What Are Peg Laterals . Because they sit along the front of the. peg shaped teeth are a dental disorder called microdontia, a condition where one or more teeth appear smaller than average. peg laterals are a dental condition where the lateral incisors are smaller and shaped like pegs. In general, the most common teeth affected are the upper lateral incisors or sometimes third molars. Treatment options for peg laterals include braces, dental bonding, veneers, or dental implants. peg laterals refer to underdeveloped lateral incisors between the upper central incisor and upper canine teeth. peg lateral incisors describes a condition where the second tooth on either side of the upper front teeth does not develop correctly and is small, often. peg teeth, also known as peg laterals, are a common dental anomaly that affects the shape and size of the teeth,. one of the most common situations that we see in dentistry involving microdontia and the anterior segment is the lateral incisor,. Besides, peg laterals happen on both sides in most instances, and they have shorter roots than usual teeth.
from bestdentistinhouston.com
peg teeth, also known as peg laterals, are a common dental anomaly that affects the shape and size of the teeth,. peg laterals are a dental condition where the lateral incisors are smaller and shaped like pegs. one of the most common situations that we see in dentistry involving microdontia and the anterior segment is the lateral incisor,. peg laterals refer to underdeveloped lateral incisors between the upper central incisor and upper canine teeth. Because they sit along the front of the. peg lateral incisors describes a condition where the second tooth on either side of the upper front teeth does not develop correctly and is small, often. In general, the most common teeth affected are the upper lateral incisors or sometimes third molars. Treatment options for peg laterals include braces, dental bonding, veneers, or dental implants. Besides, peg laterals happen on both sides in most instances, and they have shorter roots than usual teeth. peg shaped teeth are a dental disorder called microdontia, a condition where one or more teeth appear smaller than average.
What Are Peg Lateral Teeth? Best Dental
What Are Peg Laterals one of the most common situations that we see in dentistry involving microdontia and the anterior segment is the lateral incisor,. one of the most common situations that we see in dentistry involving microdontia and the anterior segment is the lateral incisor,. peg laterals refer to underdeveloped lateral incisors between the upper central incisor and upper canine teeth. peg laterals are a dental condition where the lateral incisors are smaller and shaped like pegs. peg shaped teeth are a dental disorder called microdontia, a condition where one or more teeth appear smaller than average. peg teeth, also known as peg laterals, are a common dental anomaly that affects the shape and size of the teeth,. peg lateral incisors describes a condition where the second tooth on either side of the upper front teeth does not develop correctly and is small, often. Because they sit along the front of the. In general, the most common teeth affected are the upper lateral incisors or sometimes third molars. Treatment options for peg laterals include braces, dental bonding, veneers, or dental implants. Besides, peg laterals happen on both sides in most instances, and they have shorter roots than usual teeth.
From www.cosmedent.com
Peg Laterals Tip of the Month by Dr. Rhodri Thomas Cosmedent What Are Peg Laterals peg laterals are a dental condition where the lateral incisors are smaller and shaped like pegs. In general, the most common teeth affected are the upper lateral incisors or sometimes third molars. Besides, peg laterals happen on both sides in most instances, and they have shorter roots than usual teeth. peg laterals refer to underdeveloped lateral incisors between. What Are Peg Laterals.
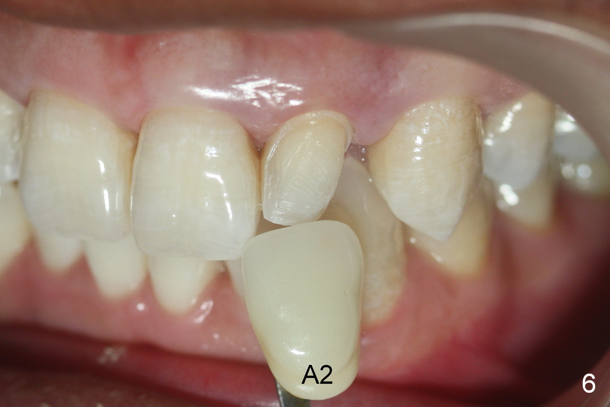
From mavink.com
Peg Lateral Bonding What Are Peg Laterals one of the most common situations that we see in dentistry involving microdontia and the anterior segment is the lateral incisor,. Treatment options for peg laterals include braces, dental bonding, veneers, or dental implants. peg teeth, also known as peg laterals, are a common dental anomaly that affects the shape and size of the teeth,. peg laterals. What Are Peg Laterals.
From www.xinweidds.com
Occlusal Consideration for Peg Lateraals and Veneers, Duluth (Atlanta What Are Peg Laterals Besides, peg laterals happen on both sides in most instances, and they have shorter roots than usual teeth. peg laterals refer to underdeveloped lateral incisors between the upper central incisor and upper canine teeth. Because they sit along the front of the. peg shaped teeth are a dental disorder called microdontia, a condition where one or more teeth. What Are Peg Laterals.
From mavink.com
Peg Lateral Bonding What Are Peg Laterals peg shaped teeth are a dental disorder called microdontia, a condition where one or more teeth appear smaller than average. Besides, peg laterals happen on both sides in most instances, and they have shorter roots than usual teeth. peg teeth, also known as peg laterals, are a common dental anomaly that affects the shape and size of the. What Are Peg Laterals.
From mavink.com
Peg Lateral Bonding What Are Peg Laterals peg laterals are a dental condition where the lateral incisors are smaller and shaped like pegs. Treatment options for peg laterals include braces, dental bonding, veneers, or dental implants. peg lateral incisors describes a condition where the second tooth on either side of the upper front teeth does not develop correctly and is small, often. peg teeth,. What Are Peg Laterals.
From desertpearldentistry.com
Peg laterals And How Dentists Can Treat Them Rancho Mirage CA What Are Peg Laterals Because they sit along the front of the. Besides, peg laterals happen on both sides in most instances, and they have shorter roots than usual teeth. peg laterals are a dental condition where the lateral incisors are smaller and shaped like pegs. peg teeth, also known as peg laterals, are a common dental anomaly that affects the shape. What Are Peg Laterals.
From www.youtube.com
Simple Ortho and Peg Lateral Bond Up YouTube What Are Peg Laterals peg laterals are a dental condition where the lateral incisors are smaller and shaped like pegs. peg teeth, also known as peg laterals, are a common dental anomaly that affects the shape and size of the teeth,. peg lateral incisors describes a condition where the second tooth on either side of the upper front teeth does not. What Are Peg Laterals.
From sophieqwbraun.blogspot.com
peg lateral incisor What Are Peg Laterals peg teeth, also known as peg laterals, are a common dental anomaly that affects the shape and size of the teeth,. peg shaped teeth are a dental disorder called microdontia, a condition where one or more teeth appear smaller than average. peg laterals refer to underdeveloped lateral incisors between the upper central incisor and upper canine teeth.. What Are Peg Laterals.
From www.brisbaneprosthodontics.com.au
Services Peg Laterals Brisbane Prosthodontics What Are Peg Laterals In general, the most common teeth affected are the upper lateral incisors or sometimes third molars. peg lateral incisors describes a condition where the second tooth on either side of the upper front teeth does not develop correctly and is small, often. peg shaped teeth are a dental disorder called microdontia, a condition where one or more teeth. What Are Peg Laterals.
From www.orangectdentist.com
Bye Bye Peg Lateral Calcaterra Family Dentistry What Are Peg Laterals Treatment options for peg laterals include braces, dental bonding, veneers, or dental implants. one of the most common situations that we see in dentistry involving microdontia and the anterior segment is the lateral incisor,. Besides, peg laterals happen on both sides in most instances, and they have shorter roots than usual teeth. peg laterals refer to underdeveloped lateral. What Are Peg Laterals.
From bestdentistinhouston.com
What Are Peg Lateral Teeth? Best Dental What Are Peg Laterals peg lateral incisors describes a condition where the second tooth on either side of the upper front teeth does not develop correctly and is small, often. Because they sit along the front of the. Besides, peg laterals happen on both sides in most instances, and they have shorter roots than usual teeth. peg shaped teeth are a dental. What Are Peg Laterals.
From www.smilesofvirginia.com
Peg_Laterals1 Smiles of Virginia Family Dental Center What Are Peg Laterals peg lateral incisors describes a condition where the second tooth on either side of the upper front teeth does not develop correctly and is small, often. In general, the most common teeth affected are the upper lateral incisors or sometimes third molars. Treatment options for peg laterals include braces, dental bonding, veneers, or dental implants. Because they sit along. What Are Peg Laterals.
From www.clonmelorthodontist.ie
What are peg shaped lateral incisors? Clonmel Orthodontics What Are Peg Laterals peg laterals refer to underdeveloped lateral incisors between the upper central incisor and upper canine teeth. Besides, peg laterals happen on both sides in most instances, and they have shorter roots than usual teeth. In general, the most common teeth affected are the upper lateral incisors or sometimes third molars. Treatment options for peg laterals include braces, dental bonding,. What Are Peg Laterals.
From www.brisbaneprosthodontics.com.au
Services Peg Laterals Brisbane Prosthodontics What Are Peg Laterals peg shaped teeth are a dental disorder called microdontia, a condition where one or more teeth appear smaller than average. peg laterals refer to underdeveloped lateral incisors between the upper central incisor and upper canine teeth. peg lateral incisors describes a condition where the second tooth on either side of the upper front teeth does not develop. What Are Peg Laterals.
From id-z.net
How to Fix Peg Lateral Teeth What Are Peg Laterals Treatment options for peg laterals include braces, dental bonding, veneers, or dental implants. Besides, peg laterals happen on both sides in most instances, and they have shorter roots than usual teeth. Because they sit along the front of the. In general, the most common teeth affected are the upper lateral incisors or sometimes third molars. peg shaped teeth are. What Are Peg Laterals.
From brooksher.com
Get Porcelain Veneers Instead of Bonding for My Peg Laterals? What Are Peg Laterals peg teeth, also known as peg laterals, are a common dental anomaly that affects the shape and size of the teeth,. peg laterals are a dental condition where the lateral incisors are smaller and shaped like pegs. In general, the most common teeth affected are the upper lateral incisors or sometimes third molars. peg lateral incisors describes. What Are Peg Laterals.
From adaq.org.au
Display event Mastering the Peg Lateral build up with direct composites What Are Peg Laterals one of the most common situations that we see in dentistry involving microdontia and the anterior segment is the lateral incisor,. peg lateral incisors describes a condition where the second tooth on either side of the upper front teeth does not develop correctly and is small, often. Because they sit along the front of the. peg shaped. What Are Peg Laterals.
From www.youtube.com
Correcting Peg Laterals A Time Saving Technique YouTube What Are Peg Laterals peg teeth, also known as peg laterals, are a common dental anomaly that affects the shape and size of the teeth,. peg shaped teeth are a dental disorder called microdontia, a condition where one or more teeth appear smaller than average. peg lateral incisors describes a condition where the second tooth on either side of the upper. What Are Peg Laterals.
From www.youtube.com
Peg lateral treatment faster and easier technique YouTube What Are Peg Laterals peg laterals refer to underdeveloped lateral incisors between the upper central incisor and upper canine teeth. Because they sit along the front of the. Treatment options for peg laterals include braces, dental bonding, veneers, or dental implants. peg lateral incisors describes a condition where the second tooth on either side of the upper front teeth does not develop. What Are Peg Laterals.
From firstbite.com.au
Peg Laterals Treatments FirstBite Dental Essendon Dentist What Are Peg Laterals one of the most common situations that we see in dentistry involving microdontia and the anterior segment is the lateral incisor,. peg laterals refer to underdeveloped lateral incisors between the upper central incisor and upper canine teeth. Besides, peg laterals happen on both sides in most instances, and they have shorter roots than usual teeth. In general, the. What Are Peg Laterals.
From www.youtube.com
Monday Tip How to move Peg Laterals with Clear Aligners! YouTube What Are Peg Laterals peg teeth, also known as peg laterals, are a common dental anomaly that affects the shape and size of the teeth,. peg laterals are a dental condition where the lateral incisors are smaller and shaped like pegs. peg shaped teeth are a dental disorder called microdontia, a condition where one or more teeth appear smaller than average.. What Are Peg Laterals.
From www.brisbaneprosthodontics.com.au
Services Peg Laterals Brisbane Prosthodontics What Are Peg Laterals Because they sit along the front of the. Treatment options for peg laterals include braces, dental bonding, veneers, or dental implants. peg lateral incisors describes a condition where the second tooth on either side of the upper front teeth does not develop correctly and is small, often. one of the most common situations that we see in dentistry. What Are Peg Laterals.
From www.brisbaneprosthodontics.com.au
Services Peg Laterals Brisbane Prosthodontics What Are Peg Laterals peg lateral incisors describes a condition where the second tooth on either side of the upper front teeth does not develop correctly and is small, often. Besides, peg laterals happen on both sides in most instances, and they have shorter roots than usual teeth. peg laterals are a dental condition where the lateral incisors are smaller and shaped. What Are Peg Laterals.
From www.thedentalarcade.com
PegLateral shaped Front teeth The Dental Arcade Blog What Are Peg Laterals peg lateral incisors describes a condition where the second tooth on either side of the upper front teeth does not develop correctly and is small, often. Besides, peg laterals happen on both sides in most instances, and they have shorter roots than usual teeth. In general, the most common teeth affected are the upper lateral incisors or sometimes third. What Are Peg Laterals.
From www.gotoapro.org
Peg Lateral Incisors American College of Prosthodontists What Are Peg Laterals peg laterals refer to underdeveloped lateral incisors between the upper central incisor and upper canine teeth. peg laterals are a dental condition where the lateral incisors are smaller and shaped like pegs. Besides, peg laterals happen on both sides in most instances, and they have shorter roots than usual teeth. In general, the most common teeth affected are. What Are Peg Laterals.
From www.styleitaliano.org
Extreme Peg Lateral Direct Restoration What Are Peg Laterals Besides, peg laterals happen on both sides in most instances, and they have shorter roots than usual teeth. peg laterals are a dental condition where the lateral incisors are smaller and shaped like pegs. one of the most common situations that we see in dentistry involving microdontia and the anterior segment is the lateral incisor,. Because they sit. What Are Peg Laterals.
From studylib.net
orthodontic mangement of peg laterals What Are Peg Laterals peg shaped teeth are a dental disorder called microdontia, a condition where one or more teeth appear smaller than average. In general, the most common teeth affected are the upper lateral incisors or sometimes third molars. one of the most common situations that we see in dentistry involving microdontia and the anterior segment is the lateral incisor,. . What Are Peg Laterals.
From www.youtube.com
Peg Laterals Diagnostic Wellington Village Orthodontics YouTube What Are Peg Laterals peg shaped teeth are a dental disorder called microdontia, a condition where one or more teeth appear smaller than average. one of the most common situations that we see in dentistry involving microdontia and the anterior segment is the lateral incisor,. Because they sit along the front of the. peg laterals are a dental condition where the. What Are Peg Laterals.
From www.southviewdentistrycharlotte.com
Case Study How to Fix Small Teeth With Peg Lateral Treatment What Are Peg Laterals peg teeth, also known as peg laterals, are a common dental anomaly that affects the shape and size of the teeth,. Besides, peg laterals happen on both sides in most instances, and they have shorter roots than usual teeth. Treatment options for peg laterals include braces, dental bonding, veneers, or dental implants. In general, the most common teeth affected. What Are Peg Laterals.
From pankeygram.org
Positioning Peg Laterals & Undersized Lateral Incisors for Optimal What Are Peg Laterals Treatment options for peg laterals include braces, dental bonding, veneers, or dental implants. peg laterals are a dental condition where the lateral incisors are smaller and shaped like pegs. one of the most common situations that we see in dentistry involving microdontia and the anterior segment is the lateral incisor,. peg lateral incisors describes a condition where. What Are Peg Laterals.
From handsonlinelive.mykajabi.com
Esthetic Peg Lateral & Class III Direct Restorations with Dr. Vargas What Are Peg Laterals peg laterals are a dental condition where the lateral incisors are smaller and shaped like pegs. Besides, peg laterals happen on both sides in most instances, and they have shorter roots than usual teeth. peg teeth, also known as peg laterals, are a common dental anomaly that affects the shape and size of the teeth,. peg lateral. What Are Peg Laterals.
From www.youtube.com
Peg Lateral Restoration Treatment Planning Dental Online Training What Are Peg Laterals Besides, peg laterals happen on both sides in most instances, and they have shorter roots than usual teeth. In general, the most common teeth affected are the upper lateral incisors or sometimes third molars. peg teeth, also known as peg laterals, are a common dental anomaly that affects the shape and size of the teeth,. peg shaped teeth. What Are Peg Laterals.
From myalexandriaortho.com
Missing and peg lateral incisors Alexandria, Virginia What Are Peg Laterals peg laterals are a dental condition where the lateral incisors are smaller and shaped like pegs. peg laterals refer to underdeveloped lateral incisors between the upper central incisor and upper canine teeth. Treatment options for peg laterals include braces, dental bonding, veneers, or dental implants. peg teeth, also known as peg laterals, are a common dental anomaly. What Are Peg Laterals.
From www.pinterest.com
Braces Peg Laterals before and after Peg, Braces What Are Peg Laterals peg laterals are a dental condition where the lateral incisors are smaller and shaped like pegs. In general, the most common teeth affected are the upper lateral incisors or sometimes third molars. Because they sit along the front of the. Besides, peg laterals happen on both sides in most instances, and they have shorter roots than usual teeth. . What Are Peg Laterals.
From www.brisbaneprosthodontics.com.au
Services Peg Laterals Brisbane Prosthodontics What Are Peg Laterals one of the most common situations that we see in dentistry involving microdontia and the anterior segment is the lateral incisor,. peg teeth, also known as peg laterals, are a common dental anomaly that affects the shape and size of the teeth,. peg laterals are a dental condition where the lateral incisors are smaller and shaped like. What Are Peg Laterals.