Gold Standard Test For Hereditary Spherocytosis . the osmotic fragility test is no longer considered the gold standard for diagnosing hereditary spherocytosis, as it misses. the objective of this study was to propose a simple and practical diagnostic protocol, which can contribute to the diagnosis of. this new protocol proposes the addition of some experimental tests. this document provides practical advice on how to diagnose and manage hereditary spherocytosis (hs), a common inherited. the authors consider mchc/mcv ratio >0.36 is a trigger to investigate for hereditary spherocytosis. a comprehensive overview of hereditary spherocytosis (hs), a red cell membrane defect that causes hemolytic.
from www.semanticscholar.org
this document provides practical advice on how to diagnose and manage hereditary spherocytosis (hs), a common inherited. a comprehensive overview of hereditary spherocytosis (hs), a red cell membrane defect that causes hemolytic. the authors consider mchc/mcv ratio >0.36 is a trigger to investigate for hereditary spherocytosis. this new protocol proposes the addition of some experimental tests. the osmotic fragility test is no longer considered the gold standard for diagnosing hereditary spherocytosis, as it misses. the objective of this study was to propose a simple and practical diagnostic protocol, which can contribute to the diagnosis of.
Advances in laboratory diagnosis of hereditary spherocytosis Semantic
Gold Standard Test For Hereditary Spherocytosis this new protocol proposes the addition of some experimental tests. this new protocol proposes the addition of some experimental tests. the authors consider mchc/mcv ratio >0.36 is a trigger to investigate for hereditary spherocytosis. the objective of this study was to propose a simple and practical diagnostic protocol, which can contribute to the diagnosis of. a comprehensive overview of hereditary spherocytosis (hs), a red cell membrane defect that causes hemolytic. this document provides practical advice on how to diagnose and manage hereditary spherocytosis (hs), a common inherited. the osmotic fragility test is no longer considered the gold standard for diagnosing hereditary spherocytosis, as it misses.
From jmcolirios.blogspot.com
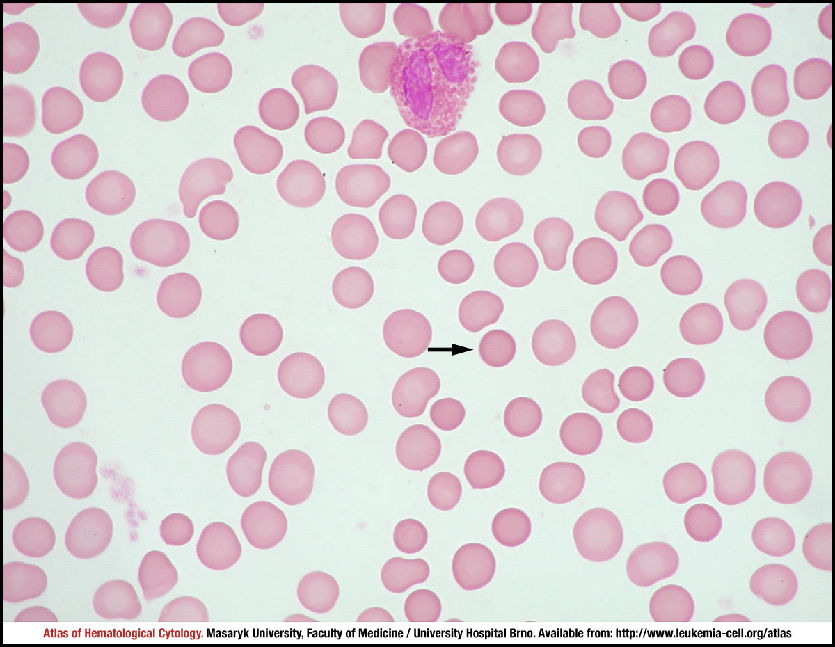
Hereditary Spherocytosis Histology Normocytic Anemia Hereditary Gold Standard Test For Hereditary Spherocytosis a comprehensive overview of hereditary spherocytosis (hs), a red cell membrane defect that causes hemolytic. this document provides practical advice on how to diagnose and manage hereditary spherocytosis (hs), a common inherited. the authors consider mchc/mcv ratio >0.36 is a trigger to investigate for hereditary spherocytosis. the osmotic fragility test is no longer considered the gold. Gold Standard Test For Hereditary Spherocytosis.
From www.researchgate.net
Diagnostic process of hereditary spherocytosis. AGLT, acidified Gold Standard Test For Hereditary Spherocytosis this new protocol proposes the addition of some experimental tests. the osmotic fragility test is no longer considered the gold standard for diagnosing hereditary spherocytosis, as it misses. this document provides practical advice on how to diagnose and manage hereditary spherocytosis (hs), a common inherited. the authors consider mchc/mcv ratio >0.36 is a trigger to investigate. Gold Standard Test For Hereditary Spherocytosis.
From www.stepwards.com
Archive Of Standardized Exam Questions Hereditary Spherocytosis (HS Gold Standard Test For Hereditary Spherocytosis this document provides practical advice on how to diagnose and manage hereditary spherocytosis (hs), a common inherited. a comprehensive overview of hereditary spherocytosis (hs), a red cell membrane defect that causes hemolytic. this new protocol proposes the addition of some experimental tests. the objective of this study was to propose a simple and practical diagnostic protocol,. Gold Standard Test For Hereditary Spherocytosis.
From www.slideserve.com
PPT Haem14 Hemolytic anemia Congenital PowerPoint Presentation, free Gold Standard Test For Hereditary Spherocytosis this new protocol proposes the addition of some experimental tests. the authors consider mchc/mcv ratio >0.36 is a trigger to investigate for hereditary spherocytosis. the objective of this study was to propose a simple and practical diagnostic protocol, which can contribute to the diagnosis of. the osmotic fragility test is no longer considered the gold standard. Gold Standard Test For Hereditary Spherocytosis.
From medizzy.com
Symptoms of Hereditary spherocytosis MEDizzy Gold Standard Test For Hereditary Spherocytosis the osmotic fragility test is no longer considered the gold standard for diagnosing hereditary spherocytosis, as it misses. the objective of this study was to propose a simple and practical diagnostic protocol, which can contribute to the diagnosis of. a comprehensive overview of hereditary spherocytosis (hs), a red cell membrane defect that causes hemolytic. this document. Gold Standard Test For Hereditary Spherocytosis.
From www.credihealth.com
Osmotic Fragility Test Overview, Purpose, and Results Credihealth Gold Standard Test For Hereditary Spherocytosis a comprehensive overview of hereditary spherocytosis (hs), a red cell membrane defect that causes hemolytic. this document provides practical advice on how to diagnose and manage hereditary spherocytosis (hs), a common inherited. the osmotic fragility test is no longer considered the gold standard for diagnosing hereditary spherocytosis, as it misses. this new protocol proposes the addition. Gold Standard Test For Hereditary Spherocytosis.
From picudoconcall.org
Hereditary Spherocytosis Gold Standard Test For Hereditary Spherocytosis this document provides practical advice on how to diagnose and manage hereditary spherocytosis (hs), a common inherited. this new protocol proposes the addition of some experimental tests. the osmotic fragility test is no longer considered the gold standard for diagnosing hereditary spherocytosis, as it misses. a comprehensive overview of hereditary spherocytosis (hs), a red cell membrane. Gold Standard Test For Hereditary Spherocytosis.
From www.prepladder.com
Hereditary Spherocytosis Causes, Symptoms, Diagnosis, Treatment and Gold Standard Test For Hereditary Spherocytosis the authors consider mchc/mcv ratio >0.36 is a trigger to investigate for hereditary spherocytosis. the osmotic fragility test is no longer considered the gold standard for diagnosing hereditary spherocytosis, as it misses. a comprehensive overview of hereditary spherocytosis (hs), a red cell membrane defect that causes hemolytic. this document provides practical advice on how to diagnose. Gold Standard Test For Hereditary Spherocytosis.
From www.medicinekeys.com
Hereditary spherocytosis Medicine Keys for MRCPs Gold Standard Test For Hereditary Spherocytosis this document provides practical advice on how to diagnose and manage hereditary spherocytosis (hs), a common inherited. this new protocol proposes the addition of some experimental tests. the osmotic fragility test is no longer considered the gold standard for diagnosing hereditary spherocytosis, as it misses. a comprehensive overview of hereditary spherocytosis (hs), a red cell membrane. Gold Standard Test For Hereditary Spherocytosis.
From www.statpearls.com
Hereditary Spherocytosis Treatment & Management Point of Care Gold Standard Test For Hereditary Spherocytosis the authors consider mchc/mcv ratio >0.36 is a trigger to investigate for hereditary spherocytosis. this new protocol proposes the addition of some experimental tests. this document provides practical advice on how to diagnose and manage hereditary spherocytosis (hs), a common inherited. the objective of this study was to propose a simple and practical diagnostic protocol, which. Gold Standard Test For Hereditary Spherocytosis.
From mavink.com
Hereditary Spherocytosis Blood Smear Gold Standard Test For Hereditary Spherocytosis a comprehensive overview of hereditary spherocytosis (hs), a red cell membrane defect that causes hemolytic. the authors consider mchc/mcv ratio >0.36 is a trigger to investigate for hereditary spherocytosis. the osmotic fragility test is no longer considered the gold standard for diagnosing hereditary spherocytosis, as it misses. this document provides practical advice on how to diagnose. Gold Standard Test For Hereditary Spherocytosis.
From www.researchgate.net
(PDF) Diagnostic power of laboratory tests for hereditary spherocytosis Gold Standard Test For Hereditary Spherocytosis this new protocol proposes the addition of some experimental tests. the authors consider mchc/mcv ratio >0.36 is a trigger to investigate for hereditary spherocytosis. this document provides practical advice on how to diagnose and manage hereditary spherocytosis (hs), a common inherited. a comprehensive overview of hereditary spherocytosis (hs), a red cell membrane defect that causes hemolytic.. Gold Standard Test For Hereditary Spherocytosis.
From www.researchgate.net
(PDF) Hereditary spherocytosis evaluation of a diagnostic algorithm Gold Standard Test For Hereditary Spherocytosis this document provides practical advice on how to diagnose and manage hereditary spherocytosis (hs), a common inherited. the authors consider mchc/mcv ratio >0.36 is a trigger to investigate for hereditary spherocytosis. a comprehensive overview of hereditary spherocytosis (hs), a red cell membrane defect that causes hemolytic. the osmotic fragility test is no longer considered the gold. Gold Standard Test For Hereditary Spherocytosis.
From radiopaedia.org
Hereditary spherocytosis Image Gold Standard Test For Hereditary Spherocytosis the osmotic fragility test is no longer considered the gold standard for diagnosing hereditary spherocytosis, as it misses. this document provides practical advice on how to diagnose and manage hereditary spherocytosis (hs), a common inherited. this new protocol proposes the addition of some experimental tests. the objective of this study was to propose a simple and. Gold Standard Test For Hereditary Spherocytosis.
From www.youtube.com
Hematology 2 U1L16 Osmotic fragility test YouTube Gold Standard Test For Hereditary Spherocytosis a comprehensive overview of hereditary spherocytosis (hs), a red cell membrane defect that causes hemolytic. this new protocol proposes the addition of some experimental tests. the objective of this study was to propose a simple and practical diagnostic protocol, which can contribute to the diagnosis of. the authors consider mchc/mcv ratio >0.36 is a trigger to. Gold Standard Test For Hereditary Spherocytosis.
From www.thelancet.com
Hereditary spherocytosis The Lancet Gold Standard Test For Hereditary Spherocytosis the authors consider mchc/mcv ratio >0.36 is a trigger to investigate for hereditary spherocytosis. a comprehensive overview of hereditary spherocytosis (hs), a red cell membrane defect that causes hemolytic. the osmotic fragility test is no longer considered the gold standard for diagnosing hereditary spherocytosis, as it misses. this document provides practical advice on how to diagnose. Gold Standard Test For Hereditary Spherocytosis.
From onlinelibrary.wiley.com
Guidelines for the diagnosis and management of hereditary spherocytosis Gold Standard Test For Hereditary Spherocytosis the osmotic fragility test is no longer considered the gold standard for diagnosing hereditary spherocytosis, as it misses. this new protocol proposes the addition of some experimental tests. the authors consider mchc/mcv ratio >0.36 is a trigger to investigate for hereditary spherocytosis. a comprehensive overview of hereditary spherocytosis (hs), a red cell membrane defect that causes. Gold Standard Test For Hereditary Spherocytosis.
From www.thelancet.com
Hereditary spherocytosis The Lancet Gold Standard Test For Hereditary Spherocytosis this document provides practical advice on how to diagnose and manage hereditary spherocytosis (hs), a common inherited. the osmotic fragility test is no longer considered the gold standard for diagnosing hereditary spherocytosis, as it misses. this new protocol proposes the addition of some experimental tests. a comprehensive overview of hereditary spherocytosis (hs), a red cell membrane. Gold Standard Test For Hereditary Spherocytosis.
From www.slideserve.com
PPT HEREDITARY HAEMOLYTIC ANAEMIAS PowerPoint Presentation, free Gold Standard Test For Hereditary Spherocytosis this document provides practical advice on how to diagnose and manage hereditary spherocytosis (hs), a common inherited. this new protocol proposes the addition of some experimental tests. the osmotic fragility test is no longer considered the gold standard for diagnosing hereditary spherocytosis, as it misses. the objective of this study was to propose a simple and. Gold Standard Test For Hereditary Spherocytosis.
From www.slideserve.com
PPT HEREDITARY HAEMOLYTIC ANAEMIAS PowerPoint Presentation, free Gold Standard Test For Hereditary Spherocytosis a comprehensive overview of hereditary spherocytosis (hs), a red cell membrane defect that causes hemolytic. the authors consider mchc/mcv ratio >0.36 is a trigger to investigate for hereditary spherocytosis. the osmotic fragility test is no longer considered the gold standard for diagnosing hereditary spherocytosis, as it misses. this document provides practical advice on how to diagnose. Gold Standard Test For Hereditary Spherocytosis.
From onlinelibrary.wiley.com
Usefulness of the EMA flow cytometric test in the diagnosis of Gold Standard Test For Hereditary Spherocytosis this document provides practical advice on how to diagnose and manage hereditary spherocytosis (hs), a common inherited. the osmotic fragility test is no longer considered the gold standard for diagnosing hereditary spherocytosis, as it misses. the authors consider mchc/mcv ratio >0.36 is a trigger to investigate for hereditary spherocytosis. this new protocol proposes the addition of. Gold Standard Test For Hereditary Spherocytosis.
From www.paediatricsandchildhealthjournal.co.uk
Hereditary spherocytosis Paediatrics and Child Health Gold Standard Test For Hereditary Spherocytosis a comprehensive overview of hereditary spherocytosis (hs), a red cell membrane defect that causes hemolytic. the objective of this study was to propose a simple and practical diagnostic protocol, which can contribute to the diagnosis of. this new protocol proposes the addition of some experimental tests. the osmotic fragility test is no longer considered the gold. Gold Standard Test For Hereditary Spherocytosis.
From ilovepathology.com
Pathology of Hereditary Spherocytosis Pathology Made Simple Gold Standard Test For Hereditary Spherocytosis a comprehensive overview of hereditary spherocytosis (hs), a red cell membrane defect that causes hemolytic. the authors consider mchc/mcv ratio >0.36 is a trigger to investigate for hereditary spherocytosis. this new protocol proposes the addition of some experimental tests. the objective of this study was to propose a simple and practical diagnostic protocol, which can contribute. Gold Standard Test For Hereditary Spherocytosis.
From www.researchgate.net
Diagnostic process of hereditary spherocytosis. AGLT, acidified Gold Standard Test For Hereditary Spherocytosis this new protocol proposes the addition of some experimental tests. this document provides practical advice on how to diagnose and manage hereditary spherocytosis (hs), a common inherited. the osmotic fragility test is no longer considered the gold standard for diagnosing hereditary spherocytosis, as it misses. the authors consider mchc/mcv ratio >0.36 is a trigger to investigate. Gold Standard Test For Hereditary Spherocytosis.
From www.youtube.com
Hereditary Spherocytosis Animation Etiology, Pathology, Clinical Gold Standard Test For Hereditary Spherocytosis this document provides practical advice on how to diagnose and manage hereditary spherocytosis (hs), a common inherited. the objective of this study was to propose a simple and practical diagnostic protocol, which can contribute to the diagnosis of. a comprehensive overview of hereditary spherocytosis (hs), a red cell membrane defect that causes hemolytic. the authors consider. Gold Standard Test For Hereditary Spherocytosis.
From www.slideserve.com
PPT HEREDITARY HAEMOLYTIC ANAEMIAS PowerPoint Presentation, free Gold Standard Test For Hereditary Spherocytosis a comprehensive overview of hereditary spherocytosis (hs), a red cell membrane defect that causes hemolytic. the authors consider mchc/mcv ratio >0.36 is a trigger to investigate for hereditary spherocytosis. this document provides practical advice on how to diagnose and manage hereditary spherocytosis (hs), a common inherited. the objective of this study was to propose a simple. Gold Standard Test For Hereditary Spherocytosis.
From www.medical-labs.net
Hereditary Spherocytosis Medical Laboratories Gold Standard Test For Hereditary Spherocytosis the objective of this study was to propose a simple and practical diagnostic protocol, which can contribute to the diagnosis of. the osmotic fragility test is no longer considered the gold standard for diagnosing hereditary spherocytosis, as it misses. this document provides practical advice on how to diagnose and manage hereditary spherocytosis (hs), a common inherited. . Gold Standard Test For Hereditary Spherocytosis.
From haematologica.org
Diagnostic power of laboratory tests for hereditary spherocytosis a Gold Standard Test For Hereditary Spherocytosis a comprehensive overview of hereditary spherocytosis (hs), a red cell membrane defect that causes hemolytic. the authors consider mchc/mcv ratio >0.36 is a trigger to investigate for hereditary spherocytosis. the objective of this study was to propose a simple and practical diagnostic protocol, which can contribute to the diagnosis of. the osmotic fragility test is no. Gold Standard Test For Hereditary Spherocytosis.
From pt.slideshare.net
Hereditary spherocytosis Gold Standard Test For Hereditary Spherocytosis the authors consider mchc/mcv ratio >0.36 is a trigger to investigate for hereditary spherocytosis. the objective of this study was to propose a simple and practical diagnostic protocol, which can contribute to the diagnosis of. this document provides practical advice on how to diagnose and manage hereditary spherocytosis (hs), a common inherited. this new protocol proposes. Gold Standard Test For Hereditary Spherocytosis.
From www.adhub360.com
Young Boy With Anemia Caused by Hereditary Spherocytosis Consultant360 Gold Standard Test For Hereditary Spherocytosis a comprehensive overview of hereditary spherocytosis (hs), a red cell membrane defect that causes hemolytic. the objective of this study was to propose a simple and practical diagnostic protocol, which can contribute to the diagnosis of. the authors consider mchc/mcv ratio >0.36 is a trigger to investigate for hereditary spherocytosis. the osmotic fragility test is no. Gold Standard Test For Hereditary Spherocytosis.
From www.learnhaem.com
Hereditary Spherocytosis LearnHaem Haematology Made Simple Gold Standard Test For Hereditary Spherocytosis this new protocol proposes the addition of some experimental tests. the objective of this study was to propose a simple and practical diagnostic protocol, which can contribute to the diagnosis of. the authors consider mchc/mcv ratio >0.36 is a trigger to investigate for hereditary spherocytosis. this document provides practical advice on how to diagnose and manage. Gold Standard Test For Hereditary Spherocytosis.
From medicoapps.org
Hereditary spherocytosis Gold Standard Test For Hereditary Spherocytosis a comprehensive overview of hereditary spherocytosis (hs), a red cell membrane defect that causes hemolytic. the objective of this study was to propose a simple and practical diagnostic protocol, which can contribute to the diagnosis of. this document provides practical advice on how to diagnose and manage hereditary spherocytosis (hs), a common inherited. the authors consider. Gold Standard Test For Hereditary Spherocytosis.
From www.slideserve.com
PPT Diagnostic tests PowerPoint Presentation, free download ID3870041 Gold Standard Test For Hereditary Spherocytosis this new protocol proposes the addition of some experimental tests. this document provides practical advice on how to diagnose and manage hereditary spherocytosis (hs), a common inherited. the objective of this study was to propose a simple and practical diagnostic protocol, which can contribute to the diagnosis of. the osmotic fragility test is no longer considered. Gold Standard Test For Hereditary Spherocytosis.
From medicsstudy.blogspot.com
Hereditary Spherocytosis Pathogenesis, Morphology, Clinical Features Gold Standard Test For Hereditary Spherocytosis this document provides practical advice on how to diagnose and manage hereditary spherocytosis (hs), a common inherited. the authors consider mchc/mcv ratio >0.36 is a trigger to investigate for hereditary spherocytosis. this new protocol proposes the addition of some experimental tests. a comprehensive overview of hereditary spherocytosis (hs), a red cell membrane defect that causes hemolytic.. Gold Standard Test For Hereditary Spherocytosis.
From www.semanticscholar.org
Advances in laboratory diagnosis of hereditary spherocytosis Semantic Gold Standard Test For Hereditary Spherocytosis the osmotic fragility test is no longer considered the gold standard for diagnosing hereditary spherocytosis, as it misses. this new protocol proposes the addition of some experimental tests. this document provides practical advice on how to diagnose and manage hereditary spherocytosis (hs), a common inherited. the authors consider mchc/mcv ratio >0.36 is a trigger to investigate. Gold Standard Test For Hereditary Spherocytosis.