Hip Replacement Evaluation . This overview focusses on the normal findings and complications of. The top end of the thigh. Total hip replacement (thr), or total hip arthroplasty (tha), is a procedure that removes damaged bone and cartilage and replaces it. The damaged hip joint is taken apart. Ask if the patient has had a hip replacement (if so internal rotation, adduction and flexion greater than 90° should be avoided due to the risk of joint dislocation). Radiography is the primary imaging method for the evaluation of total hip arthroplasty. These guidelines are designed to guide the physiotherapist when treating patients following a total hip replacement. The surgeon makes a cut, or a number of cuts, in the back or side of your hip. Total hip arthroplasty (tha), also known as total hip replacement (thr), is an orthopedic procedure that involves the surgical excision of the femoral head and cartilage. The main steps of total hip replacement surgery are: In a total hip replacement (also called total hip arthroplasty), the damaged bone and cartilage is removed and replaced with prosthetic.
from www.slideserve.com
The damaged hip joint is taken apart. The main steps of total hip replacement surgery are: In a total hip replacement (also called total hip arthroplasty), the damaged bone and cartilage is removed and replaced with prosthetic. Total hip replacement (thr), or total hip arthroplasty (tha), is a procedure that removes damaged bone and cartilage and replaces it. This overview focusses on the normal findings and complications of. The top end of the thigh. Radiography is the primary imaging method for the evaluation of total hip arthroplasty. Total hip arthroplasty (tha), also known as total hip replacement (thr), is an orthopedic procedure that involves the surgical excision of the femoral head and cartilage. The surgeon makes a cut, or a number of cuts, in the back or side of your hip. Ask if the patient has had a hip replacement (if so internal rotation, adduction and flexion greater than 90° should be avoided due to the risk of joint dislocation).
PPT The Importance of Preoperative Evaluation by Hip Replacement
Hip Replacement Evaluation These guidelines are designed to guide the physiotherapist when treating patients following a total hip replacement. In a total hip replacement (also called total hip arthroplasty), the damaged bone and cartilage is removed and replaced with prosthetic. The top end of the thigh. The damaged hip joint is taken apart. The main steps of total hip replacement surgery are: This overview focusses on the normal findings and complications of. Radiography is the primary imaging method for the evaluation of total hip arthroplasty. These guidelines are designed to guide the physiotherapist when treating patients following a total hip replacement. Total hip replacement (thr), or total hip arthroplasty (tha), is a procedure that removes damaged bone and cartilage and replaces it. Total hip arthroplasty (tha), also known as total hip replacement (thr), is an orthopedic procedure that involves the surgical excision of the femoral head and cartilage. Ask if the patient has had a hip replacement (if so internal rotation, adduction and flexion greater than 90° should be avoided due to the risk of joint dislocation). The surgeon makes a cut, or a number of cuts, in the back or side of your hip.
From www.researchgate.net
Range of motion assessment positions. A assessment of left hip Hip Replacement Evaluation In a total hip replacement (also called total hip arthroplasty), the damaged bone and cartilage is removed and replaced with prosthetic. The top end of the thigh. Radiography is the primary imaging method for the evaluation of total hip arthroplasty. This overview focusses on the normal findings and complications of. Total hip replacement (thr), or total hip arthroplasty (tha), is. Hip Replacement Evaluation.
From hipandkneebook.com
POSTOP EVALUATION — Hip & Knee Book Hip Replacement Evaluation These guidelines are designed to guide the physiotherapist when treating patients following a total hip replacement. Radiography is the primary imaging method for the evaluation of total hip arthroplasty. This overview focusses on the normal findings and complications of. Total hip replacement (thr), or total hip arthroplasty (tha), is a procedure that removes damaged bone and cartilage and replaces it.. Hip Replacement Evaluation.
From www.researchgate.net
(PDF) Evaluation of Joint Score in total hip arthroplasty Hip Replacement Evaluation Total hip arthroplasty (tha), also known as total hip replacement (thr), is an orthopedic procedure that involves the surgical excision of the femoral head and cartilage. In a total hip replacement (also called total hip arthroplasty), the damaged bone and cartilage is removed and replaced with prosthetic. The main steps of total hip replacement surgery are: This overview focusses on. Hip Replacement Evaluation.
From www.drmichaelwind.com
Revision Total Hip Replacement Orthopedic Surgeon, Richmond VA Hip Replacement Evaluation The surgeon makes a cut, or a number of cuts, in the back or side of your hip. This overview focusses on the normal findings and complications of. Ask if the patient has had a hip replacement (if so internal rotation, adduction and flexion greater than 90° should be avoided due to the risk of joint dislocation). In a total. Hip Replacement Evaluation.
From www.intechopen.com
Evaluation of Adaptive Bone Remodeling after Total Hip Arthroplasty Hip Replacement Evaluation Total hip replacement (thr), or total hip arthroplasty (tha), is a procedure that removes damaged bone and cartilage and replaces it. The damaged hip joint is taken apart. The top end of the thigh. This overview focusses on the normal findings and complications of. Total hip arthroplasty (tha), also known as total hip replacement (thr), is an orthopedic procedure that. Hip Replacement Evaluation.
From studylib.net
Total Hip Replacement Brochure Hip Replacement Evaluation The top end of the thigh. Radiography is the primary imaging method for the evaluation of total hip arthroplasty. Ask if the patient has had a hip replacement (if so internal rotation, adduction and flexion greater than 90° should be avoided due to the risk of joint dislocation). The surgeon makes a cut, or a number of cuts, in the. Hip Replacement Evaluation.
From www.frontiersin.org
Frontiers Radiological Imaging Evaluation of the Failing Total Hip Hip Replacement Evaluation Ask if the patient has had a hip replacement (if so internal rotation, adduction and flexion greater than 90° should be avoided due to the risk of joint dislocation). Total hip arthroplasty (tha), also known as total hip replacement (thr), is an orthopedic procedure that involves the surgical excision of the femoral head and cartilage. The top end of the. Hip Replacement Evaluation.
From www.researchgate.net
(PDF) Use of the Corail stem for revision total hip arthroplasty Hip Replacement Evaluation The top end of the thigh. The main steps of total hip replacement surgery are: The damaged hip joint is taken apart. These guidelines are designed to guide the physiotherapist when treating patients following a total hip replacement. Total hip arthroplasty (tha), also known as total hip replacement (thr), is an orthopedic procedure that involves the surgical excision of the. Hip Replacement Evaluation.
From www.slideserve.com
PPT The Importance of Preoperative Evaluation by Hip Replacement Hip Replacement Evaluation These guidelines are designed to guide the physiotherapist when treating patients following a total hip replacement. Ask if the patient has had a hip replacement (if so internal rotation, adduction and flexion greater than 90° should be avoided due to the risk of joint dislocation). In a total hip replacement (also called total hip arthroplasty), the damaged bone and cartilage. Hip Replacement Evaluation.
From reconorthofl.com
Total Hip Replacement (Ceramic on Ceramic) Ocala, FL Dr. Karl Hip Replacement Evaluation The top end of the thigh. The main steps of total hip replacement surgery are: The surgeon makes a cut, or a number of cuts, in the back or side of your hip. The damaged hip joint is taken apart. Ask if the patient has had a hip replacement (if so internal rotation, adduction and flexion greater than 90° should. Hip Replacement Evaluation.
From www.researchgate.net
(PDF) Preop Assessment Guide for Core Trainees THR (Total Hip Hip Replacement Evaluation These guidelines are designed to guide the physiotherapist when treating patients following a total hip replacement. Total hip replacement (thr), or total hip arthroplasty (tha), is a procedure that removes damaged bone and cartilage and replaces it. The top end of the thigh. Total hip arthroplasty (tha), also known as total hip replacement (thr), is an orthopedic procedure that involves. Hip Replacement Evaluation.
From healthjade.com
Hip Replacement Surgery Recovery Time, Alternatives, Risks Hip Replacement Evaluation This overview focusses on the normal findings and complications of. Total hip arthroplasty (tha), also known as total hip replacement (thr), is an orthopedic procedure that involves the surgical excision of the femoral head and cartilage. In a total hip replacement (also called total hip arthroplasty), the damaged bone and cartilage is removed and replaced with prosthetic. The damaged hip. Hip Replacement Evaluation.
From www.orthomaryland.net
Studies Confirm Benefits of Direct Anterior Approach to Total Hip Hip Replacement Evaluation Ask if the patient has had a hip replacement (if so internal rotation, adduction and flexion greater than 90° should be avoided due to the risk of joint dislocation). The damaged hip joint is taken apart. Radiography is the primary imaging method for the evaluation of total hip arthroplasty. Total hip arthroplasty (tha), also known as total hip replacement (thr),. Hip Replacement Evaluation.
From www.researchgate.net
(PDF) of primary resurfacing hip replacement Evaluation of Hip Replacement Evaluation The surgeon makes a cut, or a number of cuts, in the back or side of your hip. Total hip arthroplasty (tha), also known as total hip replacement (thr), is an orthopedic procedure that involves the surgical excision of the femoral head and cartilage. The top end of the thigh. Ask if the patient has had a hip replacement (if. Hip Replacement Evaluation.
From www.researchgate.net
(PDF) Preoperative assessment and postoperative of total hip Hip Replacement Evaluation Ask if the patient has had a hip replacement (if so internal rotation, adduction and flexion greater than 90° should be avoided due to the risk of joint dislocation). The surgeon makes a cut, or a number of cuts, in the back or side of your hip. Total hip arthroplasty (tha), also known as total hip replacement (thr), is an. Hip Replacement Evaluation.
From orthoapparatus.com
Medical Apparatus Imaging Guide joint arthroplasty Hip Replacement Evaluation The top end of the thigh. Radiography is the primary imaging method for the evaluation of total hip arthroplasty. In a total hip replacement (also called total hip arthroplasty), the damaged bone and cartilage is removed and replaced with prosthetic. The damaged hip joint is taken apart. Total hip replacement (thr), or total hip arthroplasty (tha), is a procedure that. Hip Replacement Evaluation.
From www.researchgate.net
(PDF) Systematic evaluation of joint amnesia in patients after total Hip Replacement Evaluation The damaged hip joint is taken apart. Ask if the patient has had a hip replacement (if so internal rotation, adduction and flexion greater than 90° should be avoided due to the risk of joint dislocation). This overview focusses on the normal findings and complications of. These guidelines are designed to guide the physiotherapist when treating patients following a total. Hip Replacement Evaluation.
From dokumen.tips
(PDF) Radiologic Assessment of Total Hip Arthroplasty …eradiology Hip Replacement Evaluation These guidelines are designed to guide the physiotherapist when treating patients following a total hip replacement. Total hip replacement (thr), or total hip arthroplasty (tha), is a procedure that removes damaged bone and cartilage and replaces it. The top end of the thigh. Total hip arthroplasty (tha), also known as total hip replacement (thr), is an orthopedic procedure that involves. Hip Replacement Evaluation.
From www.woodslawyers.com
Hip Pain and Hip Replacement Surgery VA Ratings for Disability Hip Replacement Evaluation The main steps of total hip replacement surgery are: Total hip arthroplasty (tha), also known as total hip replacement (thr), is an orthopedic procedure that involves the surgical excision of the femoral head and cartilage. The surgeon makes a cut, or a number of cuts, in the back or side of your hip. Total hip replacement (thr), or total hip. Hip Replacement Evaluation.
From orthopaedicprinciples.com
Hip Fractures History, Exam and Evaluation of Patients Hip Replacement Evaluation The damaged hip joint is taken apart. The surgeon makes a cut, or a number of cuts, in the back or side of your hip. These guidelines are designed to guide the physiotherapist when treating patients following a total hip replacement. The top end of the thigh. The main steps of total hip replacement surgery are: Ask if the patient. Hip Replacement Evaluation.
From www.arthroplastyjournal.org
Revision Hip Arthroplasty Using a Modular Revision Hip System in Cases Hip Replacement Evaluation The surgeon makes a cut, or a number of cuts, in the back or side of your hip. The main steps of total hip replacement surgery are: This overview focusses on the normal findings and complications of. These guidelines are designed to guide the physiotherapist when treating patients following a total hip replacement. The top end of the thigh. Total. Hip Replacement Evaluation.
From www.slideserve.com
PPT Hip exam PowerPoint Presentation, free download ID5749456 Hip Replacement Evaluation This overview focusses on the normal findings and complications of. In a total hip replacement (also called total hip arthroplasty), the damaged bone and cartilage is removed and replaced with prosthetic. Ask if the patient has had a hip replacement (if so internal rotation, adduction and flexion greater than 90° should be avoided due to the risk of joint dislocation).. Hip Replacement Evaluation.
From www.researchgate.net
(PDF) Radiological Imaging Evaluation of the Failing Total Hip Replacement Hip Replacement Evaluation The surgeon makes a cut, or a number of cuts, in the back or side of your hip. In a total hip replacement (also called total hip arthroplasty), the damaged bone and cartilage is removed and replaced with prosthetic. Ask if the patient has had a hip replacement (if so internal rotation, adduction and flexion greater than 90° should be. Hip Replacement Evaluation.
From sportssurgeryclinic.com
Total Hip Replacement Surgery at UPMC Sports Surgery Clinic Hip Replacement Evaluation The damaged hip joint is taken apart. In a total hip replacement (also called total hip arthroplasty), the damaged bone and cartilage is removed and replaced with prosthetic. The top end of the thigh. Total hip arthroplasty (tha), also known as total hip replacement (thr), is an orthopedic procedure that involves the surgical excision of the femoral head and cartilage.. Hip Replacement Evaluation.
From www.researchgate.net
(PDF) Efficacy evaluation of a protocol for safe hip surgery (total hip Hip Replacement Evaluation These guidelines are designed to guide the physiotherapist when treating patients following a total hip replacement. In a total hip replacement (also called total hip arthroplasty), the damaged bone and cartilage is removed and replaced with prosthetic. Total hip arthroplasty (tha), also known as total hip replacement (thr), is an orthopedic procedure that involves the surgical excision of the femoral. Hip Replacement Evaluation.
From epos.myesr.org
EPOS™ Hip Replacement Evaluation Ask if the patient has had a hip replacement (if so internal rotation, adduction and flexion greater than 90° should be avoided due to the risk of joint dislocation). The top end of the thigh. Total hip replacement (thr), or total hip arthroplasty (tha), is a procedure that removes damaged bone and cartilage and replaces it. Total hip arthroplasty (tha),. Hip Replacement Evaluation.
From www.mdpi.com
Biomedicines Free FullText The Transverse Mechanical Axis of the Hip Replacement Evaluation The main steps of total hip replacement surgery are: Total hip replacement (thr), or total hip arthroplasty (tha), is a procedure that removes damaged bone and cartilage and replaces it. Total hip arthroplasty (tha), also known as total hip replacement (thr), is an orthopedic procedure that involves the surgical excision of the femoral head and cartilage. Ask if the patient. Hip Replacement Evaluation.
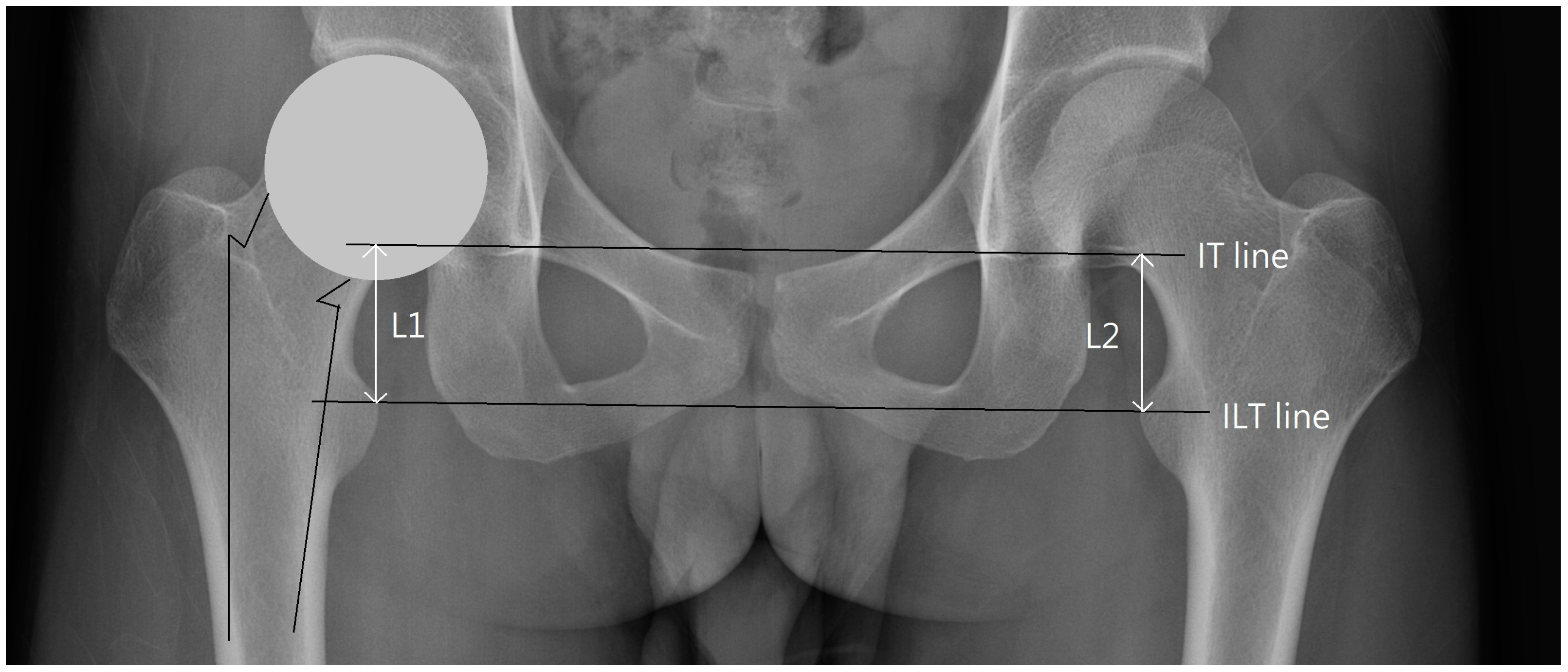
From www.researchgate.net
Radiological assessment of hip geometry. Download Scientific Diagram Hip Replacement Evaluation The main steps of total hip replacement surgery are: This overview focusses on the normal findings and complications of. The damaged hip joint is taken apart. The top end of the thigh. These guidelines are designed to guide the physiotherapist when treating patients following a total hip replacement. Radiography is the primary imaging method for the evaluation of total hip. Hip Replacement Evaluation.
From www.researchgate.net
(PDF) Leg and Femoral Neck Length Evaluation Using an Anterior Capsule Hip Replacement Evaluation Radiography is the primary imaging method for the evaluation of total hip arthroplasty. The surgeon makes a cut, or a number of cuts, in the back or side of your hip. Ask if the patient has had a hip replacement (if so internal rotation, adduction and flexion greater than 90° should be avoided due to the risk of joint dislocation).. Hip Replacement Evaluation.
From www.researchgate.net
(PDF) Assessment of FastTrack Pathway in Hip and Knee Replacement Hip Replacement Evaluation In a total hip replacement (also called total hip arthroplasty), the damaged bone and cartilage is removed and replaced with prosthetic. These guidelines are designed to guide the physiotherapist when treating patients following a total hip replacement. This overview focusses on the normal findings and complications of. Total hip replacement (thr), or total hip arthroplasty (tha), is a procedure that. Hip Replacement Evaluation.
From www.semanticscholar.org
Figure 1 from Intraoperative periprosthetic fractures during total hip Hip Replacement Evaluation Radiography is the primary imaging method for the evaluation of total hip arthroplasty. Total hip arthroplasty (tha), also known as total hip replacement (thr), is an orthopedic procedure that involves the surgical excision of the femoral head and cartilage. Ask if the patient has had a hip replacement (if so internal rotation, adduction and flexion greater than 90° should be. Hip Replacement Evaluation.
From www.youtube.com
templating total hip arthroplasty on PACS digital xray YouTube Hip Replacement Evaluation In a total hip replacement (also called total hip arthroplasty), the damaged bone and cartilage is removed and replaced with prosthetic. Ask if the patient has had a hip replacement (if so internal rotation, adduction and flexion greater than 90° should be avoided due to the risk of joint dislocation). Total hip arthroplasty (tha), also known as total hip replacement. Hip Replacement Evaluation.
From www.physio.co.uk
Hip Replacement Hip Surgery What We Treat Physio.co.uk Hip Replacement Evaluation The surgeon makes a cut, or a number of cuts, in the back or side of your hip. This overview focusses on the normal findings and complications of. Radiography is the primary imaging method for the evaluation of total hip arthroplasty. The main steps of total hip replacement surgery are: The top end of the thigh. The damaged hip joint. Hip Replacement Evaluation.
From www.researchgate.net
(PDF) Evaluation of two surgical techniques for acetabular Hip Replacement Evaluation The surgeon makes a cut, or a number of cuts, in the back or side of your hip. These guidelines are designed to guide the physiotherapist when treating patients following a total hip replacement. The damaged hip joint is taken apart. This overview focusses on the normal findings and complications of. Ask if the patient has had a hip replacement. Hip Replacement Evaluation.
From www.semanticscholar.org
Figure 8 from Intraoperative periprosthetic fractures during total hip Hip Replacement Evaluation Total hip arthroplasty (tha), also known as total hip replacement (thr), is an orthopedic procedure that involves the surgical excision of the femoral head and cartilage. The main steps of total hip replacement surgery are: In a total hip replacement (also called total hip arthroplasty), the damaged bone and cartilage is removed and replaced with prosthetic. These guidelines are designed. Hip Replacement Evaluation.