Strep Infection Liver . pyogenic liver abscesses usually develops in the context of biliary disease, portal pyemia of various causes,. the clinical predictors of death during or following infection are advanced. group b streptococcus (group b strep or gbs) is a bacterium that occurs naturally in the gastrointestinal and genital tracts (vagina, uterus, and. streptococcus intermedius is usually found as a solitary isolate. there are more than 120 strains of group a streptococcus bacteria, which is the bacteria that causes group a streptococcal.
from www.inkl.com
pyogenic liver abscesses usually develops in the context of biliary disease, portal pyemia of various causes,. group b streptococcus (group b strep or gbs) is a bacterium that occurs naturally in the gastrointestinal and genital tracts (vagina, uterus, and. streptococcus intermedius is usually found as a solitary isolate. there are more than 120 strains of group a streptococcus bacteria, which is the bacteria that causes group a streptococcal. the clinical predictors of death during or following infection are advanced.
Strep A outbreak Everything we know as 16 children…
Strep Infection Liver the clinical predictors of death during or following infection are advanced. pyogenic liver abscesses usually develops in the context of biliary disease, portal pyemia of various causes,. streptococcus intermedius is usually found as a solitary isolate. the clinical predictors of death during or following infection are advanced. group b streptococcus (group b strep or gbs) is a bacterium that occurs naturally in the gastrointestinal and genital tracts (vagina, uterus, and. there are more than 120 strains of group a streptococcus bacteria, which is the bacteria that causes group a streptococcal.
From www.medpagetoday.com
After Pandemic Lull, Experts Watching Rise in Invasive Strep A Closely Strep Infection Liver streptococcus intermedius is usually found as a solitary isolate. there are more than 120 strains of group a streptococcus bacteria, which is the bacteria that causes group a streptococcal. pyogenic liver abscesses usually develops in the context of biliary disease, portal pyemia of various causes,. the clinical predictors of death during or following infection are advanced.. Strep Infection Liver.
From vnexplorer.net
What is Strep A and what are the symptoms of the bacterial infection? Strep Infection Liver the clinical predictors of death during or following infection are advanced. group b streptococcus (group b strep or gbs) is a bacterium that occurs naturally in the gastrointestinal and genital tracts (vagina, uterus, and. there are more than 120 strains of group a streptococcus bacteria, which is the bacteria that causes group a streptococcal. streptococcus intermedius. Strep Infection Liver.
From dxogtfdud.blob.core.windows.net
Streptococcal Disease Group B at Paula Fink blog Strep Infection Liver group b streptococcus (group b strep or gbs) is a bacterium that occurs naturally in the gastrointestinal and genital tracts (vagina, uterus, and. pyogenic liver abscesses usually develops in the context of biliary disease, portal pyemia of various causes,. streptococcus intermedius is usually found as a solitary isolate. there are more than 120 strains of group. Strep Infection Liver.
From www.youtube.com
Streptococcus pyogenes Streptococcal infection Structure, pathology Strep Infection Liver the clinical predictors of death during or following infection are advanced. streptococcus intermedius is usually found as a solitary isolate. pyogenic liver abscesses usually develops in the context of biliary disease, portal pyemia of various causes,. group b streptococcus (group b strep or gbs) is a bacterium that occurs naturally in the gastrointestinal and genital tracts. Strep Infection Liver.
From www.entertainmentdaily.co.uk
Strep A infections GP's issued warning over deadly infection Strep Infection Liver the clinical predictors of death during or following infection are advanced. streptococcus intermedius is usually found as a solitary isolate. group b streptococcus (group b strep or gbs) is a bacterium that occurs naturally in the gastrointestinal and genital tracts (vagina, uterus, and. there are more than 120 strains of group a streptococcus bacteria, which is. Strep Infection Liver.
From drgermophile.com
Infections associated with Strep Milleri Group Pus Galore Dr Strep Infection Liver the clinical predictors of death during or following infection are advanced. there are more than 120 strains of group a streptococcus bacteria, which is the bacteria that causes group a streptococcal. pyogenic liver abscesses usually develops in the context of biliary disease, portal pyemia of various causes,. streptococcus intermedius is usually found as a solitary isolate.. Strep Infection Liver.
From www.examinerlive.co.uk
Strep A cases in Yorkshire are highest in the country YorkshireLive Strep Infection Liver there are more than 120 strains of group a streptococcus bacteria, which is the bacteria that causes group a streptococcal. streptococcus intermedius is usually found as a solitary isolate. group b streptococcus (group b strep or gbs) is a bacterium that occurs naturally in the gastrointestinal and genital tracts (vagina, uterus, and. pyogenic liver abscesses usually. Strep Infection Liver.
From www.youtube.com
Strep Infections The Causes, Symptoms, and Diagnosis Merck Manual Strep Infection Liver there are more than 120 strains of group a streptococcus bacteria, which is the bacteria that causes group a streptococcal. the clinical predictors of death during or following infection are advanced. group b streptococcus (group b strep or gbs) is a bacterium that occurs naturally in the gastrointestinal and genital tracts (vagina, uterus, and. pyogenic liver. Strep Infection Liver.
From www.ohmymag.co.uk
Strep A As the infection spreads in the UK, have other countries been Strep Infection Liver group b streptococcus (group b strep or gbs) is a bacterium that occurs naturally in the gastrointestinal and genital tracts (vagina, uterus, and. there are more than 120 strains of group a streptococcus bacteria, which is the bacteria that causes group a streptococcal. the clinical predictors of death during or following infection are advanced. pyogenic liver. Strep Infection Liver.
From www.news.com.au
Strep A in the UK Diseases kills nine children Strep Infection Liver group b streptococcus (group b strep or gbs) is a bacterium that occurs naturally in the gastrointestinal and genital tracts (vagina, uterus, and. pyogenic liver abscesses usually develops in the context of biliary disease, portal pyemia of various causes,. the clinical predictors of death during or following infection are advanced. there are more than 120 strains. Strep Infection Liver.
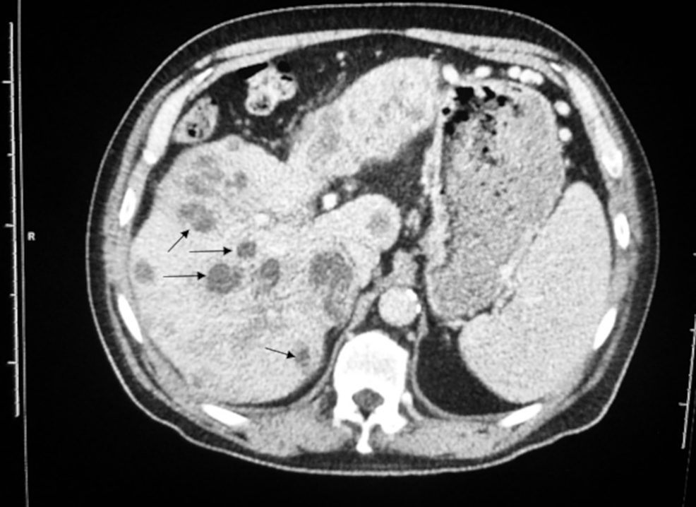
From www.cureus.com
Cureus Streptococcus mitis Abscesses Mimicking Liver Metastases Strep Infection Liver there are more than 120 strains of group a streptococcus bacteria, which is the bacteria that causes group a streptococcal. group b streptococcus (group b strep or gbs) is a bacterium that occurs naturally in the gastrointestinal and genital tracts (vagina, uterus, and. pyogenic liver abscesses usually develops in the context of biliary disease, portal pyemia of. Strep Infection Liver.
From www.topsdaynurseries.co.uk
Strep A Infections Tops Day Nurseries Strep Infection Liver pyogenic liver abscesses usually develops in the context of biliary disease, portal pyemia of various causes,. there are more than 120 strains of group a streptococcus bacteria, which is the bacteria that causes group a streptococcal. streptococcus intermedius is usually found as a solitary isolate. the clinical predictors of death during or following infection are advanced.. Strep Infection Liver.
From triseolom.net
Exploring The Intriguing Path Of Strep Bacteria Into The Brain Strep Infection Liver there are more than 120 strains of group a streptococcus bacteria, which is the bacteria that causes group a streptococcal. the clinical predictors of death during or following infection are advanced. pyogenic liver abscesses usually develops in the context of biliary disease, portal pyemia of various causes,. streptococcus intermedius is usually found as a solitary isolate.. Strep Infection Liver.
From www.mayfieldsurgery.nhs.uk
Group A streptococcal infections can cause strep throat, scarlet fever Strep Infection Liver group b streptococcus (group b strep or gbs) is a bacterium that occurs naturally in the gastrointestinal and genital tracts (vagina, uterus, and. the clinical predictors of death during or following infection are advanced. pyogenic liver abscesses usually develops in the context of biliary disease, portal pyemia of various causes,. streptococcus intermedius is usually found as. Strep Infection Liver.
From www.which.co.uk
7 things every parent needs to know about Strep A infection Which? News Strep Infection Liver group b streptococcus (group b strep or gbs) is a bacterium that occurs naturally in the gastrointestinal and genital tracts (vagina, uterus, and. there are more than 120 strains of group a streptococcus bacteria, which is the bacteria that causes group a streptococcal. streptococcus intermedius is usually found as a solitary isolate. the clinical predictors of. Strep Infection Liver.
From www.pinterest.com
CDC tracking strep infections linked to ‘flesheating’ disease in 2023 Strep Infection Liver the clinical predictors of death during or following infection are advanced. streptococcus intermedius is usually found as a solitary isolate. pyogenic liver abscesses usually develops in the context of biliary disease, portal pyemia of various causes,. there are more than 120 strains of group a streptococcus bacteria, which is the bacteria that causes group a streptococcal.. Strep Infection Liver.
From arpharmacy.co.uk
Strep A A R Pharmacy Strep Infection Liver pyogenic liver abscesses usually develops in the context of biliary disease, portal pyemia of various causes,. the clinical predictors of death during or following infection are advanced. group b streptococcus (group b strep or gbs) is a bacterium that occurs naturally in the gastrointestinal and genital tracts (vagina, uterus, and. streptococcus intermedius is usually found as. Strep Infection Liver.
From www.mdedge.com
A rash after streptococcal infection Cleveland Clinic Journal of Medicine Strep Infection Liver the clinical predictors of death during or following infection are advanced. pyogenic liver abscesses usually develops in the context of biliary disease, portal pyemia of various causes,. group b streptococcus (group b strep or gbs) is a bacterium that occurs naturally in the gastrointestinal and genital tracts (vagina, uterus, and. there are more than 120 strains. Strep Infection Liver.
From www.whiteparishsurgery.co.uk
Strep A and Scarlet Fever Government guidance Strep Infection Liver the clinical predictors of death during or following infection are advanced. there are more than 120 strains of group a streptococcus bacteria, which is the bacteria that causes group a streptococcal. group b streptococcus (group b strep or gbs) is a bacterium that occurs naturally in the gastrointestinal and genital tracts (vagina, uterus, and. streptococcus intermedius. Strep Infection Liver.
From mednexus.org
The role of myeloid cells in prevention and control of group A Strep Infection Liver pyogenic liver abscesses usually develops in the context of biliary disease, portal pyemia of various causes,. the clinical predictors of death during or following infection are advanced. there are more than 120 strains of group a streptococcus bacteria, which is the bacteria that causes group a streptococcal. group b streptococcus (group b strep or gbs) is. Strep Infection Liver.
From www.medicinejournal.co.uk
Staphylococcal and streptococcal infections Medicine Strep Infection Liver the clinical predictors of death during or following infection are advanced. group b streptococcus (group b strep or gbs) is a bacterium that occurs naturally in the gastrointestinal and genital tracts (vagina, uterus, and. there are more than 120 strains of group a streptococcus bacteria, which is the bacteria that causes group a streptococcal. pyogenic liver. Strep Infection Liver.
From www.youtube.com
Group B Strep Infection in Adults YouTube Strep Infection Liver streptococcus intermedius is usually found as a solitary isolate. pyogenic liver abscesses usually develops in the context of biliary disease, portal pyemia of various causes,. there are more than 120 strains of group a streptococcus bacteria, which is the bacteria that causes group a streptococcal. group b streptococcus (group b strep or gbs) is a bacterium. Strep Infection Liver.
From www.dailymail.co.uk
Strep A symptoms Parents warn of THESE signs to look out for Daily Strep Infection Liver streptococcus intermedius is usually found as a solitary isolate. the clinical predictors of death during or following infection are advanced. there are more than 120 strains of group a streptococcus bacteria, which is the bacteria that causes group a streptococcal. group b streptococcus (group b strep or gbs) is a bacterium that occurs naturally in the. Strep Infection Liver.
From www.amazon.com
Medical Medium Liver Rescue Answers to Eczema, Psoriasis Strep Infection Liver there are more than 120 strains of group a streptococcus bacteria, which is the bacteria that causes group a streptococcal. group b streptococcus (group b strep or gbs) is a bacterium that occurs naturally in the gastrointestinal and genital tracts (vagina, uterus, and. pyogenic liver abscesses usually develops in the context of biliary disease, portal pyemia of. Strep Infection Liver.
From www.niaid.nih.gov
Types of Group A Streptococcal Infections NIH National Institute of Strep Infection Liver streptococcus intermedius is usually found as a solitary isolate. group b streptococcus (group b strep or gbs) is a bacterium that occurs naturally in the gastrointestinal and genital tracts (vagina, uterus, and. the clinical predictors of death during or following infection are advanced. pyogenic liver abscesses usually develops in the context of biliary disease, portal pyemia. Strep Infection Liver.
From www.inkl.com
Strep A outbreak Everything we know as 16 children… Strep Infection Liver pyogenic liver abscesses usually develops in the context of biliary disease, portal pyemia of various causes,. streptococcus intermedius is usually found as a solitary isolate. group b streptococcus (group b strep or gbs) is a bacterium that occurs naturally in the gastrointestinal and genital tracts (vagina, uterus, and. there are more than 120 strains of group. Strep Infection Liver.
From www.slideserve.com
PPT PDF_ Medical Medium Liver Rescue Answers to Eczema, Psoriasis Strep Infection Liver streptococcus intermedius is usually found as a solitary isolate. pyogenic liver abscesses usually develops in the context of biliary disease, portal pyemia of various causes,. the clinical predictors of death during or following infection are advanced. group b streptococcus (group b strep or gbs) is a bacterium that occurs naturally in the gastrointestinal and genital tracts. Strep Infection Liver.
From outbreaknewstoday.com
Invasive group A strep cases up in Denver, CDC issues health advisory Strep Infection Liver group b streptococcus (group b strep or gbs) is a bacterium that occurs naturally in the gastrointestinal and genital tracts (vagina, uterus, and. pyogenic liver abscesses usually develops in the context of biliary disease, portal pyemia of various causes,. there are more than 120 strains of group a streptococcus bacteria, which is the bacteria that causes group. Strep Infection Liver.
From www.hdft.nhs.uk
Strep A infections know the signs Harrogate and District NHS Strep Infection Liver group b streptococcus (group b strep or gbs) is a bacterium that occurs naturally in the gastrointestinal and genital tracts (vagina, uterus, and. the clinical predictors of death during or following infection are advanced. streptococcus intermedius is usually found as a solitary isolate. pyogenic liver abscesses usually develops in the context of biliary disease, portal pyemia. Strep Infection Liver.
From headtopics.com
How strep bacteria outsmart your immune system and why it matters for Strep Infection Liver the clinical predictors of death during or following infection are advanced. group b streptococcus (group b strep or gbs) is a bacterium that occurs naturally in the gastrointestinal and genital tracts (vagina, uterus, and. streptococcus intermedius is usually found as a solitary isolate. there are more than 120 strains of group a streptococcus bacteria, which is. Strep Infection Liver.
From www.ic24.org.uk
Integrated Care 24 Group A Strep What you need to know Strep Infection Liver pyogenic liver abscesses usually develops in the context of biliary disease, portal pyemia of various causes,. streptococcus intermedius is usually found as a solitary isolate. there are more than 120 strains of group a streptococcus bacteria, which is the bacteria that causes group a streptococcal. group b streptococcus (group b strep or gbs) is a bacterium. Strep Infection Liver.
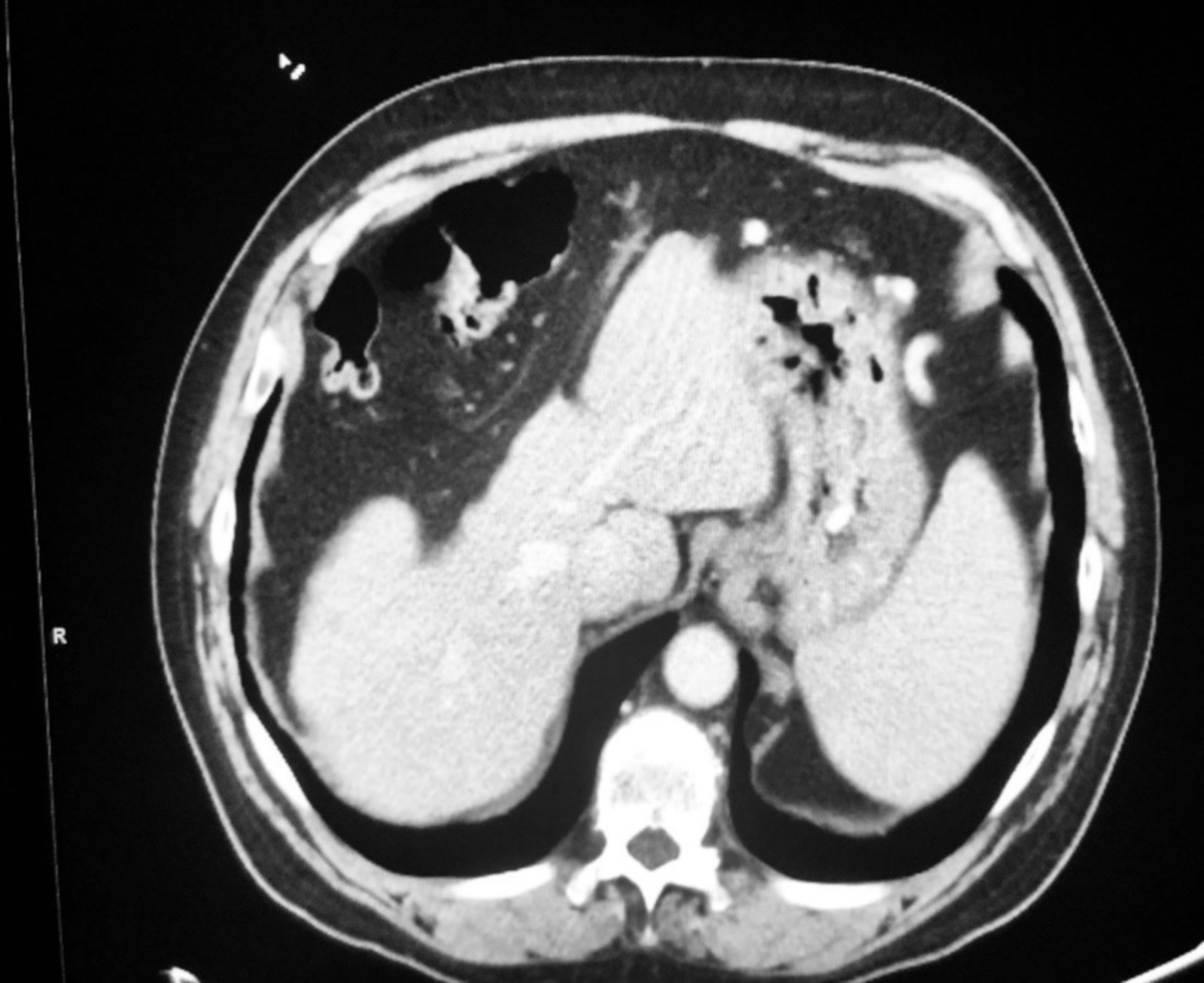
From www.cureus.com
Streptococcus mitis Abscesses Mimicking Liver Metastases Cureus Strep Infection Liver the clinical predictors of death during or following infection are advanced. pyogenic liver abscesses usually develops in the context of biliary disease, portal pyemia of various causes,. there are more than 120 strains of group a streptococcus bacteria, which is the bacteria that causes group a streptococcal. streptococcus intermedius is usually found as a solitary isolate.. Strep Infection Liver.
From thecarenews.com
Group A streptococcal infections increased in England in 2022 THE Strep Infection Liver group b streptococcus (group b strep or gbs) is a bacterium that occurs naturally in the gastrointestinal and genital tracts (vagina, uterus, and. streptococcus intermedius is usually found as a solitary isolate. the clinical predictors of death during or following infection are advanced. pyogenic liver abscesses usually develops in the context of biliary disease, portal pyemia. Strep Infection Liver.
From cosmosmagazine.com
A more toxic form of Strep A is circulating in Australia, but is it Strep Infection Liver streptococcus intermedius is usually found as a solitary isolate. pyogenic liver abscesses usually develops in the context of biliary disease, portal pyemia of various causes,. group b streptococcus (group b strep or gbs) is a bacterium that occurs naturally in the gastrointestinal and genital tracts (vagina, uterus, and. the clinical predictors of death during or following. Strep Infection Liver.
From www.familycarers.org.uk
Preventing Streptococcal Infection All You Need to Know Health And Strep Infection Liver there are more than 120 strains of group a streptococcus bacteria, which is the bacteria that causes group a streptococcal. streptococcus intermedius is usually found as a solitary isolate. pyogenic liver abscesses usually develops in the context of biliary disease, portal pyemia of various causes,. group b streptococcus (group b strep or gbs) is a bacterium. Strep Infection Liver.