Lip Numb Wisdom Teeth . Injury to the lingual nerve will affect sensations in the tissue lining the inside of the. While it's normal, persistent numbness could indicate a more serious issue. One potential side effect of wisdom tooth removal is numbness, which can occur in the tongue, lips, or cheeks. If you experience bottom lip numbness after wisdom tooth extraction, it’s best to consult with your dentist or oral surgeon to determine the cause and appropriate. Numbness, tingling, or a lack of sensation in your mouth, cheeks, or face. Damage to the inferior alveolar nerve will cause sensation changes in the lower lip and chin. Experiencing lip numbness after wisdom teeth removal is common due to nerve trauma. Consult your dentist if symptoms persist beyond a few days. According to the nhs , if the. It’s important to have someone drive you home after the surgery. Lip numbness is rare, but it's possible. After undergoing wisdom teeth removal, many individuals may experience numbness in their lip. Your wisdom teeth are close to the inferior alveolar nerve in the jaw. In this blog post, we. If you experience severe pain or excessive bleeding,.
from toothshow.com
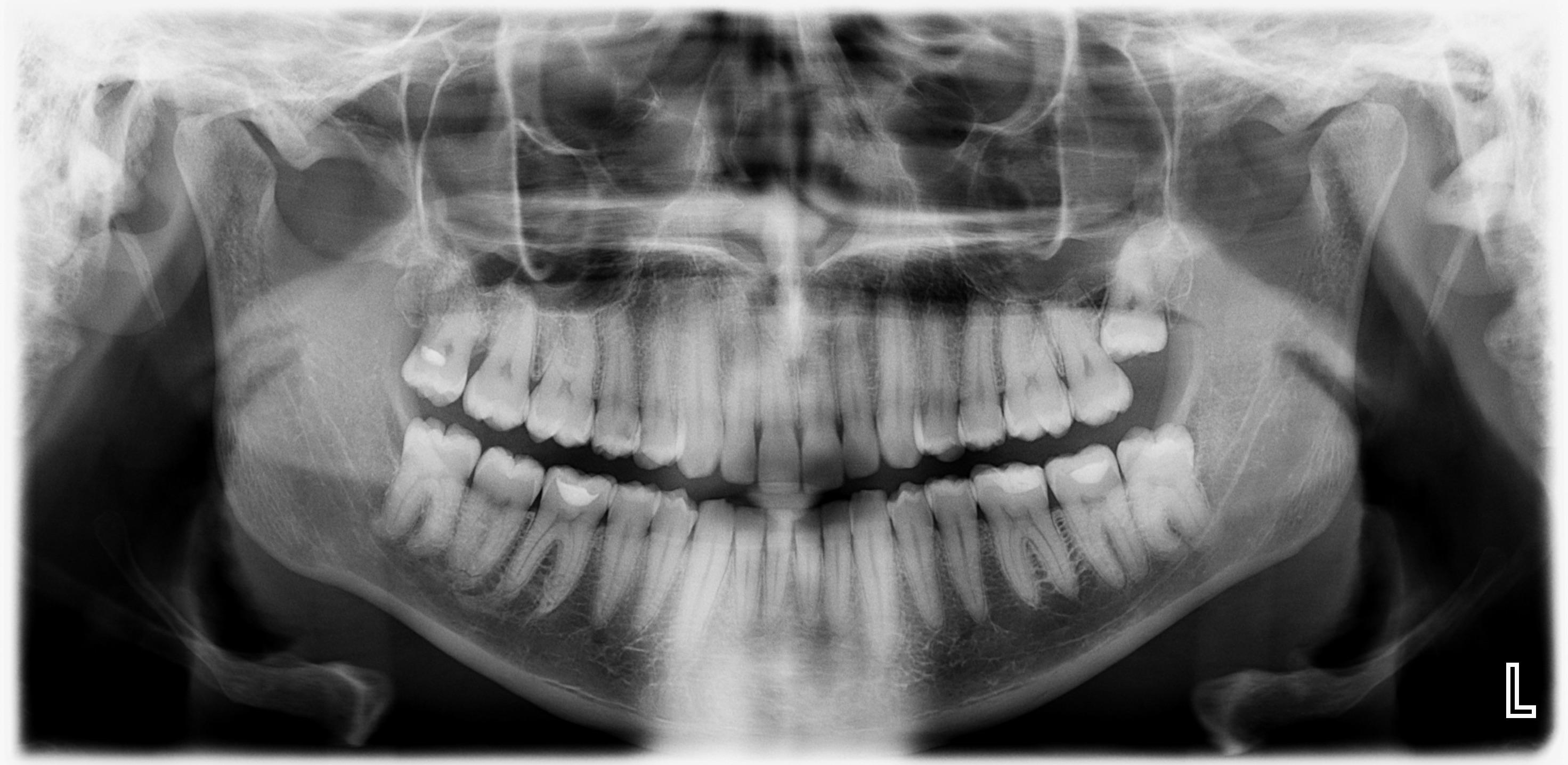
Experiencing lip numbness after wisdom teeth removal is common due to nerve trauma. Injury to the lingual nerve will affect sensations in the tissue lining the inside of the. Damage to the inferior alveolar nerve will cause sensation changes in the lower lip and chin. Numbness, tingling, or a lack of sensation in your mouth, cheeks, or face. While it's normal, persistent numbness could indicate a more serious issue. Lip numbness is rare, but it's possible. One potential side effect of wisdom tooth removal is numbness, which can occur in the tongue, lips, or cheeks. Consult your dentist if symptoms persist beyond a few days. Your wisdom teeth are close to the inferior alveolar nerve in the jaw. If you experience severe pain or excessive bleeding,.
My Bottom Lip Is Numb After Wisdom Tooth Extraction
Lip Numb Wisdom Teeth If you experience severe pain or excessive bleeding,. Lip numbness is rare, but it's possible. According to the nhs , if the. Experiencing lip numbness after wisdom teeth removal is common due to nerve trauma. Consult your dentist if symptoms persist beyond a few days. Numbness, tingling, or a lack of sensation in your mouth, cheeks, or face. After undergoing wisdom teeth removal, many individuals may experience numbness in their lip. If you experience bottom lip numbness after wisdom tooth extraction, it’s best to consult with your dentist or oral surgeon to determine the cause and appropriate. In this blog post, we. Injury to the lingual nerve will affect sensations in the tissue lining the inside of the. One potential side effect of wisdom tooth removal is numbness, which can occur in the tongue, lips, or cheeks. Your wisdom teeth are close to the inferior alveolar nerve in the jaw. Damage to the inferior alveolar nerve will cause sensation changes in the lower lip and chin. While it's normal, persistent numbness could indicate a more serious issue. It’s important to have someone drive you home after the surgery. If you experience severe pain or excessive bleeding,.
From medshun.com
Exploring The Effectiveness Of Orajel In Numbing Wisdom Tooth Pain Lip Numb Wisdom Teeth After undergoing wisdom teeth removal, many individuals may experience numbness in their lip. Injury to the lingual nerve will affect sensations in the tissue lining the inside of the. While it's normal, persistent numbness could indicate a more serious issue. According to the nhs , if the. One potential side effect of wisdom tooth removal is numbness, which can occur. Lip Numb Wisdom Teeth.
From lipstutorial.org
What Does It Mean When Your Lips And Tongue Go Numb Lip Numb Wisdom Teeth Numbness, tingling, or a lack of sensation in your mouth, cheeks, or face. In this blog post, we. Injury to the lingual nerve will affect sensations in the tissue lining the inside of the. Damage to the inferior alveolar nerve will cause sensation changes in the lower lip and chin. While it's normal, persistent numbness could indicate a more serious. Lip Numb Wisdom Teeth.
From medshun.com
Getting Numb What To Know About Wisdom Tooth Removal And Anesthesia Lip Numb Wisdom Teeth Experiencing lip numbness after wisdom teeth removal is common due to nerve trauma. If you experience severe pain or excessive bleeding,. If you experience bottom lip numbness after wisdom tooth extraction, it’s best to consult with your dentist or oral surgeon to determine the cause and appropriate. Numbness, tingling, or a lack of sensation in your mouth, cheeks, or face.. Lip Numb Wisdom Teeth.
From www.youtube.com
Lip and Chin Numbness After Wisdom Teeth Removal Dental Malpractice Lip Numb Wisdom Teeth While it's normal, persistent numbness could indicate a more serious issue. Damage to the inferior alveolar nerve will cause sensation changes in the lower lip and chin. One potential side effect of wisdom tooth removal is numbness, which can occur in the tongue, lips, or cheeks. After undergoing wisdom teeth removal, many individuals may experience numbness in their lip. Experiencing. Lip Numb Wisdom Teeth.
From www.reddit.com
I had my wisdom teeth (lower right side) removed last Friday and since Lip Numb Wisdom Teeth One potential side effect of wisdom tooth removal is numbness, which can occur in the tongue, lips, or cheeks. Your wisdom teeth are close to the inferior alveolar nerve in the jaw. While it's normal, persistent numbness could indicate a more serious issue. It’s important to have someone drive you home after the surgery. After undergoing wisdom teeth removal, many. Lip Numb Wisdom Teeth.
From www.youtube.com
Wisdom teeth update 2 Still Numb in Chin, Lip, and Bottom Teeth YouTube Lip Numb Wisdom Teeth Injury to the lingual nerve will affect sensations in the tissue lining the inside of the. If you experience bottom lip numbness after wisdom tooth extraction, it’s best to consult with your dentist or oral surgeon to determine the cause and appropriate. According to the nhs , if the. After undergoing wisdom teeth removal, many individuals may experience numbness in. Lip Numb Wisdom Teeth.
From www.bracesinfo.com
Wisdom teeth extraction bottom lip and chin numb Lip Numb Wisdom Teeth In this blog post, we. If you experience bottom lip numbness after wisdom tooth extraction, it’s best to consult with your dentist or oral surgeon to determine the cause and appropriate. Injury to the lingual nerve will affect sensations in the tissue lining the inside of the. One potential side effect of wisdom tooth removal is numbness, which can occur. Lip Numb Wisdom Teeth.
From medshun.com
The Duration Of Numbness In The Mouth Following Wisdom Tooth Extraction Lip Numb Wisdom Teeth Damage to the inferior alveolar nerve will cause sensation changes in the lower lip and chin. Consult your dentist if symptoms persist beyond a few days. In this blog post, we. One potential side effect of wisdom tooth removal is numbness, which can occur in the tongue, lips, or cheeks. Your wisdom teeth are close to the inferior alveolar nerve. Lip Numb Wisdom Teeth.
From ezzadentalcare.com
Dry Socket Causes, Symptoms and Treatment EZZA DENTAL CARE Lip Numb Wisdom Teeth Damage to the inferior alveolar nerve will cause sensation changes in the lower lip and chin. In this blog post, we. Your wisdom teeth are close to the inferior alveolar nerve in the jaw. Consult your dentist if symptoms persist beyond a few days. Experiencing lip numbness after wisdom teeth removal is common due to nerve trauma. It’s important to. Lip Numb Wisdom Teeth.
From medshun.com
Understanding Why Half Of The Tongue Numb After Wisdom Tooth Lip Numb Wisdom Teeth Your wisdom teeth are close to the inferior alveolar nerve in the jaw. According to the nhs , if the. Numbness, tingling, or a lack of sensation in your mouth, cheeks, or face. Damage to the inferior alveolar nerve will cause sensation changes in the lower lip and chin. While it's normal, persistent numbness could indicate a more serious issue.. Lip Numb Wisdom Teeth.
From teethwalls.blogspot.com
Numb Bottom Lip After Wisdom Teeth TeethWalls Lip Numb Wisdom Teeth Experiencing lip numbness after wisdom teeth removal is common due to nerve trauma. If you experience severe pain or excessive bleeding,. In this blog post, we. It’s important to have someone drive you home after the surgery. According to the nhs , if the. After undergoing wisdom teeth removal, many individuals may experience numbness in their lip. While it's normal,. Lip Numb Wisdom Teeth.
From www.padmel.com
My Lips And Tongue Are Numb After Wisdom Teeth Extraction, What Lip Numb Wisdom Teeth Numbness, tingling, or a lack of sensation in your mouth, cheeks, or face. While it's normal, persistent numbness could indicate a more serious issue. If you experience severe pain or excessive bleeding,. Experiencing lip numbness after wisdom teeth removal is common due to nerve trauma. In this blog post, we. Your wisdom teeth are close to the inferior alveolar nerve. Lip Numb Wisdom Teeth.
From lindaledentists.com
Problems Living with a Numb Tooth Lindale Dentist The Center for Lip Numb Wisdom Teeth According to the nhs , if the. Damage to the inferior alveolar nerve will cause sensation changes in the lower lip and chin. Consult your dentist if symptoms persist beyond a few days. Experiencing lip numbness after wisdom teeth removal is common due to nerve trauma. If you experience severe pain or excessive bleeding,. After undergoing wisdom teeth removal, many. Lip Numb Wisdom Teeth.
From medshun.com
Natural Remedies For Numbing Wisdom Tooth Pain MedShun Lip Numb Wisdom Teeth After undergoing wisdom teeth removal, many individuals may experience numbness in their lip. If you experience bottom lip numbness after wisdom tooth extraction, it’s best to consult with your dentist or oral surgeon to determine the cause and appropriate. One potential side effect of wisdom tooth removal is numbness, which can occur in the tongue, lips, or cheeks. Experiencing lip. Lip Numb Wisdom Teeth.
From www.wikihow.com
3 Ways to Numb a Tooth wikiHow Lip Numb Wisdom Teeth Numbness, tingling, or a lack of sensation in your mouth, cheeks, or face. One potential side effect of wisdom tooth removal is numbness, which can occur in the tongue, lips, or cheeks. According to the nhs , if the. It’s important to have someone drive you home after the surgery. If you experience severe pain or excessive bleeding,. If you. Lip Numb Wisdom Teeth.
From toothshow.com
My Bottom Lip Is Numb After Wisdom Tooth Extraction Lip Numb Wisdom Teeth Damage to the inferior alveolar nerve will cause sensation changes in the lower lip and chin. After undergoing wisdom teeth removal, many individuals may experience numbness in their lip. Consult your dentist if symptoms persist beyond a few days. Lip numbness is rare, but it's possible. If you experience severe pain or excessive bleeding,. Numbness, tingling, or a lack of. Lip Numb Wisdom Teeth.
From toothshow.com
My Bottom Lip Is Numb After Wisdom Tooth Extraction Lip Numb Wisdom Teeth Your wisdom teeth are close to the inferior alveolar nerve in the jaw. Damage to the inferior alveolar nerve will cause sensation changes in the lower lip and chin. If you experience severe pain or excessive bleeding,. While it's normal, persistent numbness could indicate a more serious issue. Consult your dentist if symptoms persist beyond a few days. Lip numbness. Lip Numb Wisdom Teeth.
From www.keppeldental.com.au
How Dentists Number Teeth. A Patient’s Guide to Dental Notation Lip Numb Wisdom Teeth One potential side effect of wisdom tooth removal is numbness, which can occur in the tongue, lips, or cheeks. Your wisdom teeth are close to the inferior alveolar nerve in the jaw. Experiencing lip numbness after wisdom teeth removal is common due to nerve trauma. It’s important to have someone drive you home after the surgery. If you experience severe. Lip Numb Wisdom Teeth.
From joiykhkkk.blob.core.windows.net
My Lips Are Still Numb From Dentist at Chris Gibson blog Lip Numb Wisdom Teeth Numbness, tingling, or a lack of sensation in your mouth, cheeks, or face. Injury to the lingual nerve will affect sensations in the tissue lining the inside of the. After undergoing wisdom teeth removal, many individuals may experience numbness in their lip. One potential side effect of wisdom tooth removal is numbness, which can occur in the tongue, lips, or. Lip Numb Wisdom Teeth.
From id.hutomosungkar.com
How Long Does Wisdom Tooth Pain Last After Extraction Hutomo Lip Numb Wisdom Teeth Consult your dentist if symptoms persist beyond a few days. Damage to the inferior alveolar nerve will cause sensation changes in the lower lip and chin. Your wisdom teeth are close to the inferior alveolar nerve in the jaw. One potential side effect of wisdom tooth removal is numbness, which can occur in the tongue, lips, or cheeks. Experiencing lip. Lip Numb Wisdom Teeth.
From toothshow.com
My Bottom Lip Is Numb After Wisdom Tooth Extraction Lip Numb Wisdom Teeth If you experience severe pain or excessive bleeding,. Lip numbness is rare, but it's possible. While it's normal, persistent numbness could indicate a more serious issue. According to the nhs , if the. Your wisdom teeth are close to the inferior alveolar nerve in the jaw. Damage to the inferior alveolar nerve will cause sensation changes in the lower lip. Lip Numb Wisdom Teeth.
From justforkidsdental.blogspot.com
Dental Tips, Advice & News Numb Mouth SelfInflicted Soft Tissue Trauma Lip Numb Wisdom Teeth Numbness, tingling, or a lack of sensation in your mouth, cheeks, or face. Your wisdom teeth are close to the inferior alveolar nerve in the jaw. Experiencing lip numbness after wisdom teeth removal is common due to nerve trauma. If you experience bottom lip numbness after wisdom tooth extraction, it’s best to consult with your dentist or oral surgeon to. Lip Numb Wisdom Teeth.
From primalpictures.com
The Anatomy of Wisdom Teeth From Primal Roots to Modern Dentistry Lip Numb Wisdom Teeth After undergoing wisdom teeth removal, many individuals may experience numbness in their lip. Injury to the lingual nerve will affect sensations in the tissue lining the inside of the. If you experience bottom lip numbness after wisdom tooth extraction, it’s best to consult with your dentist or oral surgeon to determine the cause and appropriate. While it's normal, persistent numbness. Lip Numb Wisdom Teeth.
From oakdalefamilydental.net
Oral & Maxillofacial Surgery Oakdale Family Dental Lip Numb Wisdom Teeth Injury to the lingual nerve will affect sensations in the tissue lining the inside of the. Your wisdom teeth are close to the inferior alveolar nerve in the jaw. After undergoing wisdom teeth removal, many individuals may experience numbness in their lip. According to the nhs , if the. It’s important to have someone drive you home after the surgery.. Lip Numb Wisdom Teeth.
From toothshow.com
My Bottom Lip Is Numb After Wisdom Tooth Extraction Lip Numb Wisdom Teeth Damage to the inferior alveolar nerve will cause sensation changes in the lower lip and chin. Lip numbness is rare, but it's possible. If you experience severe pain or excessive bleeding,. Numbness, tingling, or a lack of sensation in your mouth, cheeks, or face. Your wisdom teeth are close to the inferior alveolar nerve in the jaw. One potential side. Lip Numb Wisdom Teeth.
From toothshow.com
My Bottom Lip Is Numb After Wisdom Tooth Extraction Lip Numb Wisdom Teeth In this blog post, we. Consult your dentist if symptoms persist beyond a few days. If you experience bottom lip numbness after wisdom tooth extraction, it’s best to consult with your dentist or oral surgeon to determine the cause and appropriate. According to the nhs , if the. Injury to the lingual nerve will affect sensations in the tissue lining. Lip Numb Wisdom Teeth.
From maoi.org
Numb Lips Causes, Symptoms, and When to See a Doctor Medical Lip Numb Wisdom Teeth Numbness, tingling, or a lack of sensation in your mouth, cheeks, or face. According to the nhs , if the. Experiencing lip numbness after wisdom teeth removal is common due to nerve trauma. If you experience severe pain or excessive bleeding,. Your wisdom teeth are close to the inferior alveolar nerve in the jaw. One potential side effect of wisdom. Lip Numb Wisdom Teeth.
From expertdental.in
Does wisdom teeth removal cause nerve damage or Dental Paresthesia? Lip Numb Wisdom Teeth Your wisdom teeth are close to the inferior alveolar nerve in the jaw. While it's normal, persistent numbness could indicate a more serious issue. If you experience bottom lip numbness after wisdom tooth extraction, it’s best to consult with your dentist or oral surgeon to determine the cause and appropriate. Numbness, tingling, or a lack of sensation in your mouth,. Lip Numb Wisdom Teeth.
From www.reddit.com
Numb lips postwisdom teeth removal r/askdentists Lip Numb Wisdom Teeth One potential side effect of wisdom tooth removal is numbness, which can occur in the tongue, lips, or cheeks. While it's normal, persistent numbness could indicate a more serious issue. According to the nhs , if the. If you experience bottom lip numbness after wisdom tooth extraction, it’s best to consult with your dentist or oral surgeon to determine the. Lip Numb Wisdom Teeth.
From medshun.com
The Number Of Numb Shots You Receive Per Wisdom Tooth Explained MedShun Lip Numb Wisdom Teeth If you experience severe pain or excessive bleeding,. Lip numbness is rare, but it's possible. Damage to the inferior alveolar nerve will cause sensation changes in the lower lip and chin. Numbness, tingling, or a lack of sensation in your mouth, cheeks, or face. Consult your dentist if symptoms persist beyond a few days. Your wisdom teeth are close to. Lip Numb Wisdom Teeth.
From congressdentalgroup.com
Wisdom Teeth Nerve Damage Boston Dentist Congress Dental Group 160 Lip Numb Wisdom Teeth After undergoing wisdom teeth removal, many individuals may experience numbness in their lip. Consult your dentist if symptoms persist beyond a few days. According to the nhs , if the. If you experience bottom lip numbness after wisdom tooth extraction, it’s best to consult with your dentist or oral surgeon to determine the cause and appropriate. In this blog post,. Lip Numb Wisdom Teeth.
From alfanooralsurgery.com
How do dentists numb your mouth? Alfano Oral & Maxillofacial Surgery Lip Numb Wisdom Teeth Consult your dentist if symptoms persist beyond a few days. Your wisdom teeth are close to the inferior alveolar nerve in the jaw. Numbness, tingling, or a lack of sensation in your mouth, cheeks, or face. Lip numbness is rare, but it's possible. Experiencing lip numbness after wisdom teeth removal is common due to nerve trauma. According to the nhs. Lip Numb Wisdom Teeth.
From www.youtube.com
Wisdom teeth my lips are numb YouTube Lip Numb Wisdom Teeth Injury to the lingual nerve will affect sensations in the tissue lining the inside of the. Experiencing lip numbness after wisdom teeth removal is common due to nerve trauma. Damage to the inferior alveolar nerve will cause sensation changes in the lower lip and chin. It’s important to have someone drive you home after the surgery. After undergoing wisdom teeth. Lip Numb Wisdom Teeth.
From www.cdhp.org
Why is my mouth still numb 6 hours after wisdom teeth removal? Lip Numb Wisdom Teeth If you experience severe pain or excessive bleeding,. While it's normal, persistent numbness could indicate a more serious issue. If you experience bottom lip numbness after wisdom tooth extraction, it’s best to consult with your dentist or oral surgeon to determine the cause and appropriate. According to the nhs , if the. Numbness, tingling, or a lack of sensation in. Lip Numb Wisdom Teeth.
From pecanparkdental.com
What to do if your tooth is numb Pecan Park Dental Lip Numb Wisdom Teeth Your wisdom teeth are close to the inferior alveolar nerve in the jaw. If you experience severe pain or excessive bleeding,. After undergoing wisdom teeth removal, many individuals may experience numbness in their lip. Consult your dentist if symptoms persist beyond a few days. According to the nhs , if the. Injury to the lingual nerve will affect sensations in. Lip Numb Wisdom Teeth.