Ischemic Colitis Histology . Ischemic colitis or lower gastrointestinal ischemia, for the first time described by boley et al. Ischemic colitis (ic) is a common type of ischemic insult, resulting from decreased arterial blood flow to the colon. The majority of cases resolve with nonsurgical management. Ischemic colitis is the most common form of gi ischemia; Ischemic colitis is a leading cause of acute abdomen in elderly patients. Three histologic variants of acute colitis with ischemic features are recognized. Gross and microscopic findings depend on the severity and. In 1963, is a vascular. A mixed inflammatory/ischemic pattern is. Ischemic colitis also known as colon ischemia (ci) is a common disorder of the large bowel in older persons and is the most common.
from www.mayoclinic.org
The majority of cases resolve with nonsurgical management. Ischemic colitis (ic) is a common type of ischemic insult, resulting from decreased arterial blood flow to the colon. Ischemic colitis or lower gastrointestinal ischemia, for the first time described by boley et al. Ischemic colitis is a leading cause of acute abdomen in elderly patients. In 1963, is a vascular. Three histologic variants of acute colitis with ischemic features are recognized. Ischemic colitis also known as colon ischemia (ci) is a common disorder of the large bowel in older persons and is the most common. A mixed inflammatory/ischemic pattern is. Ischemic colitis is the most common form of gi ischemia; Gross and microscopic findings depend on the severity and.
Ischemic colitis Symptoms and causes Mayo Clinic
Ischemic Colitis Histology In 1963, is a vascular. Ischemic colitis (ic) is a common type of ischemic insult, resulting from decreased arterial blood flow to the colon. In 1963, is a vascular. Three histologic variants of acute colitis with ischemic features are recognized. A mixed inflammatory/ischemic pattern is. Ischemic colitis also known as colon ischemia (ci) is a common disorder of the large bowel in older persons and is the most common. Gross and microscopic findings depend on the severity and. Ischemic colitis is a leading cause of acute abdomen in elderly patients. Ischemic colitis is the most common form of gi ischemia; Ischemic colitis or lower gastrointestinal ischemia, for the first time described by boley et al. The majority of cases resolve with nonsurgical management.
From narodnatribuna.info
Ischemic Colitis Pathogenesis And Clinical Findings Ischemic Colitis Histology Ischemic colitis also known as colon ischemia (ci) is a common disorder of the large bowel in older persons and is the most common. Three histologic variants of acute colitis with ischemic features are recognized. A mixed inflammatory/ischemic pattern is. The majority of cases resolve with nonsurgical management. In 1963, is a vascular. Ischemic colitis is the most common form. Ischemic Colitis Histology.
From www.flickriver.com
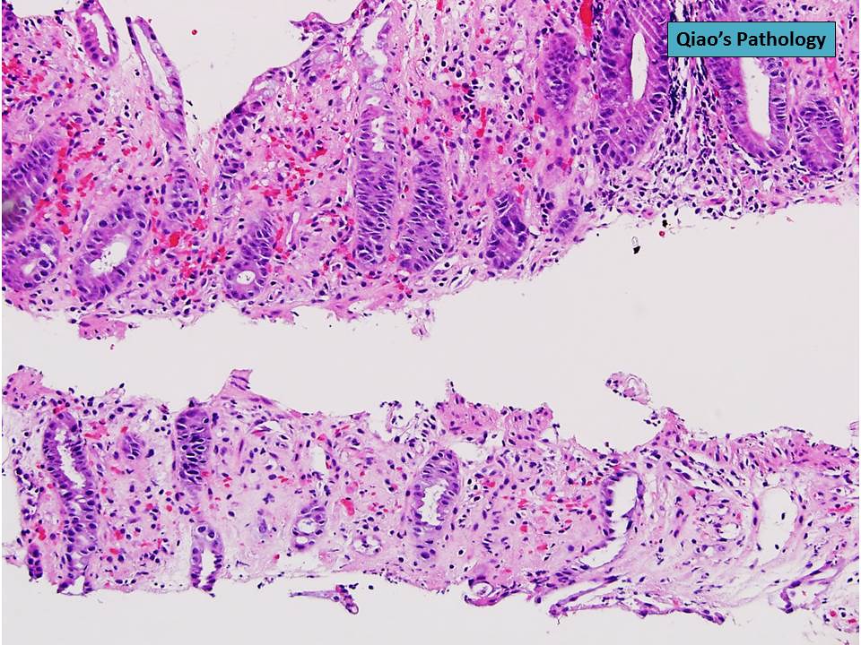
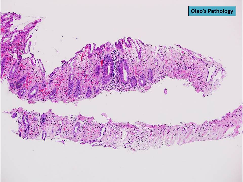
Qiao's Pathology Ischemic Colitis a photo on Flickriver Ischemic Colitis Histology The majority of cases resolve with nonsurgical management. A mixed inflammatory/ischemic pattern is. Ischemic colitis also known as colon ischemia (ci) is a common disorder of the large bowel in older persons and is the most common. Ischemic colitis (ic) is a common type of ischemic insult, resulting from decreased arterial blood flow to the colon. Three histologic variants of. Ischemic Colitis Histology.
From fer13013.blogspot.com
GASTROINTESTINAL AND LIVER HISTOLOGY PATHOLOGY ATLAS COLON ; COLLAGENOUS COLITIS Ischemic Colitis Histology Ischemic colitis is a leading cause of acute abdomen in elderly patients. Ischemic colitis is the most common form of gi ischemia; The majority of cases resolve with nonsurgical management. Ischemic colitis (ic) is a common type of ischemic insult, resulting from decreased arterial blood flow to the colon. Ischemic colitis also known as colon ischemia (ci) is a common. Ischemic Colitis Histology.
From librepathology.org
Case 49 Libre Pathology Ischemic Colitis Histology A mixed inflammatory/ischemic pattern is. The majority of cases resolve with nonsurgical management. Gross and microscopic findings depend on the severity and. In 1963, is a vascular. Ischemic colitis (ic) is a common type of ischemic insult, resulting from decreased arterial blood flow to the colon. Ischemic colitis or lower gastrointestinal ischemia, for the first time described by boley et. Ischemic Colitis Histology.
From www.slideshare.net
Ischemic Colitis Ischemic Colitis Histology In 1963, is a vascular. Three histologic variants of acute colitis with ischemic features are recognized. Ischemic colitis is the most common form of gi ischemia; Ischemic colitis or lower gastrointestinal ischemia, for the first time described by boley et al. Gross and microscopic findings depend on the severity and. A mixed inflammatory/ischemic pattern is. Ischemic colitis (ic) is a. Ischemic Colitis Histology.
From www.pathologyoutlines.com
Pathology Outlines Ischemic colitis Ischemic Colitis Histology Ischemic colitis is a leading cause of acute abdomen in elderly patients. Three histologic variants of acute colitis with ischemic features are recognized. Ischemic colitis also known as colon ischemia (ci) is a common disorder of the large bowel in older persons and is the most common. Ischemic colitis or lower gastrointestinal ischemia, for the first time described by boley. Ischemic Colitis Histology.
From librepathology.org
Ischemic colitis Libre Pathology Ischemic Colitis Histology Ischemic colitis is a leading cause of acute abdomen in elderly patients. Gross and microscopic findings depend on the severity and. The majority of cases resolve with nonsurgical management. A mixed inflammatory/ischemic pattern is. In 1963, is a vascular. Ischemic colitis is the most common form of gi ischemia; Ischemic colitis or lower gastrointestinal ischemia, for the first time described. Ischemic Colitis Histology.
From fer13013.blogspot.com
GASTROINTESTINAL AND LIVER HISTOLOGY PATHOLOGY ATLAS COLON ISCHEMIC COLITIS Ischemic Colitis Histology The majority of cases resolve with nonsurgical management. Ischemic colitis (ic) is a common type of ischemic insult, resulting from decreased arterial blood flow to the colon. Ischemic colitis is a leading cause of acute abdomen in elderly patients. In 1963, is a vascular. Ischemic colitis or lower gastrointestinal ischemia, for the first time described by boley et al. A. Ischemic Colitis Histology.
From www.pathologyoutlines.com
Pathology Outlines Ischemic colitis Ischemic Colitis Histology Ischemic colitis also known as colon ischemia (ci) is a common disorder of the large bowel in older persons and is the most common. In 1963, is a vascular. Gross and microscopic findings depend on the severity and. Ischemic colitis is a leading cause of acute abdomen in elderly patients. Ischemic colitis (ic) is a common type of ischemic insult,. Ischemic Colitis Histology.
From www.flickriver.com
Qiao's Pathology Ischemic Colitis a photo on Flickriver Ischemic Colitis Histology Ischemic colitis is a leading cause of acute abdomen in elderly patients. A mixed inflammatory/ischemic pattern is. The majority of cases resolve with nonsurgical management. Ischemic colitis (ic) is a common type of ischemic insult, resulting from decreased arterial blood flow to the colon. Ischemic colitis or lower gastrointestinal ischemia, for the first time described by boley et al. Three. Ischemic Colitis Histology.
From www.flickriver.com
Qiao's Pathology Ischemic Colitis a photo on Flickriver Ischemic Colitis Histology Ischemic colitis is a leading cause of acute abdomen in elderly patients. Ischemic colitis is the most common form of gi ischemia; Three histologic variants of acute colitis with ischemic features are recognized. Ischemic colitis or lower gastrointestinal ischemia, for the first time described by boley et al. In 1963, is a vascular. Ischemic colitis also known as colon ischemia. Ischemic Colitis Histology.
From www.pathologyoutlines.com
Pathology Outlines Ulcerative colitis Ischemic Colitis Histology Ischemic colitis (ic) is a common type of ischemic insult, resulting from decreased arterial blood flow to the colon. Three histologic variants of acute colitis with ischemic features are recognized. Gross and microscopic findings depend on the severity and. Ischemic colitis or lower gastrointestinal ischemia, for the first time described by boley et al. A mixed inflammatory/ischemic pattern is. The. Ischemic Colitis Histology.
From els-jbs-prod-cdn.jbs.elsevierhealth.com
Microscopic Colitis Gastroenterology Ischemic Colitis Histology Three histologic variants of acute colitis with ischemic features are recognized. Gross and microscopic findings depend on the severity and. In 1963, is a vascular. Ischemic colitis is the most common form of gi ischemia; Ischemic colitis or lower gastrointestinal ischemia, for the first time described by boley et al. A mixed inflammatory/ischemic pattern is. The majority of cases resolve. Ischemic Colitis Histology.
From link.springer.com
Radiation, Microscopic, Ischemic Colitis SpringerLink Ischemic Colitis Histology Three histologic variants of acute colitis with ischemic features are recognized. In 1963, is a vascular. The majority of cases resolve with nonsurgical management. Ischemic colitis or lower gastrointestinal ischemia, for the first time described by boley et al. Ischemic colitis also known as colon ischemia (ci) is a common disorder of the large bowel in older persons and is. Ischemic Colitis Histology.
From www.pathologyoutlines.com
Pathology Outlines Ulcerative colitis Ischemic Colitis Histology The majority of cases resolve with nonsurgical management. Ischemic colitis or lower gastrointestinal ischemia, for the first time described by boley et al. Three histologic variants of acute colitis with ischemic features are recognized. Ischemic colitis is a leading cause of acute abdomen in elderly patients. A mixed inflammatory/ischemic pattern is. Ischemic colitis is the most common form of gi. Ischemic Colitis Histology.
From www.pathologyatlas.ca
Ischemic colitis Atlas of Pathology Ischemic Colitis Histology Ischemic colitis is a leading cause of acute abdomen in elderly patients. In 1963, is a vascular. Ischemic colitis is the most common form of gi ischemia; Three histologic variants of acute colitis with ischemic features are recognized. Ischemic colitis also known as colon ischemia (ci) is a common disorder of the large bowel in older persons and is the. Ischemic Colitis Histology.
From www.pathologyatlas.ca
Ischemic colitis Atlas of Pathology Ischemic Colitis Histology Ischemic colitis is a leading cause of acute abdomen in elderly patients. Gross and microscopic findings depend on the severity and. Ischemic colitis (ic) is a common type of ischemic insult, resulting from decreased arterial blood flow to the colon. In 1963, is a vascular. The majority of cases resolve with nonsurgical management. Ischemic colitis is the most common form. Ischemic Colitis Histology.
From www.mayoclinic.org
Ischemic colitis Symptoms and causes Mayo Clinic Ischemic Colitis Histology In 1963, is a vascular. A mixed inflammatory/ischemic pattern is. Gross and microscopic findings depend on the severity and. Ischemic colitis is the most common form of gi ischemia; Ischemic colitis is a leading cause of acute abdomen in elderly patients. Ischemic colitis also known as colon ischemia (ci) is a common disorder of the large bowel in older persons. Ischemic Colitis Histology.
From www.pathologyatlas.ca
Ischemic colitis Atlas of Pathology Ischemic Colitis Histology Ischemic colitis or lower gastrointestinal ischemia, for the first time described by boley et al. Ischemic colitis (ic) is a common type of ischemic insult, resulting from decreased arterial blood flow to the colon. Three histologic variants of acute colitis with ischemic features are recognized. A mixed inflammatory/ischemic pattern is. Ischemic colitis also known as colon ischemia (ci) is a. Ischemic Colitis Histology.
From www.osmosis.org
Ischemic colitis Clinical sciences Osmosis Video Library Ischemic Colitis Histology Ischemic colitis or lower gastrointestinal ischemia, for the first time described by boley et al. Ischemic colitis (ic) is a common type of ischemic insult, resulting from decreased arterial blood flow to the colon. Ischemic colitis also known as colon ischemia (ci) is a common disorder of the large bowel in older persons and is the most common. The majority. Ischemic Colitis Histology.
From www.researchgate.net
Chemical colitis with features of ischemic colitis due to enema with... Download Scientific Ischemic Colitis Histology Ischemic colitis is a leading cause of acute abdomen in elderly patients. A mixed inflammatory/ischemic pattern is. Ischemic colitis or lower gastrointestinal ischemia, for the first time described by boley et al. Three histologic variants of acute colitis with ischemic features are recognized. The majority of cases resolve with nonsurgical management. Ischemic colitis also known as colon ischemia (ci) is. Ischemic Colitis Histology.
From fer13013.blogspot.com
GASTROINTESTINAL AND LIVER HISTOLOGY PATHOLOGY ATLAS COLON ISCHEMIC COLITIS Ischemic Colitis Histology Ischemic colitis is a leading cause of acute abdomen in elderly patients. Ischemic colitis (ic) is a common type of ischemic insult, resulting from decreased arterial blood flow to the colon. Ischemic colitis is the most common form of gi ischemia; Gross and microscopic findings depend on the severity and. In 1963, is a vascular. The majority of cases resolve. Ischemic Colitis Histology.
From www.scribd.com
Ischemic Colitis Ischemia Anatomy Ischemic Colitis Histology Ischemic colitis or lower gastrointestinal ischemia, for the first time described by boley et al. Three histologic variants of acute colitis with ischemic features are recognized. In 1963, is a vascular. A mixed inflammatory/ischemic pattern is. Ischemic colitis also known as colon ischemia (ci) is a common disorder of the large bowel in older persons and is the most common.. Ischemic Colitis Histology.
From link.springer.com
Radiation, Microscopic, Ischemic Colitis SpringerLink Ischemic Colitis Histology A mixed inflammatory/ischemic pattern is. Ischemic colitis is a leading cause of acute abdomen in elderly patients. Ischemic colitis also known as colon ischemia (ci) is a common disorder of the large bowel in older persons and is the most common. Gross and microscopic findings depend on the severity and. Ischemic colitis or lower gastrointestinal ischemia, for the first time. Ischemic Colitis Histology.
From www.pathologyatlas.ca
Ischemic colitis Atlas of Pathology Ischemic Colitis Histology A mixed inflammatory/ischemic pattern is. Ischemic colitis also known as colon ischemia (ci) is a common disorder of the large bowel in older persons and is the most common. Ischemic colitis is a leading cause of acute abdomen in elderly patients. Gross and microscopic findings depend on the severity and. Ischemic colitis (ic) is a common type of ischemic insult,. Ischemic Colitis Histology.
From www.dovemed.com
Ischemic Colitis Ischemic Colitis Histology Three histologic variants of acute colitis with ischemic features are recognized. Ischemic colitis or lower gastrointestinal ischemia, for the first time described by boley et al. Gross and microscopic findings depend on the severity and. Ischemic colitis (ic) is a common type of ischemic insult, resulting from decreased arterial blood flow to the colon. Ischemic colitis is the most common. Ischemic Colitis Histology.
From www.gastrojournal.org
Ischemic colitis during treatment with alosetron Gastroenterology Ischemic Colitis Histology Gross and microscopic findings depend on the severity and. Ischemic colitis is a leading cause of acute abdomen in elderly patients. Ischemic colitis (ic) is a common type of ischemic insult, resulting from decreased arterial blood flow to the colon. A mixed inflammatory/ischemic pattern is. The majority of cases resolve with nonsurgical management. Three histologic variants of acute colitis with. Ischemic Colitis Histology.
From www.flickriver.com
Qiao's Pathology Ischemic Colitis a photo on Flickriver Ischemic Colitis Histology Ischemic colitis or lower gastrointestinal ischemia, for the first time described by boley et al. Gross and microscopic findings depend on the severity and. Ischemic colitis is a leading cause of acute abdomen in elderly patients. A mixed inflammatory/ischemic pattern is. In 1963, is a vascular. The majority of cases resolve with nonsurgical management. Three histologic variants of acute colitis. Ischemic Colitis Histology.
From fer13013.blogspot.com
GASTROINTESTINAL AND LIVER HISTOLOGY PATHOLOGY ATLAS COLON ISCHEMIC COLITIS Ischemic Colitis Histology In 1963, is a vascular. The majority of cases resolve with nonsurgical management. A mixed inflammatory/ischemic pattern is. Ischemic colitis or lower gastrointestinal ischemia, for the first time described by boley et al. Ischemic colitis (ic) is a common type of ischemic insult, resulting from decreased arterial blood flow to the colon. Three histologic variants of acute colitis with ischemic. Ischemic Colitis Histology.
From www.researchgate.net
Histological features of microscopic colitis. (A) Collagenous colitis... Download Scientific Ischemic Colitis Histology Three histologic variants of acute colitis with ischemic features are recognized. Ischemic colitis is the most common form of gi ischemia; Ischemic colitis (ic) is a common type of ischemic insult, resulting from decreased arterial blood flow to the colon. Ischemic colitis or lower gastrointestinal ischemia, for the first time described by boley et al. Gross and microscopic findings depend. Ischemic Colitis Histology.
From fer13013.blogspot.com
GASTROINTESTINAL AND LIVER HISTOLOGY PATHOLOGY ATLAS COLON ISCHEMIC COLITIS Ischemic Colitis Histology Ischemic colitis also known as colon ischemia (ci) is a common disorder of the large bowel in older persons and is the most common. Three histologic variants of acute colitis with ischemic features are recognized. Ischemic colitis is a leading cause of acute abdomen in elderly patients. In 1963, is a vascular. Ischemic colitis or lower gastrointestinal ischemia, for the. Ischemic Colitis Histology.
From www.wikidoc.org
Ischemic colitis CT wikidoc Ischemic Colitis Histology In 1963, is a vascular. Ischemic colitis is the most common form of gi ischemia; Three histologic variants of acute colitis with ischemic features are recognized. Ischemic colitis also known as colon ischemia (ci) is a common disorder of the large bowel in older persons and is the most common. Ischemic colitis is a leading cause of acute abdomen in. Ischemic Colitis Histology.
From www.pathologyoutlines.com
Pathology Outlines Ischemic colitis Ischemic Colitis Histology The majority of cases resolve with nonsurgical management. Gross and microscopic findings depend on the severity and. In 1963, is a vascular. Ischemic colitis (ic) is a common type of ischemic insult, resulting from decreased arterial blood flow to the colon. Ischemic colitis is a leading cause of acute abdomen in elderly patients. Ischemic colitis is the most common form. Ischemic Colitis Histology.
From radiologykey.com
Ischemic Colitis Radiology Key Ischemic Colitis Histology The majority of cases resolve with nonsurgical management. Ischemic colitis is the most common form of gi ischemia; Ischemic colitis also known as colon ischemia (ci) is a common disorder of the large bowel in older persons and is the most common. Three histologic variants of acute colitis with ischemic features are recognized. Ischemic colitis or lower gastrointestinal ischemia, for. Ischemic Colitis Histology.
From fer13013.blogspot.com
GASTROINTESTINAL AND LIVER HISTOLOGY PATHOLOGY ATLAS COLON ISCHEMIC COLITIS Ischemic Colitis Histology Ischemic colitis (ic) is a common type of ischemic insult, resulting from decreased arterial blood flow to the colon. Ischemic colitis is the most common form of gi ischemia; Ischemic colitis also known as colon ischemia (ci) is a common disorder of the large bowel in older persons and is the most common. Gross and microscopic findings depend on the. Ischemic Colitis Histology.