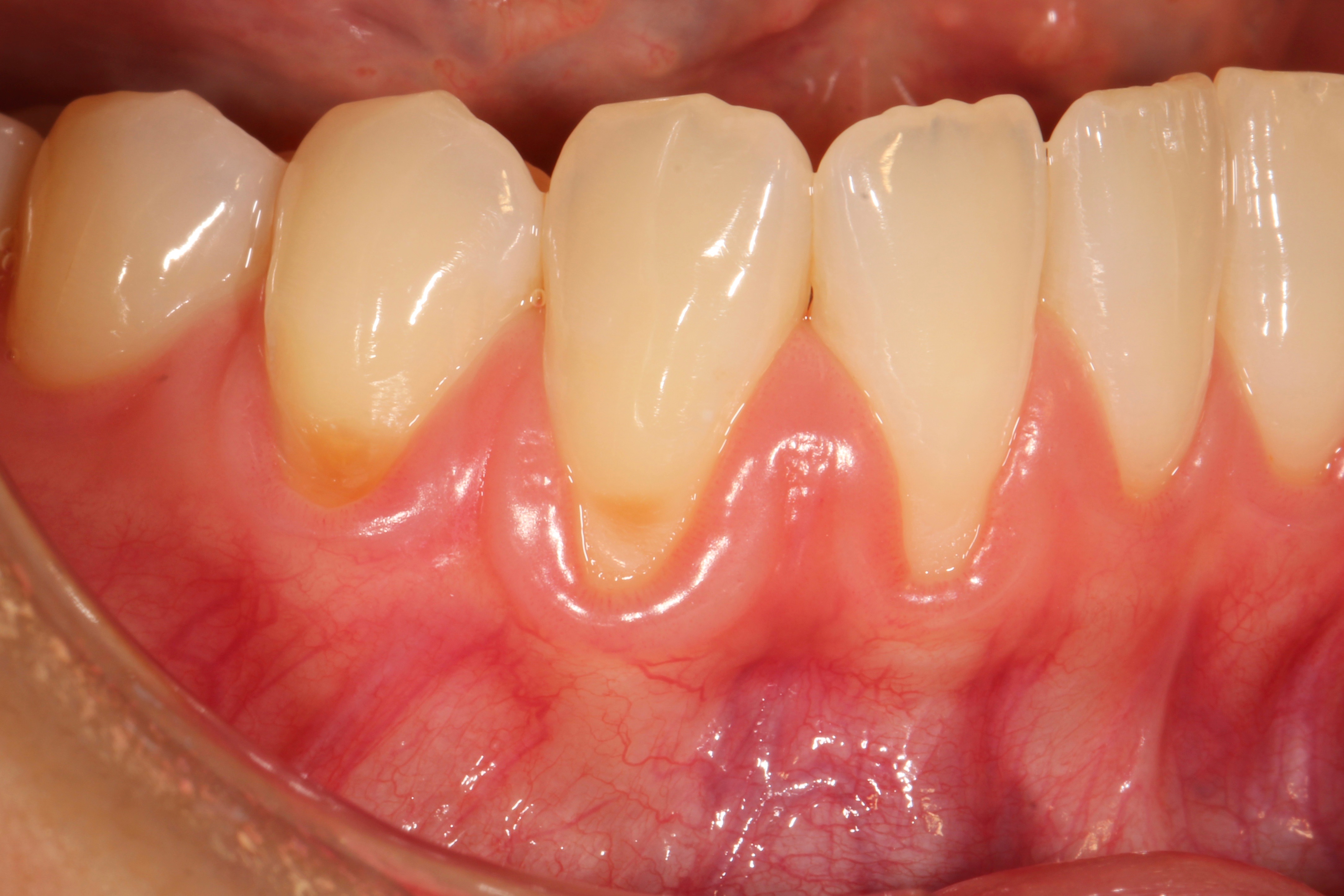
Gum Skin Graft Recovery . Recovery from gum graft surgery typically takes 1 to 2 weeks for the initial healing, with complete tissue maturation and comfort often achieved after a few months. The first day after your gum graft surgery is crucial for setting the tone. What are the healing stages of a gum graft? A gum graft is a procedure to treat receding gums. Why are gum grafts performed? After a gum graft, it is normal to experience some temporary symptoms such as discomfort, swelling, and bleeding. They are part of the natural healing process and should gradually decrease over time. Gum grafting covers exposed teeth. Before your gums return to their normal appearance, the healing process goes through several stages: Gum graft surgery is a dental procedure for treating thinning gums or gum recession. It is a simple process that does not take long to do. The recovery period is typically a few weeks and usually involves eating. Recovering from gum graft surgery requires patience, proper care, and following your dentist’s instructions. If your gums are receding, your dentist may recommend a gum tissue graft. Gum recession exposes the roots of your teeth.
from www.huntingtonbeachperiodontics.com
What are the healing stages of a gum graft? The first day after your gum graft surgery is crucial for setting the tone. The recovery period is typically a few weeks and usually involves eating. If your gums are receding, your dentist may recommend a gum tissue graft. They are part of the natural healing process and should gradually decrease over time. It is a simple process that does not take long to do. Recovery from gum graft surgery typically takes 1 to 2 weeks for the initial healing, with complete tissue maturation and comfort often achieved after a few months. Recovering from gum graft surgery requires patience, proper care, and following your dentist’s instructions. Why are gum grafts performed? Gum recession exposes the roots of your teeth.
Gum Grafting Huntington Beach Cosmetic Periodontics Dr. Braga
Gum Skin Graft Recovery If your gums are receding, your dentist may recommend a gum tissue graft. Recovering from gum graft surgery requires patience, proper care, and following your dentist’s instructions. It is a simple process that does not take long to do. Before your gums return to their normal appearance, the healing process goes through several stages: If your gums are receding, your dentist may recommend a gum tissue graft. A gum graft is a procedure to treat receding gums. The first day after your gum graft surgery is crucial for setting the tone. The recovery period is typically a few weeks and usually involves eating. Gum graft surgery is a dental procedure for treating thinning gums or gum recession. Gum recession exposes the roots of your teeth. What are the healing stages of a gum graft? Recovery from gum graft surgery typically takes 1 to 2 weeks for the initial healing, with complete tissue maturation and comfort often achieved after a few months. Why are gum grafts performed? They are part of the natural healing process and should gradually decrease over time. After a gum graft, it is normal to experience some temporary symptoms such as discomfort, swelling, and bleeding. Gum grafting covers exposed teeth.
From www.periodontal-therapy.com
Gum Grafting Photos Gum Skin Graft Recovery After a gum graft, it is normal to experience some temporary symptoms such as discomfort, swelling, and bleeding. Gum graft surgery is a dental procedure for treating thinning gums or gum recession. It is a simple process that does not take long to do. Before your gums return to their normal appearance, the healing process goes through several stages: If. Gum Skin Graft Recovery.
From www.chirurgiezeeba.com
Gum Grafting GreenfieldPark Quebec Soft Tissue Grafting Gum Skin Graft Recovery Recovery from gum graft surgery typically takes 1 to 2 weeks for the initial healing, with complete tissue maturation and comfort often achieved after a few months. After a gum graft, it is normal to experience some temporary symptoms such as discomfort, swelling, and bleeding. The recovery period is typically a few weeks and usually involves eating. A gum graft. Gum Skin Graft Recovery.
From www.palatefree.com.br
Palate Free Tratamento para a Recessão Gengival e Perda de Tecidos Moles Gum Skin Graft Recovery Gum graft surgery is a dental procedure for treating thinning gums or gum recession. Gum grafting covers exposed teeth. If your gums are receding, your dentist may recommend a gum tissue graft. They are part of the natural healing process and should gradually decrease over time. Before your gums return to their normal appearance, the healing process goes through several. Gum Skin Graft Recovery.
From www.periodontal-therapy.com
Gum Grafting Photos Gum Skin Graft Recovery The first day after your gum graft surgery is crucial for setting the tone. It is a simple process that does not take long to do. Before your gums return to their normal appearance, the healing process goes through several stages: Recovery from gum graft surgery typically takes 1 to 2 weeks for the initial healing, with complete tissue maturation. Gum Skin Graft Recovery.
From www.atlasdental.ca
Gum Graft Atlas Dental Toronto Gum Skin Graft Recovery Before your gums return to their normal appearance, the healing process goes through several stages: After a gum graft, it is normal to experience some temporary symptoms such as discomfort, swelling, and bleeding. Gum recession exposes the roots of your teeth. Gum graft surgery is a dental procedure for treating thinning gums or gum recession. Why are gum grafts performed?. Gum Skin Graft Recovery.
From www.smilesbyhanna.com
Gum Graft Surgery in Gilbert, AZ Expert Gum Graft Surgeon Gum Skin Graft Recovery The recovery period is typically a few weeks and usually involves eating. Before your gums return to their normal appearance, the healing process goes through several stages: What are the healing stages of a gum graft? If your gums are receding, your dentist may recommend a gum tissue graft. A gum graft is a procedure to treat receding gums. The. Gum Skin Graft Recovery.
From www.youtube.com
Final Healing Examination After Gum Graft Procedure 👍🏻 YouTube Gum Skin Graft Recovery Before your gums return to their normal appearance, the healing process goes through several stages: The first day after your gum graft surgery is crucial for setting the tone. What are the healing stages of a gum graft? Recovery from gum graft surgery typically takes 1 to 2 weeks for the initial healing, with complete tissue maturation and comfort often. Gum Skin Graft Recovery.
From dr123smile.com
Gum Grafting in Sunset FL Gum Grafting Surgery Miami, FL Gum Skin Graft Recovery Gum grafting covers exposed teeth. The first day after your gum graft surgery is crucial for setting the tone. The recovery period is typically a few weeks and usually involves eating. If your gums are receding, your dentist may recommend a gum tissue graft. Recovery from gum graft surgery typically takes 1 to 2 weeks for the initial healing, with. Gum Skin Graft Recovery.
From www.fairfaxadvanceddentistry.com
Gum Graft Fairfax, VA 22030 Fairfax Advanced Dentistry Gum Skin Graft Recovery Gum recession exposes the roots of your teeth. Gum grafting covers exposed teeth. Recovery from gum graft surgery typically takes 1 to 2 weeks for the initial healing, with complete tissue maturation and comfort often achieved after a few months. The recovery period is typically a few weeks and usually involves eating. They are part of the natural healing process. Gum Skin Graft Recovery.
From www.youtube.com
SURGERY UPDATE MY GUM GRAFT RECOVERY YouTube Gum Skin Graft Recovery What are the healing stages of a gum graft? The recovery period is typically a few weeks and usually involves eating. It is a simple process that does not take long to do. After a gum graft, it is normal to experience some temporary symptoms such as discomfort, swelling, and bleeding. They are part of the natural healing process and. Gum Skin Graft Recovery.
From patientslounge.com
How I Recovered Quickly From Gum Grafting Surgery Patient's Lounge Gum Skin Graft Recovery If your gums are receding, your dentist may recommend a gum tissue graft. After a gum graft, it is normal to experience some temporary symptoms such as discomfort, swelling, and bleeding. A gum graft is a procedure to treat receding gums. Why are gum grafts performed? It is a simple process that does not take long to do. The first. Gum Skin Graft Recovery.
From www.drsamkhoury.com
Gum Grafts Before and After Dr. Sam Khoury Gum Skin Graft Recovery Gum grafting covers exposed teeth. Recovering from gum graft surgery requires patience, proper care, and following your dentist’s instructions. Before your gums return to their normal appearance, the healing process goes through several stages: It is a simple process that does not take long to do. After a gum graft, it is normal to experience some temporary symptoms such as. Gum Skin Graft Recovery.
From www.chandlerperio.com
7 Gum Graft Surgery Recovery Tips Dental Implants & Periodontics in Gum Skin Graft Recovery What are the healing stages of a gum graft? A gum graft is a procedure to treat receding gums. Gum recession exposes the roots of your teeth. Gum grafting covers exposed teeth. If your gums are receding, your dentist may recommend a gum tissue graft. Why are gum grafts performed? The recovery period is typically a few weeks and usually. Gum Skin Graft Recovery.
From burbankdentalimplants.com
Complication Bone Graft is Exposed Platelet PRF Treatment Gum Skin Graft Recovery Gum graft surgery is a dental procedure for treating thinning gums or gum recession. What are the healing stages of a gum graft? The first day after your gum graft surgery is crucial for setting the tone. Recovering from gum graft surgery requires patience, proper care, and following your dentist’s instructions. After a gum graft, it is normal to experience. Gum Skin Graft Recovery.
From www.periodontal-therapy.com
Gum Grafting Photos Gum Skin Graft Recovery Gum graft surgery is a dental procedure for treating thinning gums or gum recession. Recovery from gum graft surgery typically takes 1 to 2 weeks for the initial healing, with complete tissue maturation and comfort often achieved after a few months. Gum recession exposes the roots of your teeth. Gum grafting covers exposed teeth. Before your gums return to their. Gum Skin Graft Recovery.
From decisionsindentistry.com
Healing Progression of the Free Gingival Graft Decisions in Dentistry Gum Skin Graft Recovery Gum graft surgery is a dental procedure for treating thinning gums or gum recession. Recovery from gum graft surgery typically takes 1 to 2 weeks for the initial healing, with complete tissue maturation and comfort often achieved after a few months. After a gum graft, it is normal to experience some temporary symptoms such as discomfort, swelling, and bleeding. Gum. Gum Skin Graft Recovery.
From www.youtube.com
Gum (Gingival) Recession Surgery Treated with Gum Graft. YouTube Gum Skin Graft Recovery If your gums are receding, your dentist may recommend a gum tissue graft. Recovering from gum graft surgery requires patience, proper care, and following your dentist’s instructions. A gum graft is a procedure to treat receding gums. The recovery period is typically a few weeks and usually involves eating. They are part of the natural healing process and should gradually. Gum Skin Graft Recovery.
From www.resslerdental.com
Fix receding gums graft repair Boynton Beach Gum Specialist Gum Skin Graft Recovery Gum grafting covers exposed teeth. It is a simple process that does not take long to do. Recovery from gum graft surgery typically takes 1 to 2 weeks for the initial healing, with complete tissue maturation and comfort often achieved after a few months. Recovering from gum graft surgery requires patience, proper care, and following your dentist’s instructions. What are. Gum Skin Graft Recovery.
From www.pinterest.com
Surgical gum graft If your tooth root has lost gum tissue, a small Gum Skin Graft Recovery It is a simple process that does not take long to do. The recovery period is typically a few weeks and usually involves eating. Gum recession exposes the roots of your teeth. A gum graft is a procedure to treat receding gums. After a gum graft, it is normal to experience some temporary symptoms such as discomfort, swelling, and bleeding.. Gum Skin Graft Recovery.
From patientslounge.com
Gum Graft Surgery (and What It Costs) in the UK Patient's Lounge Gum Skin Graft Recovery The recovery period is typically a few weeks and usually involves eating. Before your gums return to their normal appearance, the healing process goes through several stages: Recovering from gum graft surgery requires patience, proper care, and following your dentist’s instructions. It is a simple process that does not take long to do. Why are gum grafts performed? They are. Gum Skin Graft Recovery.
From www.duckettdmd.com
Gum Grafting Birmingham AL Gum Skin Graft Recovery It is a simple process that does not take long to do. Recovery from gum graft surgery typically takes 1 to 2 weeks for the initial healing, with complete tissue maturation and comfort often achieved after a few months. Why are gum grafts performed? A gum graft is a procedure to treat receding gums. If your gums are receding, your. Gum Skin Graft Recovery.
From www.huntingtonbeachperiodontics.com
Gum Grafting Huntington Beach Cosmetic Periodontics Dr. Braga Gum Skin Graft Recovery After a gum graft, it is normal to experience some temporary symptoms such as discomfort, swelling, and bleeding. The first day after your gum graft surgery is crucial for setting the tone. Recovering from gum graft surgery requires patience, proper care, and following your dentist’s instructions. A gum graft is a procedure to treat receding gums. Gum graft surgery is. Gum Skin Graft Recovery.
From www.woodyardperio.com
Gum Grafting in Newburgh, IN Woodyard Periodontics Gum Skin Graft Recovery Recovery from gum graft surgery typically takes 1 to 2 weeks for the initial healing, with complete tissue maturation and comfort often achieved after a few months. Why are gum grafts performed? It is a simple process that does not take long to do. Before your gums return to their normal appearance, the healing process goes through several stages: They. Gum Skin Graft Recovery.
From www.implantperiospecialist.com
Gum Grafting for Treatment of Receding Gums in Vancouver Burnaby BC Gum Skin Graft Recovery Gum graft surgery is a dental procedure for treating thinning gums or gum recession. Gum recession exposes the roots of your teeth. If your gums are receding, your dentist may recommend a gum tissue graft. What are the healing stages of a gum graft? They are part of the natural healing process and should gradually decrease over time. Recovering from. Gum Skin Graft Recovery.
From educatorpages.com
What Are the Benefits of Gum Grafting? Gum Skin Graft Recovery The recovery period is typically a few weeks and usually involves eating. They are part of the natural healing process and should gradually decrease over time. Recovery from gum graft surgery typically takes 1 to 2 weeks for the initial healing, with complete tissue maturation and comfort often achieved after a few months. Before your gums return to their normal. Gum Skin Graft Recovery.
From gumgrafy.blogspot.com
Gum Graft Diary and Survival Tips Gum graft diary Day 6 postop Gum Skin Graft Recovery The recovery period is typically a few weeks and usually involves eating. Gum graft surgery is a dental procedure for treating thinning gums or gum recession. Gum grafting covers exposed teeth. The first day after your gum graft surgery is crucial for setting the tone. Gum recession exposes the roots of your teeth. Before your gums return to their normal. Gum Skin Graft Recovery.
From ksa-conference.org
Gum Graft Recovery Time Gum Skin Graft Recovery What are the healing stages of a gum graft? They are part of the natural healing process and should gradually decrease over time. A gum graft is a procedure to treat receding gums. Gum recession exposes the roots of your teeth. The first day after your gum graft surgery is crucial for setting the tone. Before your gums return to. Gum Skin Graft Recovery.
From www.implantperiospecialist.com
Chao Pinhole Gum Rejuvenation Burnaby & Vancouver BC, IMPrESS Perio Gum Skin Graft Recovery Gum recession exposes the roots of your teeth. It is a simple process that does not take long to do. Before your gums return to their normal appearance, the healing process goes through several stages: The first day after your gum graft surgery is crucial for setting the tone. Recovering from gum graft surgery requires patience, proper care, and following. Gum Skin Graft Recovery.
From sazperio.com
Dental Do's and Don'ts After Gum Graft Surgery Tucson Periodontist Gum Skin Graft Recovery It is a simple process that does not take long to do. The recovery period is typically a few weeks and usually involves eating. Before your gums return to their normal appearance, the healing process goes through several stages: Recovery from gum graft surgery typically takes 1 to 2 weeks for the initial healing, with complete tissue maturation and comfort. Gum Skin Graft Recovery.
From www.periodontal-therapy.com
Gum Grafting Photos Gum Skin Graft Recovery Gum graft surgery is a dental procedure for treating thinning gums or gum recession. It is a simple process that does not take long to do. What are the healing stages of a gum graft? After a gum graft, it is normal to experience some temporary symptoms such as discomfort, swelling, and bleeding. Recovering from gum graft surgery requires patience,. Gum Skin Graft Recovery.
From www.3stepsmiles.com
Gum Tissue Graft Surgery procedure, causes, techniques and more Gum Skin Graft Recovery It is a simple process that does not take long to do. Recovery from gum graft surgery typically takes 1 to 2 weeks for the initial healing, with complete tissue maturation and comfort often achieved after a few months. Recovering from gum graft surgery requires patience, proper care, and following your dentist’s instructions. Gum graft surgery is a dental procedure. Gum Skin Graft Recovery.
From decisionsindentistry.com
Healing Progression of the Free Gingival Graft Decisions in Dentistry Gum Skin Graft Recovery Gum recession exposes the roots of your teeth. A gum graft is a procedure to treat receding gums. Gum graft surgery is a dental procedure for treating thinning gums or gum recession. The recovery period is typically a few weeks and usually involves eating. Recovery from gum graft surgery typically takes 1 to 2 weeks for the initial healing, with. Gum Skin Graft Recovery.
From mungfali.com
Skin Graft Healing Color Gum Skin Graft Recovery The recovery period is typically a few weeks and usually involves eating. It is a simple process that does not take long to do. Before your gums return to their normal appearance, the healing process goes through several stages: Recovering from gum graft surgery requires patience, proper care, and following your dentist’s instructions. Gum grafting covers exposed teeth. Recovery from. Gum Skin Graft Recovery.
From www.dentalimplantsclinic.ca
Gum Grafts Toronto Bond Street Dental Gum Skin Graft Recovery Recovering from gum graft surgery requires patience, proper care, and following your dentist’s instructions. What are the healing stages of a gum graft? They are part of the natural healing process and should gradually decrease over time. Gum recession exposes the roots of your teeth. Gum grafting covers exposed teeth. A gum graft is a procedure to treat receding gums.. Gum Skin Graft Recovery.
From baroudiperio.com
Gum Grafting in San Jose, CA [Highly Rated Dentist] Gum Skin Graft Recovery What are the healing stages of a gum graft? They are part of the natural healing process and should gradually decrease over time. Recovering from gum graft surgery requires patience, proper care, and following your dentist’s instructions. A gum graft is a procedure to treat receding gums. Gum grafting covers exposed teeth. Recovery from gum graft surgery typically takes 1. Gum Skin Graft Recovery.