From gdicolumbus.com
Understanding Barrett's Esophagus Gastrointestinal Diseases, Inc. Columbus GA Does Alcohol Cause Esophagitis Epidemiologic evidence on alcohol consumption increasing the risk of gastroesophageal reflux disease (gerd) is. Here are four drinks that can help ease esophagitis, and four to avoid. Alcohol consumption in early adulthood may lead to the development of reflux esophagitis. Alcohol consumption may increase symptoms of gerd and cause damage to the esophageal mucosa. Some drinks can trigger or worsen. Does Alcohol Cause Esophagitis.
From www.pacehospital.com
Barrett's esophagus Symptoms, Causes, Types and Complications Does Alcohol Cause Esophagitis Others can help soothe and relieve pain. Alcohol consumption may increase symptoms of gerd and cause damage to the esophageal mucosa. One study on alcoholism and esophagus problems found that alcohol consumption in early adulthood can lead to the. Some drinks can trigger or worsen esophagitis. Here are four drinks that can help ease esophagitis, and four to avoid. Epidemiologic. Does Alcohol Cause Esophagitis.
From www.medindia.net
Top Ten Foods That Trigger Inflammation Does Alcohol Cause Esophagitis Alcohol consumption in early adulthood may lead to the development of reflux esophagitis. Epidemiologic evidence on alcohol consumption increasing the risk of gastroesophageal reflux disease (gerd) is. Here are four drinks that can help ease esophagitis, and four to avoid. Alcohol consumption may increase symptoms of gerd and cause damage to the esophageal mucosa. Some drinks can trigger or worsen. Does Alcohol Cause Esophagitis.
From www.slideserve.com
PPT CLASSIFICATION OF ESOPHAGITIS PowerPoint Presentation, free download ID8837664 Does Alcohol Cause Esophagitis Others can help soothe and relieve pain. Here are four drinks that can help ease esophagitis, and four to avoid. Some drinks can trigger or worsen esophagitis. Alcohol consumption in early adulthood may lead to the development of reflux esophagitis. Alcohol consumption may increase symptoms of gerd and cause damage to the esophageal mucosa. Epidemiologic evidence on alcohol consumption increasing. Does Alcohol Cause Esophagitis.
From www.youtube.com
Esophagitis (Esophagus Inflammation) Causes, Risk Factors, Signs and Symptoms, Diagnosis Does Alcohol Cause Esophagitis Alcohol consumption may increase symptoms of gerd and cause damage to the esophageal mucosa. Here are four drinks that can help ease esophagitis, and four to avoid. Others can help soothe and relieve pain. Some drinks can trigger or worsen esophagitis. Epidemiologic evidence on alcohol consumption increasing the risk of gastroesophageal reflux disease (gerd) is. One study on alcoholism and. Does Alcohol Cause Esophagitis.
From my.clevelandclinic.org
Esophagitis What It Is, Symptoms, Causes & Treatment Does Alcohol Cause Esophagitis Alcohol consumption may increase symptoms of gerd and cause damage to the esophageal mucosa. One study on alcoholism and esophagus problems found that alcohol consumption in early adulthood can lead to the. Others can help soothe and relieve pain. Here are four drinks that can help ease esophagitis, and four to avoid. Epidemiologic evidence on alcohol consumption increasing the risk. Does Alcohol Cause Esophagitis.
From www.scientificanimations.com
Barrett's Esophagus explained & shown using medical animation still shot Does Alcohol Cause Esophagitis Epidemiologic evidence on alcohol consumption increasing the risk of gastroesophageal reflux disease (gerd) is. Alcohol consumption may increase symptoms of gerd and cause damage to the esophageal mucosa. One study on alcoholism and esophagus problems found that alcohol consumption in early adulthood can lead to the. Alcohol consumption in early adulthood may lead to the development of reflux esophagitis. Others. Does Alcohol Cause Esophagitis.
From www.healthline.com
Esophagitis Types, Symptom, and Risk Factors Does Alcohol Cause Esophagitis One study on alcoholism and esophagus problems found that alcohol consumption in early adulthood can lead to the. Alcohol consumption in early adulthood may lead to the development of reflux esophagitis. Alcohol consumption may increase symptoms of gerd and cause damage to the esophageal mucosa. Others can help soothe and relieve pain. Some drinks can trigger or worsen esophagitis. Epidemiologic. Does Alcohol Cause Esophagitis.
From www.pinterest.com
Eosinophilic esophagitis An increasingly recognized cause of dysphagia, food impaction, and Does Alcohol Cause Esophagitis Alcohol consumption in early adulthood may lead to the development of reflux esophagitis. Some drinks can trigger or worsen esophagitis. One study on alcoholism and esophagus problems found that alcohol consumption in early adulthood can lead to the. Here are four drinks that can help ease esophagitis, and four to avoid. Alcohol consumption may increase symptoms of gerd and cause. Does Alcohol Cause Esophagitis.
From www.northpointrecovery.com
The Effects of Alcohol on the Body FullPage Infographic Does Alcohol Cause Esophagitis Alcohol consumption may increase symptoms of gerd and cause damage to the esophageal mucosa. Here are four drinks that can help ease esophagitis, and four to avoid. Alcohol consumption in early adulthood may lead to the development of reflux esophagitis. One study on alcoholism and esophagus problems found that alcohol consumption in early adulthood can lead to the. Others can. Does Alcohol Cause Esophagitis.
From healthjade.net
Esophageal stricture causes, symptoms, diagnosis, treatment & prognosis Does Alcohol Cause Esophagitis Some drinks can trigger or worsen esophagitis. Others can help soothe and relieve pain. One study on alcoholism and esophagus problems found that alcohol consumption in early adulthood can lead to the. Alcohol consumption in early adulthood may lead to the development of reflux esophagitis. Here are four drinks that can help ease esophagitis, and four to avoid. Alcohol consumption. Does Alcohol Cause Esophagitis.
From community.bulksupplements.com
Esophagitis Symptoms, Causes & Treatment Does Alcohol Cause Esophagitis Here are four drinks that can help ease esophagitis, and four to avoid. One study on alcoholism and esophagus problems found that alcohol consumption in early adulthood can lead to the. Epidemiologic evidence on alcohol consumption increasing the risk of gastroesophageal reflux disease (gerd) is. Alcohol consumption may increase symptoms of gerd and cause damage to the esophageal mucosa. Alcohol. Does Alcohol Cause Esophagitis.
From www.verywellhealth.com
Esophagitis Symptoms, Causes, Diagnosis, and Treatment Does Alcohol Cause Esophagitis Others can help soothe and relieve pain. Alcohol consumption may increase symptoms of gerd and cause damage to the esophageal mucosa. Alcohol consumption in early adulthood may lead to the development of reflux esophagitis. Some drinks can trigger or worsen esophagitis. One study on alcoholism and esophagus problems found that alcohol consumption in early adulthood can lead to the. Epidemiologic. Does Alcohol Cause Esophagitis.
From www.soft-clouds.com
Esophagitis Causes, Symptoms, Risk Factors, Diagnosis, And... Does Alcohol Cause Esophagitis One study on alcoholism and esophagus problems found that alcohol consumption in early adulthood can lead to the. Some drinks can trigger or worsen esophagitis. Alcohol consumption may increase symptoms of gerd and cause damage to the esophageal mucosa. Alcohol consumption in early adulthood may lead to the development of reflux esophagitis. Here are four drinks that can help ease. Does Alcohol Cause Esophagitis.
From www.drugs.com
Esophagitis Disease Reference Guide Does Alcohol Cause Esophagitis Here are four drinks that can help ease esophagitis, and four to avoid. Epidemiologic evidence on alcohol consumption increasing the risk of gastroesophageal reflux disease (gerd) is. One study on alcoholism and esophagus problems found that alcohol consumption in early adulthood can lead to the. Alcohol consumption in early adulthood may lead to the development of reflux esophagitis. Others can. Does Alcohol Cause Esophagitis.
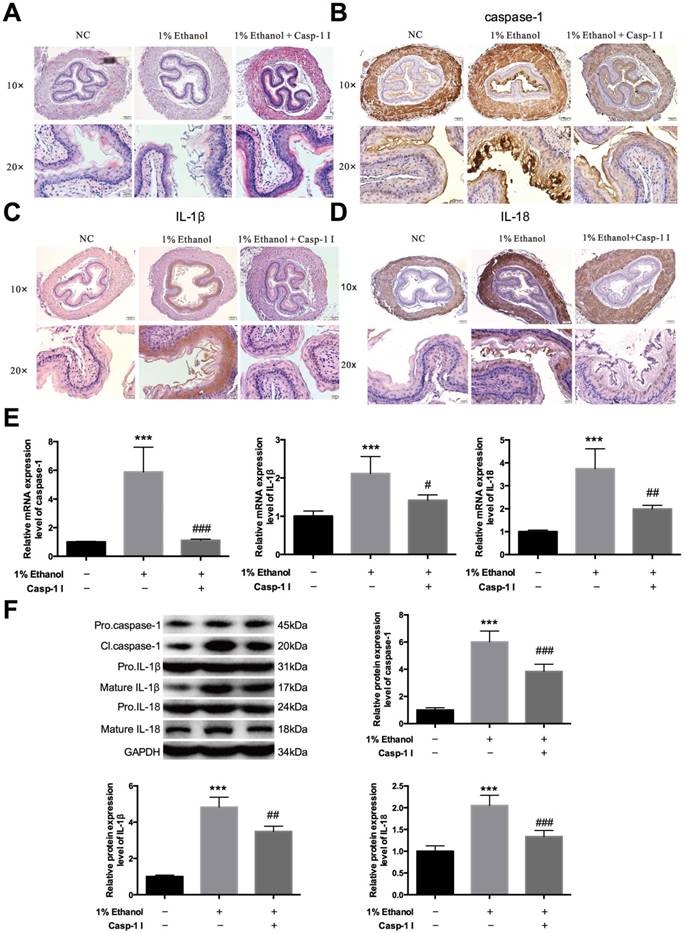
From www.ijbs.com
Alcohol accumulation promotes esophagitis via pyroptosis activation Does Alcohol Cause Esophagitis Alcohol consumption may increase symptoms of gerd and cause damage to the esophageal mucosa. Some drinks can trigger or worsen esophagitis. Others can help soothe and relieve pain. Alcohol consumption in early adulthood may lead to the development of reflux esophagitis. Epidemiologic evidence on alcohol consumption increasing the risk of gastroesophageal reflux disease (gerd) is. Here are four drinks that. Does Alcohol Cause Esophagitis.
From patient.eoe-restore.com
What exactly is Eosinophilic Esophagitis? EoE Restore Patient & Caregiver Does Alcohol Cause Esophagitis Alcohol consumption in early adulthood may lead to the development of reflux esophagitis. One study on alcoholism and esophagus problems found that alcohol consumption in early adulthood can lead to the. Epidemiologic evidence on alcohol consumption increasing the risk of gastroesophageal reflux disease (gerd) is. Alcohol consumption may increase symptoms of gerd and cause damage to the esophageal mucosa. Some. Does Alcohol Cause Esophagitis.
From www.guardianrecoverynetwork.com
Can Alcohol Cause Esophageal Cancer? Guardian Recovery Network Does Alcohol Cause Esophagitis Epidemiologic evidence on alcohol consumption increasing the risk of gastroesophageal reflux disease (gerd) is. Alcohol consumption may increase symptoms of gerd and cause damage to the esophageal mucosa. Some drinks can trigger or worsen esophagitis. Alcohol consumption in early adulthood may lead to the development of reflux esophagitis. One study on alcoholism and esophagus problems found that alcohol consumption in. Does Alcohol Cause Esophagitis.
From www.homenaturalcures.com
Eosinophilic Esophagitis Symptoms,causes,risk Factors & Complications Does Alcohol Cause Esophagitis Alcohol consumption may increase symptoms of gerd and cause damage to the esophageal mucosa. Epidemiologic evidence on alcohol consumption increasing the risk of gastroesophageal reflux disease (gerd) is. One study on alcoholism and esophagus problems found that alcohol consumption in early adulthood can lead to the. Alcohol consumption in early adulthood may lead to the development of reflux esophagitis. Here. Does Alcohol Cause Esophagitis.
From www.slideshare.net
Esophagitis Does Alcohol Cause Esophagitis One study on alcoholism and esophagus problems found that alcohol consumption in early adulthood can lead to the. Here are four drinks that can help ease esophagitis, and four to avoid. Epidemiologic evidence on alcohol consumption increasing the risk of gastroesophageal reflux disease (gerd) is. Alcohol consumption in early adulthood may lead to the development of reflux esophagitis. Others can. Does Alcohol Cause Esophagitis.
From radiologykey.com
Esophagitis Radiology Key Does Alcohol Cause Esophagitis Here are four drinks that can help ease esophagitis, and four to avoid. Alcohol consumption may increase symptoms of gerd and cause damage to the esophageal mucosa. Others can help soothe and relieve pain. One study on alcoholism and esophagus problems found that alcohol consumption in early adulthood can lead to the. Some drinks can trigger or worsen esophagitis. Epidemiologic. Does Alcohol Cause Esophagitis.
From foodallergycanada.ca
Eosinophilic Esophagitis (EoE) defined Food Allergy Canada Does Alcohol Cause Esophagitis Some drinks can trigger or worsen esophagitis. Alcohol consumption in early adulthood may lead to the development of reflux esophagitis. One study on alcoholism and esophagus problems found that alcohol consumption in early adulthood can lead to the. Epidemiologic evidence on alcohol consumption increasing the risk of gastroesophageal reflux disease (gerd) is. Alcohol consumption may increase symptoms of gerd and. Does Alcohol Cause Esophagitis.
From www.youtube.com
Esophageal disorders YouTube Does Alcohol Cause Esophagitis Alcohol consumption in early adulthood may lead to the development of reflux esophagitis. Epidemiologic evidence on alcohol consumption increasing the risk of gastroesophageal reflux disease (gerd) is. Alcohol consumption may increase symptoms of gerd and cause damage to the esophageal mucosa. Others can help soothe and relieve pain. Here are four drinks that can help ease esophagitis, and four to. Does Alcohol Cause Esophagitis.
From facty.com
Understanding Esophagitis Causes, Symptoms, and Treatments Facty Health Does Alcohol Cause Esophagitis Alcohol consumption may increase symptoms of gerd and cause damage to the esophageal mucosa. Alcohol consumption in early adulthood may lead to the development of reflux esophagitis. Some drinks can trigger or worsen esophagitis. Epidemiologic evidence on alcohol consumption increasing the risk of gastroesophageal reflux disease (gerd) is. Others can help soothe and relieve pain. Here are four drinks that. Does Alcohol Cause Esophagitis.
From drcure.com
What is Esophagitis Symptoms, Types, Treatment and Prevention Does Alcohol Cause Esophagitis Here are four drinks that can help ease esophagitis, and four to avoid. Others can help soothe and relieve pain. One study on alcoholism and esophagus problems found that alcohol consumption in early adulthood can lead to the. Epidemiologic evidence on alcohol consumption increasing the risk of gastroesophageal reflux disease (gerd) is. Alcohol consumption may increase symptoms of gerd and. Does Alcohol Cause Esophagitis.
From aminoco.com
Esophagitis Symptoms, Causes and Treatments The Amino Company Does Alcohol Cause Esophagitis Alcohol consumption in early adulthood may lead to the development of reflux esophagitis. Epidemiologic evidence on alcohol consumption increasing the risk of gastroesophageal reflux disease (gerd) is. One study on alcoholism and esophagus problems found that alcohol consumption in early adulthood can lead to the. Alcohol consumption may increase symptoms of gerd and cause damage to the esophageal mucosa. Others. Does Alcohol Cause Esophagitis.
From thegidocs.com
Barrett’s Esophagus causes and treatment Digestive and Liver Health Specialists Does Alcohol Cause Esophagitis Alcohol consumption in early adulthood may lead to the development of reflux esophagitis. Some drinks can trigger or worsen esophagitis. One study on alcoholism and esophagus problems found that alcohol consumption in early adulthood can lead to the. Others can help soothe and relieve pain. Alcohol consumption may increase symptoms of gerd and cause damage to the esophageal mucosa. Here. Does Alcohol Cause Esophagitis.
From www.northpointrecovery.com
The Effects of Alcohol on the Body FullPage Infographic Does Alcohol Cause Esophagitis Some drinks can trigger or worsen esophagitis. Alcohol consumption may increase symptoms of gerd and cause damage to the esophageal mucosa. Alcohol consumption in early adulthood may lead to the development of reflux esophagitis. Others can help soothe and relieve pain. One study on alcoholism and esophagus problems found that alcohol consumption in early adulthood can lead to the. Epidemiologic. Does Alcohol Cause Esophagitis.
From www.wikidoc.org
Esophagitis pathophysiology wikidoc Does Alcohol Cause Esophagitis Some drinks can trigger or worsen esophagitis. Alcohol consumption may increase symptoms of gerd and cause damage to the esophageal mucosa. Alcohol consumption in early adulthood may lead to the development of reflux esophagitis. Here are four drinks that can help ease esophagitis, and four to avoid. Others can help soothe and relieve pain. One study on alcoholism and esophagus. Does Alcohol Cause Esophagitis.
From draxe.com
Esophagitis Causes, Symptoms & Natural SelfCare Dr. Axe Does Alcohol Cause Esophagitis Others can help soothe and relieve pain. Epidemiologic evidence on alcohol consumption increasing the risk of gastroesophageal reflux disease (gerd) is. One study on alcoholism and esophagus problems found that alcohol consumption in early adulthood can lead to the. Alcohol consumption may increase symptoms of gerd and cause damage to the esophageal mucosa. Here are four drinks that can help. Does Alcohol Cause Esophagitis.
From healthjade.com
Esophagitis Causes & Treatment for Eosinophilic, Reflux & Erosive Does Alcohol Cause Esophagitis Here are four drinks that can help ease esophagitis, and four to avoid. Alcohol consumption in early adulthood may lead to the development of reflux esophagitis. Alcohol consumption may increase symptoms of gerd and cause damage to the esophageal mucosa. One study on alcoholism and esophagus problems found that alcohol consumption in early adulthood can lead to the. Some drinks. Does Alcohol Cause Esophagitis.
From www.linkedin.com
Symptoms of chronic Alcohol exposure Does Alcohol Cause Esophagitis Epidemiologic evidence on alcohol consumption increasing the risk of gastroesophageal reflux disease (gerd) is. Here are four drinks that can help ease esophagitis, and four to avoid. One study on alcoholism and esophagus problems found that alcohol consumption in early adulthood can lead to the. Some drinks can trigger or worsen esophagitis. Others can help soothe and relieve pain. Alcohol. Does Alcohol Cause Esophagitis.
From arcr.niaaa.nih.gov
Alcohol’s Effects on the Cardiovascular System Alcohol Research Current Reviews Does Alcohol Cause Esophagitis Alcohol consumption in early adulthood may lead to the development of reflux esophagitis. Here are four drinks that can help ease esophagitis, and four to avoid. Alcohol consumption may increase symptoms of gerd and cause damage to the esophageal mucosa. One study on alcoholism and esophagus problems found that alcohol consumption in early adulthood can lead to the. Others can. Does Alcohol Cause Esophagitis.
From www.youtube.com
Esophagitis (Esophagus Inflammation) Signs & Symptoms (& Why They Occur) YouTube Does Alcohol Cause Esophagitis One study on alcoholism and esophagus problems found that alcohol consumption in early adulthood can lead to the. Others can help soothe and relieve pain. Some drinks can trigger or worsen esophagitis. Here are four drinks that can help ease esophagitis, and four to avoid. Epidemiologic evidence on alcohol consumption increasing the risk of gastroesophageal reflux disease (gerd) is. Alcohol. Does Alcohol Cause Esophagitis.
From www.osmosis.org
Acid Reflux Diet What Is It, Foods to Eat, Foods to Avoid, and More Osmosis Does Alcohol Cause Esophagitis Others can help soothe and relieve pain. Here are four drinks that can help ease esophagitis, and four to avoid. Alcohol consumption may increase symptoms of gerd and cause damage to the esophageal mucosa. Alcohol consumption in early adulthood may lead to the development of reflux esophagitis. Some drinks can trigger or worsen esophagitis. Epidemiologic evidence on alcohol consumption increasing. Does Alcohol Cause Esophagitis.