Paget's Disease Testicles . The scrotum is part of the male genitalia that hold the testicles. Paget’s disease of the scrotum is an extremely rare form of paget’s disease, with an. A relatively rare intraepidermal adenocarcinoma, extramammary paget's disease (empd) is associated with varied clinical. Extramammary paget disease (empd) is a rare intraepithelial malignancy that originates from the skin or the regions rich in apocrine glands. It is rare in males, although the disease affects both males and females (4, 5). The most common location of empd is the vulvar, followed by the perianal region, and finally male genitalia (6, 7). Extramammary paget’s disease (empd) is a rare intraepithelial malignancy arising in areas rich in apocrine glands, such as the.
from www.pathologyoutlines.com
Paget’s disease of the scrotum is an extremely rare form of paget’s disease, with an. It is rare in males, although the disease affects both males and females (4, 5). A relatively rare intraepidermal adenocarcinoma, extramammary paget's disease (empd) is associated with varied clinical. The most common location of empd is the vulvar, followed by the perianal region, and finally male genitalia (6, 7). Extramammary paget’s disease (empd) is a rare intraepithelial malignancy arising in areas rich in apocrine glands, such as the. The scrotum is part of the male genitalia that hold the testicles. Extramammary paget disease (empd) is a rare intraepithelial malignancy that originates from the skin or the regions rich in apocrine glands.
Pathology Outlines Extramammary Paget disease
Paget's Disease Testicles The most common location of empd is the vulvar, followed by the perianal region, and finally male genitalia (6, 7). A relatively rare intraepidermal adenocarcinoma, extramammary paget's disease (empd) is associated with varied clinical. The scrotum is part of the male genitalia that hold the testicles. It is rare in males, although the disease affects both males and females (4, 5). Extramammary paget disease (empd) is a rare intraepithelial malignancy that originates from the skin or the regions rich in apocrine glands. Paget’s disease of the scrotum is an extremely rare form of paget’s disease, with an. The most common location of empd is the vulvar, followed by the perianal region, and finally male genitalia (6, 7). Extramammary paget’s disease (empd) is a rare intraepithelial malignancy arising in areas rich in apocrine glands, such as the.
From www.researchgate.net
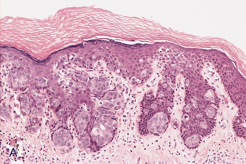
Histopathology of scrotal extramammary Paget disease in case 2. (2A Paget's Disease Testicles A relatively rare intraepidermal adenocarcinoma, extramammary paget's disease (empd) is associated with varied clinical. Extramammary paget’s disease (empd) is a rare intraepithelial malignancy arising in areas rich in apocrine glands, such as the. Paget’s disease of the scrotum is an extremely rare form of paget’s disease, with an. It is rare in males, although the disease affects both males and. Paget's Disease Testicles.
From www.pathologyoutlines.com
Pathology Outlines Extramammary Paget disease Paget's Disease Testicles It is rare in males, although the disease affects both males and females (4, 5). Extramammary paget disease (empd) is a rare intraepithelial malignancy that originates from the skin or the regions rich in apocrine glands. A relatively rare intraepidermal adenocarcinoma, extramammary paget's disease (empd) is associated with varied clinical. The most common location of empd is the vulvar, followed. Paget's Disease Testicles.
From www.goldjournal.net
Extramammary Paget's Disease of Scrotum Treated With Radiotherapy Urology Paget's Disease Testicles It is rare in males, although the disease affects both males and females (4, 5). A relatively rare intraepidermal adenocarcinoma, extramammary paget's disease (empd) is associated with varied clinical. Extramammary paget disease (empd) is a rare intraepithelial malignancy that originates from the skin or the regions rich in apocrine glands. Extramammary paget’s disease (empd) is a rare intraepithelial malignancy arising. Paget's Disease Testicles.
From www.semanticscholar.org
Figure 1 from Metastatic Extramammary Paget's Disease of Scrotum Paget's Disease Testicles A relatively rare intraepidermal adenocarcinoma, extramammary paget's disease (empd) is associated with varied clinical. The most common location of empd is the vulvar, followed by the perianal region, and finally male genitalia (6, 7). The scrotum is part of the male genitalia that hold the testicles. It is rare in males, although the disease affects both males and females (4,. Paget's Disease Testicles.
From www.semanticscholar.org
Figure 1 from Clinicopathologic characteristics of extramammary Paget's Paget's Disease Testicles The scrotum is part of the male genitalia that hold the testicles. Paget’s disease of the scrotum is an extremely rare form of paget’s disease, with an. Extramammary paget disease (empd) is a rare intraepithelial malignancy that originates from the skin or the regions rich in apocrine glands. Extramammary paget’s disease (empd) is a rare intraepithelial malignancy arising in areas. Paget's Disease Testicles.
From www.researchgate.net
(PDF) Two cases of Paget’s disease of scrotum in biological brothers Paget's Disease Testicles Extramammary paget disease (empd) is a rare intraepithelial malignancy that originates from the skin or the regions rich in apocrine glands. It is rare in males, although the disease affects both males and females (4, 5). A relatively rare intraepidermal adenocarcinoma, extramammary paget's disease (empd) is associated with varied clinical. The scrotum is part of the male genitalia that hold. Paget's Disease Testicles.
From casereports.bmj.com
Extramammary Paget’s disease of the scrotum with complete response to Paget's Disease Testicles Paget’s disease of the scrotum is an extremely rare form of paget’s disease, with an. It is rare in males, although the disease affects both males and females (4, 5). Extramammary paget disease (empd) is a rare intraepithelial malignancy that originates from the skin or the regions rich in apocrine glands. The scrotum is part of the male genitalia that. Paget's Disease Testicles.
From community.bulksupplements.com
Paget's Disease Symptoms, Causes & Treatment Paget's Disease Testicles Extramammary paget disease (empd) is a rare intraepithelial malignancy that originates from the skin or the regions rich in apocrine glands. Paget’s disease of the scrotum is an extremely rare form of paget’s disease, with an. Extramammary paget’s disease (empd) is a rare intraepithelial malignancy arising in areas rich in apocrine glands, such as the. A relatively rare intraepidermal adenocarcinoma,. Paget's Disease Testicles.
From www.researchgate.net
(PDF) Sonographic findings of massforming extramammary paget’s disease Paget's Disease Testicles Extramammary paget’s disease (empd) is a rare intraepithelial malignancy arising in areas rich in apocrine glands, such as the. The scrotum is part of the male genitalia that hold the testicles. Paget’s disease of the scrotum is an extremely rare form of paget’s disease, with an. Extramammary paget disease (empd) is a rare intraepithelial malignancy that originates from the skin. Paget's Disease Testicles.
From www.dovemed.com
Extramammary Paget’s Disease (EMPD) arising in the Scrotum DoveMed Paget's Disease Testicles The scrotum is part of the male genitalia that hold the testicles. It is rare in males, although the disease affects both males and females (4, 5). A relatively rare intraepidermal adenocarcinoma, extramammary paget's disease (empd) is associated with varied clinical. Extramammary paget disease (empd) is a rare intraepithelial malignancy that originates from the skin or the regions rich in. Paget's Disease Testicles.
From www.semanticscholar.org
Figure 1 from Brain metastasis from extramammary Paget’s disease of the Paget's Disease Testicles Extramammary paget disease (empd) is a rare intraepithelial malignancy that originates from the skin or the regions rich in apocrine glands. Extramammary paget’s disease (empd) is a rare intraepithelial malignancy arising in areas rich in apocrine glands, such as the. A relatively rare intraepidermal adenocarcinoma, extramammary paget's disease (empd) is associated with varied clinical. The scrotum is part of the. Paget's Disease Testicles.
From www.pathologyoutlines.com
Pathology Outlines Extramammary Paget disease Paget's Disease Testicles The most common location of empd is the vulvar, followed by the perianal region, and finally male genitalia (6, 7). Extramammary paget disease (empd) is a rare intraepithelial malignancy that originates from the skin or the regions rich in apocrine glands. It is rare in males, although the disease affects both males and females (4, 5). The scrotum is part. Paget's Disease Testicles.
From escholarship.org
Extramammary Paget disease Paget's Disease Testicles Extramammary paget’s disease (empd) is a rare intraepithelial malignancy arising in areas rich in apocrine glands, such as the. A relatively rare intraepidermal adenocarcinoma, extramammary paget's disease (empd) is associated with varied clinical. It is rare in males, although the disease affects both males and females (4, 5). The most common location of empd is the vulvar, followed by the. Paget's Disease Testicles.
From www.pathologyoutlines.com
Pathology Outlines Extramammary Paget disease Paget's Disease Testicles A relatively rare intraepidermal adenocarcinoma, extramammary paget's disease (empd) is associated with varied clinical. Extramammary paget’s disease (empd) is a rare intraepithelial malignancy arising in areas rich in apocrine glands, such as the. Paget’s disease of the scrotum is an extremely rare form of paget’s disease, with an. It is rare in males, although the disease affects both males and. Paget's Disease Testicles.
From www.pathologyoutlines.com
Pathology Outlines Extramammary Paget disease Paget's Disease Testicles Extramammary paget disease (empd) is a rare intraepithelial malignancy that originates from the skin or the regions rich in apocrine glands. Paget’s disease of the scrotum is an extremely rare form of paget’s disease, with an. The most common location of empd is the vulvar, followed by the perianal region, and finally male genitalia (6, 7). The scrotum is part. Paget's Disease Testicles.
From www.scribd.com
Extramammary Paget's Disease of The Scrotum, M 30, Scrotum PDF Paget's Disease Testicles The most common location of empd is the vulvar, followed by the perianal region, and finally male genitalia (6, 7). A relatively rare intraepidermal adenocarcinoma, extramammary paget's disease (empd) is associated with varied clinical. It is rare in males, although the disease affects both males and females (4, 5). Paget’s disease of the scrotum is an extremely rare form of. Paget's Disease Testicles.
From www.jaadcasereports.org
Extramammary Paget disease of the axilla and scrotum in a Caucasian man Paget's Disease Testicles The most common location of empd is the vulvar, followed by the perianal region, and finally male genitalia (6, 7). Paget’s disease of the scrotum is an extremely rare form of paget’s disease, with an. It is rare in males, although the disease affects both males and females (4, 5). A relatively rare intraepidermal adenocarcinoma, extramammary paget's disease (empd) is. Paget's Disease Testicles.
From www.pathologyoutlines.com
Pathology Outlines Extramammary Paget disease Paget's Disease Testicles A relatively rare intraepidermal adenocarcinoma, extramammary paget's disease (empd) is associated with varied clinical. It is rare in males, although the disease affects both males and females (4, 5). Extramammary paget disease (empd) is a rare intraepithelial malignancy that originates from the skin or the regions rich in apocrine glands. The most common location of empd is the vulvar, followed. Paget's Disease Testicles.
From www.researchgate.net
(PDF) Extramammary Paget's Disease Involving the Scrotum and Umbilicus Paget's Disease Testicles It is rare in males, although the disease affects both males and females (4, 5). The most common location of empd is the vulvar, followed by the perianal region, and finally male genitalia (6, 7). Extramammary paget’s disease (empd) is a rare intraepithelial malignancy arising in areas rich in apocrine glands, such as the. A relatively rare intraepidermal adenocarcinoma, extramammary. Paget's Disease Testicles.
From www.pathologyoutlines.com
Pathology Outlines Extramammary Paget disease Paget's Disease Testicles Extramammary paget disease (empd) is a rare intraepithelial malignancy that originates from the skin or the regions rich in apocrine glands. A relatively rare intraepidermal adenocarcinoma, extramammary paget's disease (empd) is associated with varied clinical. The scrotum is part of the male genitalia that hold the testicles. It is rare in males, although the disease affects both males and females. Paget's Disease Testicles.
From www.dovemed.com
Paget’s Disease of the Scrotum DoveMed Paget's Disease Testicles The most common location of empd is the vulvar, followed by the perianal region, and finally male genitalia (6, 7). Extramammary paget’s disease (empd) is a rare intraepithelial malignancy arising in areas rich in apocrine glands, such as the. Paget’s disease of the scrotum is an extremely rare form of paget’s disease, with an. The scrotum is part of the. Paget's Disease Testicles.
From kikoxp.com
Extramammary Paget disease (presents as chronic "rash" in vulva Paget's Disease Testicles Paget’s disease of the scrotum is an extremely rare form of paget’s disease, with an. The most common location of empd is the vulvar, followed by the perianal region, and finally male genitalia (6, 7). The scrotum is part of the male genitalia that hold the testicles. A relatively rare intraepidermal adenocarcinoma, extramammary paget's disease (empd) is associated with varied. Paget's Disease Testicles.
From www.researchgate.net
(a) Skin and left scrotum involvement of the extramammary Paget's Paget's Disease Testicles Extramammary paget’s disease (empd) is a rare intraepithelial malignancy arising in areas rich in apocrine glands, such as the. The most common location of empd is the vulvar, followed by the perianal region, and finally male genitalia (6, 7). Extramammary paget disease (empd) is a rare intraepithelial malignancy that originates from the skin or the regions rich in apocrine glands.. Paget's Disease Testicles.
From www.semanticscholar.org
Figure 2 from Extramammary Paget's disease of the penis and scrotum Paget's Disease Testicles Paget’s disease of the scrotum is an extremely rare form of paget’s disease, with an. A relatively rare intraepidermal adenocarcinoma, extramammary paget's disease (empd) is associated with varied clinical. Extramammary paget disease (empd) is a rare intraepithelial malignancy that originates from the skin or the regions rich in apocrine glands. It is rare in males, although the disease affects both. Paget's Disease Testicles.
From www.semanticscholar.org
Figure 2 from Extramammary Paget's disease of the scrotum associated Paget's Disease Testicles A relatively rare intraepidermal adenocarcinoma, extramammary paget's disease (empd) is associated with varied clinical. The most common location of empd is the vulvar, followed by the perianal region, and finally male genitalia (6, 7). It is rare in males, although the disease affects both males and females (4, 5). Extramammary paget disease (empd) is a rare intraepithelial malignancy that originates. Paget's Disease Testicles.
From community.bulksupplements.com
Paget's Disease Symptoms, Causes & Treatment Paget's Disease Testicles Extramammary paget disease (empd) is a rare intraepithelial malignancy that originates from the skin or the regions rich in apocrine glands. The scrotum is part of the male genitalia that hold the testicles. Paget’s disease of the scrotum is an extremely rare form of paget’s disease, with an. A relatively rare intraepidermal adenocarcinoma, extramammary paget's disease (empd) is associated with. Paget's Disease Testicles.
From www.pathologyoutlines.com
Pathology Outlines Extramammary Paget disease Paget's Disease Testicles The most common location of empd is the vulvar, followed by the perianal region, and finally male genitalia (6, 7). A relatively rare intraepidermal adenocarcinoma, extramammary paget's disease (empd) is associated with varied clinical. Extramammary paget’s disease (empd) is a rare intraepithelial malignancy arising in areas rich in apocrine glands, such as the. The scrotum is part of the male. Paget's Disease Testicles.
From www.youtube.com
Extramammary Paget Disease 5Minute Pathology Pearls YouTube Paget's Disease Testicles The most common location of empd is the vulvar, followed by the perianal region, and finally male genitalia (6, 7). A relatively rare intraepidermal adenocarcinoma, extramammary paget's disease (empd) is associated with varied clinical. Extramammary paget disease (empd) is a rare intraepithelial malignancy that originates from the skin or the regions rich in apocrine glands. The scrotum is part of. Paget's Disease Testicles.
From www.pathologyoutlines.com
Pathology Outlines Extramammary Paget disease Paget's Disease Testicles Extramammary paget disease (empd) is a rare intraepithelial malignancy that originates from the skin or the regions rich in apocrine glands. The most common location of empd is the vulvar, followed by the perianal region, and finally male genitalia (6, 7). Paget’s disease of the scrotum is an extremely rare form of paget’s disease, with an. A relatively rare intraepidermal. Paget's Disease Testicles.
From www.researchgate.net
(PDF) Extramammary Paget's Disease of the Scrotum Associated with Paget's Disease Testicles It is rare in males, although the disease affects both males and females (4, 5). Paget’s disease of the scrotum is an extremely rare form of paget’s disease, with an. The most common location of empd is the vulvar, followed by the perianal region, and finally male genitalia (6, 7). Extramammary paget’s disease (empd) is a rare intraepithelial malignancy arising. Paget's Disease Testicles.
From www.nirujahealthtech.com
Paget's disease Signs & Symptoms Paget's Disease Testicles Paget’s disease of the scrotum is an extremely rare form of paget’s disease, with an. The scrotum is part of the male genitalia that hold the testicles. A relatively rare intraepidermal adenocarcinoma, extramammary paget's disease (empd) is associated with varied clinical. Extramammary paget disease (empd) is a rare intraepithelial malignancy that originates from the skin or the regions rich in. Paget's Disease Testicles.
From www.academia.edu
(PDF) Extramammary Paget's disease of the scrotum treatment with Paget's Disease Testicles The most common location of empd is the vulvar, followed by the perianal region, and finally male genitalia (6, 7). Extramammary paget disease (empd) is a rare intraepithelial malignancy that originates from the skin or the regions rich in apocrine glands. It is rare in males, although the disease affects both males and females (4, 5). The scrotum is part. Paget's Disease Testicles.
From www.myempd.com
En savoir plus sur la maladie de Paget extramammaire — Paget's Disease Testicles It is rare in males, although the disease affects both males and females (4, 5). The scrotum is part of the male genitalia that hold the testicles. Paget’s disease of the scrotum is an extremely rare form of paget’s disease, with an. A relatively rare intraepidermal adenocarcinoma, extramammary paget's disease (empd) is associated with varied clinical. Extramammary paget disease (empd). Paget's Disease Testicles.
From www.pathologyoutlines.com
Pathology Outlines Extramammary Paget disease Paget's Disease Testicles Paget’s disease of the scrotum is an extremely rare form of paget’s disease, with an. Extramammary paget’s disease (empd) is a rare intraepithelial malignancy arising in areas rich in apocrine glands, such as the. The most common location of empd is the vulvar, followed by the perianal region, and finally male genitalia (6, 7). It is rare in males, although. Paget's Disease Testicles.
From www.semanticscholar.org
Figure 2 from Bilateral inguinal positive sentinel lymph node Paget's Disease Testicles It is rare in males, although the disease affects both males and females (4, 5). The scrotum is part of the male genitalia that hold the testicles. Extramammary paget’s disease (empd) is a rare intraepithelial malignancy arising in areas rich in apocrine glands, such as the. The most common location of empd is the vulvar, followed by the perianal region,. Paget's Disease Testicles.