Abscess Crohn's Disease . Crohn's disease, in most cases, is a chronic, progressive, destructive disease (summary statement). Crohn's disease (cd) is a chronic inflammatory disease evolving by acute episodes separated by periods of. Crohn's disease is an inflammatory bowel disease that causes chronic inflammation of the gi tract,. In patients with crohn’s disease, abscesses, or collections of pus, often develop in the abdomen, pelvis, or around the. Abdominal and pelvic abscesses in crohn’s disease occur spontaneously or as a. Crohn's disease is characterized by inflammation that involves the full thickness of the bowel wall, which can lead. Percutaneous abscess drainage (pad) is the preferred treatment for treating abscesses with crohn’s disease. During pad, your doctor will make a small cut in your skin near. The chronic intestinal inflammation that occurs in crohn's disease can lead to the development over time of intestinal complications such as strictures, fistulas, and abscesses. For this reason, perforating complications such as intra.
from www.cureus.com
Crohn's disease is characterized by inflammation that involves the full thickness of the bowel wall, which can lead. During pad, your doctor will make a small cut in your skin near. The chronic intestinal inflammation that occurs in crohn's disease can lead to the development over time of intestinal complications such as strictures, fistulas, and abscesses. Percutaneous abscess drainage (pad) is the preferred treatment for treating abscesses with crohn’s disease. In patients with crohn’s disease, abscesses, or collections of pus, often develop in the abdomen, pelvis, or around the. Crohn's disease is an inflammatory bowel disease that causes chronic inflammation of the gi tract,. Crohn's disease (cd) is a chronic inflammatory disease evolving by acute episodes separated by periods of. For this reason, perforating complications such as intra. Crohn's disease, in most cases, is a chronic, progressive, destructive disease (summary statement). Abdominal and pelvic abscesses in crohn’s disease occur spontaneously or as a.
Cureus A Rare Case of Escherichia coli Chest Wall Abscess With Rib
Abscess Crohn's Disease Crohn's disease (cd) is a chronic inflammatory disease evolving by acute episodes separated by periods of. Abdominal and pelvic abscesses in crohn’s disease occur spontaneously or as a. During pad, your doctor will make a small cut in your skin near. Crohn's disease is an inflammatory bowel disease that causes chronic inflammation of the gi tract,. Crohn's disease, in most cases, is a chronic, progressive, destructive disease (summary statement). For this reason, perforating complications such as intra. In patients with crohn’s disease, abscesses, or collections of pus, often develop in the abdomen, pelvis, or around the. Percutaneous abscess drainage (pad) is the preferred treatment for treating abscesses with crohn’s disease. The chronic intestinal inflammation that occurs in crohn's disease can lead to the development over time of intestinal complications such as strictures, fistulas, and abscesses. Crohn's disease is characterized by inflammation that involves the full thickness of the bowel wall, which can lead. Crohn's disease (cd) is a chronic inflammatory disease evolving by acute episodes separated by periods of.
From www.youtube.com
How to Manage Intraabdominal Abscesses in Crohn’s Disease YouTube Abscess Crohn's Disease Crohn's disease is characterized by inflammation that involves the full thickness of the bowel wall, which can lead. Percutaneous abscess drainage (pad) is the preferred treatment for treating abscesses with crohn’s disease. During pad, your doctor will make a small cut in your skin near. For this reason, perforating complications such as intra. Abdominal and pelvic abscesses in crohn’s disease. Abscess Crohn's Disease.
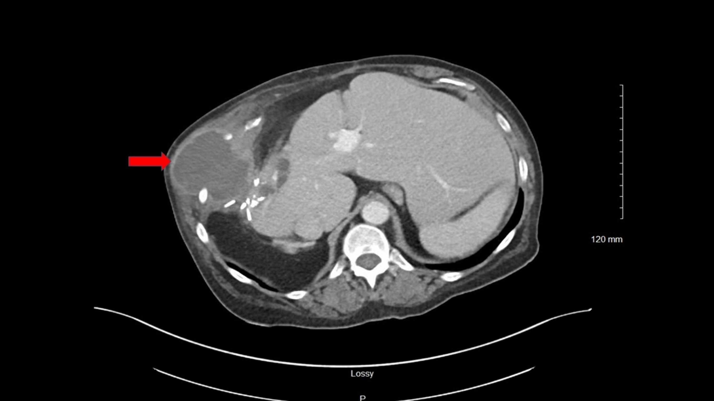
From www.cureus.com
Cureus A Rare Case of Crohn’s Disease Manifesting as a Large Liver Abscess Crohn's Disease In patients with crohn’s disease, abscesses, or collections of pus, often develop in the abdomen, pelvis, or around the. Percutaneous abscess drainage (pad) is the preferred treatment for treating abscesses with crohn’s disease. Crohn's disease is an inflammatory bowel disease that causes chronic inflammation of the gi tract,. Abdominal and pelvic abscesses in crohn’s disease occur spontaneously or as a.. Abscess Crohn's Disease.
From www.ejradiology.com
Contrastenhanced ultrasound in the differentiation between phlegmon Abscess Crohn's Disease Crohn's disease is characterized by inflammation that involves the full thickness of the bowel wall, which can lead. Percutaneous abscess drainage (pad) is the preferred treatment for treating abscesses with crohn’s disease. During pad, your doctor will make a small cut in your skin near. Abdominal and pelvic abscesses in crohn’s disease occur spontaneously or as a. The chronic intestinal. Abscess Crohn's Disease.
From ilovepathology.com
Pathology of Crohn’s Disease Pathology Made Simple Abscess Crohn's Disease The chronic intestinal inflammation that occurs in crohn's disease can lead to the development over time of intestinal complications such as strictures, fistulas, and abscesses. During pad, your doctor will make a small cut in your skin near. Crohn's disease is characterized by inflammation that involves the full thickness of the bowel wall, which can lead. Crohn's disease is an. Abscess Crohn's Disease.
From www.mypathologyreport.ca
Crohn's disease Pathology dictionary MyPathologyReport.ca Abscess Crohn's Disease Crohn's disease is characterized by inflammation that involves the full thickness of the bowel wall, which can lead. In patients with crohn’s disease, abscesses, or collections of pus, often develop in the abdomen, pelvis, or around the. The chronic intestinal inflammation that occurs in crohn's disease can lead to the development over time of intestinal complications such as strictures, fistulas,. Abscess Crohn's Disease.
From pubs.rsna.org
Small Bowel Crohn Disease at CT and MR Enterography Imaging Atlas and Abscess Crohn's Disease The chronic intestinal inflammation that occurs in crohn's disease can lead to the development over time of intestinal complications such as strictures, fistulas, and abscesses. In patients with crohn’s disease, abscesses, or collections of pus, often develop in the abdomen, pelvis, or around the. Crohn's disease is an inflammatory bowel disease that causes chronic inflammation of the gi tract,. Crohn's. Abscess Crohn's Disease.
From ctisus.com
Crohns Disease with Psoas Abscess Colon Case Studies CTisus CT Scanning Abscess Crohn's Disease Crohn's disease is characterized by inflammation that involves the full thickness of the bowel wall, which can lead. The chronic intestinal inflammation that occurs in crohn's disease can lead to the development over time of intestinal complications such as strictures, fistulas, and abscesses. Percutaneous abscess drainage (pad) is the preferred treatment for treating abscesses with crohn’s disease. Abdominal and pelvic. Abscess Crohn's Disease.
From www.drugwatch.com
Crohn’s Disease Causes, Symptoms, Diagnosis, Treatment Abscess Crohn's Disease For this reason, perforating complications such as intra. In patients with crohn’s disease, abscesses, or collections of pus, often develop in the abdomen, pelvis, or around the. Crohn's disease is characterized by inflammation that involves the full thickness of the bowel wall, which can lead. Crohn's disease, in most cases, is a chronic, progressive, destructive disease (summary statement). Abdominal and. Abscess Crohn's Disease.
From www.cureus.com
Cureus PointofCare Ultrasound Diagnosis of a Crohn’s Disease Abscess Crohn's Disease In patients with crohn’s disease, abscesses, or collections of pus, often develop in the abdomen, pelvis, or around the. The chronic intestinal inflammation that occurs in crohn's disease can lead to the development over time of intestinal complications such as strictures, fistulas, and abscesses. For this reason, perforating complications such as intra. Crohn's disease, in most cases, is a chronic,. Abscess Crohn's Disease.
From www.ctisus.com
Crohn's Disease with Right Lower Quadrant Abscess Small Bowel Case Abscess Crohn's Disease The chronic intestinal inflammation that occurs in crohn's disease can lead to the development over time of intestinal complications such as strictures, fistulas, and abscesses. Crohn's disease is characterized by inflammation that involves the full thickness of the bowel wall, which can lead. During pad, your doctor will make a small cut in your skin near. Crohn's disease (cd) is. Abscess Crohn's Disease.
From www.emdocs.net
Emergency Medicine EducationEM3AM Abscess Abscess Crohn's Disease Percutaneous abscess drainage (pad) is the preferred treatment for treating abscesses with crohn’s disease. During pad, your doctor will make a small cut in your skin near. Abdominal and pelvic abscesses in crohn’s disease occur spontaneously or as a. Crohn's disease is an inflammatory bowel disease that causes chronic inflammation of the gi tract,. In patients with crohn’s disease, abscesses,. Abscess Crohn's Disease.
From ctisus.com
Crohns Disease with Psoas Abscess Colon Case Studies CTisus CT Scanning Abscess Crohn's Disease Percutaneous abscess drainage (pad) is the preferred treatment for treating abscesses with crohn’s disease. The chronic intestinal inflammation that occurs in crohn's disease can lead to the development over time of intestinal complications such as strictures, fistulas, and abscesses. Abdominal and pelvic abscesses in crohn’s disease occur spontaneously or as a. Crohn's disease is an inflammatory bowel disease that causes. Abscess Crohn's Disease.
From www.pinterest.com
Pin on Autoimmune Disorders IBD & Crohn's Disease Abscess Crohn's Disease For this reason, perforating complications such as intra. Crohn's disease, in most cases, is a chronic, progressive, destructive disease (summary statement). Crohn's disease is characterized by inflammation that involves the full thickness of the bowel wall, which can lead. Crohn's disease (cd) is a chronic inflammatory disease evolving by acute episodes separated by periods of. Crohn's disease is an inflammatory. Abscess Crohn's Disease.
From www.cureus.com
Cureus A Rare Case of Escherichia coli Chest Wall Abscess With Rib Abscess Crohn's Disease Crohn's disease is an inflammatory bowel disease that causes chronic inflammation of the gi tract,. Crohn's disease, in most cases, is a chronic, progressive, destructive disease (summary statement). In patients with crohn’s disease, abscesses, or collections of pus, often develop in the abdomen, pelvis, or around the. Percutaneous abscess drainage (pad) is the preferred treatment for treating abscesses with crohn’s. Abscess Crohn's Disease.
From atlas.mudr.org
Radiology case Abscess, Crohn's disease Abscess Crohn's Disease Abdominal and pelvic abscesses in crohn’s disease occur spontaneously or as a. Crohn's disease is characterized by inflammation that involves the full thickness of the bowel wall, which can lead. Crohn's disease (cd) is a chronic inflammatory disease evolving by acute episodes separated by periods of. Crohn's disease is an inflammatory bowel disease that causes chronic inflammation of the gi. Abscess Crohn's Disease.
From fg.bmj.com
Curriculum based clinical review small bowel imaging in Crohn's Abscess Crohn's Disease Crohn's disease, in most cases, is a chronic, progressive, destructive disease (summary statement). For this reason, perforating complications such as intra. The chronic intestinal inflammation that occurs in crohn's disease can lead to the development over time of intestinal complications such as strictures, fistulas, and abscesses. Crohn's disease is an inflammatory bowel disease that causes chronic inflammation of the gi. Abscess Crohn's Disease.
From nutrition4ibd.com
WHAT IS CROHN'S DISEASE? Nutrition 4 IBD Abscess Crohn's Disease During pad, your doctor will make a small cut in your skin near. Crohn's disease, in most cases, is a chronic, progressive, destructive disease (summary statement). For this reason, perforating complications such as intra. Percutaneous abscess drainage (pad) is the preferred treatment for treating abscesses with crohn’s disease. Crohn's disease is an inflammatory bowel disease that causes chronic inflammation of. Abscess Crohn's Disease.
From www.stepwards.com
Crohn Disease Stepwards Abscess Crohn's Disease In patients with crohn’s disease, abscesses, or collections of pus, often develop in the abdomen, pelvis, or around the. Percutaneous abscess drainage (pad) is the preferred treatment for treating abscesses with crohn’s disease. The chronic intestinal inflammation that occurs in crohn's disease can lead to the development over time of intestinal complications such as strictures, fistulas, and abscesses. Crohn's disease,. Abscess Crohn's Disease.
From www.researchgate.net
Abscess formation in Crohn disease. Axial (a) and coronal... Download Abscess Crohn's Disease Crohn's disease is characterized by inflammation that involves the full thickness of the bowel wall, which can lead. For this reason, perforating complications such as intra. The chronic intestinal inflammation that occurs in crohn's disease can lead to the development over time of intestinal complications such as strictures, fistulas, and abscesses. During pad, your doctor will make a small cut. Abscess Crohn's Disease.
From www.semanticscholar.org
Figure 3 from Review of IntraAbdominal Abscess in Crohn's Disease Abscess Crohn's Disease Abdominal and pelvic abscesses in crohn’s disease occur spontaneously or as a. Crohn's disease, in most cases, is a chronic, progressive, destructive disease (summary statement). The chronic intestinal inflammation that occurs in crohn's disease can lead to the development over time of intestinal complications such as strictures, fistulas, and abscesses. Percutaneous abscess drainage (pad) is the preferred treatment for treating. Abscess Crohn's Disease.
From www.youtube.com
Inflammatory Bowel Disease Ulcerative Colitis v Crohn's Disease (With Abscess Crohn's Disease Crohn's disease, in most cases, is a chronic, progressive, destructive disease (summary statement). Crohn's disease is an inflammatory bowel disease that causes chronic inflammation of the gi tract,. Percutaneous abscess drainage (pad) is the preferred treatment for treating abscesses with crohn’s disease. For this reason, perforating complications such as intra. Crohn's disease is characterized by inflammation that involves the full. Abscess Crohn's Disease.
From www.drugwatch.com
Crohn’s Disease Causes, Symptoms, Diagnosis, Treatment Abscess Crohn's Disease The chronic intestinal inflammation that occurs in crohn's disease can lead to the development over time of intestinal complications such as strictures, fistulas, and abscesses. During pad, your doctor will make a small cut in your skin near. Abdominal and pelvic abscesses in crohn’s disease occur spontaneously or as a. Crohn's disease is an inflammatory bowel disease that causes chronic. Abscess Crohn's Disease.
From ilovepathology.com
Pathology of Crohn’s Disease Pathology Made Simple Abscess Crohn's Disease Crohn's disease, in most cases, is a chronic, progressive, destructive disease (summary statement). Crohn's disease (cd) is a chronic inflammatory disease evolving by acute episodes separated by periods of. During pad, your doctor will make a small cut in your skin near. For this reason, perforating complications such as intra. Crohn's disease is an inflammatory bowel disease that causes chronic. Abscess Crohn's Disease.
From www.researchgate.net
Crohn disease. CT scan obtained with oral and intravenous contrast Abscess Crohn's Disease Crohn's disease is characterized by inflammation that involves the full thickness of the bowel wall, which can lead. Crohn's disease, in most cases, is a chronic, progressive, destructive disease (summary statement). The chronic intestinal inflammation that occurs in crohn's disease can lead to the development over time of intestinal complications such as strictures, fistulas, and abscesses. Crohn's disease is an. Abscess Crohn's Disease.
From www.wjgnet.com
Management of abdominal and pelvic abscess in Crohn’s disease Abscess Crohn's Disease For this reason, perforating complications such as intra. Crohn's disease is characterized by inflammation that involves the full thickness of the bowel wall, which can lead. The chronic intestinal inflammation that occurs in crohn's disease can lead to the development over time of intestinal complications such as strictures, fistulas, and abscesses. In patients with crohn’s disease, abscesses, or collections of. Abscess Crohn's Disease.
From atlas.mudr.org
Radiology case Mesenteric abscess, Crohn's disease Abscess Crohn's Disease Crohn's disease is an inflammatory bowel disease that causes chronic inflammation of the gi tract,. Crohn's disease (cd) is a chronic inflammatory disease evolving by acute episodes separated by periods of. The chronic intestinal inflammation that occurs in crohn's disease can lead to the development over time of intestinal complications such as strictures, fistulas, and abscesses. Crohn's disease, in most. Abscess Crohn's Disease.
From klavpomrm.blob.core.windows.net
Crohn's Disease Self Care at Melvin Hull blog Abscess Crohn's Disease Abdominal and pelvic abscesses in crohn’s disease occur spontaneously or as a. During pad, your doctor will make a small cut in your skin near. Percutaneous abscess drainage (pad) is the preferred treatment for treating abscesses with crohn’s disease. The chronic intestinal inflammation that occurs in crohn's disease can lead to the development over time of intestinal complications such as. Abscess Crohn's Disease.
From slidetodoc.com
ADVANCES IN INFLAMMATORY BOWEL DISEASE 2004 presented by Abscess Crohn's Disease Crohn's disease is an inflammatory bowel disease that causes chronic inflammation of the gi tract,. During pad, your doctor will make a small cut in your skin near. Crohn's disease, in most cases, is a chronic, progressive, destructive disease (summary statement). Crohn's disease is characterized by inflammation that involves the full thickness of the bowel wall, which can lead. Percutaneous. Abscess Crohn's Disease.
From mavink.com
Crohn's Disease Histology Abscess Crohn's Disease During pad, your doctor will make a small cut in your skin near. In patients with crohn’s disease, abscesses, or collections of pus, often develop in the abdomen, pelvis, or around the. For this reason, perforating complications such as intra. Crohn's disease (cd) is a chronic inflammatory disease evolving by acute episodes separated by periods of. The chronic intestinal inflammation. Abscess Crohn's Disease.
From www.nutritionfact.in
Crohn’s Disease Causes, Symptoms, Diagnosis and Treatment Abscess Crohn's Disease Crohn's disease is an inflammatory bowel disease that causes chronic inflammation of the gi tract,. Percutaneous abscess drainage (pad) is the preferred treatment for treating abscesses with crohn’s disease. Abdominal and pelvic abscesses in crohn’s disease occur spontaneously or as a. Crohn's disease, in most cases, is a chronic, progressive, destructive disease (summary statement). For this reason, perforating complications such. Abscess Crohn's Disease.
From www.osmosis.org
Crypt Abscess What Is It, Causes, Diagnosis, and More Osmosis Abscess Crohn's Disease Crohn's disease is characterized by inflammation that involves the full thickness of the bowel wall, which can lead. Crohn's disease, in most cases, is a chronic, progressive, destructive disease (summary statement). Percutaneous abscess drainage (pad) is the preferred treatment for treating abscesses with crohn’s disease. Crohn's disease (cd) is a chronic inflammatory disease evolving by acute episodes separated by periods. Abscess Crohn's Disease.
From www.cureus.com
Cureus The Multidisciplinary Management of Perianal Fistulas in Crohn Abscess Crohn's Disease Crohn's disease, in most cases, is a chronic, progressive, destructive disease (summary statement). For this reason, perforating complications such as intra. The chronic intestinal inflammation that occurs in crohn's disease can lead to the development over time of intestinal complications such as strictures, fistulas, and abscesses. During pad, your doctor will make a small cut in your skin near. Abdominal. Abscess Crohn's Disease.
From www.cureus.com
Cureus PointofCare Ultrasound Diagnosis of a Crohn’s Disease Abscess Crohn's Disease For this reason, perforating complications such as intra. Crohn's disease is an inflammatory bowel disease that causes chronic inflammation of the gi tract,. Crohn's disease, in most cases, is a chronic, progressive, destructive disease (summary statement). Crohn's disease is characterized by inflammation that involves the full thickness of the bowel wall, which can lead. During pad, your doctor will make. Abscess Crohn's Disease.
From privategastrolondon.com
Crohn’s Disease Symptoms and Treatment Private Gastro London Abscess Crohn's Disease The chronic intestinal inflammation that occurs in crohn's disease can lead to the development over time of intestinal complications such as strictures, fistulas, and abscesses. For this reason, perforating complications such as intra. Crohn's disease (cd) is a chronic inflammatory disease evolving by acute episodes separated by periods of. Crohn's disease is an inflammatory bowel disease that causes chronic inflammation. Abscess Crohn's Disease.
From mavink.com
Crohn's Disease Fistula Abscess Abscess Crohn's Disease Crohn's disease is characterized by inflammation that involves the full thickness of the bowel wall, which can lead. In patients with crohn’s disease, abscesses, or collections of pus, often develop in the abdomen, pelvis, or around the. Crohn's disease, in most cases, is a chronic, progressive, destructive disease (summary statement). Crohn's disease (cd) is a chronic inflammatory disease evolving by. Abscess Crohn's Disease.