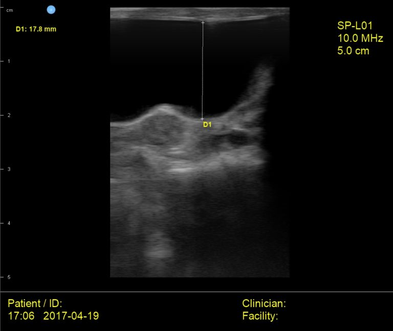
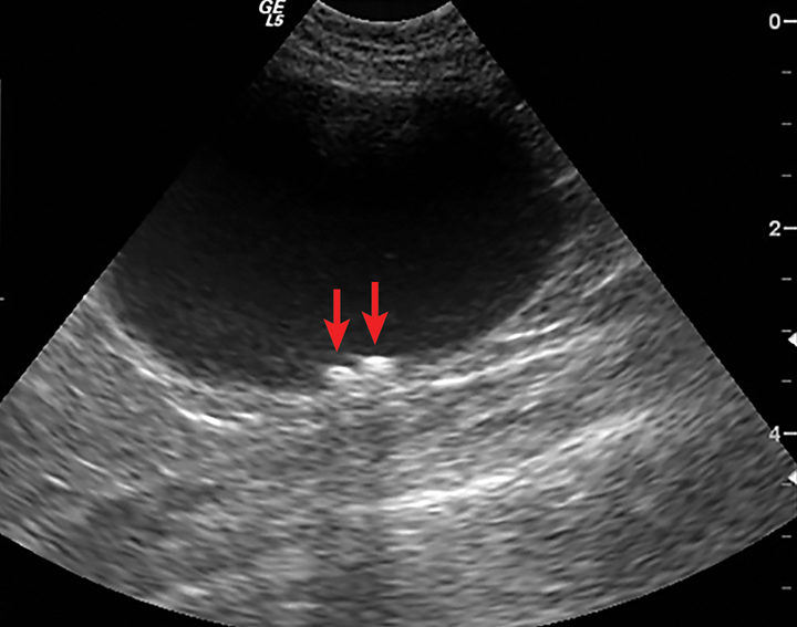
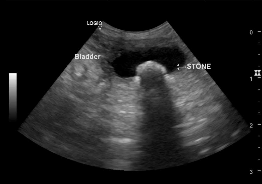
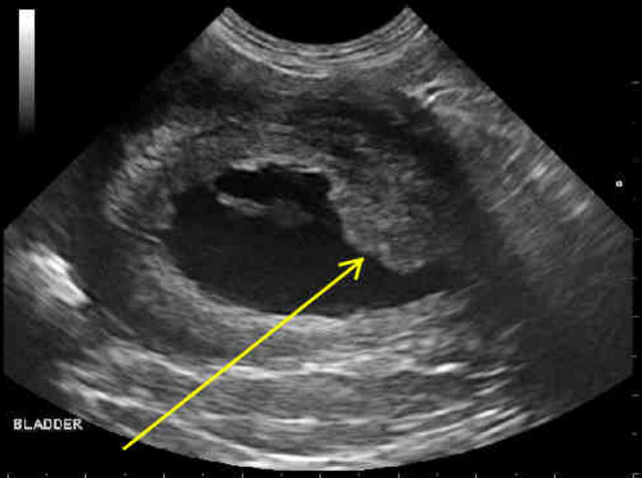
Cat Bladder Ultrasound . Therefore, do not let your cat urinate within three to six hours of the ultrasound procedure if possible. The biliary tree encompasses the liver, gall bladder and bile ducts, although only diseases affecting Ultrasound of the urinary bladder move the transducer caudally to a central and caudal abdominal position. Ultrasound examination of the kidneys and perinephric space can provide important information on several conditions including chronic renal disease, hydronephrosis and perinephric pseudocyst formation. The present study confirms that ultrasonography is an efficient imaging method for examination of lower urinary tract, but radiography and contrast cystography are still. The urinary bladder is best visualized if it is full of urine; Evaluate the urinary bladder in long and short axes (figure 14). Always evaluate the trigone area carefully, particularly as it
from fah-takahashi.com
Ultrasound examination of the kidneys and perinephric space can provide important information on several conditions including chronic renal disease, hydronephrosis and perinephric pseudocyst formation. The present study confirms that ultrasonography is an efficient imaging method for examination of lower urinary tract, but radiography and contrast cystography are still. The urinary bladder is best visualized if it is full of urine; Always evaluate the trigone area carefully, particularly as it Ultrasound of the urinary bladder move the transducer caudally to a central and caudal abdominal position. The biliary tree encompasses the liver, gall bladder and bile ducts, although only diseases affecting Evaluate the urinary bladder in long and short axes (figure 14). Therefore, do not let your cat urinate within three to six hours of the ultrasound procedure if possible.
【こんな症例も治りますシリーズ 575】 犬の『 膀胱の移行上皮がん 』も 適切な診断と治療で治します 大和市のCT完備の動物病院湘北
Cat Bladder Ultrasound The urinary bladder is best visualized if it is full of urine; Always evaluate the trigone area carefully, particularly as it The biliary tree encompasses the liver, gall bladder and bile ducts, although only diseases affecting Therefore, do not let your cat urinate within three to six hours of the ultrasound procedure if possible. The urinary bladder is best visualized if it is full of urine; Ultrasound examination of the kidneys and perinephric space can provide important information on several conditions including chronic renal disease, hydronephrosis and perinephric pseudocyst formation. Evaluate the urinary bladder in long and short axes (figure 14). Ultrasound of the urinary bladder move the transducer caudally to a central and caudal abdominal position. The present study confirms that ultrasonography is an efficient imaging method for examination of lower urinary tract, but radiography and contrast cystography are still.
From www.medstore.ie
Cat Bladder Model Medstore Cat Bladder Ultrasound The biliary tree encompasses the liver, gall bladder and bile ducts, although only diseases affecting Ultrasound of the urinary bladder move the transducer caudally to a central and caudal abdominal position. Therefore, do not let your cat urinate within three to six hours of the ultrasound procedure if possible. Ultrasound examination of the kidneys and perinephric space can provide important. Cat Bladder Ultrasound.
From www.veterinary-practice.com
Canine transitional cell carcinoma of the urinary bladder a focus on Cat Bladder Ultrasound The urinary bladder is best visualized if it is full of urine; Ultrasound examination of the kidneys and perinephric space can provide important information on several conditions including chronic renal disease, hydronephrosis and perinephric pseudocyst formation. Therefore, do not let your cat urinate within three to six hours of the ultrasound procedure if possible. Ultrasound of the urinary bladder move. Cat Bladder Ultrasound.
From journals.sagepub.com
Ultrasonographic features of a urinary bladder leiomyoma in a cat Cat Bladder Ultrasound Evaluate the urinary bladder in long and short axes (figure 14). The urinary bladder is best visualized if it is full of urine; The biliary tree encompasses the liver, gall bladder and bile ducts, although only diseases affecting Therefore, do not let your cat urinate within three to six hours of the ultrasound procedure if possible. Ultrasound examination of the. Cat Bladder Ultrasound.
From animalia-life.club
What Will A Dog Ultrasound Show Cat Bladder Ultrasound Evaluate the urinary bladder in long and short axes (figure 14). Always evaluate the trigone area carefully, particularly as it The biliary tree encompasses the liver, gall bladder and bile ducts, although only diseases affecting Ultrasound examination of the kidneys and perinephric space can provide important information on several conditions including chronic renal disease, hydronephrosis and perinephric pseudocyst formation. Therefore,. Cat Bladder Ultrasound.
From todaysveterinarypractice.com
Small Animal Abdominal Ultrasonography, Part 2 Liver and Gallbladder Cat Bladder Ultrasound Always evaluate the trigone area carefully, particularly as it Therefore, do not let your cat urinate within three to six hours of the ultrasound procedure if possible. The urinary bladder is best visualized if it is full of urine; The biliary tree encompasses the liver, gall bladder and bile ducts, although only diseases affecting Ultrasound examination of the kidneys and. Cat Bladder Ultrasound.
From www.mdpi.com
Veterinary Sciences Free FullText Pseudomembranous Cystitis An Cat Bladder Ultrasound Therefore, do not let your cat urinate within three to six hours of the ultrasound procedure if possible. Always evaluate the trigone area carefully, particularly as it Ultrasound examination of the kidneys and perinephric space can provide important information on several conditions including chronic renal disease, hydronephrosis and perinephric pseudocyst formation. Evaluate the urinary bladder in long and short axes. Cat Bladder Ultrasound.
From www.walkervillevet.com.au
Dog & Cat Adelaide Abdominal Ultrasound Walkerville Vet Cat Bladder Ultrasound Evaluate the urinary bladder in long and short axes (figure 14). Always evaluate the trigone area carefully, particularly as it Ultrasound of the urinary bladder move the transducer caudally to a central and caudal abdominal position. The urinary bladder is best visualized if it is full of urine; The present study confirms that ultrasonography is an efficient imaging method for. Cat Bladder Ultrasound.
From pocusjournal.com
Delayed Iatrogenic Bladder Rupture Diagnosed by POCUS in the Emergency Cat Bladder Ultrasound Therefore, do not let your cat urinate within three to six hours of the ultrasound procedure if possible. The biliary tree encompasses the liver, gall bladder and bile ducts, although only diseases affecting Ultrasound of the urinary bladder move the transducer caudally to a central and caudal abdominal position. Always evaluate the trigone area carefully, particularly as it Evaluate the. Cat Bladder Ultrasound.
From ar.inspiredpencil.com
Normal Bladder Ultrasound Cat Bladder Ultrasound Evaluate the urinary bladder in long and short axes (figure 14). Ultrasound examination of the kidneys and perinephric space can provide important information on several conditions including chronic renal disease, hydronephrosis and perinephric pseudocyst formation. Ultrasound of the urinary bladder move the transducer caudally to a central and caudal abdominal position. Therefore, do not let your cat urinate within three. Cat Bladder Ultrasound.
From todaysveterinarypractice.com
Small Animal Abdominal Ultrasonography, The Urinary Tract Urinary Cat Bladder Ultrasound The biliary tree encompasses the liver, gall bladder and bile ducts, although only diseases affecting The urinary bladder is best visualized if it is full of urine; Evaluate the urinary bladder in long and short axes (figure 14). Ultrasound examination of the kidneys and perinephric space can provide important information on several conditions including chronic renal disease, hydronephrosis and perinephric. Cat Bladder Ultrasound.
From pocusjournal.com
Delayed Iatrogenic Bladder Rupture Diagnosed by POCUS in the Emergency Cat Bladder Ultrasound Always evaluate the trigone area carefully, particularly as it Ultrasound examination of the kidneys and perinephric space can provide important information on several conditions including chronic renal disease, hydronephrosis and perinephric pseudocyst formation. The present study confirms that ultrasonography is an efficient imaging method for examination of lower urinary tract, but radiography and contrast cystography are still. The biliary tree. Cat Bladder Ultrasound.
From www.youtube.com
Ureterocele left 4D ultrasound video YouTube Cat Bladder Ultrasound The urinary bladder is best visualized if it is full of urine; The biliary tree encompasses the liver, gall bladder and bile ducts, although only diseases affecting Ultrasound examination of the kidneys and perinephric space can provide important information on several conditions including chronic renal disease, hydronephrosis and perinephric pseudocyst formation. Evaluate the urinary bladder in long and short axes. Cat Bladder Ultrasound.
From www.joiipetcare.com
Blocked bladder in cats Joii Pet Care Cat Bladder Ultrasound The urinary bladder is best visualized if it is full of urine; The present study confirms that ultrasonography is an efficient imaging method for examination of lower urinary tract, but radiography and contrast cystography are still. Evaluate the urinary bladder in long and short axes (figure 14). Therefore, do not let your cat urinate within three to six hours of. Cat Bladder Ultrasound.
From journals.sagepub.com
Feline abdominal ultrasonography What’s normal? What’s abnormal? Renal Cat Bladder Ultrasound Evaluate the urinary bladder in long and short axes (figure 14). The present study confirms that ultrasonography is an efficient imaging method for examination of lower urinary tract, but radiography and contrast cystography are still. The urinary bladder is best visualized if it is full of urine; Always evaluate the trigone area carefully, particularly as it Ultrasound of the urinary. Cat Bladder Ultrasound.
From interson.com
Interson Cat Bladder Ultrasound Image Interson Corporation Cat Bladder Ultrasound The urinary bladder is best visualized if it is full of urine; Therefore, do not let your cat urinate within three to six hours of the ultrasound procedure if possible. Always evaluate the trigone area carefully, particularly as it Ultrasound examination of the kidneys and perinephric space can provide important information on several conditions including chronic renal disease, hydronephrosis and. Cat Bladder Ultrasound.
From www.pdsa.org.uk
Blocked Bladder in cats PDSA Cat Bladder Ultrasound Ultrasound examination of the kidneys and perinephric space can provide important information on several conditions including chronic renal disease, hydronephrosis and perinephric pseudocyst formation. Evaluate the urinary bladder in long and short axes (figure 14). Therefore, do not let your cat urinate within three to six hours of the ultrasound procedure if possible. The biliary tree encompasses the liver, gall. Cat Bladder Ultrasound.
From bioone.org
Gallbladder adenoma in a domestic shorthair cat Cat Bladder Ultrasound Evaluate the urinary bladder in long and short axes (figure 14). Always evaluate the trigone area carefully, particularly as it Ultrasound examination of the kidneys and perinephric space can provide important information on several conditions including chronic renal disease, hydronephrosis and perinephric pseudocyst formation. The present study confirms that ultrasonography is an efficient imaging method for examination of lower urinary. Cat Bladder Ultrasound.
From journals.sagepub.com
Feline abdominal ultrasonography what’s normal? what’s abnormal? The Cat Bladder Ultrasound The present study confirms that ultrasonography is an efficient imaging method for examination of lower urinary tract, but radiography and contrast cystography are still. Therefore, do not let your cat urinate within three to six hours of the ultrasound procedure if possible. Ultrasound examination of the kidneys and perinephric space can provide important information on several conditions including chronic renal. Cat Bladder Ultrasound.
From kuelhoney.wixsite.com
息肉性膀胱炎 Cat Bladder Ultrasound Evaluate the urinary bladder in long and short axes (figure 14). Therefore, do not let your cat urinate within three to six hours of the ultrasound procedure if possible. The biliary tree encompasses the liver, gall bladder and bile ducts, although only diseases affecting Ultrasound of the urinary bladder move the transducer caudally to a central and caudal abdominal position.. Cat Bladder Ultrasound.
From www.cliniciansbrief.com
Lower Urinary Tract Signs in a Cat Clinician's Brief Cat Bladder Ultrasound Therefore, do not let your cat urinate within three to six hours of the ultrasound procedure if possible. Evaluate the urinary bladder in long and short axes (figure 14). The urinary bladder is best visualized if it is full of urine; Ultrasound examination of the kidneys and perinephric space can provide important information on several conditions including chronic renal disease,. Cat Bladder Ultrasound.
From ar.inspiredpencil.com
Normal Bladder Ultrasound Cat Bladder Ultrasound The biliary tree encompasses the liver, gall bladder and bile ducts, although only diseases affecting The present study confirms that ultrasonography is an efficient imaging method for examination of lower urinary tract, but radiography and contrast cystography are still. Evaluate the urinary bladder in long and short axes (figure 14). Ultrasound examination of the kidneys and perinephric space can provide. Cat Bladder Ultrasound.
From www.researchgate.net
Ultrasound images of the left (A) and right (B) pancreatic limbs in a Cat Bladder Ultrasound The present study confirms that ultrasonography is an efficient imaging method for examination of lower urinary tract, but radiography and contrast cystography are still. Therefore, do not let your cat urinate within three to six hours of the ultrasound procedure if possible. Always evaluate the trigone area carefully, particularly as it Evaluate the urinary bladder in long and short axes. Cat Bladder Ultrasound.
From mavink.com
Bladder Cystitis Ultrasound Cat Bladder Ultrasound The present study confirms that ultrasonography is an efficient imaging method for examination of lower urinary tract, but radiography and contrast cystography are still. The urinary bladder is best visualized if it is full of urine; Ultrasound of the urinary bladder move the transducer caudally to a central and caudal abdominal position. Therefore, do not let your cat urinate within. Cat Bladder Ultrasound.
From www.tuftscatnip.com
How Ultrasound Can Help Your Cat Tufts Catnip Cat Bladder Ultrasound Always evaluate the trigone area carefully, particularly as it Ultrasound of the urinary bladder move the transducer caudally to a central and caudal abdominal position. Evaluate the urinary bladder in long and short axes (figure 14). The present study confirms that ultrasonography is an efficient imaging method for examination of lower urinary tract, but radiography and contrast cystography are still.. Cat Bladder Ultrasound.
From atelier-yuwa.ciao.jp
Feline Lower Urinary Tract Disease Wikipedia atelieryuwa.ciao.jp Cat Bladder Ultrasound Always evaluate the trigone area carefully, particularly as it Evaluate the urinary bladder in long and short axes (figure 14). Therefore, do not let your cat urinate within three to six hours of the ultrasound procedure if possible. Ultrasound of the urinary bladder move the transducer caudally to a central and caudal abdominal position. The urinary bladder is best visualized. Cat Bladder Ultrasound.
From journals.sagepub.com
Feline abdominal ultrasonography What’s normal? What’s abnormal? Renal Cat Bladder Ultrasound The present study confirms that ultrasonography is an efficient imaging method for examination of lower urinary tract, but radiography and contrast cystography are still. The biliary tree encompasses the liver, gall bladder and bile ducts, although only diseases affecting Ultrasound examination of the kidneys and perinephric space can provide important information on several conditions including chronic renal disease, hydronephrosis and. Cat Bladder Ultrasound.
From felinediabetes.com
Sprocket, Cystitis, got meds, still blood in urine, help, coming home Cat Bladder Ultrasound The urinary bladder is best visualized if it is full of urine; Ultrasound of the urinary bladder move the transducer caudally to a central and caudal abdominal position. The biliary tree encompasses the liver, gall bladder and bile ducts, although only diseases affecting Evaluate the urinary bladder in long and short axes (figure 14). Ultrasound examination of the kidneys and. Cat Bladder Ultrasound.
From www.cincoanimalhospital.com
Cinco Animal Hospital / Diagnostic Imaging Cat Bladder Ultrasound The biliary tree encompasses the liver, gall bladder and bile ducts, although only diseases affecting Evaluate the urinary bladder in long and short axes (figure 14). Therefore, do not let your cat urinate within three to six hours of the ultrasound procedure if possible. Always evaluate the trigone area carefully, particularly as it Ultrasound examination of the kidneys and perinephric. Cat Bladder Ultrasound.
From lakelandvetimaging.blogspot.com
Lakeland Veterinary Imaging My pet is urinating out of the litterbox Cat Bladder Ultrasound Therefore, do not let your cat urinate within three to six hours of the ultrasound procedure if possible. Ultrasound of the urinary bladder move the transducer caudally to a central and caudal abdominal position. Always evaluate the trigone area carefully, particularly as it Evaluate the urinary bladder in long and short axes (figure 14). The urinary bladder is best visualized. Cat Bladder Ultrasound.
From smallanimalultrasonography.com
Vesicourachal diverticulum in 2 cats Small Animal Ultrasonography Cat Bladder Ultrasound The present study confirms that ultrasonography is an efficient imaging method for examination of lower urinary tract, but radiography and contrast cystography are still. Ultrasound of the urinary bladder move the transducer caudally to a central and caudal abdominal position. The biliary tree encompasses the liver, gall bladder and bile ducts, although only diseases affecting Therefore, do not let your. Cat Bladder Ultrasound.
From animalia-life.club
What Happens When Dogs Gallbladder Ruptures Cat Bladder Ultrasound Ultrasound of the urinary bladder move the transducer caudally to a central and caudal abdominal position. Therefore, do not let your cat urinate within three to six hours of the ultrasound procedure if possible. Always evaluate the trigone area carefully, particularly as it The present study confirms that ultrasonography is an efficient imaging method for examination of lower urinary tract,. Cat Bladder Ultrasound.
From fah-takahashi.com
【こんな症例も治りますシリーズ 575】 犬の『 膀胱の移行上皮がん 』も 適切な診断と治療で治します 大和市のCT完備の動物病院湘北 Cat Bladder Ultrasound Ultrasound of the urinary bladder move the transducer caudally to a central and caudal abdominal position. The urinary bladder is best visualized if it is full of urine; Always evaluate the trigone area carefully, particularly as it Therefore, do not let your cat urinate within three to six hours of the ultrasound procedure if possible. Ultrasound examination of the kidneys. Cat Bladder Ultrasound.
From www.semanticscholar.org
Figure 1 from Ultrasound Evaluation of the Urinary Bladder in Dogs Cat Bladder Ultrasound The present study confirms that ultrasonography is an efficient imaging method for examination of lower urinary tract, but radiography and contrast cystography are still. Evaluate the urinary bladder in long and short axes (figure 14). Therefore, do not let your cat urinate within three to six hours of the ultrasound procedure if possible. Ultrasound of the urinary bladder move the. Cat Bladder Ultrasound.
From www.pinterest.com
Transitional cell carcinoma of the bladder Ultrasound, Bladder, Radiology Cat Bladder Ultrasound The urinary bladder is best visualized if it is full of urine; Therefore, do not let your cat urinate within three to six hours of the ultrasound procedure if possible. Evaluate the urinary bladder in long and short axes (figure 14). The present study confirms that ultrasonography is an efficient imaging method for examination of lower urinary tract, but radiography. Cat Bladder Ultrasound.
From ourpetshealth.com
Why Did My Cat's Bladder Block? (a cat emergency) — Our Pet's Health Cat Bladder Ultrasound The urinary bladder is best visualized if it is full of urine; The present study confirms that ultrasonography is an efficient imaging method for examination of lower urinary tract, but radiography and contrast cystography are still. Evaluate the urinary bladder in long and short axes (figure 14). Ultrasound of the urinary bladder move the transducer caudally to a central and. Cat Bladder Ultrasound.