Basal Ganglia Germ Cell Tumor . primary cns germ cell tumours can, very rarely, develop at other anatomical sites, including the basal ganglia, thalamus, cerebellum, and spinal cord. early imaging findings in germ cell tumors arising from the basal ganglia. We recommend that patients with such primary lesions are assessed by an experienced multidisciplinary team, but the specific details and descriptions of response assessment at these sites is. Basal ganglia germ cell tumors (bggcts) represent an extremely rare subset of tumors about. basal ganglia germinomas (bggs) are rare lesions. due to the rarity of basal ganglia germ cell tumors (bggcts), there is a paucity of research on it and a lack of.
from www.researchgate.net
early imaging findings in germ cell tumors arising from the basal ganglia. primary cns germ cell tumours can, very rarely, develop at other anatomical sites, including the basal ganglia, thalamus, cerebellum, and spinal cord. due to the rarity of basal ganglia germ cell tumors (bggcts), there is a paucity of research on it and a lack of. Basal ganglia germ cell tumors (bggcts) represent an extremely rare subset of tumors about. We recommend that patients with such primary lesions are assessed by an experienced multidisciplinary team, but the specific details and descriptions of response assessment at these sites is. basal ganglia germinomas (bggs) are rare lesions.
Case 10(a) Right basal ganglionic mixed germ cell tumor. (b) 1 month
Basal Ganglia Germ Cell Tumor early imaging findings in germ cell tumors arising from the basal ganglia. early imaging findings in germ cell tumors arising from the basal ganglia. We recommend that patients with such primary lesions are assessed by an experienced multidisciplinary team, but the specific details and descriptions of response assessment at these sites is. due to the rarity of basal ganglia germ cell tumors (bggcts), there is a paucity of research on it and a lack of. primary cns germ cell tumours can, very rarely, develop at other anatomical sites, including the basal ganglia, thalamus, cerebellum, and spinal cord. Basal ganglia germ cell tumors (bggcts) represent an extremely rare subset of tumors about. basal ganglia germinomas (bggs) are rare lesions.
From www.researchgate.net
Precise detection of the germinomatous component of intracranial germ Basal Ganglia Germ Cell Tumor We recommend that patients with such primary lesions are assessed by an experienced multidisciplinary team, but the specific details and descriptions of response assessment at these sites is. early imaging findings in germ cell tumors arising from the basal ganglia. basal ganglia germinomas (bggs) are rare lesions. primary cns germ cell tumours can, very rarely, develop at. Basal Ganglia Germ Cell Tumor.
From www.researchgate.net
(PDF) Germ cell tumors in the basal ganglia Problems of early Basal Ganglia Germ Cell Tumor We recommend that patients with such primary lesions are assessed by an experienced multidisciplinary team, but the specific details and descriptions of response assessment at these sites is. Basal ganglia germ cell tumors (bggcts) represent an extremely rare subset of tumors about. basal ganglia germinomas (bggs) are rare lesions. early imaging findings in germ cell tumors arising from. Basal Ganglia Germ Cell Tumor.
From www.semanticscholar.org
Figure 2 from Clinical and Radiologic Features of Pediatric Basal Basal Ganglia Germ Cell Tumor due to the rarity of basal ganglia germ cell tumors (bggcts), there is a paucity of research on it and a lack of. early imaging findings in germ cell tumors arising from the basal ganglia. primary cns germ cell tumours can, very rarely, develop at other anatomical sites, including the basal ganglia, thalamus, cerebellum, and spinal cord.. Basal Ganglia Germ Cell Tumor.
From www.researchgate.net
(PDF) Behavior Disorder and Social Function Impairment in Children with Basal Ganglia Germ Cell Tumor Basal ganglia germ cell tumors (bggcts) represent an extremely rare subset of tumors about. basal ganglia germinomas (bggs) are rare lesions. early imaging findings in germ cell tumors arising from the basal ganglia. due to the rarity of basal ganglia germ cell tumors (bggcts), there is a paucity of research on it and a lack of. We. Basal Ganglia Germ Cell Tumor.
From www.semanticscholar.org
Figure 3 from Clinical and Radiologic Features of Pediatric Basal Basal Ganglia Germ Cell Tumor Basal ganglia germ cell tumors (bggcts) represent an extremely rare subset of tumors about. early imaging findings in germ cell tumors arising from the basal ganglia. due to the rarity of basal ganglia germ cell tumors (bggcts), there is a paucity of research on it and a lack of. basal ganglia germinomas (bggs) are rare lesions. . Basal Ganglia Germ Cell Tumor.
From www.researchgate.net
(PDF) Germ cell tumors in the basal ganglia Problems of early Basal Ganglia Germ Cell Tumor Basal ganglia germ cell tumors (bggcts) represent an extremely rare subset of tumors about. due to the rarity of basal ganglia germ cell tumors (bggcts), there is a paucity of research on it and a lack of. primary cns germ cell tumours can, very rarely, develop at other anatomical sites, including the basal ganglia, thalamus, cerebellum, and spinal. Basal Ganglia Germ Cell Tumor.
From archneur.jamanetwork.com
Occurrence of Basal Ganglia Germ Cell Tumors Without a Mass Clinical Basal Ganglia Germ Cell Tumor basal ganglia germinomas (bggs) are rare lesions. early imaging findings in germ cell tumors arising from the basal ganglia. due to the rarity of basal ganglia germ cell tumors (bggcts), there is a paucity of research on it and a lack of. primary cns germ cell tumours can, very rarely, develop at other anatomical sites, including. Basal Ganglia Germ Cell Tumor.
From jamanetwork.com
Occurrence of Basal Ganglia Germ Cell Tumors Without a Mass Clinical Basal Ganglia Germ Cell Tumor Basal ganglia germ cell tumors (bggcts) represent an extremely rare subset of tumors about. due to the rarity of basal ganglia germ cell tumors (bggcts), there is a paucity of research on it and a lack of. primary cns germ cell tumours can, very rarely, develop at other anatomical sites, including the basal ganglia, thalamus, cerebellum, and spinal. Basal Ganglia Germ Cell Tumor.
From www.semanticscholar.org
Figure 1 from Clinical and Radiologic Features of Pediatric Basal Basal Ganglia Germ Cell Tumor early imaging findings in germ cell tumors arising from the basal ganglia. Basal ganglia germ cell tumors (bggcts) represent an extremely rare subset of tumors about. We recommend that patients with such primary lesions are assessed by an experienced multidisciplinary team, but the specific details and descriptions of response assessment at these sites is. basal ganglia germinomas (bggs). Basal Ganglia Germ Cell Tumor.
From www.researchgate.net
(PDF) Basal Ganglia Germ Cell Tumors With or Without Sellar Involvement Basal Ganglia Germ Cell Tumor We recommend that patients with such primary lesions are assessed by an experienced multidisciplinary team, but the specific details and descriptions of response assessment at these sites is. basal ganglia germinomas (bggs) are rare lesions. Basal ganglia germ cell tumors (bggcts) represent an extremely rare subset of tumors about. due to the rarity of basal ganglia germ cell. Basal Ganglia Germ Cell Tumor.
From www.frontiersin.org
Frontiers Basal Ganglia Germ Cell Tumors With or Without Sellar Basal Ganglia Germ Cell Tumor basal ganglia germinomas (bggs) are rare lesions. early imaging findings in germ cell tumors arising from the basal ganglia. We recommend that patients with such primary lesions are assessed by an experienced multidisciplinary team, but the specific details and descriptions of response assessment at these sites is. due to the rarity of basal ganglia germ cell tumors. Basal Ganglia Germ Cell Tumor.
From scite.ai
Imaging diagnosis of basal ganglia germ cell tumors subtype features Basal Ganglia Germ Cell Tumor We recommend that patients with such primary lesions are assessed by an experienced multidisciplinary team, but the specific details and descriptions of response assessment at these sites is. due to the rarity of basal ganglia germ cell tumors (bggcts), there is a paucity of research on it and a lack of. primary cns germ cell tumours can, very. Basal Ganglia Germ Cell Tumor.
From www.researchgate.net
Case 10(a) Right basal ganglionic mixed germ cell tumor. (b) 1 month Basal Ganglia Germ Cell Tumor We recommend that patients with such primary lesions are assessed by an experienced multidisciplinary team, but the specific details and descriptions of response assessment at these sites is. Basal ganglia germ cell tumors (bggcts) represent an extremely rare subset of tumors about. primary cns germ cell tumours can, very rarely, develop at other anatomical sites, including the basal ganglia,. Basal Ganglia Germ Cell Tumor.
From www.frontiersin.org
Frontiers Basal Ganglia Germ Cell Tumors With or Without Sellar Basal Ganglia Germ Cell Tumor due to the rarity of basal ganglia germ cell tumors (bggcts), there is a paucity of research on it and a lack of. early imaging findings in germ cell tumors arising from the basal ganglia. Basal ganglia germ cell tumors (bggcts) represent an extremely rare subset of tumors about. primary cns germ cell tumours can, very rarely,. Basal Ganglia Germ Cell Tumor.
From www.researchgate.net
Axial brain MRI through the level of basal ganglia and thalami Basal Ganglia Germ Cell Tumor Basal ganglia germ cell tumors (bggcts) represent an extremely rare subset of tumors about. early imaging findings in germ cell tumors arising from the basal ganglia. basal ganglia germinomas (bggs) are rare lesions. primary cns germ cell tumours can, very rarely, develop at other anatomical sites, including the basal ganglia, thalamus, cerebellum, and spinal cord. due. Basal Ganglia Germ Cell Tumor.
From www.researchgate.net
Schematic diagram for the differential diagnosis process of lesions in Basal Ganglia Germ Cell Tumor Basal ganglia germ cell tumors (bggcts) represent an extremely rare subset of tumors about. due to the rarity of basal ganglia germ cell tumors (bggcts), there is a paucity of research on it and a lack of. early imaging findings in germ cell tumors arising from the basal ganglia. We recommend that patients with such primary lesions are. Basal Ganglia Germ Cell Tumor.
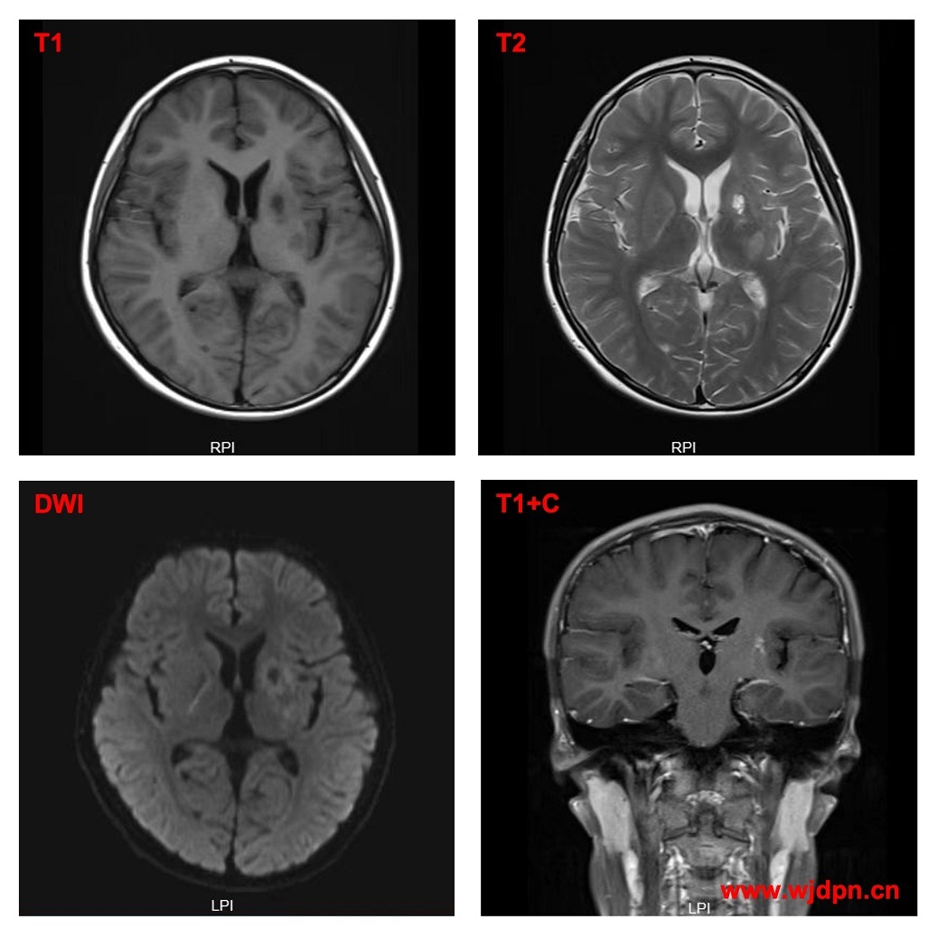
From wjdpn.cn
中枢神经系统生殖细胞肿瘤MRI表现 儿童癫痫长程管理 Basal Ganglia Germ Cell Tumor primary cns germ cell tumours can, very rarely, develop at other anatomical sites, including the basal ganglia, thalamus, cerebellum, and spinal cord. We recommend that patients with such primary lesions are assessed by an experienced multidisciplinary team, but the specific details and descriptions of response assessment at these sites is. due to the rarity of basal ganglia germ. Basal Ganglia Germ Cell Tumor.
From www.researchgate.net
Clinical features, radiologic findings, and treatment of pediatric germ Basal Ganglia Germ Cell Tumor basal ganglia germinomas (bggs) are rare lesions. We recommend that patients with such primary lesions are assessed by an experienced multidisciplinary team, but the specific details and descriptions of response assessment at these sites is. early imaging findings in germ cell tumors arising from the basal ganglia. Basal ganglia germ cell tumors (bggcts) represent an extremely rare subset. Basal Ganglia Germ Cell Tumor.
From www.semanticscholar.org
Figure 3 from Clinical interpretation of residual uptake in 11C Basal Ganglia Germ Cell Tumor Basal ganglia germ cell tumors (bggcts) represent an extremely rare subset of tumors about. primary cns germ cell tumours can, very rarely, develop at other anatomical sites, including the basal ganglia, thalamus, cerebellum, and spinal cord. due to the rarity of basal ganglia germ cell tumors (bggcts), there is a paucity of research on it and a lack. Basal Ganglia Germ Cell Tumor.
From www.researchgate.net
Early imaging findings in germ cell tumors arising from the basal Basal Ganglia Germ Cell Tumor Basal ganglia germ cell tumors (bggcts) represent an extremely rare subset of tumors about. We recommend that patients with such primary lesions are assessed by an experienced multidisciplinary team, but the specific details and descriptions of response assessment at these sites is. primary cns germ cell tumours can, very rarely, develop at other anatomical sites, including the basal ganglia,. Basal Ganglia Germ Cell Tumor.
From radiologycases.my
Basal ganglia hemorrhage Radiology Cases Basal Ganglia Germ Cell Tumor primary cns germ cell tumours can, very rarely, develop at other anatomical sites, including the basal ganglia, thalamus, cerebellum, and spinal cord. due to the rarity of basal ganglia germ cell tumors (bggcts), there is a paucity of research on it and a lack of. Basal ganglia germ cell tumors (bggcts) represent an extremely rare subset of tumors. Basal Ganglia Germ Cell Tumor.
From www.researchgate.net
Case 10(a) Right basal ganglionic mixed germ cell tumor. (b) 1 month Basal Ganglia Germ Cell Tumor We recommend that patients with such primary lesions are assessed by an experienced multidisciplinary team, but the specific details and descriptions of response assessment at these sites is. basal ganglia germinomas (bggs) are rare lesions. Basal ganglia germ cell tumors (bggcts) represent an extremely rare subset of tumors about. due to the rarity of basal ganglia germ cell. Basal Ganglia Germ Cell Tumor.
From www.researchgate.net
MRI demonstrated a tumor as a gadoliniumenhanced lesion in the left Basal Ganglia Germ Cell Tumor basal ganglia germinomas (bggs) are rare lesions. primary cns germ cell tumours can, very rarely, develop at other anatomical sites, including the basal ganglia, thalamus, cerebellum, and spinal cord. Basal ganglia germ cell tumors (bggcts) represent an extremely rare subset of tumors about. due to the rarity of basal ganglia germ cell tumors (bggcts), there is a. Basal Ganglia Germ Cell Tumor.
From www.researchgate.net
(PDF) Occurrence of Basal Ganglia Germ Cell Tumors Without a Mass Basal Ganglia Germ Cell Tumor We recommend that patients with such primary lesions are assessed by an experienced multidisciplinary team, but the specific details and descriptions of response assessment at these sites is. basal ganglia germinomas (bggs) are rare lesions. Basal ganglia germ cell tumors (bggcts) represent an extremely rare subset of tumors about. due to the rarity of basal ganglia germ cell. Basal Ganglia Germ Cell Tumor.
From www.semanticscholar.org
[PDF] Primary yolk sac tumor of bilateral basal ganglia. Semantic Scholar Basal Ganglia Germ Cell Tumor primary cns germ cell tumours can, very rarely, develop at other anatomical sites, including the basal ganglia, thalamus, cerebellum, and spinal cord. basal ganglia germinomas (bggs) are rare lesions. early imaging findings in germ cell tumors arising from the basal ganglia. due to the rarity of basal ganglia germ cell tumors (bggcts), there is a paucity. Basal Ganglia Germ Cell Tumor.
From thejns.org
Germ cell tumors in the basal ganglia problems of early diagnosis and Basal Ganglia Germ Cell Tumor early imaging findings in germ cell tumors arising from the basal ganglia. due to the rarity of basal ganglia germ cell tumors (bggcts), there is a paucity of research on it and a lack of. We recommend that patients with such primary lesions are assessed by an experienced multidisciplinary team, but the specific details and descriptions of response. Basal Ganglia Germ Cell Tumor.
From www.ajnr.org
Bilateral Germinoma Involving the Basal Ganglia and Cerebral White Basal Ganglia Germ Cell Tumor primary cns germ cell tumours can, very rarely, develop at other anatomical sites, including the basal ganglia, thalamus, cerebellum, and spinal cord. basal ganglia germinomas (bggs) are rare lesions. early imaging findings in germ cell tumors arising from the basal ganglia. Basal ganglia germ cell tumors (bggcts) represent an extremely rare subset of tumors about. due. Basal Ganglia Germ Cell Tumor.
From www.researchgate.net
MRI showing bilateral basal ganglia lesions with hypointensity on Basal Ganglia Germ Cell Tumor due to the rarity of basal ganglia germ cell tumors (bggcts), there is a paucity of research on it and a lack of. basal ganglia germinomas (bggs) are rare lesions. We recommend that patients with such primary lesions are assessed by an experienced multidisciplinary team, but the specific details and descriptions of response assessment at these sites is.. Basal Ganglia Germ Cell Tumor.
From www.semanticscholar.org
[PDF] Primary yolk sac tumor of bilateral basal ganglia. Semantic Scholar Basal Ganglia Germ Cell Tumor basal ganglia germinomas (bggs) are rare lesions. Basal ganglia germ cell tumors (bggcts) represent an extremely rare subset of tumors about. We recommend that patients with such primary lesions are assessed by an experienced multidisciplinary team, but the specific details and descriptions of response assessment at these sites is. primary cns germ cell tumours can, very rarely, develop. Basal Ganglia Germ Cell Tumor.
From www.frontiersin.org
Frontiers Update on MRI in pediatric intracranial germ cell tumors Basal Ganglia Germ Cell Tumor primary cns germ cell tumours can, very rarely, develop at other anatomical sites, including the basal ganglia, thalamus, cerebellum, and spinal cord. Basal ganglia germ cell tumors (bggcts) represent an extremely rare subset of tumors about. early imaging findings in germ cell tumors arising from the basal ganglia. basal ganglia germinomas (bggs) are rare lesions. We recommend. Basal Ganglia Germ Cell Tumor.
From www.frontiersin.org
Frontiers Basal Ganglia Germ Cell Tumors With or Without Sellar Basal Ganglia Germ Cell Tumor basal ganglia germinomas (bggs) are rare lesions. We recommend that patients with such primary lesions are assessed by an experienced multidisciplinary team, but the specific details and descriptions of response assessment at these sites is. primary cns germ cell tumours can, very rarely, develop at other anatomical sites, including the basal ganglia, thalamus, cerebellum, and spinal cord. . Basal Ganglia Germ Cell Tumor.
From www.researchgate.net
AG male, 8 years old, with in the left basal ganglia. A. T1WI Basal Ganglia Germ Cell Tumor due to the rarity of basal ganglia germ cell tumors (bggcts), there is a paucity of research on it and a lack of. early imaging findings in germ cell tumors arising from the basal ganglia. Basal ganglia germ cell tumors (bggcts) represent an extremely rare subset of tumors about. primary cns germ cell tumours can, very rarely,. Basal Ganglia Germ Cell Tumor.
From www.researchgate.net
Noncontrast computed tomography scan at the level of the basal ganglia Basal Ganglia Germ Cell Tumor early imaging findings in germ cell tumors arising from the basal ganglia. due to the rarity of basal ganglia germ cell tumors (bggcts), there is a paucity of research on it and a lack of. primary cns germ cell tumours can, very rarely, develop at other anatomical sites, including the basal ganglia, thalamus, cerebellum, and spinal cord.. Basal Ganglia Germ Cell Tumor.
From www.jneurology.com
MR imaging findings of germ cell tumors arising from the basal ganglia Basal Ganglia Germ Cell Tumor We recommend that patients with such primary lesions are assessed by an experienced multidisciplinary team, but the specific details and descriptions of response assessment at these sites is. basal ganglia germinomas (bggs) are rare lesions. primary cns germ cell tumours can, very rarely, develop at other anatomical sites, including the basal ganglia, thalamus, cerebellum, and spinal cord. . Basal Ganglia Germ Cell Tumor.
From neupsykey.com
Germ Cell Tumors of the Sellar Region Neupsy Key Basal Ganglia Germ Cell Tumor early imaging findings in germ cell tumors arising from the basal ganglia. due to the rarity of basal ganglia germ cell tumors (bggcts), there is a paucity of research on it and a lack of. primary cns germ cell tumours can, very rarely, develop at other anatomical sites, including the basal ganglia, thalamus, cerebellum, and spinal cord.. Basal Ganglia Germ Cell Tumor.