Ankylosing Spondylitis X Ray Si Joint . Dosing informationwatch videos for hcps Ankylosing spondylitis (as) is a chronic, inflammatory disease primarily affecting the axial spine that can manifest with a range of clinical signs and symptoms. Ankylosing spondylitis is a chronic seronegative autoimmune spondyloarthropathy characterized by bridging spinal osteophyte formation, enthesitis, sacroiliitis,. Ankylosing spondylitis is a type of arthritis that causes pain and stiffness in your spine and other joints. Ankylosing spondylitis most commonly affects the sacroiliac joints first. Ankylosing spondylitis often affects the sacroiliac or si joint, which may cause pain in the lower back or buttocks. Typical appearance of bamboo spine with multiple syndesmophytes between the vertebral bodies are seen. Imaging is an integral part of the management of patients with ankylosing spondylitis and axial spondyloarthritis. Early changes of sacroiliitis (inflammation of the sacroiliac joints) are not. It typically affects your sacroiliac joint, where your spine and pelvis meet.
from learningradiology.com
Ankylosing spondylitis (as) is a chronic, inflammatory disease primarily affecting the axial spine that can manifest with a range of clinical signs and symptoms. Ankylosing spondylitis is a type of arthritis that causes pain and stiffness in your spine and other joints. Ankylosing spondylitis is a chronic seronegative autoimmune spondyloarthropathy characterized by bridging spinal osteophyte formation, enthesitis, sacroiliitis,. Dosing informationwatch videos for hcps It typically affects your sacroiliac joint, where your spine and pelvis meet. Typical appearance of bamboo spine with multiple syndesmophytes between the vertebral bodies are seen. Ankylosing spondylitis often affects the sacroiliac or si joint, which may cause pain in the lower back or buttocks. Imaging is an integral part of the management of patients with ankylosing spondylitis and axial spondyloarthritis. Early changes of sacroiliitis (inflammation of the sacroiliac joints) are not. Ankylosing spondylitis most commonly affects the sacroiliac joints first.
Learning Radiology Dagger Sign, Ankylosing Spondylitis
Ankylosing Spondylitis X Ray Si Joint Ankylosing spondylitis often affects the sacroiliac or si joint, which may cause pain in the lower back or buttocks. Ankylosing spondylitis (as) is a chronic, inflammatory disease primarily affecting the axial spine that can manifest with a range of clinical signs and symptoms. Ankylosing spondylitis is a chronic seronegative autoimmune spondyloarthropathy characterized by bridging spinal osteophyte formation, enthesitis, sacroiliitis,. It typically affects your sacroiliac joint, where your spine and pelvis meet. Ankylosing spondylitis often affects the sacroiliac or si joint, which may cause pain in the lower back or buttocks. Imaging is an integral part of the management of patients with ankylosing spondylitis and axial spondyloarthritis. Dosing informationwatch videos for hcps Typical appearance of bamboo spine with multiple syndesmophytes between the vertebral bodies are seen. Ankylosing spondylitis most commonly affects the sacroiliac joints first. Early changes of sacroiliitis (inflammation of the sacroiliac joints) are not. Ankylosing spondylitis is a type of arthritis that causes pain and stiffness in your spine and other joints.
From www.ctisus.com
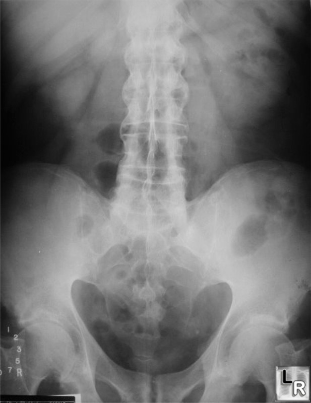
Ankylosing Spondylitis with SI Joint Fusion Musculoskeletal Case Ankylosing Spondylitis X Ray Si Joint Imaging is an integral part of the management of patients with ankylosing spondylitis and axial spondyloarthritis. Ankylosing spondylitis is a type of arthritis that causes pain and stiffness in your spine and other joints. Dosing informationwatch videos for hcps Ankylosing spondylitis most commonly affects the sacroiliac joints first. Ankylosing spondylitis is a chronic seronegative autoimmune spondyloarthropathy characterized by bridging spinal. Ankylosing Spondylitis X Ray Si Joint.
From www.pinterest.com
Ankylosing spondylitis (also known as Bechterew's disease and Marie Ankylosing Spondylitis X Ray Si Joint Ankylosing spondylitis (as) is a chronic, inflammatory disease primarily affecting the axial spine that can manifest with a range of clinical signs and symptoms. Early changes of sacroiliitis (inflammation of the sacroiliac joints) are not. Typical appearance of bamboo spine with multiple syndesmophytes between the vertebral bodies are seen. Dosing informationwatch videos for hcps Ankylosing spondylitis most commonly affects the. Ankylosing Spondylitis X Ray Si Joint.
From ar.inspiredpencil.com
Ankylosing Spondylitis Pelvis X Ray Ankylosing Spondylitis X Ray Si Joint Ankylosing spondylitis often affects the sacroiliac or si joint, which may cause pain in the lower back or buttocks. Early changes of sacroiliitis (inflammation of the sacroiliac joints) are not. Imaging is an integral part of the management of patients with ankylosing spondylitis and axial spondyloarthritis. It typically affects your sacroiliac joint, where your spine and pelvis meet. Dosing informationwatch. Ankylosing Spondylitis X Ray Si Joint.
From www.pinterest.com
Ankylosing spondylitis Radiology Reference Article Ankylosing Spondylitis X Ray Si Joint It typically affects your sacroiliac joint, where your spine and pelvis meet. Ankylosing spondylitis most commonly affects the sacroiliac joints first. Dosing informationwatch videos for hcps Ankylosing spondylitis (as) is a chronic, inflammatory disease primarily affecting the axial spine that can manifest with a range of clinical signs and symptoms. Typical appearance of bamboo spine with multiple syndesmophytes between the. Ankylosing Spondylitis X Ray Si Joint.
From ar.inspiredpencil.com
Ankylosing Spondylitis Mri Ankylosing Spondylitis X Ray Si Joint Ankylosing spondylitis most commonly affects the sacroiliac joints first. Typical appearance of bamboo spine with multiple syndesmophytes between the vertebral bodies are seen. Ankylosing spondylitis is a type of arthritis that causes pain and stiffness in your spine and other joints. Ankylosing spondylitis (as) is a chronic, inflammatory disease primarily affecting the axial spine that can manifest with a range. Ankylosing Spondylitis X Ray Si Joint.
From mavink.com
Ankylosing Spondylitis Radiopaedia Ankylosing Spondylitis X Ray Si Joint Ankylosing spondylitis most commonly affects the sacroiliac joints first. Dosing informationwatch videos for hcps Typical appearance of bamboo spine with multiple syndesmophytes between the vertebral bodies are seen. Ankylosing spondylitis is a type of arthritis that causes pain and stiffness in your spine and other joints. Imaging is an integral part of the management of patients with ankylosing spondylitis and. Ankylosing Spondylitis X Ray Si Joint.
From www.ctisus.com
Ankylosing Spondylitis with Sacroiliac Joint (SI Joint) Fusion Ankylosing Spondylitis X Ray Si Joint It typically affects your sacroiliac joint, where your spine and pelvis meet. Ankylosing spondylitis (as) is a chronic, inflammatory disease primarily affecting the axial spine that can manifest with a range of clinical signs and symptoms. Typical appearance of bamboo spine with multiple syndesmophytes between the vertebral bodies are seen. Ankylosing spondylitis is a chronic seronegative autoimmune spondyloarthropathy characterized by. Ankylosing Spondylitis X Ray Si Joint.
From www.ctisus.com
Ankylosing Spondylitis with SI Joint Fusion Musculoskeletal Case Ankylosing Spondylitis X Ray Si Joint Ankylosing spondylitis often affects the sacroiliac or si joint, which may cause pain in the lower back or buttocks. It typically affects your sacroiliac joint, where your spine and pelvis meet. Ankylosing spondylitis most commonly affects the sacroiliac joints first. Typical appearance of bamboo spine with multiple syndesmophytes between the vertebral bodies are seen. Dosing informationwatch videos for hcps Ankylosing. Ankylosing Spondylitis X Ray Si Joint.
From www.pinterest.com
Ankylosing spondylitis. Anteroposterior radiograph of sacrum shows Ankylosing Spondylitis X Ray Si Joint Ankylosing spondylitis is a chronic seronegative autoimmune spondyloarthropathy characterized by bridging spinal osteophyte formation, enthesitis, sacroiliitis,. Ankylosing spondylitis (as) is a chronic, inflammatory disease primarily affecting the axial spine that can manifest with a range of clinical signs and symptoms. Ankylosing spondylitis is a type of arthritis that causes pain and stiffness in your spine and other joints. Imaging is. Ankylosing Spondylitis X Ray Si Joint.
From radedasia.com
ANKYLOSING SPONDYLITIS SACROILIITIS CT CHANGES SACRO ILIAC JOINT SPINE Ankylosing Spondylitis X Ray Si Joint It typically affects your sacroiliac joint, where your spine and pelvis meet. Dosing informationwatch videos for hcps Ankylosing spondylitis is a chronic seronegative autoimmune spondyloarthropathy characterized by bridging spinal osteophyte formation, enthesitis, sacroiliitis,. Typical appearance of bamboo spine with multiple syndesmophytes between the vertebral bodies are seen. Early changes of sacroiliitis (inflammation of the sacroiliac joints) are not. Ankylosing spondylitis. Ankylosing Spondylitis X Ray Si Joint.
From www.ctisus.com
Ankylosing Spondylitis with Sacroiliac Joint (SI Joint) Fusion Ankylosing Spondylitis X Ray Si Joint Ankylosing spondylitis often affects the sacroiliac or si joint, which may cause pain in the lower back or buttocks. Early changes of sacroiliitis (inflammation of the sacroiliac joints) are not. Ankylosing spondylitis is a type of arthritis that causes pain and stiffness in your spine and other joints. Ankylosing spondylitis most commonly affects the sacroiliac joints first. Dosing informationwatch videos. Ankylosing Spondylitis X Ray Si Joint.
From www.ctisus.com
Ankylosing Spondylitis with SI Joint Fusion Musculoskeletal Case Ankylosing Spondylitis X Ray Si Joint Ankylosing spondylitis is a type of arthritis that causes pain and stiffness in your spine and other joints. Early changes of sacroiliitis (inflammation of the sacroiliac joints) are not. Ankylosing spondylitis (as) is a chronic, inflammatory disease primarily affecting the axial spine that can manifest with a range of clinical signs and symptoms. It typically affects your sacroiliac joint, where. Ankylosing Spondylitis X Ray Si Joint.
From mavink.com
Ankylosing Spondylitis Ct Scan Ankylosing Spondylitis X Ray Si Joint It typically affects your sacroiliac joint, where your spine and pelvis meet. Dosing informationwatch videos for hcps Early changes of sacroiliitis (inflammation of the sacroiliac joints) are not. Ankylosing spondylitis is a chronic seronegative autoimmune spondyloarthropathy characterized by bridging spinal osteophyte formation, enthesitis, sacroiliitis,. Ankylosing spondylitis often affects the sacroiliac or si joint, which may cause pain in the lower. Ankylosing Spondylitis X Ray Si Joint.
From radiologykey.com
Ankylosing Spondylitis Radiology Key Ankylosing Spondylitis X Ray Si Joint Dosing informationwatch videos for hcps Ankylosing spondylitis often affects the sacroiliac or si joint, which may cause pain in the lower back or buttocks. Early changes of sacroiliitis (inflammation of the sacroiliac joints) are not. Ankylosing spondylitis most commonly affects the sacroiliac joints first. It typically affects your sacroiliac joint, where your spine and pelvis meet. Imaging is an integral. Ankylosing Spondylitis X Ray Si Joint.
From mavink.com
Ankylosing Spondylitis Spine X Ray Ankylosing Spondylitis X Ray Si Joint Ankylosing spondylitis (as) is a chronic, inflammatory disease primarily affecting the axial spine that can manifest with a range of clinical signs and symptoms. Ankylosing spondylitis often affects the sacroiliac or si joint, which may cause pain in the lower back or buttocks. Ankylosing spondylitis is a type of arthritis that causes pain and stiffness in your spine and other. Ankylosing Spondylitis X Ray Si Joint.
From www.rheumatologyadvisor.com
Ankylosing Spondylitis Rheumatology Advisor Ankylosing Spondylitis X Ray Si Joint Ankylosing spondylitis often affects the sacroiliac or si joint, which may cause pain in the lower back or buttocks. Ankylosing spondylitis is a type of arthritis that causes pain and stiffness in your spine and other joints. Dosing informationwatch videos for hcps Early changes of sacroiliitis (inflammation of the sacroiliac joints) are not. Ankylosing spondylitis (as) is a chronic, inflammatory. Ankylosing Spondylitis X Ray Si Joint.
From www.drckvasu.in
Ankylosing Spondylitis Dr. Vasu Ankylosing Spondylitis X Ray Si Joint Dosing informationwatch videos for hcps Ankylosing spondylitis (as) is a chronic, inflammatory disease primarily affecting the axial spine that can manifest with a range of clinical signs and symptoms. Ankylosing spondylitis is a chronic seronegative autoimmune spondyloarthropathy characterized by bridging spinal osteophyte formation, enthesitis, sacroiliitis,. Typical appearance of bamboo spine with multiple syndesmophytes between the vertebral bodies are seen. Early. Ankylosing Spondylitis X Ray Si Joint.
From www.ctisus.com
Ankylosing Spondylitis with SI Joint Fusion Musculoskeletal Case Ankylosing Spondylitis X Ray Si Joint Ankylosing spondylitis often affects the sacroiliac or si joint, which may cause pain in the lower back or buttocks. Ankylosing spondylitis is a chronic seronegative autoimmune spondyloarthropathy characterized by bridging spinal osteophyte formation, enthesitis, sacroiliitis,. Ankylosing spondylitis is a type of arthritis that causes pain and stiffness in your spine and other joints. Ankylosing spondylitis most commonly affects the sacroiliac. Ankylosing Spondylitis X Ray Si Joint.
From radiopaedia.org
Ankylosing spondylitis Image Ankylosing Spondylitis X Ray Si Joint It typically affects your sacroiliac joint, where your spine and pelvis meet. Ankylosing spondylitis most commonly affects the sacroiliac joints first. Ankylosing spondylitis often affects the sacroiliac or si joint, which may cause pain in the lower back or buttocks. Ankylosing spondylitis is a chronic seronegative autoimmune spondyloarthropathy characterized by bridging spinal osteophyte formation, enthesitis, sacroiliitis,. Ankylosing spondylitis is a. Ankylosing Spondylitis X Ray Si Joint.
From www.rheumtutor.com
Ankylosing Spondylitis · RheumTutor Ankylosing Spondylitis X Ray Si Joint It typically affects your sacroiliac joint, where your spine and pelvis meet. Typical appearance of bamboo spine with multiple syndesmophytes between the vertebral bodies are seen. Dosing informationwatch videos for hcps Ankylosing spondylitis often affects the sacroiliac or si joint, which may cause pain in the lower back or buttocks. Early changes of sacroiliitis (inflammation of the sacroiliac joints) are. Ankylosing Spondylitis X Ray Si Joint.
From www.ctisus.com
Ankylosing spondylitis X Rays Case Studies CTisus CT Scanning Ankylosing Spondylitis X Ray Si Joint Imaging is an integral part of the management of patients with ankylosing spondylitis and axial spondyloarthritis. Early changes of sacroiliitis (inflammation of the sacroiliac joints) are not. Ankylosing spondylitis is a chronic seronegative autoimmune spondyloarthropathy characterized by bridging spinal osteophyte formation, enthesitis, sacroiliitis,. Dosing informationwatch videos for hcps Ankylosing spondylitis (as) is a chronic, inflammatory disease primarily affecting the axial. Ankylosing Spondylitis X Ray Si Joint.
From www.wikidoc.org
Ankylosing spondylitis x ray wikidoc Ankylosing Spondylitis X Ray Si Joint Early changes of sacroiliitis (inflammation of the sacroiliac joints) are not. Dosing informationwatch videos for hcps Ankylosing spondylitis often affects the sacroiliac or si joint, which may cause pain in the lower back or buttocks. Imaging is an integral part of the management of patients with ankylosing spondylitis and axial spondyloarthritis. Typical appearance of bamboo spine with multiple syndesmophytes between. Ankylosing Spondylitis X Ray Si Joint.
From www.ctisus.com
Ankylosing spondylitis X Rays Case Studies CTisus CT Scanning Ankylosing Spondylitis X Ray Si Joint Ankylosing spondylitis often affects the sacroiliac or si joint, which may cause pain in the lower back or buttocks. Typical appearance of bamboo spine with multiple syndesmophytes between the vertebral bodies are seen. Ankylosing spondylitis is a type of arthritis that causes pain and stiffness in your spine and other joints. Dosing informationwatch videos for hcps Early changes of sacroiliitis. Ankylosing Spondylitis X Ray Si Joint.
From mavink.com
Ankylosing Spondylitis Radiopaedia Ankylosing Spondylitis X Ray Si Joint Ankylosing spondylitis most commonly affects the sacroiliac joints first. Ankylosing spondylitis is a chronic seronegative autoimmune spondyloarthropathy characterized by bridging spinal osteophyte formation, enthesitis, sacroiliitis,. Imaging is an integral part of the management of patients with ankylosing spondylitis and axial spondyloarthritis. Typical appearance of bamboo spine with multiple syndesmophytes between the vertebral bodies are seen. Ankylosing spondylitis (as) is a. Ankylosing Spondylitis X Ray Si Joint.
From learningradiology.com
Learning Radiology Dagger Sign, Ankylosing Spondylitis Ankylosing Spondylitis X Ray Si Joint Dosing informationwatch videos for hcps It typically affects your sacroiliac joint, where your spine and pelvis meet. Early changes of sacroiliitis (inflammation of the sacroiliac joints) are not. Typical appearance of bamboo spine with multiple syndesmophytes between the vertebral bodies are seen. Ankylosing spondylitis often affects the sacroiliac or si joint, which may cause pain in the lower back or. Ankylosing Spondylitis X Ray Si Joint.
From www.ctisus.com
Ankylosing Spondylitis with SI Joint Fusion Musculoskeletal Case Ankylosing Spondylitis X Ray Si Joint Typical appearance of bamboo spine with multiple syndesmophytes between the vertebral bodies are seen. It typically affects your sacroiliac joint, where your spine and pelvis meet. Dosing informationwatch videos for hcps Early changes of sacroiliitis (inflammation of the sacroiliac joints) are not. Ankylosing spondylitis (as) is a chronic, inflammatory disease primarily affecting the axial spine that can manifest with a. Ankylosing Spondylitis X Ray Si Joint.
From www.alamy.com
Ankylosing spondylitis, Xray Stock Photo Alamy Ankylosing Spondylitis X Ray Si Joint It typically affects your sacroiliac joint, where your spine and pelvis meet. Early changes of sacroiliitis (inflammation of the sacroiliac joints) are not. Ankylosing spondylitis most commonly affects the sacroiliac joints first. Typical appearance of bamboo spine with multiple syndesmophytes between the vertebral bodies are seen. Ankylosing spondylitis is a chronic seronegative autoimmune spondyloarthropathy characterized by bridging spinal osteophyte formation,. Ankylosing Spondylitis X Ray Si Joint.
From mungfali.com
Ankylosing Spondylitis C01 Ankylosing Spondylitis X Ray Si Joint Ankylosing spondylitis often affects the sacroiliac or si joint, which may cause pain in the lower back or buttocks. Ankylosing spondylitis most commonly affects the sacroiliac joints first. Early changes of sacroiliitis (inflammation of the sacroiliac joints) are not. Imaging is an integral part of the management of patients with ankylosing spondylitis and axial spondyloarthritis. Typical appearance of bamboo spine. Ankylosing Spondylitis X Ray Si Joint.
From radsource.us
Ankylosing Spondylitis Radsource Ankylosing Spondylitis X Ray Si Joint Ankylosing spondylitis is a chronic seronegative autoimmune spondyloarthropathy characterized by bridging spinal osteophyte formation, enthesitis, sacroiliitis,. Imaging is an integral part of the management of patients with ankylosing spondylitis and axial spondyloarthritis. Ankylosing spondylitis most commonly affects the sacroiliac joints first. Typical appearance of bamboo spine with multiple syndesmophytes between the vertebral bodies are seen. Ankylosing spondylitis is a type. Ankylosing Spondylitis X Ray Si Joint.
From www.bestspinecare.com
What is Ankylosing Spondylitis? SpineCare St. Joseph, MI Ankylosing Spondylitis X Ray Si Joint Imaging is an integral part of the management of patients with ankylosing spondylitis and axial spondyloarthritis. Ankylosing spondylitis is a chronic seronegative autoimmune spondyloarthropathy characterized by bridging spinal osteophyte formation, enthesitis, sacroiliitis,. Ankylosing spondylitis often affects the sacroiliac or si joint, which may cause pain in the lower back or buttocks. It typically affects your sacroiliac joint, where your spine. Ankylosing Spondylitis X Ray Si Joint.
From www.ctisus.com
Ankylosing Spondylitis with SI Joint Fusion Musculoskeletal Case Ankylosing Spondylitis X Ray Si Joint Imaging is an integral part of the management of patients with ankylosing spondylitis and axial spondyloarthritis. Dosing informationwatch videos for hcps Ankylosing spondylitis most commonly affects the sacroiliac joints first. Early changes of sacroiliitis (inflammation of the sacroiliac joints) are not. Ankylosing spondylitis is a type of arthritis that causes pain and stiffness in your spine and other joints. Ankylosing. Ankylosing Spondylitis X Ray Si Joint.
From www.ajronline.org
MRI of the Sacroiliac Joints in Patients with Moderate to Severe Ankylosing Spondylitis X Ray Si Joint It typically affects your sacroiliac joint, where your spine and pelvis meet. Ankylosing spondylitis often affects the sacroiliac or si joint, which may cause pain in the lower back or buttocks. Ankylosing spondylitis is a chronic seronegative autoimmune spondyloarthropathy characterized by bridging spinal osteophyte formation, enthesitis, sacroiliitis,. Typical appearance of bamboo spine with multiple syndesmophytes between the vertebral bodies are. Ankylosing Spondylitis X Ray Si Joint.
From www.medicalnewstoday.com
Ankylosing spondylitis Xray and imaging techniques Ankylosing Spondylitis X Ray Si Joint Imaging is an integral part of the management of patients with ankylosing spondylitis and axial spondyloarthritis. Early changes of sacroiliitis (inflammation of the sacroiliac joints) are not. Ankylosing spondylitis is a chronic seronegative autoimmune spondyloarthropathy characterized by bridging spinal osteophyte formation, enthesitis, sacroiliitis,. Ankylosing spondylitis is a type of arthritis that causes pain and stiffness in your spine and other. Ankylosing Spondylitis X Ray Si Joint.
From www.ctisus.com
Ankylosing Spondylitis with Sacroiliac Joint (SI Joint) Fusion Ankylosing Spondylitis X Ray Si Joint Imaging is an integral part of the management of patients with ankylosing spondylitis and axial spondyloarthritis. Ankylosing spondylitis most commonly affects the sacroiliac joints first. Typical appearance of bamboo spine with multiple syndesmophytes between the vertebral bodies are seen. Ankylosing spondylitis is a type of arthritis that causes pain and stiffness in your spine and other joints. It typically affects. Ankylosing Spondylitis X Ray Si Joint.
From www.alamy.com
ANKYLOSING SPONDYLITIS, XRAY Stock Photo 66575768 Alamy Ankylosing Spondylitis X Ray Si Joint Early changes of sacroiliitis (inflammation of the sacroiliac joints) are not. Dosing informationwatch videos for hcps Ankylosing spondylitis is a chronic seronegative autoimmune spondyloarthropathy characterized by bridging spinal osteophyte formation, enthesitis, sacroiliitis,. Ankylosing spondylitis (as) is a chronic, inflammatory disease primarily affecting the axial spine that can manifest with a range of clinical signs and symptoms. Ankylosing spondylitis most commonly. Ankylosing Spondylitis X Ray Si Joint.