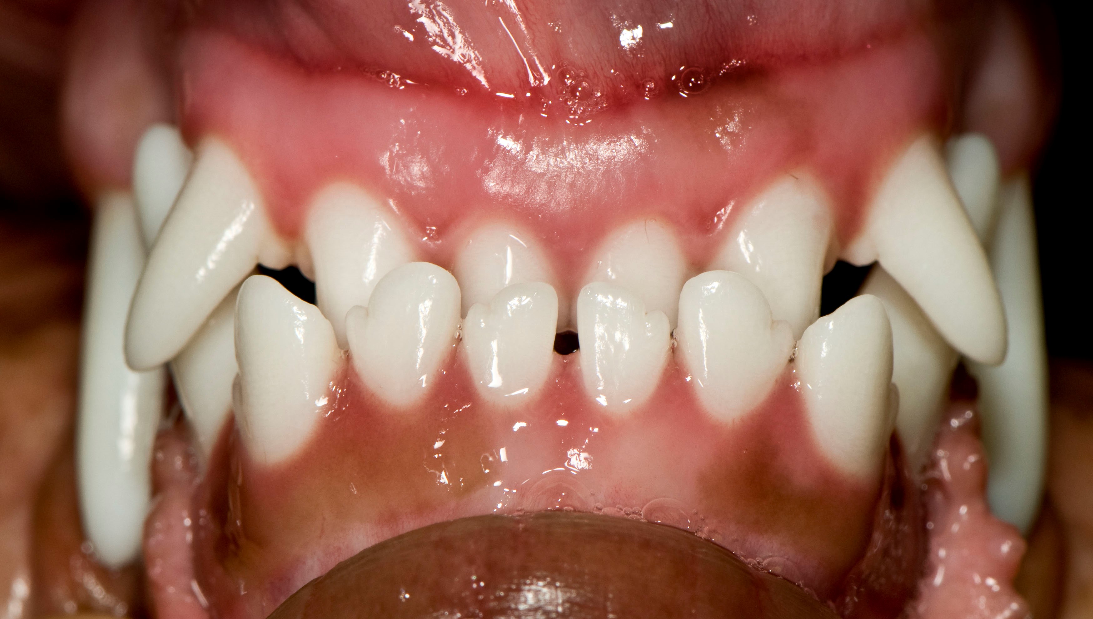
Classes Of Underbite . There are two types of underbites: Usually, it results from a. This is particularly the case when a crossbite appears in the front of the. You or your child might have an underbite ranging from a mild. Underbites, overbites, and other issues aren’t always a problem, but they can be uncomfortable. Class 2 malocclusion, called retrognathism or overbite, occurs when the upper jaw and teeth severely overlap the bottom jaw and teeth. An underbite, known in dental terminology as a class iii malocclusion or prognathism, is a condition where the lower teeth project out further than the upper teeth due to. Dental underbite — forms due to teeth misalignment. An underbite is a general term used to describe the state of the lower teeth. An underbite, clinically known as a class iii malocclusion, is when your lower teeth overlap your upper teeth. An underbite is a dental condition where your lower teeth extend farther than your upper teeth.
from aloradentalclinic.com
This is particularly the case when a crossbite appears in the front of the. An underbite is a dental condition where your lower teeth extend farther than your upper teeth. An underbite, clinically known as a class iii malocclusion, is when your lower teeth overlap your upper teeth. You or your child might have an underbite ranging from a mild. An underbite, known in dental terminology as a class iii malocclusion or prognathism, is a condition where the lower teeth project out further than the upper teeth due to. Dental underbite — forms due to teeth misalignment. Usually, it results from a. There are two types of underbites: Class 2 malocclusion, called retrognathism or overbite, occurs when the upper jaw and teeth severely overlap the bottom jaw and teeth. Underbites, overbites, and other issues aren’t always a problem, but they can be uncomfortable.
Overbite vs. Underbite Causes, Differences & Solutions
Classes Of Underbite An underbite, known in dental terminology as a class iii malocclusion or prognathism, is a condition where the lower teeth project out further than the upper teeth due to. Usually, it results from a. There are two types of underbites: An underbite, known in dental terminology as a class iii malocclusion or prognathism, is a condition where the lower teeth project out further than the upper teeth due to. An underbite is a general term used to describe the state of the lower teeth. Dental underbite — forms due to teeth misalignment. Underbites, overbites, and other issues aren’t always a problem, but they can be uncomfortable. This is particularly the case when a crossbite appears in the front of the. An underbite, clinically known as a class iii malocclusion, is when your lower teeth overlap your upper teeth. Class 2 malocclusion, called retrognathism or overbite, occurs when the upper jaw and teeth severely overlap the bottom jaw and teeth. An underbite is a dental condition where your lower teeth extend farther than your upper teeth. You or your child might have an underbite ranging from a mild.
From taurussaaraah.blogspot.com
How To Fix Underbite Naturally Common Problems Lindsey Orthodontics Classes Of Underbite Class 2 malocclusion, called retrognathism or overbite, occurs when the upper jaw and teeth severely overlap the bottom jaw and teeth. An underbite, known in dental terminology as a class iii malocclusion or prognathism, is a condition where the lower teeth project out further than the upper teeth due to. Usually, it results from a. Underbites, overbites, and other issues. Classes Of Underbite.
From www.nemesortho.com
Interceptive orthodontic treatment Class III Underbite Classes Of Underbite Dental underbite — forms due to teeth misalignment. Class 2 malocclusion, called retrognathism or overbite, occurs when the upper jaw and teeth severely overlap the bottom jaw and teeth. There are two types of underbites: An underbite, clinically known as a class iii malocclusion, is when your lower teeth overlap your upper teeth. Underbites, overbites, and other issues aren’t always. Classes Of Underbite.
From www.nemesortho.com
Interceptive orthodontic treatment Class III Underbite Classes Of Underbite Underbites, overbites, and other issues aren’t always a problem, but they can be uncomfortable. Dental underbite — forms due to teeth misalignment. An underbite, known in dental terminology as a class iii malocclusion or prognathism, is a condition where the lower teeth project out further than the upper teeth due to. An underbite is a dental condition where your lower. Classes Of Underbite.
From orthodonticsaustralia.org.au
Orthodontics Australia What causes an underbite? Classes Of Underbite This is particularly the case when a crossbite appears in the front of the. Class 2 malocclusion, called retrognathism or overbite, occurs when the upper jaw and teeth severely overlap the bottom jaw and teeth. An underbite, known in dental terminology as a class iii malocclusion or prognathism, is a condition where the lower teeth project out further than the. Classes Of Underbite.
From whatdifferencebetween.com
Underbite vs. Overbite Differences, Causes and Treatment Classes Of Underbite An underbite, known in dental terminology as a class iii malocclusion or prognathism, is a condition where the lower teeth project out further than the upper teeth due to. You or your child might have an underbite ranging from a mild. Dental underbite — forms due to teeth misalignment. Class 2 malocclusion, called retrognathism or overbite, occurs when the upper. Classes Of Underbite.
From parkcrestdental.com
Underbite FAQs From a Dentist Springfield MO Classes Of Underbite Usually, it results from a. There are two types of underbites: An underbite, clinically known as a class iii malocclusion, is when your lower teeth overlap your upper teeth. This is particularly the case when a crossbite appears in the front of the. An underbite is a dental condition where your lower teeth extend farther than your upper teeth. Underbites,. Classes Of Underbite.
From lasrydentalclinic.com
Underbite vs Overbite and What You Should Know About Treatments Classes Of Underbite This is particularly the case when a crossbite appears in the front of the. Class 2 malocclusion, called retrognathism or overbite, occurs when the upper jaw and teeth severely overlap the bottom jaw and teeth. There are two types of underbites: You or your child might have an underbite ranging from a mild. An underbite, clinically known as a class. Classes Of Underbite.
From ncoso.com
Smile Gallery Before and Afters NCOSO Orthodontics Classes Of Underbite This is particularly the case when a crossbite appears in the front of the. You or your child might have an underbite ranging from a mild. Underbites, overbites, and other issues aren’t always a problem, but they can be uncomfortable. There are two types of underbites: Dental underbite — forms due to teeth misalignment. An underbite is a dental condition. Classes Of Underbite.
From www.kids-dentist.com.au
Underbite Kids Dentist Classes Of Underbite Class 2 malocclusion, called retrognathism or overbite, occurs when the upper jaw and teeth severely overlap the bottom jaw and teeth. Underbites, overbites, and other issues aren’t always a problem, but they can be uncomfortable. An underbite, clinically known as a class iii malocclusion, is when your lower teeth overlap your upper teeth. This is particularly the case when a. Classes Of Underbite.
From www.pdghawaii.com
What Is an Underbite? What Causes an Underbite in Kids? Classes Of Underbite Underbites, overbites, and other issues aren’t always a problem, but they can be uncomfortable. You or your child might have an underbite ranging from a mild. Dental underbite — forms due to teeth misalignment. Usually, it results from a. An underbite is a dental condition where your lower teeth extend farther than your upper teeth. Class 2 malocclusion, called retrognathism. Classes Of Underbite.
From manhattanbridgeortho.com
Underbite Manhattan Bridge Orthodontics Classes Of Underbite You or your child might have an underbite ranging from a mild. There are two types of underbites: An underbite is a dental condition where your lower teeth extend farther than your upper teeth. Usually, it results from a. An underbite, known in dental terminology as a class iii malocclusion or prognathism, is a condition where the lower teeth project. Classes Of Underbite.
From animalia-life.club
Can A Dogs Underbite Be Corrected Classes Of Underbite There are two types of underbites: Usually, it results from a. Underbites, overbites, and other issues aren’t always a problem, but they can be uncomfortable. This is particularly the case when a crossbite appears in the front of the. An underbite is a dental condition where your lower teeth extend farther than your upper teeth. An underbite, clinically known as. Classes Of Underbite.
From www.facialart.com
OrthodonticRelated Procedures OrthodonticRelated Procedures Classes Of Underbite An underbite is a general term used to describe the state of the lower teeth. You or your child might have an underbite ranging from a mild. Usually, it results from a. Dental underbite — forms due to teeth misalignment. Underbites, overbites, and other issues aren’t always a problem, but they can be uncomfortable. An underbite is a dental condition. Classes Of Underbite.
From choyoursmile.com
Cho Orthodontics Procedure Benefit Classes Of Underbite Usually, it results from a. An underbite, known in dental terminology as a class iii malocclusion or prognathism, is a condition where the lower teeth project out further than the upper teeth due to. Class 2 malocclusion, called retrognathism or overbite, occurs when the upper jaw and teeth severely overlap the bottom jaw and teeth. There are two types of. Classes Of Underbite.
From www.ericdavisdental.com
Eric Davis Dental Underbite What Causes it and How to Fix it Classes Of Underbite Usually, it results from a. There are two types of underbites: An underbite is a dental condition where your lower teeth extend farther than your upper teeth. Class 2 malocclusion, called retrognathism or overbite, occurs when the upper jaw and teeth severely overlap the bottom jaw and teeth. An underbite, known in dental terminology as a class iii malocclusion or. Classes Of Underbite.
From vcahospitals.com
Malocclusions in Dogs When Teeth Don't Align VCA Animal Hospital Classes Of Underbite Class 2 malocclusion, called retrognathism or overbite, occurs when the upper jaw and teeth severely overlap the bottom jaw and teeth. You or your child might have an underbite ranging from a mild. There are two types of underbites: An underbite, known in dental terminology as a class iii malocclusion or prognathism, is a condition where the lower teeth project. Classes Of Underbite.
From www.deckerpomeranzdentistry.com
Underbite Classes Of Underbite Usually, it results from a. An underbite is a dental condition where your lower teeth extend farther than your upper teeth. An underbite, known in dental terminology as a class iii malocclusion or prognathism, is a condition where the lower teeth project out further than the upper teeth due to. This is particularly the case when a crossbite appears in. Classes Of Underbite.
From premierfamilydentalaz.com
Underbite Cause, treatment and questions Gilbert Dentist Premier Classes Of Underbite An underbite, clinically known as a class iii malocclusion, is when your lower teeth overlap your upper teeth. Underbites, overbites, and other issues aren’t always a problem, but they can be uncomfortable. An underbite, known in dental terminology as a class iii malocclusion or prognathism, is a condition where the lower teeth project out further than the upper teeth due. Classes Of Underbite.
From 128harleystreetdentalsuite.com
How to fix an underbite 128 Harley Street Dental Classes Of Underbite An underbite, known in dental terminology as a class iii malocclusion or prognathism, is a condition where the lower teeth project out further than the upper teeth due to. You or your child might have an underbite ranging from a mild. Usually, it results from a. An underbite is a general term used to describe the state of the lower. Classes Of Underbite.
From www.konigdds.com
The Importance of Treating Overbite and Underbite Konig Center for Classes Of Underbite An underbite is a dental condition where your lower teeth extend farther than your upper teeth. An underbite, known in dental terminology as a class iii malocclusion or prognathism, is a condition where the lower teeth project out further than the upper teeth due to. An underbite, clinically known as a class iii malocclusion, is when your lower teeth overlap. Classes Of Underbite.
From ar.inspiredpencil.com
Types Of Malocclusion Classes Of Underbite There are two types of underbites: This is particularly the case when a crossbite appears in the front of the. An underbite, clinically known as a class iii malocclusion, is when your lower teeth overlap your upper teeth. Underbites, overbites, and other issues aren’t always a problem, but they can be uncomfortable. An underbite is a general term used to. Classes Of Underbite.
From www.faceliftdentistry.com
Underbite Correction Options An Honest Opinion Classes Of Underbite Usually, it results from a. Dental underbite — forms due to teeth misalignment. An underbite is a general term used to describe the state of the lower teeth. You or your child might have an underbite ranging from a mild. Underbites, overbites, and other issues aren’t always a problem, but they can be uncomfortable. An underbite, clinically known as a. Classes Of Underbite.
From www.reddit.com
Class Ill Underbite Fixed with braces (NO jaw surgery) UPDATE r/braces Classes Of Underbite Usually, it results from a. There are two types of underbites: An underbite, known in dental terminology as a class iii malocclusion or prognathism, is a condition where the lower teeth project out further than the upper teeth due to. You or your child might have an underbite ranging from a mild. This is particularly the case when a crossbite. Classes Of Underbite.
From www.reddit.com
Class III Underbite r/jawsurgery Classes Of Underbite There are two types of underbites: An underbite is a general term used to describe the state of the lower teeth. An underbite, known in dental terminology as a class iii malocclusion or prognathism, is a condition where the lower teeth project out further than the upper teeth due to. Class 2 malocclusion, called retrognathism or overbite, occurs when the. Classes Of Underbite.
From sacksortho.com
Does Bite Classification Matter for My Braces Treatment? Classes Of Underbite An underbite is a dental condition where your lower teeth extend farther than your upper teeth. Underbites, overbites, and other issues aren’t always a problem, but they can be uncomfortable. Dental underbite — forms due to teeth misalignment. You or your child might have an underbite ranging from a mild. An underbite, clinically known as a class iii malocclusion, is. Classes Of Underbite.
From uzalenioneodstardollocom.blogspot.com
How To Fix A Crossbite And Overbite Invisalign For Crossbite Can Classes Of Underbite Class 2 malocclusion, called retrognathism or overbite, occurs when the upper jaw and teeth severely overlap the bottom jaw and teeth. An underbite, clinically known as a class iii malocclusion, is when your lower teeth overlap your upper teeth. Dental underbite — forms due to teeth misalignment. Usually, it results from a. Underbites, overbites, and other issues aren’t always a. Classes Of Underbite.
From bethesdafamilydentistry.com
What is Malocclusion and How Does it Affect Your Oral Health? Classes Of Underbite This is particularly the case when a crossbite appears in the front of the. There are two types of underbites: You or your child might have an underbite ranging from a mild. Underbites, overbites, and other issues aren’t always a problem, but they can be uncomfortable. Dental underbite — forms due to teeth misalignment. An underbite, clinically known as a. Classes Of Underbite.
From youbraces.com
Underbite Class 3 Fixed with Braces Only No Surgery Amazing Finish Classes Of Underbite You or your child might have an underbite ranging from a mild. Usually, it results from a. There are two types of underbites: An underbite is a general term used to describe the state of the lower teeth. An underbite, clinically known as a class iii malocclusion, is when your lower teeth overlap your upper teeth. Dental underbite — forms. Classes Of Underbite.
From www.manoadental.com
All About UnderbitesUnderbite Treatments, Symptoms and Causes Classes Of Underbite Underbites, overbites, and other issues aren’t always a problem, but they can be uncomfortable. Dental underbite — forms due to teeth misalignment. Class 2 malocclusion, called retrognathism or overbite, occurs when the upper jaw and teeth severely overlap the bottom jaw and teeth. An underbite is a dental condition where your lower teeth extend farther than your upper teeth. Usually,. Classes Of Underbite.
From www.mcleandmd.com
Malocclusion McLean, VA Fairfax County Orthodontist Classes Of Underbite An underbite is a dental condition where your lower teeth extend farther than your upper teeth. You or your child might have an underbite ranging from a mild. Usually, it results from a. There are two types of underbites: This is particularly the case when a crossbite appears in the front of the. Dental underbite — forms due to teeth. Classes Of Underbite.
From www.briteorthodontics.com
What Is An Underbite Causes, Symptoms & Treatment Options Classes Of Underbite Underbites, overbites, and other issues aren’t always a problem, but they can be uncomfortable. You or your child might have an underbite ranging from a mild. An underbite is a general term used to describe the state of the lower teeth. Usually, it results from a. Dental underbite — forms due to teeth misalignment. There are two types of underbites:. Classes Of Underbite.
From www.youtube.com
Orthodontic Treatment for Underbite or Crossbite Carriere Appliance Classes Of Underbite Underbites, overbites, and other issues aren’t always a problem, but they can be uncomfortable. An underbite is a general term used to describe the state of the lower teeth. An underbite is a dental condition where your lower teeth extend farther than your upper teeth. There are two types of underbites: You or your child might have an underbite ranging. Classes Of Underbite.
From headgearbraces.net
What is Overbite, Underbite, Openbite, Crossbite in Orthodontics Classes Of Underbite There are two types of underbites: An underbite is a dental condition where your lower teeth extend farther than your upper teeth. Dental underbite — forms due to teeth misalignment. You or your child might have an underbite ranging from a mild. An underbite, known in dental terminology as a class iii malocclusion or prognathism, is a condition where the. Classes Of Underbite.
From www.youtube.com
Crossbite (AKA Underbite) Class III Malocclusion YouTube Classes Of Underbite An underbite is a dental condition where your lower teeth extend farther than your upper teeth. Usually, it results from a. An underbite, clinically known as a class iii malocclusion, is when your lower teeth overlap your upper teeth. You or your child might have an underbite ranging from a mild. There are two types of underbites: Underbites, overbites, and. Classes Of Underbite.
From aloradentalclinic.com
Overbite vs. Underbite Causes, Differences & Solutions Classes Of Underbite You or your child might have an underbite ranging from a mild. An underbite is a general term used to describe the state of the lower teeth. This is particularly the case when a crossbite appears in the front of the. Class 2 malocclusion, called retrognathism or overbite, occurs when the upper jaw and teeth severely overlap the bottom jaw. Classes Of Underbite.