Osteomyelitis Radiographs . radiographic imaging is useful for diagnosing osteomyelitis, delineating the extent of disease, and planning therapy. the evaluation usually begins with plain radiographs in all patients suspected of having osteomyelitis; Inhomogeneous osteosclerosis and/or sequestrum formation (necrotic bone) is. plain radiography is the typical first step in the radiologic evaluation of patients with osteomyelitis. flow chart for imaging modality choice in osteomyelitis. A plain radiograph should always be obtained first. osteomyelitis is an acute or chronic inflammatory process of the bone secondary to an infection with microorganisms that can spread through direct inoculation (from chronic wounds or penetrating trauma) or the bloodstream (1). While plain films can identify bone. Ulceration of the soft tissues will not. the key findings in osteomyelitis are focal osteopenia, cortical destruction, and periosteal reaction.
from www.researchgate.net
osteomyelitis is an acute or chronic inflammatory process of the bone secondary to an infection with microorganisms that can spread through direct inoculation (from chronic wounds or penetrating trauma) or the bloodstream (1). Inhomogeneous osteosclerosis and/or sequestrum formation (necrotic bone) is. flow chart for imaging modality choice in osteomyelitis. the key findings in osteomyelitis are focal osteopenia, cortical destruction, and periosteal reaction. the evaluation usually begins with plain radiographs in all patients suspected of having osteomyelitis; While plain films can identify bone. radiographic imaging is useful for diagnosing osteomyelitis, delineating the extent of disease, and planning therapy. Ulceration of the soft tissues will not. A plain radiograph should always be obtained first. plain radiography is the typical first step in the radiologic evaluation of patients with osteomyelitis.
TB osteomyelitis. (a)Ultrasound image; (b),(c),(d) sagittal, coronal
Osteomyelitis Radiographs flow chart for imaging modality choice in osteomyelitis. radiographic imaging is useful for diagnosing osteomyelitis, delineating the extent of disease, and planning therapy. Inhomogeneous osteosclerosis and/or sequestrum formation (necrotic bone) is. While plain films can identify bone. flow chart for imaging modality choice in osteomyelitis. A plain radiograph should always be obtained first. osteomyelitis is an acute or chronic inflammatory process of the bone secondary to an infection with microorganisms that can spread through direct inoculation (from chronic wounds or penetrating trauma) or the bloodstream (1). plain radiography is the typical first step in the radiologic evaluation of patients with osteomyelitis. the key findings in osteomyelitis are focal osteopenia, cortical destruction, and periosteal reaction. the evaluation usually begins with plain radiographs in all patients suspected of having osteomyelitis; Ulceration of the soft tissues will not.
From radiopaedia.org
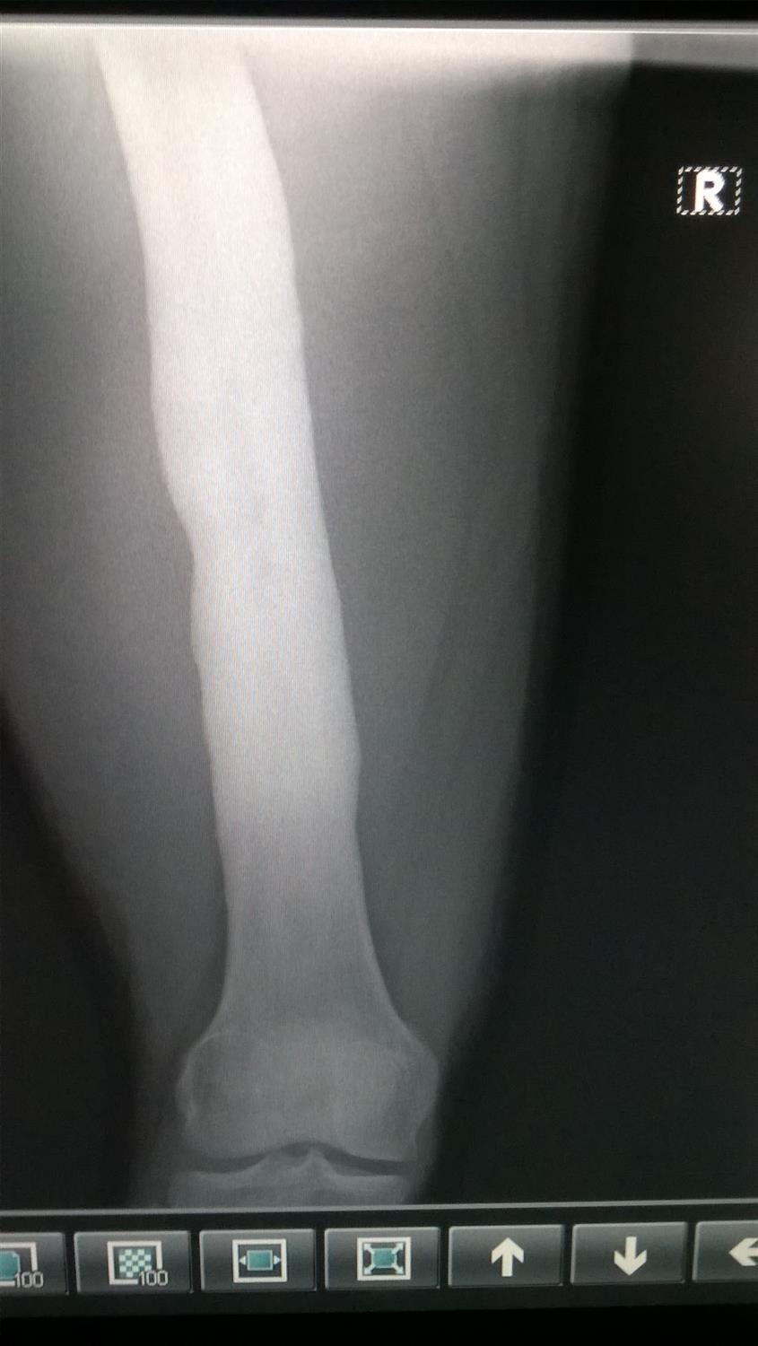
Osteomyelitis proximal tibia Image Osteomyelitis Radiographs plain radiography is the typical first step in the radiologic evaluation of patients with osteomyelitis. Inhomogeneous osteosclerosis and/or sequestrum formation (necrotic bone) is. the key findings in osteomyelitis are focal osteopenia, cortical destruction, and periosteal reaction. the evaluation usually begins with plain radiographs in all patients suspected of having osteomyelitis; flow chart for imaging modality choice. Osteomyelitis Radiographs.
From www.researchgate.net
(PDF) Radiographic Imaging in Osteomyelitis The Role of Plain Osteomyelitis Radiographs Inhomogeneous osteosclerosis and/or sequestrum formation (necrotic bone) is. Ulceration of the soft tissues will not. A plain radiograph should always be obtained first. osteomyelitis is an acute or chronic inflammatory process of the bone secondary to an infection with microorganisms that can spread through direct inoculation (from chronic wounds or penetrating trauma) or the bloodstream (1). the evaluation. Osteomyelitis Radiographs.
From medicine.utah.edu
Chronic Osteomyelitis Radiology U of U School of Medicine Osteomyelitis Radiographs the evaluation usually begins with plain radiographs in all patients suspected of having osteomyelitis; While plain films can identify bone. A plain radiograph should always be obtained first. radiographic imaging is useful for diagnosing osteomyelitis, delineating the extent of disease, and planning therapy. plain radiography is the typical first step in the radiologic evaluation of patients with. Osteomyelitis Radiographs.
From radiopaedia.org
Osteomyelitis femur Image Osteomyelitis Radiographs the key findings in osteomyelitis are focal osteopenia, cortical destruction, and periosteal reaction. the evaluation usually begins with plain radiographs in all patients suspected of having osteomyelitis; A plain radiograph should always be obtained first. plain radiography is the typical first step in the radiologic evaluation of patients with osteomyelitis. Ulceration of the soft tissues will not.. Osteomyelitis Radiographs.
From radiopaedia.org
Osteomyelitis Image Osteomyelitis Radiographs the evaluation usually begins with plain radiographs in all patients suspected of having osteomyelitis; While plain films can identify bone. A plain radiograph should always be obtained first. flow chart for imaging modality choice in osteomyelitis. osteomyelitis is an acute or chronic inflammatory process of the bone secondary to an infection with microorganisms that can spread through. Osteomyelitis Radiographs.
From www.vrogue.co
Osteomyelitis X Ray Features vrogue.co Osteomyelitis Radiographs Ulceration of the soft tissues will not. the evaluation usually begins with plain radiographs in all patients suspected of having osteomyelitis; radiographic imaging is useful for diagnosing osteomyelitis, delineating the extent of disease, and planning therapy. the key findings in osteomyelitis are focal osteopenia, cortical destruction, and periosteal reaction. While plain films can identify bone. Inhomogeneous osteosclerosis. Osteomyelitis Radiographs.
From www.researchgate.net
Knee radiographs at two years follow up osteomyelitis of the proximal Osteomyelitis Radiographs flow chart for imaging modality choice in osteomyelitis. While plain films can identify bone. A plain radiograph should always be obtained first. the key findings in osteomyelitis are focal osteopenia, cortical destruction, and periosteal reaction. Ulceration of the soft tissues will not. plain radiography is the typical first step in the radiologic evaluation of patients with osteomyelitis.. Osteomyelitis Radiographs.
From pubs.rsna.org
Diagnosis of Skull Base Osteomyelitis RadioGraphics Osteomyelitis Radiographs While plain films can identify bone. Inhomogeneous osteosclerosis and/or sequestrum formation (necrotic bone) is. radiographic imaging is useful for diagnosing osteomyelitis, delineating the extent of disease, and planning therapy. plain radiography is the typical first step in the radiologic evaluation of patients with osteomyelitis. A plain radiograph should always be obtained first. the evaluation usually begins with. Osteomyelitis Radiographs.
From www.learningradiology.com
LearningRadiology Osteomyelitis Osteomyelitis Radiographs radiographic imaging is useful for diagnosing osteomyelitis, delineating the extent of disease, and planning therapy. While plain films can identify bone. Inhomogeneous osteosclerosis and/or sequestrum formation (necrotic bone) is. A plain radiograph should always be obtained first. flow chart for imaging modality choice in osteomyelitis. plain radiography is the typical first step in the radiologic evaluation of. Osteomyelitis Radiographs.
From www.researchgate.net
TB osteomyelitis. (a)Ultrasound image; (b),(c),(d) sagittal, coronal Osteomyelitis Radiographs Ulceration of the soft tissues will not. While plain films can identify bone. Inhomogeneous osteosclerosis and/or sequestrum formation (necrotic bone) is. radiographic imaging is useful for diagnosing osteomyelitis, delineating the extent of disease, and planning therapy. plain radiography is the typical first step in the radiologic evaluation of patients with osteomyelitis. osteomyelitis is an acute or chronic. Osteomyelitis Radiographs.
From www.wikidoc.org
Osteomyelitis x ray wikidoc Osteomyelitis Radiographs plain radiography is the typical first step in the radiologic evaluation of patients with osteomyelitis. Ulceration of the soft tissues will not. flow chart for imaging modality choice in osteomyelitis. While plain films can identify bone. Inhomogeneous osteosclerosis and/or sequestrum formation (necrotic bone) is. the key findings in osteomyelitis are focal osteopenia, cortical destruction, and periosteal reaction.. Osteomyelitis Radiographs.
From www.youtube.com
Imaging of Osteomyelitis & Septic Arthritis 15 Minute Radiology CME Osteomyelitis Radiographs radiographic imaging is useful for diagnosing osteomyelitis, delineating the extent of disease, and planning therapy. the evaluation usually begins with plain radiographs in all patients suspected of having osteomyelitis; plain radiography is the typical first step in the radiologic evaluation of patients with osteomyelitis. Ulceration of the soft tissues will not. A plain radiograph should always be. Osteomyelitis Radiographs.
From animalia-life.club
Osteomyelitis Jaw Radiographic Appearance Osteomyelitis Radiographs the evaluation usually begins with plain radiographs in all patients suspected of having osteomyelitis; Inhomogeneous osteosclerosis and/or sequestrum formation (necrotic bone) is. osteomyelitis is an acute or chronic inflammatory process of the bone secondary to an infection with microorganisms that can spread through direct inoculation (from chronic wounds or penetrating trauma) or the bloodstream (1). the key. Osteomyelitis Radiographs.
From www.researchgate.net
Typical radiographs of chronic osteomyelitis of the tibia treated with Osteomyelitis Radiographs A plain radiograph should always be obtained first. Inhomogeneous osteosclerosis and/or sequestrum formation (necrotic bone) is. radiographic imaging is useful for diagnosing osteomyelitis, delineating the extent of disease, and planning therapy. flow chart for imaging modality choice in osteomyelitis. While plain films can identify bone. Ulceration of the soft tissues will not. plain radiography is the typical. Osteomyelitis Radiographs.
From www.eurorad.org
Chronic Osteomyelitis Eurorad Osteomyelitis Radiographs the key findings in osteomyelitis are focal osteopenia, cortical destruction, and periosteal reaction. flow chart for imaging modality choice in osteomyelitis. osteomyelitis is an acute or chronic inflammatory process of the bone secondary to an infection with microorganisms that can spread through direct inoculation (from chronic wounds or penetrating trauma) or the bloodstream (1). radiographic imaging. Osteomyelitis Radiographs.
From www.ncbi.nlm.nih.gov
Osteomyelitis StatPearls NCBI Bookshelf Osteomyelitis Radiographs While plain films can identify bone. the key findings in osteomyelitis are focal osteopenia, cortical destruction, and periosteal reaction. plain radiography is the typical first step in the radiologic evaluation of patients with osteomyelitis. A plain radiograph should always be obtained first. Ulceration of the soft tissues will not. radiographic imaging is useful for diagnosing osteomyelitis, delineating. Osteomyelitis Radiographs.
From www.researchgate.net
Radiographs of mandible affected by osteomyelitis, lateral and Osteomyelitis Radiographs plain radiography is the typical first step in the radiologic evaluation of patients with osteomyelitis. While plain films can identify bone. Inhomogeneous osteosclerosis and/or sequestrum formation (necrotic bone) is. A plain radiograph should always be obtained first. osteomyelitis is an acute or chronic inflammatory process of the bone secondary to an infection with microorganisms that can spread through. Osteomyelitis Radiographs.
From www.mdedge.com
Radiographic Changes of Osteomyelitis in a Patient With Periungual Osteomyelitis Radiographs the key findings in osteomyelitis are focal osteopenia, cortical destruction, and periosteal reaction. While plain films can identify bone. Inhomogeneous osteosclerosis and/or sequestrum formation (necrotic bone) is. plain radiography is the typical first step in the radiologic evaluation of patients with osteomyelitis. Ulceration of the soft tissues will not. osteomyelitis is an acute or chronic inflammatory process. Osteomyelitis Radiographs.
From pubs.rsna.org
Imaging of Chronic Recurrent Multifocal Osteomyelitis RadioGraphics Osteomyelitis Radiographs radiographic imaging is useful for diagnosing osteomyelitis, delineating the extent of disease, and planning therapy. Inhomogeneous osteosclerosis and/or sequestrum formation (necrotic bone) is. osteomyelitis is an acute or chronic inflammatory process of the bone secondary to an infection with microorganisms that can spread through direct inoculation (from chronic wounds or penetrating trauma) or the bloodstream (1). the. Osteomyelitis Radiographs.
From dentistryandmedicine.blogspot.com
Osteomyelitiswith Radiological features Dentistry and Medicine Osteomyelitis Radiographs osteomyelitis is an acute or chronic inflammatory process of the bone secondary to an infection with microorganisms that can spread through direct inoculation (from chronic wounds or penetrating trauma) or the bloodstream (1). While plain films can identify bone. flow chart for imaging modality choice in osteomyelitis. the evaluation usually begins with plain radiographs in all patients. Osteomyelitis Radiographs.
From www.learningradiology.com
LearningRadiology Osteomyelitis Osteomyelitis Radiographs osteomyelitis is an acute or chronic inflammatory process of the bone secondary to an infection with microorganisms that can spread through direct inoculation (from chronic wounds or penetrating trauma) or the bloodstream (1). While plain films can identify bone. Inhomogeneous osteosclerosis and/or sequestrum formation (necrotic bone) is. the evaluation usually begins with plain radiographs in all patients suspected. Osteomyelitis Radiographs.
From npics.homes
Osteomyelitis X Ray Features Osteomyelitis Radiographs Inhomogeneous osteosclerosis and/or sequestrum formation (necrotic bone) is. the evaluation usually begins with plain radiographs in all patients suspected of having osteomyelitis; Ulceration of the soft tissues will not. osteomyelitis is an acute or chronic inflammatory process of the bone secondary to an infection with microorganisms that can spread through direct inoculation (from chronic wounds or penetrating trauma). Osteomyelitis Radiographs.
From boneandjoint.org.uk
Induced membrane technique for the treatment of bone defects due to Osteomyelitis Radiographs flow chart for imaging modality choice in osteomyelitis. Ulceration of the soft tissues will not. While plain films can identify bone. plain radiography is the typical first step in the radiologic evaluation of patients with osteomyelitis. the key findings in osteomyelitis are focal osteopenia, cortical destruction, and periosteal reaction. Inhomogeneous osteosclerosis and/or sequestrum formation (necrotic bone) is.. Osteomyelitis Radiographs.
From www.wikidoc.org
Osteomyelitis imaging findings wikidoc Osteomyelitis Radiographs flow chart for imaging modality choice in osteomyelitis. the evaluation usually begins with plain radiographs in all patients suspected of having osteomyelitis; Ulceration of the soft tissues will not. plain radiography is the typical first step in the radiologic evaluation of patients with osteomyelitis. While plain films can identify bone. osteomyelitis is an acute or chronic. Osteomyelitis Radiographs.
From www.aafp.org
Diagnosis and Management of Osteomyelitis AAFP Osteomyelitis Radiographs plain radiography is the typical first step in the radiologic evaluation of patients with osteomyelitis. the key findings in osteomyelitis are focal osteopenia, cortical destruction, and periosteal reaction. Ulceration of the soft tissues will not. A plain radiograph should always be obtained first. Inhomogeneous osteosclerosis and/or sequestrum formation (necrotic bone) is. osteomyelitis is an acute or chronic. Osteomyelitis Radiographs.
From www.cureus.com
Cureus Sclerosing Osteomyelitis of Garré A ClinicoRadiological Osteomyelitis Radiographs Ulceration of the soft tissues will not. radiographic imaging is useful for diagnosing osteomyelitis, delineating the extent of disease, and planning therapy. the key findings in osteomyelitis are focal osteopenia, cortical destruction, and periosteal reaction. flow chart for imaging modality choice in osteomyelitis. plain radiography is the typical first step in the radiologic evaluation of patients. Osteomyelitis Radiographs.
From www.thelancet.com
Primary osteomyelitis caused by hypervirulent Klebsiella pneumoniae Osteomyelitis Radiographs the key findings in osteomyelitis are focal osteopenia, cortical destruction, and periosteal reaction. osteomyelitis is an acute or chronic inflammatory process of the bone secondary to an infection with microorganisms that can spread through direct inoculation (from chronic wounds or penetrating trauma) or the bloodstream (1). Inhomogeneous osteosclerosis and/or sequestrum formation (necrotic bone) is. radiographic imaging is. Osteomyelitis Radiographs.
From pubs.rsna.org
Diagnosis of Skull Base Osteomyelitis RadioGraphics Osteomyelitis Radiographs radiographic imaging is useful for diagnosing osteomyelitis, delineating the extent of disease, and planning therapy. the evaluation usually begins with plain radiographs in all patients suspected of having osteomyelitis; plain radiography is the typical first step in the radiologic evaluation of patients with osteomyelitis. flow chart for imaging modality choice in osteomyelitis. A plain radiograph should. Osteomyelitis Radiographs.
From www.orthobullets.com
Osteomyelitis Adult Trauma Orthobullets Osteomyelitis Radiographs plain radiography is the typical first step in the radiologic evaluation of patients with osteomyelitis. Inhomogeneous osteosclerosis and/or sequestrum formation (necrotic bone) is. A plain radiograph should always be obtained first. the evaluation usually begins with plain radiographs in all patients suspected of having osteomyelitis; osteomyelitis is an acute or chronic inflammatory process of the bone secondary. Osteomyelitis Radiographs.
From www.bmj.com
Acute haematogenous osteomyelitis in children The BMJ Osteomyelitis Radiographs While plain films can identify bone. Ulceration of the soft tissues will not. radiographic imaging is useful for diagnosing osteomyelitis, delineating the extent of disease, and planning therapy. A plain radiograph should always be obtained first. Inhomogeneous osteosclerosis and/or sequestrum formation (necrotic bone) is. the key findings in osteomyelitis are focal osteopenia, cortical destruction, and periosteal reaction. . Osteomyelitis Radiographs.
From pacs.de
Osteomyelitis pacs Osteomyelitis Radiographs the evaluation usually begins with plain radiographs in all patients suspected of having osteomyelitis; Inhomogeneous osteosclerosis and/or sequestrum formation (necrotic bone) is. plain radiography is the typical first step in the radiologic evaluation of patients with osteomyelitis. flow chart for imaging modality choice in osteomyelitis. radiographic imaging is useful for diagnosing osteomyelitis, delineating the extent of. Osteomyelitis Radiographs.
From radsource.us
Osteomyelitis Radsource Osteomyelitis Radiographs Inhomogeneous osteosclerosis and/or sequestrum formation (necrotic bone) is. While plain films can identify bone. flow chart for imaging modality choice in osteomyelitis. Ulceration of the soft tissues will not. osteomyelitis is an acute or chronic inflammatory process of the bone secondary to an infection with microorganisms that can spread through direct inoculation (from chronic wounds or penetrating trauma). Osteomyelitis Radiographs.
From www.hmpgloballearningnetwork.com
Diagnosis Chronic Osteomyelitis Osteomyelitis Radiographs A plain radiograph should always be obtained first. plain radiography is the typical first step in the radiologic evaluation of patients with osteomyelitis. the evaluation usually begins with plain radiographs in all patients suspected of having osteomyelitis; Ulceration of the soft tissues will not. While plain films can identify bone. flow chart for imaging modality choice in. Osteomyelitis Radiographs.
From www.imagingpathways.health.wa.gov.au
Osteomyelitis (Suspected Acute) Osteomyelitis Radiographs radiographic imaging is useful for diagnosing osteomyelitis, delineating the extent of disease, and planning therapy. plain radiography is the typical first step in the radiologic evaluation of patients with osteomyelitis. flow chart for imaging modality choice in osteomyelitis. Ulceration of the soft tissues will not. A plain radiograph should always be obtained first. Inhomogeneous osteosclerosis and/or sequestrum. Osteomyelitis Radiographs.
From www.svuhradiology.ie
Diabetic foot osteomyelitis Radiology at St. Vincent's University Osteomyelitis Radiographs A plain radiograph should always be obtained first. plain radiography is the typical first step in the radiologic evaluation of patients with osteomyelitis. While plain films can identify bone. radiographic imaging is useful for diagnosing osteomyelitis, delineating the extent of disease, and planning therapy. the evaluation usually begins with plain radiographs in all patients suspected of having. Osteomyelitis Radiographs.