Dental Implants Diabetes . — if you have diabetes, learn how dental implants can work for you! — the present review aimed to evaluate the impact of diabetes mellitus on dental implant failure rates and marginal. Discover 5 strategies to improve implant outcomes and overall dental health. learn how dental implants can improve your oral health and diet if you have diabetes. — in the past, diabetes was long time seen as a relative risk factor to. Find out how to control your diabetes. — therefore, it is important to assess and maintain optimal blood glucose control before undertaking invasive and. — dental implant procedures represent a safe way of oral rehabilitation in patients with prediabetes or diabetes.
from www.youtube.com
— if you have diabetes, learn how dental implants can work for you! — the present review aimed to evaluate the impact of diabetes mellitus on dental implant failure rates and marginal. Discover 5 strategies to improve implant outcomes and overall dental health. Find out how to control your diabetes. — in the past, diabetes was long time seen as a relative risk factor to. learn how dental implants can improve your oral health and diet if you have diabetes. — dental implant procedures represent a safe way of oral rehabilitation in patients with prediabetes or diabetes. — therefore, it is important to assess and maintain optimal blood glucose control before undertaking invasive and.
क्या Diabetes Patient को Dental Implant करना चाहिए ? Can a Diabetes
Dental Implants Diabetes — in the past, diabetes was long time seen as a relative risk factor to. learn how dental implants can improve your oral health and diet if you have diabetes. — the present review aimed to evaluate the impact of diabetes mellitus on dental implant failure rates and marginal. — therefore, it is important to assess and maintain optimal blood glucose control before undertaking invasive and. Discover 5 strategies to improve implant outcomes and overall dental health. — in the past, diabetes was long time seen as a relative risk factor to. — dental implant procedures represent a safe way of oral rehabilitation in patients with prediabetes or diabetes. — if you have diabetes, learn how dental implants can work for you! Find out how to control your diabetes.
From www.burbankdentalimplants.com
Diabetes, Dental Implants and Bone Grafts…Is it Safe? Ramsey A. Amin, DDS Dental Implants Diabetes — the present review aimed to evaluate the impact of diabetes mellitus on dental implant failure rates and marginal. learn how dental implants can improve your oral health and diet if you have diabetes. — dental implant procedures represent a safe way of oral rehabilitation in patients with prediabetes or diabetes. Find out how to control your. Dental Implants Diabetes.
From www.apollo247.com
Managing Diabetes for Successful Dental Implants Dental Implants Diabetes — therefore, it is important to assess and maintain optimal blood glucose control before undertaking invasive and. Find out how to control your diabetes. — in the past, diabetes was long time seen as a relative risk factor to. — the present review aimed to evaluate the impact of diabetes mellitus on dental implant failure rates and. Dental Implants Diabetes.
From www.archpointid.com
Dental Implants and Diabetes ARCHPOINT Implant Dentistry Dental Implants Diabetes — in the past, diabetes was long time seen as a relative risk factor to. — if you have diabetes, learn how dental implants can work for you! Find out how to control your diabetes. — therefore, it is important to assess and maintain optimal blood glucose control before undertaking invasive and. — the present review. Dental Implants Diabetes.
From dentx.international
Can Diabetic Patients Get Dental Implants? Dent X International Dental Implants Diabetes — therefore, it is important to assess and maintain optimal blood glucose control before undertaking invasive and. — the present review aimed to evaluate the impact of diabetes mellitus on dental implant failure rates and marginal. Find out how to control your diabetes. — if you have diabetes, learn how dental implants can work for you! . Dental Implants Diabetes.
From connect.aaid-implant.org
Sweet Smiles Secured Dental Implants and Diabetes Care Explained Dental Implants Diabetes — in the past, diabetes was long time seen as a relative risk factor to. — dental implant procedures represent a safe way of oral rehabilitation in patients with prediabetes or diabetes. Discover 5 strategies to improve implant outcomes and overall dental health. learn how dental implants can improve your oral health and diet if you have. Dental Implants Diabetes.
From msrdentistry.wordpress.com
Diabetes Vs Dental Implants MSR dentistry Dental Implants Diabetes — dental implant procedures represent a safe way of oral rehabilitation in patients with prediabetes or diabetes. Find out how to control your diabetes. — in the past, diabetes was long time seen as a relative risk factor to. — therefore, it is important to assess and maintain optimal blood glucose control before undertaking invasive and. Discover. Dental Implants Diabetes.
From www.acefamilydental.com
Can You Get Dental Implants If You Have Diabetes? Dentist Norcross Dental Implants Diabetes — dental implant procedures represent a safe way of oral rehabilitation in patients with prediabetes or diabetes. — the present review aimed to evaluate the impact of diabetes mellitus on dental implant failure rates and marginal. learn how dental implants can improve your oral health and diet if you have diabetes. — therefore, it is important. Dental Implants Diabetes.
From montclairdentalspanj.com
All On 4 Dental Implants Saved This Diabetic Woman’s Life Dental Implants Diabetes learn how dental implants can improve your oral health and diet if you have diabetes. Discover 5 strategies to improve implant outcomes and overall dental health. — therefore, it is important to assess and maintain optimal blood glucose control before undertaking invasive and. Find out how to control your diabetes. — in the past, diabetes was long. Dental Implants Diabetes.
From doctorinpocket.com
Dental implants and diabetes implant surgery for diabetics Doctor in Dental Implants Diabetes — in the past, diabetes was long time seen as a relative risk factor to. — the present review aimed to evaluate the impact of diabetes mellitus on dental implant failure rates and marginal. Discover 5 strategies to improve implant outcomes and overall dental health. — therefore, it is important to assess and maintain optimal blood glucose. Dental Implants Diabetes.
From worldofdentistry.co.in
How Safe Are Dental Implants If You Have Diabetes? Dental Implants Diabetes — the present review aimed to evaluate the impact of diabetes mellitus on dental implant failure rates and marginal. — therefore, it is important to assess and maintain optimal blood glucose control before undertaking invasive and. Find out how to control your diabetes. learn how dental implants can improve your oral health and diet if you have. Dental Implants Diabetes.
From www.cnedental.com
The Improvement of Dental Options for Diabetics CNE Dental Blog Dental Implants Diabetes Discover 5 strategies to improve implant outcomes and overall dental health. Find out how to control your diabetes. learn how dental implants can improve your oral health and diet if you have diabetes. — therefore, it is important to assess and maintain optimal blood glucose control before undertaking invasive and. — the present review aimed to evaluate. Dental Implants Diabetes.
From www.glennoms.com
Diabetic Patients and Dental Implants Lincoln, NE Restorative Dentistry Dental Implants Diabetes Find out how to control your diabetes. — the present review aimed to evaluate the impact of diabetes mellitus on dental implant failure rates and marginal. — in the past, diabetes was long time seen as a relative risk factor to. learn how dental implants can improve your oral health and diet if you have diabetes. . Dental Implants Diabetes.
From dentalimplantscost.com.au
Dental Implants for Diabetes Patients DENTAL IMPLANTS SYDNEY Dental Implants Diabetes learn how dental implants can improve your oral health and diet if you have diabetes. Find out how to control your diabetes. — the present review aimed to evaluate the impact of diabetes mellitus on dental implant failure rates and marginal. Discover 5 strategies to improve implant outcomes and overall dental health. — in the past, diabetes. Dental Implants Diabetes.
From www.noadentalclinic.com
Dental Implants And Diabetes NOA Dental Clinic Dental Implants Diabetes — if you have diabetes, learn how dental implants can work for you! — in the past, diabetes was long time seen as a relative risk factor to. — the present review aimed to evaluate the impact of diabetes mellitus on dental implant failure rates and marginal. — therefore, it is important to assess and maintain. Dental Implants Diabetes.
From www.woodsidedental.com
Diabetes and Dental Implants, Woodside Dental Care Dental Implants Diabetes — therefore, it is important to assess and maintain optimal blood glucose control before undertaking invasive and. Find out how to control your diabetes. Discover 5 strategies to improve implant outcomes and overall dental health. — the present review aimed to evaluate the impact of diabetes mellitus on dental implant failure rates and marginal. — if you. Dental Implants Diabetes.
From www.youtube.com
Dental Implants in Patients With Diabetes Dental Implant Treatment Dental Implants Diabetes — in the past, diabetes was long time seen as a relative risk factor to. Find out how to control your diabetes. — the present review aimed to evaluate the impact of diabetes mellitus on dental implant failure rates and marginal. learn how dental implants can improve your oral health and diet if you have diabetes. Discover. Dental Implants Diabetes.
From www.nuviasmiles.com
All on 4 Dental Implants and Diabetes What You Need to Know Dental Implants Diabetes — the present review aimed to evaluate the impact of diabetes mellitus on dental implant failure rates and marginal. — in the past, diabetes was long time seen as a relative risk factor to. Find out how to control your diabetes. — therefore, it is important to assess and maintain optimal blood glucose control before undertaking invasive. Dental Implants Diabetes.
From www.pvcompletedentistry.com
Dental Implants And Diabetes Ponte Vedra Beach Dr. Eric L. Townsend Dental Implants Diabetes learn how dental implants can improve your oral health and diet if you have diabetes. — if you have diabetes, learn how dental implants can work for you! — in the past, diabetes was long time seen as a relative risk factor to. — therefore, it is important to assess and maintain optimal blood glucose control. Dental Implants Diabetes.
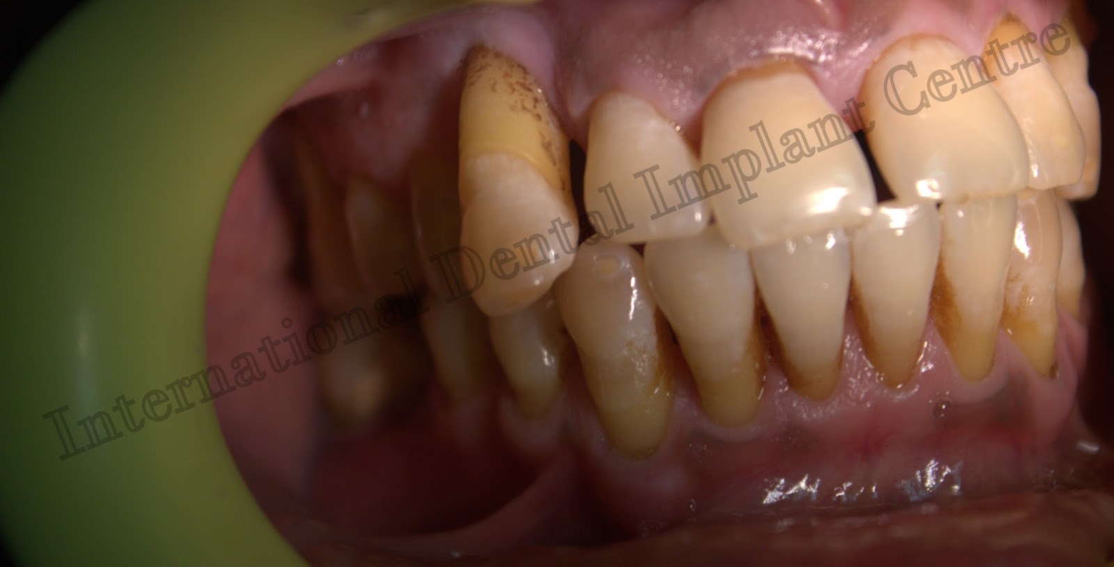
From internationaldentalimplantcentre.blogspot.com
Basal Dental implants for Diabetic patients in INDIA International Dental Implants Diabetes — therefore, it is important to assess and maintain optimal blood glucose control before undertaking invasive and. learn how dental implants can improve your oral health and diet if you have diabetes. — dental implant procedures represent a safe way of oral rehabilitation in patients with prediabetes or diabetes. — the present review aimed to evaluate. Dental Implants Diabetes.
From www.youtube.com
क्या Diabetes Patient को Dental Implant करना चाहिए ? Can a Diabetes Dental Implants Diabetes — if you have diabetes, learn how dental implants can work for you! — in the past, diabetes was long time seen as a relative risk factor to. — dental implant procedures represent a safe way of oral rehabilitation in patients with prediabetes or diabetes. — the present review aimed to evaluate the impact of diabetes. Dental Implants Diabetes.
From mittaldentalclinic.com
Dental implant in Diabetic patient in jaipur, India. Loose front teeth Dental Implants Diabetes — dental implant procedures represent a safe way of oral rehabilitation in patients with prediabetes or diabetes. Discover 5 strategies to improve implant outcomes and overall dental health. — the present review aimed to evaluate the impact of diabetes mellitus on dental implant failure rates and marginal. — if you have diabetes, learn how dental implants can. Dental Implants Diabetes.
From www.drbhutanidentalclinic.com
Dental Implant For Diabetic Patients Is Dental Implant Safe For Dental Implants Diabetes — in the past, diabetes was long time seen as a relative risk factor to. learn how dental implants can improve your oral health and diet if you have diabetes. — dental implant procedures represent a safe way of oral rehabilitation in patients with prediabetes or diabetes. — the present review aimed to evaluate the impact. Dental Implants Diabetes.
From www.implantsglasgow.co.uk
Dental Implants & Diabetes www.implantsglasgow.co.uk Dental Implants Diabetes — therefore, it is important to assess and maintain optimal blood glucose control before undertaking invasive and. Find out how to control your diabetes. — dental implant procedures represent a safe way of oral rehabilitation in patients with prediabetes or diabetes. — if you have diabetes, learn how dental implants can work for you! — the. Dental Implants Diabetes.
From dailycandidnews.com
How Being Diabetic Can Affect Recovery Time for Dental Implants Dental Implants Diabetes — if you have diabetes, learn how dental implants can work for you! — in the past, diabetes was long time seen as a relative risk factor to. learn how dental implants can improve your oral health and diet if you have diabetes. — the present review aimed to evaluate the impact of diabetes mellitus on. Dental Implants Diabetes.
From www.authoritydental.org
Can diabetics get dental implants? Authority Dental Dental Implants Diabetes Discover 5 strategies to improve implant outcomes and overall dental health. — in the past, diabetes was long time seen as a relative risk factor to. — the present review aimed to evaluate the impact of diabetes mellitus on dental implant failure rates and marginal. — dental implant procedures represent a safe way of oral rehabilitation in. Dental Implants Diabetes.
From www.youtube.com
Diabetes & Dental Implant Are they safe Dental implants for Dental Implants Diabetes Discover 5 strategies to improve implant outcomes and overall dental health. — dental implant procedures represent a safe way of oral rehabilitation in patients with prediabetes or diabetes. — the present review aimed to evaluate the impact of diabetes mellitus on dental implant failure rates and marginal. — therefore, it is important to assess and maintain optimal. Dental Implants Diabetes.
From theelitedental.com
DENTAL IMPLANTS FOR DIABETICS Elite Dental Care Dental Implants Diabetes — if you have diabetes, learn how dental implants can work for you! — dental implant procedures represent a safe way of oral rehabilitation in patients with prediabetes or diabetes. learn how dental implants can improve your oral health and diet if you have diabetes. — the present review aimed to evaluate the impact of diabetes. Dental Implants Diabetes.
From www.ashutoshdentalanddiabetesclinic.com
The Ultimate Guide to Dental Implants Ashutosh Dental and Diabetic clinic Dental Implants Diabetes learn how dental implants can improve your oral health and diet if you have diabetes. — the present review aimed to evaluate the impact of diabetes mellitus on dental implant failure rates and marginal. — therefore, it is important to assess and maintain optimal blood glucose control before undertaking invasive and. — dental implant procedures represent. Dental Implants Diabetes.
From www.mdpi.com
Dentistry Journal Free FullText Influence of Diabetes on Implant Dental Implants Diabetes Discover 5 strategies to improve implant outcomes and overall dental health. Find out how to control your diabetes. — in the past, diabetes was long time seen as a relative risk factor to. learn how dental implants can improve your oral health and diet if you have diabetes. — therefore, it is important to assess and maintain. Dental Implants Diabetes.
From theimplantdentists.co.uk
The Best Dental Implants for People with Diabetes Dental Implants Diabetes learn how dental implants can improve your oral health and diet if you have diabetes. — in the past, diabetes was long time seen as a relative risk factor to. — dental implant procedures represent a safe way of oral rehabilitation in patients with prediabetes or diabetes. — therefore, it is important to assess and maintain. Dental Implants Diabetes.
From bestlaserdentalclinic.blogspot.com
Dental implants for patients with diabetes, with predicatable success Dental Implants Diabetes — the present review aimed to evaluate the impact of diabetes mellitus on dental implant failure rates and marginal. Discover 5 strategies to improve implant outcomes and overall dental health. — in the past, diabetes was long time seen as a relative risk factor to. — if you have diabetes, learn how dental implants can work for. Dental Implants Diabetes.
From www.medscape.com
Dental Implants Safe in Patients With Uncontrolled Diabetes Dental Implants Diabetes — the present review aimed to evaluate the impact of diabetes mellitus on dental implant failure rates and marginal. — therefore, it is important to assess and maintain optimal blood glucose control before undertaking invasive and. — dental implant procedures represent a safe way of oral rehabilitation in patients with prediabetes or diabetes. Find out how to. Dental Implants Diabetes.
From hallmarkdds.com
The Relationship Between Diabetes and Dental Implants Dental Implants Diabetes — therefore, it is important to assess and maintain optimal blood glucose control before undertaking invasive and. — the present review aimed to evaluate the impact of diabetes mellitus on dental implant failure rates and marginal. Find out how to control your diabetes. — if you have diabetes, learn how dental implants can work for you! Discover. Dental Implants Diabetes.
From nurident.com
Dental Implants and diabetes. Is it possible? NURIDENT Dental Implants Diabetes — if you have diabetes, learn how dental implants can work for you! learn how dental implants can improve your oral health and diet if you have diabetes. — in the past, diabetes was long time seen as a relative risk factor to. — the present review aimed to evaluate the impact of diabetes mellitus on. Dental Implants Diabetes.
From www.noadentalclinic.com
Dental Implants And Diabetes NOA Dental Clinic Dental Implants Diabetes — dental implant procedures represent a safe way of oral rehabilitation in patients with prediabetes or diabetes. — therefore, it is important to assess and maintain optimal blood glucose control before undertaking invasive and. — in the past, diabetes was long time seen as a relative risk factor to. Find out how to control your diabetes. . Dental Implants Diabetes.