Can A Hip Replacement Get Infected . Risks associated with hip replacement surgery can include: Mild pain may be the only symptom. Infections can occur at the site of the. Treating joint infections is complex, requiring open surgery to remove the patient's prosthetic, thorough debridement of the infected material and insertion of the. Infections may develop shortly after hip replacement. Joint replacement surgery can be done safely on patients of all ages, but certain people are more at risk for developing prosthetic joint infection (pji). A hip or knee replacement can get infected years after surgery. A small number of patients undergoing hip or knee replacement (about 1 in 100, or 1%) may develop an infection after the operation. Usually, these infections develop when you have another bacterial infection, such. The diagnosis of deep infection after total hip arthroplasty may not be obvious. Currently, infection is the second most common cause for revision hip replacement.
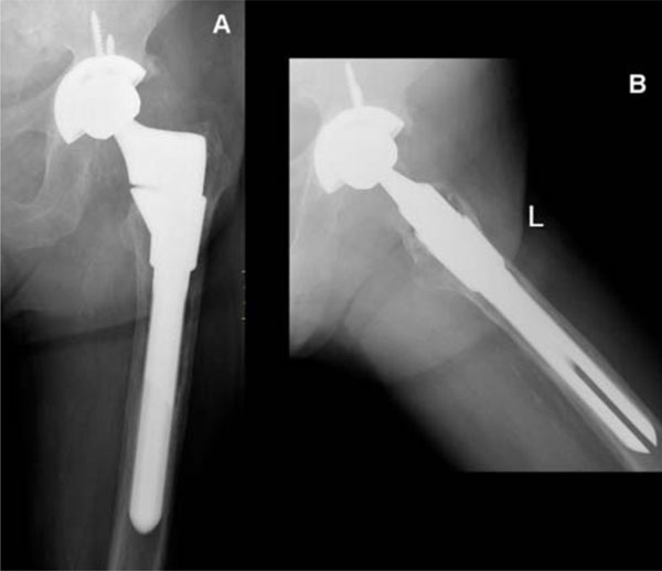
from www.mdpi.com
A small number of patients undergoing hip or knee replacement (about 1 in 100, or 1%) may develop an infection after the operation. Risks associated with hip replacement surgery can include: Infections can occur at the site of the. Mild pain may be the only symptom. A hip or knee replacement can get infected years after surgery. Treating joint infections is complex, requiring open surgery to remove the patient's prosthetic, thorough debridement of the infected material and insertion of the. Infections may develop shortly after hip replacement. Usually, these infections develop when you have another bacterial infection, such. The diagnosis of deep infection after total hip arthroplasty may not be obvious. Currently, infection is the second most common cause for revision hip replacement.
JPM Free FullText Partial TwoStage Exchange for Infected Total
Can A Hip Replacement Get Infected A small number of patients undergoing hip or knee replacement (about 1 in 100, or 1%) may develop an infection after the operation. Currently, infection is the second most common cause for revision hip replacement. The diagnosis of deep infection after total hip arthroplasty may not be obvious. Joint replacement surgery can be done safely on patients of all ages, but certain people are more at risk for developing prosthetic joint infection (pji). Infections can occur at the site of the. A hip or knee replacement can get infected years after surgery. A small number of patients undergoing hip or knee replacement (about 1 in 100, or 1%) may develop an infection after the operation. Infections may develop shortly after hip replacement. Risks associated with hip replacement surgery can include: Mild pain may be the only symptom. Treating joint infections is complex, requiring open surgery to remove the patient's prosthetic, thorough debridement of the infected material and insertion of the. Usually, these infections develop when you have another bacterial infection, such.
From healthjade.com
Hip Replacement Surgery Recovery Time, Alternatives, Risks Can A Hip Replacement Get Infected Infections may develop shortly after hip replacement. A small number of patients undergoing hip or knee replacement (about 1 in 100, or 1%) may develop an infection after the operation. Currently, infection is the second most common cause for revision hip replacement. Joint replacement surgery can be done safely on patients of all ages, but certain people are more at. Can A Hip Replacement Get Infected.
From www.orthocenter.com
Can Hip Replacement Be Avoided? Orthocenter Orthopedic Surgery Can A Hip Replacement Get Infected A small number of patients undergoing hip or knee replacement (about 1 in 100, or 1%) may develop an infection after the operation. Usually, these infections develop when you have another bacterial infection, such. Treating joint infections is complex, requiring open surgery to remove the patient's prosthetic, thorough debridement of the infected material and insertion of the. Risks associated with. Can A Hip Replacement Get Infected.
From drmukhirajhospital.com
Revision Hip Replacement Dr. Mukhi’s Raj Hospital Can A Hip Replacement Get Infected Currently, infection is the second most common cause for revision hip replacement. A small number of patients undergoing hip or knee replacement (about 1 in 100, or 1%) may develop an infection after the operation. Treating joint infections is complex, requiring open surgery to remove the patient's prosthetic, thorough debridement of the infected material and insertion of the. Infections can. Can A Hip Replacement Get Infected.
From www.nejm.org
Periprosthetic Joint Infection NEJM Can A Hip Replacement Get Infected Risks associated with hip replacement surgery can include: Infections can occur at the site of the. Currently, infection is the second most common cause for revision hip replacement. Mild pain may be the only symptom. Joint replacement surgery can be done safely on patients of all ages, but certain people are more at risk for developing prosthetic joint infection (pji).. Can A Hip Replacement Get Infected.
From www.orthobethesda.com
8 Signs To Know If You Need Hip Replacement Surgery Can A Hip Replacement Get Infected Risks associated with hip replacement surgery can include: A small number of patients undergoing hip or knee replacement (about 1 in 100, or 1%) may develop an infection after the operation. Mild pain may be the only symptom. The diagnosis of deep infection after total hip arthroplasty may not be obvious. Currently, infection is the second most common cause for. Can A Hip Replacement Get Infected.
From s3.amazonaws.com
Lower back pain by hip on right side kidney, treatment for infection Can A Hip Replacement Get Infected Mild pain may be the only symptom. Treating joint infections is complex, requiring open surgery to remove the patient's prosthetic, thorough debridement of the infected material and insertion of the. Usually, these infections develop when you have another bacterial infection, such. Risks associated with hip replacement surgery can include: Infections may develop shortly after hip replacement. Infections can occur at. Can A Hip Replacement Get Infected.
From orthoinfo.aaos.org
Revision Total Hip Replacement OrthoInfo AAOS Can A Hip Replacement Get Infected Usually, these infections develop when you have another bacterial infection, such. Joint replacement surgery can be done safely on patients of all ages, but certain people are more at risk for developing prosthetic joint infection (pji). A small number of patients undergoing hip or knee replacement (about 1 in 100, or 1%) may develop an infection after the operation. Mild. Can A Hip Replacement Get Infected.
From orthoinfo.org
Revision Total Hip Replacement OrthoInfo AAOS Can A Hip Replacement Get Infected Usually, these infections develop when you have another bacterial infection, such. A hip or knee replacement can get infected years after surgery. A small number of patients undergoing hip or knee replacement (about 1 in 100, or 1%) may develop an infection after the operation. Treating joint infections is complex, requiring open surgery to remove the patient's prosthetic, thorough debridement. Can A Hip Replacement Get Infected.
From www.stgeorgesurgical.com
Anterior Approach Total Hip Replacement (AATHR) St. Surgical Can A Hip Replacement Get Infected Joint replacement surgery can be done safely on patients of all ages, but certain people are more at risk for developing prosthetic joint infection (pji). Treating joint infections is complex, requiring open surgery to remove the patient's prosthetic, thorough debridement of the infected material and insertion of the. Infections can occur at the site of the. A small number of. Can A Hip Replacement Get Infected.
From www.ojrca.com
A Guide to Your Hip Replacement Recovery Journey Outpatient Joint Can A Hip Replacement Get Infected Infections can occur at the site of the. A small number of patients undergoing hip or knee replacement (about 1 in 100, or 1%) may develop an infection after the operation. Treating joint infections is complex, requiring open surgery to remove the patient's prosthetic, thorough debridement of the infected material and insertion of the. Mild pain may be the only. Can A Hip Replacement Get Infected.
From www.laorthosurgeon.com
Infected Hip Replacement ADAM SASSOON M.D., M.S. Can A Hip Replacement Get Infected Infections can occur at the site of the. A small number of patients undergoing hip or knee replacement (about 1 in 100, or 1%) may develop an infection after the operation. Treating joint infections is complex, requiring open surgery to remove the patient's prosthetic, thorough debridement of the infected material and insertion of the. Usually, these infections develop when you. Can A Hip Replacement Get Infected.
From osv.com.au
Total Hip Replacement OrthoSport Victoria Can A Hip Replacement Get Infected Infections may develop shortly after hip replacement. A small number of patients undergoing hip or knee replacement (about 1 in 100, or 1%) may develop an infection after the operation. Mild pain may be the only symptom. Infections can occur at the site of the. The diagnosis of deep infection after total hip arthroplasty may not be obvious. Risks associated. Can A Hip Replacement Get Infected.
From www.hss.edu
Hip Replacement Surgery How it Works, Recovery Time HSS Can A Hip Replacement Get Infected Currently, infection is the second most common cause for revision hip replacement. Usually, these infections develop when you have another bacterial infection, such. Mild pain may be the only symptom. Treating joint infections is complex, requiring open surgery to remove the patient's prosthetic, thorough debridement of the infected material and insertion of the. A hip or knee replacement can get. Can A Hip Replacement Get Infected.
From www.ehow.co.uk
Hip replacement infection symptoms eHow UK Can A Hip Replacement Get Infected A hip or knee replacement can get infected years after surgery. A small number of patients undergoing hip or knee replacement (about 1 in 100, or 1%) may develop an infection after the operation. Infections may develop shortly after hip replacement. Joint replacement surgery can be done safely on patients of all ages, but certain people are more at risk. Can A Hip Replacement Get Infected.
From benthamopen.com
OneStage Revision Arthroplasty for Infected Hip Replacements Can A Hip Replacement Get Infected Infections can occur at the site of the. Infections may develop shortly after hip replacement. Treating joint infections is complex, requiring open surgery to remove the patient's prosthetic, thorough debridement of the infected material and insertion of the. Mild pain may be the only symptom. A small number of patients undergoing hip or knee replacement (about 1 in 100, or. Can A Hip Replacement Get Infected.
From www.drugwatch.com
Hip Replacement Complications Risk of Infection & Dislocation Can A Hip Replacement Get Infected Mild pain may be the only symptom. A hip or knee replacement can get infected years after surgery. Infections can occur at the site of the. The diagnosis of deep infection after total hip arthroplasty may not be obvious. Usually, these infections develop when you have another bacterial infection, such. Infections may develop shortly after hip replacement. Risks associated with. Can A Hip Replacement Get Infected.
From www.verywellhealth.com
Hip Replacement Implant Loosening Symptoms Can A Hip Replacement Get Infected Usually, these infections develop when you have another bacterial infection, such. Infections can occur at the site of the. A small number of patients undergoing hip or knee replacement (about 1 in 100, or 1%) may develop an infection after the operation. Joint replacement surgery can be done safely on patients of all ages, but certain people are more at. Can A Hip Replacement Get Infected.
From www.kneeandhip.co.uk
Complications Hip Surgery Knee and Hip site Can A Hip Replacement Get Infected Joint replacement surgery can be done safely on patients of all ages, but certain people are more at risk for developing prosthetic joint infection (pji). Mild pain may be the only symptom. Infections may develop shortly after hip replacement. Risks associated with hip replacement surgery can include: Usually, these infections develop when you have another bacterial infection, such. Infections can. Can A Hip Replacement Get Infected.
From clohisyhipsurgeon.com
Revision total hip replacement in a 59 year old male with infection Can A Hip Replacement Get Infected Joint replacement surgery can be done safely on patients of all ages, but certain people are more at risk for developing prosthetic joint infection (pji). Infections can occur at the site of the. Treating joint infections is complex, requiring open surgery to remove the patient's prosthetic, thorough debridement of the infected material and insertion of the. Risks associated with hip. Can A Hip Replacement Get Infected.
From www.dailymail.co.uk
More than 50,000 with 'toxic' metal hip implants at risk Daily Mail Can A Hip Replacement Get Infected Usually, these infections develop when you have another bacterial infection, such. Currently, infection is the second most common cause for revision hip replacement. Infections may develop shortly after hip replacement. Joint replacement surgery can be done safely on patients of all ages, but certain people are more at risk for developing prosthetic joint infection (pji). Mild pain may be the. Can A Hip Replacement Get Infected.
From www.youtube.com
Can Hip Replacement help in ankylosing spondylitis ?क्या AS में हिप Can A Hip Replacement Get Infected A small number of patients undergoing hip or knee replacement (about 1 in 100, or 1%) may develop an infection after the operation. Currently, infection is the second most common cause for revision hip replacement. Treating joint infections is complex, requiring open surgery to remove the patient's prosthetic, thorough debridement of the infected material and insertion of the. Infections may. Can A Hip Replacement Get Infected.
From orthoinfo.org
Revision Total Hip Replacement OrthoInfo AAOS Can A Hip Replacement Get Infected Risks associated with hip replacement surgery can include: A small number of patients undergoing hip or knee replacement (about 1 in 100, or 1%) may develop an infection after the operation. Mild pain may be the only symptom. The diagnosis of deep infection after total hip arthroplasty may not be obvious. Infections can occur at the site of the. Currently,. Can A Hip Replacement Get Infected.
From creakyjoints.org
Hip Replacement Recovery Tips from Doctors and Patients Can A Hip Replacement Get Infected Infections may develop shortly after hip replacement. Risks associated with hip replacement surgery can include: Usually, these infections develop when you have another bacterial infection, such. Joint replacement surgery can be done safely on patients of all ages, but certain people are more at risk for developing prosthetic joint infection (pji). A small number of patients undergoing hip or knee. Can A Hip Replacement Get Infected.
From www.verywellhealth.com
Hip Replacement Surgery Recovery, What to Expect & More Can A Hip Replacement Get Infected Infections can occur at the site of the. Treating joint infections is complex, requiring open surgery to remove the patient's prosthetic, thorough debridement of the infected material and insertion of the. Risks associated with hip replacement surgery can include: A small number of patients undergoing hip or knee replacement (about 1 in 100, or 1%) may develop an infection after. Can A Hip Replacement Get Infected.
From www.opnews.com
What is the best way to treat infected hip replacements? OPNews Can A Hip Replacement Get Infected Risks associated with hip replacement surgery can include: Infections can occur at the site of the. Mild pain may be the only symptom. Infections may develop shortly after hip replacement. A hip or knee replacement can get infected years after surgery. A small number of patients undergoing hip or knee replacement (about 1 in 100, or 1%) may develop an. Can A Hip Replacement Get Infected.
From journals.lww.com
Infection of a Total Hip Arthroplasty With Prevotella Loesch Can A Hip Replacement Get Infected Infections can occur at the site of the. A small number of patients undergoing hip or knee replacement (about 1 in 100, or 1%) may develop an infection after the operation. Joint replacement surgery can be done safely on patients of all ages, but certain people are more at risk for developing prosthetic joint infection (pji). Mild pain may be. Can A Hip Replacement Get Infected.
From www.cortho.org
Joint Replacement Infection Causes & Symptoms Complete Orthopedics Can A Hip Replacement Get Infected Usually, these infections develop when you have another bacterial infection, such. Joint replacement surgery can be done safely on patients of all ages, but certain people are more at risk for developing prosthetic joint infection (pji). A small number of patients undergoing hip or knee replacement (about 1 in 100, or 1%) may develop an infection after the operation. Risks. Can A Hip Replacement Get Infected.
From www.wheelessonline.com
Infected THR 2 Stage Revision Wheeless' Textbook of Orthopaedics Can A Hip Replacement Get Infected Risks associated with hip replacement surgery can include: Usually, these infections develop when you have another bacterial infection, such. Infections can occur at the site of the. Mild pain may be the only symptom. A small number of patients undergoing hip or knee replacement (about 1 in 100, or 1%) may develop an infection after the operation. Currently, infection is. Can A Hip Replacement Get Infected.
From www.verywellhealth.com
Direct Superior Hip Replacement Overview Can A Hip Replacement Get Infected Joint replacement surgery can be done safely on patients of all ages, but certain people are more at risk for developing prosthetic joint infection (pji). Infections can occur at the site of the. A small number of patients undergoing hip or knee replacement (about 1 in 100, or 1%) may develop an infection after the operation. Treating joint infections is. Can A Hip Replacement Get Infected.
From journals.lww.com
The Treatment of the Infected Hip Replacement The Complex C Can A Hip Replacement Get Infected Treating joint infections is complex, requiring open surgery to remove the patient's prosthetic, thorough debridement of the infected material and insertion of the. Infections can occur at the site of the. Mild pain may be the only symptom. Usually, these infections develop when you have another bacterial infection, such. Currently, infection is the second most common cause for revision hip. Can A Hip Replacement Get Infected.
From www.mdpi.com
JPM Free FullText Partial TwoStage Exchange for Infected Total Can A Hip Replacement Get Infected Infections may develop shortly after hip replacement. Usually, these infections develop when you have another bacterial infection, such. Joint replacement surgery can be done safely on patients of all ages, but certain people are more at risk for developing prosthetic joint infection (pji). Infections can occur at the site of the. Mild pain may be the only symptom. A small. Can A Hip Replacement Get Infected.
From orthoinfo.aaos.org
Fracture After Total Hip Replacement OrthoInfo AAOS Can A Hip Replacement Get Infected Infections can occur at the site of the. A hip or knee replacement can get infected years after surgery. Currently, infection is the second most common cause for revision hip replacement. The diagnosis of deep infection after total hip arthroplasty may not be obvious. Infections may develop shortly after hip replacement. Treating joint infections is complex, requiring open surgery to. Can A Hip Replacement Get Infected.
From www.sciencephoto.com
Wound infection after hip replacement Stock Image C011/1658 Can A Hip Replacement Get Infected A hip or knee replacement can get infected years after surgery. Treating joint infections is complex, requiring open surgery to remove the patient's prosthetic, thorough debridement of the infected material and insertion of the. A small number of patients undergoing hip or knee replacement (about 1 in 100, or 1%) may develop an infection after the operation. Currently, infection is. Can A Hip Replacement Get Infected.
From www.partaniclinic.com
Hip Replacement Symptoms Indicate that I need a Hip Replacement? Can A Hip Replacement Get Infected Infections can occur at the site of the. Treating joint infections is complex, requiring open surgery to remove the patient's prosthetic, thorough debridement of the infected material and insertion of the. Risks associated with hip replacement surgery can include: Currently, infection is the second most common cause for revision hip replacement. Usually, these infections develop when you have another bacterial. Can A Hip Replacement Get Infected.
From clohisyhipsurgeon.com
Revision hip replacement for treatment of chronic infection and Can A Hip Replacement Get Infected The diagnosis of deep infection after total hip arthroplasty may not be obvious. Risks associated with hip replacement surgery can include: A hip or knee replacement can get infected years after surgery. Mild pain may be the only symptom. Currently, infection is the second most common cause for revision hip replacement. Usually, these infections develop when you have another bacterial. Can A Hip Replacement Get Infected.