How Painful Is A Spiral Fracture . spiral fractures usually result in intense pain, accompanied by several common symptoms that include: Spiral fractures create a jagged edge around the bone, while other fractures—such as a transverse or oblique fracture—break in a straight line (also called a clean break). Spiral fractures can cause a variety of symptoms, which may vary depending on the location. spiral fractures can be more complicated regarding treatment and healing than other fractures. The type of pain depends on the severity of the injury. The pain can be sharp or dull, depending on the severity of the break. the most common and obvious symptom of a spiral fracture is pain in the injured area. a spiral fracture is a bone fracture that occurs when a long bone is broken by a twisting force. Treatment can depend on the severity of the. typical symptoms of a spiral fracture include severe pain at the fracture site, swelling, tenderness, bruising or. symptoms of spiral fractures.
from www.pinterest.com
symptoms of spiral fractures. Spiral fractures create a jagged edge around the bone, while other fractures—such as a transverse or oblique fracture—break in a straight line (also called a clean break). The type of pain depends on the severity of the injury. Treatment can depend on the severity of the. spiral fractures usually result in intense pain, accompanied by several common symptoms that include: spiral fractures can be more complicated regarding treatment and healing than other fractures. the most common and obvious symptom of a spiral fracture is pain in the injured area. typical symptoms of a spiral fracture include severe pain at the fracture site, swelling, tenderness, bruising or. The pain can be sharp or dull, depending on the severity of the break. Spiral fractures can cause a variety of symptoms, which may vary depending on the location.
Spiral Fracture Healing Time, Tibia, and Fibula Spiral fracture
How Painful Is A Spiral Fracture Spiral fractures can cause a variety of symptoms, which may vary depending on the location. The pain can be sharp or dull, depending on the severity of the break. the most common and obvious symptom of a spiral fracture is pain in the injured area. Treatment can depend on the severity of the. a spiral fracture is a bone fracture that occurs when a long bone is broken by a twisting force. spiral fractures usually result in intense pain, accompanied by several common symptoms that include: typical symptoms of a spiral fracture include severe pain at the fracture site, swelling, tenderness, bruising or. spiral fractures can be more complicated regarding treatment and healing than other fractures. symptoms of spiral fractures. Spiral fractures can cause a variety of symptoms, which may vary depending on the location. Spiral fractures create a jagged edge around the bone, while other fractures—such as a transverse or oblique fracture—break in a straight line (also called a clean break). The type of pain depends on the severity of the injury.
From www.gettyimages.com
Spiral Fracture Of The Shin Xrays HighRes Stock Photo Getty Images How Painful Is A Spiral Fracture The type of pain depends on the severity of the injury. Spiral fractures create a jagged edge around the bone, while other fractures—such as a transverse or oblique fracture—break in a straight line (also called a clean break). The pain can be sharp or dull, depending on the severity of the break. spiral fractures can be more complicated regarding. How Painful Is A Spiral Fracture.
From www.slideshare.net
Musculoskeletal System Fractures How Painful Is A Spiral Fracture the most common and obvious symptom of a spiral fracture is pain in the injured area. The type of pain depends on the severity of the injury. typical symptoms of a spiral fracture include severe pain at the fracture site, swelling, tenderness, bruising or. spiral fractures can be more complicated regarding treatment and healing than other fractures.. How Painful Is A Spiral Fracture.
From contentbatman.weebly.com
Spiral fracture causes contentbatman How Painful Is A Spiral Fracture typical symptoms of a spiral fracture include severe pain at the fracture site, swelling, tenderness, bruising or. Spiral fractures create a jagged edge around the bone, while other fractures—such as a transverse or oblique fracture—break in a straight line (also called a clean break). a spiral fracture is a bone fracture that occurs when a long bone is. How Painful Is A Spiral Fracture.
From www.topbonedude.com
Types of Broken Bones Symptoms, Treatment, Healing Hernando How Painful Is A Spiral Fracture The pain can be sharp or dull, depending on the severity of the break. typical symptoms of a spiral fracture include severe pain at the fracture site, swelling, tenderness, bruising or. Treatment can depend on the severity of the. The type of pain depends on the severity of the injury. Spiral fractures create a jagged edge around the bone,. How Painful Is A Spiral Fracture.
From heidenortho.com
Types of Fractures Heiden Orthopedics How Painful Is A Spiral Fracture Spiral fractures create a jagged edge around the bone, while other fractures—such as a transverse or oblique fracture—break in a straight line (also called a clean break). spiral fractures can be more complicated regarding treatment and healing than other fractures. Treatment can depend on the severity of the. The pain can be sharp or dull, depending on the severity. How Painful Is A Spiral Fracture.
From www.schreibermd.com
Hand Fracture Raleigh Hand Surgery — Joseph J. Schreiber, MD How Painful Is A Spiral Fracture Spiral fractures can cause a variety of symptoms, which may vary depending on the location. a spiral fracture is a bone fracture that occurs when a long bone is broken by a twisting force. Treatment can depend on the severity of the. spiral fractures usually result in intense pain, accompanied by several common symptoms that include: The type. How Painful Is A Spiral Fracture.
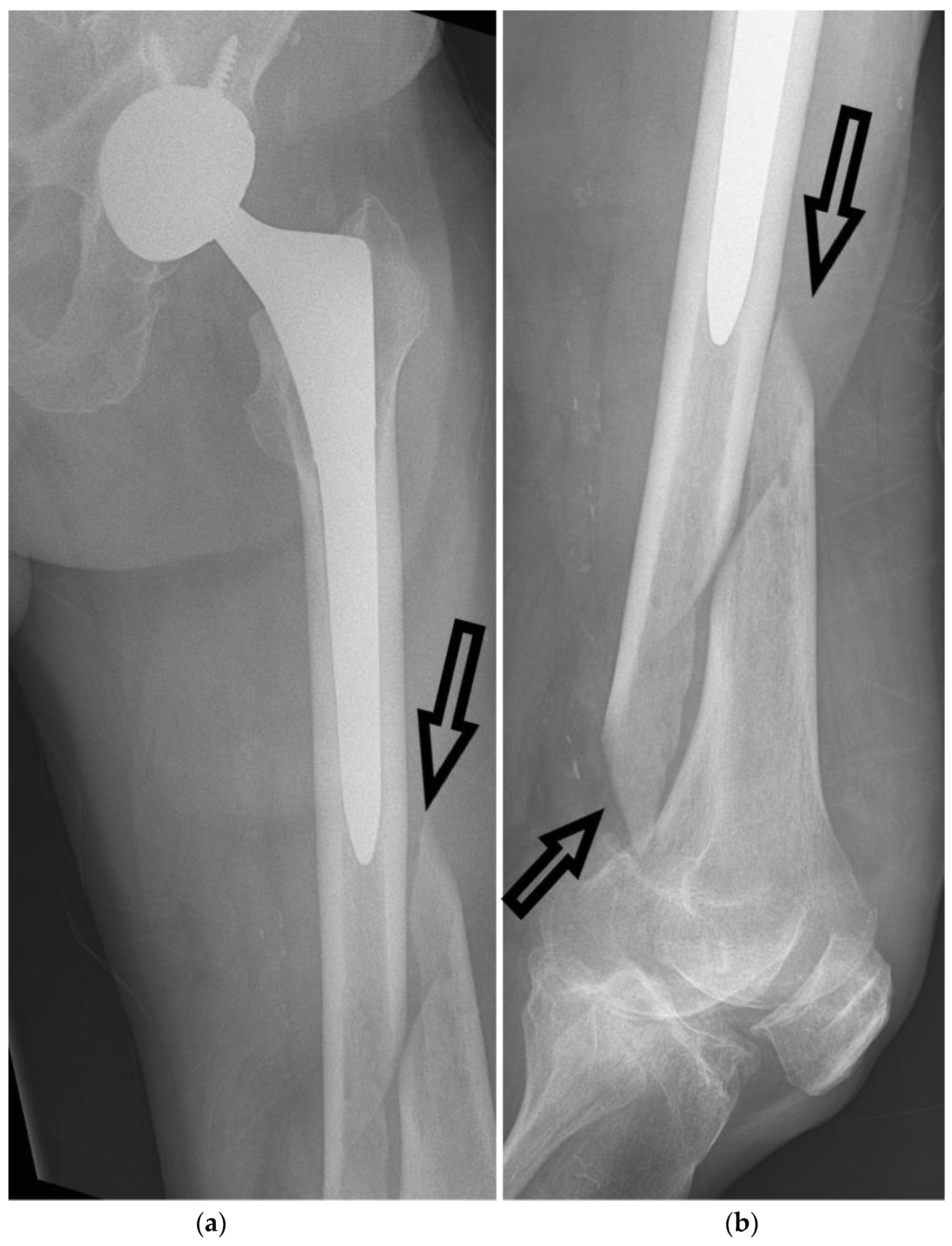
From www.mdpi.com
Anatomia Free FullText Radiological Diagnosis and Imaging of How Painful Is A Spiral Fracture The type of pain depends on the severity of the injury. Treatment can depend on the severity of the. a spiral fracture is a bone fracture that occurs when a long bone is broken by a twisting force. Spiral fractures can cause a variety of symptoms, which may vary depending on the location. the most common and obvious. How Painful Is A Spiral Fracture.
From ar.inspiredpencil.com
Spiral Fracture X Ray How Painful Is A Spiral Fracture symptoms of spiral fractures. the most common and obvious symptom of a spiral fracture is pain in the injured area. Treatment can depend on the severity of the. spiral fractures can be more complicated regarding treatment and healing than other fractures. The pain can be sharp or dull, depending on the severity of the break. The type. How Painful Is A Spiral Fracture.
From radiopaedia.org
Tibial spiral fracture (isolated) Image How Painful Is A Spiral Fracture the most common and obvious symptom of a spiral fracture is pain in the injured area. spiral fractures usually result in intense pain, accompanied by several common symptoms that include: spiral fractures can be more complicated regarding treatment and healing than other fractures. Treatment can depend on the severity of the. The type of pain depends on. How Painful Is A Spiral Fracture.
From drmmanjra.co.za
7 Types Of Bone Fractures Orthopaedic Surgeon Durban How Painful Is A Spiral Fracture The type of pain depends on the severity of the injury. symptoms of spiral fractures. spiral fractures usually result in intense pain, accompanied by several common symptoms that include: spiral fractures can be more complicated regarding treatment and healing than other fractures. Spiral fractures create a jagged edge around the bone, while other fractures—such as a transverse. How Painful Is A Spiral Fracture.
From www.slideshare.net
Presentation 4 fractures How Painful Is A Spiral Fracture Spiral fractures can cause a variety of symptoms, which may vary depending on the location. a spiral fracture is a bone fracture that occurs when a long bone is broken by a twisting force. spiral fractures can be more complicated regarding treatment and healing than other fractures. Spiral fractures create a jagged edge around the bone, while other. How Painful Is A Spiral Fracture.
From ocvweb.com
Trauma and Fractures Orthopaedic Center of the Virginias How Painful Is A Spiral Fracture symptoms of spiral fractures. a spiral fracture is a bone fracture that occurs when a long bone is broken by a twisting force. Spiral fractures can cause a variety of symptoms, which may vary depending on the location. spiral fractures usually result in intense pain, accompanied by several common symptoms that include: The type of pain depends. How Painful Is A Spiral Fracture.
From www.mdpi.com
Anatomia Free FullText Radiological Diagnosis and Imaging of How Painful Is A Spiral Fracture Spiral fractures can cause a variety of symptoms, which may vary depending on the location. symptoms of spiral fractures. a spiral fracture is a bone fracture that occurs when a long bone is broken by a twisting force. the most common and obvious symptom of a spiral fracture is pain in the injured area. The pain can. How Painful Is A Spiral Fracture.
From brownemblog.com
Thrower’s Fracture of the Humerus A Case Report — BROWN EMERGENCY How Painful Is A Spiral Fracture typical symptoms of a spiral fracture include severe pain at the fracture site, swelling, tenderness, bruising or. The pain can be sharp or dull, depending on the severity of the break. the most common and obvious symptom of a spiral fracture is pain in the injured area. Treatment can depend on the severity of the. symptoms of. How Painful Is A Spiral Fracture.
From joaodospneus.blogspot.com
Spiral Fracture Tibia Xray / Stress fracture of tibia Radiology at St How Painful Is A Spiral Fracture spiral fractures usually result in intense pain, accompanied by several common symptoms that include: the most common and obvious symptom of a spiral fracture is pain in the injured area. The pain can be sharp or dull, depending on the severity of the break. Treatment can depend on the severity of the. symptoms of spiral fractures. Spiral. How Painful Is A Spiral Fracture.
From www.bonefractures.org
Spiral fracture tibia fixed with intamedullary nail How Painful Is A Spiral Fracture spiral fractures can be more complicated regarding treatment and healing than other fractures. typical symptoms of a spiral fracture include severe pain at the fracture site, swelling, tenderness, bruising or. spiral fractures usually result in intense pain, accompanied by several common symptoms that include: Spiral fractures create a jagged edge around the bone, while other fractures—such as. How Painful Is A Spiral Fracture.
From www.pinterest.com
Spiral Fracture Healing Time, Tibia, and Fibula Spiral fracture How Painful Is A Spiral Fracture The type of pain depends on the severity of the injury. symptoms of spiral fractures. Spiral fractures create a jagged edge around the bone, while other fractures—such as a transverse or oblique fracture—break in a straight line (also called a clean break). Spiral fractures can cause a variety of symptoms, which may vary depending on the location. spiral. How Painful Is A Spiral Fracture.
From healthjade.net
Spiral fracture definition, causes, symptoms, treatment & recovery time How Painful Is A Spiral Fracture symptoms of spiral fractures. The type of pain depends on the severity of the injury. The pain can be sharp or dull, depending on the severity of the break. Spiral fractures can cause a variety of symptoms, which may vary depending on the location. Spiral fractures create a jagged edge around the bone, while other fractures—such as a transverse. How Painful Is A Spiral Fracture.
From www.scientificanimations.com
Fractures Types, Symptoms, Causes and Treatment Scientific Animations How Painful Is A Spiral Fracture the most common and obvious symptom of a spiral fracture is pain in the injured area. symptoms of spiral fractures. Treatment can depend on the severity of the. Spiral fractures create a jagged edge around the bone, while other fractures—such as a transverse or oblique fracture—break in a straight line (also called a clean break). typical symptoms. How Painful Is A Spiral Fracture.
From www.bonefractures.org
Spiral fracture tibia fixed with intamedullary nail How Painful Is A Spiral Fracture Spiral fractures can cause a variety of symptoms, which may vary depending on the location. The pain can be sharp or dull, depending on the severity of the break. typical symptoms of a spiral fracture include severe pain at the fracture site, swelling, tenderness, bruising or. Treatment can depend on the severity of the. a spiral fracture is. How Painful Is A Spiral Fracture.
From healthjade.net
Spiral fracture definition, causes, symptoms, treatment & recovery time How Painful Is A Spiral Fracture Spiral fractures create a jagged edge around the bone, while other fractures—such as a transverse or oblique fracture—break in a straight line (also called a clean break). a spiral fracture is a bone fracture that occurs when a long bone is broken by a twisting force. typical symptoms of a spiral fracture include severe pain at the fracture. How Painful Is A Spiral Fracture.
From my.clevelandclinic.org
Spiral Fracture Symptoms, Causes & Treatment How Painful Is A Spiral Fracture the most common and obvious symptom of a spiral fracture is pain in the injured area. spiral fractures can be more complicated regarding treatment and healing than other fractures. symptoms of spiral fractures. Spiral fractures can cause a variety of symptoms, which may vary depending on the location. spiral fractures usually result in intense pain, accompanied. How Painful Is A Spiral Fracture.
From footeducation.com
5th Metatarsal Shaft "Dancer's" Fracture FootEducation How Painful Is A Spiral Fracture a spiral fracture is a bone fracture that occurs when a long bone is broken by a twisting force. spiral fractures can be more complicated regarding treatment and healing than other fractures. Spiral fractures create a jagged edge around the bone, while other fractures—such as a transverse or oblique fracture—break in a straight line (also called a clean. How Painful Is A Spiral Fracture.
From healthjade.com
Spiral fracture definition, causes, symptoms, treatment & recovery time How Painful Is A Spiral Fracture typical symptoms of a spiral fracture include severe pain at the fracture site, swelling, tenderness, bruising or. Spiral fractures create a jagged edge around the bone, while other fractures—such as a transverse or oblique fracture—break in a straight line (also called a clean break). spiral fractures usually result in intense pain, accompanied by several common symptoms that include:. How Painful Is A Spiral Fracture.
From healthjade.net
Spiral fracture definition, causes, symptoms, treatment & recovery time How Painful Is A Spiral Fracture typical symptoms of a spiral fracture include severe pain at the fracture site, swelling, tenderness, bruising or. The pain can be sharp or dull, depending on the severity of the break. The type of pain depends on the severity of the injury. symptoms of spiral fractures. Spiral fractures can cause a variety of symptoms, which may vary depending. How Painful Is A Spiral Fracture.
From www.slideserve.com
PPT Fractures, Sprains, and Dislocations PowerPoint Presentation How Painful Is A Spiral Fracture a spiral fracture is a bone fracture that occurs when a long bone is broken by a twisting force. symptoms of spiral fractures. Treatment can depend on the severity of the. spiral fractures usually result in intense pain, accompanied by several common symptoms that include: Spiral fractures create a jagged edge around the bone, while other fractures—such. How Painful Is A Spiral Fracture.
From footeducation.com
5th Metatarsal Shaft "Dancer's" Fracture FootEducation How Painful Is A Spiral Fracture Treatment can depend on the severity of the. Spiral fractures create a jagged edge around the bone, while other fractures—such as a transverse or oblique fracture—break in a straight line (also called a clean break). the most common and obvious symptom of a spiral fracture is pain in the injured area. The pain can be sharp or dull, depending. How Painful Is A Spiral Fracture.
From www.slideserve.com
PPT 10 Different types of Bone Fractures PowerPoint Presentation How Painful Is A Spiral Fracture typical symptoms of a spiral fracture include severe pain at the fracture site, swelling, tenderness, bruising or. the most common and obvious symptom of a spiral fracture is pain in the injured area. The type of pain depends on the severity of the injury. Treatment can depend on the severity of the. spiral fractures usually result in. How Painful Is A Spiral Fracture.
From exycjjciv.blob.core.windows.net
Spiral Fracture Tibia Dog at Raymond Heath blog How Painful Is A Spiral Fracture Spiral fractures create a jagged edge around the bone, while other fractures—such as a transverse or oblique fracture—break in a straight line (also called a clean break). The pain can be sharp or dull, depending on the severity of the break. typical symptoms of a spiral fracture include severe pain at the fracture site, swelling, tenderness, bruising or. Spiral. How Painful Is A Spiral Fracture.
From mumuthoughts.weebly.com
Spiral fracture causes mumuthoughts How Painful Is A Spiral Fracture a spiral fracture is a bone fracture that occurs when a long bone is broken by a twisting force. Treatment can depend on the severity of the. typical symptoms of a spiral fracture include severe pain at the fracture site, swelling, tenderness, bruising or. Spiral fractures create a jagged edge around the bone, while other fractures—such as a. How Painful Is A Spiral Fracture.
From fyocrgtuw.blob.core.windows.net
Spiral Fracture Finger X Ray at Regina Andersen blog How Painful Is A Spiral Fracture Treatment can depend on the severity of the. The pain can be sharp or dull, depending on the severity of the break. spiral fractures can be more complicated regarding treatment and healing than other fractures. The type of pain depends on the severity of the injury. spiral fractures usually result in intense pain, accompanied by several common symptoms. How Painful Is A Spiral Fracture.
From www.bonefractures.org
Spiral fracture tibia fixed with intamedullary nail How Painful Is A Spiral Fracture Spiral fractures create a jagged edge around the bone, while other fractures—such as a transverse or oblique fracture—break in a straight line (also called a clean break). The pain can be sharp or dull, depending on the severity of the break. Spiral fractures can cause a variety of symptoms, which may vary depending on the location. typical symptoms of. How Painful Is A Spiral Fracture.
From glyraorthopaedics.com
Understanding Fractures Types How Painful Is A Spiral Fracture a spiral fracture is a bone fracture that occurs when a long bone is broken by a twisting force. The type of pain depends on the severity of the injury. typical symptoms of a spiral fracture include severe pain at the fracture site, swelling, tenderness, bruising or. Treatment can depend on the severity of the. Spiral fractures can. How Painful Is A Spiral Fracture.
From spiralfracturerva.bandcamp.com
Spiral Fracture Spiral Fracture How Painful Is A Spiral Fracture spiral fractures usually result in intense pain, accompanied by several common symptoms that include: typical symptoms of a spiral fracture include severe pain at the fracture site, swelling, tenderness, bruising or. spiral fractures can be more complicated regarding treatment and healing than other fractures. Spiral fractures create a jagged edge around the bone, while other fractures—such as. How Painful Is A Spiral Fracture.
From aroundthecornerfromoverthere.blogspot.com
Around The Corner From Over There 72 Xray Results How Painful Is A Spiral Fracture typical symptoms of a spiral fracture include severe pain at the fracture site, swelling, tenderness, bruising or. symptoms of spiral fractures. The type of pain depends on the severity of the injury. a spiral fracture is a bone fracture that occurs when a long bone is broken by a twisting force. spiral fractures usually result in. How Painful Is A Spiral Fracture.