Compression Fracture Growth Plate . Growth plate compression fractures (salter 5) the risk of growth problems is related to the type of growth plate fracture, the amount of force that. Compression fracture or crushing of the growth plate. Anatomic location of the growth plate fractures • fractures around the knee (proximal tibia & distal femur) have a much higher rate of growth. They are common fractures, accounting for around. Growth plate fractures are an important presentation in children and teenagers, and need urgent identification and appropriate management. Fractures of the growth plate can interrupt normal growth if not treated properly. These injuries are almost always diagnosed retrospectively, when a growth arrest has occurred. Growth plates are areas of cartilage at the ends of the body’s long bones. Growth plate (physeal) fractures are typically believed to occur through the zone of provisional calcification but may traverse several zones, depending on the type of external load. Because the growth plates are the last portion of a child’s bones to harden (ossify), they are particularly vulnerable to fracture.
from orthoinfo.aaos.org
These injuries are almost always diagnosed retrospectively, when a growth arrest has occurred. Compression fracture or crushing of the growth plate. They are common fractures, accounting for around. Because the growth plates are the last portion of a child’s bones to harden (ossify), they are particularly vulnerable to fracture. Growth plate (physeal) fractures are typically believed to occur through the zone of provisional calcification but may traverse several zones, depending on the type of external load. Growth plates are areas of cartilage at the ends of the body’s long bones. Fractures of the growth plate can interrupt normal growth if not treated properly. Growth plate fractures are an important presentation in children and teenagers, and need urgent identification and appropriate management. Growth plate compression fractures (salter 5) the risk of growth problems is related to the type of growth plate fracture, the amount of force that. Anatomic location of the growth plate fractures • fractures around the knee (proximal tibia & distal femur) have a much higher rate of growth.
Ankle Fractures In Children OrthoInfo AAOS
Compression Fracture Growth Plate Growth plates are areas of cartilage at the ends of the body’s long bones. These injuries are almost always diagnosed retrospectively, when a growth arrest has occurred. Compression fracture or crushing of the growth plate. Because the growth plates are the last portion of a child’s bones to harden (ossify), they are particularly vulnerable to fracture. Growth plate fractures are an important presentation in children and teenagers, and need urgent identification and appropriate management. Growth plate compression fractures (salter 5) the risk of growth problems is related to the type of growth plate fracture, the amount of force that. They are common fractures, accounting for around. Growth plates are areas of cartilage at the ends of the body’s long bones. Growth plate (physeal) fractures are typically believed to occur through the zone of provisional calcification but may traverse several zones, depending on the type of external load. Fractures of the growth plate can interrupt normal growth if not treated properly. Anatomic location of the growth plate fractures • fractures around the knee (proximal tibia & distal femur) have a much higher rate of growth.
From gbu-presnenskij.ru
Growth Plate Fractures Symptoms Treatment, 58 OFF Compression Fracture Growth Plate These injuries are almost always diagnosed retrospectively, when a growth arrest has occurred. Growth plate (physeal) fractures are typically believed to occur through the zone of provisional calcification but may traverse several zones, depending on the type of external load. Because the growth plates are the last portion of a child’s bones to harden (ossify), they are particularly vulnerable to. Compression Fracture Growth Plate.
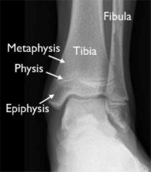
From www.imageinterpretation.co.uk
The Ankle Compression Fracture Growth Plate Growth plates are areas of cartilage at the ends of the body’s long bones. Growth plate fractures are an important presentation in children and teenagers, and need urgent identification and appropriate management. Growth plate (physeal) fractures are typically believed to occur through the zone of provisional calcification but may traverse several zones, depending on the type of external load. Fractures. Compression Fracture Growth Plate.
From www.semanticscholar.org
Figure 3 from Growth Plate Injuries of the Lower Extremity Case Compression Fracture Growth Plate They are common fractures, accounting for around. Growth plate fractures are an important presentation in children and teenagers, and need urgent identification and appropriate management. Anatomic location of the growth plate fractures • fractures around the knee (proximal tibia & distal femur) have a much higher rate of growth. Compression fracture or crushing of the growth plate. These injuries are. Compression Fracture Growth Plate.
From radiologyassistant.nl
The Radiology Assistant Special Ankle Fractures Compression Fracture Growth Plate Growth plate (physeal) fractures are typically believed to occur through the zone of provisional calcification but may traverse several zones, depending on the type of external load. Anatomic location of the growth plate fractures • fractures around the knee (proximal tibia & distal femur) have a much higher rate of growth. Growth plate compression fractures (salter 5) the risk of. Compression Fracture Growth Plate.
From animalia-life.club
Compression Fracture Diagram Compression Fracture Growth Plate Growth plate fractures are an important presentation in children and teenagers, and need urgent identification and appropriate management. Growth plate compression fractures (salter 5) the risk of growth problems is related to the type of growth plate fracture, the amount of force that. Fractures of the growth plate can interrupt normal growth if not treated properly. Compression fracture or crushing. Compression Fracture Growth Plate.
From befittrainingphysio.com
Childhood and Adolescent Pathology Series Part 1 Growth Plate Compression Fracture Growth Plate Growth plates are areas of cartilage at the ends of the body’s long bones. Anatomic location of the growth plate fractures • fractures around the knee (proximal tibia & distal femur) have a much higher rate of growth. Growth plate (physeal) fractures are typically believed to occur through the zone of provisional calcification but may traverse several zones, depending on. Compression Fracture Growth Plate.
From healthjade.net
Growth Plate Fracture Causes, Types, Symptoms,Treatment Compression Fracture Growth Plate Growth plates are areas of cartilage at the ends of the body’s long bones. They are common fractures, accounting for around. Fractures of the growth plate can interrupt normal growth if not treated properly. Compression fracture or crushing of the growth plate. Growth plate compression fractures (salter 5) the risk of growth problems is related to the type of growth. Compression Fracture Growth Plate.
From www.wosm.com
Growth Plate Injuries in Children Washington Orthopaedics & Sports Compression Fracture Growth Plate Because the growth plates are the last portion of a child’s bones to harden (ossify), they are particularly vulnerable to fracture. Fractures of the growth plate can interrupt normal growth if not treated properly. Growth plates are areas of cartilage at the ends of the body’s long bones. Compression fracture or crushing of the growth plate. Growth plate compression fractures. Compression Fracture Growth Plate.
From www.sciencephoto.com
Growth plate fracture, Xray Stock Image F036/5535 Science Photo Compression Fracture Growth Plate Compression fracture or crushing of the growth plate. Anatomic location of the growth plate fractures • fractures around the knee (proximal tibia & distal femur) have a much higher rate of growth. Growth plates are areas of cartilage at the ends of the body’s long bones. They are common fractures, accounting for around. These injuries are almost always diagnosed retrospectively,. Compression Fracture Growth Plate.
From healthjade.net
Growth Plate Fracture Causes, Types, Symptoms,Treatment Compression Fracture Growth Plate They are common fractures, accounting for around. Fractures of the growth plate can interrupt normal growth if not treated properly. Growth plate fractures are an important presentation in children and teenagers, and need urgent identification and appropriate management. Growth plates are areas of cartilage at the ends of the body’s long bones. Because the growth plates are the last portion. Compression Fracture Growth Plate.
From www.mayoclinic.org
Growth plate fractures Symptoms and causes Mayo Clinic Compression Fracture Growth Plate Compression fracture or crushing of the growth plate. Fractures of the growth plate can interrupt normal growth if not treated properly. Anatomic location of the growth plate fractures • fractures around the knee (proximal tibia & distal femur) have a much higher rate of growth. These injuries are almost always diagnosed retrospectively, when a growth arrest has occurred. Growth plate. Compression Fracture Growth Plate.
From orthoinfo.aaos.org
Ankle Fractures In Children OrthoInfo AAOS Compression Fracture Growth Plate Growth plate fractures are an important presentation in children and teenagers, and need urgent identification and appropriate management. Compression fracture or crushing of the growth plate. Growth plate compression fractures (salter 5) the risk of growth problems is related to the type of growth plate fracture, the amount of force that. These injuries are almost always diagnosed retrospectively, when a. Compression Fracture Growth Plate.
From flickr.com
The SalterHarris epiphyseal fracture classification showing growth Compression Fracture Growth Plate Growth plate fractures are an important presentation in children and teenagers, and need urgent identification and appropriate management. Compression fracture or crushing of the growth plate. Fractures of the growth plate can interrupt normal growth if not treated properly. Growth plates are areas of cartilage at the ends of the body’s long bones. They are common fractures, accounting for around.. Compression Fracture Growth Plate.
From teachmesurgery.com
Growth Plate Fractures TeachMeSurgery Compression Fracture Growth Plate Compression fracture or crushing of the growth plate. Fractures of the growth plate can interrupt normal growth if not treated properly. Growth plate (physeal) fractures are typically believed to occur through the zone of provisional calcification but may traverse several zones, depending on the type of external load. These injuries are almost always diagnosed retrospectively, when a growth arrest has. Compression Fracture Growth Plate.
From www.theinjurysource.com
What Makes a Pediatric Wrist Fracture Different? Compression Fracture Growth Plate They are common fractures, accounting for around. Compression fracture or crushing of the growth plate. Anatomic location of the growth plate fractures • fractures around the knee (proximal tibia & distal femur) have a much higher rate of growth. Growth plate (physeal) fractures are typically believed to occur through the zone of provisional calcification but may traverse several zones, depending. Compression Fracture Growth Plate.
From www.caringmedical.com
Growth plate injuries Caring Medical Florida Compression Fracture Growth Plate Compression fracture or crushing of the growth plate. These injuries are almost always diagnosed retrospectively, when a growth arrest has occurred. Growth plates are areas of cartilage at the ends of the body’s long bones. Anatomic location of the growth plate fractures • fractures around the knee (proximal tibia & distal femur) have a much higher rate of growth. Growth. Compression Fracture Growth Plate.
From healthjade.com
Growth Plate Fracture Causes, Types, Symptoms,Treatment Compression Fracture Growth Plate Compression fracture or crushing of the growth plate. Because the growth plates are the last portion of a child’s bones to harden (ossify), they are particularly vulnerable to fracture. Anatomic location of the growth plate fractures • fractures around the knee (proximal tibia & distal femur) have a much higher rate of growth. These injuries are almost always diagnosed retrospectively,. Compression Fracture Growth Plate.
From faculty.washington.edu
SalterHarris Classification of Growth Plate Fractures UW Emergency Compression Fracture Growth Plate Growth plate compression fractures (salter 5) the risk of growth problems is related to the type of growth plate fracture, the amount of force that. Because the growth plates are the last portion of a child’s bones to harden (ossify), they are particularly vulnerable to fracture. These injuries are almost always diagnosed retrospectively, when a growth arrest has occurred. They. Compression Fracture Growth Plate.
From teachmesurgery.com
Growth Plate Fractures TeachMeSurgery Compression Fracture Growth Plate Growth plate fractures are an important presentation in children and teenagers, and need urgent identification and appropriate management. Growth plates are areas of cartilage at the ends of the body’s long bones. Because the growth plates are the last portion of a child’s bones to harden (ossify), they are particularly vulnerable to fracture. Growth plate compression fractures (salter 5) the. Compression Fracture Growth Plate.
From westjem.com
A Rare Knee Fracture with Underestimated Severity The Western Journal Compression Fracture Growth Plate Because the growth plates are the last portion of a child’s bones to harden (ossify), they are particularly vulnerable to fracture. Growth plate fractures are an important presentation in children and teenagers, and need urgent identification and appropriate management. Compression fracture or crushing of the growth plate. These injuries are almost always diagnosed retrospectively, when a growth arrest has occurred.. Compression Fracture Growth Plate.
From healthjade.net
Growth Plate Fracture Causes, Types, Symptoms,Treatment Compression Fracture Growth Plate These injuries are almost always diagnosed retrospectively, when a growth arrest has occurred. Growth plate fractures are an important presentation in children and teenagers, and need urgent identification and appropriate management. Fractures of the growth plate can interrupt normal growth if not treated properly. Growth plate compression fractures (salter 5) the risk of growth problems is related to the type. Compression Fracture Growth Plate.
From www.climbinginjuriessolved.com
Growth Plate Fractures Part 1 Compression Fracture Growth Plate Growth plates are areas of cartilage at the ends of the body’s long bones. Compression fracture or crushing of the growth plate. Growth plate fractures are an important presentation in children and teenagers, and need urgent identification and appropriate management. They are common fractures, accounting for around. Anatomic location of the growth plate fractures • fractures around the knee (proximal. Compression Fracture Growth Plate.
From healthjade.com
Growth Plate Fracture Causes, Types, Symptoms,Treatment Compression Fracture Growth Plate Compression fracture or crushing of the growth plate. Growth plate (physeal) fractures are typically believed to occur through the zone of provisional calcification but may traverse several zones, depending on the type of external load. Fractures of the growth plate can interrupt normal growth if not treated properly. Growth plate fractures are an important presentation in children and teenagers, and. Compression Fracture Growth Plate.
From www.childrenshospital.org
Fractures in Children Boston Children's Hospital Compression Fracture Growth Plate Fractures of the growth plate can interrupt normal growth if not treated properly. Growth plate fractures are an important presentation in children and teenagers, and need urgent identification and appropriate management. Because the growth plates are the last portion of a child’s bones to harden (ossify), they are particularly vulnerable to fracture. They are common fractures, accounting for around. Growth. Compression Fracture Growth Plate.
From healthjade.net
Growth Plate Fracture Causes, Types, Symptoms,Treatment Compression Fracture Growth Plate Fractures of the growth plate can interrupt normal growth if not treated properly. They are common fractures, accounting for around. Growth plate (physeal) fractures are typically believed to occur through the zone of provisional calcification but may traverse several zones, depending on the type of external load. These injuries are almost always diagnosed retrospectively, when a growth arrest has occurred.. Compression Fracture Growth Plate.
From www.researchgate.net
Radiographic images of fractures fixed with plates on day 1 and 4, 8 Compression Fracture Growth Plate Anatomic location of the growth plate fractures • fractures around the knee (proximal tibia & distal femur) have a much higher rate of growth. Compression fracture or crushing of the growth plate. Fractures of the growth plate can interrupt normal growth if not treated properly. Growth plate compression fractures (salter 5) the risk of growth problems is related to the. Compression Fracture Growth Plate.
From healthjade.net
Growth Plate Fracture Causes, Types, Symptoms,Treatment Compression Fracture Growth Plate Growth plate (physeal) fractures are typically believed to occur through the zone of provisional calcification but may traverse several zones, depending on the type of external load. Fractures of the growth plate can interrupt normal growth if not treated properly. These injuries are almost always diagnosed retrospectively, when a growth arrest has occurred. Growth plates are areas of cartilage at. Compression Fracture Growth Plate.
From www.cookchildrens.org
Growth Plate Fractures Compression Fracture Growth Plate Anatomic location of the growth plate fractures • fractures around the knee (proximal tibia & distal femur) have a much higher rate of growth. Growth plate fractures are an important presentation in children and teenagers, and need urgent identification and appropriate management. Growth plates are areas of cartilage at the ends of the body’s long bones. These injuries are almost. Compression Fracture Growth Plate.
From pgmedic.blogspot.com
PG Medic SalterHarris fractures Compression Fracture Growth Plate Growth plate compression fractures (salter 5) the risk of growth problems is related to the type of growth plate fracture, the amount of force that. Growth plate fractures are an important presentation in children and teenagers, and need urgent identification and appropriate management. Because the growth plates are the last portion of a child’s bones to harden (ossify), they are. Compression Fracture Growth Plate.
From www.climbinginjuriessolved.com
Growth Plate Fractures Part 2 Compression Fracture Growth Plate Growth plate fractures are an important presentation in children and teenagers, and need urgent identification and appropriate management. Growth plates are areas of cartilage at the ends of the body’s long bones. Anatomic location of the growth plate fractures • fractures around the knee (proximal tibia & distal femur) have a much higher rate of growth. Growth plate compression fractures. Compression Fracture Growth Plate.
From activatephysiotherapy.com.au
Growth Plate Fracture Activate Physiotherapy Compression Fracture Growth Plate Compression fracture or crushing of the growth plate. These injuries are almost always diagnosed retrospectively, when a growth arrest has occurred. Anatomic location of the growth plate fractures • fractures around the knee (proximal tibia & distal femur) have a much higher rate of growth. Fractures of the growth plate can interrupt normal growth if not treated properly. Growth plate. Compression Fracture Growth Plate.
From www.alamy.com
Growth plate fracture, Xray Stock Photo Alamy Compression Fracture Growth Plate These injuries are almost always diagnosed retrospectively, when a growth arrest has occurred. They are common fractures, accounting for around. Anatomic location of the growth plate fractures • fractures around the knee (proximal tibia & distal femur) have a much higher rate of growth. Growth plate (physeal) fractures are typically believed to occur through the zone of provisional calcification but. Compression Fracture Growth Plate.
From healthjade.net
Growth Plate Fracture Causes, Types, Symptoms,Treatment Compression Fracture Growth Plate Fractures of the growth plate can interrupt normal growth if not treated properly. Growth plate fractures are an important presentation in children and teenagers, and need urgent identification and appropriate management. Growth plate compression fractures (salter 5) the risk of growth problems is related to the type of growth plate fracture, the amount of force that. Growth plate (physeal) fractures. Compression Fracture Growth Plate.
From healthjade.net
Growth Plate Fracture Causes, Types, Symptoms,Treatment Compression Fracture Growth Plate Growth plate compression fractures (salter 5) the risk of growth problems is related to the type of growth plate fracture, the amount of force that. Fractures of the growth plate can interrupt normal growth if not treated properly. Growth plate fractures are an important presentation in children and teenagers, and need urgent identification and appropriate management. They are common fractures,. Compression Fracture Growth Plate.
From orthoinfo.aaos.org
Ankle Fractures In Children OrthoInfo AAOS Compression Fracture Growth Plate Growth plates are areas of cartilage at the ends of the body’s long bones. Growth plate fractures are an important presentation in children and teenagers, and need urgent identification and appropriate management. Anatomic location of the growth plate fractures • fractures around the knee (proximal tibia & distal femur) have a much higher rate of growth. Growth plate (physeal) fractures. Compression Fracture Growth Plate.