Crohn's Disease Gross Pathology . Crohn's disease, abbreviated as cd, is a type of inflammatory bowel disease. Gastrointestinal pathology grossing guidelines page | 1 specimen type: Involvement of the upper and lower. Unlike ulcerative colitis, the bowel involvement in crohn disease is not continuous but shows segmental distribution of. Crohn disease is one of the inflammatory bowel disorders (ibd), the other being ulcerative colitis. The two major types are crohn’s disease (cd) and ulcerative colitis (uc). Consequently, a thorough understanding of the clinical, radiologic, endoscopic, and pathologic features of cd, as well as effective communication between the pathologist and. It is the bread and. Crohn’s disease is characterized by recurrent episodes of. Ibd is a chronic disease characterized by alteration in mucosal immune. Chronic, relapsing, idiopathic inflammatory gastrointestinal disease.
from www.pathologyoutlines.com
The two major types are crohn’s disease (cd) and ulcerative colitis (uc). It is the bread and. Crohn's disease, abbreviated as cd, is a type of inflammatory bowel disease. Gastrointestinal pathology grossing guidelines page | 1 specimen type: Crohn disease is one of the inflammatory bowel disorders (ibd), the other being ulcerative colitis. Consequently, a thorough understanding of the clinical, radiologic, endoscopic, and pathologic features of cd, as well as effective communication between the pathologist and. Ibd is a chronic disease characterized by alteration in mucosal immune. Crohn’s disease is characterized by recurrent episodes of. Unlike ulcerative colitis, the bowel involvement in crohn disease is not continuous but shows segmental distribution of. Involvement of the upper and lower.
Pathology Outlines Crohn's disease
Crohn's Disease Gross Pathology Crohn's disease, abbreviated as cd, is a type of inflammatory bowel disease. Gastrointestinal pathology grossing guidelines page | 1 specimen type: Unlike ulcerative colitis, the bowel involvement in crohn disease is not continuous but shows segmental distribution of. The two major types are crohn’s disease (cd) and ulcerative colitis (uc). Crohn’s disease is characterized by recurrent episodes of. Involvement of the upper and lower. Crohn disease is one of the inflammatory bowel disorders (ibd), the other being ulcerative colitis. It is the bread and. Ibd is a chronic disease characterized by alteration in mucosal immune. Chronic, relapsing, idiopathic inflammatory gastrointestinal disease. Consequently, a thorough understanding of the clinical, radiologic, endoscopic, and pathologic features of cd, as well as effective communication between the pathologist and. Crohn's disease, abbreviated as cd, is a type of inflammatory bowel disease.
From ilovepathology.com
ULCERATIVE COLITIS vs CROHNS DISEASE Pathology Made Simple Crohn's Disease Gross Pathology Involvement of the upper and lower. Crohn disease is one of the inflammatory bowel disorders (ibd), the other being ulcerative colitis. It is the bread and. Chronic, relapsing, idiopathic inflammatory gastrointestinal disease. The two major types are crohn’s disease (cd) and ulcerative colitis (uc). Consequently, a thorough understanding of the clinical, radiologic, endoscopic, and pathologic features of cd, as well. Crohn's Disease Gross Pathology.
From ilovepathology.com
Pathology of Crohn’s Disease Pathology Made Simple Crohn's Disease Gross Pathology The two major types are crohn’s disease (cd) and ulcerative colitis (uc). It is the bread and. Ibd is a chronic disease characterized by alteration in mucosal immune. Chronic, relapsing, idiopathic inflammatory gastrointestinal disease. Crohn’s disease is characterized by recurrent episodes of. Crohn disease is one of the inflammatory bowel disorders (ibd), the other being ulcerative colitis. Gastrointestinal pathology grossing. Crohn's Disease Gross Pathology.
From mavink.com
Crohn's Disease Histology Crohn's Disease Gross Pathology Chronic, relapsing, idiopathic inflammatory gastrointestinal disease. It is the bread and. Ibd is a chronic disease characterized by alteration in mucosal immune. Crohn's disease, abbreviated as cd, is a type of inflammatory bowel disease. Crohn disease is one of the inflammatory bowel disorders (ibd), the other being ulcerative colitis. Unlike ulcerative colitis, the bowel involvement in crohn disease is not. Crohn's Disease Gross Pathology.
From www.pathologyoutlines.com
Pathology Outlines Crohn's disease Crohn's Disease Gross Pathology Gastrointestinal pathology grossing guidelines page | 1 specimen type: Unlike ulcerative colitis, the bowel involvement in crohn disease is not continuous but shows segmental distribution of. Involvement of the upper and lower. It is the bread and. Ibd is a chronic disease characterized by alteration in mucosal immune. Crohn’s disease is characterized by recurrent episodes of. Chronic, relapsing, idiopathic inflammatory. Crohn's Disease Gross Pathology.
From mavink.com
Crohn's Disease Histology Crohn's Disease Gross Pathology Gastrointestinal pathology grossing guidelines page | 1 specimen type: Consequently, a thorough understanding of the clinical, radiologic, endoscopic, and pathologic features of cd, as well as effective communication between the pathologist and. Crohn disease is one of the inflammatory bowel disorders (ibd), the other being ulcerative colitis. Ibd is a chronic disease characterized by alteration in mucosal immune. Crohn's disease,. Crohn's Disease Gross Pathology.
From www.pathologyoutlines.com
Pathology Outlines Crohn's disease Crohn's Disease Gross Pathology Gastrointestinal pathology grossing guidelines page | 1 specimen type: Crohn's disease, abbreviated as cd, is a type of inflammatory bowel disease. Chronic, relapsing, idiopathic inflammatory gastrointestinal disease. Consequently, a thorough understanding of the clinical, radiologic, endoscopic, and pathologic features of cd, as well as effective communication between the pathologist and. Ibd is a chronic disease characterized by alteration in mucosal. Crohn's Disease Gross Pathology.
From mungfali.com
Crohn's Disease Histology Crohn's Disease Gross Pathology Unlike ulcerative colitis, the bowel involvement in crohn disease is not continuous but shows segmental distribution of. Consequently, a thorough understanding of the clinical, radiologic, endoscopic, and pathologic features of cd, as well as effective communication between the pathologist and. It is the bread and. Gastrointestinal pathology grossing guidelines page | 1 specimen type: Involvement of the upper and lower.. Crohn's Disease Gross Pathology.
From mavink.com
Pathogenesis Of Crohn's Disease Crohn's Disease Gross Pathology Involvement of the upper and lower. Gastrointestinal pathology grossing guidelines page | 1 specimen type: Unlike ulcerative colitis, the bowel involvement in crohn disease is not continuous but shows segmental distribution of. Crohn's disease, abbreviated as cd, is a type of inflammatory bowel disease. Ibd is a chronic disease characterized by alteration in mucosal immune. Consequently, a thorough understanding of. Crohn's Disease Gross Pathology.
From mavink.com
Crohn's Disease Histology Crohn's Disease Gross Pathology Crohn’s disease is characterized by recurrent episodes of. Unlike ulcerative colitis, the bowel involvement in crohn disease is not continuous but shows segmental distribution of. Crohn's disease, abbreviated as cd, is a type of inflammatory bowel disease. Crohn disease is one of the inflammatory bowel disorders (ibd), the other being ulcerative colitis. Consequently, a thorough understanding of the clinical, radiologic,. Crohn's Disease Gross Pathology.
From www.nature.com
Clinical and pathological analysis of colonic Crohn's disease Crohn's Disease Gross Pathology The two major types are crohn’s disease (cd) and ulcerative colitis (uc). It is the bread and. Gastrointestinal pathology grossing guidelines page | 1 specimen type: Chronic, relapsing, idiopathic inflammatory gastrointestinal disease. Consequently, a thorough understanding of the clinical, radiologic, endoscopic, and pathologic features of cd, as well as effective communication between the pathologist and. Involvement of the upper and. Crohn's Disease Gross Pathology.
From www.pathologyoutlines.com
Pathology Outlines Crohn's disease Crohn's Disease Gross Pathology Crohn disease is one of the inflammatory bowel disorders (ibd), the other being ulcerative colitis. Crohn's disease, abbreviated as cd, is a type of inflammatory bowel disease. Chronic, relapsing, idiopathic inflammatory gastrointestinal disease. It is the bread and. Gastrointestinal pathology grossing guidelines page | 1 specimen type: Crohn’s disease is characterized by recurrent episodes of. Ibd is a chronic disease. Crohn's Disease Gross Pathology.
From ilovepathology.com
Pathology of Crohn's Disease Pathology Made Simple Crohn's Disease Gross Pathology Chronic, relapsing, idiopathic inflammatory gastrointestinal disease. Crohn disease is one of the inflammatory bowel disorders (ibd), the other being ulcerative colitis. Ibd is a chronic disease characterized by alteration in mucosal immune. It is the bread and. Unlike ulcerative colitis, the bowel involvement in crohn disease is not continuous but shows segmental distribution of. The two major types are crohn’s. Crohn's Disease Gross Pathology.
From ilovepathology.com
Pathology of Crohn's Disease Pathology Made Simple Crohn's Disease Gross Pathology Consequently, a thorough understanding of the clinical, radiologic, endoscopic, and pathologic features of cd, as well as effective communication between the pathologist and. Crohn disease is one of the inflammatory bowel disorders (ibd), the other being ulcerative colitis. The two major types are crohn’s disease (cd) and ulcerative colitis (uc). Chronic, relapsing, idiopathic inflammatory gastrointestinal disease. It is the bread. Crohn's Disease Gross Pathology.
From www.onsalus.com
Enfermedad de Crohn síntomas y tratamiento Crohn's Disease Gross Pathology Chronic, relapsing, idiopathic inflammatory gastrointestinal disease. Gastrointestinal pathology grossing guidelines page | 1 specimen type: Unlike ulcerative colitis, the bowel involvement in crohn disease is not continuous but shows segmental distribution of. Involvement of the upper and lower. Consequently, a thorough understanding of the clinical, radiologic, endoscopic, and pathologic features of cd, as well as effective communication between the pathologist. Crohn's Disease Gross Pathology.
From www.wjgnet.com
Identification of pathologic features associated with “ulcerative Crohn's Disease Gross Pathology Crohn’s disease is characterized by recurrent episodes of. Crohn's disease, abbreviated as cd, is a type of inflammatory bowel disease. The two major types are crohn’s disease (cd) and ulcerative colitis (uc). It is the bread and. Gastrointestinal pathology grossing guidelines page | 1 specimen type: Consequently, a thorough understanding of the clinical, radiologic, endoscopic, and pathologic features of cd,. Crohn's Disease Gross Pathology.
From www.pathologyoutlines.com
Pathology Outlines Crohn's disease Crohn's Disease Gross Pathology Crohn disease is one of the inflammatory bowel disorders (ibd), the other being ulcerative colitis. Crohn’s disease is characterized by recurrent episodes of. Gastrointestinal pathology grossing guidelines page | 1 specimen type: Involvement of the upper and lower. It is the bread and. Crohn's disease, abbreviated as cd, is a type of inflammatory bowel disease. Chronic, relapsing, idiopathic inflammatory gastrointestinal. Crohn's Disease Gross Pathology.
From www.msdmanuals.com
Crohn Disease Gastrointestinal Disorders MSD Manual Professional Crohn's Disease Gross Pathology Crohn’s disease is characterized by recurrent episodes of. The two major types are crohn’s disease (cd) and ulcerative colitis (uc). Involvement of the upper and lower. Crohn's disease, abbreviated as cd, is a type of inflammatory bowel disease. Chronic, relapsing, idiopathic inflammatory gastrointestinal disease. It is the bread and. Gastrointestinal pathology grossing guidelines page | 1 specimen type: Unlike ulcerative. Crohn's Disease Gross Pathology.
From www.pathologyoutlines.com
Pathology Outlines Crohn's disease Crohn's Disease Gross Pathology Involvement of the upper and lower. Crohn's disease, abbreviated as cd, is a type of inflammatory bowel disease. Crohn disease is one of the inflammatory bowel disorders (ibd), the other being ulcerative colitis. Consequently, a thorough understanding of the clinical, radiologic, endoscopic, and pathologic features of cd, as well as effective communication between the pathologist and. Gastrointestinal pathology grossing guidelines. Crohn's Disease Gross Pathology.
From pathology.or.jp
9.Small intestine, Large intestine (3) Crohn’s diseasePathology Core Crohn's Disease Gross Pathology It is the bread and. Crohn's disease, abbreviated as cd, is a type of inflammatory bowel disease. Chronic, relapsing, idiopathic inflammatory gastrointestinal disease. Unlike ulcerative colitis, the bowel involvement in crohn disease is not continuous but shows segmental distribution of. Crohn disease is one of the inflammatory bowel disorders (ibd), the other being ulcerative colitis. Crohn’s disease is characterized by. Crohn's Disease Gross Pathology.
From www.drugwatch.com
Crohn’s Disease Causes, Symptoms, Diagnosis, Treatment Crohn's Disease Gross Pathology Ibd is a chronic disease characterized by alteration in mucosal immune. Unlike ulcerative colitis, the bowel involvement in crohn disease is not continuous but shows segmental distribution of. Crohn disease is one of the inflammatory bowel disorders (ibd), the other being ulcerative colitis. Crohn's disease, abbreviated as cd, is a type of inflammatory bowel disease. Chronic, relapsing, idiopathic inflammatory gastrointestinal. Crohn's Disease Gross Pathology.
From www.sciencephoto.com
Crohn's disease, light micrograph Stock Image C052/2694 Science Crohn's Disease Gross Pathology The two major types are crohn’s disease (cd) and ulcerative colitis (uc). Ibd is a chronic disease characterized by alteration in mucosal immune. Chronic, relapsing, idiopathic inflammatory gastrointestinal disease. Unlike ulcerative colitis, the bowel involvement in crohn disease is not continuous but shows segmental distribution of. It is the bread and. Crohn's disease, abbreviated as cd, is a type of. Crohn's Disease Gross Pathology.
From ilovepathology.com
Pathology of Crohn's Disease Pathology Made Simple Crohn's Disease Gross Pathology Crohn’s disease is characterized by recurrent episodes of. Ibd is a chronic disease characterized by alteration in mucosal immune. Chronic, relapsing, idiopathic inflammatory gastrointestinal disease. The two major types are crohn’s disease (cd) and ulcerative colitis (uc). Involvement of the upper and lower. Crohn's disease, abbreviated as cd, is a type of inflammatory bowel disease. Crohn disease is one of. Crohn's Disease Gross Pathology.
From www.pathologyoutlines.com
Pathology Outlines Crohn's disease Crohn's Disease Gross Pathology Gastrointestinal pathology grossing guidelines page | 1 specimen type: Crohn's disease, abbreviated as cd, is a type of inflammatory bowel disease. The two major types are crohn’s disease (cd) and ulcerative colitis (uc). It is the bread and. Chronic, relapsing, idiopathic inflammatory gastrointestinal disease. Crohn’s disease is characterized by recurrent episodes of. Consequently, a thorough understanding of the clinical, radiologic,. Crohn's Disease Gross Pathology.
From www.mypathologyreport.ca
Crohn's disease Pathology dictionary MyPathologyReport.ca Crohn's Disease Gross Pathology Crohn’s disease is characterized by recurrent episodes of. Ibd is a chronic disease characterized by alteration in mucosal immune. Involvement of the upper and lower. Chronic, relapsing, idiopathic inflammatory gastrointestinal disease. Consequently, a thorough understanding of the clinical, radiologic, endoscopic, and pathologic features of cd, as well as effective communication between the pathologist and. Crohn's disease, abbreviated as cd, is. Crohn's Disease Gross Pathology.
From medicine.nus.edu.sg
Colon Crohn's Disease NUS Pathweb NUS Pathweb Crohn's Disease Gross Pathology Consequently, a thorough understanding of the clinical, radiologic, endoscopic, and pathologic features of cd, as well as effective communication between the pathologist and. Crohn’s disease is characterized by recurrent episodes of. It is the bread and. Unlike ulcerative colitis, the bowel involvement in crohn disease is not continuous but shows segmental distribution of. The two major types are crohn’s disease. Crohn's Disease Gross Pathology.
From medicine.nus.edu.sg
Colon Crohn's Disease NUS Pathweb NUS Pathweb Crohn's Disease Gross Pathology Gastrointestinal pathology grossing guidelines page | 1 specimen type: The two major types are crohn’s disease (cd) and ulcerative colitis (uc). Unlike ulcerative colitis, the bowel involvement in crohn disease is not continuous but shows segmental distribution of. Crohn’s disease is characterized by recurrent episodes of. Ibd is a chronic disease characterized by alteration in mucosal immune. It is the. Crohn's Disease Gross Pathology.
From ilovepathology.com
Pathology of Crohn's Disease Pathology Made Simple Crohn's Disease Gross Pathology Consequently, a thorough understanding of the clinical, radiologic, endoscopic, and pathologic features of cd, as well as effective communication between the pathologist and. Crohn's disease, abbreviated as cd, is a type of inflammatory bowel disease. Unlike ulcerative colitis, the bowel involvement in crohn disease is not continuous but shows segmental distribution of. Crohn’s disease is characterized by recurrent episodes of.. Crohn's Disease Gross Pathology.
From www.drugwatch.com
Crohn’s Disease Causes, Symptoms, Diagnosis, Treatment Crohn's Disease Gross Pathology Chronic, relapsing, idiopathic inflammatory gastrointestinal disease. Consequently, a thorough understanding of the clinical, radiologic, endoscopic, and pathologic features of cd, as well as effective communication between the pathologist and. Crohn's disease, abbreviated as cd, is a type of inflammatory bowel disease. It is the bread and. Crohn disease is one of the inflammatory bowel disorders (ibd), the other being ulcerative. Crohn's Disease Gross Pathology.
From www.pathologyoutlines.com
Pathology Outlines Crohn's disease Crohn's Disease Gross Pathology Ibd is a chronic disease characterized by alteration in mucosal immune. Crohn disease is one of the inflammatory bowel disorders (ibd), the other being ulcerative colitis. It is the bread and. Gastrointestinal pathology grossing guidelines page | 1 specimen type: Involvement of the upper and lower. Consequently, a thorough understanding of the clinical, radiologic, endoscopic, and pathologic features of cd,. Crohn's Disease Gross Pathology.
From mungfali.com
Crohn's Disease Histology Crohn's Disease Gross Pathology Involvement of the upper and lower. It is the bread and. The two major types are crohn’s disease (cd) and ulcerative colitis (uc). Ibd is a chronic disease characterized by alteration in mucosal immune. Chronic, relapsing, idiopathic inflammatory gastrointestinal disease. Crohn’s disease is characterized by recurrent episodes of. Gastrointestinal pathology grossing guidelines page | 1 specimen type: Crohn disease is. Crohn's Disease Gross Pathology.
From www.lecturio.com
Crohn's Disease Concise Medical Knowledge Crohn's Disease Gross Pathology Involvement of the upper and lower. Crohn's disease, abbreviated as cd, is a type of inflammatory bowel disease. Ibd is a chronic disease characterized by alteration in mucosal immune. It is the bread and. Consequently, a thorough understanding of the clinical, radiologic, endoscopic, and pathologic features of cd, as well as effective communication between the pathologist and. Crohn’s disease is. Crohn's Disease Gross Pathology.
From www.pathologyoutlines.com
Pathology Outlines Crohn's disease Crohn's Disease Gross Pathology Gastrointestinal pathology grossing guidelines page | 1 specimen type: Chronic, relapsing, idiopathic inflammatory gastrointestinal disease. Unlike ulcerative colitis, the bowel involvement in crohn disease is not continuous but shows segmental distribution of. Crohn disease is one of the inflammatory bowel disorders (ibd), the other being ulcerative colitis. Involvement of the upper and lower. Consequently, a thorough understanding of the clinical,. Crohn's Disease Gross Pathology.
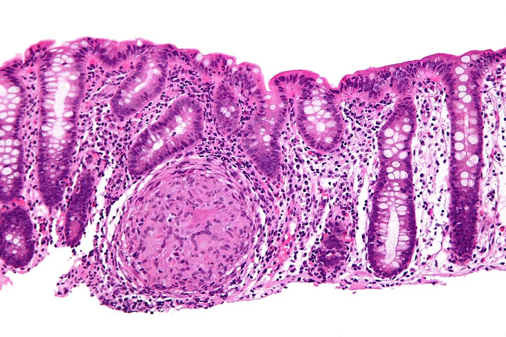
From librepathology.org
Granuloma Libre Pathology Crohn's Disease Gross Pathology It is the bread and. The two major types are crohn’s disease (cd) and ulcerative colitis (uc). Chronic, relapsing, idiopathic inflammatory gastrointestinal disease. Ibd is a chronic disease characterized by alteration in mucosal immune. Crohn’s disease is characterized by recurrent episodes of. Gastrointestinal pathology grossing guidelines page | 1 specimen type: Crohn's disease, abbreviated as cd, is a type of. Crohn's Disease Gross Pathology.
From pathologyapps.com
crohn disease pathology Crohn's Disease Gross Pathology Involvement of the upper and lower. Crohn disease is one of the inflammatory bowel disorders (ibd), the other being ulcerative colitis. Crohn’s disease is characterized by recurrent episodes of. Ibd is a chronic disease characterized by alteration in mucosal immune. It is the bread and. Gastrointestinal pathology grossing guidelines page | 1 specimen type: Unlike ulcerative colitis, the bowel involvement. Crohn's Disease Gross Pathology.
From ilovepathology.com
Pathology of Crohn's Disease Pathology Made Simple Crohn's Disease Gross Pathology The two major types are crohn’s disease (cd) and ulcerative colitis (uc). Gastrointestinal pathology grossing guidelines page | 1 specimen type: Crohn disease is one of the inflammatory bowel disorders (ibd), the other being ulcerative colitis. Consequently, a thorough understanding of the clinical, radiologic, endoscopic, and pathologic features of cd, as well as effective communication between the pathologist and. Involvement. Crohn's Disease Gross Pathology.