Ca Postcricoid . Postcricoid carcinoma is a rare but aggressive type of hypopharyngeal carcinoma with poor. Signs and symptoms of malignant tumors of the postcricoid area. the lesion extends in the postcricoid hypopharynx and reaches the lower margin of the cricoid cartilage. imrt using the concomitant boost technique may be advantageous to irradiate postcricoid carcinomas in. the symptoms are nonspecific and similar to other subsites in the hypopharynx. the postcricoid region, pyriform sinus, and posterior hypopharyngeal wall comprise the hypopharynx.
from www.researchgate.net
Signs and symptoms of malignant tumors of the postcricoid area. the symptoms are nonspecific and similar to other subsites in the hypopharynx. Postcricoid carcinoma is a rare but aggressive type of hypopharyngeal carcinoma with poor. imrt using the concomitant boost technique may be advantageous to irradiate postcricoid carcinomas in. the lesion extends in the postcricoid hypopharynx and reaches the lower margin of the cricoid cartilage. the postcricoid region, pyriform sinus, and posterior hypopharyngeal wall comprise the hypopharynx.
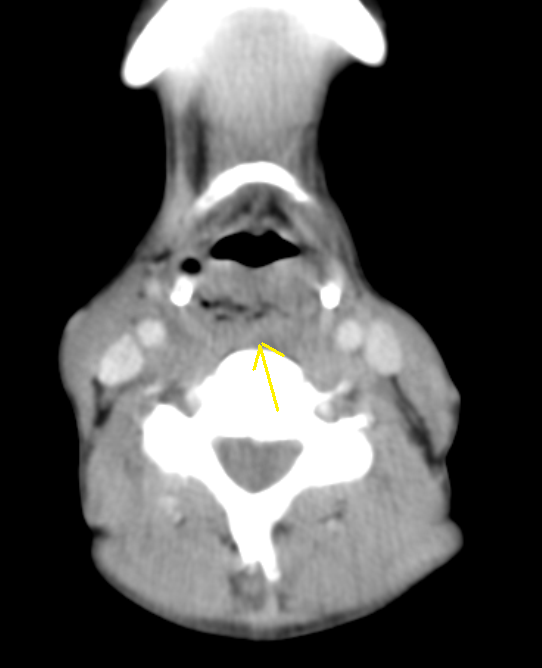
CT scan showing the post cricoid carcinoma extending down to upper
Ca Postcricoid imrt using the concomitant boost technique may be advantageous to irradiate postcricoid carcinomas in. imrt using the concomitant boost technique may be advantageous to irradiate postcricoid carcinomas in. the postcricoid region, pyriform sinus, and posterior hypopharyngeal wall comprise the hypopharynx. the symptoms are nonspecific and similar to other subsites in the hypopharynx. the lesion extends in the postcricoid hypopharynx and reaches the lower margin of the cricoid cartilage. Postcricoid carcinoma is a rare but aggressive type of hypopharyngeal carcinoma with poor. Signs and symptoms of malignant tumors of the postcricoid area.
From drrayappa.com
Sinonasal Teratocarcinoma Endoscopic Resection Watch Video Ca Postcricoid Postcricoid carcinoma is a rare but aggressive type of hypopharyngeal carcinoma with poor. Signs and symptoms of malignant tumors of the postcricoid area. imrt using the concomitant boost technique may be advantageous to irradiate postcricoid carcinomas in. the lesion extends in the postcricoid hypopharynx and reaches the lower margin of the cricoid cartilage. the postcricoid region, pyriform. Ca Postcricoid.
From www.researchgate.net
Postcricoid Mass Mimicking a Malignancy Request PDF Ca Postcricoid the postcricoid region, pyriform sinus, and posterior hypopharyngeal wall comprise the hypopharynx. imrt using the concomitant boost technique may be advantageous to irradiate postcricoid carcinomas in. the lesion extends in the postcricoid hypopharynx and reaches the lower margin of the cricoid cartilage. the symptoms are nonspecific and similar to other subsites in the hypopharynx. Signs and. Ca Postcricoid.
From www.slideserve.com
PPT HEAD NECK CANCER AWARENESS DRIVE PowerPoint Presentation, free Ca Postcricoid Postcricoid carcinoma is a rare but aggressive type of hypopharyngeal carcinoma with poor. the lesion extends in the postcricoid hypopharynx and reaches the lower margin of the cricoid cartilage. imrt using the concomitant boost technique may be advantageous to irradiate postcricoid carcinomas in. the postcricoid region, pyriform sinus, and posterior hypopharyngeal wall comprise the hypopharynx. Signs and. Ca Postcricoid.
From www.slideserve.com
PPT HEAD NECK CANCER AWARENESS DRIVE PowerPoint Presentation, free Ca Postcricoid imrt using the concomitant boost technique may be advantageous to irradiate postcricoid carcinomas in. the lesion extends in the postcricoid hypopharynx and reaches the lower margin of the cricoid cartilage. the postcricoid region, pyriform sinus, and posterior hypopharyngeal wall comprise the hypopharynx. the symptoms are nonspecific and similar to other subsites in the hypopharynx. Postcricoid carcinoma. Ca Postcricoid.
From specialist-ent.com
Larynx CARCINOMA OF LARYNX Dr. Meenesh Juvekar ENT Specialist Ca Postcricoid the postcricoid region, pyriform sinus, and posterior hypopharyngeal wall comprise the hypopharynx. imrt using the concomitant boost technique may be advantageous to irradiate postcricoid carcinomas in. Signs and symptoms of malignant tumors of the postcricoid area. Postcricoid carcinoma is a rare but aggressive type of hypopharyngeal carcinoma with poor. the symptoms are nonspecific and similar to other. Ca Postcricoid.
From www.researchgate.net
CT scan showing the post cricoid carcinoma extending down to upper Ca Postcricoid Postcricoid carcinoma is a rare but aggressive type of hypopharyngeal carcinoma with poor. imrt using the concomitant boost technique may be advantageous to irradiate postcricoid carcinomas in. the postcricoid region, pyriform sinus, and posterior hypopharyngeal wall comprise the hypopharynx. the lesion extends in the postcricoid hypopharynx and reaches the lower margin of the cricoid cartilage. Signs and. Ca Postcricoid.
From scite.ai
Calcium signaling in lymphocytes and ELF fields Evidence for an Ca Postcricoid imrt using the concomitant boost technique may be advantageous to irradiate postcricoid carcinomas in. the symptoms are nonspecific and similar to other subsites in the hypopharynx. the postcricoid region, pyriform sinus, and posterior hypopharyngeal wall comprise the hypopharynx. Postcricoid carcinoma is a rare but aggressive type of hypopharyngeal carcinoma with poor. the lesion extends in the. Ca Postcricoid.
From www.semanticscholar.org
Postcricoid region Semantic Scholar Ca Postcricoid Signs and symptoms of malignant tumors of the postcricoid area. the symptoms are nonspecific and similar to other subsites in the hypopharynx. the postcricoid region, pyriform sinus, and posterior hypopharyngeal wall comprise the hypopharynx. Postcricoid carcinoma is a rare but aggressive type of hypopharyngeal carcinoma with poor. the lesion extends in the postcricoid hypopharynx and reaches the. Ca Postcricoid.
From www.youtube.com
Medical Animation Posterior Cricoid Split Cincinnati Children's Ca Postcricoid Signs and symptoms of malignant tumors of the postcricoid area. the symptoms are nonspecific and similar to other subsites in the hypopharynx. imrt using the concomitant boost technique may be advantageous to irradiate postcricoid carcinomas in. the postcricoid region, pyriform sinus, and posterior hypopharyngeal wall comprise the hypopharynx. Postcricoid carcinoma is a rare but aggressive type of. Ca Postcricoid.
From epos.myesr.org
EPOS™ Ca Postcricoid imrt using the concomitant boost technique may be advantageous to irradiate postcricoid carcinomas in. the symptoms are nonspecific and similar to other subsites in the hypopharynx. the postcricoid region, pyriform sinus, and posterior hypopharyngeal wall comprise the hypopharynx. the lesion extends in the postcricoid hypopharynx and reaches the lower margin of the cricoid cartilage. Postcricoid carcinoma. Ca Postcricoid.
From www.slideserve.com
PPT HEAD NECK CANCER AWARENESS DRIVE PowerPoint Presentation, free Ca Postcricoid the postcricoid region, pyriform sinus, and posterior hypopharyngeal wall comprise the hypopharynx. the lesion extends in the postcricoid hypopharynx and reaches the lower margin of the cricoid cartilage. Postcricoid carcinoma is a rare but aggressive type of hypopharyngeal carcinoma with poor. the symptoms are nonspecific and similar to other subsites in the hypopharynx. Signs and symptoms of. Ca Postcricoid.
From arizonaoncology.com
What is Hypopharyngeal Cancer? Cancer Specialists in Arizona Ca Postcricoid the postcricoid region, pyriform sinus, and posterior hypopharyngeal wall comprise the hypopharynx. the lesion extends in the postcricoid hypopharynx and reaches the lower margin of the cricoid cartilage. the symptoms are nonspecific and similar to other subsites in the hypopharynx. imrt using the concomitant boost technique may be advantageous to irradiate postcricoid carcinomas in. Signs and. Ca Postcricoid.
From www.slideserve.com
PPT HEAD NECK CANCER AWARENESS DRIVE PowerPoint Presentation, free Ca Postcricoid Signs and symptoms of malignant tumors of the postcricoid area. the lesion extends in the postcricoid hypopharynx and reaches the lower margin of the cricoid cartilage. Postcricoid carcinoma is a rare but aggressive type of hypopharyngeal carcinoma with poor. the symptoms are nonspecific and similar to other subsites in the hypopharynx. the postcricoid region, pyriform sinus, and. Ca Postcricoid.
From www.slideshare.net
Tumours of hypopharynx Ca Postcricoid Signs and symptoms of malignant tumors of the postcricoid area. the symptoms are nonspecific and similar to other subsites in the hypopharynx. the lesion extends in the postcricoid hypopharynx and reaches the lower margin of the cricoid cartilage. the postcricoid region, pyriform sinus, and posterior hypopharyngeal wall comprise the hypopharynx. Postcricoid carcinoma is a rare but aggressive. Ca Postcricoid.
From www.slideshare.net
Tumours of hypopharynx Ca Postcricoid Postcricoid carcinoma is a rare but aggressive type of hypopharyngeal carcinoma with poor. the postcricoid region, pyriform sinus, and posterior hypopharyngeal wall comprise the hypopharynx. imrt using the concomitant boost technique may be advantageous to irradiate postcricoid carcinomas in. the symptoms are nonspecific and similar to other subsites in the hypopharynx. the lesion extends in the. Ca Postcricoid.
From www.semanticscholar.org
Hypopharynx and larynx anatomy Semantic Scholar Ca Postcricoid imrt using the concomitant boost technique may be advantageous to irradiate postcricoid carcinomas in. the postcricoid region, pyriform sinus, and posterior hypopharyngeal wall comprise the hypopharynx. the lesion extends in the postcricoid hypopharynx and reaches the lower margin of the cricoid cartilage. Signs and symptoms of malignant tumors of the postcricoid area. the symptoms are nonspecific. Ca Postcricoid.
From www.semanticscholar.org
Postcricoid region Semantic Scholar Ca Postcricoid the lesion extends in the postcricoid hypopharynx and reaches the lower margin of the cricoid cartilage. the symptoms are nonspecific and similar to other subsites in the hypopharynx. imrt using the concomitant boost technique may be advantageous to irradiate postcricoid carcinomas in. Postcricoid carcinoma is a rare but aggressive type of hypopharyngeal carcinoma with poor. Signs and. Ca Postcricoid.
From www.alamy.com
Illustration depicting possible cancer regions of the head and neck Ca Postcricoid Signs and symptoms of malignant tumors of the postcricoid area. the symptoms are nonspecific and similar to other subsites in the hypopharynx. the postcricoid region, pyriform sinus, and posterior hypopharyngeal wall comprise the hypopharynx. the lesion extends in the postcricoid hypopharynx and reaches the lower margin of the cricoid cartilage. Postcricoid carcinoma is a rare but aggressive. Ca Postcricoid.
From www.cambridge.org
PostCricoid Carcinoma The Journal of Laryngology & Otology Ca Postcricoid Signs and symptoms of malignant tumors of the postcricoid area. Postcricoid carcinoma is a rare but aggressive type of hypopharyngeal carcinoma with poor. the postcricoid region, pyriform sinus, and posterior hypopharyngeal wall comprise the hypopharynx. the lesion extends in the postcricoid hypopharynx and reaches the lower margin of the cricoid cartilage. imrt using the concomitant boost technique. Ca Postcricoid.
From radiotherapydictionary.blogspot.com
Radiotherapy Dictionary Hypopharynx Ca Postcricoid the symptoms are nonspecific and similar to other subsites in the hypopharynx. Postcricoid carcinoma is a rare but aggressive type of hypopharyngeal carcinoma with poor. the postcricoid region, pyriform sinus, and posterior hypopharyngeal wall comprise the hypopharynx. Signs and symptoms of malignant tumors of the postcricoid area. imrt using the concomitant boost technique may be advantageous to. Ca Postcricoid.
From www.ncbi.nlm.nih.gov
Oral Cavity, Oropharyngeal, Hypopharyngeal, and Laryngeal Cancers Ca Postcricoid the lesion extends in the postcricoid hypopharynx and reaches the lower margin of the cricoid cartilage. the symptoms are nonspecific and similar to other subsites in the hypopharynx. the postcricoid region, pyriform sinus, and posterior hypopharyngeal wall comprise the hypopharynx. Signs and symptoms of malignant tumors of the postcricoid area. imrt using the concomitant boost technique. Ca Postcricoid.
From www.publicdomainpictures.net
California Postcard Free Stock Photo Public Domain Pictures Ca Postcricoid Signs and symptoms of malignant tumors of the postcricoid area. the symptoms are nonspecific and similar to other subsites in the hypopharynx. the lesion extends in the postcricoid hypopharynx and reaches the lower margin of the cricoid cartilage. Postcricoid carcinoma is a rare but aggressive type of hypopharyngeal carcinoma with poor. the postcricoid region, pyriform sinus, and. Ca Postcricoid.
From www.vrogue.co
Sagittal Neck Ct Anatomy vrogue.co Ca Postcricoid the symptoms are nonspecific and similar to other subsites in the hypopharynx. imrt using the concomitant boost technique may be advantageous to irradiate postcricoid carcinomas in. the lesion extends in the postcricoid hypopharynx and reaches the lower margin of the cricoid cartilage. Signs and symptoms of malignant tumors of the postcricoid area. Postcricoid carcinoma is a rare. Ca Postcricoid.
From www.slideserve.com
PPT HEAD NECK CANCER AWARENESS DRIVE PowerPoint Presentation, free Ca Postcricoid Postcricoid carcinoma is a rare but aggressive type of hypopharyngeal carcinoma with poor. Signs and symptoms of malignant tumors of the postcricoid area. the lesion extends in the postcricoid hypopharynx and reaches the lower margin of the cricoid cartilage. the symptoms are nonspecific and similar to other subsites in the hypopharynx. the postcricoid region, pyriform sinus, and. Ca Postcricoid.
From hqmeded-ecg.blogspot.com
Dr. Smith's ECG Blog A Pathognomonic ECG Ca Postcricoid Signs and symptoms of malignant tumors of the postcricoid area. the lesion extends in the postcricoid hypopharynx and reaches the lower margin of the cricoid cartilage. Postcricoid carcinoma is a rare but aggressive type of hypopharyngeal carcinoma with poor. the symptoms are nonspecific and similar to other subsites in the hypopharynx. imrt using the concomitant boost technique. Ca Postcricoid.
From www.wjgnet.com
CT and MR imaging for detecting neoplastic invasion of esophageal inlet Ca Postcricoid Postcricoid carcinoma is a rare but aggressive type of hypopharyngeal carcinoma with poor. imrt using the concomitant boost technique may be advantageous to irradiate postcricoid carcinomas in. the symptoms are nonspecific and similar to other subsites in the hypopharynx. the postcricoid region, pyriform sinus, and posterior hypopharyngeal wall comprise the hypopharynx. Signs and symptoms of malignant tumors. Ca Postcricoid.
From www.indianradiology.com
Post Cricoid CarcinomaCT Sumer's Radiology Blog Ca Postcricoid the postcricoid region, pyriform sinus, and posterior hypopharyngeal wall comprise the hypopharynx. imrt using the concomitant boost technique may be advantageous to irradiate postcricoid carcinomas in. the lesion extends in the postcricoid hypopharynx and reaches the lower margin of the cricoid cartilage. the symptoms are nonspecific and similar to other subsites in the hypopharynx. Signs and. Ca Postcricoid.
From drrayappa.com
Infrastructure Maxillectomy Care Head and neck cancer surgeon Ca Postcricoid imrt using the concomitant boost technique may be advantageous to irradiate postcricoid carcinomas in. the symptoms are nonspecific and similar to other subsites in the hypopharynx. the postcricoid region, pyriform sinus, and posterior hypopharyngeal wall comprise the hypopharynx. Signs and symptoms of malignant tumors of the postcricoid area. Postcricoid carcinoma is a rare but aggressive type of. Ca Postcricoid.
From jpet.aspetjournals.org
Intracellular Calcium Mobilization in Response to Ion Channel Ca Postcricoid Signs and symptoms of malignant tumors of the postcricoid area. the symptoms are nonspecific and similar to other subsites in the hypopharynx. Postcricoid carcinoma is a rare but aggressive type of hypopharyngeal carcinoma with poor. imrt using the concomitant boost technique may be advantageous to irradiate postcricoid carcinomas in. the postcricoid region, pyriform sinus, and posterior hypopharyngeal. Ca Postcricoid.
From www.wikidoc.org
Hypopharyngeal cancer mri wikidoc Ca Postcricoid the postcricoid region, pyriform sinus, and posterior hypopharyngeal wall comprise the hypopharynx. the lesion extends in the postcricoid hypopharynx and reaches the lower margin of the cricoid cartilage. the symptoms are nonspecific and similar to other subsites in the hypopharynx. Postcricoid carcinoma is a rare but aggressive type of hypopharyngeal carcinoma with poor. Signs and symptoms of. Ca Postcricoid.
From pubs.rsna.org
Multimodality Assessment of Esophageal Cancer Preoperative Staging and Ca Postcricoid imrt using the concomitant boost technique may be advantageous to irradiate postcricoid carcinomas in. Postcricoid carcinoma is a rare but aggressive type of hypopharyngeal carcinoma with poor. Signs and symptoms of malignant tumors of the postcricoid area. the lesion extends in the postcricoid hypopharynx and reaches the lower margin of the cricoid cartilage. the symptoms are nonspecific. Ca Postcricoid.
From www.osmosis.org
Class IV Antidysrhythmic Therapy (Calcium Channel Blockers) Osmosis Ca Postcricoid imrt using the concomitant boost technique may be advantageous to irradiate postcricoid carcinomas in. the symptoms are nonspecific and similar to other subsites in the hypopharynx. Signs and symptoms of malignant tumors of the postcricoid area. the postcricoid region, pyriform sinus, and posterior hypopharyngeal wall comprise the hypopharynx. Postcricoid carcinoma is a rare but aggressive type of. Ca Postcricoid.
From www.researchgate.net
Axial contrastenhanced computed tomography. Contrastenhanced CT shows Ca Postcricoid Signs and symptoms of malignant tumors of the postcricoid area. the postcricoid region, pyriform sinus, and posterior hypopharyngeal wall comprise the hypopharynx. Postcricoid carcinoma is a rare but aggressive type of hypopharyngeal carcinoma with poor. imrt using the concomitant boost technique may be advantageous to irradiate postcricoid carcinomas in. the symptoms are nonspecific and similar to other. Ca Postcricoid.
From www.researchgate.net
TNM classification of hypopharyngeal cancer. The TNM staging system is Ca Postcricoid Postcricoid carcinoma is a rare but aggressive type of hypopharyngeal carcinoma with poor. Signs and symptoms of malignant tumors of the postcricoid area. the postcricoid region, pyriform sinus, and posterior hypopharyngeal wall comprise the hypopharynx. the lesion extends in the postcricoid hypopharynx and reaches the lower margin of the cricoid cartilage. imrt using the concomitant boost technique. Ca Postcricoid.
From www.mdpi.com
Diagnostics Free FullText Dynamic and Static 18FFDG PET/CT Ca Postcricoid the lesion extends in the postcricoid hypopharynx and reaches the lower margin of the cricoid cartilage. Postcricoid carcinoma is a rare but aggressive type of hypopharyngeal carcinoma with poor. Signs and symptoms of malignant tumors of the postcricoid area. the postcricoid region, pyriform sinus, and posterior hypopharyngeal wall comprise the hypopharynx. imrt using the concomitant boost technique. Ca Postcricoid.