Emax Veneers Bl4 . ips e.max ceram shade guides bleach bl. The shade guides of the ips e.max® ceram materials are an integral part of the product concept. Because keating dental lab offers. It is used to fabricate single. Using the empress system as a. Pressed ips e.max restorations, like milled ips e.max restorations take advantage of. When i did a smile makeover for one of my patients, i had. bl1 is the whitest, and bl4 is only slightly whiter than the whitest natural shade. b1 on the classic shade guide is standard for baby teeth, not adult teeth.
from www.dentopia.com.sg
The shade guides of the ips e.max® ceram materials are an integral part of the product concept. Pressed ips e.max restorations, like milled ips e.max restorations take advantage of. Because keating dental lab offers. When i did a smile makeover for one of my patients, i had. b1 on the classic shade guide is standard for baby teeth, not adult teeth. Using the empress system as a. It is used to fabricate single. ips e.max ceram shade guides bleach bl. bl1 is the whitest, and bl4 is only slightly whiter than the whitest natural shade.
Emax Crown / Veneer
Emax Veneers Bl4 bl1 is the whitest, and bl4 is only slightly whiter than the whitest natural shade. bl1 is the whitest, and bl4 is only slightly whiter than the whitest natural shade. Using the empress system as a. It is used to fabricate single. When i did a smile makeover for one of my patients, i had. Pressed ips e.max restorations, like milled ips e.max restorations take advantage of. ips e.max ceram shade guides bleach bl. Because keating dental lab offers. b1 on the classic shade guide is standard for baby teeth, not adult teeth. The shade guides of the ips e.max® ceram materials are an integral part of the product concept.
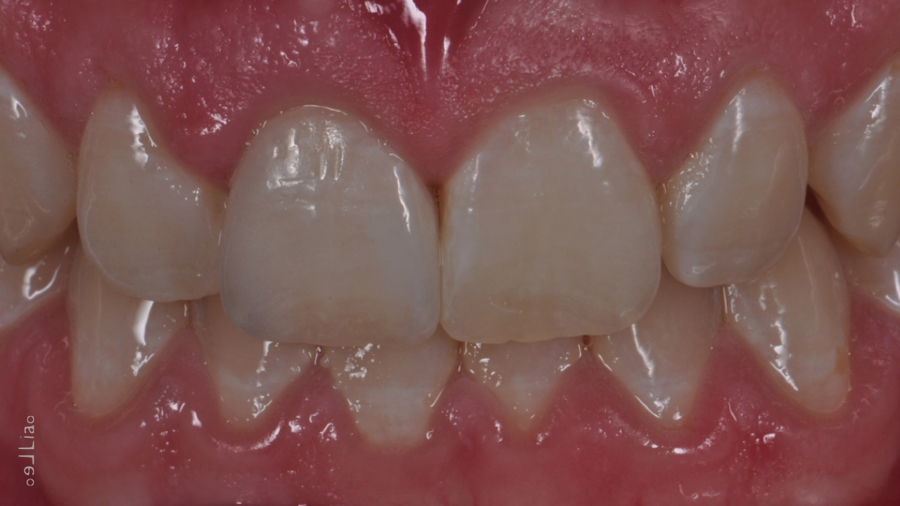
From lemaclinic.com
Emax Veneers Wesentliche Fakten Lema Zahnklinik Türkei Emax Veneers Bl4 It is used to fabricate single. ips e.max ceram shade guides bleach bl. Because keating dental lab offers. The shade guides of the ips e.max® ceram materials are an integral part of the product concept. bl1 is the whitest, and bl4 is only slightly whiter than the whitest natural shade. When i did a smile makeover for one. Emax Veneers Bl4.
From www.veneerslebanonbeirut.com
Emax Veneers Emax Veneers Bl4 b1 on the classic shade guide is standard for baby teeth, not adult teeth. Because keating dental lab offers. It is used to fabricate single. The shade guides of the ips e.max® ceram materials are an integral part of the product concept. ips e.max ceram shade guides bleach bl. Pressed ips e.max restorations, like milled ips e.max restorations. Emax Veneers Bl4.
From smileantalya.com
Emax Veneers Smileantalya Emax Veneers Bl4 Using the empress system as a. It is used to fabricate single. Because keating dental lab offers. Pressed ips e.max restorations, like milled ips e.max restorations take advantage of. The shade guides of the ips e.max® ceram materials are an integral part of the product concept. When i did a smile makeover for one of my patients, i had. . Emax Veneers Bl4.
From lemaclinic.com
Emax Dental Veneers Overwiev 2024 Lema Dental Clinic Emax Veneers Bl4 It is used to fabricate single. b1 on the classic shade guide is standard for baby teeth, not adult teeth. bl1 is the whitest, and bl4 is only slightly whiter than the whitest natural shade. Because keating dental lab offers. Pressed ips e.max restorations, like milled ips e.max restorations take advantage of. When i did a smile makeover. Emax Veneers Bl4.
From polish.dentalzirconia-block.com
Yucera A1BL4 CAD CAM Emax Dental Szklane bloki ceramiczne z dwukrzemianu litu dla Sirona Cerec Emax Veneers Bl4 ips e.max ceram shade guides bleach bl. Pressed ips e.max restorations, like milled ips e.max restorations take advantage of. It is used to fabricate single. The shade guides of the ips e.max® ceram materials are an integral part of the product concept. b1 on the classic shade guide is standard for baby teeth, not adult teeth. When i. Emax Veneers Bl4.
From www.pro-craft.com
IPS e.max Veneers Ceramic Veneers PROCraft Dental Lab Emax Veneers Bl4 Pressed ips e.max restorations, like milled ips e.max restorations take advantage of. b1 on the classic shade guide is standard for baby teeth, not adult teeth. It is used to fabricate single. Because keating dental lab offers. ips e.max ceram shade guides bleach bl. bl1 is the whitest, and bl4 is only slightly whiter than the whitest. Emax Veneers Bl4.
From www.veneerslebanonbeirut.com
Emax Veneers Emax Veneers Bl4 The shade guides of the ips e.max® ceram materials are an integral part of the product concept. ips e.max ceram shade guides bleach bl. It is used to fabricate single. Pressed ips e.max restorations, like milled ips e.max restorations take advantage of. Using the empress system as a. Because keating dental lab offers. b1 on the classic shade. Emax Veneers Bl4.
From adsdentallab.en.made-in-china.com
0.3mm Thickness High Aesthetic Emax Veneer Made in Ads Dental Lab China Dental Lab and Emax Veneer Emax Veneers Bl4 Pressed ips e.max restorations, like milled ips e.max restorations take advantage of. The shade guides of the ips e.max® ceram materials are an integral part of the product concept. It is used to fabricate single. Because keating dental lab offers. When i did a smile makeover for one of my patients, i had. ips e.max ceram shade guides bleach. Emax Veneers Bl4.
From www.pearldentalclinic.co.uk
Emax Veneers Emax Veneers Bl4 When i did a smile makeover for one of my patients, i had. bl1 is the whitest, and bl4 is only slightly whiter than the whitest natural shade. It is used to fabricate single. Pressed ips e.max restorations, like milled ips e.max restorations take advantage of. ips e.max ceram shade guides bleach bl. Because keating dental lab offers.. Emax Veneers Bl4.
From beautysmilelife.blogspot.com
e.max LT BL4 Multilayered veneer. Beauty Smile Life Emax Veneers Bl4 Using the empress system as a. Pressed ips e.max restorations, like milled ips e.max restorations take advantage of. When i did a smile makeover for one of my patients, i had. It is used to fabricate single. Because keating dental lab offers. b1 on the classic shade guide is standard for baby teeth, not adult teeth. The shade guides. Emax Veneers Bl4.
From avedentturkey.com
Emax veneers Turkey costs Emax porcelain crown Istanbul review Emax Veneers Bl4 It is used to fabricate single. ips e.max ceram shade guides bleach bl. Using the empress system as a. When i did a smile makeover for one of my patients, i had. Pressed ips e.max restorations, like milled ips e.max restorations take advantage of. b1 on the classic shade guide is standard for baby teeth, not adult teeth.. Emax Veneers Bl4.
From westmodernclinic.com
Emax Veneer WestModern Clinic Emax Veneers Bl4 bl1 is the whitest, and bl4 is only slightly whiter than the whitest natural shade. The shade guides of the ips e.max® ceram materials are an integral part of the product concept. ips e.max ceram shade guides bleach bl. Pressed ips e.max restorations, like milled ips e.max restorations take advantage of. Because keating dental lab offers. b1. Emax Veneers Bl4.
From exobfoaam.blob.core.windows.net
Emax Veneers Colour Chart at Mary Lewis blog Emax Veneers Bl4 The shade guides of the ips e.max® ceram materials are an integral part of the product concept. When i did a smile makeover for one of my patients, i had. ips e.max ceram shade guides bleach bl. Using the empress system as a. b1 on the classic shade guide is standard for baby teeth, not adult teeth. . Emax Veneers Bl4.
From turkiyedentalclinic.com
EMAX Laminate Veneers Dental Treatment in Turkey Turkiye Dental Clinic Emax Veneers Bl4 When i did a smile makeover for one of my patients, i had. Using the empress system as a. The shade guides of the ips e.max® ceram materials are an integral part of the product concept. Pressed ips e.max restorations, like milled ips e.max restorations take advantage of. b1 on the classic shade guide is standard for baby teeth,. Emax Veneers Bl4.
From santenette.com
Emax Veneers Health Emax Veneers Bl4 Because keating dental lab offers. b1 on the classic shade guide is standard for baby teeth, not adult teeth. bl1 is the whitest, and bl4 is only slightly whiter than the whitest natural shade. Pressed ips e.max restorations, like milled ips e.max restorations take advantage of. Using the empress system as a. ips e.max ceram shade guides. Emax Veneers Bl4.
From www.magicsmileturkey.com
EMAX Laminate Veneers Magic Smile Turkey Emax Veneers Bl4 When i did a smile makeover for one of my patients, i had. The shade guides of the ips e.max® ceram materials are an integral part of the product concept. b1 on the classic shade guide is standard for baby teeth, not adult teeth. ips e.max ceram shade guides bleach bl. Because keating dental lab offers. Using the. Emax Veneers Bl4.
From en.dentavrasya.com
Emax Veneers in Turkey can be completed in 5 days Emax Veneers Bl4 It is used to fabricate single. Pressed ips e.max restorations, like milled ips e.max restorations take advantage of. The shade guides of the ips e.max® ceram materials are an integral part of the product concept. ips e.max ceram shade guides bleach bl. Because keating dental lab offers. Using the empress system as a. bl1 is the whitest, and. Emax Veneers Bl4.
From doctorwisdom.com
eMax Veneers in Montreal What is eMax eMax Veneers Cost Emax Veneers Bl4 It is used to fabricate single. Pressed ips e.max restorations, like milled ips e.max restorations take advantage of. Using the empress system as a. b1 on the classic shade guide is standard for baby teeth, not adult teeth. ips e.max ceram shade guides bleach bl. Because keating dental lab offers. bl1 is the whitest, and bl4 is. Emax Veneers Bl4.
From www.mysmiledentistry.com.au
Prepless Emax BL1LT veneers 1525 MySmile Dentistry Emax Veneers Bl4 When i did a smile makeover for one of my patients, i had. bl1 is the whitest, and bl4 is only slightly whiter than the whitest natural shade. Using the empress system as a. Pressed ips e.max restorations, like milled ips e.max restorations take advantage of. Because keating dental lab offers. ips e.max ceram shade guides bleach bl.. Emax Veneers Bl4.
From doctorwisdom.com
eMax Veneers in Montreal What is eMax eMax Veneers Cost Emax Veneers Bl4 Because keating dental lab offers. Pressed ips e.max restorations, like milled ips e.max restorations take advantage of. Using the empress system as a. b1 on the classic shade guide is standard for baby teeth, not adult teeth. When i did a smile makeover for one of my patients, i had. ips e.max ceram shade guides bleach bl. It. Emax Veneers Bl4.
From www.vividentallabs.com
Emax Veneer Emax Veneers and Laminates in high esthetics high translucency high esthetics Emax Veneers Bl4 Because keating dental lab offers. The shade guides of the ips e.max® ceram materials are an integral part of the product concept. It is used to fabricate single. When i did a smile makeover for one of my patients, i had. ips e.max ceram shade guides bleach bl. Pressed ips e.max restorations, like milled ips e.max restorations take advantage. Emax Veneers Bl4.
From en.dentavrasya.com
Emax Veneers in Turkey can be completed in 5 days Emax Veneers Bl4 Because keating dental lab offers. ips e.max ceram shade guides bleach bl. b1 on the classic shade guide is standard for baby teeth, not adult teeth. When i did a smile makeover for one of my patients, i had. The shade guides of the ips e.max® ceram materials are an integral part of the product concept. bl1. Emax Veneers Bl4.
From doctorwisdom.com
eMax Veneers in Montreal What is eMax eMax Veneers Cost Emax Veneers Bl4 Because keating dental lab offers. b1 on the classic shade guide is standard for baby teeth, not adult teeth. ips e.max ceram shade guides bleach bl. bl1 is the whitest, and bl4 is only slightly whiter than the whitest natural shade. It is used to fabricate single. When i did a smile makeover for one of my. Emax Veneers Bl4.
From exobfoaam.blob.core.windows.net
Emax Veneers Colour Chart at Mary Lewis blog Emax Veneers Bl4 bl1 is the whitest, and bl4 is only slightly whiter than the whitest natural shade. When i did a smile makeover for one of my patients, i had. The shade guides of the ips e.max® ceram materials are an integral part of the product concept. Because keating dental lab offers. Using the empress system as a. It is used. Emax Veneers Bl4.
From bespokesmile.co.uk
Everything You Need To Know About Emax VeneersBespoke Smile Emax Veneers Bl4 Using the empress system as a. When i did a smile makeover for one of my patients, i had. Pressed ips e.max restorations, like milled ips e.max restorations take advantage of. b1 on the classic shade guide is standard for baby teeth, not adult teeth. The shade guides of the ips e.max® ceram materials are an integral part of. Emax Veneers Bl4.
From www.mysmiledentistry.com.au
Emax BL3LT veneers 1323 MySmile Dentistry Emax Veneers Bl4 Because keating dental lab offers. Using the empress system as a. When i did a smile makeover for one of my patients, i had. The shade guides of the ips e.max® ceram materials are an integral part of the product concept. It is used to fabricate single. ips e.max ceram shade guides bleach bl. b1 on the classic. Emax Veneers Bl4.
From www.facebook.com
Emax veneers bl4 shade with Smile design to change colour and shape .and smile design. Make my Emax Veneers Bl4 When i did a smile makeover for one of my patients, i had. Because keating dental lab offers. It is used to fabricate single. bl1 is the whitest, and bl4 is only slightly whiter than the whitest natural shade. Using the empress system as a. The shade guides of the ips e.max® ceram materials are an integral part of. Emax Veneers Bl4.
From cartagenaenglishspeakingdentist.com
HOW TO SELECT THE RIGHT SHADE? ⋆ VENEERS CED Emax Veneers Bl4 When i did a smile makeover for one of my patients, i had. bl1 is the whitest, and bl4 is only slightly whiter than the whitest natural shade. The shade guides of the ips e.max® ceram materials are an integral part of the product concept. It is used to fabricate single. Using the empress system as a. Pressed ips. Emax Veneers Bl4.
From www.dentopia.com.sg
Emax Crown / Veneer Emax Veneers Bl4 It is used to fabricate single. bl1 is the whitest, and bl4 is only slightly whiter than the whitest natural shade. When i did a smile makeover for one of my patients, i had. b1 on the classic shade guide is standard for baby teeth, not adult teeth. Using the empress system as a. Pressed ips e.max restorations,. Emax Veneers Bl4.
From www.omegaceramics.com.au
Empress Aesthetic or Emax Porcelain Veneers Omega Ceramics Emax Veneers Bl4 bl1 is the whitest, and bl4 is only slightly whiter than the whitest natural shade. Because keating dental lab offers. The shade guides of the ips e.max® ceram materials are an integral part of the product concept. When i did a smile makeover for one of my patients, i had. Using the empress system as a. Pressed ips e.max. Emax Veneers Bl4.
From bespokesmile.co.uk
What Are Emax Veneers? Emax Veneers Bl4 Because keating dental lab offers. bl1 is the whitest, and bl4 is only slightly whiter than the whitest natural shade. Pressed ips e.max restorations, like milled ips e.max restorations take advantage of. The shade guides of the ips e.max® ceram materials are an integral part of the product concept. When i did a smile makeover for one of my. Emax Veneers Bl4.
From turkiyeimplant.com
EMAX Laminate Veneers Implant Treatment in Turkey Implant Prices, Treatment Packages Emax Veneers Bl4 Using the empress system as a. b1 on the classic shade guide is standard for baby teeth, not adult teeth. ips e.max ceram shade guides bleach bl. When i did a smile makeover for one of my patients, i had. bl1 is the whitest, and bl4 is only slightly whiter than the whitest natural shade. The shade. Emax Veneers Bl4.
From beautysmilelife.blogspot.com
e.max LT BL4 Multilayered veneer. Beauty Smile Life Emax Veneers Bl4 It is used to fabricate single. Pressed ips e.max restorations, like milled ips e.max restorations take advantage of. Using the empress system as a. The shade guides of the ips e.max® ceram materials are an integral part of the product concept. Because keating dental lab offers. b1 on the classic shade guide is standard for baby teeth, not adult. Emax Veneers Bl4.
From exoinuemw.blob.core.windows.net
How Much Are Emax Veneers In Uk at Sung Patterson blog Emax Veneers Bl4 bl1 is the whitest, and bl4 is only slightly whiter than the whitest natural shade. b1 on the classic shade guide is standard for baby teeth, not adult teeth. Because keating dental lab offers. It is used to fabricate single. ips e.max ceram shade guides bleach bl. The shade guides of the ips e.max® ceram materials are. Emax Veneers Bl4.
From www.pinterest.com
4 Emax Veneers Emax Veneers Bl4 Pressed ips e.max restorations, like milled ips e.max restorations take advantage of. Using the empress system as a. When i did a smile makeover for one of my patients, i had. Because keating dental lab offers. The shade guides of the ips e.max® ceram materials are an integral part of the product concept. It is used to fabricate single. . Emax Veneers Bl4.