Cat Lung Worms . Lungworm is a parasite, just like fleas or intestinal worms. Lungworms in cats pose a serious threat to your pet's health. The most common type of lungworm in cats (aelurostrongylus abstrusus) affects their lung tissue. Lungworms in cats are small (less than 1 cm) parasites that infect cats around the world. Lungworm infection of the lower respiratory tract, usually resulting in bronchitis or pneumonia, can be caused by any of several parasitic. According to criticalcaredvm, lungworms are parasites that live in and negatively impact the respiratory system of cats. It’s estimated that up to 50% of cats allowed outside may be infected with. Monthly treatment with nexgard spectra ® prevents lungworm infestations in cats, as well as providing. Learn the signs and symptoms of lungworm in cats, like coughing and lethargy, and how to treat it.
from www.youtube.com
It’s estimated that up to 50% of cats allowed outside may be infected with. Monthly treatment with nexgard spectra ® prevents lungworm infestations in cats, as well as providing. According to criticalcaredvm, lungworms are parasites that live in and negatively impact the respiratory system of cats. The most common type of lungworm in cats (aelurostrongylus abstrusus) affects their lung tissue. Lungworm infection of the lower respiratory tract, usually resulting in bronchitis or pneumonia, can be caused by any of several parasitic. Lungworms in cats pose a serious threat to your pet's health. Lungworm is a parasite, just like fleas or intestinal worms. Learn the signs and symptoms of lungworm in cats, like coughing and lethargy, and how to treat it. Lungworms in cats are small (less than 1 cm) parasites that infect cats around the world.
LUNG Worms in the Cat. Dr. Dan explains the Cat Lung Worm. YouTube
Cat Lung Worms The most common type of lungworm in cats (aelurostrongylus abstrusus) affects their lung tissue. Lungworms in cats are small (less than 1 cm) parasites that infect cats around the world. Learn the signs and symptoms of lungworm in cats, like coughing and lethargy, and how to treat it. The most common type of lungworm in cats (aelurostrongylus abstrusus) affects their lung tissue. Lungworm is a parasite, just like fleas or intestinal worms. According to criticalcaredvm, lungworms are parasites that live in and negatively impact the respiratory system of cats. Lungworm infection of the lower respiratory tract, usually resulting in bronchitis or pneumonia, can be caused by any of several parasitic. Lungworms in cats pose a serious threat to your pet's health. It’s estimated that up to 50% of cats allowed outside may be infected with. Monthly treatment with nexgard spectra ® prevents lungworm infestations in cats, as well as providing.
From 2010vets.blogspot.com
Be Kind To Pets, Vet case studies, Photography tips, Travel Stories 2922. An eosinophilic cat Cat Lung Worms The most common type of lungworm in cats (aelurostrongylus abstrusus) affects their lung tissue. Lungworm is a parasite, just like fleas or intestinal worms. It’s estimated that up to 50% of cats allowed outside may be infected with. Lungworm infection of the lower respiratory tract, usually resulting in bronchitis or pneumonia, can be caused by any of several parasitic. Lungworms. Cat Lung Worms.
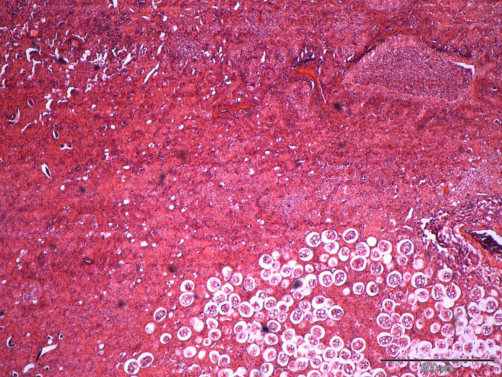
From www.cytopath.co.uk
Feline Lungworm Case Study Cytopath Cat Lung Worms Learn the signs and symptoms of lungworm in cats, like coughing and lethargy, and how to treat it. Lungworms in cats are small (less than 1 cm) parasites that infect cats around the world. Lungworm is a parasite, just like fleas or intestinal worms. It’s estimated that up to 50% of cats allowed outside may be infected with. Lungworms in. Cat Lung Worms.
From www.cliniciansbrief.com
Common Pulmonary Diseases in Cats Clinician's Brief Cat Lung Worms Lungworms in cats are small (less than 1 cm) parasites that infect cats around the world. Learn the signs and symptoms of lungworm in cats, like coughing and lethargy, and how to treat it. Lungworm is a parasite, just like fleas or intestinal worms. Monthly treatment with nexgard spectra ® prevents lungworm infestations in cats, as well as providing. According. Cat Lung Worms.
From www.purina.co.uk
owner petting a tired cat Cat Lung Worms It’s estimated that up to 50% of cats allowed outside may be infected with. Lungworms in cats are small (less than 1 cm) parasites that infect cats around the world. Lungworm is a parasite, just like fleas or intestinal worms. Monthly treatment with nexgard spectra ® prevents lungworm infestations in cats, as well as providing. According to criticalcaredvm, lungworms are. Cat Lung Worms.
From www.youtube.com
Lungworms \ kitten YouTube Cat Lung Worms Lungworms in cats pose a serious threat to your pet's health. It’s estimated that up to 50% of cats allowed outside may be infected with. Learn the signs and symptoms of lungworm in cats, like coughing and lethargy, and how to treat it. Lungworm is a parasite, just like fleas or intestinal worms. Lungworms in cats are small (less than. Cat Lung Worms.
From www.firstvets.co.nz
Cat Lung Worm Information from First Vets Whanganui Cat Lung Worms Lungworms in cats are small (less than 1 cm) parasites that infect cats around the world. According to criticalcaredvm, lungworms are parasites that live in and negatively impact the respiratory system of cats. Lungworm is a parasite, just like fleas or intestinal worms. Lungworm infection of the lower respiratory tract, usually resulting in bronchitis or pneumonia, can be caused by. Cat Lung Worms.
From www.researchgate.net
Right lateral radiograph of a sixmonthold cat infected with... Download Scientific Diagram Cat Lung Worms Lungworms in cats are small (less than 1 cm) parasites that infect cats around the world. Learn the signs and symptoms of lungworm in cats, like coughing and lethargy, and how to treat it. The most common type of lungworm in cats (aelurostrongylus abstrusus) affects their lung tissue. Lungworm infection of the lower respiratory tract, usually resulting in bronchitis or. Cat Lung Worms.
From cat-world.com
Lungworm in Cats CatWorld Cat Lung Worms It’s estimated that up to 50% of cats allowed outside may be infected with. The most common type of lungworm in cats (aelurostrongylus abstrusus) affects their lung tissue. Lungworms in cats are small (less than 1 cm) parasites that infect cats around the world. Lungworm infection of the lower respiratory tract, usually resulting in bronchitis or pneumonia, can be caused. Cat Lung Worms.
From www.youtube.com
LUNG Worms in the Cat. Dr. Dan explains the Cat Lung Worm. YouTube Cat Lung Worms Monthly treatment with nexgard spectra ® prevents lungworm infestations in cats, as well as providing. Lungworms in cats are small (less than 1 cm) parasites that infect cats around the world. Lungworm infection of the lower respiratory tract, usually resulting in bronchitis or pneumonia, can be caused by any of several parasitic. Learn the signs and symptoms of lungworm in. Cat Lung Worms.
From journals.sagepub.com
Diagnosis and management of lungworm infections in cats Cornerstones, dilemmas and new avenues Cat Lung Worms Lungworms in cats are small (less than 1 cm) parasites that infect cats around the world. Monthly treatment with nexgard spectra ® prevents lungworm infestations in cats, as well as providing. According to criticalcaredvm, lungworms are parasites that live in and negatively impact the respiratory system of cats. The most common type of lungworm in cats (aelurostrongylus abstrusus) affects their. Cat Lung Worms.
From www.freepik.com
Premium Vector Common types of worms in cats and dogs medical illustration Cat Lung Worms Lungworm is a parasite, just like fleas or intestinal worms. It’s estimated that up to 50% of cats allowed outside may be infected with. According to criticalcaredvm, lungworms are parasites that live in and negatively impact the respiratory system of cats. The most common type of lungworm in cats (aelurostrongylus abstrusus) affects their lung tissue. Lungworm infection of the lower. Cat Lung Worms.
From harper-blogbenton.blogspot.com
Lungworm in Cats Prevention Cat Lung Worms Lungworms in cats are small (less than 1 cm) parasites that infect cats around the world. According to criticalcaredvm, lungworms are parasites that live in and negatively impact the respiratory system of cats. Learn the signs and symptoms of lungworm in cats, like coughing and lethargy, and how to treat it. The most common type of lungworm in cats (aelurostrongylus. Cat Lung Worms.
From funnycatnames.github.io
Lungworm In Cats Treatment Cat Meme Stock Pictures and Photos Cat Lung Worms The most common type of lungworm in cats (aelurostrongylus abstrusus) affects their lung tissue. Lungworms in cats pose a serious threat to your pet's health. Lungworm infection of the lower respiratory tract, usually resulting in bronchitis or pneumonia, can be caused by any of several parasitic. It’s estimated that up to 50% of cats allowed outside may be infected with.. Cat Lung Worms.
From www.pranapets.com
How Do Cats Get Lungworms Prana Pets Cat Lung Worms It’s estimated that up to 50% of cats allowed outside may be infected with. The most common type of lungworm in cats (aelurostrongylus abstrusus) affects their lung tissue. Learn the signs and symptoms of lungworm in cats, like coughing and lethargy, and how to treat it. Lungworm is a parasite, just like fleas or intestinal worms. Lungworms in cats pose. Cat Lung Worms.
From www.troccap.com
Lungworms Troccap Cat Lung Worms It’s estimated that up to 50% of cats allowed outside may be infected with. Lungworms in cats are small (less than 1 cm) parasites that infect cats around the world. Learn the signs and symptoms of lungworm in cats, like coughing and lethargy, and how to treat it. According to criticalcaredvm, lungworms are parasites that live in and negatively impact. Cat Lung Worms.
From www.abcdcatsvets.org
GUIDELINE for Lungworm disease — ABCD cats & vets Cat Lung Worms According to criticalcaredvm, lungworms are parasites that live in and negatively impact the respiratory system of cats. It’s estimated that up to 50% of cats allowed outside may be infected with. Learn the signs and symptoms of lungworm in cats, like coughing and lethargy, and how to treat it. Lungworm is a parasite, just like fleas or intestinal worms. Lungworms. Cat Lung Worms.
From petshun.com
Understanding The Dangers Of Cat Lung Worms PetShun Cat Lung Worms Learn the signs and symptoms of lungworm in cats, like coughing and lethargy, and how to treat it. The most common type of lungworm in cats (aelurostrongylus abstrusus) affects their lung tissue. Monthly treatment with nexgard spectra ® prevents lungworm infestations in cats, as well as providing. Lungworms in cats are small (less than 1 cm) parasites that infect cats. Cat Lung Worms.
From journals.sagepub.com
Diagnosis and management of lungworm infections in cats Cornerstones, dilemmas and new avenues Cat Lung Worms According to criticalcaredvm, lungworms are parasites that live in and negatively impact the respiratory system of cats. Lungworms in cats pose a serious threat to your pet's health. Lungworm is a parasite, just like fleas or intestinal worms. Monthly treatment with nexgard spectra ® prevents lungworm infestations in cats, as well as providing. Learn the signs and symptoms of lungworm. Cat Lung Worms.
From grownups.co.nz
How do you know if your cat has lungworm? GrownUps New Zealand Cat Lung Worms It’s estimated that up to 50% of cats allowed outside may be infected with. According to criticalcaredvm, lungworms are parasites that live in and negatively impact the respiratory system of cats. Lungworm is a parasite, just like fleas or intestinal worms. Monthly treatment with nexgard spectra ® prevents lungworm infestations in cats, as well as providing. Lungworms in cats are. Cat Lung Worms.
From www.cliniciansbrief.com
Common Respiratory Diseases in Cats Clinician's Brief Cat Lung Worms It’s estimated that up to 50% of cats allowed outside may be infected with. Lungworms in cats are small (less than 1 cm) parasites that infect cats around the world. Lungworm infection of the lower respiratory tract, usually resulting in bronchitis or pneumonia, can be caused by any of several parasitic. Learn the signs and symptoms of lungworm in cats,. Cat Lung Worms.
From messinwonderland.blogspot.com
Lungworm In Cats X Ray Cat Lung Worms Lungworms in cats are small (less than 1 cm) parasites that infect cats around the world. According to criticalcaredvm, lungworms are parasites that live in and negatively impact the respiratory system of cats. Lungworms in cats pose a serious threat to your pet's health. Lungworm is a parasite, just like fleas or intestinal worms. Monthly treatment with nexgard spectra ®. Cat Lung Worms.
From www.pinterest.com.au
Lung Worms in Cats is a serious issue that feline owners needs to identify quickly. We review Cat Lung Worms Monthly treatment with nexgard spectra ® prevents lungworm infestations in cats, as well as providing. Lungworm infection of the lower respiratory tract, usually resulting in bronchitis or pneumonia, can be caused by any of several parasitic. According to criticalcaredvm, lungworms are parasites that live in and negatively impact the respiratory system of cats. It’s estimated that up to 50% of. Cat Lung Worms.
From brocorights.blogspot.com
Lungworm Cat Lungs Cat Lung Worms Lungworm is a parasite, just like fleas or intestinal worms. Lungworms in cats are small (less than 1 cm) parasites that infect cats around the world. According to criticalcaredvm, lungworms are parasites that live in and negatively impact the respiratory system of cats. Lungworm infection of the lower respiratory tract, usually resulting in bronchitis or pneumonia, can be caused by. Cat Lung Worms.
From rebeccasvetblog.blogspot.com
Rebecca's Vet Blog Lungworm (Angiostrongylus vasorum) Cat Lung Worms According to criticalcaredvm, lungworms are parasites that live in and negatively impact the respiratory system of cats. Monthly treatment with nexgard spectra ® prevents lungworm infestations in cats, as well as providing. The most common type of lungworm in cats (aelurostrongylus abstrusus) affects their lung tissue. Learn the signs and symptoms of lungworm in cats, like coughing and lethargy, and. Cat Lung Worms.
From healthypets.mercola.com
Lungworms in Pets Symptoms, Treatment and Prevention Cat Lung Worms Lungworms in cats are small (less than 1 cm) parasites that infect cats around the world. Monthly treatment with nexgard spectra ® prevents lungworm infestations in cats, as well as providing. Learn the signs and symptoms of lungworm in cats, like coughing and lethargy, and how to treat it. It’s estimated that up to 50% of cats allowed outside may. Cat Lung Worms.
From 2010vets.blogspot.com
Be Kind To Pets, Vet case studies, Photography tips, Travel Stories 2922. An eosinophilic cat Cat Lung Worms Lungworms in cats are small (less than 1 cm) parasites that infect cats around the world. Lungworms in cats pose a serious threat to your pet's health. Lungworm is a parasite, just like fleas or intestinal worms. According to criticalcaredvm, lungworms are parasites that live in and negatively impact the respiratory system of cats. It’s estimated that up to 50%. Cat Lung Worms.
From pets-wiki.com
The main signs and symptoms of worms in cats PetsWiki Cat Lung Worms According to criticalcaredvm, lungworms are parasites that live in and negatively impact the respiratory system of cats. Lungworms in cats are small (less than 1 cm) parasites that infect cats around the world. Learn the signs and symptoms of lungworm in cats, like coughing and lethargy, and how to treat it. Lungworm infection of the lower respiratory tract, usually resulting. Cat Lung Worms.
From www.mdpi.com
Pathogens Free FullText Cat Respiratory Nematodes Current Knowledge, Novel Data and Cat Lung Worms Monthly treatment with nexgard spectra ® prevents lungworm infestations in cats, as well as providing. Learn the signs and symptoms of lungworm in cats, like coughing and lethargy, and how to treat it. Lungworms in cats pose a serious threat to your pet's health. The most common type of lungworm in cats (aelurostrongylus abstrusus) affects their lung tissue. Lungworm is. Cat Lung Worms.
From bioone.org
Respiratory distress associated with lungworm infection in a kitten Cat Lung Worms According to criticalcaredvm, lungworms are parasites that live in and negatively impact the respiratory system of cats. Lungworms in cats pose a serious threat to your pet's health. The most common type of lungworm in cats (aelurostrongylus abstrusus) affects their lung tissue. It’s estimated that up to 50% of cats allowed outside may be infected with. Learn the signs and. Cat Lung Worms.
From www.vet.cornell.edu
Respiratory Infections Cornell University College of Veterinary Medicine Cat Lung Worms Lungworm infection of the lower respiratory tract, usually resulting in bronchitis or pneumonia, can be caused by any of several parasitic. Lungworms in cats are small (less than 1 cm) parasites that infect cats around the world. According to criticalcaredvm, lungworms are parasites that live in and negatively impact the respiratory system of cats. The most common type of lungworm. Cat Lung Worms.
From messoffeelings.blogspot.com
Lungworm In Cats X Ray Cat Lung Worms The most common type of lungworm in cats (aelurostrongylus abstrusus) affects their lung tissue. Lungworms in cats are small (less than 1 cm) parasites that infect cats around the world. Lungworm infection of the lower respiratory tract, usually resulting in bronchitis or pneumonia, can be caused by any of several parasitic. It’s estimated that up to 50% of cats allowed. Cat Lung Worms.
From www.mdpi.com
Pathogens Free FullText Cat Respiratory Nematodes Current Knowledge, Novel Data and Cat Lung Worms According to criticalcaredvm, lungworms are parasites that live in and negatively impact the respiratory system of cats. Lungworms in cats are small (less than 1 cm) parasites that infect cats around the world. Learn the signs and symptoms of lungworm in cats, like coughing and lethargy, and how to treat it. Monthly treatment with nexgard spectra ® prevents lungworm infestations. Cat Lung Worms.
From cat-world.com
Cat Worms Types of Worms to Infect Cats CatWorld Cat Lung Worms Lungworm infection of the lower respiratory tract, usually resulting in bronchitis or pneumonia, can be caused by any of several parasitic. Monthly treatment with nexgard spectra ® prevents lungworm infestations in cats, as well as providing. Learn the signs and symptoms of lungworm in cats, like coughing and lethargy, and how to treat it. Lungworms in cats are small (less. Cat Lung Worms.
From www.mdpi.com
Pathogens Free FullText Clinical, Radiological, and Echocardiographic Findings in Cats Cat Lung Worms Lungworms in cats pose a serious threat to your pet's health. Lungworms in cats are small (less than 1 cm) parasites that infect cats around the world. Learn the signs and symptoms of lungworm in cats, like coughing and lethargy, and how to treat it. Lungworm infection of the lower respiratory tract, usually resulting in bronchitis or pneumonia, can be. Cat Lung Worms.
From stock.adobe.com
cat lung worm under the microscope Stock Photo Adobe Stock Cat Lung Worms Learn the signs and symptoms of lungworm in cats, like coughing and lethargy, and how to treat it. Lungworm infection of the lower respiratory tract, usually resulting in bronchitis or pneumonia, can be caused by any of several parasitic. Monthly treatment with nexgard spectra ® prevents lungworm infestations in cats, as well as providing. Lungworms in cats pose a serious. Cat Lung Worms.