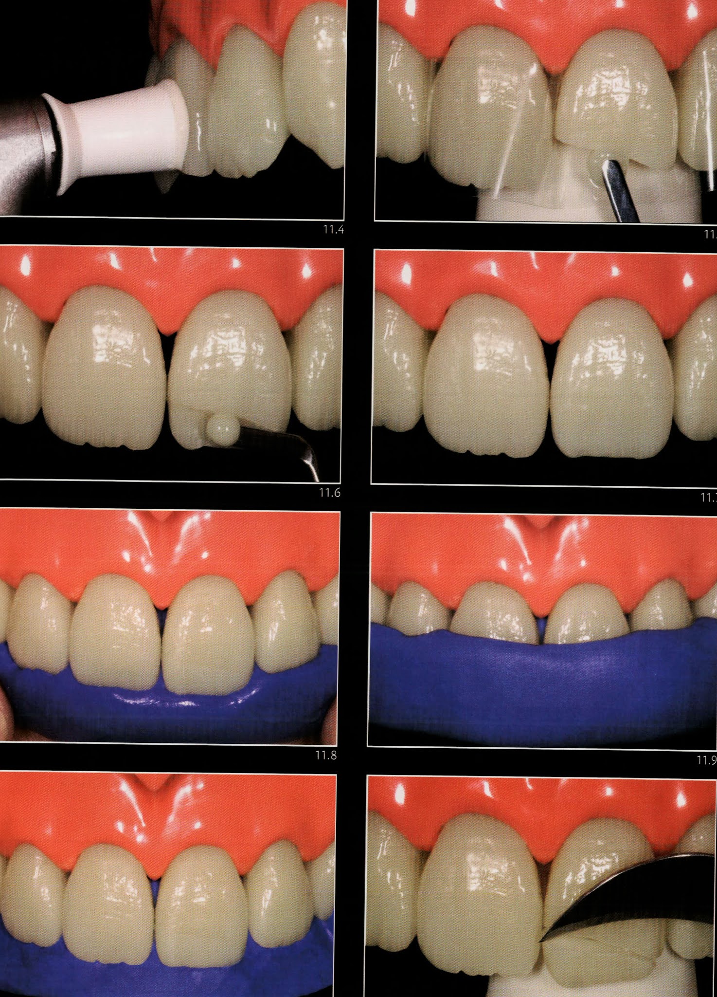
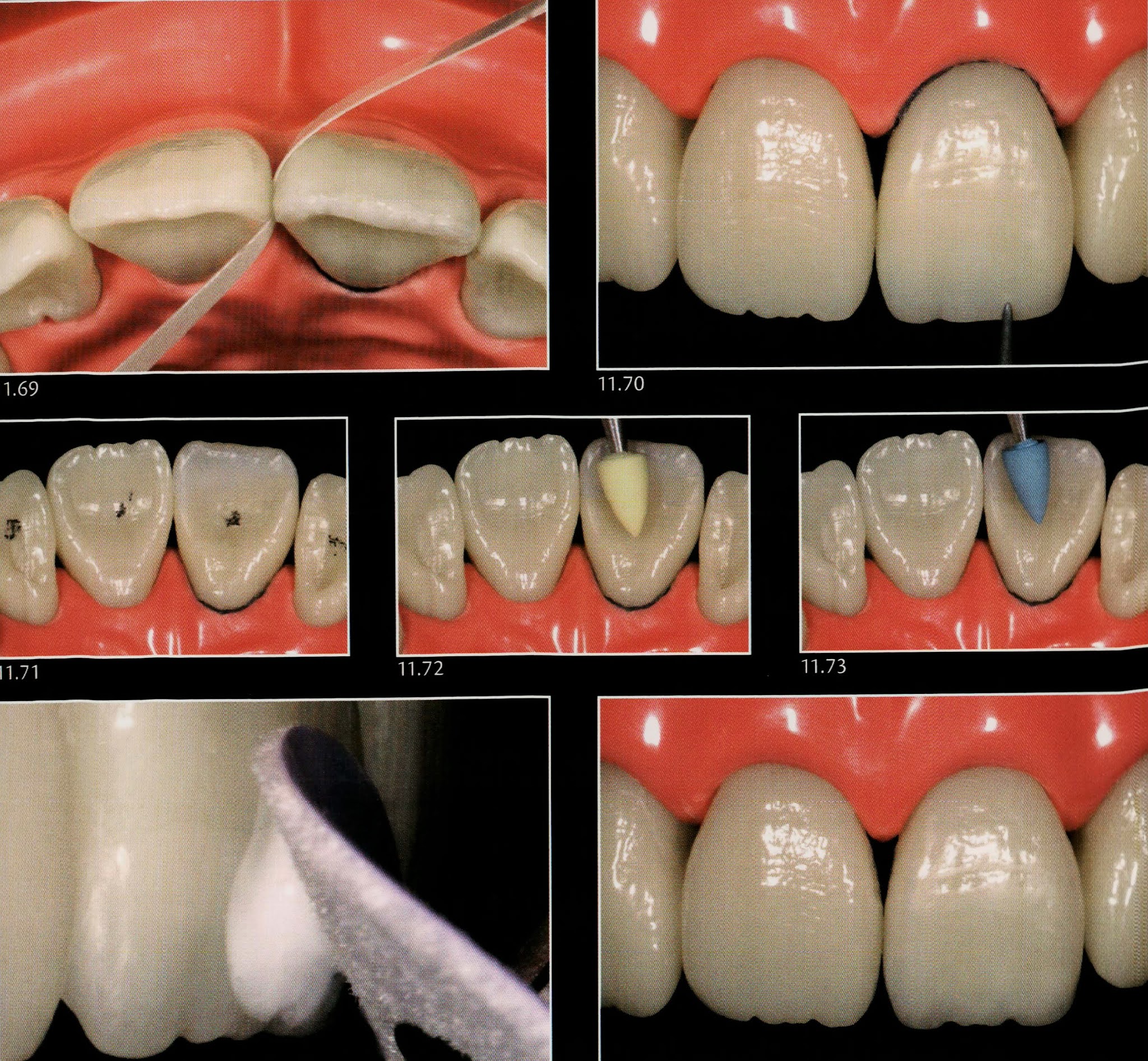
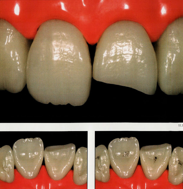
How To Do Class 4 Composite Restoration . in this article, we will consider a protocol for predictable bonding to tooth structure (both enamel and dentin) prior to layering the class iv restoration. this video is about placing a single shade class iv composite restoration on the columbia typodont. the purpose of this article is to briefly review the optical properties of natural dental tissues and how they may. learn a protocol for layering direct composite to achieve aesthetic success and functional durability for. to understand all the approaches to resin anterior dentition, you must first comprehend the preparation, layering, and finishing protocols behind. class iv composite restorations include those preparations on the proximal surface of anterior teeth.
from www.dentalestheticszak.com
class iv composite restorations include those preparations on the proximal surface of anterior teeth. in this article, we will consider a protocol for predictable bonding to tooth structure (both enamel and dentin) prior to layering the class iv restoration. to understand all the approaches to resin anterior dentition, you must first comprehend the preparation, layering, and finishing protocols behind. the purpose of this article is to briefly review the optical properties of natural dental tissues and how they may. learn a protocol for layering direct composite to achieve aesthetic success and functional durability for. this video is about placing a single shade class iv composite restoration on the columbia typodont.
Class IV composite " silicone guide technique " Dental Esthetics
How To Do Class 4 Composite Restoration learn a protocol for layering direct composite to achieve aesthetic success and functional durability for. in this article, we will consider a protocol for predictable bonding to tooth structure (both enamel and dentin) prior to layering the class iv restoration. this video is about placing a single shade class iv composite restoration on the columbia typodont. to understand all the approaches to resin anterior dentition, you must first comprehend the preparation, layering, and finishing protocols behind. the purpose of this article is to briefly review the optical properties of natural dental tissues and how they may. learn a protocol for layering direct composite to achieve aesthetic success and functional durability for. class iv composite restorations include those preparations on the proximal surface of anterior teeth.
From www.kuraraynoritake.eu
Highly aesthetic class IV composite restoration How To Do Class 4 Composite Restoration in this article, we will consider a protocol for predictable bonding to tooth structure (both enamel and dentin) prior to layering the class iv restoration. this video is about placing a single shade class iv composite restoration on the columbia typodont. learn a protocol for layering direct composite to achieve aesthetic success and functional durability for. . How To Do Class 4 Composite Restoration.
From www.youtube.com
Polychromatic Class IV composite restoration step by step with How To Do Class 4 Composite Restoration in this article, we will consider a protocol for predictable bonding to tooth structure (both enamel and dentin) prior to layering the class iv restoration. to understand all the approaches to resin anterior dentition, you must first comprehend the preparation, layering, and finishing protocols behind. class iv composite restorations include those preparations on the proximal surface of. How To Do Class 4 Composite Restoration.
From www.dentalestheticszak.com
Class IV composite " silicone guide technique " Dental Esthetics How To Do Class 4 Composite Restoration to understand all the approaches to resin anterior dentition, you must first comprehend the preparation, layering, and finishing protocols behind. this video is about placing a single shade class iv composite restoration on the columbia typodont. class iv composite restorations include those preparations on the proximal surface of anterior teeth. in this article, we will consider. How To Do Class 4 Composite Restoration.
From www.kuraraynoritake.eu
Highly aesthetic class IV composite restoration How To Do Class 4 Composite Restoration learn a protocol for layering direct composite to achieve aesthetic success and functional durability for. this video is about placing a single shade class iv composite restoration on the columbia typodont. in this article, we will consider a protocol for predictable bonding to tooth structure (both enamel and dentin) prior to layering the class iv restoration. . How To Do Class 4 Composite Restoration.
From www.pinterest.com
Layering Technique for the Class 4 Composite Restoration Tooth decay How To Do Class 4 Composite Restoration this video is about placing a single shade class iv composite restoration on the columbia typodont. in this article, we will consider a protocol for predictable bonding to tooth structure (both enamel and dentin) prior to layering the class iv restoration. class iv composite restorations include those preparations on the proximal surface of anterior teeth. the. How To Do Class 4 Composite Restoration.
From www.youtube.com
[ChyuieThuth] 8 MIFL Class 4 Composite Restoration YouTube How To Do Class 4 Composite Restoration the purpose of this article is to briefly review the optical properties of natural dental tissues and how they may. class iv composite restorations include those preparations on the proximal surface of anterior teeth. learn a protocol for layering direct composite to achieve aesthetic success and functional durability for. this video is about placing a single. How To Do Class 4 Composite Restoration.
From www.youtube.com
Class IV Composite Restoration "free hand technique " YouTube How To Do Class 4 Composite Restoration in this article, we will consider a protocol for predictable bonding to tooth structure (both enamel and dentin) prior to layering the class iv restoration. class iv composite restorations include those preparations on the proximal surface of anterior teeth. the purpose of this article is to briefly review the optical properties of natural dental tissues and how. How To Do Class 4 Composite Restoration.
From www.youtube.com
Class IV composite restoration YouTube How To Do Class 4 Composite Restoration learn a protocol for layering direct composite to achieve aesthetic success and functional durability for. this video is about placing a single shade class iv composite restoration on the columbia typodont. in this article, we will consider a protocol for predictable bonding to tooth structure (both enamel and dentin) prior to layering the class iv restoration. . How To Do Class 4 Composite Restoration.
From www.youtube.com
Class 4 Composite restoration YouTube How To Do Class 4 Composite Restoration in this article, we will consider a protocol for predictable bonding to tooth structure (both enamel and dentin) prior to layering the class iv restoration. this video is about placing a single shade class iv composite restoration on the columbia typodont. to understand all the approaches to resin anterior dentition, you must first comprehend the preparation, layering,. How To Do Class 4 Composite Restoration.
From www.kuraraynoritake.eu
Highly aesthetic class IV composite restoration How To Do Class 4 Composite Restoration this video is about placing a single shade class iv composite restoration on the columbia typodont. to understand all the approaches to resin anterior dentition, you must first comprehend the preparation, layering, and finishing protocols behind. learn a protocol for layering direct composite to achieve aesthetic success and functional durability for. class iv composite restorations include. How To Do Class 4 Composite Restoration.
From www.dentalestheticszak.com
Class IV composite " silicone guide technique " Dental Esthetics How To Do Class 4 Composite Restoration learn a protocol for layering direct composite to achieve aesthetic success and functional durability for. in this article, we will consider a protocol for predictable bonding to tooth structure (both enamel and dentin) prior to layering the class iv restoration. class iv composite restorations include those preparations on the proximal surface of anterior teeth. the purpose. How To Do Class 4 Composite Restoration.
From www.tv.odontologiavirtual.com
COMPOSITE RESTORATION Class IV Step by Step Dr. Dennis Hartlieb How To Do Class 4 Composite Restoration class iv composite restorations include those preparations on the proximal surface of anterior teeth. to understand all the approaches to resin anterior dentition, you must first comprehend the preparation, layering, and finishing protocols behind. in this article, we will consider a protocol for predictable bonding to tooth structure (both enamel and dentin) prior to layering the class. How To Do Class 4 Composite Restoration.
From www.clinicianschoice.com
Step by Step Protocol for Consistently Creating Invisible Class IV How To Do Class 4 Composite Restoration in this article, we will consider a protocol for predictable bonding to tooth structure (both enamel and dentin) prior to layering the class iv restoration. this video is about placing a single shade class iv composite restoration on the columbia typodont. the purpose of this article is to briefly review the optical properties of natural dental tissues. How To Do Class 4 Composite Restoration.
From www.youtube.com
Class IV Cavity Preparation and Composite RestorationStep by step How To Do Class 4 Composite Restoration the purpose of this article is to briefly review the optical properties of natural dental tissues and how they may. learn a protocol for layering direct composite to achieve aesthetic success and functional durability for. this video is about placing a single shade class iv composite restoration on the columbia typodont. in this article, we will. How To Do Class 4 Composite Restoration.
From www.myzerodonto.com
Class IV Composite restoration MyZerodonto How To Do Class 4 Composite Restoration learn a protocol for layering direct composite to achieve aesthetic success and functional durability for. the purpose of this article is to briefly review the optical properties of natural dental tissues and how they may. this video is about placing a single shade class iv composite restoration on the columbia typodont. to understand all the approaches. How To Do Class 4 Composite Restoration.
From www.youtube.com
Class IV Direct Restoration Composite Resin YouTube How To Do Class 4 Composite Restoration learn a protocol for layering direct composite to achieve aesthetic success and functional durability for. class iv composite restorations include those preparations on the proximal surface of anterior teeth. the purpose of this article is to briefly review the optical properties of natural dental tissues and how they may. this video is about placing a single. How To Do Class 4 Composite Restoration.
From www.youtube.com
Class IV Composite Restoration Restoration Technique YouTube How To Do Class 4 Composite Restoration the purpose of this article is to briefly review the optical properties of natural dental tissues and how they may. learn a protocol for layering direct composite to achieve aesthetic success and functional durability for. this video is about placing a single shade class iv composite restoration on the columbia typodont. class iv composite restorations include. How To Do Class 4 Composite Restoration.
From www.dentalestheticszak.com
Class IV composite " silicone guide technique " Dental Esthetics How To Do Class 4 Composite Restoration in this article, we will consider a protocol for predictable bonding to tooth structure (both enamel and dentin) prior to layering the class iv restoration. class iv composite restorations include those preparations on the proximal surface of anterior teeth. learn a protocol for layering direct composite to achieve aesthetic success and functional durability for. to understand. How To Do Class 4 Composite Restoration.
From www.youtube.com
Class IV composite YouTube How To Do Class 4 Composite Restoration in this article, we will consider a protocol for predictable bonding to tooth structure (both enamel and dentin) prior to layering the class iv restoration. learn a protocol for layering direct composite to achieve aesthetic success and functional durability for. the purpose of this article is to briefly review the optical properties of natural dental tissues and. How To Do Class 4 Composite Restoration.
From www.myzerodonto.com
Class IV Composite restoration by putty index technique MyZerodonto How To Do Class 4 Composite Restoration in this article, we will consider a protocol for predictable bonding to tooth structure (both enamel and dentin) prior to layering the class iv restoration. class iv composite restorations include those preparations on the proximal surface of anterior teeth. this video is about placing a single shade class iv composite restoration on the columbia typodont. the. How To Do Class 4 Composite Restoration.
From protrusive.co.uk
Occlusion on Class IV Composite Restorations PDP150 Protrusive How To Do Class 4 Composite Restoration in this article, we will consider a protocol for predictable bonding to tooth structure (both enamel and dentin) prior to layering the class iv restoration. class iv composite restorations include those preparations on the proximal surface of anterior teeth. the purpose of this article is to briefly review the optical properties of natural dental tissues and how. How To Do Class 4 Composite Restoration.
From www.youtube.com
Occlusion on Class IV Composite Restorations PDP150 YouTube How To Do Class 4 Composite Restoration the purpose of this article is to briefly review the optical properties of natural dental tissues and how they may. learn a protocol for layering direct composite to achieve aesthetic success and functional durability for. this video is about placing a single shade class iv composite restoration on the columbia typodont. in this article, we will. How To Do Class 4 Composite Restoration.
From medizzy.com
Step by step composite restoration MEDizzy How To Do Class 4 Composite Restoration learn a protocol for layering direct composite to achieve aesthetic success and functional durability for. this video is about placing a single shade class iv composite restoration on the columbia typodont. class iv composite restorations include those preparations on the proximal surface of anterior teeth. to understand all the approaches to resin anterior dentition, you must. How To Do Class 4 Composite Restoration.
From www.dentalestheticszak.com
Class IV composite " silicone guide technique " Dental Esthetics How To Do Class 4 Composite Restoration to understand all the approaches to resin anterior dentition, you must first comprehend the preparation, layering, and finishing protocols behind. this video is about placing a single shade class iv composite restoration on the columbia typodont. learn a protocol for layering direct composite to achieve aesthetic success and functional durability for. in this article, we will. How To Do Class 4 Composite Restoration.
From www.youtube.com
Class 4 composite restoration YouTube How To Do Class 4 Composite Restoration the purpose of this article is to briefly review the optical properties of natural dental tissues and how they may. in this article, we will consider a protocol for predictable bonding to tooth structure (both enamel and dentin) prior to layering the class iv restoration. this video is about placing a single shade class iv composite restoration. How To Do Class 4 Composite Restoration.
From www.dentalestheticszak.com
Class IV composite " silicone guide technique " Dental Esthetics How To Do Class 4 Composite Restoration learn a protocol for layering direct composite to achieve aesthetic success and functional durability for. to understand all the approaches to resin anterior dentition, you must first comprehend the preparation, layering, and finishing protocols behind. this video is about placing a single shade class iv composite restoration on the columbia typodont. class iv composite restorations include. How To Do Class 4 Composite Restoration.
From www.kuraraynoritake.eu
Highly aesthetic class IV composite restoration How To Do Class 4 Composite Restoration to understand all the approaches to resin anterior dentition, you must first comprehend the preparation, layering, and finishing protocols behind. the purpose of this article is to briefly review the optical properties of natural dental tissues and how they may. in this article, we will consider a protocol for predictable bonding to tooth structure (both enamel and. How To Do Class 4 Composite Restoration.
From www.youtube.com
Class 4 Direct Composite Restoration (Step By Step) YouTube How To Do Class 4 Composite Restoration in this article, we will consider a protocol for predictable bonding to tooth structure (both enamel and dentin) prior to layering the class iv restoration. the purpose of this article is to briefly review the optical properties of natural dental tissues and how they may. class iv composite restorations include those preparations on the proximal surface of. How To Do Class 4 Composite Restoration.
From www.youtube.com
Class IV Composite Restoration Clinical case YouTube How To Do Class 4 Composite Restoration class iv composite restorations include those preparations on the proximal surface of anterior teeth. learn a protocol for layering direct composite to achieve aesthetic success and functional durability for. this video is about placing a single shade class iv composite restoration on the columbia typodont. in this article, we will consider a protocol for predictable bonding. How To Do Class 4 Composite Restoration.
From leeannbrady.com
Class Four Composite Restoration Lee Ann Brady DMD How To Do Class 4 Composite Restoration in this article, we will consider a protocol for predictable bonding to tooth structure (both enamel and dentin) prior to layering the class iv restoration. this video is about placing a single shade class iv composite restoration on the columbia typodont. the purpose of this article is to briefly review the optical properties of natural dental tissues. How To Do Class 4 Composite Restoration.
From www.youtube.com
Class IV Composite Restoration by Dr. Dennis Hartlieb Dental Online How To Do Class 4 Composite Restoration in this article, we will consider a protocol for predictable bonding to tooth structure (both enamel and dentin) prior to layering the class iv restoration. learn a protocol for layering direct composite to achieve aesthetic success and functional durability for. to understand all the approaches to resin anterior dentition, you must first comprehend the preparation, layering, and. How To Do Class 4 Composite Restoration.
From www.youtube.com
Class IV Composite Restoration How to Make Lingual Index YouTube How To Do Class 4 Composite Restoration the purpose of this article is to briefly review the optical properties of natural dental tissues and how they may. learn a protocol for layering direct composite to achieve aesthetic success and functional durability for. in this article, we will consider a protocol for predictable bonding to tooth structure (both enamel and dentin) prior to layering the. How To Do Class 4 Composite Restoration.
From www.kuraraynoritake.eu
Highly aesthetic class IV composite restoration How To Do Class 4 Composite Restoration class iv composite restorations include those preparations on the proximal surface of anterior teeth. learn a protocol for layering direct composite to achieve aesthetic success and functional durability for. this video is about placing a single shade class iv composite restoration on the columbia typodont. to understand all the approaches to resin anterior dentition, you must. How To Do Class 4 Composite Restoration.
From www.youtube.com
Class IV Composite Restoration Step by Step One Shade Class IV How To Do Class 4 Composite Restoration learn a protocol for layering direct composite to achieve aesthetic success and functional durability for. to understand all the approaches to resin anterior dentition, you must first comprehend the preparation, layering, and finishing protocols behind. the purpose of this article is to briefly review the optical properties of natural dental tissues and how they may. this. How To Do Class 4 Composite Restoration.
From www.youtube.com
Direct Class IV Composite Restoration Free hand technique YouTube How To Do Class 4 Composite Restoration the purpose of this article is to briefly review the optical properties of natural dental tissues and how they may. in this article, we will consider a protocol for predictable bonding to tooth structure (both enamel and dentin) prior to layering the class iv restoration. learn a protocol for layering direct composite to achieve aesthetic success and. How To Do Class 4 Composite Restoration.