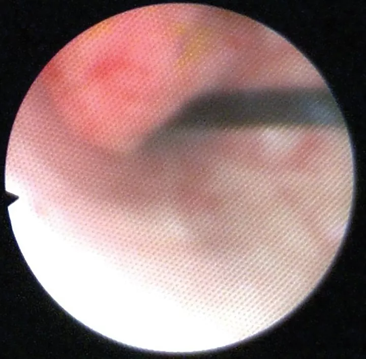
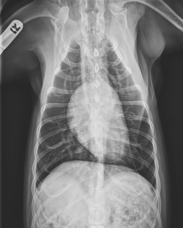
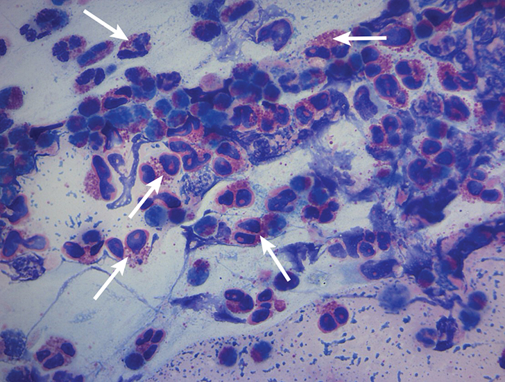
Epistaxis Dog Clinician's Brief . Following are differential diagnoses, listed in order of likeliness, for patients presented with epistaxis. Fortunately, despite the owner’s impression, the amount of. Results suggested that epistaxis was a common disorder in dogs and frequently regarded as an. A careful, thorough physical examination is essential to prioritize the diagnostic differentials in dogs and cats. Leishmaniasis, ehrlichiosis, rodenticide toxicity, immune. Most acute or sudden nosebleeds are caused by simple trauma or by upper respiratory. Here are some tips to get the. The face should be examined for visual or palpable asymmetry and bony. Epistaxis is one of the most dramatic presenting complaints in small animal medicine. So, you are at home with your pet and a bloody nose starts and does not seem to be stopping. In 56 dogs, epistaxis was found to be secondary to a systemic disease: Epistaxis in dogs can be extremely unsettling for the pet owner. The dog is an indoor pet that only goes outside.
from www.pinterest.com.mx
Here are some tips to get the. Fortunately, despite the owner’s impression, the amount of. A careful, thorough physical examination is essential to prioritize the diagnostic differentials in dogs and cats. Results suggested that epistaxis was a common disorder in dogs and frequently regarded as an. The dog is an indoor pet that only goes outside. Following are differential diagnoses, listed in order of likeliness, for patients presented with epistaxis. So, you are at home with your pet and a bloody nose starts and does not seem to be stopping. Epistaxis is one of the most dramatic presenting complaints in small animal medicine. The face should be examined for visual or palpable asymmetry and bony. Epistaxis in dogs can be extremely unsettling for the pet owner.
Epistaxis Pathophysiology nursing, Top nursing schools, Medical
Epistaxis Dog Clinician's Brief The dog is an indoor pet that only goes outside. Following are differential diagnoses, listed in order of likeliness, for patients presented with epistaxis. Most acute or sudden nosebleeds are caused by simple trauma or by upper respiratory. Results suggested that epistaxis was a common disorder in dogs and frequently regarded as an. So, you are at home with your pet and a bloody nose starts and does not seem to be stopping. In 56 dogs, epistaxis was found to be secondary to a systemic disease: A careful, thorough physical examination is essential to prioritize the diagnostic differentials in dogs and cats. Leishmaniasis, ehrlichiosis, rodenticide toxicity, immune. The dog is an indoor pet that only goes outside. Epistaxis is one of the most dramatic presenting complaints in small animal medicine. The face should be examined for visual or palpable asymmetry and bony. Here are some tips to get the. Fortunately, despite the owner’s impression, the amount of. Epistaxis in dogs can be extremely unsettling for the pet owner.
From www.studocu.com
Epistaxis causes and management List the most common causes of Epistaxis Dog Clinician's Brief Most acute or sudden nosebleeds are caused by simple trauma or by upper respiratory. Fortunately, despite the owner’s impression, the amount of. In 56 dogs, epistaxis was found to be secondary to a systemic disease: The dog is an indoor pet that only goes outside. So, you are at home with your pet and a bloody nose starts and does. Epistaxis Dog Clinician's Brief.
From ppemedical.com
Epistaxis Management Epistaxis Dog Clinician's Brief Epistaxis in dogs can be extremely unsettling for the pet owner. Results suggested that epistaxis was a common disorder in dogs and frequently regarded as an. Most acute or sudden nosebleeds are caused by simple trauma or by upper respiratory. Leishmaniasis, ehrlichiosis, rodenticide toxicity, immune. Here are some tips to get the. Epistaxis is one of the most dramatic presenting. Epistaxis Dog Clinician's Brief.
From www.cliniciansbrief.com
Surgical Strategies Digit Amputations Clinician's Brief Epistaxis Dog Clinician's Brief Epistaxis in dogs can be extremely unsettling for the pet owner. The dog is an indoor pet that only goes outside. Epistaxis is one of the most dramatic presenting complaints in small animal medicine. So, you are at home with your pet and a bloody nose starts and does not seem to be stopping. Most acute or sudden nosebleeds are. Epistaxis Dog Clinician's Brief.
From www.cliniciansbrief.com
Blastomycosis in an Intact Male Dog Clinician's Brief Epistaxis Dog Clinician's Brief Here are some tips to get the. Results suggested that epistaxis was a common disorder in dogs and frequently regarded as an. So, you are at home with your pet and a bloody nose starts and does not seem to be stopping. The face should be examined for visual or palpable asymmetry and bony. The dog is an indoor pet. Epistaxis Dog Clinician's Brief.
From www.cliniciansbrief.com
How to Perform Hind Leg Amputation in Dogs Clinician's Brief Epistaxis Dog Clinician's Brief Epistaxis in dogs can be extremely unsettling for the pet owner. Here are some tips to get the. So, you are at home with your pet and a bloody nose starts and does not seem to be stopping. Epistaxis is one of the most dramatic presenting complaints in small animal medicine. In 56 dogs, epistaxis was found to be secondary. Epistaxis Dog Clinician's Brief.
From www.cliniciansbrief.com
EBP Causing Chronic Coughing in a Dog Clinician's Brief Epistaxis Dog Clinician's Brief A careful, thorough physical examination is essential to prioritize the diagnostic differentials in dogs and cats. Most acute or sudden nosebleeds are caused by simple trauma or by upper respiratory. The dog is an indoor pet that only goes outside. Following are differential diagnoses, listed in order of likeliness, for patients presented with epistaxis. Fortunately, despite the owner’s impression, the. Epistaxis Dog Clinician's Brief.
From www.cliniciansbrief.com
Chronic & Persistent Coughing in a Dog Clinician's Brief Epistaxis Dog Clinician's Brief Fortunately, despite the owner’s impression, the amount of. The face should be examined for visual or palpable asymmetry and bony. Epistaxis is one of the most dramatic presenting complaints in small animal medicine. A careful, thorough physical examination is essential to prioritize the diagnostic differentials in dogs and cats. Following are differential diagnoses, listed in order of likeliness, for patients. Epistaxis Dog Clinician's Brief.
From organitzemxtu.com
Causas de hemorragias nasales en perros Organitzem Epistaxis Dog Clinician's Brief So, you are at home with your pet and a bloody nose starts and does not seem to be stopping. Fortunately, despite the owner’s impression, the amount of. A careful, thorough physical examination is essential to prioritize the diagnostic differentials in dogs and cats. The face should be examined for visual or palpable asymmetry and bony. Leishmaniasis, ehrlichiosis, rodenticide toxicity,. Epistaxis Dog Clinician's Brief.
From www.cliniciansbrief.com
Intermittent Back Pain in a Young Dog Clinician's Brief Epistaxis Dog Clinician's Brief Epistaxis in dogs can be extremely unsettling for the pet owner. A careful, thorough physical examination is essential to prioritize the diagnostic differentials in dogs and cats. Most acute or sudden nosebleeds are caused by simple trauma or by upper respiratory. Epistaxis is one of the most dramatic presenting complaints in small animal medicine. Leishmaniasis, ehrlichiosis, rodenticide toxicity, immune. In. Epistaxis Dog Clinician's Brief.
From ar.inspiredpencil.com
Epistaxis Pack Epistaxis Dog Clinician's Brief Leishmaniasis, ehrlichiosis, rodenticide toxicity, immune. The face should be examined for visual or palpable asymmetry and bony. Fortunately, despite the owner’s impression, the amount of. Epistaxis in dogs can be extremely unsettling for the pet owner. Here are some tips to get the. Following are differential diagnoses, listed in order of likeliness, for patients presented with epistaxis. A careful, thorough. Epistaxis Dog Clinician's Brief.
From www.prepladder.com
EPISTAXIS Causes and Management NEET PG ENT Epistaxis Dog Clinician's Brief Most acute or sudden nosebleeds are caused by simple trauma or by upper respiratory. The face should be examined for visual or palpable asymmetry and bony. Results suggested that epistaxis was a common disorder in dogs and frequently regarded as an. Following are differential diagnoses, listed in order of likeliness, for patients presented with epistaxis. Epistaxis in dogs can be. Epistaxis Dog Clinician's Brief.
From www.cliniciansbrief.com
Front Leg Amputation in a Dog Clinician's Brief Epistaxis Dog Clinician's Brief A careful, thorough physical examination is essential to prioritize the diagnostic differentials in dogs and cats. In 56 dogs, epistaxis was found to be secondary to a systemic disease: Epistaxis in dogs can be extremely unsettling for the pet owner. Leishmaniasis, ehrlichiosis, rodenticide toxicity, immune. The dog is an indoor pet that only goes outside. Fortunately, despite the owner’s impression,. Epistaxis Dog Clinician's Brief.
From www.scribd.com
Epistaxis PDF Epistaxis Dog Clinician's Brief The dog is an indoor pet that only goes outside. Here are some tips to get the. Following are differential diagnoses, listed in order of likeliness, for patients presented with epistaxis. In 56 dogs, epistaxis was found to be secondary to a systemic disease: Epistaxis is one of the most dramatic presenting complaints in small animal medicine. Epistaxis in dogs. Epistaxis Dog Clinician's Brief.
From www.cliniciansbrief.com
Chronic & Persistent Coughing in a Dog Clinician's Brief Epistaxis Dog Clinician's Brief Most acute or sudden nosebleeds are caused by simple trauma or by upper respiratory. So, you are at home with your pet and a bloody nose starts and does not seem to be stopping. In 56 dogs, epistaxis was found to be secondary to a systemic disease: Epistaxis in dogs can be extremely unsettling for the pet owner. Here are. Epistaxis Dog Clinician's Brief.
From www.studocu.com
Epistaxis Key disease entity Epistaxis Definition Epistaxis is Epistaxis Dog Clinician's Brief Epistaxis is one of the most dramatic presenting complaints in small animal medicine. The dog is an indoor pet that only goes outside. Results suggested that epistaxis was a common disorder in dogs and frequently regarded as an. Fortunately, despite the owner’s impression, the amount of. Here are some tips to get the. Following are differential diagnoses, listed in order. Epistaxis Dog Clinician's Brief.
From www.cliniciansbrief.com
Multiple Oral Pathologies in a Dog Clinician's Brief Epistaxis Dog Clinician's Brief The face should be examined for visual or palpable asymmetry and bony. The dog is an indoor pet that only goes outside. Here are some tips to get the. Leishmaniasis, ehrlichiosis, rodenticide toxicity, immune. So, you are at home with your pet and a bloody nose starts and does not seem to be stopping. Epistaxis is one of the most. Epistaxis Dog Clinician's Brief.
From www.prepladder.com
Epistaxis Anatomy, Classification and Management Epistaxis Dog Clinician's Brief Fortunately, despite the owner’s impression, the amount of. Following are differential diagnoses, listed in order of likeliness, for patients presented with epistaxis. Epistaxis in dogs can be extremely unsettling for the pet owner. Here are some tips to get the. Most acute or sudden nosebleeds are caused by simple trauma or by upper respiratory. The dog is an indoor pet. Epistaxis Dog Clinician's Brief.
From www.cliniciansbrief.com
Chronic & Persistent Coughing in a Dog Clinician's Brief Epistaxis Dog Clinician's Brief Most acute or sudden nosebleeds are caused by simple trauma or by upper respiratory. In 56 dogs, epistaxis was found to be secondary to a systemic disease: Epistaxis is one of the most dramatic presenting complaints in small animal medicine. Leishmaniasis, ehrlichiosis, rodenticide toxicity, immune. Here are some tips to get the. Results suggested that epistaxis was a common disorder. Epistaxis Dog Clinician's Brief.
From www.freepik.com
Premium Photo Epistaxis is a nosebleed caused either by injury or Epistaxis Dog Clinician's Brief In 56 dogs, epistaxis was found to be secondary to a systemic disease: Epistaxis is one of the most dramatic presenting complaints in small animal medicine. Leishmaniasis, ehrlichiosis, rodenticide toxicity, immune. A careful, thorough physical examination is essential to prioritize the diagnostic differentials in dogs and cats. Results suggested that epistaxis was a common disorder in dogs and frequently regarded. Epistaxis Dog Clinician's Brief.
From www.cliniciansbrief.com
StepbyStep The Neurologic Examination Clinician's Brief Epistaxis Dog Clinician's Brief Results suggested that epistaxis was a common disorder in dogs and frequently regarded as an. The dog is an indoor pet that only goes outside. Leishmaniasis, ehrlichiosis, rodenticide toxicity, immune. Following are differential diagnoses, listed in order of likeliness, for patients presented with epistaxis. Most acute or sudden nosebleeds are caused by simple trauma or by upper respiratory. A careful,. Epistaxis Dog Clinician's Brief.
From www.slideshare.net
Cb july 11 web 3 navc clinician brief july 2011 capsule Epistaxis Dog Clinician's Brief So, you are at home with your pet and a bloody nose starts and does not seem to be stopping. Following are differential diagnoses, listed in order of likeliness, for patients presented with epistaxis. Here are some tips to get the. In 56 dogs, epistaxis was found to be secondary to a systemic disease: Epistaxis is one of the most. Epistaxis Dog Clinician's Brief.
From www.pinterest.com.mx
Epistaxis Pathophysiology nursing, Top nursing schools, Medical Epistaxis Dog Clinician's Brief Leishmaniasis, ehrlichiosis, rodenticide toxicity, immune. Here are some tips to get the. Results suggested that epistaxis was a common disorder in dogs and frequently regarded as an. So, you are at home with your pet and a bloody nose starts and does not seem to be stopping. Fortunately, despite the owner’s impression, the amount of. In 56 dogs, epistaxis was. Epistaxis Dog Clinician's Brief.
From www.udocz.com
Epistaxis Dr.Villanueva uDocz Epistaxis Dog Clinician's Brief So, you are at home with your pet and a bloody nose starts and does not seem to be stopping. Leishmaniasis, ehrlichiosis, rodenticide toxicity, immune. Fortunately, despite the owner’s impression, the amount of. Epistaxis is one of the most dramatic presenting complaints in small animal medicine. A careful, thorough physical examination is essential to prioritize the diagnostic differentials in dogs. Epistaxis Dog Clinician's Brief.
From www.youtube.com
NOSE BLEEDING ba si doggy mo? Thats what we call, EPISTAXIS! YouTube Epistaxis Dog Clinician's Brief Fortunately, despite the owner’s impression, the amount of. In 56 dogs, epistaxis was found to be secondary to a systemic disease: Results suggested that epistaxis was a common disorder in dogs and frequently regarded as an. The dog is an indoor pet that only goes outside. Most acute or sudden nosebleeds are caused by simple trauma or by upper respiratory.. Epistaxis Dog Clinician's Brief.
From www.vetlexicon.com
Fentanyl (transdermal patch) in Dogs (Canis) Vetlexicon Epistaxis Dog Clinician's Brief So, you are at home with your pet and a bloody nose starts and does not seem to be stopping. A careful, thorough physical examination is essential to prioritize the diagnostic differentials in dogs and cats. Epistaxis in dogs can be extremely unsettling for the pet owner. Fortunately, despite the owner’s impression, the amount of. Most acute or sudden nosebleeds. Epistaxis Dog Clinician's Brief.
From www.vetscraft.com
Haemorrhage and its management Veterinary General Surgery Epistaxis Dog Clinician's Brief The dog is an indoor pet that only goes outside. So, you are at home with your pet and a bloody nose starts and does not seem to be stopping. The face should be examined for visual or palpable asymmetry and bony. Following are differential diagnoses, listed in order of likeliness, for patients presented with epistaxis. Leishmaniasis, ehrlichiosis, rodenticide toxicity,. Epistaxis Dog Clinician's Brief.
From www.osmosis.org
Epistaxis What Is It, Types, Causes, Prevention, Treatment, and More Epistaxis Dog Clinician's Brief Following are differential diagnoses, listed in order of likeliness, for patients presented with epistaxis. In 56 dogs, epistaxis was found to be secondary to a systemic disease: Epistaxis is one of the most dramatic presenting complaints in small animal medicine. Here are some tips to get the. Most acute or sudden nosebleeds are caused by simple trauma or by upper. Epistaxis Dog Clinician's Brief.
From www.cliniciansbrief.com
Discospondylitis Causing Back Pain in a Dog Clinician's Brief Epistaxis Dog Clinician's Brief In 56 dogs, epistaxis was found to be secondary to a systemic disease: Following are differential diagnoses, listed in order of likeliness, for patients presented with epistaxis. Epistaxis is one of the most dramatic presenting complaints in small animal medicine. Here are some tips to get the. So, you are at home with your pet and a bloody nose starts. Epistaxis Dog Clinician's Brief.
From digital.cliniciansbrief.com
Polypoid Cystitis Causing Recurrent Hematuria in a Dog Clinician's Brief Epistaxis Dog Clinician's Brief So, you are at home with your pet and a bloody nose starts and does not seem to be stopping. Epistaxis in dogs can be extremely unsettling for the pet owner. The dog is an indoor pet that only goes outside. In 56 dogs, epistaxis was found to be secondary to a systemic disease: The face should be examined for. Epistaxis Dog Clinician's Brief.
From www.cliniciansbrief.com
Treatment for Foreign Body Induced Esophagitis in a Dog Clinician’s Brief Epistaxis Dog Clinician's Brief Here are some tips to get the. Most acute or sudden nosebleeds are caused by simple trauma or by upper respiratory. Results suggested that epistaxis was a common disorder in dogs and frequently regarded as an. In 56 dogs, epistaxis was found to be secondary to a systemic disease: Epistaxis is one of the most dramatic presenting complaints in small. Epistaxis Dog Clinician's Brief.
From bvajournals.onlinelibrary.wiley.com
Epistaxis associated with Angiostrongylus vasorum infection in a dog Epistaxis Dog Clinician's Brief A careful, thorough physical examination is essential to prioritize the diagnostic differentials in dogs and cats. Epistaxis in dogs can be extremely unsettling for the pet owner. Following are differential diagnoses, listed in order of likeliness, for patients presented with epistaxis. So, you are at home with your pet and a bloody nose starts and does not seem to be. Epistaxis Dog Clinician's Brief.
From www.semanticscholar.org
Epistaxis and hemostatic devices. Semantic Scholar Epistaxis Dog Clinician's Brief Here are some tips to get the. Leishmaniasis, ehrlichiosis, rodenticide toxicity, immune. The face should be examined for visual or palpable asymmetry and bony. A careful, thorough physical examination is essential to prioritize the diagnostic differentials in dogs and cats. Most acute or sudden nosebleeds are caused by simple trauma or by upper respiratory. Following are differential diagnoses, listed in. Epistaxis Dog Clinician's Brief.
From preview.cliniciansbrief.com
Blastomycosis in an Intact Male Dog Clinician's Brief Epistaxis Dog Clinician's Brief Epistaxis in dogs can be extremely unsettling for the pet owner. Results suggested that epistaxis was a common disorder in dogs and frequently regarded as an. Following are differential diagnoses, listed in order of likeliness, for patients presented with epistaxis. Epistaxis is one of the most dramatic presenting complaints in small animal medicine. Most acute or sudden nosebleeds are caused. Epistaxis Dog Clinician's Brief.
From www.cliniciansbrief.com
Demodicosis & Secondary Bacterial Folliculitis in a Dog Clinician's Brief Epistaxis Dog Clinician's Brief Leishmaniasis, ehrlichiosis, rodenticide toxicity, immune. Fortunately, despite the owner’s impression, the amount of. The dog is an indoor pet that only goes outside. Most acute or sudden nosebleeds are caused by simple trauma or by upper respiratory. Epistaxis in dogs can be extremely unsettling for the pet owner. The face should be examined for visual or palpable asymmetry and bony.. Epistaxis Dog Clinician's Brief.
From www.cliniciansbrief.com
Identifying Canine Hindlimb Lameness Clinician’s Brief Epistaxis Dog Clinician's Brief Results suggested that epistaxis was a common disorder in dogs and frequently regarded as an. In 56 dogs, epistaxis was found to be secondary to a systemic disease: So, you are at home with your pet and a bloody nose starts and does not seem to be stopping. Most acute or sudden nosebleeds are caused by simple trauma or by. Epistaxis Dog Clinician's Brief.