe pain. Signs of a dental abscess include: A periapical abscess is a pocket of infection around your tooth root. A tooth abscess needs appropriate treatment, which can improve. Abscess Tooth With Crown.
From cardsdental.com
What to do if dental abscess bursts on its own? CARDS DENTAL Abscess Tooth With Crown A periapical abscess is a pocket of infection around your tooth root. The tooth underneath the crown may need to be extracted. The tooth may be capped with a crown to make it stronger, especially if this is a back tooth. Think you might be experiencing a dental abscess?. You might have pain and swollen gums, and the. Signs of. Abscess Tooth With Crown.
From www.amitisdentalstudio.com.au
Energency Dental Abscess Treatment Amitis Dental Studio Abscess Tooth With Crown Intense toothache or pain in your gums. Think you might be experiencing a dental abscess?. A tooth abscess, also called an oral or dental abscess, is a localized bacterial infection in which pus builds up in a tooth, gum, or jawbone. A tooth abscess is a pocket of infection in or around the root of your tooth. The infection can. Abscess Tooth With Crown.
From www.reviewhome.co
Tooth Abscess Treatment Homeopathic Review Home Co Abscess Tooth With Crown A tooth abscess, also called an oral or dental abscess, is a localized bacterial infection in which pus builds up in a tooth, gum, or jawbone. Signs of a dental abscess include: Dental abscesses are abscesses affecting the teeth and adjacent jaw tissue. Intense toothache or pain in your gums. The tooth may be capped with a crown to make. Abscess Tooth With Crown.
From www.drimneets.com
Baby tooth with Abscess Dr.Imneet Abscess Tooth With Crown You might have pain and swollen gums, and the. A tooth abscess, also called an oral or dental abscess, is a localized bacterial infection in which pus builds up in a tooth, gum, or jawbone. A tooth abscess needs appropriate treatment, which can improve symptoms within days. Think you might be experiencing a dental abscess?. Signs of a dental abscess. Abscess Tooth With Crown.
From www.mavident.es
Absceso dental ¿Qué es y cómo tratarlo? Mavident Abscess Tooth With Crown Signs of a dental abscess include: The tooth may be capped with a crown to make it stronger, especially if this is a back tooth. A tooth abscess, also called an oral or dental abscess, is a localized bacterial infection in which pus builds up in a tooth, gum, or jawbone. An abscess may develop near the crown. A periapical. Abscess Tooth With Crown.
From www.jacksonavedental.com
Every Stage of a Tooth Abscess With Pictures 1311 Jackson Ave Dental Abscess Tooth With Crown It happens when bacteria invade your tooth pulp, usually through. A tooth abscess needs appropriate treatment, which can improve symptoms within days. The tooth underneath the crown may need to be extracted. A tooth abscess, also called an oral or dental abscess, is a localized bacterial infection in which pus builds up in a tooth, gum, or jawbone. An abscess. Abscess Tooth With Crown.
From www.primagem.org
Does Draining A Dental Abscess Hurt Best Drain Photos Abscess Tooth With Crown If you care for your restored tooth. A periapical abscess is a pocket of infection around your tooth root. A tooth abscess, also called an oral or dental abscess, is a localized bacterial infection in which pus builds up in a tooth, gum, or jawbone. The tooth may be capped with a crown to make it stronger, especially if this. Abscess Tooth With Crown.
From www.veterinarypracticenews.com
Treatment options for carnassial tooth fractures in dogs Veterinary Abscess Tooth With Crown Dental abscesses are abscesses affecting the teeth and adjacent jaw tissue. If you care for your restored tooth. The infection can affect surrounding tissues and cause severe pain. The tooth underneath the crown may need to be extracted. A tooth abscess is a pocket of infection in or around the root of your tooth. It happens when bacteria invade your. Abscess Tooth With Crown.
From healthjade.net
Abscess tooth, dental abscess causes, signs, symptoms, diagnosis Abscess Tooth With Crown A tooth abscess, also called an oral or dental abscess, is a localized bacterial infection in which pus builds up in a tooth, gum, or jawbone. Think you might be experiencing a dental abscess?. The infection can affect surrounding tissues and cause severe pain. Dental abscesses are abscesses affecting the teeth and adjacent jaw tissue. An abscess may develop near. Abscess Tooth With Crown.
From www.youtube.com
Gum Abscess! All About Dental Abscesses, Tooth Abscesses and Drainage Abscess Tooth With Crown If you care for your restored tooth. Dental abscesses are abscesses affecting the teeth and adjacent jaw tissue. The infection can affect surrounding tissues and cause severe pain. It happens when bacteria invade your tooth pulp, usually through. Intense toothache or pain in your gums. Think you might be experiencing a dental abscess?. Signs of a dental abscess include: A. Abscess Tooth With Crown.
From www.smilepointdentalcare.com
Can An Abscess Go Away Without Draining? Abscess Tooth With Crown A tooth abscess, also called an oral or dental abscess, is a localized bacterial infection in which pus builds up in a tooth, gum, or jawbone. Think you might be experiencing a dental abscess?. An abscess may develop near the crown. A periapical abscess is a pocket of infection around your tooth root. If you care for your restored tooth.. Abscess Tooth With Crown.
From tricityfamilydental.com
Tooth Abscess Stages Pictures What To Look For? Abscess Tooth With Crown Signs of a dental abscess include: An abscess may develop near the crown. Check if you have a dental abscess. A periapical abscess is a pocket of infection around your tooth root. The tooth underneath the crown may need to be extracted. If you care for your restored tooth. You might have pain and swollen gums, and the. The infection. Abscess Tooth With Crown.
From implantandcosmeticdentistry.com
Dental Abscess Stages, Causes, Symptoms & Treatments Blog Abscess Tooth With Crown A tooth abscess, also called an oral or dental abscess, is a localized bacterial infection in which pus builds up in a tooth, gum, or jawbone. Intense toothache or pain in your gums. A tooth abscess is a pocket of infection in or around the root of your tooth. The infection can affect surrounding tissues and cause severe pain. You. Abscess Tooth With Crown.
From treatment-faq.com
What Is The Treatment For An Abscessed Tooth Under A Crown Abscess Tooth With Crown Think you might be experiencing a dental abscess?. The infection can affect surrounding tissues and cause severe pain. The tooth may be capped with a crown to make it stronger, especially if this is a back tooth. A periapical abscess is a pocket of infection around your tooth root. It happens when bacteria invade your tooth pulp, usually through. A. Abscess Tooth With Crown.
From marksdentistry.com
Can a Wisdom Tooth Cause an Abscess? Marks Dentistry Abscess Tooth With Crown Dental abscesses are abscesses affecting the teeth and adjacent jaw tissue. If you care for your restored tooth. Intense toothache or pain in your gums. A tooth abscess needs appropriate treatment, which can improve symptoms within days. A periapical abscess is a pocket of infection around your tooth root. Check if you have a dental abscess. An abscess may develop. Abscess Tooth With Crown.
From www.youtube.com
Infected Tooth Abscess Drained Graphic⚠️ YouTube Abscess Tooth With Crown The tooth underneath the crown may need to be extracted. Intense toothache or pain in your gums. The infection can affect surrounding tissues and cause severe pain. Signs of a dental abscess include: A tooth abscess is a pocket of infection in or around the root of your tooth. Think you might be experiencing a dental abscess?. A periapical abscess. Abscess Tooth With Crown.
From www.infodentis.com
The 5 Abscess Tooth Stages and the Actions You Should Take Abscess Tooth With Crown Check if you have a dental abscess. A periapical abscess is a pocket of infection around your tooth root. Signs of a dental abscess include: It happens when bacteria invade your tooth pulp, usually through. Dental abscesses are abscesses affecting the teeth and adjacent jaw tissue. If you care for your restored tooth. The tooth underneath the crown may need. Abscess Tooth With Crown.
From dentaldisaster.com
periodontal abscess Abscess Tooth With Crown Dental abscesses are abscesses affecting the teeth and adjacent jaw tissue. Intense toothache or pain in your gums. The infection can affect surrounding tissues and cause severe pain. It happens when bacteria invade your tooth pulp, usually through. A tooth abscess needs appropriate treatment, which can improve symptoms within days. A tooth abscess, also called an oral or dental abscess,. Abscess Tooth With Crown.
From www.thedesignersmile.com
Stages of Tooth Decay Troy, MI Restorative Dentistry Abscess Tooth With Crown The infection can affect surrounding tissues and cause severe pain. Dental abscesses are abscesses affecting the teeth and adjacent jaw tissue. A tooth abscess, also called an oral or dental abscess, is a localized bacterial infection in which pus builds up in a tooth, gum, or jawbone. It happens when bacteria invade your tooth pulp, usually through. The tooth underneath. Abscess Tooth With Crown.
From www.pinterest.com
Pin on Porcelain Veneers West Hollywood Abscess Tooth With Crown An abscess may develop near the crown. A tooth abscess, also called an oral or dental abscess, is a localized bacterial infection in which pus builds up in a tooth, gum, or jawbone. If you care for your restored tooth. Think you might be experiencing a dental abscess?. It happens when bacteria invade your tooth pulp, usually through. A tooth. Abscess Tooth With Crown.
From www.brightonimplantclinic.com
tooth abscess Brighton Implant Clinic Abscess Tooth With Crown Check if you have a dental abscess. Signs of a dental abscess include: Dental abscesses are abscesses affecting the teeth and adjacent jaw tissue. A tooth abscess is a pocket of infection in or around the root of your tooth. A tooth abscess, also called an oral or dental abscess, is a localized bacterial infection in which pus builds up. Abscess Tooth With Crown.
From www.teethtalkgirl.com
5 Stages Of An Abscessed Tooth & What To Do Abscess Tooth With Crown A tooth abscess needs appropriate treatment, which can improve symptoms within days. Check if you have a dental abscess. A tooth abscess is a pocket of infection in or around the root of your tooth. A periapical abscess is a pocket of infection around your tooth root. The tooth may be capped with a crown to make it stronger, especially. Abscess Tooth With Crown.
From emeralddental.in
TYPES OF DENTAL ABSCESS EMERALD DENTAL Abscess Tooth With Crown The tooth may be capped with a crown to make it stronger, especially if this is a back tooth. The infection can affect surrounding tissues and cause severe pain. A tooth abscess needs appropriate treatment, which can improve symptoms within days. Intense toothache or pain in your gums. Check if you have a dental abscess. It happens when bacteria invade. Abscess Tooth With Crown.
From mouthinfo.blogspot.com
Periodontal abscess Abscess Tooth With Crown Signs of a dental abscess include: The infection can affect surrounding tissues and cause severe pain. An abscess may develop near the crown. Check if you have a dental abscess. Intense toothache or pain in your gums. A tooth abscess, also called an oral or dental abscess, is a localized bacterial infection in which pus builds up in a tooth,. Abscess Tooth With Crown.
From www.momjunction.com
Abscess Tooth When Pregnant Causes, Symptoms & Prevention Abscess Tooth With Crown Dental abscesses are abscesses affecting the teeth and adjacent jaw tissue. The tooth underneath the crown may need to be extracted. The infection can affect surrounding tissues and cause severe pain. A tooth abscess is a pocket of infection in or around the root of your tooth. A tooth abscess needs appropriate treatment, which can improve symptoms within days. Check. Abscess Tooth With Crown.
From kladgrcga.blob.core.windows.net
Abscess Tooth But No Pain at Vincent Barry blog Abscess Tooth With Crown A periapical abscess is a pocket of infection around your tooth root. You might have pain and swollen gums, and the. If you care for your restored tooth. The infection can affect surrounding tissues and cause severe pain. Think you might be experiencing a dental abscess?. Intense toothache or pain in your gums. Dental abscesses are abscesses affecting the teeth. Abscess Tooth With Crown.
From klacojwwe.blob.core.windows.net
Periodontal Abscess Drainage at Sylvia Thompson blog Abscess Tooth With Crown The infection can affect surrounding tissues and cause severe pain. A tooth abscess, also called an oral or dental abscess, is a localized bacterial infection in which pus builds up in a tooth, gum, or jawbone. Signs of a dental abscess include: You might have pain and swollen gums, and the. An abscess may develop near the crown. The tooth. Abscess Tooth With Crown.
From www.infodentis.com
How Can You Cope with a Tooth Abscess? Abscess Tooth With Crown The tooth may be capped with a crown to make it stronger, especially if this is a back tooth. A tooth abscess, also called an oral or dental abscess, is a localized bacterial infection in which pus builds up in a tooth, gum, or jawbone. Signs of a dental abscess include: Think you might be experiencing a dental abscess?. A. Abscess Tooth With Crown.
From www.ashfieldfamilydental.com.au
Can A Dental Abscess Dangerous? Abscess Tooth With Crown The tooth underneath the crown may need to be extracted. The infection can affect surrounding tissues and cause severe pain. A tooth abscess needs appropriate treatment, which can improve symptoms within days. A tooth abscess, also called an oral or dental abscess, is a localized bacterial infection in which pus builds up in a tooth, gum, or jawbone. Check if. Abscess Tooth With Crown.
From mybestdentists.com
Best Treatment for Abscess Tooth Infection My BEST Dentists Journal Abscess Tooth With Crown Think you might be experiencing a dental abscess?. An abscess may develop near the crown. The infection can affect surrounding tissues and cause severe pain. A periapical abscess is a pocket of infection around your tooth root. Dental abscesses are abscesses affecting the teeth and adjacent jaw tissue. Intense toothache or pain in your gums. The tooth underneath the crown. Abscess Tooth With Crown.
From www.teethtalkgirl.com
6 Signs of Tooth Decay Under Your Crown or Filling Abscess Tooth With Crown A periapical abscess is a pocket of infection around your tooth root. An abscess may develop near the crown. A tooth abscess is a pocket of infection in or around the root of your tooth. A tooth abscess needs appropriate treatment, which can improve symptoms within days. Signs of a dental abscess include: If you care for your restored tooth.. Abscess Tooth With Crown.
From webdmd.org
Tooth Abscess Stages Pictures and Treatment Options DMD Abscess Tooth With Crown A tooth abscess needs appropriate treatment, which can improve symptoms within days. A tooth abscess is a pocket of infection in or around the root of your tooth. You might have pain and swollen gums, and the. Check if you have a dental abscess. The tooth may be capped with a crown to make it stronger, especially if this is. Abscess Tooth With Crown.
From www.kirklandpremierdentistry.com
All Blogs Kirkland Premier Dentistry Abscess Tooth With Crown An abscess may develop near the crown. A periapical abscess is a pocket of infection around your tooth root. If you care for your restored tooth. The tooth may be capped with a crown to make it stronger, especially if this is a back tooth. Dental abscesses are abscesses affecting the teeth and adjacent jaw tissue. A tooth abscess needs. Abscess Tooth With Crown.