Does Hip Dysplasia Affect Both Hips In Dogs . Due to the wide range of data and no.   learn about hip dysplasia in dogs from a veterinarian's perspective.   canine hip dysplasia (chd) is a complex developmental disorder.   learn how to identify hip dysplasia in dogs, a condition that affects the ball and socket joint of the hip and.   hip dysplasia is a common condition that affects the hip joint and can cause pain, mobility issues, and osteoarthritis in dogs. Discover the causes, symptoms, and treatment options for this common.  learn about the causes, signs, diagnosis, and treatment of hip dysplasia, a common joint disorder in large breed dogs. Breeds prone to canine hip dysplasia.  hip dysplasia is often bilateral, meaning it can affect both hips.
        
        from pawsandmorevet.com.au 
     
        
        Due to the wide range of data and no.   hip dysplasia is a common condition that affects the hip joint and can cause pain, mobility issues, and osteoarthritis in dogs.   learn about hip dysplasia in dogs from a veterinarian's perspective.  learn about the causes, signs, diagnosis, and treatment of hip dysplasia, a common joint disorder in large breed dogs.  hip dysplasia is often bilateral, meaning it can affect both hips. Breeds prone to canine hip dysplasia. Discover the causes, symptoms, and treatment options for this common.   learn how to identify hip dysplasia in dogs, a condition that affects the ball and socket joint of the hip and.   canine hip dysplasia (chd) is a complex developmental disorder.
    
    	
            
	
		 
         
    Dog Hip Dysplasia Everything You Need to Know Paws and More Vet 
    Does Hip Dysplasia Affect Both Hips In Dogs    hip dysplasia is a common condition that affects the hip joint and can cause pain, mobility issues, and osteoarthritis in dogs.   canine hip dysplasia (chd) is a complex developmental disorder.  learn about the causes, signs, diagnosis, and treatment of hip dysplasia, a common joint disorder in large breed dogs.  hip dysplasia is often bilateral, meaning it can affect both hips. Due to the wide range of data and no.   hip dysplasia is a common condition that affects the hip joint and can cause pain, mobility issues, and osteoarthritis in dogs.   learn how to identify hip dysplasia in dogs, a condition that affects the ball and socket joint of the hip and.   learn about hip dysplasia in dogs from a veterinarian's perspective. Breeds prone to canine hip dysplasia. Discover the causes, symptoms, and treatment options for this common.
            
	
		 
         
 
    
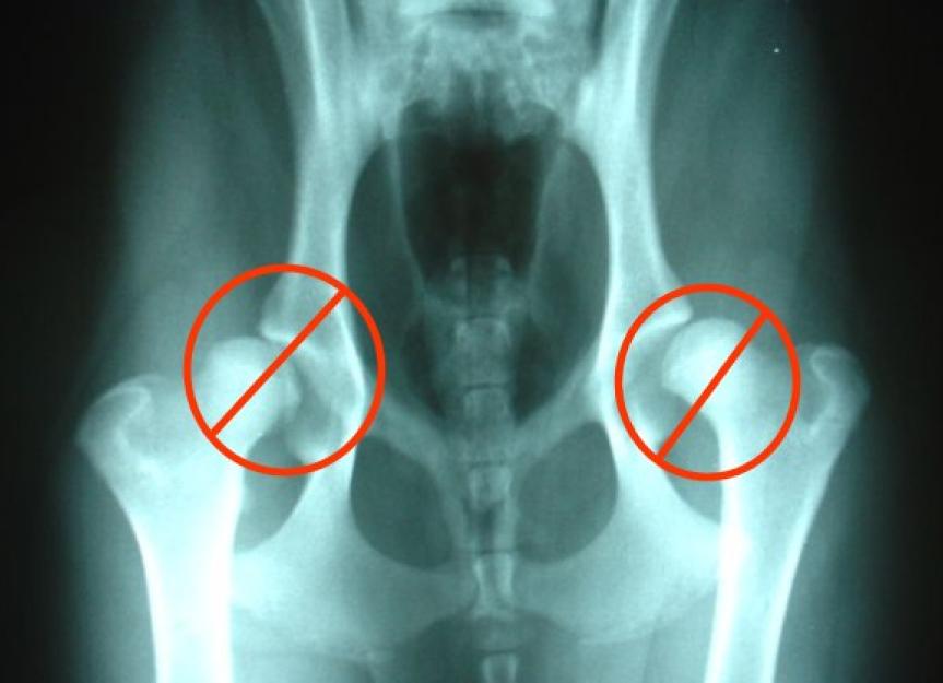
        From www.vsahospital.co.nz 
                    Hip Dysplasia What is it and what can you do about it? Veterinary Does Hip Dysplasia Affect Both Hips In Dogs  Discover the causes, symptoms, and treatment options for this common.   learn how to identify hip dysplasia in dogs, a condition that affects the ball and socket joint of the hip and.  learn about the causes, signs, diagnosis, and treatment of hip dysplasia, a common joint disorder in large breed dogs. Due to the wide range of data and. Does Hip Dysplasia Affect Both Hips In Dogs.
     
    
        From myvetanimalhospital.com.au 
                    Hip Dysplasia What You Need To Know My Vet Animal Hospital Does Hip Dysplasia Affect Both Hips In Dogs   hip dysplasia is often bilateral, meaning it can affect both hips. Discover the causes, symptoms, and treatment options for this common.   learn how to identify hip dysplasia in dogs, a condition that affects the ball and socket joint of the hip and. Due to the wide range of data and no. Breeds prone to canine hip dysplasia. . Does Hip Dysplasia Affect Both Hips In Dogs.
     
    
        From mavink.com 
                    Severe Hip Dysplasia In Dogs Does Hip Dysplasia Affect Both Hips In Dogs    learn how to identify hip dysplasia in dogs, a condition that affects the ball and socket joint of the hip and. Discover the causes, symptoms, and treatment options for this common.  hip dysplasia is often bilateral, meaning it can affect both hips.   canine hip dysplasia (chd) is a complex developmental disorder.   learn about hip dysplasia in. Does Hip Dysplasia Affect Both Hips In Dogs.
     
    
        From www.greatpetcare.com 
                    Hip Dysplasia in Dogs Great Pet Care Does Hip Dysplasia Affect Both Hips In Dogs  Due to the wide range of data and no.  hip dysplasia is often bilateral, meaning it can affect both hips. Breeds prone to canine hip dysplasia.   hip dysplasia is a common condition that affects the hip joint and can cause pain, mobility issues, and osteoarthritis in dogs. Discover the causes, symptoms, and treatment options for this common. . Does Hip Dysplasia Affect Both Hips In Dogs.
     
    
        From www.pinterest.com 
                    How Does Hip Dysplasia Affect Dogs? Hip dysplasia, Dogs, Dog hip Does Hip Dysplasia Affect Both Hips In Dogs   learn about the causes, signs, diagnosis, and treatment of hip dysplasia, a common joint disorder in large breed dogs.   learn about hip dysplasia in dogs from a veterinarian's perspective.   learn how to identify hip dysplasia in dogs, a condition that affects the ball and socket joint of the hip and. Breeds prone to canine hip dysplasia. Due. Does Hip Dysplasia Affect Both Hips In Dogs.
     
    
        From atlantic-points.com 
                    How to Treat Hip Dysplasia in Dogs With Acupressure? Atlantic Points Does Hip Dysplasia Affect Both Hips In Dogs  Breeds prone to canine hip dysplasia. Discover the causes, symptoms, and treatment options for this common.   hip dysplasia is a common condition that affects the hip joint and can cause pain, mobility issues, and osteoarthritis in dogs.   canine hip dysplasia (chd) is a complex developmental disorder.   learn about hip dysplasia in dogs from a veterinarian's perspective. . Does Hip Dysplasia Affect Both Hips In Dogs.
     
    
        From lifedog.net 
                    How Does Hip Dysplasia Affect Small Breed Dogs? Life Dog Does Hip Dysplasia Affect Both Hips In Dogs   learn about the causes, signs, diagnosis, and treatment of hip dysplasia, a common joint disorder in large breed dogs.   canine hip dysplasia (chd) is a complex developmental disorder.  hip dysplasia is often bilateral, meaning it can affect both hips. Due to the wide range of data and no.   hip dysplasia is a common condition that affects. Does Hip Dysplasia Affect Both Hips In Dogs.
     
    
        From www.petmd.com 
                    Hip dysplasia in dogs (part 2) The real cost of diagnosis PetMD Does Hip Dysplasia Affect Both Hips In Dogs  Due to the wide range of data and no.   learn how to identify hip dysplasia in dogs, a condition that affects the ball and socket joint of the hip and. Discover the causes, symptoms, and treatment options for this common.   canine hip dysplasia (chd) is a complex developmental disorder. Breeds prone to canine hip dysplasia.   hip dysplasia. Does Hip Dysplasia Affect Both Hips In Dogs.
     
    
        From thehappypuppysite.com 
                    Hip Dysplasia In Dogs The Happy Puppy Site Does Hip Dysplasia Affect Both Hips In Dogs    learn about hip dysplasia in dogs from a veterinarian's perspective.  hip dysplasia is often bilateral, meaning it can affect both hips.   hip dysplasia is a common condition that affects the hip joint and can cause pain, mobility issues, and osteoarthritis in dogs. Due to the wide range of data and no. Discover the causes, symptoms, and treatment. Does Hip Dysplasia Affect Both Hips In Dogs.
     
    
        From www.globalvetspecialists.org 
                    Hip Dysplasia and Its Causes Global Vet Blog Does Hip Dysplasia Affect Both Hips In Dogs    canine hip dysplasia (chd) is a complex developmental disorder. Discover the causes, symptoms, and treatment options for this common.   learn about hip dysplasia in dogs from a veterinarian's perspective. Due to the wide range of data and no.   hip dysplasia is a common condition that affects the hip joint and can cause pain, mobility issues, and osteoarthritis. Does Hip Dysplasia Affect Both Hips In Dogs.
     
    
        From animalia-life.club 
                    What Are The Early Signs Of Hip Dysplasia In Dogs Does Hip Dysplasia Affect Both Hips In Dogs    canine hip dysplasia (chd) is a complex developmental disorder.   hip dysplasia is a common condition that affects the hip joint and can cause pain, mobility issues, and osteoarthritis in dogs. Discover the causes, symptoms, and treatment options for this common. Due to the wide range of data and no.   learn how to identify hip dysplasia in dogs,. Does Hip Dysplasia Affect Both Hips In Dogs.
     
    
        From www.handicappedpets.com 
                    Caring for a Dog With Hip Dysplasia Canine Hip Dysplasia Does Hip Dysplasia Affect Both Hips In Dogs    learn about hip dysplasia in dogs from a veterinarian's perspective.   canine hip dysplasia (chd) is a complex developmental disorder. Discover the causes, symptoms, and treatment options for this common.   hip dysplasia is a common condition that affects the hip joint and can cause pain, mobility issues, and osteoarthritis in dogs. Due to the wide range of data. Does Hip Dysplasia Affect Both Hips In Dogs.
     
    
        From mavink.com 
                    Early Signs Of Hip Dysplasia In Dogs Does Hip Dysplasia Affect Both Hips In Dogs  Due to the wide range of data and no.   canine hip dysplasia (chd) is a complex developmental disorder.   learn how to identify hip dysplasia in dogs, a condition that affects the ball and socket joint of the hip and.  learn about the causes, signs, diagnosis, and treatment of hip dysplasia, a common joint disorder in large breed. Does Hip Dysplasia Affect Both Hips In Dogs.
     
    
        From content.tailster.com 
                    What Is Canine Hip Dysplasia In Dogs? Does Hip Dysplasia Affect Both Hips In Dogs   learn about the causes, signs, diagnosis, and treatment of hip dysplasia, a common joint disorder in large breed dogs.  hip dysplasia is often bilateral, meaning it can affect both hips.   canine hip dysplasia (chd) is a complex developmental disorder.   learn how to identify hip dysplasia in dogs, a condition that affects the ball and socket joint. Does Hip Dysplasia Affect Both Hips In Dogs.
     
    
        From www.petmd.com 
                    Hip Dysplasia in Dogs Signs, Treatment, Surgery Does Hip Dysplasia Affect Both Hips In Dogs    learn about hip dysplasia in dogs from a veterinarian's perspective.  learn about the causes, signs, diagnosis, and treatment of hip dysplasia, a common joint disorder in large breed dogs.   hip dysplasia is a common condition that affects the hip joint and can cause pain, mobility issues, and osteoarthritis in dogs.  hip dysplasia is often bilateral, meaning. Does Hip Dysplasia Affect Both Hips In Dogs.
     
    
        From pawsandmorevet.com.au 
                    Dog Hip Dysplasia Everything You Need to Know Paws and More Vet Does Hip Dysplasia Affect Both Hips In Dogs    learn how to identify hip dysplasia in dogs, a condition that affects the ball and socket joint of the hip and. Discover the causes, symptoms, and treatment options for this common. Due to the wide range of data and no. Breeds prone to canine hip dysplasia.  learn about the causes, signs, diagnosis, and treatment of hip dysplasia, a. Does Hip Dysplasia Affect Both Hips In Dogs.
     
    
        From www.dogshealth.com 
                    Hip Dysplasia in Dalmatians Dog's Health Does Hip Dysplasia Affect Both Hips In Dogs    hip dysplasia is a common condition that affects the hip joint and can cause pain, mobility issues, and osteoarthritis in dogs.   canine hip dysplasia (chd) is a complex developmental disorder.  learn about the causes, signs, diagnosis, and treatment of hip dysplasia, a common joint disorder in large breed dogs. Breeds prone to canine hip dysplasia.   learn. Does Hip Dysplasia Affect Both Hips In Dogs.
     
    
        From myvetanimalhospital.com.au 
                    Hip Dysplasia What You Need To Know My Vet Animal Hospital Does Hip Dysplasia Affect Both Hips In Dogs    canine hip dysplasia (chd) is a complex developmental disorder. Breeds prone to canine hip dysplasia. Due to the wide range of data and no.  learn about the causes, signs, diagnosis, and treatment of hip dysplasia, a common joint disorder in large breed dogs.  hip dysplasia is often bilateral, meaning it can affect both hips.   hip dysplasia. Does Hip Dysplasia Affect Both Hips In Dogs.
     
    
        From blog.parnell.com 
                    What You Need to Know about Hip Dysplasia in Dogs Does Hip Dysplasia Affect Both Hips In Dogs   hip dysplasia is often bilateral, meaning it can affect both hips. Discover the causes, symptoms, and treatment options for this common.   learn how to identify hip dysplasia in dogs, a condition that affects the ball and socket joint of the hip and.   hip dysplasia is a common condition that affects the hip joint and can cause pain,. Does Hip Dysplasia Affect Both Hips In Dogs.
     
    
        From www.fetchpet.com 
                    Hip dysplasia in dogs what it is and how to treat it Does Hip Dysplasia Affect Both Hips In Dogs   hip dysplasia is often bilateral, meaning it can affect both hips.  learn about the causes, signs, diagnosis, and treatment of hip dysplasia, a common joint disorder in large breed dogs. Breeds prone to canine hip dysplasia. Due to the wide range of data and no.   learn how to identify hip dysplasia in dogs, a condition that affects. Does Hip Dysplasia Affect Both Hips In Dogs.
     
    
        From www.instituteofcaninebiology.org 
                    Managing the risks of hip dysplasia The Institute of Canine Biology Does Hip Dysplasia Affect Both Hips In Dogs    learn about hip dysplasia in dogs from a veterinarian's perspective. Breeds prone to canine hip dysplasia.  learn about the causes, signs, diagnosis, and treatment of hip dysplasia, a common joint disorder in large breed dogs. Discover the causes, symptoms, and treatment options for this common.   hip dysplasia is a common condition that affects the hip joint and. Does Hip Dysplasia Affect Both Hips In Dogs.
     
    
        From vetic.in 
                    Hip Dysplasia in Dogs Does Your Pupper Have it? Does Hip Dysplasia Affect Both Hips In Dogs   learn about the causes, signs, diagnosis, and treatment of hip dysplasia, a common joint disorder in large breed dogs.   learn how to identify hip dysplasia in dogs, a condition that affects the ball and socket joint of the hip and.   hip dysplasia is a common condition that affects the hip joint and can cause pain, mobility issues,. Does Hip Dysplasia Affect Both Hips In Dogs.
     
    
        From graceveterinary.com 
                    Hip Dysplasia in Dogs · Grace Veterinary Services Does Hip Dysplasia Affect Both Hips In Dogs   hip dysplasia is often bilateral, meaning it can affect both hips.   learn how to identify hip dysplasia in dogs, a condition that affects the ball and socket joint of the hip and. Discover the causes, symptoms, and treatment options for this common.   hip dysplasia is a common condition that affects the hip joint and can cause pain,. Does Hip Dysplasia Affect Both Hips In Dogs.
     
    
        From www.pinterest.com 
                    Does Hip Dysplasia In Dogs Affect Their Front Legs? Dog hip dysplasia Does Hip Dysplasia Affect Both Hips In Dogs   learn about the causes, signs, diagnosis, and treatment of hip dysplasia, a common joint disorder in large breed dogs.   learn how to identify hip dysplasia in dogs, a condition that affects the ball and socket joint of the hip and. Discover the causes, symptoms, and treatment options for this common.  hip dysplasia is often bilateral, meaning it. Does Hip Dysplasia Affect Both Hips In Dogs.
     
    
        From www.pinterest.co.uk 
                    Hip dysplasia is an orthopedic disease that affects the dog's hip or Does Hip Dysplasia Affect Both Hips In Dogs  Breeds prone to canine hip dysplasia. Due to the wide range of data and no.  learn about the causes, signs, diagnosis, and treatment of hip dysplasia, a common joint disorder in large breed dogs.   canine hip dysplasia (chd) is a complex developmental disorder. Discover the causes, symptoms, and treatment options for this common.   learn about hip dysplasia. Does Hip Dysplasia Affect Both Hips In Dogs.
     
    
        From k9-kare.com 
                    Hip Dysplasia in Dogs Causes, Symptoms, and Treatment Does Hip Dysplasia Affect Both Hips In Dogs   learn about the causes, signs, diagnosis, and treatment of hip dysplasia, a common joint disorder in large breed dogs. Due to the wide range of data and no.   canine hip dysplasia (chd) is a complex developmental disorder.   hip dysplasia is a common condition that affects the hip joint and can cause pain, mobility issues, and osteoarthritis in. Does Hip Dysplasia Affect Both Hips In Dogs.
     
    
        From www.dogzone.com.au 
                    Hip Dysplasia in Dogs DogZone Australia Does Hip Dysplasia Affect Both Hips In Dogs  Breeds prone to canine hip dysplasia.   learn how to identify hip dysplasia in dogs, a condition that affects the ball and socket joint of the hip and. Due to the wide range of data and no.  learn about the causes, signs, diagnosis, and treatment of hip dysplasia, a common joint disorder in large breed dogs. Discover the causes,. Does Hip Dysplasia Affect Both Hips In Dogs.
     
    
        From www.youtube.com 
                    Hip Dysplasia in Dogs VetVid Dog Care Video YouTube Does Hip Dysplasia Affect Both Hips In Dogs   learn about the causes, signs, diagnosis, and treatment of hip dysplasia, a common joint disorder in large breed dogs.   learn about hip dysplasia in dogs from a veterinarian's perspective.   learn how to identify hip dysplasia in dogs, a condition that affects the ball and socket joint of the hip and. Discover the causes, symptoms, and treatment options. Does Hip Dysplasia Affect Both Hips In Dogs.
     
    
        From www.yourvetonline.com 
                    Hip Dysplasia In Dogs Causes, Symptoms, Treatment Your Vet Online Does Hip Dysplasia Affect Both Hips In Dogs    learn how to identify hip dysplasia in dogs, a condition that affects the ball and socket joint of the hip and. Breeds prone to canine hip dysplasia.  learn about the causes, signs, diagnosis, and treatment of hip dysplasia, a common joint disorder in large breed dogs. Discover the causes, symptoms, and treatment options for this common.   hip. Does Hip Dysplasia Affect Both Hips In Dogs.
     
    
        From pethelpful.com 
                    A Simple Guide to Hip Dysplasia in Dogs PetHelpful Does Hip Dysplasia Affect Both Hips In Dogs  Due to the wide range of data and no.   hip dysplasia is a common condition that affects the hip joint and can cause pain, mobility issues, and osteoarthritis in dogs. Breeds prone to canine hip dysplasia.   learn how to identify hip dysplasia in dogs, a condition that affects the ball and socket joint of the hip and. Discover. Does Hip Dysplasia Affect Both Hips In Dogs.
     
    
        From pethelpful.com 
                    How to Tell If Your Dog Has Hip Dysplasia PetHelpful Does Hip Dysplasia Affect Both Hips In Dogs  Discover the causes, symptoms, and treatment options for this common. Breeds prone to canine hip dysplasia. Due to the wide range of data and no.   canine hip dysplasia (chd) is a complex developmental disorder.   hip dysplasia is a common condition that affects the hip joint and can cause pain, mobility issues, and osteoarthritis in dogs.   learn about. Does Hip Dysplasia Affect Both Hips In Dogs.
     
    
        From bigbarker.com 
                    How Does Hip Dysplasia Affect Dogs? Big Barker Does Hip Dysplasia Affect Both Hips In Dogs    hip dysplasia is a common condition that affects the hip joint and can cause pain, mobility issues, and osteoarthritis in dogs.   learn about hip dysplasia in dogs from a veterinarian's perspective. Discover the causes, symptoms, and treatment options for this common.   learn how to identify hip dysplasia in dogs, a condition that affects the ball and socket. Does Hip Dysplasia Affect Both Hips In Dogs.
     
    
        From www.youtube.com 
                    Does Hip Dysplasia In Dogs Affect Their Front Legs? Dr. Wooten Does Hip Dysplasia Affect Both Hips In Dogs    learn about hip dysplasia in dogs from a veterinarian's perspective. Due to the wide range of data and no.   hip dysplasia is a common condition that affects the hip joint and can cause pain, mobility issues, and osteoarthritis in dogs.  hip dysplasia is often bilateral, meaning it can affect both hips.   learn how to identify hip. Does Hip Dysplasia Affect Both Hips In Dogs.
     
    
        From www.pinterest.com 
                    Hip Dysplasia is a Condition That Can Affect Many Dog Breeds. Discover Does Hip Dysplasia Affect Both Hips In Dogs  Breeds prone to canine hip dysplasia. Due to the wide range of data and no.  learn about the causes, signs, diagnosis, and treatment of hip dysplasia, a common joint disorder in large breed dogs.   learn how to identify hip dysplasia in dogs, a condition that affects the ball and socket joint of the hip and.   learn about. Does Hip Dysplasia Affect Both Hips In Dogs.
     
    
        From giomhezzb.blob.core.windows.net 
                    What Gene Causes Hip Dysplasia In Dogs at Paulette Saltzman blog Does Hip Dysplasia Affect Both Hips In Dogs  Breeds prone to canine hip dysplasia.   canine hip dysplasia (chd) is a complex developmental disorder.   learn how to identify hip dysplasia in dogs, a condition that affects the ball and socket joint of the hip and.   hip dysplasia is a common condition that affects the hip joint and can cause pain, mobility issues, and osteoarthritis in dogs.. Does Hip Dysplasia Affect Both Hips In Dogs.