Veneers And Gum Recession . Cosmetically, your best options might be veneers, which can reduce the appearance of receding gums; When the gums recede, the roots of the teeth become exposed, so the teeth look longer. A gum veneer can help improve the look. 4.5/5 (5,121) If the recession is significant, it might reveal too much of the. Will a gum veneer help your receding gums? Your smile can change and become unsightly, and since gum tissue doesn’t grow back, the best way to improve the look of your. Most people have heard about veneers for the teeth, but not a lot of people. The degree of gum recession determines the fit of veneers. They will minimise any discomfort caused by tooth sensitivity and can make teeth look shorter. It is possible to get veneers with receding gums. Gum recession usually occurs after treating gum disease. This type of veneer treatment can help correct gum recession issues, but they do not treat gum recession per se. Porcelain veneers have been known not to contribute to your gums receding or will cause gum recession of any kind. However, you will need to treat the underlying reason for receding gums first.
from www.citydental.co.nz
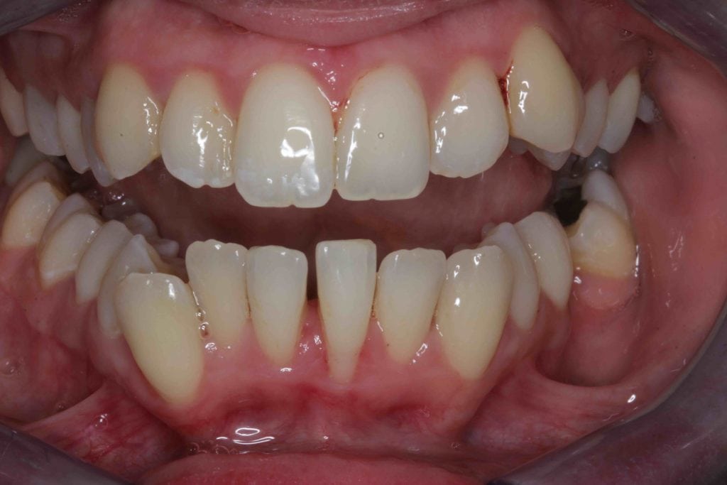
Cosmetically, your best options might be veneers, which can reduce the appearance of receding gums; 4.5/5 (5,121) It is possible to get veneers with receding gums. They will minimise any discomfort caused by tooth sensitivity and can make teeth look shorter. Your smile can change and become unsightly, and since gum tissue doesn’t grow back, the best way to improve the look of your. However, you will need to treat the underlying reason for receding gums first. The degree of gum recession determines the fit of veneers. When the gums recede, the roots of the teeth become exposed, so the teeth look longer. If the recession is significant, it might reveal too much of the. A gum veneer can help improve the look.
How Long Do Veneers Last City Dental
Veneers And Gum Recession A gum veneer can help improve the look. Gum recession usually occurs after treating gum disease. A gum veneer can help improve the look. When the gums recede, the roots of the teeth become exposed, so the teeth look longer. Cosmetically, your best options might be veneers, which can reduce the appearance of receding gums; This type of veneer treatment can help correct gum recession issues, but they do not treat gum recession per se. Most people have heard about veneers for the teeth, but not a lot of people. If the recession is significant, it might reveal too much of the. 4.5/5 (5,121) However, you will need to treat the underlying reason for receding gums first. Will a gum veneer help your receding gums? They will minimise any discomfort caused by tooth sensitivity and can make teeth look shorter. 4.5/5 (5,121) It is possible to get veneers with receding gums. Porcelain veneers have been known not to contribute to your gums receding or will cause gum recession of any kind. Your smile can change and become unsightly, and since gum tissue doesn’t grow back, the best way to improve the look of your.
From gumdiseaseguide.org
Bonding vs Gum Grafting Veneers And Gum Recession If the recession is significant, it might reveal too much of the. Most people have heard about veneers for the teeth, but not a lot of people. Gum recession usually occurs after treating gum disease. A gum veneer can help improve the look. It is possible to get veneers with receding gums. Cosmetically, your best options might be veneers, which. Veneers And Gum Recession.
From www.implantdentist.co.nz
Periodontal (Gum) Disease Institute of Dental Implants & Periodontics Veneers And Gum Recession The degree of gum recession determines the fit of veneers. Cosmetically, your best options might be veneers, which can reduce the appearance of receding gums; Porcelain veneers have been known not to contribute to your gums receding or will cause gum recession of any kind. They will minimise any discomfort caused by tooth sensitivity and can make teeth look shorter.. Veneers And Gum Recession.
From dentagama.com
Gingival veneers News Dentagama Veneers And Gum Recession 4.5/5 (5,121) Cosmetically, your best options might be veneers, which can reduce the appearance of receding gums; This type of veneer treatment can help correct gum recession issues, but they do not treat gum recession per se. Will a gum veneer help your receding gums? The degree of gum recession determines the fit of veneers. When the gums recede,. Veneers And Gum Recession.
From museumdental.com
How to Fix receding Gums? Museum Dental Center Los Angeles Veneers And Gum Recession 4.5/5 (5,121) Cosmetically, your best options might be veneers, which can reduce the appearance of receding gums; They will minimise any discomfort caused by tooth sensitivity and can make teeth look shorter. Will a gum veneer help your receding gums? When the gums recede, the roots of the teeth become exposed, so the teeth look longer. Gum recession usually. Veneers And Gum Recession.
From www.clintnewmandds.com
Porcelain Veneers and Receding Gums Nashville, TN Veneers And Gum Recession When the gums recede, the roots of the teeth become exposed, so the teeth look longer. Porcelain veneers have been known not to contribute to your gums receding or will cause gum recession of any kind. If the recession is significant, it might reveal too much of the. A gum veneer can help improve the look. 4.5/5 (5,121) It. Veneers And Gum Recession.
From signaturedentistry.com.au
Veneers Before and After By Dr Kasen Veneers And Gum Recession They will minimise any discomfort caused by tooth sensitivity and can make teeth look shorter. 4.5/5 (5,121) It is possible to get veneers with receding gums. Gum recession usually occurs after treating gum disease. When the gums recede, the roots of the teeth become exposed, so the teeth look longer. 4.5/5 (5,121) If the recession is significant, it. Veneers And Gum Recession.
From www.dentaltreatmentinspain.co.uk
Veneers & Gum Recontouring Dental Treatment In Spain Veneers And Gum Recession This type of veneer treatment can help correct gum recession issues, but they do not treat gum recession per se. Gum recession usually occurs after treating gum disease. However, you will need to treat the underlying reason for receding gums first. Porcelain veneers have been known not to contribute to your gums receding or will cause gum recession of any. Veneers And Gum Recession.
From www.masterpiecesmile.com
Porcelain Veneers and Gum Recession Philadelphia, PA Veneers And Gum Recession Cosmetically, your best options might be veneers, which can reduce the appearance of receding gums; Gum recession usually occurs after treating gum disease. Most people have heard about veneers for the teeth, but not a lot of people. Your smile can change and become unsightly, and since gum tissue doesn’t grow back, the best way to improve the look of. Veneers And Gum Recession.
From www.konigdds.com
Can Porcelain Veneers Be Used With Gum Recession? Konig Center for Veneers And Gum Recession A gum veneer can help improve the look. However, you will need to treat the underlying reason for receding gums first. If the recession is significant, it might reveal too much of the. This type of veneer treatment can help correct gum recession issues, but they do not treat gum recession per se. 4.5/5 (5,121) Will a gum veneer. Veneers And Gum Recession.
From loveperio.com
Before and After Recession Coverage and Veneers LovePerio Veneers And Gum Recession The degree of gum recession determines the fit of veneers. Cosmetically, your best options might be veneers, which can reduce the appearance of receding gums; Will a gum veneer help your receding gums? When the gums recede, the roots of the teeth become exposed, so the teeth look longer. This type of veneer treatment can help correct gum recession issues,. Veneers And Gum Recession.
From loveperio.com
Before and After Recession Coverage and Veneers LovePerio Veneers And Gum Recession The degree of gum recession determines the fit of veneers. Will a gum veneer help your receding gums? It is possible to get veneers with receding gums. Your smile can change and become unsightly, and since gum tissue doesn’t grow back, the best way to improve the look of your. They will minimise any discomfort caused by tooth sensitivity and. Veneers And Gum Recession.
From www.pinterest.com
What can Veneers help with? Improve the color of teeth. Fix chipped Veneers And Gum Recession Gum recession usually occurs after treating gum disease. However, you will need to treat the underlying reason for receding gums first. Most people have heard about veneers for the teeth, but not a lot of people. 4.5/5 (5,121) The degree of gum recession determines the fit of veneers. Cosmetically, your best options might be veneers, which can reduce the. Veneers And Gum Recession.
From onlinelibrary.wiley.com
Restoration of gingival recession with periodontal preformed composite Veneers And Gum Recession If the recession is significant, it might reveal too much of the. Will a gum veneer help your receding gums? 4.5/5 (5,121) Your smile can change and become unsightly, and since gum tissue doesn’t grow back, the best way to improve the look of your. It is possible to get veneers with receding gums. Most people have heard about. Veneers And Gum Recession.
From www.youtube.com
How to get gum recession back and Improve your smile with Porcelain Veneers And Gum Recession If the recession is significant, it might reveal too much of the. Cosmetically, your best options might be veneers, which can reduce the appearance of receding gums; When the gums recede, the roots of the teeth become exposed, so the teeth look longer. Will a gum veneer help your receding gums? Your smile can change and become unsightly, and since. Veneers And Gum Recession.
From www.pinterest.com
Pin on Dental Education Veneers And Gum Recession Most people have heard about veneers for the teeth, but not a lot of people. 4.5/5 (5,121) If the recession is significant, it might reveal too much of the. They will minimise any discomfort caused by tooth sensitivity and can make teeth look shorter. A gum veneer can help improve the look. This type of veneer treatment can help. Veneers And Gum Recession.
From www.tompkinsdental.com
Receding Gums and 6 Other Signs of Gum Disease Tompkins Dental Veneers And Gum Recession The degree of gum recession determines the fit of veneers. A gum veneer can help improve the look. This type of veneer treatment can help correct gum recession issues, but they do not treat gum recession per se. It is possible to get veneers with receding gums. Most people have heard about veneers for the teeth, but not a lot. Veneers And Gum Recession.
From smilesny.com
Before and After Gum Surgery & Dental Crowns & Smile Makeover Veneers And Gum Recession The degree of gum recession determines the fit of veneers. 4.5/5 (5,121) A gum veneer can help improve the look. However, you will need to treat the underlying reason for receding gums first. This type of veneer treatment can help correct gum recession issues, but they do not treat gum recession per se. It is possible to get veneers. Veneers And Gum Recession.
From www.infodentis.com
How Can We Stop Receding Gums? Veneers And Gum Recession 4.5/5 (5,121) When the gums recede, the roots of the teeth become exposed, so the teeth look longer. A gum veneer can help improve the look. 4.5/5 (5,121) It is possible to get veneers with receding gums. Porcelain veneers have been known not to contribute to your gums receding or will cause gum recession of any kind. If. Veneers And Gum Recession.
From www.pinterest.com
Rodeo Drive Porcelain Veneer Transformation For Gummy Smile Smile Veneers And Gum Recession It is possible to get veneers with receding gums. Cosmetically, your best options might be veneers, which can reduce the appearance of receding gums; However, you will need to treat the underlying reason for receding gums first. The degree of gum recession determines the fit of veneers. Will a gum veneer help your receding gums? Your smile can change and. Veneers And Gum Recession.
From infinitydentalclinic.co.uk
Treating receding gums Infinity Dental Clinic Leeds Veneers And Gum Recession Will a gum veneer help your receding gums? It is possible to get veneers with receding gums. The degree of gum recession determines the fit of veneers. 4.5/5 (5,121) Cosmetically, your best options might be veneers, which can reduce the appearance of receding gums; Most people have heard about veneers for the teeth, but not a lot of people.. Veneers And Gum Recession.
From dentistspreston.com
Porcelain Veneers or Braces? Make the Right Choice Veneers And Gum Recession Porcelain veneers have been known not to contribute to your gums receding or will cause gum recession of any kind. 4.5/5 (5,121) However, you will need to treat the underlying reason for receding gums first. The degree of gum recession determines the fit of veneers. Your smile can change and become unsightly, and since gum tissue doesn’t grow back,. Veneers And Gum Recession.
From www.sfdentistry.com
Veneers Before & After Photos Samadian Cosmetic & Advanced Dentistry Veneers And Gum Recession It is possible to get veneers with receding gums. 4.5/5 (5,121) A gum veneer can help improve the look. Will a gum veneer help your receding gums? However, you will need to treat the underlying reason for receding gums first. Most people have heard about veneers for the teeth, but not a lot of people. If the recession is. Veneers And Gum Recession.
From createsmiles.com
Gum Recession CreateSmiles by Dr. Brad Lockhart Tustin Dentist Veneers And Gum Recession Gum recession usually occurs after treating gum disease. A gum veneer can help improve the look. 4.5/5 (5,121) Your smile can change and become unsightly, and since gum tissue doesn’t grow back, the best way to improve the look of your. However, you will need to treat the underlying reason for receding gums first. If the recession is significant,. Veneers And Gum Recession.
From zabolekar-ralev.com
Gingival recession (Receding gums) Ralev Dental Clinic Veneers And Gum Recession If the recession is significant, it might reveal too much of the. 4.5/5 (5,121) It is possible to get veneers with receding gums. Will a gum veneer help your receding gums? Cosmetically, your best options might be veneers, which can reduce the appearance of receding gums; The degree of gum recession determines the fit of veneers. However, you will. Veneers And Gum Recession.
From www.gorgeoussmiles.com.au
Veneers For Receding Gums Smiles Dental Veneers And Gum Recession It is possible to get veneers with receding gums. Porcelain veneers have been known not to contribute to your gums receding or will cause gum recession of any kind. If the recession is significant, it might reveal too much of the. This type of veneer treatment can help correct gum recession issues, but they do not treat gum recession per. Veneers And Gum Recession.
From www.limelightdental.ca
5 Signs You May Have Receding Gums And Treatment Options Lime Light Veneers And Gum Recession 4.5/5 (5,121) Cosmetically, your best options might be veneers, which can reduce the appearance of receding gums; The degree of gum recession determines the fit of veneers. Gum recession usually occurs after treating gum disease. This type of veneer treatment can help correct gum recession issues, but they do not treat gum recession per se. A gum veneer can. Veneers And Gum Recession.
From dentistspreston.com
Porcelain Veneers or Braces? Make the Right Choice Veneers And Gum Recession However, you will need to treat the underlying reason for receding gums first. When the gums recede, the roots of the teeth become exposed, so the teeth look longer. If the recession is significant, it might reveal too much of the. The degree of gum recession determines the fit of veneers. Cosmetically, your best options might be veneers, which can. Veneers And Gum Recession.
From www.sfdentistry.com
Veneers Before & After Photos Samadian Cosmetic & Advanced Dentistry Veneers And Gum Recession Porcelain veneers have been known not to contribute to your gums receding or will cause gum recession of any kind. 4.5/5 (5,121) Gum recession usually occurs after treating gum disease. A gum veneer can help improve the look. The degree of gum recession determines the fit of veneers. Most people have heard about veneers for the teeth, but not. Veneers And Gum Recession.
From medium.com
Gum Disease and Veneers Compatibility Guide by Rand Boulay D.D.S Veneers And Gum Recession Will a gum veneer help your receding gums? A gum veneer can help improve the look. They will minimise any discomfort caused by tooth sensitivity and can make teeth look shorter. Most people have heard about veneers for the teeth, but not a lot of people. If the recession is significant, it might reveal too much of the. The degree. Veneers And Gum Recession.
From www.reddit.com
Veneers and gum recession? r/Dentistry Veneers And Gum Recession 4.5/5 (5,121) It is possible to get veneers with receding gums. Will a gum veneer help your receding gums? 4.5/5 (5,121) Cosmetically, your best options might be veneers, which can reduce the appearance of receding gums; However, you will need to treat the underlying reason for receding gums first. If the recession is significant, it might reveal too. Veneers And Gum Recession.
From www.myradental.co.uk
5 Side Effects of Dental Veneer Veneers And Gum Recession If the recession is significant, it might reveal too much of the. This type of veneer treatment can help correct gum recession issues, but they do not treat gum recession per se. It is possible to get veneers with receding gums. 4.5/5 (5,121) Cosmetically, your best options might be veneers, which can reduce the appearance of receding gums; Your. Veneers And Gum Recession.
From www.sfdentistry.com
Veneers Before & After Photos Samadian Cosmetic & Advanced Dentistry Veneers And Gum Recession Gum recession usually occurs after treating gum disease. It is possible to get veneers with receding gums. 4.5/5 (5,121) 4.5/5 (5,121) Will a gum veneer help your receding gums? If the recession is significant, it might reveal too much of the. Your smile can change and become unsightly, and since gum tissue doesn’t grow back, the best way. Veneers And Gum Recession.
From www.citydental.co.nz
How Long Do Veneers Last City Dental Veneers And Gum Recession Cosmetically, your best options might be veneers, which can reduce the appearance of receding gums; The degree of gum recession determines the fit of veneers. It is possible to get veneers with receding gums. 4.5/5 (5,121) Gum recession usually occurs after treating gum disease. 4.5/5 (5,121) When the gums recede, the roots of the teeth become exposed, so. Veneers And Gum Recession.
From www.researchgate.net
(PDF) Gingival Veneer A Novel Technique of Masking Gingival Recession Veneers And Gum Recession The degree of gum recession determines the fit of veneers. Most people have heard about veneers for the teeth, but not a lot of people. When the gums recede, the roots of the teeth become exposed, so the teeth look longer. 4.5/5 (5,121) A gum veneer can help improve the look. It is possible to get veneers with receding. Veneers And Gum Recession.
From spectrumdent.com
What Causes Gum Recession? Spectrum Dental Group Veneers And Gum Recession Cosmetically, your best options might be veneers, which can reduce the appearance of receding gums; Porcelain veneers have been known not to contribute to your gums receding or will cause gum recession of any kind. This type of veneer treatment can help correct gum recession issues, but they do not treat gum recession per se. Most people have heard about. Veneers And Gum Recession.