Veneer Reduction . Today we’re showing you how to use preparation guides and matrices to prep ten. The exact reduction dimensions are dictated by the minimum thickness required for the final restorative material. Prepping for porcelain veneers should be dependent on the individual patient's specific situation, goals, form, function, and teeth condition. 10 steps to maximize success for veneer preparation. Veneers are a conservative and minimally invasive esthetic treatment for discolored, worn, chipped, malformed or misaligned teeth. An additional 0.2 mm reduction is needed for each shade change, ascending from d4 to a1. Before the veneer can be placed, however, teeth need to be properly prepared. Because lighter shades require a thicker veneer, you will need to increase the amount of. The illustrations below depict teeth prepared for veneers and convey an ideal overall facial veneer prep design. The vestibular or lingual reduction is approximately 1.2 mm for anterior teeth and approximately 1.5 mm for posterior teeth. The success of an indirect porcelain restoration.
from www.docklandsdental.ie
10 steps to maximize success for veneer preparation. Before the veneer can be placed, however, teeth need to be properly prepared. The illustrations below depict teeth prepared for veneers and convey an ideal overall facial veneer prep design. The exact reduction dimensions are dictated by the minimum thickness required for the final restorative material. An additional 0.2 mm reduction is needed for each shade change, ascending from d4 to a1. Veneers are a conservative and minimally invasive esthetic treatment for discolored, worn, chipped, malformed or misaligned teeth. Because lighter shades require a thicker veneer, you will need to increase the amount of. Prepping for porcelain veneers should be dependent on the individual patient's specific situation, goals, form, function, and teeth condition. Today we’re showing you how to use preparation guides and matrices to prep ten. The success of an indirect porcelain restoration.
A Complete Guide To Dental Veneers Docklands Dental
Veneer Reduction Today we’re showing you how to use preparation guides and matrices to prep ten. Today we’re showing you how to use preparation guides and matrices to prep ten. The success of an indirect porcelain restoration. The illustrations below depict teeth prepared for veneers and convey an ideal overall facial veneer prep design. Because lighter shades require a thicker veneer, you will need to increase the amount of. Prepping for porcelain veneers should be dependent on the individual patient's specific situation, goals, form, function, and teeth condition. Before the veneer can be placed, however, teeth need to be properly prepared. The exact reduction dimensions are dictated by the minimum thickness required for the final restorative material. The vestibular or lingual reduction is approximately 1.2 mm for anterior teeth and approximately 1.5 mm for posterior teeth. An additional 0.2 mm reduction is needed for each shade change, ascending from d4 to a1. Veneers are a conservative and minimally invasive esthetic treatment for discolored, worn, chipped, malformed or misaligned teeth. 10 steps to maximize success for veneer preparation.
From www.renstrom.com
Veneer Preparation and ProvisionalizationRenstrom Dental Studio Full Veneer Reduction The vestibular or lingual reduction is approximately 1.2 mm for anterior teeth and approximately 1.5 mm for posterior teeth. The exact reduction dimensions are dictated by the minimum thickness required for the final restorative material. Prepping for porcelain veneers should be dependent on the individual patient's specific situation, goals, form, function, and teeth condition. The illustrations below depict teeth prepared. Veneer Reduction.
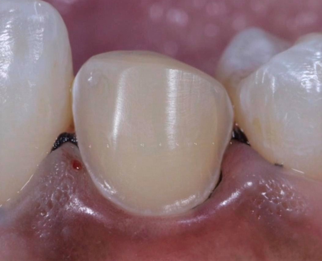
From www.styleitaliano.org
Ceramic Veneers Tooth Preparation for Enamel Preservation Veneer Reduction The success of an indirect porcelain restoration. Prepping for porcelain veneers should be dependent on the individual patient's specific situation, goals, form, function, and teeth condition. Today we’re showing you how to use preparation guides and matrices to prep ten. 10 steps to maximize success for veneer preparation. The vestibular or lingual reduction is approximately 1.2 mm for anterior teeth. Veneer Reduction.
From glidewelldental.com
Veneer Preparation and Temporization Tips and Techniques Veneer Reduction An additional 0.2 mm reduction is needed for each shade change, ascending from d4 to a1. Today we’re showing you how to use preparation guides and matrices to prep ten. The illustrations below depict teeth prepared for veneers and convey an ideal overall facial veneer prep design. Before the veneer can be placed, however, teeth need to be properly prepared.. Veneer Reduction.
From firstbite.com.au
Cosmetic Dentistry Case Studies FirstBite Melbourne Cosmetic Dentist Veneer Reduction Prepping for porcelain veneers should be dependent on the individual patient's specific situation, goals, form, function, and teeth condition. The success of an indirect porcelain restoration. 10 steps to maximize success for veneer preparation. Because lighter shades require a thicker veneer, you will need to increase the amount of. The vestibular or lingual reduction is approximately 1.2 mm for anterior. Veneer Reduction.
From www.dayodental.com
Are Veneers Permanent? Veneer Reduction The success of an indirect porcelain restoration. The vestibular or lingual reduction is approximately 1.2 mm for anterior teeth and approximately 1.5 mm for posterior teeth. Veneers are a conservative and minimally invasive esthetic treatment for discolored, worn, chipped, malformed or misaligned teeth. Because lighter shades require a thicker veneer, you will need to increase the amount of. The exact. Veneer Reduction.
From www.pinterest.com
Veneer reduction guide!!! Learn more about the porcelain veneers Veneer Reduction Today we’re showing you how to use preparation guides and matrices to prep ten. Before the veneer can be placed, however, teeth need to be properly prepared. Veneers are a conservative and minimally invasive esthetic treatment for discolored, worn, chipped, malformed or misaligned teeth. The illustrations below depict teeth prepared for veneers and convey an ideal overall facial veneer prep. Veneer Reduction.
From www.inhousedentalstudio.com
Case 16, Anterior Esthetic Makeover with Crowns, Veneers and Invisalign Veneer Reduction An additional 0.2 mm reduction is needed for each shade change, ascending from d4 to a1. 10 steps to maximize success for veneer preparation. Before the veneer can be placed, however, teeth need to be properly prepared. The illustrations below depict teeth prepared for veneers and convey an ideal overall facial veneer prep design. The vestibular or lingual reduction is. Veneer Reduction.
From www.thedentalroom.com.au
Porcelain Veneers Before and After The Dental Room Veneer Reduction An additional 0.2 mm reduction is needed for each shade change, ascending from d4 to a1. 10 steps to maximize success for veneer preparation. The exact reduction dimensions are dictated by the minimum thickness required for the final restorative material. The illustrations below depict teeth prepared for veneers and convey an ideal overall facial veneer prep design. The vestibular or. Veneer Reduction.
From pocketdentistry.com
Tooth Preparation for Porcelain Laminate Veneers Pocket Dentistry Veneer Reduction Prepping for porcelain veneers should be dependent on the individual patient's specific situation, goals, form, function, and teeth condition. Veneers are a conservative and minimally invasive esthetic treatment for discolored, worn, chipped, malformed or misaligned teeth. Today we’re showing you how to use preparation guides and matrices to prep ten. Because lighter shades require a thicker veneer, you will need. Veneer Reduction.
From stomadentlab.com
4 Veneer Preparation Methods for Satisfied Patients STOMADENT Veneer Reduction Today we’re showing you how to use preparation guides and matrices to prep ten. An additional 0.2 mm reduction is needed for each shade change, ascending from d4 to a1. 10 steps to maximize success for veneer preparation. Before the veneer can be placed, however, teeth need to be properly prepared. Because lighter shades require a thicker veneer, you will. Veneer Reduction.
From infinitydental.in
what is the procedure for a dental veneer and how is it prep Veneer Reduction Because lighter shades require a thicker veneer, you will need to increase the amount of. The vestibular or lingual reduction is approximately 1.2 mm for anterior teeth and approximately 1.5 mm for posterior teeth. Before the veneer can be placed, however, teeth need to be properly prepared. The illustrations below depict teeth prepared for veneers and convey an ideal overall. Veneer Reduction.
From www.dentalestheticszak.com
Ceramic veneers preparartion .. Part 2 " Conventional preparation Veneer Reduction Prepping for porcelain veneers should be dependent on the individual patient's specific situation, goals, form, function, and teeth condition. An additional 0.2 mm reduction is needed for each shade change, ascending from d4 to a1. Veneers are a conservative and minimally invasive esthetic treatment for discolored, worn, chipped, malformed or misaligned teeth. 10 steps to maximize success for veneer preparation.. Veneer Reduction.
From www.yaletowndental.com
Reduction Free Veneers Vancouver Vancouver dentist Veneer Reduction Today we’re showing you how to use preparation guides and matrices to prep ten. Veneers are a conservative and minimally invasive esthetic treatment for discolored, worn, chipped, malformed or misaligned teeth. Because lighter shades require a thicker veneer, you will need to increase the amount of. The illustrations below depict teeth prepared for veneers and convey an ideal overall facial. Veneer Reduction.
From www.styleitaliano.org
Veneer workflow and temporary restoration management Veneer Reduction The vestibular or lingual reduction is approximately 1.2 mm for anterior teeth and approximately 1.5 mm for posterior teeth. Before the veneer can be placed, however, teeth need to be properly prepared. The exact reduction dimensions are dictated by the minimum thickness required for the final restorative material. Veneers are a conservative and minimally invasive esthetic treatment for discolored, worn,. Veneer Reduction.
From www.youtube.com
Porcelain Veneers Incisor Reduction 3 YouTube Veneer Reduction The vestibular or lingual reduction is approximately 1.2 mm for anterior teeth and approximately 1.5 mm for posterior teeth. The success of an indirect porcelain restoration. Because lighter shades require a thicker veneer, you will need to increase the amount of. Before the veneer can be placed, however, teeth need to be properly prepared. Prepping for porcelain veneers should be. Veneer Reduction.
From www.dothandson.com
Veneer Prep Guide Veneer Reduction 10 steps to maximize success for veneer preparation. Prepping for porcelain veneers should be dependent on the individual patient's specific situation, goals, form, function, and teeth condition. An additional 0.2 mm reduction is needed for each shade change, ascending from d4 to a1. Veneers are a conservative and minimally invasive esthetic treatment for discolored, worn, chipped, malformed or misaligned teeth.. Veneer Reduction.
From leeannbrady.com
Incisal Wrap Veneer Prep Lee Ann Brady DMD Veneer Reduction Today we’re showing you how to use preparation guides and matrices to prep ten. Prepping for porcelain veneers should be dependent on the individual patient's specific situation, goals, form, function, and teeth condition. Because lighter shades require a thicker veneer, you will need to increase the amount of. Before the veneer can be placed, however, teeth need to be properly. Veneer Reduction.
From www.styleitaliano.org
Veneer workflow and temporary restoration management Veneer Reduction The vestibular or lingual reduction is approximately 1.2 mm for anterior teeth and approximately 1.5 mm for posterior teeth. 10 steps to maximize success for veneer preparation. The exact reduction dimensions are dictated by the minimum thickness required for the final restorative material. Because lighter shades require a thicker veneer, you will need to increase the amount of. Veneers are. Veneer Reduction.
From www.thejcdp.com
Conservative Ultrathin Veneer Restorations with Minimal Reduction A 5 Veneer Reduction Because lighter shades require a thicker veneer, you will need to increase the amount of. The illustrations below depict teeth prepared for veneers and convey an ideal overall facial veneer prep design. The exact reduction dimensions are dictated by the minimum thickness required for the final restorative material. Today we’re showing you how to use preparation guides and matrices to. Veneer Reduction.
From blyssdental.com
San Diego Dental Veneers 7 Crucial Things To Ask Your Cosmetic Dentist Veneer Reduction Today we’re showing you how to use preparation guides and matrices to prep ten. Prepping for porcelain veneers should be dependent on the individual patient's specific situation, goals, form, function, and teeth condition. Because lighter shades require a thicker veneer, you will need to increase the amount of. The illustrations below depict teeth prepared for veneers and convey an ideal. Veneer Reduction.
From rezottoproduction.com
The Performance of Veneers Anterior Restorations rezotto production Veneer Reduction The illustrations below depict teeth prepared for veneers and convey an ideal overall facial veneer prep design. Because lighter shades require a thicker veneer, you will need to increase the amount of. The success of an indirect porcelain restoration. The exact reduction dimensions are dictated by the minimum thickness required for the final restorative material. Before the veneer can be. Veneer Reduction.
From www.ccdds.com
Before and After Veneers Procedure Dr. Christian Chung, D.D.S. Veneer Reduction Veneers are a conservative and minimally invasive esthetic treatment for discolored, worn, chipped, malformed or misaligned teeth. The illustrations below depict teeth prepared for veneers and convey an ideal overall facial veneer prep design. Because lighter shades require a thicker veneer, you will need to increase the amount of. The success of an indirect porcelain restoration. Prepping for porcelain veneers. Veneer Reduction.
From www.dentalestheticszak.com
Ceramic veneers preparartion .. Part 2 " Conventional preparation Veneer Reduction The exact reduction dimensions are dictated by the minimum thickness required for the final restorative material. Today we’re showing you how to use preparation guides and matrices to prep ten. Prepping for porcelain veneers should be dependent on the individual patient's specific situation, goals, form, function, and teeth condition. 10 steps to maximize success for veneer preparation. The illustrations below. Veneer Reduction.
From www.veneertraining.com
Reduction guides for Porcelain Veneers Preparation Virtual Veneer Veneer Reduction Today we’re showing you how to use preparation guides and matrices to prep ten. The vestibular or lingual reduction is approximately 1.2 mm for anterior teeth and approximately 1.5 mm for posterior teeth. Veneers are a conservative and minimally invasive esthetic treatment for discolored, worn, chipped, malformed or misaligned teeth. Before the veneer can be placed, however, teeth need to. Veneer Reduction.
From www.youtube.com
Veneer preparation workflow YouTube Veneer Reduction Because lighter shades require a thicker veneer, you will need to increase the amount of. Today we’re showing you how to use preparation guides and matrices to prep ten. 10 steps to maximize success for veneer preparation. Prepping for porcelain veneers should be dependent on the individual patient's specific situation, goals, form, function, and teeth condition. The success of an. Veneer Reduction.
From www.renstrom.com
Veneer Preparation and ProvisionalizationRENSTROM DENTAL STUDIO, INC Veneer Reduction An additional 0.2 mm reduction is needed for each shade change, ascending from d4 to a1. The exact reduction dimensions are dictated by the minimum thickness required for the final restorative material. Because lighter shades require a thicker veneer, you will need to increase the amount of. Today we’re showing you how to use preparation guides and matrices to prep. Veneer Reduction.
From www.renstrom.com
Start to Finish Veneers Part 1Renstrom Dental Studio Full Service Veneer Reduction The success of an indirect porcelain restoration. Today we’re showing you how to use preparation guides and matrices to prep ten. 10 steps to maximize success for veneer preparation. Because lighter shades require a thicker veneer, you will need to increase the amount of. The vestibular or lingual reduction is approximately 1.2 mm for anterior teeth and approximately 1.5 mm. Veneer Reduction.
From talkativedesigner.blogspot.com
Composite Resin Veneers Before And After Before And After Veneer Reduction The vestibular or lingual reduction is approximately 1.2 mm for anterior teeth and approximately 1.5 mm for posterior teeth. The success of an indirect porcelain restoration. Prepping for porcelain veneers should be dependent on the individual patient's specific situation, goals, form, function, and teeth condition. 10 steps to maximize success for veneer preparation. The exact reduction dimensions are dictated by. Veneer Reduction.
From leeannbrady.com
Veneer Preps Why Do Incisal Reduction? Lee Ann Brady DMD Veneer Reduction Today we’re showing you how to use preparation guides and matrices to prep ten. Prepping for porcelain veneers should be dependent on the individual patient's specific situation, goals, form, function, and teeth condition. 10 steps to maximize success for veneer preparation. An additional 0.2 mm reduction is needed for each shade change, ascending from d4 to a1. Because lighter shades. Veneer Reduction.
From www.docklandsdental.ie
A Complete Guide To Dental Veneers Docklands Dental Veneer Reduction Prepping for porcelain veneers should be dependent on the individual patient's specific situation, goals, form, function, and teeth condition. The success of an indirect porcelain restoration. An additional 0.2 mm reduction is needed for each shade change, ascending from d4 to a1. 10 steps to maximize success for veneer preparation. Because lighter shades require a thicker veneer, you will need. Veneer Reduction.
From www.dentalestheticszak.com
Ceramic veneers preparartion .. Part 3 " Guided prep. " Dental Esthetics Veneer Reduction The exact reduction dimensions are dictated by the minimum thickness required for the final restorative material. The vestibular or lingual reduction is approximately 1.2 mm for anterior teeth and approximately 1.5 mm for posterior teeth. The illustrations below depict teeth prepared for veneers and convey an ideal overall facial veneer prep design. Prepping for porcelain veneers should be dependent on. Veneer Reduction.
From talkativedesigner.blogspot.com
Before And After Laminate Veneers Before And After Veneer Reduction Prepping for porcelain veneers should be dependent on the individual patient's specific situation, goals, form, function, and teeth condition. The illustrations below depict teeth prepared for veneers and convey an ideal overall facial veneer prep design. The vestibular or lingual reduction is approximately 1.2 mm for anterior teeth and approximately 1.5 mm for posterior teeth. Veneers are a conservative and. Veneer Reduction.
From burbankdental.com
Porcelain Veneer Prepping 101 Burbank Dental Lab Veneer Reduction Because lighter shades require a thicker veneer, you will need to increase the amount of. Veneers are a conservative and minimally invasive esthetic treatment for discolored, worn, chipped, malformed or misaligned teeth. 10 steps to maximize success for veneer preparation. The success of an indirect porcelain restoration. The illustrations below depict teeth prepared for veneers and convey an ideal overall. Veneer Reduction.
From burbankdental.com
SimplyThin Veneers Prep Guide Burbank Dental Lab Veneer Reduction The success of an indirect porcelain restoration. Today we’re showing you how to use preparation guides and matrices to prep ten. 10 steps to maximize success for veneer preparation. The illustrations below depict teeth prepared for veneers and convey an ideal overall facial veneer prep design. Veneers are a conservative and minimally invasive esthetic treatment for discolored, worn, chipped, malformed. Veneer Reduction.
From restorativenation.com
Anterior Veneer Preparation Design Restorative Nation Veneer Reduction Prepping for porcelain veneers should be dependent on the individual patient's specific situation, goals, form, function, and teeth condition. Today we’re showing you how to use preparation guides and matrices to prep ten. The exact reduction dimensions are dictated by the minimum thickness required for the final restorative material. The illustrations below depict teeth prepared for veneers and convey an. Veneer Reduction.